Immediate Maxillary Full-Arch Rehabilitation of Periodontal Patients with Terminal Dentition Using Tilted Implants and Bone Augmentation: A 5-Year Retrospective Cohort Study
Abstract
:1. Introduction
- (1)
- Evaluate the survival and success rates of this treatment protocol in stage 4 grade C generalized periodontitis patients [21];
- (2)
- Compare the MBL of tilted and axial immediately loaded implants placed concomitantly with bone augmentation;
- (3)
- Assess the impact on the MBL of other covariates, such as smoking, bruxism, cantilever, implant location, and the presence of keratinized mucosa.
2. Materials and Methods
2.1. Patients Selection
2.1.1. Inclusion Criteria
- A diagnosis of generalized stage 4 grade C by a periodontist according to the new classification of periodontal diseases from 2018, based on clinical examination and radiographic evaluation [21];
- Need for the extraction of all upper teeth, primarily due to periodontitis. Other reasons included extensive carious lesions and root/tooth fractures;
- Mandibular teeth or implants sustaining a fixed partial or complete arch restoration or consisting of natural dentition with a good or fair prognosis;
- Age of ≥18 years;
- Full mouth plaque score <25% [22];
- Stable periodontal disease of the mandibular teeth;
- ≥5 mm bone apical or palatal to the alveolar socket;
- Primary stability with an insertion torque of ≥30 Newton centimeter (Ncm);
- Full or partial integrity of the socket walls after extraction;
- Cone-beam tomographic (CBCT) examination was obtained before surgery.
2.1.2. Exclusion Criteria
- Poorly controlled diabetes mellitus with uninterrupted hemoglobin A1c > 8.0% for ≥1 year despite standard care;
- Current or past metabolic bone disease;
- Medical treatment with bisphosphonates (both oral and IV);
- A history of radiotherapy or chemotherapy to the head and neck region;
- Pregnancy or lactation;
- Parafunctional habits (e.g., bruxism or clenching);
- Lack of compliance.
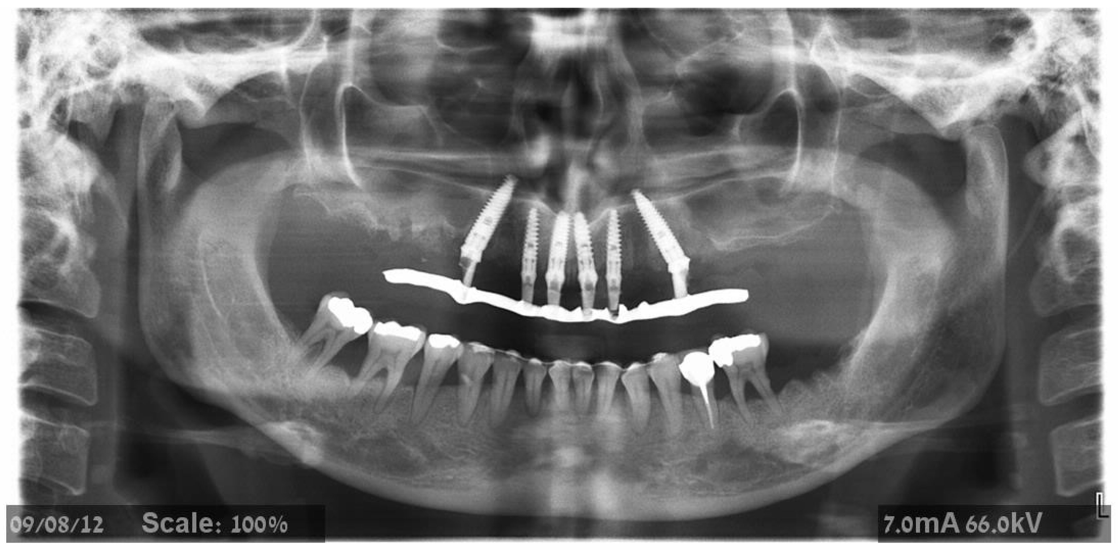
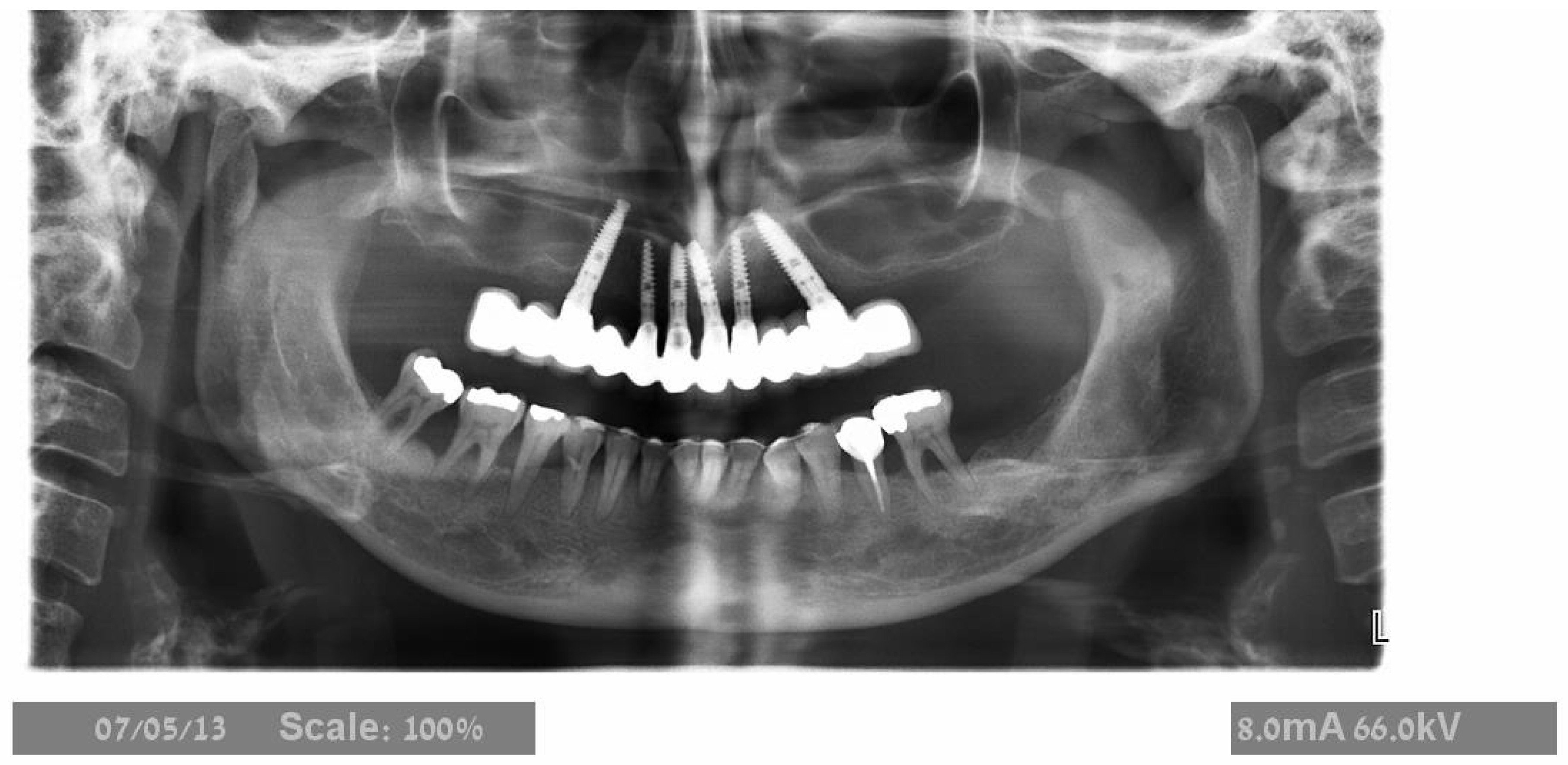
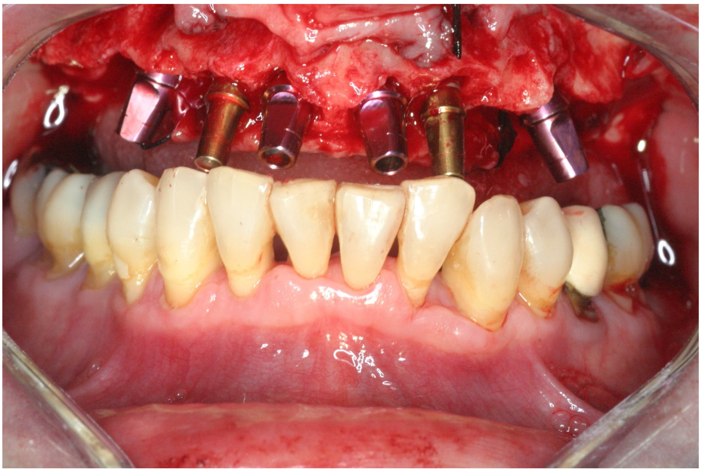
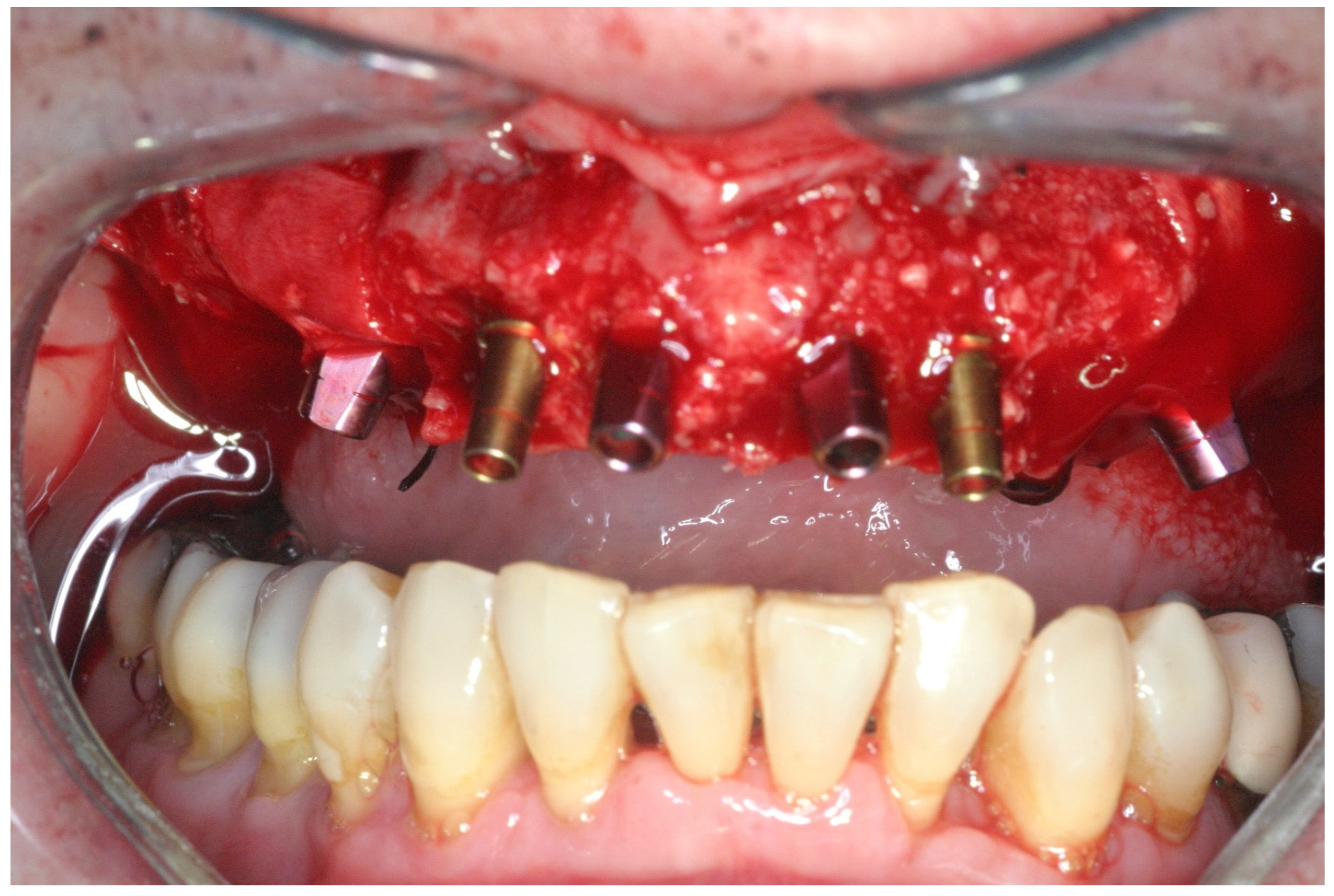
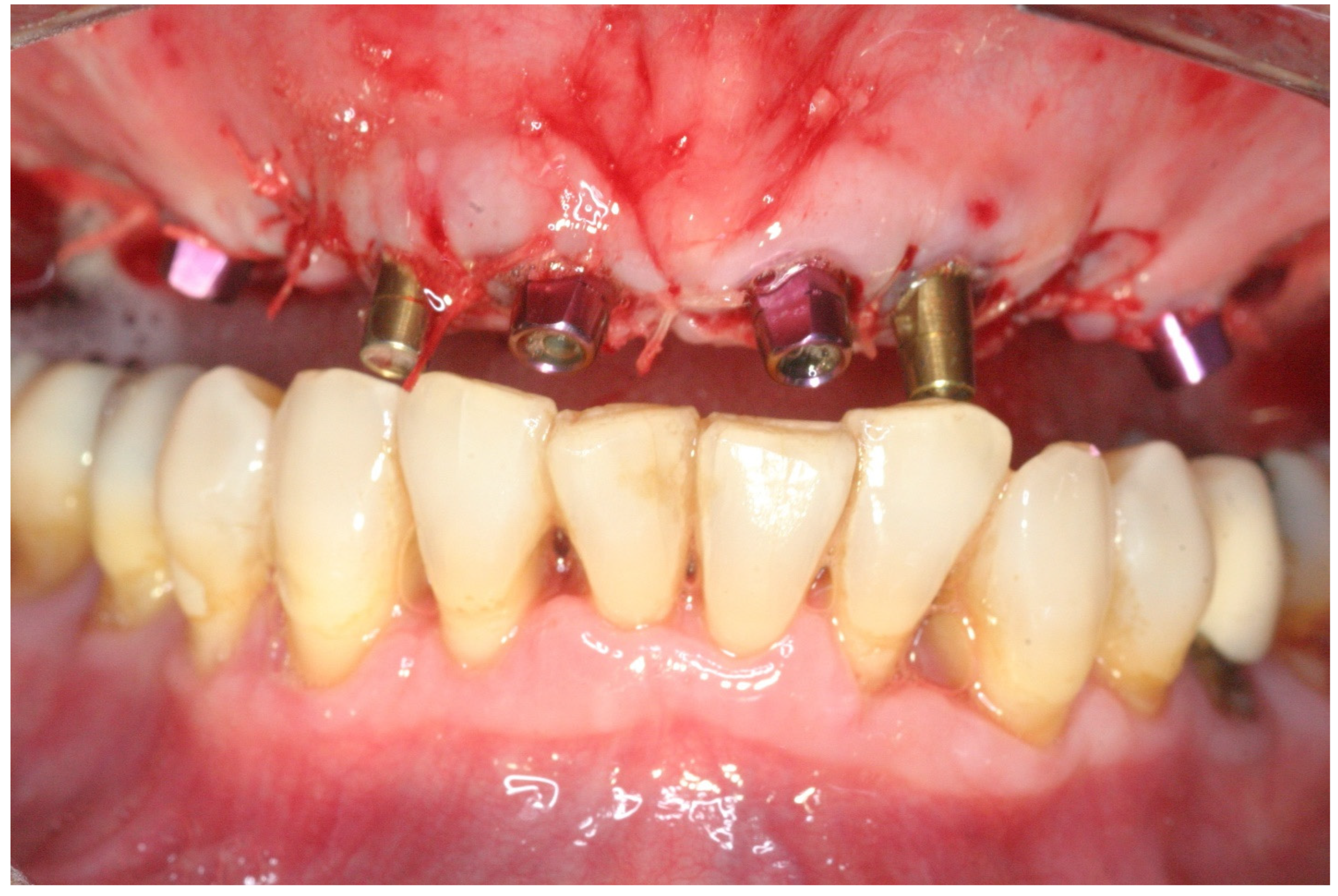
2.2. Surgical Treatment
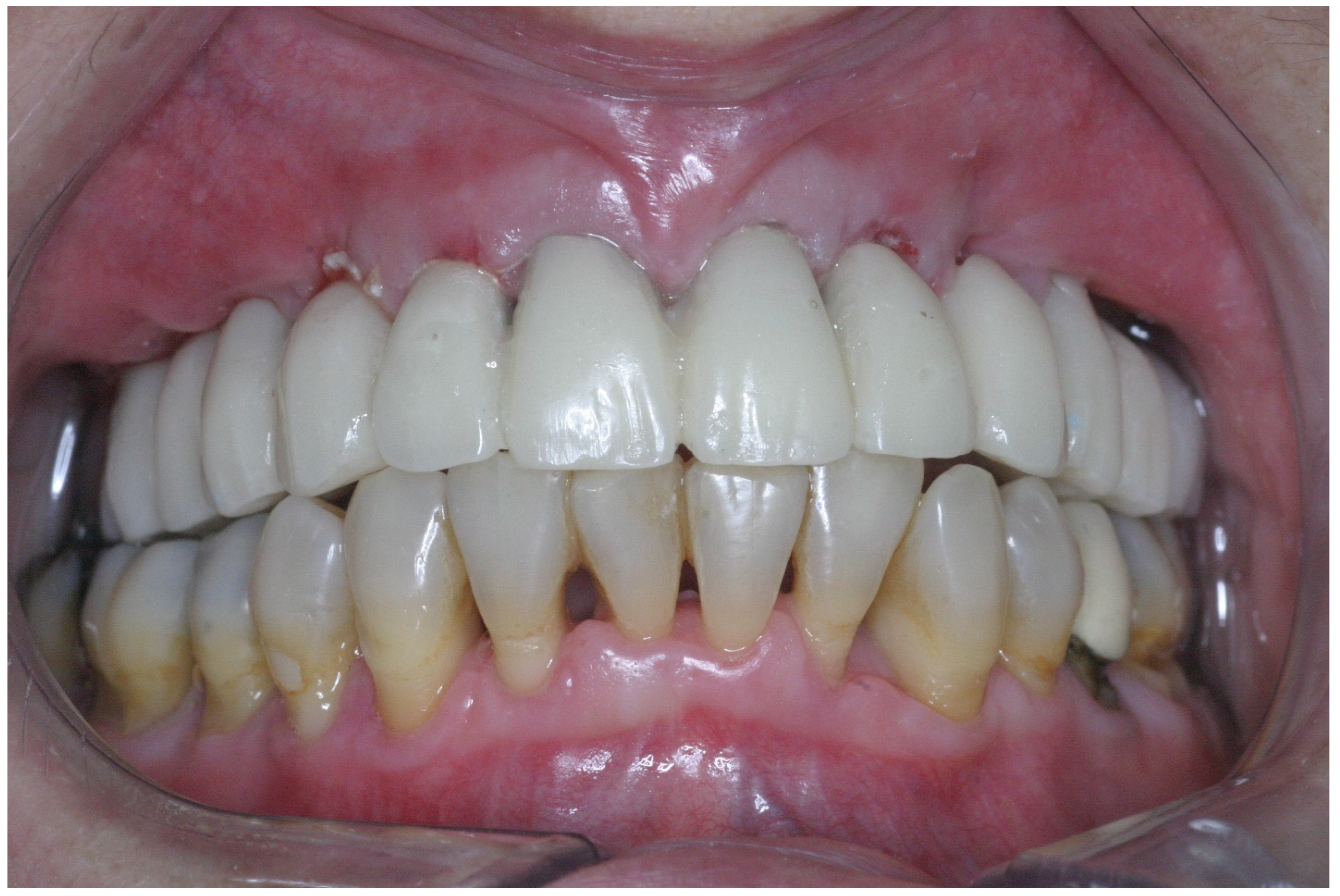
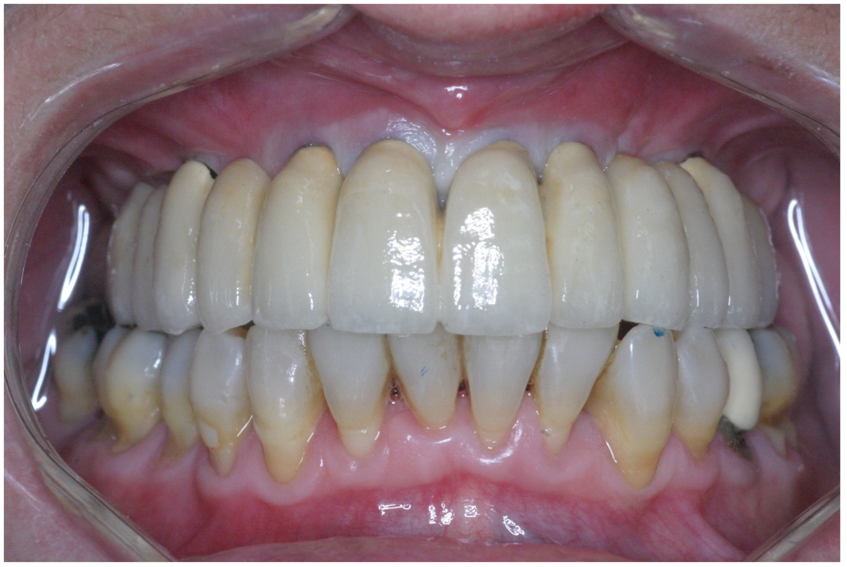
2.3. Prosthetic Protocol
Clinical Follow-Up Examination
2.4. Outcome Measurements
- -
- No pain;
- -
- Bone loss during the 1st year <1.5 mm;
- -
- Annual bone loss <0.2 mm thereafter;
- -
- No peri-implant radiolucency;
- -
- No implant mobility;
- -
- No signs of infection.
2.4.1. Implant-Related Complications
- -
- Peri-implant mucositis was defined as an inflammatory lesion of the mucosa surrounding the implant without loss of supporting bone. The clinical signs of inflammation were bleeding on probing (BOP), while additional symptoms may include erythema, swelling, and suppuration [25].
- -
- Peri-implantitis was defined as clinical signs of inflammation, including redness, edema, mucosal enlargement, BOP with or without suppuration along with increased PD (≥6 mm), and progressive radiographic bone loss ≥3 mm [26].
2.4.2. Prosthetic Complications
- Mechanical complications related to the loosening of abutments or decementation of the temporary or final bridge;
- Esthetic complications evaluated by the patient in terms of lip support and appearance of the artificial teeth;
- Functional complications, cheek and lip biting, and phonetic complaints.
2.4.3. Periodontal Parameters at the Last Recall Visit
- Plaque index (PI)—Using a disclosing solution, the plaque was measured at four sites per implant, and the percentage of visible plaque was calculated [22].
- Bleeding index (BI)—A yes/no reading of bleeding within 10 s after probing at four sites for each implant was done. The bleeding index was calculated per patient (total number of bleeding sites divided by the number of implants ×4).
- PD—The probing depth was measured to the nearest mm at four sites at the follow-up examinations. The mean implant probing was calculated and used for statistical analysis.
- Keratinized mucosal width (KMW) was measured with a probe to the nearest mm; PD, BI, and PI were measured at the mesial, distal, buccal, and palatal sides.
2.4.4. Radiographic Measurements
2.5. Statistical Analysis
3. Results
3.1. Demographic Data
3.2. Implant Survival and Success Rate
3.3. Complications
Biological Complications
3.4. Marginal Bone Loss
3.5. Periodontal Parameters
4. Discussion
Limitations of This Study Are
- Only patients who had been followed for 5 years were included, and the number of patients was therefore limited;
- Longer follow-ups are warranted, since biological complications are time-dependent;
- The present study was retrospective and covered all consecutive patients treated with the all-on-four–six protocols by a single periodontist; thus, no power was calculated. Nevertheless, a recent systematic review included all studies with a minimum of 20 patients [15].
- A 25-year experienced periodontist performed the surgeries;
- The treatment protocol was performed according to the state-of-the-art knowledge, as mandibular teeth were without active periodontal disease;
- All implants were placed in the maxilla, using the same implant system, bone substitutes, and resorbable membrane in highly compliant patients.
5. Conclusions
Author Contributions
Funding
Institutional Review Board Statement
Informed Consent Statement
Data Availability Statement
Acknowledgments
Conflicts of Interest
Abbreviations
| MBL | Marginal bone loss |
| TI | Tilted implant |
| KMW | Keratinized mucosal width |
| CBCT | Cone-beam computed tomography |
| FDBA | Freeze-dried bone allograft |
| SPT | Supporting periodontal treatment |
| RL | Reference level |
| FCDP | Fixed complete denture prosthesis |
References
- Wallace, S.S.; Froum, S.J. Effect of maxillary sinus augmentation on the survival of endosseous dental implants. A systematic review. Ann. Periodontol. 2003, 8, 328–343. [Google Scholar] [CrossRef] [PubMed] [Green Version]
- Peleg, M.; Mazor, Z.; Chaushu, G.; Garg, A.K. Sinus floor augmentation with simultaneous implant placement in the severely atrophic maxilla. J. Periodontol. 1998, 69, 1397–1403. [Google Scholar] [CrossRef] [PubMed]
- Barnea, E.; Tal, H.; Nissan, J.; Tarrasch, R.; Peleg, M.; Kolerman, R. The Use of Tilted Implant for Posterior Atrophic Maxilla. Clin. Implant Dent. Relat. Res. 2016, 18, 788–800. [Google Scholar] [CrossRef] [PubMed]
- Krekmanov, L. Placement of posterior mandibular and maxillary implants in patients with severe bone deficiency: A clinical report of the procedure. Int. J. Oral Maxillofac. Implant. 2000, 15, 722–730. [Google Scholar]
- Aparicio, C.; Perales, P.; Rangert, B. Tilted implants as an alternative to maxillary sinus grafting: A clinical, radiologic, and periotest study. Clin. Implant Dent. Relat. Res. 2001, 3, 39–49. [Google Scholar] [CrossRef]
- Saab, X.E.; Griggs, J.A.; Powers, J.M.; Engelmeier, R.L. Effect of abutment angulation on the strain on the bone around an implant in the anterior maxilla: A finite element study. J. Prosthet. Dent. 2007, 97, 85–92. [Google Scholar] [CrossRef]
- Brosh, T.; Pilo, R.; Sudai, D. The influence of abutment angulation on strains and stresses along the implant/bone interface: Comparison between two experimental techniques. J. Prosthet. Dent. 1998, 79, 328–334. [Google Scholar] [CrossRef]
- Kolerman, R.; Tal, H.; Calvo Guiardo, J.L.; Barnea, E.; Chaushu, L.; Abu Wasel, M.; Nissan, J. Aesthetics and survival of immediately restored implants in partially edentulous anterior maxillary patients. Appl. Sci. 2018, 8, 377. [Google Scholar] [CrossRef] [Green Version]
- Kolerman, R.; Nissan, J.; Rahmanov, A.; Zenziper, E.; Slutzky, S.; Tal, H. Radiological and Biological Assessment of Immediately Restored Anterior Maxillary Implants Combined with GBR and Free Connective Tissue Graft. Clin. Implant Dent. Relat. Res. 2016, 18, 1142–1152. [Google Scholar] [CrossRef]
- Barbier, L.; Abeloos, J.; De Clercq, C.; Jacobs, R. Peri-implant bone changes following tooth extraction, immediate placement and loading of implants in the edentulous maxilla. Clin. Oral Investig. 2012, 16, 1061–1070. [Google Scholar] [CrossRef]
- Lopes, A.; Maló, P.; de Araújo Nobre, M.; Sánchez-Fernández, E.; Gravito, I. The NobelGuide® All-on-4® Treatment Concept for Rehabilitation of Edentulous Jaws: A Retrospective Report on the 7-Years Clinical and 5-Years Radiographic Outcomes. Clin. Implant Dent. Relat. Res. 2017, 19, 233–244. [Google Scholar] [CrossRef] [PubMed]
- Maló, P.; de Araújo Nobre, M.; Lopes, A.; Ferro, A.; Gravito, I. Complete Edentulous Rehabilitation Using an Immediate Function Protocol and an Implant Design Featuring a Straight Body, Anodically Oxidized Surface, and Narrow Tip with Engaging Threads Extending to the Apex of the Implant: A 5-year Retrospective Clinical Study. Int. J. Oral Maxillofac. Implant. 2016, 31, 153–161. [Google Scholar]
- Patzelt, S.B.; Bahat, O.; Reynolds, M.A.; Strub, J.R. The all-on-four treatment concept: A systematic review. Clin. Implant Dent. Relat. Res. 2014, 16, 836–855. [Google Scholar] [CrossRef] [PubMed]
- Soto-Penaloza, D.; Zaragozí-Alonso, R.; Penarrocha-Diago, M.; Penarrocha-Diago, M. The all-on-four treatment concept: Systematic review. J. Clin. Exp. Dent. 2017, 9, e474–e488. [Google Scholar] [CrossRef] [Green Version]
- Gonçalves, G.S.Y.; de Magalhães, K.M.F.; Rocha, E.P.; Dos Santos, P.H.; Assunção, W.G. Oral health-related quality of life and satisfaction in edentulous patients rehabilitated with implant-supported full dentures all-on-four concept: A systematic review. Clin. Oral Investig. 2022, 26, 83–94. [Google Scholar] [CrossRef]
- Corbella, S.; Del Fabbro, M.; Taschieri, S.; De Siena, F.; Francetti, L. Clinical evaluation of an implant maintenance protocol for the prevention of peri-implant diseases in patients treated with immediately loaded full-arch rehabilitations. Int. J. Dent. Hyg. 2011, 9, 216–222. [Google Scholar] [CrossRef]
- Chrcanovic, B.R.; Albrektsson, T.; Wennerberg, A. Periodontally compromised vs. periodontally healthy patients and dental implants: A systematic review and meta-analysis. J. Dent. 2014, 42, 1509–1527. [Google Scholar] [CrossRef]
- Safii, S.H.; Palmer, R.M.; Wilson, R.F. Risk of implant failure and marginal bone loss in subjects with a history of periodontitis: A systematic review and meta-analysis. Clin. Implant Dent. Relat. Res. 2010, 12, 165–174. [Google Scholar] [CrossRef]
- Sgolastra, F.; Petrucci, A.; Severino, M.; Gatto, R.; Monaco, A. Periodontitis, implant loss and peri-implantitis. A meta-analysis. Clin. Oral Implant. Res. 2015, 26, e8–e16. [Google Scholar] [CrossRef]
- Li, S.; Di, P.; Zhang, Y.; Lin, Y. Immediate implant and rehabilitation based on All-on-4 concept in patients with generalized aggressive periodontitis: A medium-term prospective study. Clin. Implant Dent. Relat. Res. 2017, 19, 559–571. [Google Scholar] [CrossRef]
- Tonetti, M.S.; Greenwell, H.; Kornman, K.S. Staging and grading of periodontitis: Framework and proposal of a new classification and case definition. J. Periodontol. 2018, 89 (Suppl. S1), S159–S172. [Google Scholar] [CrossRef] [PubMed] [Green Version]
- O’Leary, T.J.; Drake, R.B.; Naylor, J.E. The plaque control record. J. Periodontol. 1972, 43, 38. [Google Scholar] [CrossRef] [PubMed]
- Sheridan, R.A.; Decker, A.M.; Plonka, A.B.; Wang, H.L. The Role of Occlusion in Implant Therapy: A Comprehensive Updated Review. Implant Dent. 2016, 25, 829–838. [Google Scholar] [CrossRef] [PubMed]
- Albrektsson, T.; Zarb, G.; Worthington, P.; Eriksson, A.R. The long-term efficacy of currently used dental implants: A review and proposed criteria of success. Int. J. Oral Maxillofac. Implant. 1986, 1, 11–25. [Google Scholar]
- Heitz-Mayfield, L.J.A.; Salvi, G.E. Peri-implant mucositis. J. Periodontol. 2018, 89 (Suppl. S1), S257–S266. [Google Scholar] [CrossRef] [Green Version]
- Schwarz, F.; Derks, J.; Monje, A.; Wang, H.L. Peri-implantitis. J. Periodontol. 2018, 89 (Suppl. S1), S267–S290. [Google Scholar] [CrossRef]
- Lin, W.S.; Eckert, S.E. Clinical performance of intentionally tilted implants versus axially positioned implants: A systematic review. Clin. Oral Implant. Res. 2018, 29 (Suppl. S16), 78–105. [Google Scholar] [CrossRef]
- Meloni, S.M.; Tallarico, M.; Pisano, M.; Xhanari, E.; Canullo, L. Immediate Loading of Fixed Complete Denture Prosthesis Supported by 4–8 Implants Placed Using Guided Surgery: A 5-Year Prospective Study on 66 Patients with 356 Implants. Clin. Implant Dent. Relat. Res. 2017, 19, 195–206. [Google Scholar] [CrossRef]
- Tallarico, M.; Meloni, S.M.; Canullo, L.; Caneva, M.; Polizzi, G. Five-Year Results of a Randomized Controlled Trial Comparing Patients Rehabilitated with Immediately Loaded Maxillary Cross-Arch Fixed Dental Prosthesis Supported by Four or Six Implants Placed Using Guided Surgery. Clin. Implant Dent. Relat. Res. 2016, 18, 965–972. [Google Scholar] [CrossRef]
- Wittneben, J.G.; Joda, T.; Weber, H.P.; Brägger, U. Screw retained vs. cement retained implant-supported fixed dental prosthesis. Periodontolgy 2000 2017, 73, 141–151. [Google Scholar] [CrossRef]
- Linkevicius, T.; Vindasiute, E.; Puisys, A.; Linkeviciene, L.; Maslova, N.; Purinene, A. The influence of the cementation margin position on the amount of undetected cement. A prospective clinical study. Clin. Oral Implant. Res. 2013, 24, 71–76. [Google Scholar] [CrossRef] [PubMed]
- Agnini, A.; Agnini, A.M.; Romeo, D.; Chiesi, M.; Pariente, L.; Stappert, C.F. Clinical investigation on axial versus tilted implants for immediate fixed rehabilitation of edentulous arches: Preliminary results of a single cohort study. Clin. Implant Dent. Relat. Res. 2014, 16, 527–539. [Google Scholar] [CrossRef] [PubMed]
- Casar-Espinosa, J.C.; Castillo-Oyagüe, R.; Serrera-Figallo, M.; Garrido-Serrano, R.; Lynch, C.D.; Menéndez-Collar, M.; Torres-Lagares, D.; Gutiérrez-Pérez, J.L. Combination of straight and tilted implants for supporting screw-retained dental prostheses in atrophic posterior maxillae: A 2-year prospective study. Dent. J. 2017, 63, 85–93. [Google Scholar] [CrossRef] [PubMed]
- Roccuzzo, M.; De Angelis, N.; Bonino, L.; Aglietta, M. Ten-year results of a three-arm prospective cohort study on implants in periodontally compromised patients. Part 1: Implant loss and radiographic bone loss. Clin. Oral Implant. Res. 2010, 21, 490–496. [Google Scholar] [CrossRef]
- Weber, H.P.; Sukotjo, C. Does the type of implant prosthesis affect outcomes in the partially edentulous patient? Int. J. Oral Maxillofac. Implant. 2007, 22, 140–172. [Google Scholar]
- Kolerman, R.; Mijiritsky, E.; Barnea, E.; Dabaja, A.; Nissan, J.; Tal, H. Esthetic Assessment of Implants Placed into Fresh Extraction Sockets for Single-Tooth Replacements Using a Flapless Approach. Clin. Implant Dent. Relat. Res. 2017, 19, 351–364. [Google Scholar] [CrossRef]
- Simion, M.; Dahlin, C.; Trisi, P.; Piattelli, A. Qualitative and quantitative comparative study on different filling materials used in bone tissue regeneration: A controlled clinical study. Int. J. Periodontics Restor. Dent. 1994, 14, 198–215. [Google Scholar] [CrossRef]
- Barone, A.; Ricci, M.; Calvo-Guirado, J.L.; Covani, U. Bone remodelling after regenerative procedures around implants placed in fresh extraction sockets: An experimental study in Beagle dogs. Clin. Oral Implant. Res. 2011, 22, 1131–1137. [Google Scholar] [CrossRef]
- Simon, B.I.; Von Hagen, S.; Deasy, M.J.; Faldu, M.; Resnansky, D. Changes in alveolar bone height and width following ridge augmentation using bone graft and membranes. J. Periodontol. 2000, 71, 1774–1791. [Google Scholar] [CrossRef]
- Kolerman, R.; Nissan, J.; Tal, H. Combined osteotome-induced ridge expansion and guided bone regeneration simultaneous with implant placement: A biometric study. Clin. Implant Dent. Relat. Res. 2014, 16, 691–704. [Google Scholar] [CrossRef]
- Freitas da Silva, E.V.; Dos Santos, D.M.; Sonego, M.V.; de Luna Gomes, J.M.; Pellizzer, E.P.; Goiato, M.C. Does the Presence of a Cantilever Influence the Survival and Success of Partial Implant-Supported Dental Prostheses? Systematic Review and Meta-Analysis. Int. J. Oral Maxillofac. Implant. 2018, 33, 815–823. [Google Scholar] [CrossRef] [PubMed]
- Camargo, B.A.; Drummond, L.G.; Ozkomur, A.; Villarinho, E.A.; Rockenbach, M.I.B.; Teixeira, E.R.; Shinkai, R.S. Implant Inclination and Cantilever Length Are Not Associated with Bone Loss in Fixed Complete Dentures: A Prospective Study. Int. J. Prosthodont. 2019, 32, 17–19. [Google Scholar] [CrossRef] [PubMed]











| Patient No. | Smoking | Position of Axial Implants | Position of Tilted Implants | Cantilever | Failure |
|---|---|---|---|---|---|
| 1 | no | 14,12,21,23 | 15,25 | 16,26 | none |
| 2 | no | 13,11,21,23 | 16,26 | 17,27 | none |
| 3 | yes | 12,11,21,22 | 15,25 | 16,26 | none |
| 4 | yes | 14,11,21,24 | 16,25 | 26 | none |
| 5 | yes | 14,12,21,23 | 15,25 | 16,26 | none |
| 6 | no | 14,12,22,24 | 16,26 | 17 | none |
| 7 | no | 14,12,22,24 | 16,26 | 17,27 | 26, 5 years |
| 8 | no | 14,12,22,24 | 16,26 | none | none |
| 9 | no | 14,12,22,24 | 16,26 | 17,27 | none |
| 10 | no | 13,11,21,23 | 15,25 | 16,26 | none |
| 11 | no | 14,12,22,24 | 16,26 | 17,27 | none |
| 12 | yes | 14,12,22,24 | 16,26 | none | none |
| 13 | yes | 14,12,22,24 | 16,26 | none | none |
| 14 | yes | 14,12,22,24 | 16,26 | 17 | none |
| 15 | no | 14,11,22,24 | 16,26 | 17,27 | none |
| 16 | no | 12,22 | 14,24 | 15,16,25,26 | none |
| 17 | no | 12,22 | 14,24 | 15,16,25,26 | none |
| 18 | yes | 12,22 | 15,25 | 16,17,26 | none |
| 19 | no | 14,12,24 | 16,26 | 17,27 | none |
| 20 | no | 13,12,22,23 | 15,24 | 16,25,26 | none |
| 21 | no | 12,22,24 | 14,26 | 15,16 | none |
| 22 | yes | 14,12,22,24 | 15,25 | 16,26 | none |
| 23 | no | 13,11,21,23 | 15,25 | 16,26 | none |
| Implant Diameter | Implant Length | ||||
|---|---|---|---|---|---|
| Implant System | (mm) | 11.5 | 13 | 16 | Total |
| MIS Lance | 3.3 | 3 | 6 | 9 | |
| 3.75 | 3 | 15 | 46 | 64 | |
| 4.2 | 1 | 9 | 24 | 34 | |
| 5 | 3 | 2 | 5 | ||
| MIS Seven | 3.3 | 3 | 10 | 13 | |
| 3.75 | 3 | 3 | |||
| 4.2 | 2 | 2 | |||
| Total | 4 | 33 | 93 | 130 | |
| Treatment Time | Preliminary Visits | Baseline Visit | 24–72 h | 6.5–7 Months | Follow-Up 1,3,5 Years |
|---|---|---|---|---|---|
| Screen | x | ||||
| Admission criteria | x | ||||
| Informed consent | x | ||||
| Demographics | x | ||||
| Medical history | x | ||||
| Periapical parallel X-ray | x | x | x | x | x |
| Cone-beam tomography | x | ||||
| Periodontal examination | x | x | |||
| Periodontal treatment—mandible | x | x | x | ||
| Surgery: extractions, implants, bone augmentation, impressions | x | ||||
| Reinforced acrylic temporary bridge delivery | x | ||||
| Final porcelain fused to metal bridge delivery | x | ||||
| Supportive periodontal treatment | x | x | x | ||
| Adverse/complications events | x | x | x | x |
| Mechanical complications | Number of patients | Occurrence rate |
| Provisional bridge loosening | 8 | 34.7% |
| Abutment screw loosening | 6 | 26.0% |
| Final bridge decementation | 9 | 39.1% |
| Functional complications | Number of patients | Occurrence rate |
| Phonetic problem | 5 | 21.7% |
| Crown height complaint | 2 | 8.7% |
| Lip or cheek biting | 2 | 8.7% |
| Biological complications | Number of implants | Occurrence rate |
| Peri-implantitis | ||
| Total | 7 | 5.4% |
| Straight | 5 | 5.8% |
| Tilted | 2 | 4.4% |
| Subject base | 3 | 13% |
| Peri-implant mucositis | Number of implants | Occurrence rate |
| Straight | 25 | 29.4% |
| Tilted | 10 | 22.2% |
| Subject base | 10 | 43.4% |
| Failure | ||
| Tilted | 1 | 0.8% |
| Mesial Aspect | Distal Aspect | ||||
|---|---|---|---|---|---|
| Parameter (No. of Implants) | Mean | ±SD | Mean | ±SD | |
| Implant angle | <15° (85) | 0.08 | 0.13 | 0.12 | 0.20 |
| ≥15° (44) | 0.07 | 0.14 | 0.07 | 0.12 | |
| p | 0.63 | 0.08 | |||
| Implant position | 1 (13) | 0.07 | 0.13 | 0.20 | 0.30 |
| 2 (34) | 0.07 | 0.11 | 0.07 | 0.12 | |
| 3 (10) | 0.15 | 0.18 | 0.17 | 0.21 | |
| 4 (33) | 0.09 | 0.14 | 0.12 | 0.20 | |
| 5 (16) | 0.08 | 0.15 | 0.11 | 0.17 | |
| 6 (23) | 0.07 | 0.14 | 0.04 | 0.08 | |
| p | 0.64 | 0.21 | |||
| Smoking | no (85) | 0.11 | 0.15 | 0.14 | 0.21 |
| yes (46) | 0.04 | 0.08 | 0.04 | 0.09 | |
| p | 0.08 | 0.10 | |||
| KTW | <2 mm (15) | 0.14 | 0.17 | 0.17 | 0.22 |
| ≥2 mm (114) | 0.07 | 0.13 | 0.09 | 0.17 | |
| p | 0.03 | 0.10 | |||
| Cantilever | without (6) | 0.01 | 0.03 | 0.00 | 0.00 |
| with one pontic (28) | 0.10 | 0.16 | 0.09 | 0.15 | |
| with two pontics (7) | 0.07 | 0.13 | 0.07 | 0.12 | |
| p | 0.50 | 0.17 | |||
Publisher’s Note: MDPI stays neutral with regard to jurisdictional claims in published maps and institutional affiliations. |
© 2022 by the authors. Licensee MDPI, Basel, Switzerland. This article is an open access article distributed under the terms and conditions of the Creative Commons Attribution (CC BY) license (https://creativecommons.org/licenses/by/4.0/).
Share and Cite
Slutzkey, G.S.; Cohen, O.; Chaushu, L.; Rahmanov, A.; Mijiritsky, E.; Beitlitum, I.; Kolerman, R. Immediate Maxillary Full-Arch Rehabilitation of Periodontal Patients with Terminal Dentition Using Tilted Implants and Bone Augmentation: A 5-Year Retrospective Cohort Study. J. Clin. Med. 2022, 11, 2902. https://doi.org/10.3390/jcm11102902
Slutzkey GS, Cohen O, Chaushu L, Rahmanov A, Mijiritsky E, Beitlitum I, Kolerman R. Immediate Maxillary Full-Arch Rehabilitation of Periodontal Patients with Terminal Dentition Using Tilted Implants and Bone Augmentation: A 5-Year Retrospective Cohort Study. Journal of Clinical Medicine. 2022; 11(10):2902. https://doi.org/10.3390/jcm11102902
Chicago/Turabian StyleSlutzkey, Gil S., Omer Cohen, Liat Chaushu, Arkadi Rahmanov, Eitan Mijiritsky, Ilan Beitlitum, and Roni Kolerman. 2022. "Immediate Maxillary Full-Arch Rehabilitation of Periodontal Patients with Terminal Dentition Using Tilted Implants and Bone Augmentation: A 5-Year Retrospective Cohort Study" Journal of Clinical Medicine 11, no. 10: 2902. https://doi.org/10.3390/jcm11102902
APA StyleSlutzkey, G. S., Cohen, O., Chaushu, L., Rahmanov, A., Mijiritsky, E., Beitlitum, I., & Kolerman, R. (2022). Immediate Maxillary Full-Arch Rehabilitation of Periodontal Patients with Terminal Dentition Using Tilted Implants and Bone Augmentation: A 5-Year Retrospective Cohort Study. Journal of Clinical Medicine, 11(10), 2902. https://doi.org/10.3390/jcm11102902

