Not All Porcine Intestinal Segments Are Equal in Terms of Breaking Force, but None Were Associated to Allometric Parameters
Abstract
:1. Introduction
2. Materials and Methods
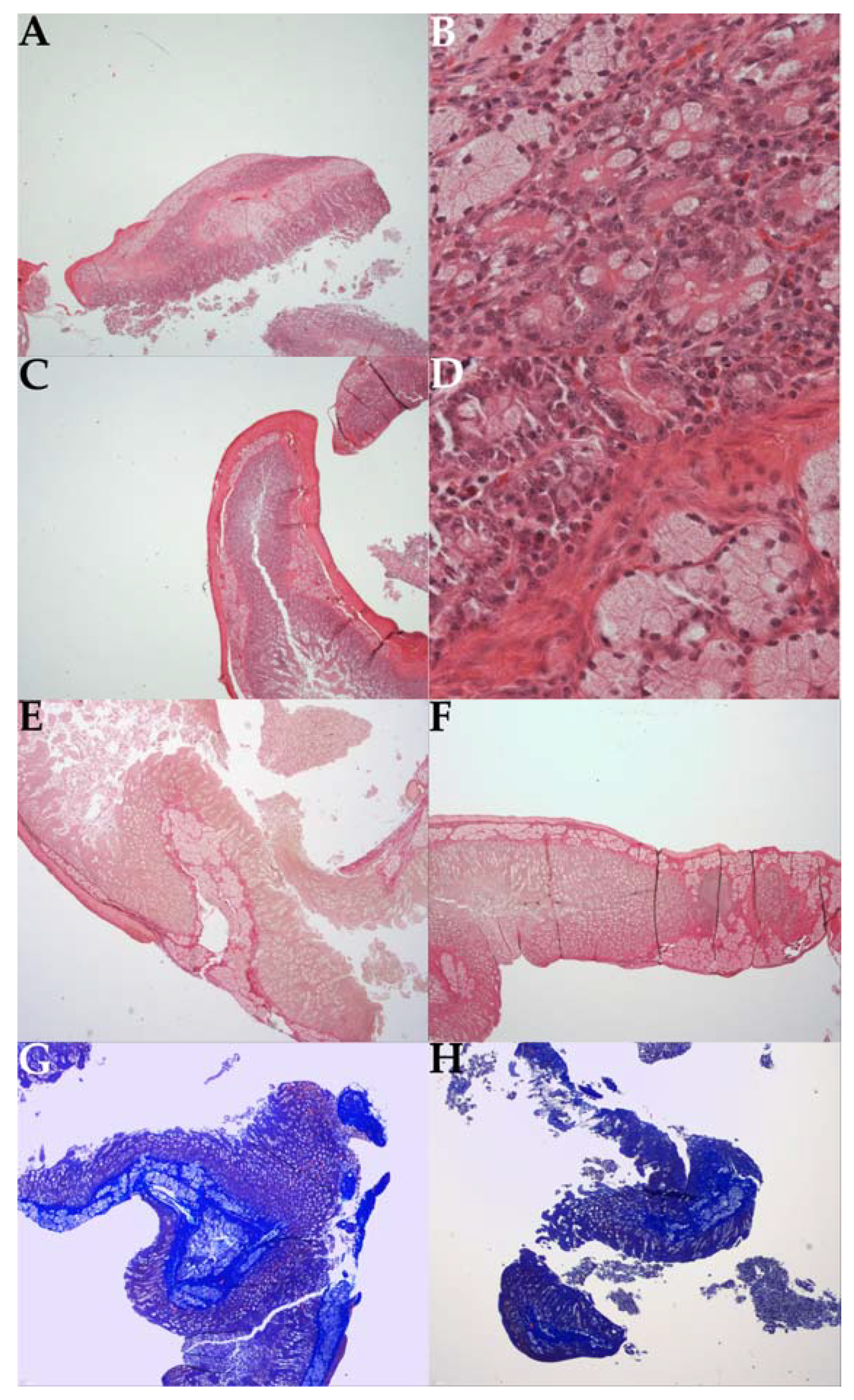
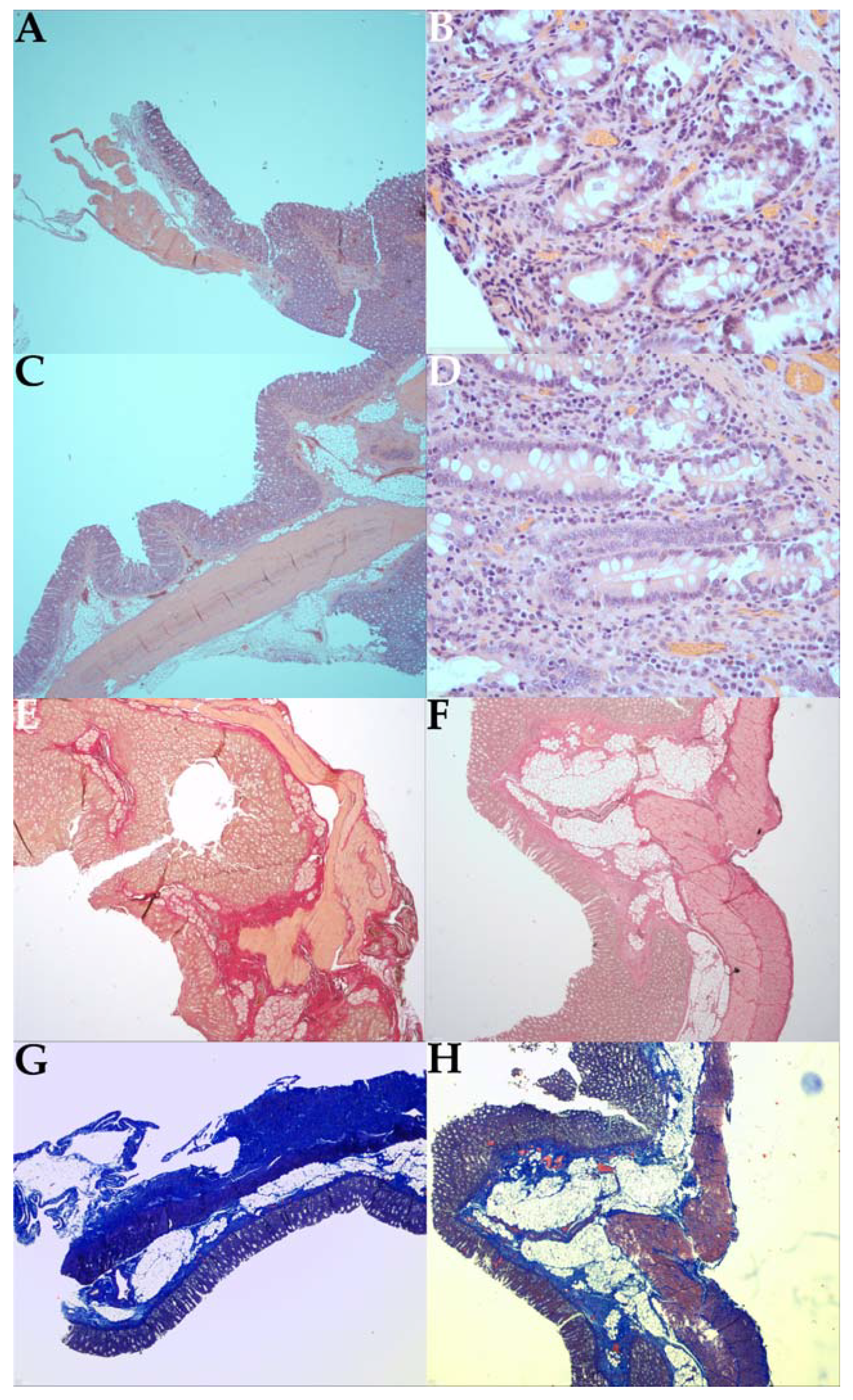
3. Results
4. Discussion
Author Contributions
Funding
Institutional Review Board Statement
Data Availability Statement
Conflicts of Interest
References
- Livaditis, A.; Rådberg, L.; Odensjö, G. Esophageal End-to-End Anastomosis: Reduction of Anastomotic Tension by Circular Myotomy. Scand. J. Thorac. Cardiovasc. Surg. 1972, 6, 206–214. [Google Scholar] [CrossRef]
- Takada, Y.; Kent, G.; Filler, R.M. Circular myotomy and esophageal length and safe esophageal anastomosis: An experimental study. J. Pediatr. Surg. 1981, 16, 343–348. [Google Scholar] [CrossRef]
- Fujiwara, H.; Kuga, T.; Esato, K. High submucosal blood flow and low anastomotic tension prevent anastomotic leakage in rabbits. Surg. Today 1997, 27, 924–929. [Google Scholar] [CrossRef]
- Ekmektzoglou, K.A.; Xanthos, T.; Dontas, I.A.; Zografos, G.C.; Giannopoulos, P.; Pantopoulou, A.; Papanicolopulos, S.A.; Kourkoulis, S.K.; Perrea, D.N. A Research Model of Measuring the Tensile Strength of Colonic Anastomosis in Wistar Rats. Scand. J. Lab. Anim. Sci. 2008, 35, 313–320. [Google Scholar]
- Tagkalos, E.; Lindner, A.; Gruber, G.; Lang, H.; Heimann, A.; Grimminger, P.P.; Muensterer, O.J.; von Sochaczewski, C.O. Using simple interrupted suture anastomoses may impair translatability of experimental rodent oesophageal surgery. Acta Chir. Belg. 2020, 120, 310–314. [Google Scholar] [CrossRef]
- Ell, C.; May, A.; Gossner, L.; Pech, O.; Günter, E.; Mayer, G.; Henrich, R.; Vieth, M.; Müller, H.; Seitz, G.; et al. Endoscopic mucosal resection of early cancer and high-grade dysplasia in Barrett’s esophagus. Gastroenterology 2000, 118, 670–677. [Google Scholar] [CrossRef]
- Pech, O.; May, A.; Manner, H.; Behrens, A.; Pohl, J.; Weferling, M.; Hartmann, U.; Manner, N.; Huijsmans, J.; Gossner, L.; et al. Long-term efficacy and safety of endoscopic resection for patients with mucosal adenocarcinoma of the esophagus. Gastroenterology 2014, 146, 652–660.e1. [Google Scholar] [CrossRef]
- Ritz, L.A.; Hajji, M.S.; Schwerd, T.; Koletzko, S.; Von Schweinitz, D.; Lurz, E.; Hubertus, J. Esophageal Perforation and EVAC in Pediatric Patients: A Case Series of Four Children. Front. Pediatr. 2021, 9, 727472. [Google Scholar] [CrossRef]
- Kaczmarek, D.J.; Heling, D.J.; Strassburg, C.P.; Katzer, D.; Düker, G.; Strohm, J.; Müller, A.; Heydweiller, A.; Weismüller, T.J. Management of esophageal perforations in infants by endoscopic vacuum therapy: A single center case series. BMC Gastroenterol. 2022, 22, 282. [Google Scholar] [CrossRef]
- Fontanella, C.G.; Carniel, E.L. Biomechanics of Hollow Organs: Experimental Testing and Computational Modeling. Bioengineering 2023, 10, 175. [Google Scholar] [CrossRef]
- Egorov, V.I.; Schastlivtsev, I.V.; Prut, E.V.; Baranov, A.O.; Turusov, R.A. Mechanical properties of the human gastrointestinal tract. J. Biomech. 2002, 35, 1417–1425. [Google Scholar] [CrossRef]
- Bourgouin, S.; Bège, T.; Masson, C.; Arnoux, P.-J.; Mancini, J.; Garcia, S.; Brunet, C.; Berdah, S.V. Biomechanical characterisation of fresh and cadaverous human small intestine: Applications for abdominal trauma. Med. Biol. Eng. Comput. 2012, 50, 1279–1288. [Google Scholar] [CrossRef]
- Chlumsky, V. Experimentelle Untersuchungen über die verschiedenen Methoden der Darmvereinigung. Bruns Beitr Klin Chir. 1899, 25, 539–600. [Google Scholar]
- Hendriks, T.; Mastboom, W.J.B. Healing of experimental intestinal anastomoses: Parameters for repair. Dis. Colon Rectum 1990, 33, 891–901. [Google Scholar] [CrossRef] [PubMed]
- Juo, Y.-Y.; Dutson, E. Comment on: Improving the side-to-side stapled anastomosis: Comparison of staplers for robust crotch formation. Surg. Obes. Relat. Dis. 2018, 14, 21–22. [Google Scholar] [CrossRef] [PubMed]
- Howes, E.L.; Sooy, J.W.; Harvey, S.C. The Healing of wounds as determined by their tensile strength. JAMA 1929, 92, 42–45. [Google Scholar] [CrossRef]
- Schneider, J.; Duckworth-Mothes, B.; Schweizer, U.; Königsrainer, A.; Fisch, J.; Wichmann, D. Exerting Forces and Wall Load during Duodenoscopy for ERCP: An Experimental Measurement in an Artificial Model. Bioengineering 2023, 10, 523. [Google Scholar] [CrossRef]
- Johnson, S.; Schultz, M.; Scholze, M.; Smith, T.; Woodfield, J.; Hammer, N. How much force is required to perforate a colon during colonoscopy? An experimental study. J. Mech. Behav. Biomed. Mater. 2019, 91, 139–148. [Google Scholar] [CrossRef]
- Bhattarai, A.; Kowalczyk, W.; Tran, T.N. A literature review on large intestinal hyperelastic constitutive modeling. Clin. Biomech. 2021, 88, 105445. [Google Scholar] [CrossRef]
- Bhattarai, A.; May, C.A.; Staat, M.; Kowalczyk, W.; Tran, T.N. Layer-Specific Damage Modeling of Porcine Large Intestine under Biaxial Tension. Bioengineering 2022, 9, 528. [Google Scholar] [CrossRef] [PubMed]
- Lossi, L.; D’Angelo, L.; De Girolamo, P.; Merighi, A. Anatomical features for an adequate choice of experimental animal model in biomedicine: II. Small laboratory rodents, rabbit, and pig. Ann. Anat. 2016, 204, 11–28. [Google Scholar] [CrossRef] [PubMed]
- Chalstrey, L.J.; Parbhoo, S.P.; Tappin, A.; Baker, G.J.; Gracey, L.R.H.; Mullen, P.A.; Lester, R. Technique of orthotopic liver transplantation in the pig. Br. J. Surg. 1971, 58, 585–588. [Google Scholar] [CrossRef] [PubMed]
- Zhang, Y.; Huang, T.; Wang, P.; Li, W.; Yu, M. Comparison of morphology and microstructural components of hepatic portal vein between human and pig. J. Huazhong Univ. Sci. Technol. Med. Sci. 2005, 25, 419–422. [Google Scholar] [CrossRef]
- Livaditis, A.; Jönsson, L. The piglet in experimental pediatric surgery. Z. Versuchstierkd. 1979, 21, 78–82. [Google Scholar]
- Glauser, E.M. Advantages of piglets as experimental animals in pediatric research. Exp. Med. Surg. 1966, 24, 181–190. [Google Scholar]
- Nonaka, K.; Miyazawa, M.; Ban, S.; Aikawa, M.; Akimoto, N.; Koyama, I.; Kita, H. Different healing process of esophageal large mucosal defects by endoscopic mucosal dissection between with and without steroid injection in an animal model. BMC Gastroenterol. 2013, 13, 72. [Google Scholar] [CrossRef]
- Li, L.; Itani, M.I.; Salimian, K.J.; Li, Y.; Gutierrez, O.B.; Hu, H.; Fayad, G.; Donet, J.A.; Joo, M.K.; Ensign, L.M.; et al. A patient-like swine model of gastrointestinal fibrotic strictures for advancing therapeutics. Sci. Rep. 2021, 11, 13344. [Google Scholar] [CrossRef]
- Yamashita, H.; Ikematsu, H.; Murano, T.; Aoyama, N.; Kano, Y.; Mitsui, T.; Sunakawa, H.; Shinmura, K.; Takashima, K.; Nakajo, K.; et al. The usefulness of a double-balloon endolumenal interventional platform for colorectal endoscopic submucosal dissection by non-expert endoscopists in a porcine model (with video). Surg. Endosc. 2022, 36, 7818–7826. [Google Scholar] [CrossRef]
- Ali-Mohamad, N.; Cau, M.F.; Zenova, V.; Baylis, J.R.; Beckett, A.; McFadden, A.; Donnellan, F.; Kastrup, C.J. Self-propelling thrombin powder enables hemostasis with no observable recurrent bleeding or thrombosis over 3 days in a porcine model of upper GI bleeding. Gastrointest. Endosc. 2023, 98, 245–248. [Google Scholar] [CrossRef]
- Cai, Q.; Fu, H.; Zhang, L.; Shen, M.; Yi, S.; Xie, R.; Lan, W.; Dong, W.; Chen, X.; Zhang, J.; et al. Twin-grasper assisted mucosal inverted closure achieves complete healing of large perforations after gastric endoscopic full-thickness resection. Dig. Endosc. 2023, 35, 736–744. [Google Scholar] [CrossRef]
- Soeder, M.; Turshudzhyan, A.; Rosenberg, L.; Tadros, M. High-Quality Colonoscopy: A Review of Quality Indicators and Best Practices. Gastroenterol. Insights 2022, 13, 162–172. [Google Scholar] [CrossRef]
- Huang, J.; Du, B.; Qiao, W.; Huang, S.; Xue, L.; Deng, L.; Liang, J.; Wang, J.; Li, J.; Chen, Y. Endoscopic submucosal dissection training: Evaluation of an ex vivo training model with continuous perfusion (ETM-CP) for hands-on teaching and training in China. Surg. Endosc. 2023, 37, 4774–4783. [Google Scholar] [CrossRef]
- Gonzalez, J.-M.; Meunier, E.; Debourdeau, A.; Basile, P.; Le-Mouel, J.-P.; Caillo, L.; Vitton, V.; Barthet, M. Training in esophageal peroral endoscopic myotomy (POEM) on an ex vivo porcine model: Learning curve study and training strategy. Surg. Endosc. 2023, 37, 2062–2069. [Google Scholar] [CrossRef] [PubMed]
- Lukas, M.; Kolar, M.; Ryska, O.; Juhas, S.; Juhasova, J.; Kalvach, J.; Pazin, J.; Kocisova, T.; Foltan, O.; Kristianova, H.; et al. Novel porcine model of Crohn’s disease anastomotic stricture suitable for evaluation and training of advanced endoscopic techniques. Gastrointest. Endosc. 2021, 93, 250–256. [Google Scholar] [CrossRef] [PubMed]
- Steger, J.; Kwade, C.; Berlet, M.; Krumpholz, R.; Ficht, S.; Wilhelm, D.; Mela, P. The colonoscopic vacuum model–simulating biomechanical restrictions to provide a realistic colonoscopy training environment. Int. J. Comput. Assist. Radiol. Surg. 2023, 18, 105–116. [Google Scholar] [CrossRef] [PubMed]
- Erridge, S.; Payne, C.J.; Sodergren, M. Novel clip applicator for minimally invasive surgery. Surg. Endosc. 2019, 33, 2710–2718. [Google Scholar] [CrossRef]
- Giaccaglia, V.; Antonelli, M.S.; Addario Chieco, P.; Cocorullo, G.; Cavallini, M.; Gulotta, G. Technical characteristics can make the difference in a surgical linear stapler. Or not? J. Surg. Res. 2015, 197, 101–106. [Google Scholar] [CrossRef]
- Giaccaglia, V.; Antonelli, M.S.; Franceschilli, L.; Salvi, P.F.; Gaspari, A.L.; Sileri, P. Different characteristics of circular staplers make the difference in anastomotic tensile strength. J. Mech. Behav. Biomed. Mater. 2016, 53, 295–300. [Google Scholar] [CrossRef]
- Vilz, T.O.; Sommer, N.; Kahl, P.; Pantelis, D.; Kalff, J.C.; Wehner, S. Oral CPSI-2364 Treatment Prevents Postoperative Ileus in Swine without Impairment of Anastomotic Healing. Cell. Physiol. Biochem. 2013, 32, 1362–1373. [Google Scholar] [CrossRef]
- von Kortzfleisch, V.T.; Karp, N.A.; Palme, R.; Kaiser, S.; Sachser, N.; Richter, S.H. Improving reproducibility in animal research by splitting the study population into several ‘mini-experiments’. Sci. Rep. 2020, 10, 16579. [Google Scholar] [CrossRef]
- Yang, Q.; Pröll, M.J.; Salilew-Wondim, D.; Zhang, R.; Tesfaye, D.; Fan, H.; Cinar, M.U.; Große-Brinkhaus, C.; Tholen, E.; Islam, M.A.; et al. LPS-induced expression of CD14 in the TRIF pathway is epigenetically regulated by sulforaphane in porcine pulmonary alveolar macrophages. Innate Immun. 2016, 22, 682–695. [Google Scholar] [CrossRef] [PubMed]
- Kratz, T.; Ruff, R.; Koch, T.; Kronberg, A.-S.; Breuer, J.; Asfour, B.; Herberg, U.; Bierbach, B. Proof of concept of an accelerometer as a trigger for unilateral diaphragmatic pacing: A porcine model. Biomed. Eng. OnLine 2023, 22, 55. [Google Scholar] [CrossRef] [PubMed]
- Obernier, J.A.; Baldwin, R.L. Establishing an Appropriate Period of Acclimatization Following Transportation of Laboratory Animals. ILAR J. 2006, 47, 364–369. [Google Scholar] [CrossRef]
- Poore, K.R.; Fowden, A.L. Insulin sensitivity in juvenile and adult Large White pigs of low and high birthweight. Diabetologia 2004, 47, 340–348. [Google Scholar] [CrossRef]
- Thacker, H.L. Necropsy of the Feeder Pig and Adult Swine. Vet. Clin. N. Am. Food Anim. Pract. 1986, 2, 173–186. [Google Scholar] [CrossRef] [PubMed]
- Cui, Y.; Urschel, J.D. Comparison of anastomotic suturing techniques in the rat esophagus. J. Cardiovasc. Surg. 1999, 40, 613–614. [Google Scholar]
- Oetzmann von Sochaczewski, C.; Tagkalos, E.; Lindner, A.; Baumgart, N.; Gruber, G.; Baumgart, J.; Lang, H.; Heimann, A.; Muensterer, O.J. Bodyweight, Not Age, Determines Oesophageal Length and Breaking Strength in Rats. J. Pediatr. Surg. 2019, 54, 297–302. [Google Scholar] [CrossRef]
- Saxena, A.K.; Biro, E.; Sommer, G.; Holzapfel, G.A. Esophagus stretch tests: Biomechanics for tissue engineering and possible implications on the outcome of esophageal atresia repairs performed under excessive tension. Esophagus 2021, 18, 346–352. [Google Scholar] [CrossRef]
- Toczewski, K.; Gerus, S.; Kaczorowski, M.; Kozuń, M.; Wolicka, J.; Bobrek, K.; Filipiak, J.; Patkowski, D. Biomechanics of esophageal elongation with traction sutures on experimental animal model. Sci. Rep. 2022, 12, 3420. [Google Scholar] [CrossRef]
- Behrend, M.; Kluge, E.; Schüttler, W.; Klempnauer, J. Breaking strength of native and sutured trachea. An experimental study on sheep trachea. Eur. Surg. Res. 2001, 33, 255–263. [Google Scholar] [CrossRef]
- Karliczek, A.; Zeebregts, C.J.; Benaron, D.A.; Coppes, R.P.; Wiggers, T.; Van Dam, G.M. Preoperative irradiation with 5 × 5 Gy in a murine isolated colon loop model does not cause anastomotic weakening after colon resection. Int. J. Colorectal Dis. 2008, 23, 1115–1124. [Google Scholar] [CrossRef] [PubMed]
- Karliczek, A.; Benaron, D.A.; Zeebregts, C.J.; Wiggers, T.; Van Dam, G.M. Intraoperative Ischemia of the Distal End of Colon Anastomoses as Detected With Visible Light Spectroscopy Causes Reduction of Anastomotic Strength. J. Surg. Res. 2009, 152, 288–295. [Google Scholar] [CrossRef] [PubMed]
- Oetzmann von Sochaczewski, C.; Tagkalos, E.; Lindner, A.; Lang, H.; Heimann, A.; Schröder, A.; Grimminger, P.P.; Muensterer, O.J. Esophageal biomechanics revisited: A tale of tenacity, anastomoses, and suture bite lengths in swine. Ann. Thorac. Surg. 2019, 107, 1670–1677. [Google Scholar] [CrossRef] [PubMed]
- Oetzmann von Sochaczewski, C.; Tagkalos, E.; Lindner, A.; Lang, H.; Heimann, A.; Muensterer, O. Technical Aspects in Esophageal Lengthening: An Investigation of Traction Procedures and Suturing Techniques in Swine. Eur. J. Pediatr. Surg. 2019, 29, 481–484. [Google Scholar] [CrossRef]
- Oetzmann von Sochaczewski, C.; Tagkalos, E.; Lindner, A.; Lang, H.; Heimann, A.; Muensterer, O.J. A Continuous Suture Anastomosis Outperforms a Simple Interrupted Suture Anastomosis in Esophageal Elongation. Eur. J. Pediatr. Surg. 2020, 31, 177–181. [Google Scholar] [CrossRef]
- Kratz, T.; Ruff, R.; Bernhardt, M.; Katzer, D.; Herberg, U.; Asfour, B.; Breuer, J.; Oetzmann Von Sochaczewski, C.; Bierbach, B. A porcine model of postoperative hemi-diaphragmatic paresis to evaluate a unilateral diaphragmatic pacemaker. Sci. Rep. 2023, 13, 12628. [Google Scholar] [CrossRef]
- Ogurtan, Z.; Gezici, M.; Kul, M.; Ceylan, C.; Alkan, F. Compararative study of bursting and tensile strengths of digestive tract in the dog. Application to esophago-intestinal sutures. Rev. Méd. Vét. 2001, 152, 491–494. [Google Scholar]
- Faul, F.; Erdfelder, E.; Lang, A.-G.; Buchner, A. G*Power 3: A flexible statistical power analysis program for the social, behavioral, and biomedical sciences. Behav. Res. Methods 2007, 39, 175–191. [Google Scholar] [CrossRef]
- Noar, M.D. An Established Porcine Model for Animate Training in Diagnostic and Therapeutic ERCP. Endoscopy 1995, 27, 77–80. [Google Scholar] [CrossRef]
- Hochberger, J.; Maiss, J.; Magdeburg, B.; Cohen, J.; Hahn, E.G. Training Simulators and Education in Gastrointestinal Endoscopy: Current Status and Perspectives in 2001. Endoscopy 2001, 33, 541–549. [Google Scholar] [CrossRef]
- La Francesca, S.; Aho, J.M.; Barron, M.R.; Blanco, E.W.; Soliman, S.; Kalenjian, L.; Hanson, A.D.; Todorova, E.; Marsh, M.; Burnette, K.; et al. Long-term regeneration and remodeling of the pig esophagus after circumferential resection using a retrievable synthetic scaffold carrying autologous cells. Sci. Rep. 2018, 8, 4123. [Google Scholar] [CrossRef]
- Swindle, M.M.; Smith, A.C.; Hepburn, B.J.S. Swine as Models in Experimental Surgery. J. Investig. Surg. 1988, 1, 65–79. [Google Scholar] [CrossRef] [PubMed]
- Khoorjestan, S.M.; Rouhi, G.; Toolabi, K. Experimental Investigations on Intestinal Anastomosis—A Comparison between Automatic and Hand Suturing Techniques. J. Mech. Med. Biol. 2016, 16, 1650056. [Google Scholar] [CrossRef]
- Carniel, E.L.; Frigo, A.; Fontanella, C.G.; De Benedictis, G.M.; Rubini, A.; Barp, L.; Pluchino, G.; Sabbadini, B.; Polese, L. A biomechanical approach to the analysis of methods and procedures of bariatric surgery. J. Biomech. 2017, 56, 32–41. [Google Scholar] [CrossRef] [PubMed]
- Kimura, M.; Takahashi, H.; Tanaka, T.; Sagawa, H.; Takeyama, H. Profiling Surgical Staplers: Does Staple Direction Affect the Strength of the Anastomosis? Dig. Surg. 2015, 32, 454–458. [Google Scholar] [CrossRef] [PubMed]
- Li, W.C.; Zhang, H.M.; Li, J.; Dong, R.K.; Yao, B.C.; He, X.J.; Wang, H.Q.; Song, J. Comparison of Biomechanical Properties of Bile Duct Between Pigs and Humans for Liver Xenotransplant. Transplant. Proc. 2013, 45, 741–747. [Google Scholar] [CrossRef]
- Morse, B.C.; Simpson, J.P.; Jones, Y.R.; Johnson, B.L.; Knott, B.M.; Kotrady, J.A. Determination of independent predictive factors for anastomotic leak: Analysis of 682 intestinal anastomoses. Am. J. Surg. 2013, 206, 950–956. [Google Scholar] [CrossRef]
- Stavropoulou, E.A.; Dafalias, Y.F.; Sokolis, D.P. Biomechanical behavior and histological organization of the three-layered passive esophagus as a function of topography. Proc. Inst. Mech. Eng. Part H 2012, 226, 477–490. [Google Scholar] [CrossRef]
- Dou, Y.; Zhao, J.; Gregersen, H. Morphology and Stress-Strain Properties Along the Small Intestine in the Rat. J. Biomech. Eng. 2003, 125, 266–273. [Google Scholar] [CrossRef]
- Gao, C.; Gregersen, H. Biomechanical and morphological properties in rat large intestine. J. Biomech. 2000, 33, 1089–1097. [Google Scholar] [CrossRef]
- Watters, D.A.; Smith, A.N.; Eastwood, M.A.; Anderson, K.C.; Elton, R.A.; Mugerwa, J.W. Mechanical properties of the colon: Comparison of the features of the African and European colon in vitro. Gut 1985, 26, 384–392. [Google Scholar] [CrossRef] [PubMed]
- Christensen, M.B.; Oberg, K.; Wolchok, J.C. Tensile properties of the rectal and sigmoid colon: A comparative analysis of human and porcine tissue. SpringerPlus 2015, 4, 142. [Google Scholar] [CrossRef]
- Vegesna, A.; Korimilli, A.; Besetty, R.; Bright, L.; Milton, A.; Agelan, A.; McIntyre, K.; Malik, A.; Miller, L. Endoscopic pyloric suturing to facilitate weight loss: A canine model. Gastrointest. Endosc. 2010, 72, 427–431. [Google Scholar] [CrossRef]
- Luo, H.; Pan, Y.; Min, L.; Zhao, L.; Li, J.; Leung, J.; Xue, L.; Yin, Z.; Liu, X.; Liu, Z.; et al. Transgastric endoscopic gastroenterostomy using a partially covered occluder: A canine feasibility study. Endoscopy 2012, 44, 493–498. [Google Scholar] [CrossRef]
- Park, S.J.; Lee, K.Y.; Choi, S.I.; Kang, B.M.; Huh, C.; Choi, D.H.; Lee, C.K. Pure NOTES Rectosigmoid Resection: Transgastric Endoscopic IMA Dissection and Transanal Rectal Mobilization in Animal Models. J. Laparoendosc. Adv. Surg. Tech. 2013, 23, 592–595. [Google Scholar] [CrossRef] [PubMed]
- Nguyễn, N.H.; Dương, M.T.; Trần, T.N.; Phạm, P.T.; Grottke, O.; Tolba, R.; Staat, M. Influence of a freeze–thaw cycle on the stress–stretch curves of tissues of porcine abdominal organs. J. Biomech. 2012, 45, 2382–2386. [Google Scholar] [CrossRef] [PubMed]
- Whiteway, J.; Morson, B.C. Elastosis in diverticular disease of the sigmoid colon. Gut 1985, 26, 258–266. [Google Scholar] [CrossRef]
- Cassidy, D.J.; Coe, T.M.; Jogerst, K.M.; McKinley, S.K.; Sell, N.M.; Sampson, M.; Park, Y.S.; Petrusa, E.; Goldstone, R.N.; Hashimoto, D.A.; et al. Transfer of virtual reality endoscopy training to live animal colonoscopy: A randomized control trial of proficiency vs. repetition-based training. Surg. Endosc. 2022, 36, 6767–6776. [Google Scholar] [CrossRef] [PubMed]
- VanDruff, V.N.; Wong, H.J.; Amundson, J.R.; Wu, H.; Campbell, M.; Kuchta, K.; Hedberg, H.M.; Linn, J.; Haggerty, S.; Denham, W.; et al. “Into the fire” approach to teaching endoscopic foreign body removal using a modular simulation curriculum. Surg. Endosc. 2023, 37, 1412–1420. [Google Scholar] [CrossRef]
- Elefson, S.K.; Lu, N.; Chevalier, T.; Dierking, S.; Wang, D.; Monegue, H.J.; Matthews, J.C.; Jang, Y.D.; Chen, J.; Rentfrow, G.K.; et al. Assessment of visceral organ growth in pigs from birth through 150 kg. J. Anim. Sci. 2021, 99, skab249. [Google Scholar] [CrossRef]
- Von Kortzfleisch, V.T.; Ambrée, O.; Karp, N.A.; Meyer, N.; Novak, J.; Palme, R.; Rosso, M.; Touma, C.; Würbel, H.; Kaiser, S.; et al. Do multiple experimenters improve the reproducibility of animal studies? PLoS Biol. 2022, 20, e3001564. [Google Scholar] [CrossRef]
- Hosseini, H.S.; Dunn, J.C.Y. Biomechanical Force Prediction for Lengthening of Small Intestine during Distraction Enterogenesis. Bioengineering 2020, 7, 140. [Google Scholar] [CrossRef]
- Bonaldi, L.; Berardo, A.; Pirri, C.; Stecco, C.; Carniel, E.L.; Fontanella, C.G. Mechanical Characterization of Human Fascia Lata: Uniaxial Tensile Tests from Fresh-Frozen Cadaver Samples and Constitutive Modelling. Bioengineering 2023, 10, 226. [Google Scholar] [CrossRef] [PubMed]
- Yang, W.; Fung, T.C.; Chian, K.S.; Chong, C.K. Directional, Regional, and Layer Variations of Mechanical Properties of Esophageal Tissue and its Interpretation Using a Structure-Based Constitutive Model. J. Biomech. Eng. 2006, 128, 409. [Google Scholar] [CrossRef] [PubMed]
- Jia, Z.G.; Li, W.; Zhou, Z.R. Mechanical characterization of stomach tissue under uniaxial tensile action. J. Biomech. 2015, 48, 651–658. [Google Scholar] [CrossRef] [PubMed]
- Dou, Y.; Fan, Y.; Zhao, J.; Gregersen, H. Longitudinal residual strain and stress-strain relationship in rat small intestine. Biomed. Eng. OnLine 2006, 5, 37. [Google Scholar] [CrossRef]
- Sommer, G.; Schriefl, A.; Zeindlinger, G.; Katzensteiner, A.; Ainödhofer, H.; Saxena, A.; Holzapfel, G.A. Multiaxial mechanical response and constitutive modeling of esophageal tissues: Impact on esophageal tissue engineering. Acta Biomater. 2013, 9, 9379–9391. [Google Scholar] [CrossRef]
- Salvatierra, E.; Spataro, T.; Thomas, J.; Sheth, A.; Traylor, J.; Jin, L.; Minoch, A.; McLarty, J. W1445: Regional Differences in Colon Circumference and Wall Thickness. Gastrointest. Endosc. 2010, 71, AB330. [Google Scholar] [CrossRef]
- Sokolis, D.P.; Orfanidis, I.K.; Peroulis, M. Biomechanical testing and material characterization for the rat large intestine: Regional dependence of material parameters. Physiol. Meas. 2011, 32, 1969–1982. [Google Scholar] [CrossRef]
- Siri, S.; Maier, F.; Chen, L.; Santos, S.; Pierce, D.M.; Feng, B. Differential biomechanical properties of mouse distal colon and rectum innervated by the splanchnic and pelvic afferents. Am. J. Physiol.-Gastrointest. Liver Physiol. 2019, 316, G473–G481. [Google Scholar] [CrossRef]
- Siri, S.; Zhao, Y.; Maier, F.; Pierce, D.M.; Feng, B. The Macro- and Micro-Mechanics of the Colon and Rectum I: Experimental Evidence. Bioengineering 2020, 7, 130. [Google Scholar] [CrossRef] [PubMed]
- Caulk, A.W.; Chatterjee, M.; Barr, S.J.; Contini, E.M. Mechanobiological considerations in colorectal stapling: Implications for technology development. Surg. Open Sci. 2023, 13, 54–65. [Google Scholar] [CrossRef] [PubMed]
- Kimura, M.; Kuwabara, Y.; Taniwaki, S.; Mitsui, A.; Shibata, Y.; Ueno, S. Improving the side-to-side stapled anastomosis: Comparison of staplers for robust crotch formation. Surg. Obes. Relat. Dis. 2018, 14, 16–21. [Google Scholar] [CrossRef] [PubMed]
- Ikeuchi, D.; Onodera, H.; Aung, T.; Kan, S.; Kawamoto, K.; Imamura, M.; Maetani, S. Correlation of Tensile Strength with Bursting Pressure in the Evaluation of Intestinal Anastomosis. Dig. Surg. 1999, 16, 478–485. [Google Scholar] [CrossRef]
- Oetzmann von Sochaczewski, C.; Lindner, A.; Heimann, A.; Balus, A.; Patel, V.H.; Harrison, M.R.; Muensterer, O.J. Beyond Magnamosis: A Method to Test Sutureless Esophageal Anastomotic Devices in Living Swine by Creating an Esophageal Bypass Loop for Natural Oral Nutrition. J. Laparoendosc. Adv. Surg. Tech. 2019, 29, 852–855. [Google Scholar] [CrossRef]
- Muensterer, O.J.; Sterlin, A.; Oetzmann von Sochaczewski, C.; Lindner, A.; Heimann, A.; Balus, A.; Dickmann, J.; Nuber, M.; Patel, V.H.; Manfredi, M.A.; et al. An Experimental Study on Magnetic esophageal compression Anastomosis in Piglets. J. Pediatr. Surg. 2020, 55, 425–432. [Google Scholar] [CrossRef]
- Paral, J.; Lochman, P.; Blazej, S.; Pavlik, M. Glued versus stapled anastomosis of the colon: An experimental study to determine comparative resistance to intraluminal pressure. Asian J. Surg. 2014, 37, 154–161. [Google Scholar] [CrossRef]
- Müller, G.; Kieninger, G.; Breucha, G.; Bustamante, I.; Neugebauer, W. Vergleichende Untersuchungen ein-und zweireihiger Anastomosen am Schweinedünndarm. Langenbecks Arch. Chir. 1978, 346, 37–45. [Google Scholar] [CrossRef]
- Sánchez-De Pedro, F.; Moreno-Sanz, C.; Morandeira-Rivas, A.; Tenías-Burillo, J.M.; Alhambra-Rodríguez De Guzmán, C. Colorectal anastomosis facilitated by the use of the LigaSure® sealing device: Comparative study in an animal model. Surg. Endosc. 2014, 28, 508–514. [Google Scholar] [CrossRef]
- Larsen, K.D.; Westerholt, M.; Madsen, G.I.; Le, D.Q.S.; Qvist, N.; Ellebæk, M.B. Poly-ε-caprolactone scaffold for the reinforcement of stapled small intestinal anastomoses: A randomized experimental study. Langenbecks Arch. Surg. 2019, 404, 1009–1016. [Google Scholar] [CrossRef]
- Van Der Vijver, R.J.; Van Laarhoven, C.J.H.M.; De Man, B.M.; Lomme, R.M.L.M.; Hendriks, T. The effect of fibrin glue on the early healing phase of intestinal anastomoses in the rat. Int. J. Colorectal Dis. 2012, 27, 1101–1107. [Google Scholar] [CrossRef]
- Khoorjestan, S.M.; Rouhi, G.; Toolabi, K. An investigation of the effects of suture patterns on mechanical strength of intestinal anastomosis: An experimental study. Biomed. Tech. 2017, 62, 429–437. [Google Scholar] [CrossRef]
- Stupka, R.; Šprysl, M.; Pour, M. The impact of sex on the economics of pig fattening. Agric. Econ. Czech 2004, 50, 217–222. [Google Scholar] [CrossRef]
- Köhn, F.; Sharifi, A.R.; Simianer, H. Modeling the growth of the Goettingen minipig. J. Anim. Sci. 2007, 85, 84–92. [Google Scholar] [CrossRef]
- Oetzmann von Sochaczewski, C.; Deigendesch, N.; Lindner, A.; Baumgart, J.; Schröder, A.; Heimann, A.; Muensterer, O.J. Comparing Aachen Minipigs and Pietrain Piglets as Models of Experimental Pediatric Urology to Human Reference Data. Eur. Surg. Res. 2020, 61, 95–100. [Google Scholar] [CrossRef]
- Baumgart, J.; Deigendesch, N.; Lindner, A.; Muensterer, O.J.; Schröder, A.; Heimann, A.; Oetzmann von Sochaczewski, C. Using multidimensional scaling in model choice for congenital oesophageal atresia: Similarity analysis of human autopsy organ weights with those from a comparative assessment of Aachen Minipig and Pietrain piglets. Lab. Anim. 2020, 54, 576–587. [Google Scholar] [CrossRef]
- Stallings, E. Biostatistics for gastroenterologists. Part II ? Rethinking sample size. Rev. Esp. Enfermedades Dig. 2023, 115, 411–413. [Google Scholar] [CrossRef]
- Kararli, T.T. Comparison of the gastrointestinal anatomy, physiology, and biochemistry of humans and commonly used laboratory animals. Biopharm. Drug Dispos. 1995, 16, 351–380. [Google Scholar] [CrossRef]
- Kousholt, B.S.; Præstegaard, K.F.; Stone, J.C.; Thomsen, A.F.; Johansen, T.T.; Ritskes-Hoitinga, M.; Wegener, G. Reporting quality in preclinical animal experimental research in 2009 and 2018: A nationwide systematic investigation. PLoS ONE 2022, 17, e0275962. [Google Scholar] [CrossRef]
- Festing, M.F. On determining sample size in experiments involving laboratory animals. Lab. Anim. 2018, 52, 341–350. [Google Scholar] [CrossRef]
- Kratz, T.; Dauvergne, J.; Kronberg, A.-S.; Katzer, D.; Ganschow, R.; Bernhardt, M.; Westeppe, S.; Bierbach, B.; Strohm, J.; Oetzmann von Sochaczewski, C. Allometric Parameters and Linear Breaking Strength of Intestinal Segments. Available online: https://zenodo.org/record/8177381 (accessed on 24 July 2023).





| Duodenum | Jejunum | Ileum | Cecum | Colon | Rectum | |
|---|---|---|---|---|---|---|
| Mean breaking force [N] | 16.35 | 14.24 | 24.14 | 24.6 | 11.33 | 23.57 | 
| Standard deviation [N] | 3.05 | 5.18 | 4.45 | 11.34 | 3.31 | 6.39 | 
| Duodenum | Jejunum | Ileum | Cecum | Colon | Rectum | |
|---|---|---|---|---|---|---|
| Body weight [R] (95% CI) | 0.34 (−0.37–0.8) | 0.35 (−0.36–0.8) | 0.23 (−0.28–0.83) | 0.32 (−0.38–0.79) | −0.17 (−0.73–0.51) | 0.3 (−0.41–0.78) | 
| p | 0.331 | 0.317 | 0.422 | 0.361 | 0.626 | 0.398 | 
| Crown–rump length [R] (95% CI) | −0.16 (−0.72–0.53) | −0.4 (−0.82–0.3) | 0.49 (−0.2–0.86) | −0.08 (−0.68–0.58) | 0.2 (−0.49–0.74) | 0.16 (−0.53–0.72) | 
| p | 0.665 | 0.246 | 0.148 | 0.823 | 0.571 | 0.669 | 
| Duodenum | Jejunum | Ileum | Cecum | Colon | Rectum | |
|---|---|---|---|---|---|---|
| Horizontal diameter [cm] | 1 | 1.1 | 1.09 | 3.45 | 2.09 | 1.34 | 
| Standard deviation [cm] | 0.22 | 0.17 | 0.2 | 0.83 | 0.19 | 0.55 | 
| Vertical diameter [cm] | 0.95 | 0.93 | 1.04 | 3.59 | 2.48 | 1.31 | 
| Standard deviation [cm] | 0.2 | 0.12 | 0.42 | 0.52 | 0.69 | 0.3 | 
| Duodenum | Jejunum | Ileum | Cecum | Colon | Rectum | |
|---|---|---|---|---|---|---|
| Horizontal diameter [ρ] (95% CI) | −0.04 (−0.72–0.69) | −0.13 (−0.77–0.63) | 0.2 (−0.59–0.79) | 0.16 (−0.62–0.78) | −0.4 (−0.86–0.42) | 0.3 (−0.51–0.83) | 
| p | 0.929 | 0.752 | 0.641 | 0.707 | 0.324 | 0.473 | 
| Vertical diameter [ρ] (95% CI) | 0.02 (−0.69–0.72) | 0.2 (−0.59–0.79) | 0.26 (−0.54–0.82) | 0.54 (−0.27–0.9) | −0.36 (−0.85–0.47) | 0.17 (−0.61–0.78) | 
| p | 0.958 | 0.632 | 0.531 | 0.172 | 0.387 | 0.694 | 
| Disclaimer/Publisher’s Note: The statements, opinions and data contained in all publications are solely those of the individual author(s) and contributor(s) and not of MDPI and/or the editor(s). MDPI and/or the editor(s) disclaim responsibility for any injury to people or property resulting from any ideas, methods, instructions or products referred to in the content. | 
© 2023 by the authors. Licensee MDPI, Basel, Switzerland. This article is an open access article distributed under the terms and conditions of the Creative Commons Attribution (CC BY) license (https://creativecommons.org/licenses/by/4.0/).
Share and Cite
Kratz, T.; Dauvergne, J.; Kronberg, A.-S.; Katzer, D.; Ganschow, R.; Bernhardt, M.; Westeppe, S.; Bierbach, B.; Strohm, J.; Oetzmann von Sochaczewski, C. Not All Porcine Intestinal Segments Are Equal in Terms of Breaking Force, but None Were Associated to Allometric Parameters. Gastroenterol. Insights 2023, 14, 475-490. https://doi.org/10.3390/gastroent14040035
Kratz T, Dauvergne J, Kronberg A-S, Katzer D, Ganschow R, Bernhardt M, Westeppe S, Bierbach B, Strohm J, Oetzmann von Sochaczewski C. Not All Porcine Intestinal Segments Are Equal in Terms of Breaking Force, but None Were Associated to Allometric Parameters. Gastroenterology Insights. 2023; 14(4):475-490. https://doi.org/10.3390/gastroent14040035
Chicago/Turabian StyleKratz, Tobias, Jan Dauvergne, Anne-Sophie Kronberg, David Katzer, Rainer Ganschow, Marit Bernhardt, Sarah Westeppe, Benjamin Bierbach, Joanna Strohm, and Christina Oetzmann von Sochaczewski. 2023. "Not All Porcine Intestinal Segments Are Equal in Terms of Breaking Force, but None Were Associated to Allometric Parameters" Gastroenterology Insights 14, no. 4: 475-490. https://doi.org/10.3390/gastroent14040035
APA StyleKratz, T., Dauvergne, J., Kronberg, A.-S., Katzer, D., Ganschow, R., Bernhardt, M., Westeppe, S., Bierbach, B., Strohm, J., & Oetzmann von Sochaczewski, C. (2023). Not All Porcine Intestinal Segments Are Equal in Terms of Breaking Force, but None Were Associated to Allometric Parameters. Gastroenterology Insights, 14(4), 475-490. https://doi.org/10.3390/gastroent14040035
 
        




 
       