Extracapsular Extension Does Not Decrease Overall Survival in Rectal Cancer Patients with Lymph Node Metastasis Following Neoadjuvant Chemoradiotherapy
Abstract
1. What Does This Paper Add to the Literature?
2. Introduction
3. Methods
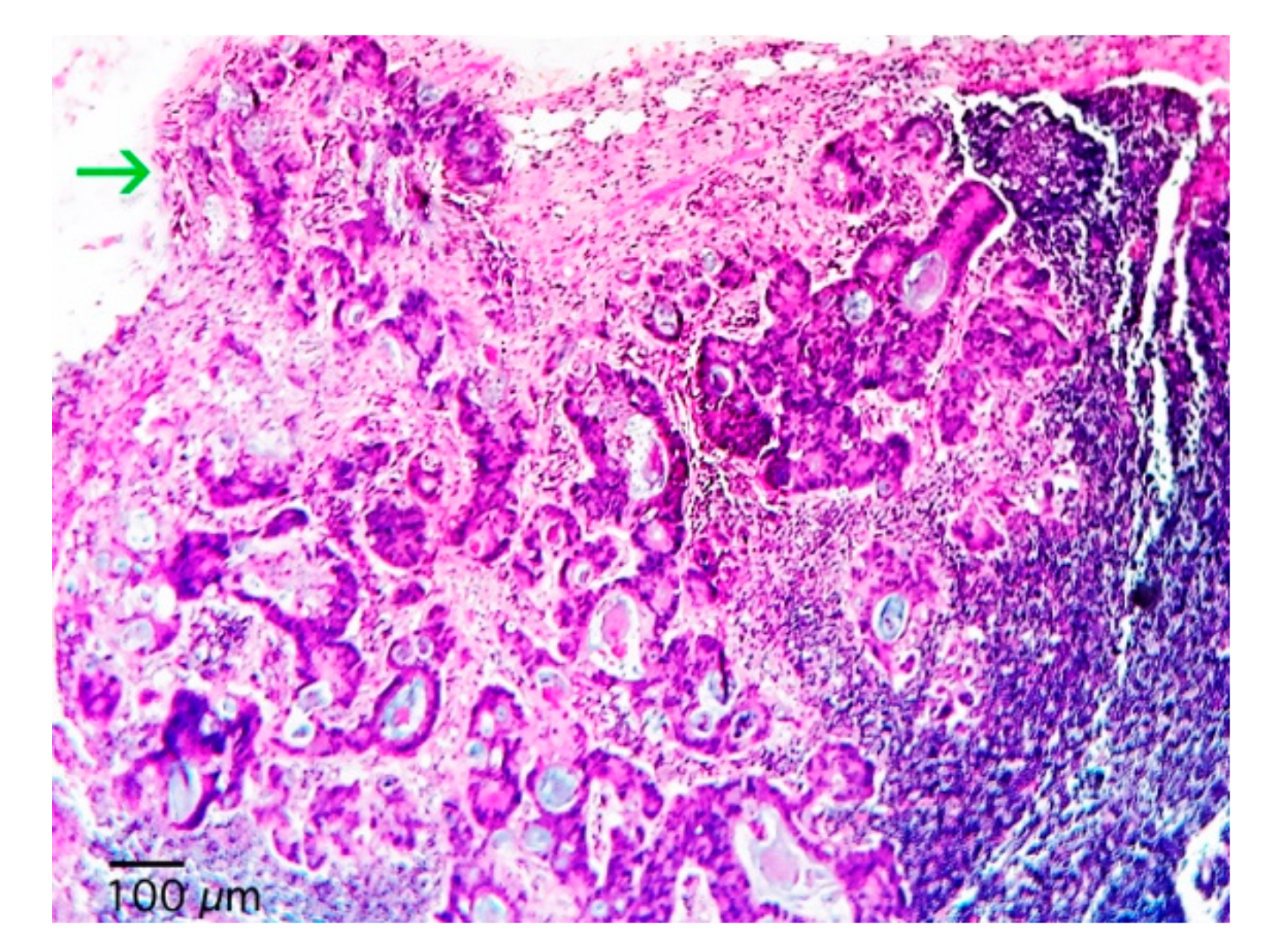
4. Results
5. Discussion
6. Conclusions
Author Contributions
Funding
Conflicts of Interest
References
- Coster, J.R.; Foote, R.L.; Olsen, K.D.; Jack, S.M.; Schaid, D.J.; DeSanto, L.W. Cervical nodal metastasis of squamous cell carcinoma of unknown origin: Indications for withholding radiation therapy. Int. J. Radiat. Oncol. Biol. Phys. 1992, 23, 743–749. [Google Scholar] [CrossRef]
- Leonard, C.; Tompkin, J.; Zhen, B.; Zehn, B.; Waitz, D.; Norton, L. Are axillary recurrence and overall survival affected by axillary extranodal tumor extension in breast cancer? Implications for radiotherapy. J. Clin. Oncol. 1995, 13, 47–53. [Google Scholar] [CrossRef] [PubMed]
- Leemans, C.R.; Tiwari, R.; Nauta, J.J.; van der Waal, I.; Snow, G.B. Regional lymph node involvement and its significance in the development of distant metastases in head and neck carcinoma. Cancer 1993, 71, 452–456. [Google Scholar] [CrossRef]
- Van der Velden, J.; van Lindert, A.C.M.; Lammes, F.B.; ten Kate, F.J.; Sie-Go, D.M.; Oosting, H.; Heintz, A.P.M. Extracapsular growth of lymph node metastasis in squamous cell carcinoma of the vulva: The impact on recurrence and survival. Cancer 1995, 75, 2885–2890. [Google Scholar] [CrossRef]
- Wind, J.; Lagarde, S.M.; Ten Kate, F.J.; Ubbink, D.T.; Bemelman, W.A.; van Lanschot, J.J.B. A systematic review on the significance of extracapsular lymph node involvement in gastrointestinal malignancies. Eur. J. Surg. Oncol. 2007, 33, 401–408. [Google Scholar] [CrossRef] [PubMed]
- Veronese, N.; Nottegar, A.; Pea, A.; Solmi, M.; Stubbs, B.; Capelli, P.; Scarpa, A. Prognostic impact and implications of extracapsular lymph node involvement in colorectal cancer: A systematic review with meta-analysis. Ann. Oncol. 2016, 27, 42–48. [Google Scholar] [CrossRef] [PubMed]
- Fujii, T.; Tabe, Y.; Yajima, R.; Yamaguchi, S.; Tsutsumi, S.; Asao, T.; Kuwano, H. Process of distant lymph node metastasis in colorectal carcinoma: Implication of extracapsular invasion of lymph node metastasis. BMC Cancer 2011, 11, 216. [Google Scholar] [CrossRef] [PubMed]
- Fujii, T.; Tabe, Y.; Yajima, R.; Yamaguchi, S.; Tsutsumi, S.; Asao, T.; Kuwano, H. Extracapsular invasion as a risk factor for disease recurrence in colorectal cancer. World J. Gastroenterol. 2011, 17, 2003–2006. [Google Scholar] [CrossRef] [PubMed]
- Komuta, K.; Okudaira, S.; Haraguchi, M.; Furui, J.; Kanematsu, T. Identification of extracapsular invasion of the metastatic lymph nodes as a useful prognostic sign in patients with resectable colorectal cancer. Dis. Colon Rectum 2001, 44, 1838–1844. [Google Scholar] [CrossRef] [PubMed]
- Heide, J.; Krull, A.; Berger, J. Extracapsular spread of nodal metastasis as a prognostic factor in rectal cancer. Int. J. Radiat. Oncol. Biol. Phys. 2004, 58, 773–778. [Google Scholar] [CrossRef]
- Brabender, J.; Bollschweiler, E.; Hölscher, A.H.; Strobel, K.; Gutschow, C.; Prenzel, K.; Vallböhmer, D. The prognostic impact of extracapsular lymph node involvement in rectal cancer patients: Implications for staging and adjuvant treatment strategies. Oncol. Lett. 2012, 3, 825–830. [Google Scholar] [PubMed]
- Schoenfeld, D.; Richter, J. Nomograms for calculating the number of patients needed for a clinical trial with survival as an endpoint. Biometrics 1982, 38, 163–170. [Google Scholar] [CrossRef] [PubMed]
- Amin, M.B.; Edge, S.B.; Greene, F.L.; Brookland, M.K.; Washington, M.K.; Gershenwald, J.E. (Eds.) AJCC Cancer Staging Manual, 8th ed.; Springer: New York, NY, USA, 2017. [Google Scholar]
- Alakus, H.; Hölscher, A.H.; Grass, G.; Hartmann, E.; Schulte, C.; Drebber, U.; Baldus, S.E.; Bollschweiler, E.; Metzger, R.; Mönig, S.P. Extracapsular lymph node spread: A new prognostic factor in gastric cancer. Cancer 2010, 116, 309–315. [Google Scholar] [CrossRef] [PubMed]
- Lagarde, S.M.; ten Kate, F.J.; de Boer, D.J.; Busch, O.R.; Obertop, H.; van Lanschot, J.J. Extracapsular lymph node involvement in node-positive patients with adenocarcinoma of the distal esophagus or gastroesophageal junction. Am. J. Surg. Pathol. 2006, 30, 171–176. [Google Scholar] [CrossRef] [PubMed]
- Griebling, T.L.; Ozkutlu, D.; See, W.A.; Cohen, M.B. Prognostic implications of extracapsular extension of lymph node metastases in prostate cancer. Mod. Pathol. 1997, 10, 804–809. [Google Scholar] [PubMed]
- Luchini, C.; Nottegar, A.; Solmi, M.; Sergi, G.; Manzato, E.; Capelli, P.; Scarpa, A.; Veronese, N. Prognostic implications of extranodal extension in node-positive squamous cell carcinoma of the vulva: A systematic review and meta-analysis. Surg. Oncol. 2016, 25, 60–65. [Google Scholar] [CrossRef] [PubMed]
- Knol, J.; Keller, D.S. Total Mesorectal Excision Technique-Past, Present, and Future. Clin. Colon Rectal Surg. 2020, 33, 134–143. [Google Scholar] [CrossRef] [PubMed]


| Variable | Values |
|---|---|
| Age Mean (Standard Deviation) | 57.8 (±13.76) |
| Sex - No (%) | |
| Male | 66 (52.4) |
| Female | 60 (47.6) |
| pT - No (%) | |
| pT1 | 8 (6.3) |
| pT2 | 30 (23.8) |
| pT3 | 66 (52.4) |
| pT4 | 22 (17.4) |
| pN - No (%) | |
| pN1a | 50 (39.7) |
| pN1b | 44 (34.9) |
| pN2a | 16 (12.7) |
| pN2b | 16 (12.7) |
| Grade - No (%) | |
| G1 | 20 (15.9) |
| G2 | 66 (52.4) |
| G3 | 40 (31.7) |
| Lymphovascular Invasion No (%) | |
| No | 84 (66.7) |
| Yes | 42 (33.3) |
| Venous Invasion - No (%) | |
| No | 104 (82.5) |
| Yes | 22 (17.5) |
| Perineural Invasion - No (%) | |
| No | 88 (69.8) |
| Yes | 38 (30.2) |
| Median (Interquartile Range) of Resected Lymph Nodes | 28 (12–19.7) |
| Median (Interquartile Range) of Positive Lymph Nodes | 4 (1–4) |
| Median (Interquartile Range) of Tumor Budding—Budding Count/0.785 mm2 | 8 (2–7.5) |
| Extracapsular Extension - No (%) | |
| No | 82 (65.1) |
| Yes | 44 (34.9) |
| Surgical Margins -- No (%) | |
| Negative | 104 (82.5) |
| Positive | 22 (17.5) |
| Mesorectal Quality - No (%) | |
| Incomplete | 28 (22.2) |
| Complete/near complete | 98 (77.8) |
| Ryan tumor Regression Grade - No (%) | |
| Ryan 1 | 32 (25.4) |
| Ryan 2 | 76 (60.3) |
| Ryan 3 | 9 (14.3) |
| Adjuvant Therapy - No (%) | |
| No | 14 (11.1) |
| Yes | 112 (88.9) |
| Outcome - No (%) | |
| Alive | 102 (81) |
| Dead | 24 (19) |
| Variable | No-Extracapsular Extension (n = 82) | Extracapsular Extension (n = 44) | p-Value |
|---|---|---|---|
| Sex–n (%) | |||
| Female | 36 (43.9) | 24 (54.5) | 0.420 |
| Male | 46 (56.1) | 20 (45.5) | |
| AJCC Pathologic T stage–n (%) | |||
| pT1–2 | 30 (36.6) | 8 (18.2) | 0.129 |
| pT3–4 | 52 (63.4) | 36 (81.8) | |
| AJCC Pathologic N stage–n (%) | |||
| pN1 | 70 (85.4) | 24 (54.5) | 0.007 |
| pN2 | 12 (14.6) | 20 (45.5) | |
| Histologic Grade–n (%) | |||
| G1-G2 | 58 (70.7) | 26 (59) | 0.439 |
| G3 | 24 (29.3) | 18 (41) | |
| Lymphovascular Invasion–n (%) | |||
| No | 58 (70.7) | 26 (59.1) | 350 |
| Yes | 24 (29.3) | 18 (40.9) | |
| Venous Invasion–n (%) | |||
| No | 68 (82.9) | 36 (81.8) | 0.912 |
| Yes | 14 (17.1) | 8 (18.2) | |
| Perineural Invasion–n (%) | |||
| No | 68 (80.5) | 22 (50) | 0.012 |
| Yes | 14 (17.1) | 22 (50) | |
| Mesorectal Quality–n (%) | |||
| Adequate | 66 (80.5) | 32 (72.7) | 0.769 |
| Inadequate | 16 (19.5) | 12 (27.3) | |
| Tumor budding–Median (IQR) | 4 (1–6) | 6 (2–9) | 0.103 |
| Positive Lymph Nodes–Median (IQR) | 1 (1–3) | 3 (2–5) | 0.004 |
| Resected Lymph Nodes–Median (IQR) | 13 (12–17) | 16 (13–27) | 0.035 |
| Surgical Margins–n (%) | |||
| Negative | 72 (87.8) | 32 (72.7) | 0.196 |
| Positive | 10 (12.2) | 12 (27.3) | |
| Ryan tumor Regression Score–n (%) | |||
| Ryan 1 | 20 (24.4) | 12 (27.3) | 0.312 |
| Ryan 2 | 54 (65.9) | 22 (50) | |
| Ryan 3 | 8 (9.8) | 10 (22.7) | |
| Adjuvant Therapy–n (%) | |||
| No | 6 (7.3) | 8 (18.2) | 0.191 |
| Yes | 76 (92.7) | 36 (81.8) | |
| Outcome–n (%) | |||
| Alive | 68 (82.9) | 34 (77.3) | 0.586 |
| Dead | 14 (17.1) | 10 (22.7) |
| Variable | 5-year Overall Survival (%) | Median Overall Survival (Months) | p * |
|---|---|---|---|
| Sex | |||
| Women | 98.6 | 79.7 | 0.305 |
| Men | 88.3 | 71.4 | |
| Pathologic T stage | |||
| pT1-pT2 | 100 | 113.3 | 0.006 |
| pT3-pT4 | 55.9 | 70.5 | |
| Pathologic N stage | |||
| pN1 | 84.5 | 100.5 | 0.037 |
| pN2 | 40.1 | 61.4 | |
| Histologic Grade | |||
| G1-G2 | 86.1 | 99.5 | 0.011 |
| G3 | 40.6 | 40.5 | |
| Lymphovascular Invasion | |||
| No | 77.7 | 95 | 0.789 |
| Yes | 72.6 | 76 | |
| Perineural Invasion | |||
| No | 86.3 | 102.4 | 0.006 |
| Yes | 0 | 40.6 | |
| Surgical Margin | |||
| Negative | 78.4 | N.C. | 0.283 |
| Positive | 64.3 | N.C. | |
| Tumor Deposits | |||
| No | 84.1 | 99 | 0.202 |
| Yes | 61.4 | 82.5 | |
| Mesorectal Quality | |||
| Adequate | 80.1 | 97.4 | 0.186 |
| Inadequate | 61.6 | 71.9 | |
| Adjuvant Therapy | |||
| No | 85.7 | 102.4 | 0.699 |
| Yes | 74.6 | 80.4 | |
| Tumor Regression Grade | |||
| Ryan 1 (good) | 93.8 | 103.6 | 0.404 |
| Ryan 2 (moderate) | 72.8 | 81 | |
| Ryan 3 (poor) | 54.7 | 79.3 | |
| Extracapsular Extension | |||
| No | 81.2 | 84.1 | 0.320 |
| Yes | 63.9 | 86.5 |
Publisher’s Note: MDPI stays neutral with regard to jurisdictional claims in published maps and institutional affiliations. |
© 2020 by the authors. Licensee MDPI, Basel, Switzerland. This article is an open access article distributed under the terms and conditions of the Creative Commons Attribution (CC BY) license (http://creativecommons.org/licenses/by/4.0/).
Share and Cite
Lino-Silva, L.S.; Sánchez-Acosta, C.I.; Salcedo-Hernández, R.A.; Zepeda-Najar, C. Extracapsular Extension Does Not Decrease Overall Survival in Rectal Cancer Patients with Lymph Node Metastasis Following Neoadjuvant Chemoradiotherapy. Gastroenterol. Insights 2020, 11, 11-19. https://doi.org/10.3390/gastroent11020004
Lino-Silva LS, Sánchez-Acosta CI, Salcedo-Hernández RA, Zepeda-Najar C. Extracapsular Extension Does Not Decrease Overall Survival in Rectal Cancer Patients with Lymph Node Metastasis Following Neoadjuvant Chemoradiotherapy. Gastroenterology Insights. 2020; 11(2):11-19. https://doi.org/10.3390/gastroent11020004
Chicago/Turabian StyleLino-Silva, Leonardo S., Carmen I. Sánchez-Acosta, Rosa A. Salcedo-Hernández, and César Zepeda-Najar. 2020. "Extracapsular Extension Does Not Decrease Overall Survival in Rectal Cancer Patients with Lymph Node Metastasis Following Neoadjuvant Chemoradiotherapy" Gastroenterology Insights 11, no. 2: 11-19. https://doi.org/10.3390/gastroent11020004
APA StyleLino-Silva, L. S., Sánchez-Acosta, C. I., Salcedo-Hernández, R. A., & Zepeda-Najar, C. (2020). Extracapsular Extension Does Not Decrease Overall Survival in Rectal Cancer Patients with Lymph Node Metastasis Following Neoadjuvant Chemoradiotherapy. Gastroenterology Insights, 11(2), 11-19. https://doi.org/10.3390/gastroent11020004

