Intraocular Tumors in Horses: Diagnosis, Tumor Classification, Oncologic Assessment and Therapy
Abstract
Simple Summary
Abstract
1. Introduction and Methodology
2. Basic Oncologic Theory for Intraocular Neoplasia in Horses
3. Diagnosis
3.1. Clinical Ophthalmic Examination
3.2. Imaging Techniques
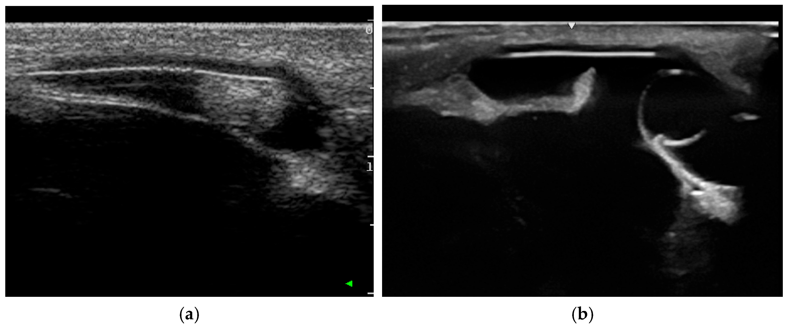
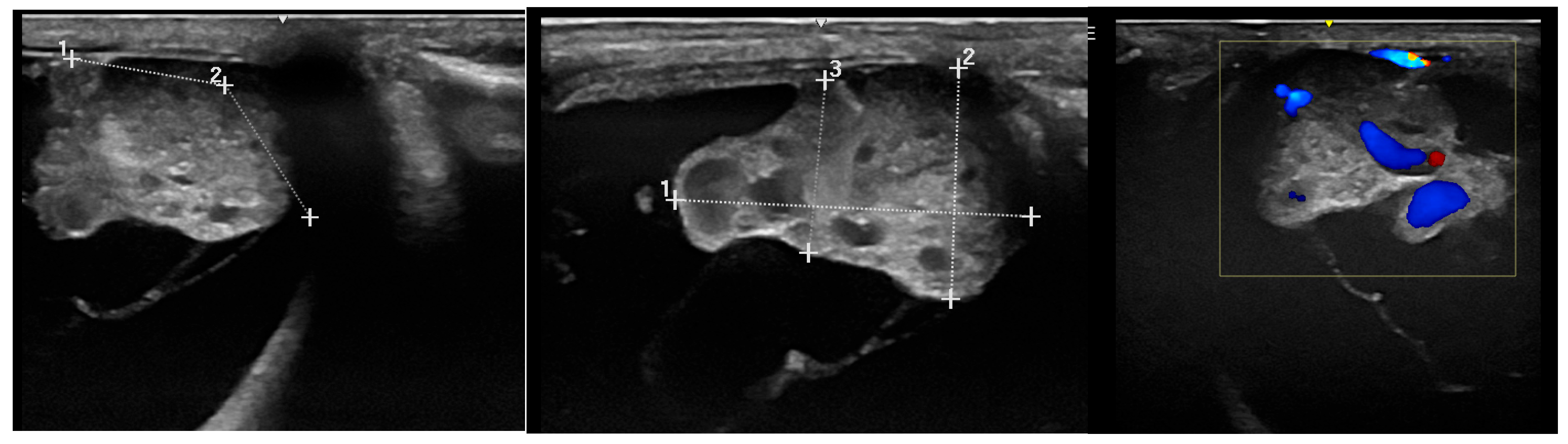
3.2.1. Ultrasonography
3.2.2. Sectional Imaging
3.2.3. Optical Coherence Tomography (OCT) and Other Advanced Imaging Techniques
3.3. In Vivo Sampling: Biopsy, Aqueocentesis and Vitreocentesis
3.4. Oncologic Work-Up and Tumor Staging
3.4.1. Diagnostic Approach to Internal Neoplasia
3.4.2. Staging of Internal Neoplasia
4. Clinicopathologic Classification of Intraocular Tumors in Horses
4.1. Neuroepithelial/Neuroectodermal Intraocular Tumors
| CLINICOPATHOLOGICAL CLASSIFICATION | LITERATURE | |
|---|---|---|
| neuroepithelial tumors | primitive medullary/neuroectodermal neoplasms | |
| retinoblastoma | [52] | |
| medulloepithelioma, neuroectodermal | ||
| teratoid | [25,26,28,51,53,106] | |
| non-teratoid | [27,54] | |
| neoplasms of mature neuroepithelium | ||
| optic disc astrocytoma | [61] | |
| not specified/undifferentiated | [38,46] | |
| uveal tumors | melanocytic uveal neoplasia | |
| malignant melanoma | [17,29,48,58,60] | |
| benign melanocytoma | [48,59,60] | |
| lymphatictumors | lymphoma | |
| uveal T-cell lymphoma ** | [44] | |
| neoplasia metastatic to the eye | thyroid carcinoma | [41] |
| melanoma (malignant) ** | [48,49,107] | |
| adenocarcinoma | [43] | |
| lymphoma | [42] | |
| renal carcinoma | [108] |
4.2. Uveal Intraocular Tumors: Melanocytic Neoplasia
4.3. Intraocular Lymphoma
4.4. Metastasis from Systemic Neoplasia
5. Therapy: Interdisciplinary and Interspecies Overview and Outlook
5.1. Surgery
5.2. Chemotherapy
5.3. Radiation Therapy
6. Comparative Oncology: Perspective Considerations
7. Final Considerations and Conclusions
Author Contributions
Funding
Institutional Review Board Statement
Informed Consent Statement
Data Availability Statement
Acknowledgments
Conflicts of Interest
References
- Milman, T.; Grossniklaus, H.E.; Goldman-Levy, G.; Kivelä, T.T.; Coupland, S.E.; White, V.A.; Mudhar, H.S.; Eberhart, C.G.; Verdijk, R.M.; Heegaard, S.; et al. The 5th Edition of the World Health Organization Classification of Tumours of the Eye and Orbit. Ocul. Oncol. Pathol. 2023, 9, 71–95. [Google Scholar] [CrossRef]
- Durham, A.C.; Pillitteri, C.A.; San Myint, M.; Valli, V.E. Two hundred three cases of equine lymphoma classified according to the World Health Organization (WHO) classification criteria. Vet. Pathol. 2013, 50, 86–93. [Google Scholar] [CrossRef]
- Bornfeld, N.; Biewald, E.; Bauer, S.; Temming, P.; Lohmann, D.; Zeschnigk, M. The Interdisciplinary Diagnosis and Treatment of Intraocular Tumors. Dtsch. Arztebl. Int. 2018, 115, 106–111. [Google Scholar] [CrossRef]
- Cui, Y.; Yin, S.; Qin, X.; Jiao, W.; Ren, A.; Wang, F.; Zhao, B. Advances in the treatment of intraocular malignancies: A literature review. Front. Med. 2022, 18, 975565. [Google Scholar] [CrossRef]
- Branisteanu, D.C.; Bogdanici, C.M.; Branisteanu, D.E.; Maranduca, M.A.; Zemba, M.; Balta, F.; Branisteanu, C.I.; Moraru, A.D. Uveal melanoma diagnosis and current treatment options (Review). Exp. Ther. Med. 2021, 22, 1428. [Google Scholar] [CrossRef]
- Oh, J.H.; Cho, J.-Y. Comparative oncology: Overcoming human cancer through companion animal studies. Exp. Mol. Med. 2023, 55, 725–734. [Google Scholar] [CrossRef]
- Johns, I.; Bryan, J. Diagnosis and Staging of Equine Neoplasia. Vet. Clin. N. Am. Equine Pract. 2024, 40, 351–369. [Google Scholar] [CrossRef]
- Knottenbelt, D.C.; Patterson-Kane, J.C.; Snalune, K.L. (Eds.) The challenges and problems of equine oncological practice. In Clinical Equine Oncology, 1st ed.; Elsevier: Amsterdam, The Netherlands, 2016; pp. 7–10. ISBN 978-0-7020-4266-9. [Google Scholar]
- Easley, J. A team approach to equine cancer treatment. Equine Vet. Educ. 2019, 31, 484–485. [Google Scholar] [CrossRef]
- Knottenbelt, D.C.; Patterson-Kane, J.C.; Snalune, K.L. (Eds.) Clinical effects of cancer in horses. In Clinical Equine Oncology, 1st ed.; Elsevier: Amsterdam, The Netherlands, 2016; pp. 62–69. ISBN 978-0-7020-4266-9. [Google Scholar]
- Knottenbelt, D.C.; Patterson-Kane, J.C.; Snalune, K.L. (Eds.) Principles of diagnosis. In Clinical Equine Oncology, 1st ed.; Elsevier: Amsterdam, The Netherlands, 2016; pp. 86–107. ISBN 978-0-7020-4266-9. [Google Scholar]
- Hill, F.W.; Moulton, J.E.; Schiff, P.H. Exophthalmos in a horse resulting from an adenocarcinoma of the frontal sinus. J. S. Afr. Vet. Assoc. 1989, 60, 104–105. [Google Scholar] [PubMed]
- Naylor, R.J.; Dunkel, B.; Dyson, S.; Paz-Penuelas, M.P.; Dobson, J. A retrobulbar meningioma as a cause of unilateral exophthalmos and blindness in a horse. Equine Vet. Educ. 2010, 22, 503–510. [Google Scholar] [CrossRef]
- Kaps, S.; Richter, M.; Philipp, M.; Bart, M.; Eule, C.; Spiess, B.M. Primary invasive ocular squamous cell carcinoma in a horse. Vet. Ophthalmol. 2005, 8, 193–197. [Google Scholar] [CrossRef]
- Scherrer, N.M.; Lassaline, M.; Engiles, J. Ocular and periocular hemangiosarcoma in six horses. Vet. Ophthalmol. 2018, 21, 432–437. [Google Scholar] [CrossRef]
- Kafarnik, C.; Rawlings, M.; Dubielzig, R.R. Corneal stromal invasive squamous cell carcinoma: A retrospective morphological description in 10 horses. Vet. Ophthalmol. 2009, 12, 6–12. [Google Scholar] [CrossRef]
- McMullen, R.J.; Clode, A.B.; Pandiri, A.K.R.; Malarkey, D.E.; Michau, T.M.; Gilger, B.C. Epibulbar melanoma in a foal. Vet. Ophthalmol. 2008, 11 (Suppl. 1), 44–50. [Google Scholar] [CrossRef]
- Knottenbelt, D.C.; Patterson-Kane, J.C.; Snalune, K.L. (Eds.) Tumour nomenclature. In Clinical Equine Oncology, 1st ed.; Elsevier: Amsterdam, The Netherlands, 2016; pp. 11–22. ISBN 978-0-7020-4266-9. [Google Scholar]
- Cullen, J.M.; Breen, M. An Overview of Molecular Cancer Pathogenesis, Prognosis, and Diagnosis. In Tumors in Domestic Animals; Meuten, D.J., Ed.; Wiley: Hoboken, NJ, USA, 2016; pp. 1–26. ISBN 9780813821795. [Google Scholar]
- Avallone, G.; Rasotto, R.; Chambers, J.K.; Miller, A.D.; Behling-Kelly, E.; Monti, P.; Berlato, D.; Valenti, P.; Roccabianca, P. Review of Histological Grading Systems in Veterinary Medicine. Vet. Pathol. 2021, 58, 809–828. [Google Scholar] [CrossRef]
- Klostermann, E.; Colitz, C.M.H.; Chandler, H.L.; Kusewitt, D.F.; Saville, W.J.A.; Dubielzig, R.R. Immunohistochemical properties of ocular adenomas, adenocarcinomas and medulloepitheliomas. Vet. Ophthalmol. 2006, 9, 387–394. [Google Scholar] [CrossRef]
- Gould, J.; Wells, M.; Linde Henriksen, M.d.; Gilger, B.C. Causes, treatment, and outcome of hyphema, fibrin, and vitreal hemorrhage in horses: 219 cases (2012–2023). J. Am. Vet. Med. Assoc. 2024, 262, S94–S101. [Google Scholar] [CrossRef] [PubMed]
- Knottenbelt, D.C.; Patterson-Kane, J.C.; Snalune, K.L. (Eds.) Internal ocular neoplasms. In Clinical Equine Oncology, 1st ed.; Elsevier: Amsterdam, The Netherlands, 2016; pp. 372–375. ISBN 978-0-7020-4266-9. [Google Scholar]
- Gilger, B.C.; Degroote, R.; Deeg, C. Diseases of the Uvea, Uveitis, and Recurrent Uveitis. In Equine Ophthalmology, 4th ed.; Gilger, B.C., Ed.; Wiley & Sons, Inc.: Hoboken, NJ, USA, 2022; pp. 441–498. ISBN 9781119782254. [Google Scholar]
- Eagle, R.C.; Font, R.L.; Swerczek, T.W. Malignant medulloepithelioma of the optic nerve in a horse. Vet. Pathol. 1978, 15, 488–494. [Google Scholar] [CrossRef] [PubMed]
- Monk, C.S.; Craft, W.F.; Abbott, J.R.; Farina, L.L.; Reuss, S.M.; Czerwinski, S.L.; Brooks, D.E.; Plummer, C.E. Clinical behavior of intraocular teratoid medulloepithelioma in two-related Quarter Horses. Vet. Ophthalmol. 2017, 20, 551–559. [Google Scholar] [CrossRef]
- Silva, M.O.; Coelho, L.C.T.; Vidal, A.P.; Teixeira, C.A.; Ribeiro, G.H.S.; Melo, N.C.d.; Fantini, P. Non-teratoid ocular medulloepithelioma in an adult horse. Cienc. Rural 2021, 51, e20200001. [Google Scholar] [CrossRef]
- van Bergen, T.; Vries, C.d.; Ducatelle, R.; Martens, A.; Gasthuys, F. Rapidly growing primary malignant teratoid medulloepithelioma of the ciliary body in a gelding. Vet. Record Case Rep. 2014, 2, e000072. [Google Scholar] [CrossRef]
- Davidson, H.J.; Blanchard, G.L.; Wheeler, C.A.; Render, J.A. Anterior uveal melanoma, with secondary keratitis, cataract, and glaucoma, in a horse. J. Am. Vet. Med. Assoc. 1991, 199, 1049–1050. [Google Scholar] [CrossRef]
- Grahn, B.H.; Pfeiffer, R.L. Veterinary Ophthalmic Pathology. In Veterinary Ophthalmology, 6th ed.; Gelatt, K.N., Ed.; Wiley & Sons, Inc.: Hoboken, NJ, USA, 2021; pp. 479–563. ISBN 9781119441830. [Google Scholar]
- Knottenbelt, D.C.; Patterson-Kane, J.C.; Snalune, K.L. (Eds.) Biology of Tumor Growth. In Clinical Equine Oncology, 1st ed.; Elsevier: Amsterdam, The Netherlands, 2016; pp. 24–61. ISBN 978-0-7020-4266-9. [Google Scholar]
- Iorio, M.V.; Croce, C.M. MicroRNA dysregulation in cancer: Diagnostics, monitoring and therapeutics. A comprehensive review. EMBO Mol. Med. 2012, 4, 143–159. [Google Scholar] [CrossRef] [PubMed]
- Wang, M.; Zhao, J.; Zhang, L.; Wei, F.; Lian, Y.; Wu, Y.; Gong, Z.; Zhang, S.; Zhou, J.; Cao, K.; et al. Role of tumor microenvironment in tumorigenesis. J. Cancer 2017, 8, 761–773. [Google Scholar] [CrossRef]
- Kreisle, R.A.; Ershler, W.B. Investigation of tumor angiogenesis in an id mouse model: Role of host-tumor interactions. J. Natl. Cancer Inst. 1988, 80, 849–854. [Google Scholar] [CrossRef]
- Le Bitoux, M.-A.; Stamenkovic, I. Tumor-host interactions: The role of inflammation. Histochem. Cell Biol. 2008, 130, 1079–1090. [Google Scholar] [CrossRef]
- McKenna, K.C.; Chen, P.W. Influence of immune privilege on ocular tumor development. Ocul. Immunol. Inflamm. 2010, 18, 80–90. [Google Scholar] [CrossRef]
- Niederkorn, J.Y. Immune escape mechanisms of intraocular tumors. Prog. Retin. Eye Res. 2009, 28, 329–347. [Google Scholar] [CrossRef] [PubMed]
- Bistner, S.; Campbell, R.J.; Shaw, D.; Leininger, J.R.; Ghobrial, H.K. Neuroepithelial tumor of the optic nerve in a horse. Cornell Vet. 1983, 73, 30–40. [Google Scholar] [PubMed]
- Lavach, J.D. Ocular manifestations of systemic diseases. Vet. Clin. N. Am. Equine Pract. 1992, 8, 627–636. [Google Scholar] [CrossRef]
- Stieler Stewart, A.; Wotman, K.L.; Martabano, B.B.; Davis, J.L. Ocular Manifestations of Systemic Disease. In Equine Ophthalmology, 4th ed.; Gilger, B.C., Ed.; Wiley & Sons, Inc.: Hoboken, NJ, USA, 2022; pp. 762–763. ISBN 9781119782254. [Google Scholar]
- Bradley, A.E.; Pirie, R.S.; MacIntyre, N. Thyroid carcinoma with multiple metastases in a horse. Equine Vet. Educ. 2000, 12, 170–174. [Google Scholar] [CrossRef]
- Rebhun, W.C.; Del Piero, F. Ocular lesions in horses with lymphosarcoma: 21 cases (1977–1997). J. Am. Vet. Med. Assoc. 1998, 212, 852–854. [Google Scholar] [CrossRef]
- Matheis, F.L.; Birkmann, K.; Ruetten, M.; Pot, S.A.; Spiess, B.M. Ocular manifestations of a metastatic adenocarcinoma in a horse. Vet. Ophthalmol. 2013, 16, 214–218. [Google Scholar] [CrossRef]
- Trope, G.D.; McCowan, C.I.; Tyrrell, D.; Lording, P.M.; Maggs, D.J. Solitary (primary) uveal T-cell lymphoma in a horse. Vet. Ophthalmol. 2014, 17, 139–145. [Google Scholar] [CrossRef]
- Gerding, J.C.; Gilger, B.C.; Montgomery, S.A.; Clode, A.B. Presumed primary ocular lymphangiosarcoma with metastasis in a miniature horse. Vet. Ophthalmol. 2015, 18, 502–509. [Google Scholar] [CrossRef] [PubMed]
- Brocca, G.; Centelleghe, C.; Padoan, E.; Stoppini, R.; Giudice, C.; Castagnaro, M.; Zappulli, V. Case Report of a Mare Diagnosed with a Metastatic Mammary Carcinoma after the Excision of a Recurrent Intraocular Neuroepithelial Tumor. Animals 2020, 10, 2409. [Google Scholar] [CrossRef]
- Drozdzewska, K.; Gehlen, H. Markers for internal neoplasia in the horse. Vet. Med. Sci. 2023, 9, 132–143. [Google Scholar] [CrossRef]
- Labelle, A.L.; Gemensky Metzler, A.M.; McMullen, R.J.; Wiggans, K.T.; Labelle, P.; Hamor, R.E. Equine intraocular melanocytic neoplasia. Can. Vet. J. 2024, 65, 1048–1054. [Google Scholar]
- Saunders, L.Z.; Barron, C.N. Primary pigmented intraocular tumors in animals. Cancer Res. 1958, 18, 234–245. [Google Scholar] [PubMed]
- Stoppini, R.; Gilger, B.C. Equine ocular examination basic techniques. In Equine Ophthalmology; Gilger, B.C., Ed.; Wiley: Hoboken, NJ, USA, 2016; pp. 1–39. ISBN 9781119047742. [Google Scholar]
- Szymanski, C.M. Malignant teratoid medulloepithelioma in a horse. J. Am. Vet. Med. Assoc. 1987, 190, 301–302. [Google Scholar] [CrossRef] [PubMed]
- Knottenbelt, D.C.; Hetzel, U.; Roberts, V. Primary intraocular primitive neuroectodermal tumor (retinoblastoma) causing unilateral blindness in a gelding. Vet. Ophthalmol. 2007, 10, 348–356. [Google Scholar] [CrossRef] [PubMed]
- Leiva, M.; Felici, F.; Carvalho, A.; Ramis, A.; Peña, T. Benign intraocular teratoid medulloepithelioma causing glaucoma in an 11-year-old Arabian mare. Vet. Ophthalmol. 2013, 16, 297–302. [Google Scholar] [CrossRef] [PubMed]
- Riis, R.C.; Scherlie, P.H.; Rebhun, W.C. Intraocular medulloepithelioma in a horse. Equine Vet. J. Suppl. 1990, 22, 66–68. [Google Scholar] [CrossRef] [PubMed]
- Murphy, J.; Young, S. Intraocular melanoma in a horse. Vet. Pathol. 1979, 16, 539–542. [Google Scholar] [CrossRef]
- Bistner, S.I. Medullo-epithelioma of the iris and ciliary body in a horse. Cornell Vet. 1974, 64, 588–595. [Google Scholar]
- Scotty, N.C.; Barrie, K.B.; Brooks, D.E.; Taylor, D. Surgical management of a progressive iris melanocytoma in a Mustang. Vet. Ophthalmol. 2008, 11, 75–80. [Google Scholar] [CrossRef]
- Matthews, A.G.; Barry, D.R. Bilateral melanoma of the iris in a horse. Equine Vet. J. 1987, 19, 358–360. [Google Scholar] [CrossRef]
- Ramadan, R.O. Primary ocular melanoma in a young horse. Equine Vet. J. 1975, 7, 49–50. [Google Scholar] [CrossRef]
- Barnett, K.C.; Platt, H. Intraocular melanomata in the horse. Equine Vet. J. Suppl. 1990, 22, 76–82. [Google Scholar] [CrossRef]
- Gelatt, K.N.; Leipold, H.W.; Finocchio, E.J.; Coffmn, J.R. Optic disc astrocytoma in a horse. Can. Vet. J. 1971, 12, 53–55. [Google Scholar] [PubMed]
- Broughton, W.L.; Zimmerman, L.E. A clinicopathologic study of 56 cases of intraocular medulloepitheliomas. Am. J. Ophthalmol. 1978, 85, 407–418. [Google Scholar] [CrossRef]
- Bentley, E.; Pizzirani, S.; Waller, K.R. Diagnostic Ophthalmic Ultrasound. In Veterinary Ophthalmology, 6th ed.; Gelatt, K.N., Ed.; Wiley & Sons, Inc.: Hoboken, NJ, USA, 2021; pp. 733–756. ISBN 9781119441830. [Google Scholar]
- Ledbetter, E.C.; Porter, I.R. Advanced Ophthalmic Imaging in the Horse. In Equine Ophthalmology; Gilger, B.C., Ed.; Wiley: Hoboken, NJ, USA, 2022; pp. 90–132. ISBN 9781119782254. [Google Scholar]
- Gialletti, R. Equine Ocular Ultrasonography. In Atlas of Equine Ultrasonography; Kidd, J.A., Lu, K.G., Frazer, M.L., Eds.; Wiley: Hoboken, NJ, USA, 2022; pp. 481–509. ISBN 9781119514725. [Google Scholar]
- Ramirez, S.; Tucker, R.L. Ophthalmic imaging. Vet. Clin. N. Am. Equine Pract. 2004, 20, 441–457. [Google Scholar] [CrossRef]
- McMullen, R.J. Advancements in equine ophthalmic imaging enhance understanding of ocular and orbital anatomy and disease in standing sedated horses. J. Am. Vet. Med. Assoc. 2024, 262, S47–S56. [Google Scholar] [CrossRef]
- Donaldson, D.; Hartley, C. Ocular Imaging. In Veterinary Ophthalmology, 6th ed.; Gelatt, K.N., Ed.; Wiley & Sons, Inc.: Hoboken, NJ, USA, 2021; pp. 662–732. ISBN 9781119441830. [Google Scholar]
- Tucker, R.L.; Farrell, E. Computed tomography and magnetic resonance imaging of the equine head. Vet. Clin. N. Am. Equine Pract. 2001, 17, 131–144. [Google Scholar] [CrossRef]
- Stieger-Vanegas, S.M.; Hanna, A.L. The Role of Computed Tomography in Imaging Non-neurologic Disorders of the Head in Equine Patients. Front. Vet. Sci. 2022, 9, 798216. [Google Scholar] [CrossRef]
- Matiasek, K.; Cronau, M.; Schmahl, W.; Gerhards, H. Imaging features and decision making in retrobulbar neuroendocrine tumours in horses–case report and review of literature. J. Vet. Med. A Physiol. Pathol. Clin. Med. 2007, 54, 302–306. [Google Scholar] [CrossRef] [PubMed]
- Dakin, S.G.; Lam, R.; Rees, E.; Mumby, C.; West, C.; Weller, R. Technical set-up and radiation exposure for standing computed tomography of the equine head. Equine Vet. Educ. 2014, 26, 208–215. [Google Scholar] [CrossRef]
- Gremillet, B.; Vandersmissen, M.; Dancot, M.; Evrard, L.; Charles, A.; Busoni, V. Ultrasonographic technique and appearance of presumptively normal clinically relevant lymph nodes in horses. Equine Vet. Educ. 2024, 36, 253–262. [Google Scholar] [CrossRef]
- Scotty, N.C. Ocular Ultrasonography in Horses. Clin. Tech. Equine Pract. 2005, 4, 106–113. [Google Scholar] [CrossRef]
- Bentley, E.; Miller, P.E.; Diehl, K.A. Use of high-resolution ultrasound as a diagnostic tool in veterinary ophthalmology. J. Am. Vet. Med. Assoc. 2003, 223, 1617–1622. [Google Scholar] [CrossRef]
- Gilger, B.C. Advanced Imaging of the Equine Eye. Vet. Clin. N. Am. Equine Pract. 2017, 33, 607–626. [Google Scholar] [CrossRef]
- Yitbarek, D.; Dagnaw, G.G. Application of Advanced Imaging Modalities in Veterinary Medicine: A Review. Vet. Med. 2022, 13, 117–130. [Google Scholar] [CrossRef]
- Pinto, N.I.; Gilger, B.C. Spectral-domain optical coherence tomography evaluation of the cornea, retina, and optic nerve in normal horses. Vet. Ophthalmol. 2014, 17 (Suppl. 1), 140–148. [Google Scholar] [CrossRef]
- Fujimoto, J.; Drexler, W. Introduction to Optical Coherence Tomography. In Optical Coherence Tomography; Greenbaum, E., Drexler, W., Fujimoto, J.G., Eds.; Springer: Berlin/Heidelberg, Germany, 2008; pp. 1–45. ISBN 978-3-540-77549-2. [Google Scholar]
- Blanchard, A.; Barr, E.M.; Gilger, B.C. Evaluation of equine corneal disease using spectral domain optical coherence tomography (SD-OCT). Vet. Ophthalmol. 2019, 22, 791–798. [Google Scholar] [CrossRef]
- Fischer, B.M.; McMullen, R.J.; Reese, S.; Brehm, W. Intravitreal injection of low-dose gentamicin for the treatment of recurrent or persistent uveitis in horses: Preliminary results. BMC Vet. Res. 2019, 15, 29. [Google Scholar] [CrossRef]
- Conduit, S.; Bowen, M.; Hallowell, G.; Pereira, R.; Rapezzano, G.; Redpath, A. Transcorneal aspiration for management of primary iris cysts in the standing horse. Vet. Med. Sci. 2024, 10, e1570. [Google Scholar] [CrossRef] [PubMed]
- Tuntivanich, N.; Tiawsirisup, S.; Tuntivanich, P. Success of Anterior Chamber Paracentesis as a Treatment for Ocular Setariasis in Equine Eye: Case Report. J. Equine Vet. Sci. 2011, 31, 8–12. [Google Scholar] [CrossRef]
- Flores, M.M.; Del Piero, F.; Habecker, P.L.; Langohr, I.M. A retrospective histologic study of 140 cases of clinically significant equine ocular disorders. J. Vet. Diagn. Investig. 2020, 32, 382–388. [Google Scholar] [CrossRef]
- Augsburger, J.J.; Shields, J.A.; Folberg, R.; Lang, W.; O’Hara, B.J.; Claricci, J.D. Fine needle aspiration biopsy in the diagnosis of intraocular cancer. Cytologic-histologic correlations. Ophthalmology 1985, 92, 39–49. [Google Scholar] [CrossRef]
- Bechrakis, N.E.; Foerster, M.H.; Bornfeld, N. Biopsy in indeterminate intraocular tumors. Ophthalmology 2002, 109, 235–242. [Google Scholar] [CrossRef] [PubMed]
- Chauhan, K.; Singh, A.; Raval, V. Intraocular Tumor Biopsy. Semin. Ophthalmol. 2025, 1–8. [Google Scholar] [CrossRef]
- Jakobiec, F.A.; Coleman, D.J.; Chattock, A.; Smith, M. Ultrasonically guided needle biopsy and cytologic diagnosis of solid intraocular tumors. Ophthalmology 1979, 86, 1662–1681. [Google Scholar] [CrossRef]
- Rishi, P.; Dhami, A.; Biswas, J. Biopsy techniques for intraocular tumors. Indian J. Ophthalmol. 2016, 64, 415–421. [Google Scholar] [CrossRef]
- Beckwith-Cohen, B.; Bentley, E.; Dubielzig, R.R. Outcome of iridociliary epithelial tumour biopsies in dogs: A retrospective study. Vet. Rec. 2015, 176, 147. [Google Scholar] [CrossRef] [PubMed]
- Kulbay, M.; Tuli, N.; Mazza, M.; Jaffer, A.; Juntipwong, S.; Marcotte, E.; Tanya, S.M.; Nguyen, A.X.-L.; Burnier, M.N.; Demirci, H. Oncolytic Viruses and Immunotherapy for the Treatment of Uveal Melanoma and Retinoblastoma: The Current Landscape and Novel Advances. Biomedicines 2025, 13, 108. [Google Scholar] [CrossRef]
- Martabano, B.B.; Brooks, D.E.; Whitley, R.D.; Proietto, L.R.; Conway, J.A.; Zoll, W.M.; Plummer, C.E. Recurrent adnexal lymphoma in a horse. Equine Vet. Educ. 2019, 31, 203–207. [Google Scholar] [CrossRef]
- Wang, L.; Unger, L.; Sharif, H.; Eriksson, S.; Gerber, V.; Rönnberg, H. Molecular characterization of equine thymidine kinase 1 and preliminary evaluation of its suitability as a serum biomarker for equine lymphoma. BMC Mol. Cell Biol. 2021, 22, 59. [Google Scholar] [CrossRef] [PubMed]
- Zhou, J.; He, E.; Skog, S. The proliferation marker thymidine kinase 1 in clinical use. Mol. Clin. Oncol. 2013, 1, 18–28. [Google Scholar] [CrossRef]
- Drozdzewska, K.; Burde, S.; Müller, E.; Merle, R.; Gehlen, H. Measurement of thymidine kinase-1 activity in serum and body cavity fluids in horses with lymphoma, inflammatory bowel disease and other non-inflammatory gastrointestinal disorders. In Proceedings of the ECEIM Congress, Copenhagen, Denmark, 14–16 November 2024. [Google Scholar]
- Ensink, J.M. Why clinicians should consider tumour staging and grading in horses. Equine Vet. J. 2015, 47, 141. [Google Scholar] [CrossRef] [PubMed]
- Unger, L.; Abril, C.; Gerber, V.; Jagannathan, V.; Koch, C.; Hamza, E. Diagnostic potential of three serum microRNAs as biomarkers for equine sarcoid disease in horses and donkeys. J. Vet. Intern. Med. 2021, 35, 610–619. [Google Scholar] [CrossRef]
- Unger, L.; Gerber, V.; Pacholewska, A.; Leeb, T.; Jagannathan, V. MicroRNA fingerprints in serum and whole blood of sarcoid-affected horses as potential non-invasive diagnostic biomarkers. Vet. Comp. Oncol. 2019, 17, 107–117. [Google Scholar] [CrossRef] [PubMed]
- Linde Henriksen, M.d.; Sharkey, L.C. Ocular Cytology of the Horse. In Veterinary Cytology; Sharkey, L.C., Radin, M.J., Seelig, D., Eds.; Wiley: Hoboken, NJ, USA, 2020; pp. 222–240. ISBN 9781119125709. [Google Scholar]
- Johns, I. Ultrasonography as an aid to the antemortem diagnosis of internal neoplasia in the horse. Equine Vet. Educ. 2024, 36, 128–130. [Google Scholar] [CrossRef]
- Silva, L.C.L.; Zoppa, A.L.; Hendrickson, D.A. Equine Diagnostic Laparoscopy. J. Equine Vet. Sci. 2008, 28, 247–254. [Google Scholar] [CrossRef]
- Bertoletti, A.; Hendrickson, D.A. Laparoscopic Diagnostic Techniques. In Advances in Equine Laparoscopy; Ragle, C.A., Ed.; Wiley: Hoboken, NJ, USA, 2024; pp. 91–111. ISBN 9781119859314. [Google Scholar]
- Peroni, J. Equine Thoracoscopy. In Advances in Equine Laparoscopy; Ragle, C.A., Ed.; Wiley: Hoboken, NJ, USA, 2024; pp. 301–309. ISBN 9781119859314. [Google Scholar]
- Meekins, J.M.; Rankin, A.J.; Samuelson, D.A. Ophthalmic Anatomy. In Veterinary Ophthalmology, 6th ed.; Gelatt, K.N., Ed.; Wiley & Sons, Inc.: Hoboken, NJ, USA, 2021; pp. 41–123. ISBN 9781119441830. [Google Scholar]
- Dubielzig, R.R.; Ketring, K.; McLellan, G.J.; Albert, D.M. Veterinary Ocular Pathology: A Comparative Review; Saunders: Edinburgh, UK; New York, NY, USA, 2010; ISBN 9780702027970. [Google Scholar]
- Ueda, Y.; Senba, H.; Nishimura, T.; Usui, T.; Tanaka, K.; Inagaki, S. Ocular medulloepithelioma in a thoroughbred. Equine Vet. J. 1993, 25, 558–561. [Google Scholar] [CrossRef]
- Pimenta, J.; Prada, J.; Cotovio, M. Equine Melanocytic Tumors: A Narrative Review. Animals 2023, 13, 247. [Google Scholar] [CrossRef]
- Romero, B.F.; Iglesis García, M.; Gil Molino, M.; Gómez, L.; Galapero, J.; Parejo, C.; Martín Cuervo, M. Bilateral Uveitis in a Horse With a Renal Carcinoma. J. Equine Vet. Sci. 2022, 118, 104111. [Google Scholar] [CrossRef]
- He, J.; Pei, C.; Ge, X.; Ma, J.-M.; Hu, Y.-G. Analysis of clinical and pathological features of ciliary body medulloepithelioma. Int. J. Ophthalmol. 2023, 16, 382–387. [Google Scholar] [CrossRef]
- Yi, X.; Meng, F.; Bi, Y.; He, L.; Qian, J.; Xue, K. Intraocular medulloepithelioma clinical features and management of 11 cases. Br. J. Ophthalmol. 2024, 108, 566–570. [Google Scholar] [CrossRef]
- Latimer, C.A.; Wyman, M. Sector iridectomy in the management of iris melanoma in a horse. Equine Vet. J. 1983, 15, 101–104. [Google Scholar] [CrossRef]
- Cook, C.S.; Wilkie, D.A. Treatment of presumed iris melanoma in dogs by diode laser photocoagulation: 23 cases. Vet. Ophthalmol. 1999, 2, 217–225. [Google Scholar] [CrossRef]
- Lerner, A.B.; Cage, G.W. Melanomas in horses. Yale J. Biol. Med. 1973, 46, 646–649. [Google Scholar]
- Kulbay, M.; Marcotte, E.; Remtulla, R.; Lau, T.H.A.; Paez-Escamilla, M.; Wu, K.Y.; Burnier, M.N. Uveal Melanoma: Comprehensive Review of Its Pathophysiology, Diagnosis, Treatment, and Future Perspectives. Biomedicines 2024, 12, 1758. [Google Scholar] [CrossRef]
- Alshammari, A.H.; Oshiro, T.; Ungkulpasvich, U.; Yamaguchi, J.; Morishita, M.; Khdair, S.A.; Hatakeyama, H.; Hirotsu, T.; Di Luccio, E. Advancing Veterinary Oncology: Next-Generation Diagnostics for Early Cancer Detection and Clinical Implementation. Animals 2025, 15, 389. [Google Scholar] [CrossRef]
- Petrucci, G.N.; Magalhães, T.R.; Dias, M.; Queiroga, F.L. Metronomic chemotherapy: Bridging theory to clinical application in canine and feline oncology. Front. Vet. Sci. 2024, 11, 1397376. [Google Scholar] [CrossRef]
- Chavalle, T.; Chamel, G.; Denoeux, P.; Lajoinie, M.; Sayag, D.; Berny, P.; Ponce, F. Are severe adverse events commonly observed in dogs during cancer chemotherapy? A retrospective study on 155 dogs. Vet. Comp. Oncol. 2022, 20, 393–403. [Google Scholar] [CrossRef]
- Gelatt, K.N.; Gelatt, J.P.; Plummer, C.E. (Eds.) Equine Ophthalmic Surgery. In Veterinary Ophthalmic Surgery, 2nd ed.; Elsevier: Amsterdam, The Netherlands, 2022; pp. 365–370. ISBN 978-0-7020-8163-7. [Google Scholar]
- Gelatt, K.N.; Gelatt, J.P.; Plummer, C.E. (Eds.) Surgical Procedures of the Anterior Chamber and Anterior Uvea. In Veterinary Ophthalmic Surgery, 2nd ed.; Elsevier: Amsterdam, The Netherlands, 2022; pp. 232–255. ISBN 978-0-7020-8163-7. [Google Scholar]
- Hendrix, D.V. Diseases and Surgery of the Canine Anterior Uvea. In Veterinary Ophthalmology, 6th ed.; Gelatt, K.N., Ed.; Wiley & Sons, Inc.: Hoboken, NJ, USA, 2021; pp. 1259–1316. ISBN 9781119441830. [Google Scholar]
- Singaravelu, J.; Moreno, A.M.; Wrenn, J.M.; Singh, A.D. Iris Melanoma: Advanced Surgical Techniques. In Global Perspectives in Ocular Oncology; Chawla, B.V., Aronow, M.E., Eds.; Springer International Publishing: Cham, Switzerland, 2022; pp. 257–265. ISBN 978-3-031-08249-8. [Google Scholar]
- Davis, R.L.; Reilly, C.M.; Moore, P.A. Surgical excision of iridociliary tumors using a postero-anterior cyclo-iridectomy and thermocautery in two dogs. Vet. Ophthalmol. 2020, 23, 579–587. [Google Scholar] [CrossRef] [PubMed]
- Guerra Guimarães, T.; Menezes Cardoso, K.; Tralhão, P.; Marto, C.M.; Alexandre, N.; Botelho, M.F.; Laranjo, M. Current Therapeutics and Future Perspectives to Ocular Melanocytic Neoplasms in Dogs and Cats. Bioengineering 2021, 8, 225. [Google Scholar] [CrossRef]
- Mair, T.S.; Walmsley, J.P.; Phillips, T.J. Surgical treatment of 45 horses affected by squamous cell carcinoma of the penis and prepuce. Equine Vet. J. 2000, 32, 406–410. [Google Scholar] [CrossRef] [PubMed]
- van den Top, J.G.B.; Heer, N.d.; Klein, W.R.; Ensink, J.M. Penile and preputial squamous cell carcinoma in the horse: A retrospective study of treatment of 77 affected horses. Equine Vet. J. 2008, 40, 533–537. [Google Scholar] [CrossRef]
- Malalana, F. Chemotherapeutics in Equine Practice. Vet. Clin. N. Am. Equine Pract. 2024, 40, 387–395. [Google Scholar] [CrossRef] [PubMed]
- Mair, T.S.; Couto, C.G. The use of cytotoxic drugs in equine practice. Equine Vet. Educ. 2006, 18, 149–156. [Google Scholar] [CrossRef]
- Wustefeld-Janssens, B.; Smith, L.; Wilson-Robles, H. Neoadjuvant chemotherapy and radiation therapy in veterinary cancer treatment: A review. J. Small Anim. Pract. 2021, 62, 237–243. [Google Scholar] [CrossRef] [PubMed]
- Fiorentzis, M.; Viestenz, A.; Siebolts, U.; Seitz, B.; Coupland, S.E.; Heinzelmann, J. The Potential Use of Electrochemotherapy in the Treatment of Uveal Melanoma: In Vitro Results in 3D Tumor Cultures and In Vivo Results in a Chick Embryo Model. Cancers 2019, 11, 1344. [Google Scholar] [CrossRef]
- Larsen, M.M.E.; Eriksson, A.; Impellizeri, J.A. Electrochemotherapy with bleomycin for bilateral ocular squamous cell carcinoma in a horse. Vet. Ophthalmol. 2024, 5, 886–892. [Google Scholar] [CrossRef]
- Luethy, D.; Frimberger, A.E.; Bedenice, D.; Byrne, B.S.; Groover, E.S.; Gardner, R.B.; Lewis, T.; MacDonald, V.S.; Proctor-Brown, L.; Tomlinson, J.E.; et al. Retrospective evaluation of clinical outcome after chemotherapy for lymphoma in 15 equids (1991–2017). J. Vet. Intern. Med. 2019, 33, 953–960. [Google Scholar] [CrossRef]
- Tamzali, Y.; Borde, L.; Rols, M.P.; Golzio, M.; Lyazrhi, F.; Teissie, J. Successful treatment of equine sarcoids with cisplatin electrochemotherapy: A retrospective study of 48 cases. Equine Vet. J. 2012, 44, 214–220. [Google Scholar] [CrossRef]
- Tozon, N.; Kramaric, P.; Kos Kadunc, V.; Sersa, G.; Cemazar, M. Electrochemotherapy as a single or adjuvant treatment to surgery of cutaneous sarcoid tumours in horses: A 31-case retrospective study. Vet. Rec. 2016, 179, 627. [Google Scholar] [CrossRef]
- Seth, R.K.; Abedi, G.; Daccache, A.J.; Tsai, J.C. Cataract secondary to electrical shock from a Taser gun. J. Cataract Refract. Surg. 2007, 33, 1664–1665. [Google Scholar] [CrossRef]
- Kaergaard, A.; Nielsen, K.J.; Carstensen, O.; Biering, K. Electrical injury and the long-term risk of cataract: A prospective matched cohort study. Acta Ophthalmol. 2023, 101, e88–e94. [Google Scholar] [CrossRef]
- Reddy, S.C. Electric cataract: A case report and review of the literature. Eur. J. Ophthalmol. 1999, 9, 134–138. [Google Scholar] [CrossRef] [PubMed]
- Desai, N.C.; Green, E.M. Equine external beam radiation therapy: Techniques and challenges. Equine Vet. Educ. 2020, 32, 84–89. [Google Scholar] [CrossRef]
- Henson, F.M.D.; Dobson, J.M. Use of radiation therapy in the treatment of equine neoplasia. Equine Vet. Educ. 2004, 16, 315–318. [Google Scholar] [CrossRef]
- Nolan, M.W.; Gieger, T.L. Update in Veterinary Radiation Oncology: Focus on Stereotactic Radiation Therapy. Vet. Clin. N. Am. Small Anim. Pract. 2024, 54, 559–575. [Google Scholar] [CrossRef]
- Gillen, A.; Mudge, M.; Caldwell, F.; Munsterman, A.; Hanson, R.; Brawner, W.; Almond, G.; Green, E.; Stephens, J.; Walz, J. Outcome of external beam radiotherapy for treatment of noncutaneous tumors of the head in horses: 32 cases (1999–2015). J. Vet. Intern. Med. 2020, 34, 2808–2816. [Google Scholar] [CrossRef] [PubMed]
- Gieger, T.L. Radiation Therapy for Brain Tumors in Dogs and Cats. Vet. Clin. N. Am. Small Anim. Pract. 2025, 55, 67–80. [Google Scholar] [CrossRef] [PubMed]
- Bley, C.R.; Sumova, A.; Roos, M.; Kaser-Hotz, B. Irradiation of Brain Tumors in Dogs with Neurologic Disease. J. Vet. Intern. Med. 2005, 19, 849–854. [Google Scholar] [CrossRef]
- Keyerleber, M.A.; McEntee, M.C.; Farrelly, J.; Thompson, M.S.; Scrivani, P.V.; Dewey, C.W. Three-dimensional conformal radiation therapy alone or in combination with surgery for treatment of canine intracranial meningiomas. Vet. Comp. Oncol. 2015, 13, 385–397. [Google Scholar] [CrossRef] [PubMed]
- Widesott, L.; Lorentini, S.; Fracchiolla, F.; Farace, P.; Schwarz, M. Improvements in pencil beam scanning proton therapy dose calculation accuracy in brain tumor cases with a commercial Monte Carlo algorithm. Phys. Med. Biol. 2018, 63, 145016. [Google Scholar] [CrossRef]
- Hollis, A.R. Radiotherapy for the treatment of periocular tumours in the horse. Equine Vet. Educ. 2019, 31, 647–652. [Google Scholar] [CrossRef]
- Moore, C.P.; Corwin, L.A.; Collier, L.L. Keratopathy induced by beta radiation therapy in a horse. Equine Vet. J. 1983, 15, 112–116. [Google Scholar] [CrossRef]
- Wolf, F.; Meier, V.S.; Pot, S.A.; Rohrer Bley, C. Ocular and periocular radiation toxicity in dogs treated for sinonasal tumors: A critical review. Vet. Ophthalmol. 2020, 23, 596–610. [Google Scholar] [CrossRef] [PubMed]
- Seltenhammer, M.H.; Heere-Ress, E.; Brandt, S.; Druml, T.; Jansen, B.; Pehamberger, H.; Niebauer, G.W. Comparative histopathology of grey-horse-melanoma and human malignant melanoma. Pigment Cell Res. 2004, 17, 674–681. [Google Scholar] [CrossRef]
- Wong, K.; van der Weyden, L.; Schott, C.R.; Foote, A.; Constantino-Casas, F.; Smith, S.; Dobson, J.M.; Murchison, E.P.; Wu, H.; Yeh, I.; et al. Cross-species genomic landscape comparison of human mucosal melanoma with canine oral and equine melanoma. Nat. Commun. 2019, 10, 353. [Google Scholar] [CrossRef] [PubMed]
- Uner, O.E.; Gandrakota, N.; Azarcon, C.P.; Grossniklaus, H.E. Animal Models of Uveal Melanoma. Ann. Eye Sci. 2022, 7. [Google Scholar] [CrossRef]
- Stei, M.M.; Loeffler, K.U.; Holz, F.G.; Herwig, M.C. Animal Models of Uveal Melanoma: Methods, Applicability, and Limitations. BioMed Res. Int. 2016, 2016, 4521807. [Google Scholar] [CrossRef]
- Yu, F.-X.; Luo, J.; Mo, J.-S.; Liu, G.; Kim, Y.C.; Meng, Z.; Zhao, L.; Peyman, G.; Ouyang, H.; Jiang, W.; et al. Mutant Gq/11 promote uveal melanoma tumorigenesis by activating YAP. Cancer Cell 2014, 25, 822–830. [Google Scholar] [CrossRef]
- Pan, H.; Ni, H.; Zhang, L.; Xing, Y.; Fan, J.; Li, P.; Li, T.; Jia, R.; Ge, S.; Zhang, H.; et al. P2RX7-V3 is a novel oncogene that promotes tumorigenesis in uveal melanoma. Tumour Biol. 2016, 37, 13533–13543. [Google Scholar] [CrossRef]
- Katopodis, P.; Khalifa, M.S.; Anikin, V. Molecular characteristics of uveal melanoma and intraocular tumors. Oncol. Lett. 2021, 21, 9. [Google Scholar] [CrossRef]
- Pinto, C.; Aluai-Cunha, C.; Santos, A. The human and animals’ malignant melanoma: Comparative tumor models and the role of microbiome in dogs and humans. Melanoma Res. 2023, 33, 87–103. [Google Scholar] [CrossRef] [PubMed]
- van der Weyden, L.; Brenn, T.; Patton, E.E.; Wood, G.A.; Adams, D.J. Spontaneously occurring melanoma in animals and their relevance to human melanoma. J. Pathol. 2020, 252, 4–21. [Google Scholar] [CrossRef]
- Nishiya, A.T.; Massoco, C.O.; Felizzola, C.R.; Perlmann, E.; Batschinski, K.; Tedardi, M.V.; Garcia, J.S.; Mendonça, P.P.; Teixeira, T.F.; Zaidan Dagli, M.L. Comparative Aspects of Canine Melanoma. Vet. Sci. 2016, 3, 7. [Google Scholar] [CrossRef] [PubMed]
- Tsimpaki, T.; Anastasova, R.; Liu, H.; Seitz, B.; Bechrakis, N.E.; Berchner-Pfannschmidt, U.; Kraemer, M.M.; Fiorentzis, M. Calcium Electroporation versus Electrochemotherapy with Bleomycin in an In Vivo CAM-Based Uveal Melanoma Xenograft Model. Int. J. Mol. Sci. 2024, 25, 938. [Google Scholar] [CrossRef]
- Heinzelmann, J.; Hecht, S.; Vogt, A.R.; Siebolts, U.; Kaatzsch, P.; Viestenz, A. Repetitive Bleomycin-Based Electrochemotherapy Improves Antitumor Effectiveness in 3D Tumor Models of Conjunctival Melanoma. J. Clin. Med. 2023, 12, 1087. [Google Scholar] [CrossRef]
- Malho, P.; Dunn, K.; Donaldson, D.; Dubielzig, R.R.; Birand, Z.; Starkey, M. Investigation of prognostic indicators for human uveal melanoma as biomarkers of canine uveal melanoma metastasis. J. Small Anim. Pract. 2013, 54, 584–593. [Google Scholar] [CrossRef]
- Starkey, M.P.; Compston-Garnett, L.; Malho, P.; Dunn, K.; Dubielzig, R. Metastasis-associated microRNA expression in canine uveal melanoma. Vet. Comp. Oncol. 2018, 16, 81–89. [Google Scholar] [CrossRef]
- Rehman, O.; Narang, S.; Nayyar, S.; Aggarwal, P. Unusual case of intraocular medulloepithelioma in an adult male. Rom. J. Ophthalmol. 2021, 65, 296–299. [Google Scholar] [CrossRef]
- Regan, D.P.; Dubielzig, R.R.; Zeiss, C.J.; Charles, B.; Hoy, S.S.; Ehrhart, E.J. Primary primitive neuroectodermal tumors of the retina and ciliary body in dogs. Vet. Ophthalmol. 2013, 16 (Suppl. 1), 87–93. [Google Scholar] [CrossRef] [PubMed]
- Salih, A.; Moore, D.; Giannikaki, S.; Scurrell, E. Malignant ocular teratoid medulloepithelioma in two cats. J. Comp. Pathol. 2023, 201, 10–12. [Google Scholar] [CrossRef] [PubMed]
- Jensen, O.A.; Kaarsholm, S.; Prause, J.U.; Heegaard, S. Neuroepithelial tumor of the retina in a dog. Vet. Ophthalmol. 2003, 6, 57–60. [Google Scholar] [CrossRef]
- Cassoux, N.; Charlotte, F.; Sastre, X.; Orbach, D.; Lehoang, P.; Desjardins, L. Conservative surgical treatment of medulloepithelioma of the ciliary body. Arch. Ophthalmol. 2010, 128, 380–381. [Google Scholar] [CrossRef]
- Yousef, Y.A.; Hajja, S.; AbuRass, H.; AlJboor, M.; Nazzal, R.M.; Nowomiejska, K.; Haddad, H.; Sultan, I. Characteristics, management, and outcome of ocular medulloepithelioma: Systematic review of literature and case report. Ophthalmol. J. 2019, 4, 92–99. [Google Scholar] [CrossRef]
- Tadepalli, S.H.; Shields, C.L.; Shields, J.A.; Honavar, S.G. Intraocular medulloepithelioma—A review of clinical features, DICER 1 mutation, and management. Indian J. Ophthalmol. 2019, 67, 755–762. [Google Scholar] [CrossRef]
- Stathopoulos, C.; Gaillard, M.-C.; Schneider, J.; Munier, F.L. Successful treatment of ciliary body medulloepithelioma with intraocular melphalan chemotherapy: A case report. BMC Ophthalmol. 2020, 20, 239. [Google Scholar] [CrossRef]
- Kaliki, S.; Shields, C.L.; Eagle, R.C.; Vemuganti, G.K.; Almeida, A.; Manjandavida, F.P.; Mulay, K.; Honavar, S.G.; Shields, J.A. Ciliary body medulloepithelioma: Analysis of 41 cases. Ophthalmology 2013, 120, 2552–2559. [Google Scholar] [CrossRef] [PubMed]
- Qu, Y.; Mu, G.; Wu, Y.; Dai, X.; Zhou, F.; Xu, X.; Wang, Y.; Wei, F. Overexpression of DNA methyltransferases 1, 3a, and 3b significantly correlates with retinoblastoma tumorigenesis. Am. J. Clin. Pathol. 2010, 134, 826–834. [Google Scholar] [CrossRef] [PubMed]
- Chen, M.; He, H.; Cheng, H.; Zhang, G. EIF4A3-induced hsa_circ_0078136 inhibits the tumorigenesis of retinoblastoma via IL-17 signaling pathway. Int. Ophthalmol. 2024, 44, 352. [Google Scholar] [CrossRef]
- Edward, D.P.; Alkatan, H.; Rafiq, Q.; Eberhart, C.; Al Mesfer, S.; Ghazi, N.; Al Safieh, L.; Kondkar, A.A.; Abu Amero, K.K. MicroRNA profiling in intraocular medulloepitheliomas. PLoS ONE 2015, 10, e0121706. [Google Scholar] [CrossRef] [PubMed]









| Diagnostic Step | Possible Findings | Literature |
|---|---|---|
| evaluation for symmetry from front of head | exophthalmos, buphthalmos, strabismus | [13,17,26,27,38,51] |
| deformation of the eyeball | [17,27] | |
| vision testing | impairment of vision, blindness, neurologic/neuroophthalmic deficits | [13,25,26,27,28,48,51,52,53,54,55] |
| palpebral and pupillary light reflexes | ||
| overview examination by direct illumination | ocular discharge, epiphora | [46] |
| conjunctival/scleral hyperemia, chemosis | [25,27,52,53,56] | |
| corneal edema, opacification and neovascularization, endothelial opacities | [26,29,43,44,48,51,53,57,58,59] | |
| anisocoria (miosis, mydriasis), dyscoria | [44,48,59] | |
| tonometry | hypertone/glaucoma | [26,27,29,48,53] |
| detailed examination of anterior segment (transillumination and biomicroscopy) | tissue formation (anterior segment) | [26,29,38,43,48,52,53,56,57,58,59,60] |
| flare, hyphema, hypopyon, fibrin | [22,43,44,56] | |
| iris: rubeosis iridis, thickening, pigment anomalies, tissue formation | [43,44,46,56,57,59] | |
| inducing mydriasis | delayed or not possible | [44,52] |
| detailed examination of posterior segment (transillumination, biomicroscopy, retro-illumination, direct and indirect ophthalmoscopy) | tissue formation (posterior segment) | [25,28,38,52,54,55,61] |
| vitreal hemorrhage, fibrin, flare, degeneration, syneresis | [25,26,52] | |
| lens: opacification, subluxation, luxation, synechiae | [29,48,52,57] | |
| abnormal neuroepithelium and choroidea (retinal detachment, tissue formation, chorioretinal lesions, …) | [25,43] |
| Group | Substances | Used in Human Intraocular Neoplasia [3,4] | Use in Horses [126,127,131] |
|---|---|---|---|
| alkylating agents | cyclophosphamide | lymphoma | |
| chlorambucil | squamous cell carcinoma | ||
| melphalan | |||
| lomustine | squamous cell carcinoma | ||
| cisplatin | sarcoid, sarcoma, melanoma, hemangiosarcoma | ||
| carboplatin | sarcoid, sarcoma, melanoma, hemangiosarcoma | ||
| antitumor antibiotics | doxorubicin | lymphoma, sarcoid, melanoma, carcinoma | |
| mitomycine C | lymphoma, hemangiosarcoma, squamous cell carcinoma, melanoma | ||
| bleomycin | sarcoid | ||
| etoposide | |||
| topotecan | |||
| antitubulin agents | vincristine | lymphoma | |
| corticosteroids | prednisolone | lymphoma, mast cell tumor | |
| dexamethasone | lymphoma, mast cell tumor | ||
| antimetabolites | cytosine arabinoside | lymphoma | |
| 5-fluorouracil | sarcoids, squamous cell carcinoma | ||
| miscellaneous | l-asparaginase | lymphoma |
Disclaimer/Publisher’s Note: The statements, opinions and data contained in all publications are solely those of the individual author(s) and contributor(s) and not of MDPI and/or the editor(s). MDPI and/or the editor(s) disclaim responsibility for any injury to people or property resulting from any ideas, methods, instructions or products referred to in the content. |
© 2025 by the authors. Licensee MDPI, Basel, Switzerland. This article is an open access article distributed under the terms and conditions of the Creative Commons Attribution (CC BY) license (https://creativecommons.org/licenses/by/4.0/).
Share and Cite
Ostendarp, C.; Barton, A.K. Intraocular Tumors in Horses: Diagnosis, Tumor Classification, Oncologic Assessment and Therapy. Vet. Sci. 2025, 12, 1006. https://doi.org/10.3390/vetsci12101006
Ostendarp C, Barton AK. Intraocular Tumors in Horses: Diagnosis, Tumor Classification, Oncologic Assessment and Therapy. Veterinary Sciences. 2025; 12(10):1006. https://doi.org/10.3390/vetsci12101006
Chicago/Turabian StyleOstendarp, Christopher, and Ann Kristin Barton. 2025. "Intraocular Tumors in Horses: Diagnosis, Tumor Classification, Oncologic Assessment and Therapy" Veterinary Sciences 12, no. 10: 1006. https://doi.org/10.3390/vetsci12101006
APA StyleOstendarp, C., & Barton, A. K. (2025). Intraocular Tumors in Horses: Diagnosis, Tumor Classification, Oncologic Assessment and Therapy. Veterinary Sciences, 12(10), 1006. https://doi.org/10.3390/vetsci12101006

