Polyphenols Investigation and In Vitro Antioxidant Capacity of Romanian Wild-Grown Geranium spp. (Geraniaceae)
Abstract
1. Introduction
2. Results
2.1. ABTS and DPPH IC50
2.2. FRAP Assay
2.3. TPC and TFC Assay
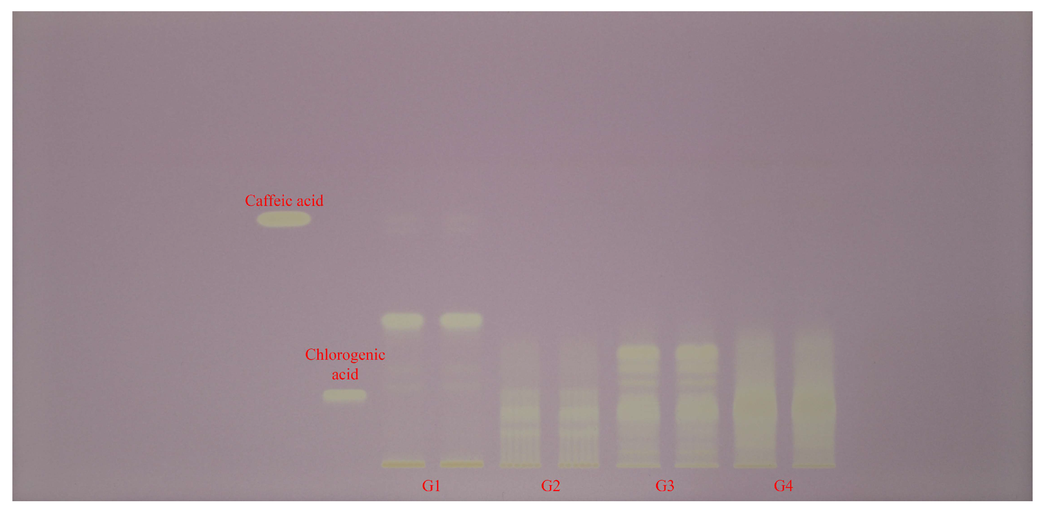
2.4. HPTLC Fingerprinting and Effect-Directed DPPH Assay
2.5. Phenolic Acids Profile (UHPLC/UV–MS Analysis)
2.6. Relationships Between Phenolic Profiles and Antioxidant Capacity
3. Discussion
3.1. Correlation Between TPC, TFC, and Antioxidant Capacity
3.2. Study Limitations
4. Materials and Methods
4.1. Plant Material
4.2. Chemicals and Reagents
4.3. Extraction Procedure
4.4. Standards Preparation
4.5. Antioxidant Capacity Assays
4.5.1. DPPH Antioxidant Assay
4.5.2. ABTS Antioxidant Assay
4.5.3. FRAP Antioxidant Assay
4.6. Total Polyphenols and Flavonoids
4.6.1. TPC Assay
4.6.2. TFC Assay
4.7. HPTLC Fingerprinting for Antioxidant Capacity
4.8. UHPLC Analysis of Phenolic Acids
4.9. Statistical Analysis
5. Conclusions
Author Contributions
Funding
Data Availability Statement
Acknowledgments
Conflicts of Interest
Abbreviations
| ABTS | 2,2′-Azino-bis(3-ethylbenzothiazoline-6-sulfonic acid) |
| AlCl3 | Aluminum chloride |
| ANOVA | Analysis of variance |
| DPPH | 2,2-Diphenyl-1-picrylhydrazyl |
| FeCl3 | Ferric chloride |
| FeSO4·7H2O | Ferrous sulfate heptahydrate |
| FRAP | Ferric-reducing antioxidant power |
| G1 | Geranium dissectum |
| G2 | Geranium lucidum |
| G3 | Geranium pussilum |
| G4 | Geranium robertianum |
| GAE | Gallic acid equivalents |
| HCl | Hydrochloric acid |
| HPTLC | High-performance thin-layer chromatography |
| IC50 | Half-maximal inhibitory concentration |
| m/z | Mass-to-charge ratio |
| MS | Mass spectrometry |
| NP–PEG | Natural products–polyethylene glycol |
| PDA | Photodiode array |
| QE | Quercetin equivalents |
| Rf | Retention factor |
| RT | Room temperature |
| SD | Standard deviation |
| TFC | Total flavonoid content |
| TPC | Total phenolic content |
| TPTZ | 2,4,6-Tris(2-pyridyl)-1,3,5-triazine |
| tR | Retention time |
| UHPLC | Ultra-high-performance liquid chromatography |
| UV | Ultraviolet |
References
- Fiz, O.; Vargas, P.; Alarcón, M.; Aedo, C.; García, J.L.; Aldasoro, J.J. Phylogeny and Historical Biogeography of Geraniaceae in Relation to Climate Changes and Pollination Ecology. Syst. Bot. 2008, 33, 326–342. [Google Scholar] [CrossRef]
- Graça, V.C.; Ferreira, I.C.F.R.; Santos, P.F. Bioactivity of the Geranium Genus: A Comprehensive Review. Curr. Pharm. Des. 2020, 26, 1838–1865. [Google Scholar] [CrossRef]
- Alshehri, B. The Geranium genus: A comprehensive study on ethnomedicinal uses, phytochemical compounds, and pharmacological importance. Saudi J. Biol. Sci. 2024, 31, 103940. [Google Scholar] [CrossRef]
- Tutin, T.G.; Heywood, V.H.; Burges, N.A.; Moore, D.M.; Valentine, D.H.; Walters, S.M.; Webb, D.A. (Eds.) Flora Europaea. In Rosaceae to Umbelliferae, 1st ed.; Cambridge University Press: Cambridge, UK, 1968; Volume 2, pp. 193–204. [Google Scholar]
- Săvulescu, T. (Ed.) Flora Reipublicae Popularis Romanicae, 1st ed.; Romanian Academy Publishing House: Bucharest, Romania, 1958; Volume VI, pp. 116–163. (In Romanian) [Google Scholar]
- Ciocârlan, V. Flora Ilustrată a României: Pteridophyta et Spermatophyta, 3rd ed.; Ceres Publishing House: Bucharest, Romania, 2009; pp. 449–454. (In Romanian) [Google Scholar]
- Graça, V.C.; Ferreira, I.C.F.R.; Santos, P.F. Phytochemical composition and biological activities of Geranium robertianum L.: A review. Ind. Crops Prod. 2016, 87, 363–378. [Google Scholar] [CrossRef]
- Graça, V.C.; Barros, L.; Calhelha, R.C.; Dias, M.I.; Carvalho, A.M.; Santos-Buelga, C.; Santos, P.F.; Ferreira, I.C.F.R. Chemical characterization and bioactive properties of aqueous and organic extracts of Geranium robertianum L. Food Funct. 2016, 7, 3807–3814. [Google Scholar] [CrossRef] [PubMed]
- Graça, V.C.; Barros, L.; Calhelha, R.C.; Dias, M.I.; Carvalho, A.M.; Santos-Buelga, C.; Ferreira, I.C.F.R.; Santos, P.F. Chemical characterization and bioactive properties of Geranium molle L.: From the plant to the most active extract and its phytochemicals. Food Funct. 2016, 7, 2204–2212. [Google Scholar] [CrossRef] [PubMed]
- Şöhretoğlu, D.; Sakar, M.K.; Atasayar Sabuncuoğlu, S.; Özgüneş, H.; Sterner, O. Antioxidant galloylated flavonoids from Geranium tuberosum L. subsp. tuberosum. Turk. J. Chem. 2009, 33, 685–692. [Google Scholar] [CrossRef]
- Şöhretoğlu, D.; Sakar, M.K.; Atasayar Sabuncuoğlu, S.; Özgüneş, H.; Sterner, O. Polyphenolic Constituents and Antioxidant Potential of Geranium stepporum Davis. Rec. Nat. Prod. 2011, 5, 22–28. [Google Scholar]
- Kang, H.G.; Jo, B.G.; Lee, S.H.; Kim, T.Y.; Kim, S.N.; Yang, M.H. Inhibitory effects of compounds isolated from Geranium wilfordii on IL-4 production and β-hexosaminidase release in RBL-2H3 cells. Nat. Prod. Res. 2024, 39, 5318–5323. [Google Scholar] [CrossRef]
- Haj Ali, D.; Dărăban, A.M.; Ungureanu, D.; Căta, A.; Ienaşcu, I.M.C.; Dinu, S.; Dehelean, C.A.; Danciu, C. An Up-to-Date Review Regarding the Biological Activity of Geranium robertianum L. Plants 2025, 14, 918. [Google Scholar] [CrossRef]
- Ilić, M.D.; Marčetić, M.D.; Zlatković, B.K.; Lakušić, B.S.; Kovačević, N.N.; Drobac, M.M. Chemical Composition of Volatiles of Eight Geranium L. Species from Vlasina Plateau (South Eastern Serbia). Chem. Biodivers. 2020, 17, e1900544. [Google Scholar] [CrossRef]
- Renda, G.; Celik, G.; Korkmaz, B.; Karaoglu, S.A.; Yayli, N. Antimicrobial Activity and Analyses of Six Geranium L. Species with Headspace SPME and Hydrodistillation. J. Essent. Oil Bear. Plants 2016, 19, 2003–2016. [Google Scholar] [CrossRef]
- Gębarowska, E.; Politowicz, J.; Szumny, A. Chemical composition and antimicrobial activity of Geranium robertianum L. essential oil. Acta Pol. Pharm. 2017, 74, 699–705. [Google Scholar]
- Radulović, N.; Dekić, M.; Stojanović-Radić, Z. Chemical composition and antimicrobial activity of the volatile oils of Geranium sanguineum L. and G. robertianum L. (Geraniaceae). Med. Chem. Res. 2012, 21, 601–615. [Google Scholar] [CrossRef]
- Radulović, N.; Dekić, M.; Stojanović Radić, Z.; Palić, R. Chemical composition and antimicrobial activity of the essential oils of Geranium columbinum L. and G. lucidum L. (Geraniaceae). Turk. J. Chem. 2011, 35, 499–512. [Google Scholar] [CrossRef]
- Radulović, N.S.; Dekić, M.S.; Stojanović-Radić, Z.Z.; Zoranić, S.K. Geranium macrorrhizum L. (Geraniaceae) essential oil: A potent agent against Bacillus subtilis. Chem. Biodivers. 2010, 7, 2783–2800. [Google Scholar] [CrossRef] [PubMed]
- Georgiev, Y.N.; Dzhambazov, B.M.; Batsalova, T.G.; Vasicek, O.; Dobreva, L.I.; Denev, P.N.; Danova, S.T.; Simova, S.D.; Wold, C.W.; Ognyanov, M.H.; et al. Structural characterization of polysaccharides from Geranium sanguineum L. and their immunomodulatory effects in response to inflammatory agents. J. Ethnopharmacol. 2022, 294, 115390. [Google Scholar] [CrossRef] [PubMed]
- Feng, J.-Y.; Xie, Y.-Q.; Zhang, P.; Zhou, Q.; Khan, A.; Zhou, Z.-H.; Xia, X.-S.; Liu, L. Hepatoprotective Polysaccharides from Geranium wilfordii: Purification, Structural Characterization, and Their Mechanism. Molecules 2022, 27, 3602. [Google Scholar] [CrossRef]
- Neagu, E.; Paun, G.; Constantin, D.; Radu, G.L. Cytostatic activity of Geranium robertianum L. extracts processed by membrane procedures. Arab. J. Chem. 2017, 10, S2547–S2553. [Google Scholar] [CrossRef]
- Arslan, M.E.; Yılmaz, A. Neuroprotective effects of Geranium robertianum L. aqueous extract on the cellular Parkinson’s disease model. Eur. Rev. Med. Pharmacol. Sci. 2023, 27, 570–579. [Google Scholar] [CrossRef]
- Pineda-Ramírez, N.; Calzada, F.; Alquisiras-Burgos, I.; Medina-Campos, O.N.; Pedraza-Chaverri, J.; Ortiz-Plata, A.; Pinzón Estrada, E.; Torres, I.; Aguilera, P. Antioxidant Properties and Protective Effects of Some Species of the Annonaceae, Lamiaceae, and Geraniaceae Families against Neuronal Damage Induced by Excitotoxicity and Cerebral Ischemia. Antioxidants 2020, 9, 253. [Google Scholar] [CrossRef]
- Shen, Y.; Teng, L.; Qu, Y.; Liu, J.; Zhu, X.; Chen, S.; Yang, L.; Huang, Y.; Song, Q.; Fu, Q. Anti-proliferation and anti-inflammation effects of corilagin in rheumatoid arthritis by downregulating NF-κB and MAPK signaling pathways. J. Ethnopharmacol. 2022, 284, 114791. [Google Scholar] [CrossRef] [PubMed]
- Şöhretoğlu, D.; Genç, Y.; Harput, Ş. Comparative Evaluation of Phenolic Profile, Antioxidative and Cytotoxic Activities of Different Geranium Species. Iran. J. Pharm. Res. 2017, 16, 178–187. [Google Scholar] [PubMed]
- Mehmood, F.; Hassan, F.; Sarfraz, R.; Khadim, Z.; Alamer, K.H.; Attia, H.; Saleh, M.A.; Al-Robai, S.A.; Zaman, Q.U.; Iftikhar, Z. Phytochemical screening, antibacterial, antioxidant, and cytotoxic activities of Geranium pusillum leaves. Microsc. Res. Tech. 2024, 87, 2171–2185. [Google Scholar] [CrossRef] [PubMed]
- Stanković, M.M.; Ristivojević, P.M.; Ivković, Đ.D.; Milutinović, M.G.; Terzić, J.N.; Stefanović, O.D. A comprehensive study on Geranium robertianum L. antibacterial potential. J. Appl. Microbiol. 2024, 135, lxae106. [Google Scholar] [CrossRef]
- Romero-Benavides, J.C.; Añazco-Loayza, T.; Correa-Sinche, A.; Alvarez-Ruiz, A.; Guamán-Ortiz, L.M.; Duarte-Casar, R.; Bailon-Moscoso, N. Phytochemical Study, Cytotoxicity, and Genotoxicity of the Methanolic Extract of Geranium diffusum Kunth. Plants 2025, 14, 777. [Google Scholar] [CrossRef]
- Świątek, Ł.; Wasilewska, I.; Boguszewska, A.; Grzegorczyk, A.; Rezmer, J.; Rajtar, B.; Polz-Dacewicz, M.; Sieniawska, E. Herb Robert’s Gift against Human Diseases: Anticancer and Antimicrobial Activity of Geranium robertianum L. Pharmaceutics 2023, 15, 1561. [Google Scholar] [CrossRef]
- Catarino, M.D.; Silva, A.M.S.; Cruz, M.T.; Cardoso, S.M. Antioxidant and anti-inflammatory activities of Geranium robertianum L. decoctions. Food Funct. 2017, 8, 3355–3365. [Google Scholar] [CrossRef]
- Nam, H.H.; Choo, B.K. Geranium koreanum, a medicinal plant Geranii Herba, ameliorate the gastric mucosal injury in gastritis-induced mice. J. Ethnopharmacol. 2021, 265, 113041. [Google Scholar] [CrossRef]
- Bawish, B.M.; Rabab, M.A.; Gohari, S.T.; Khattab, M.S.; AbdElkader, N.A.; Elsharkawy, S.H.; Ageez, A.M.; Zaki, M.M.; Kamel, S.; Ismail, E.M. Promising effect of Geranium robertianum L. leaves and Aloe vera gel powder on Aspirin-induced gastric ulcers in Wistar rats: Anxiolytic behavioural effect, antioxidant activity, and protective pathways. Inflammopharmacology 2023, 31, 3183–3201. [Google Scholar] [CrossRef]
- Li, Y.; Ye, Y.; Wang, S.-J.; Xia, W.; Rahman, K.; Yue, W.; Zhang, H. Analgesic, anti-inflammatory and antipyretic activities of the aqueous extract of Geranium carolinianum L. Afr. J. Tradit. Complement. Altern. Med. 2016, 13, 105–113. [Google Scholar] [CrossRef]
- Sokmen, M.; Angelova, M.; Krumova, E.; Pashova, S.; Ivancheva, S.; Sokmen, A.; Serkedjieva, J. In vitro antioxidant activity of polyphenol extracts with antiviral properties from Geranium sanguineum L. Life Sci. 2005, 76, 2981–2993. [Google Scholar] [CrossRef] [PubMed]
- Nikolova, M.; Tsvetkova, R.; Ivancheva, S. Evaluation of antioxidant activity in some Geraniacean species. Bot. Serb. 2010, 34, 123–125. [Google Scholar]
- Sim, M.-O.; Jang, J.-H.; Lee, H.-E.; Jung, H.-K.; Cho, H.-W. Antioxidant effects of Geranium nepalense ethanol extract on H2O2-induced cytotoxicity in H9c2, SH-SY5Y, BEAS-2B, and HEK293. Food Sci. Biotechnol. 2017, 26, 1045–1053. [Google Scholar] [CrossRef] [PubMed]
- Liu, Y.; Mei, S.; Xiao, A.; Liu, L. Xanthine Oxidase Inhibitors Screening, Antioxidation, and DNA Protection Properties of Geranium wilfordii Maxim. eFood 2020, 1, 147–155. [Google Scholar] [CrossRef]
- Vargas-Mendoza, N.; Vázquez-Velasco, M.; González-Torres, L.; Benedí, J.; Sánchez-Muniz, F.J.; Morales-González, J.A.; Jaramillo-Morales, O.A.; Valadez-Vega, C.; Bautista, M. Effect of Extract and Ellagic Acid from Geranium schiedeanum on the Antioxidant Defense System in An Induced-Necrosis Model. Antioxidants 2018, 7, 178. [Google Scholar] [CrossRef]
- Numonov, S.; Edirs, S.; Bobakulov, K.; Qureshi, M.N.; Bozorov, K.; Sharopov, F.; Setzer, W.N.; Zhao, H.; Habasi, M.; Sharofova, M.; et al. Evaluation of the Antidiabetic Activity and Chemical Composition of Geranium collinum Root Extracts—Computational and Experimental Investigations. Molecules 2017, 22, 983. [Google Scholar] [CrossRef]
- Choi, J.-G.; Kim, Y.S.; Kim, J.H.; Chung, H.-S. Antiviral activity of ethanol extract of Geranii Herba and its components against influenza viruses via neuraminidase inhibition. Sci. Rep. 2019, 9, 12132. [Google Scholar] [CrossRef]
- Abarova, S.; Alexova, R.; Dragomanova, S.; Solak, A.; Fagone, P.; Mangano, K.; Petralia, M.C.; Nicoletti, F.; Kalfin, R.; Tancheva, L. Emerging Therapeutic Potential of Polyphenols from Geranium sanguineum L. in Viral Infections, Including SARS-CoV-2. Biomolecules 2024, 14, 130. [Google Scholar] [CrossRef]
- Zhang, H.; Li, Z.; Li, C.; Chen, R.; Liu, T.; Jiang, Y. Antiviral Effect of Polyphenolic Substances in Geranium wilfordii Maxim against HSV-2 Infection Using In Vitro and In Silico Approaches. Evid. Based Complement. Alternat. Med. 2022, 2022, 7953728. [Google Scholar] [CrossRef]
- Olalekan, B.J.; Robert, G.I.; Thozamile, M.W. The Anthelmintic and Antioxidant Activities of South African Geranium incanum. Int. J. Med. Plants Nat. Prod. 2015, 1, 35–43. [Google Scholar]
- Jun, H.; Han, J.-H.; Hong, M.; Fitriana, F.; Syahada, J.H.; Lee, W.-J.; Mazigo, E.; Louis, J.M.; Nguyen, V.-T.; Cha, S.H.; et al. Ellagic Acid from Geranium thunbergii and Antimalarial Activity of Korean Medicinal Plants. Molecules 2025, 30, 359. [Google Scholar] [CrossRef]
- Taşkın, T.; Taşkın, D. In vitro anti-urease, antioxidant activities and phytochemical composition of Geranium purpureum. J. Food Meas. Charact. 2017, 11, 2102–2109. [Google Scholar] [CrossRef]
- Tuominen, A.; Salminen, J.P. Hydrolyzable Tannins, Flavonol Glycosides, and Phenolic Acids Show Seasonal and Ontogenic Variation in Geranium sylvaticum. J. Agric. Food Chem. 2017, 65, 6387–6403. [Google Scholar] [CrossRef] [PubMed]
- Quilantang, N.G.; Choi, K.; Lee, B.-H.; Lee, S. Kaempferol Rhamnosides from Geranium sibiricum as Aldose Reductase Inhibitors and Their Content by HPLC Analysis. Processes 2020, 8, 694. [Google Scholar] [CrossRef]
- Şeker, M.E.; Ay, E.; Aktaş Karaçelik, A.; Hüseyinoğlu, R.; Efe, D. First determination of some phenolic compounds and antimicrobial activities of Geranium ibericum subsp. jubatum: A plant endemic to Turkey. Turk. J. Chem. 2021, 45, 60–70. [Google Scholar] [CrossRef]
- Świątek, Ł.; Sieniawska, E.; Sinan, K.I.; Maciejewska-Turska, M.; Boguszewska, A.; Polz-Dacewicz, M.; Senkardes, I.; Guler, G.O.; Bibi Sadeer, N.; Mahomoodally, M.F.; et al. LC-ESI-QTOF-MS/MS Analysis, Cytotoxic, Antiviral, Antioxidant, and Enzyme Inhibitory Properties of Four Extracts of Geranium pyrenaicum Burm. f.: A Good Gift from the Natural Treasure. Int. J. Mol. Sci. 2021, 22, 7621. [Google Scholar] [CrossRef]
- Özüpek, B.; Abaci Kaplan, N.; Nazlı Gok, H.; Kahraman, A.; Deliorman Orhan, D.; Şenol Deniz, F.S.; Orhan, I.E. Enzyme Inhibitory Activities and RP-HPLC Analysis of Geranium and Erodium Species. Chem. Biodivers. 2025, 22, e202401619. [Google Scholar] [CrossRef]
- Ilić, M.; Samardžić, S.; Kotur-Stevuljević, J.; Ušjak, D.; Milenković, M.; Kovačević, N.; Drobac, M. Polyphenol rich extracts of Geranium L. species as potential natural antioxidant and antimicrobial agents. Eur. Rev. Med. Pharmacol. Sci. 2021, 25, 6283–6294. [Google Scholar] [CrossRef]
- Rumpf, J.; Burger, R.; Schulze, M. Statistical evaluation of DPPH, ABTS, FRAP, and Folin-Ciocalteu assays to assess the antioxidant capacity of lignins. Int. J. Biol. Macromol. 2023, 233, 123470. [Google Scholar] [CrossRef]
- Ilyasov, I.R.; Beloborodov, V.L.; Selivanova, I.A.; Terekhov, R.P. ABTS/PP Decolorization Assay of Antioxidant Capacity Reaction Pathways. Int. J. Mol. Sci. 2020, 21, 1131. [Google Scholar] [CrossRef] [PubMed]
- Bibi Sadeer, N.; Montesano, D.; Albrizio, S.; Zengin, G.; Mahomoodally, M.F. The Versatility of Antioxidant Assays in Food Science and Safety—Chemistry, Applications, Strengths, and Limitations. Antioxidants 2020, 9, 709. [Google Scholar] [CrossRef] [PubMed]
- Dudonné, S.; Vitrac, X.; Coutière, P.; Woillez, M.; Mérillon, J.M. Comparative study of antioxidant properties and total phenolic content of 30 plant extracts of industrial interest using DPPH, ABTS, FRAP, SOD, and ORAC assays. J. Agric. Food Chem. 2009, 57, 1768–1774. [Google Scholar] [CrossRef] [PubMed]
- Chen, J.; Yang, J.; Ma, L.; Li, J.; Shahzad, N.; Kim, C.K. Structure-antioxidant activity relationship of methoxy, phenolic hydroxyl, and carboxylic acid groups of phenolic acids. Sci. Rep. 2020, 10, 2611. [Google Scholar] [CrossRef]
- Sembiring, E.N.; Elya, B.; Sauriasari, R. Phytochemical Screening, Total Flavonoid and Total Phenolic Content and Antioxidant Activity of Different Parts of Caesalpinia bonduc (L.) Roxb. Pharmacogn. J. 2018, 10, 123–127. [Google Scholar] [CrossRef]
- Bejenaru, C.; Segneanu, A.-E.; Bejenaru, L.E.; Biţă, A.; Radu, A.; Mogoşanu, G.D.; Ciocîlteu, M.V.; Manda, C.V. Phenolic Acid Profile and In Vitro Antioxidant and Anticholinesterase Activities of Romanian Wild-Grown Acer spp. (Sapindaceae). Appl. Sci. 2025, 15, 1235. [Google Scholar] [CrossRef]
- Mogoşanu, G.D.; Buteică, S.A.; Purcaru, Ş.O.; Croitoru, O.; Georgescu, A.M.; Serban, F.; Tătăranu, L.G.; Alexandru, O.; Dricu, A. Rationale and in vitro efficacy of Ligustrum vulgare hydroalcoholic extract for the treatment of brain tumors. Int. J. Clin. Exp. Pathol. 2016, 9, 8286–8296. [Google Scholar]
- Morlock, G.E.; Heil, J.; Bardot, V.; Lenoir, L.; Cotte, C.; Dubourdeaux, M. Effect-Directed Profiling of 17 Different Fortified Plant Extracts by High-Performance Thin-Layer Chromatography Combined with Six Planar Assays and High-Resolution Mass Spectrometry. Molecules 2021, 26, 1468. [Google Scholar] [CrossRef]






| Sample | ABTS IC50 (mg/mL) | DPPH IC50 (mg/mL) | FRAP (mM Fe2+) | TPC (mg GAE/g) | TFC (mg QE/g) |
|---|---|---|---|---|---|
| G1 | 1.283 ± 0.048 ns | 0.664 ± 0.029 ns | 27.727 ± 0.762 **** | 68.170 ± 1.520 **** | 5.462 ± 0.200 ns |
| G2 | 0.640 ± 0.023 ns | 0.344 ± 0.014 ns | 38.049 ± 1.484 **** | 82.930 ± 2.670 **** | 4.060 ± 0.090 ns |
| G3 | 0.404 ± 0.014 ns | 0.245 ± 0.015 ns | 52.483 ± 1.818 **** | 120.360 ± 2.730 **** | 6.716 ± 0.234 ns |
| G4 | 0.321 ± 0.011 ns | 0.170 ± 0.006 ns | 60.492 ± 1.934 **** | 140.140 ± 3.480 **** | 5.967 ± 0.162 ns |
| Sample | Caffeic Acid (μg/g) | Chlorogenic Acid (μg/g) | p-Coumaric Acid (μg/g) | Ferulic Acid (μg/g) | Gallic Acid (μg/g) | Protocatechuic Acid (μg/g) | Syringic Acid (μg/g) | Vanillic Acid (μg/g) |
|---|---|---|---|---|---|---|---|---|
| G1 | 650.928 ± 23.223 **** | 87.821 ± 1.956 ns | 280.226 ± 5.703 ** | 112.034 ± 2.915 ** | 0.000 ± 0.000 **** | 198.007 ± 6.636 **** | 459.751 ± 16.764 **** | 270.588 ± 9.994 **** |
| G2 | 518.406 ± 16.950 **** | 62.373 ± 2.463 ns | 129.846 ± 4.912 **** | 71.654 ± 1.787 *** | 91.316 ± 2.243 **** | 401.116 ± 8.381 **** | 162.736 ± 3.340 **** | 183.357 ± 5.725 **** |
| G3 | 256.377 ± 6.405 **** | 283.606 ± 8.806 **** | 244.255 ± 6.277 ** | 155.413 ± 5.988 **** | 331.612 ± 8.327 **** | 709.509 ± 19.062 **** | 60.062 ± 1.454 **** | 130.633 ± 3.801 **** |
| G4 | 411.969 ± 14.485 **** | 87.959 ± 2.377 ns | 971.760 ± 25.246 **** | 84.219 ± 3.186 *** | 425.105 ± 11.872 **** | 1236.165 ± 40.646 **** | 95.272 ± 3.084 ** | 77.700 ± 2.101 **** |
| Sample | Species/Vegetal Product | Date/Collection Site (Southwest Romania Flora; Geographic Coordinates) | Voucher Specimen |
|---|---|---|---|
| G1 | G. dissectum/herba | 20 April 2024/Stroeşti Commune, Vâlcea County (45°4′39.65″ N, 23°54′34.16″ E) | GER-DIS-2024-0420-2 |
| G2 | G. lucidum/herba | 16 April 2024/Băile Herculane City, Caraş Severin County (44°53′54.69″ N, 22°25′46.91″ E) | GER-LUC-2024-0416-1 |
| G3 | G. pussilum/herba | 28 April 2024/Cârcea Commune, Dolj County (44°16′29.84″ N, 23°52′32.89″ E) | GER-PUS-2024-0428-1 |
| G4 | G. robertianum/herba | 16 April 2024/Băile Herculane City, Caraş Severin County (44°54′26.97″ N, 22°25′55.47″ E) | GER-ROB-2024-0416-2 |
Disclaimer/Publisher’s Note: The statements, opinions and data contained in all publications are solely those of the individual author(s) and contributor(s) and not of MDPI and/or the editor(s). MDPI and/or the editor(s) disclaim responsibility for any injury to people or property resulting from any ideas, methods, instructions or products referred to in the content. |
© 2025 by the authors. Licensee MDPI, Basel, Switzerland. This article is an open access article distributed under the terms and conditions of the Creative Commons Attribution (CC BY) license (https://creativecommons.org/licenses/by/4.0/).
Share and Cite
Bejenaru, C.; Segneanu, A.-E.; Biţă, A.; Bejenaru, L.E.; Hovaneţ, M.-V.; Ciocîlteu, M.V.; Tîrnă, A.C.; Blendea, A.; Mogoşanu, G.D. Polyphenols Investigation and In Vitro Antioxidant Capacity of Romanian Wild-Grown Geranium spp. (Geraniaceae). Plants 2025, 14, 3190. https://doi.org/10.3390/plants14203190
Bejenaru C, Segneanu A-E, Biţă A, Bejenaru LE, Hovaneţ M-V, Ciocîlteu MV, Tîrnă AC, Blendea A, Mogoşanu GD. Polyphenols Investigation and In Vitro Antioxidant Capacity of Romanian Wild-Grown Geranium spp. (Geraniaceae). Plants. 2025; 14(20):3190. https://doi.org/10.3390/plants14203190
Chicago/Turabian StyleBejenaru, Cornelia, Adina-Elena Segneanu, Andrei Biţă, Ludovic Everard Bejenaru, Marilena-Viorica Hovaneţ, Maria Viorica Ciocîlteu, Adriana Cosmina Tîrnă, Antonia Blendea, and George Dan Mogoşanu. 2025. "Polyphenols Investigation and In Vitro Antioxidant Capacity of Romanian Wild-Grown Geranium spp. (Geraniaceae)" Plants 14, no. 20: 3190. https://doi.org/10.3390/plants14203190
APA StyleBejenaru, C., Segneanu, A.-E., Biţă, A., Bejenaru, L. E., Hovaneţ, M.-V., Ciocîlteu, M. V., Tîrnă, A. C., Blendea, A., & Mogoşanu, G. D. (2025). Polyphenols Investigation and In Vitro Antioxidant Capacity of Romanian Wild-Grown Geranium spp. (Geraniaceae). Plants, 14(20), 3190. https://doi.org/10.3390/plants14203190

