Characterization of NanR Regulation of Sialidase Production, Sporulation and Enterotoxin Production by Clostridium perfringens Type F Strains Carrying a Chromosomal Enterotoxin Gene
Abstract
1. Introduction
2. Results
2.1. Construction and Characterization of SM101 and 01E809 nanR Null Mutants and Reversed Mutants
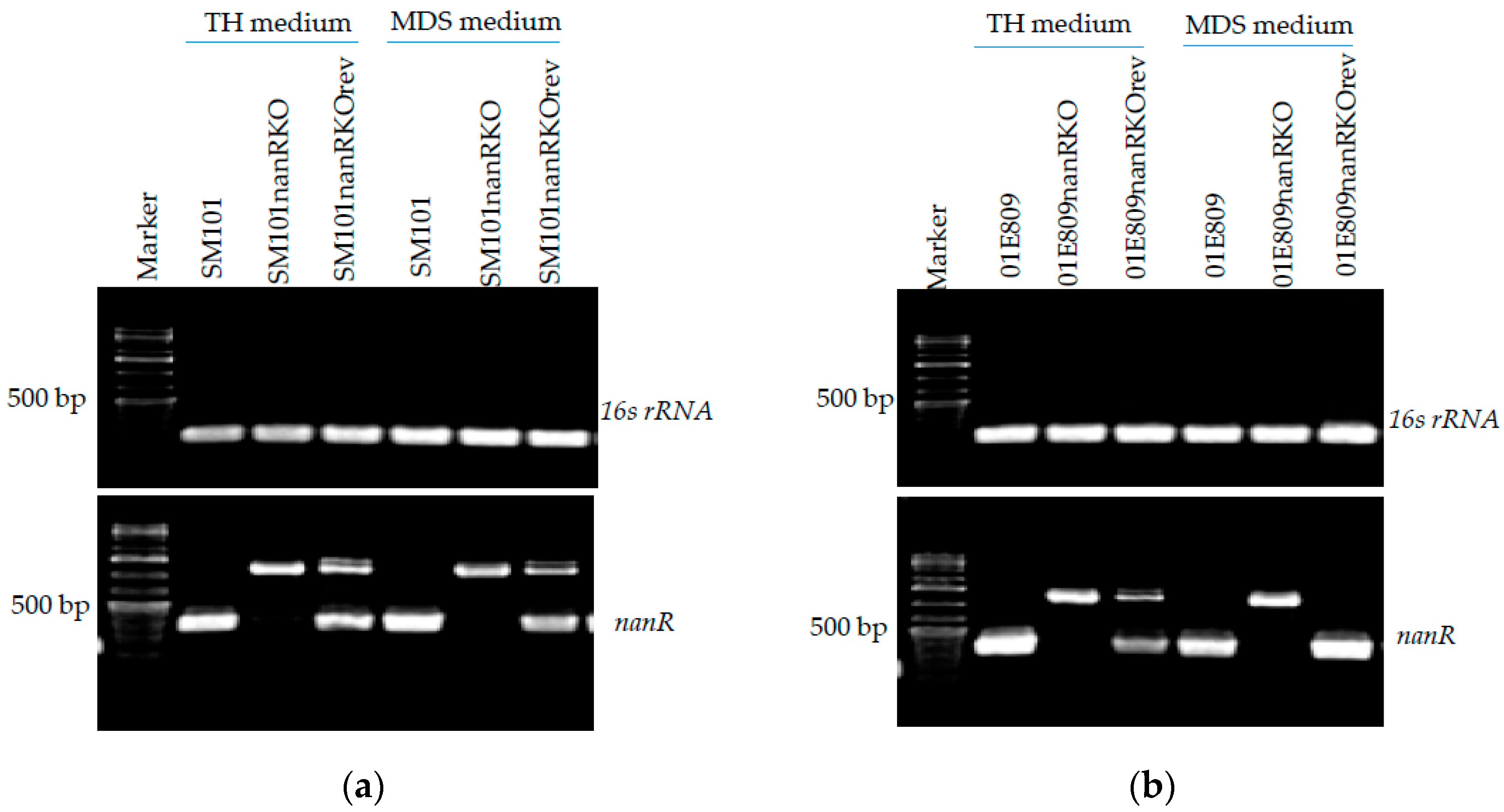
2.2. nanR Is Expressed When SM101 and 01E809 Are Cultured in Either TH Vegetative Medium or MDS Sporulation Medium
2.3. Comparison of Growth of Wild-Type Parent Strains, Their nanR Null Mutants and Their Reversed Mutants in TH and MDS Medium
2.4. NanR Regulates the Sialidase Activity of Type F FP c-cpe Strains SM101 and 01E809
2.5. NanR Regulates Sporulation and CPE Production by SM101 or 01E809 When Cultured in TH or MDS
3. Discussion
4. Materials and Methods
4.1. C. perfringens Strains, Plasmid, Media and Chemicals
4.2. Construction and Characterization of SM101 and 01E809 nanR Null Mutants and Reversed Mutants
4.3. C. perfringens mRNA Isolation, RT and qRT-PCR Analysis
4.4. Type F Strain Growth Curve Analyses and Quantitative Counts of Viable Vegetative Cells and Heat-Resistant Spores in TH or MDS Cultures
4.5. Measurement of Sialidase Enzyme Activity
4.6. CPE Western Blot Analyses
4.7. Statistical Analyses
Author Contributions
Funding
Institutional Review Board Statement
Informed Consent Statement
Data Availability Statement
Acknowledgments
Conflicts of Interest
References
- Navarro, M.A.; McClane, B.A.; Uzal, F.A. Mechanisms of action and cell death associated with Clostridium perfringens toxins. Toxins 2018, 10, 212. [Google Scholar] [CrossRef] [PubMed]
- McDonel, J.L. Toxins of Clostridium perfringens types A, B, C, D, and E. In Pharmacology of Bacterial Toxins; Dorner, F., Drews, H., Eds.; Pergamon Press: Oxford, UK, 1986; pp. 477–517. [Google Scholar]
- Uzal, F.A.; Freedman, J.C.; Shrestha, A.; Theoret, J.R.; Garcia, J.; Awad, M.M.; Adams, V.; Moore, R.J.; Rood, J.I.; McClane, B.A. Towards an understanding of the role of Clostridium perfringens toxins in human and animal disease. Future Microbiol. 2014, 9, 361–377. [Google Scholar] [CrossRef] [PubMed]
- Mehdizadeh Gohari, I.; Navarro, M.A.; Li, J.; Shrestha, A.; Uzal, F.; McClane, B.A. Pathogenicity and virulence of Clostridium perfringens. Virulence 2021, 12, 723–753. [Google Scholar] [CrossRef] [PubMed]
- Rood, J.I.; Adams, V.; Lacey, J.; Lyras, D.; McClane, B.A.; Melville, S.B.; Moore, R.J.; Popoff, M.R.; Sarker, M.R.; Songer, J.G.; et al. Expansion of the Clostridium perfringens toxin-based typing scheme. Anaerobe 2018, 53, 5–10. [Google Scholar] [CrossRef]
- Sarker, M.R.; Carman, R.J.; McClane, B.A. Inactivation of the gene (cpe) encoding Clostridium perfringens enterotoxin eliminates the ability of two cpe-positive C. perfringens type A human gastrointestinal disease isolates to affect rabbit ileal loops. Mol. Microbiol. 1999, 33, 946–958. [Google Scholar] [CrossRef]
- CDC. CDC Estimates of Foodborne Illness in the United States. 2011. Available online: https://www.cdc.gov/foodborneburden/pdfs/FACTSHEET_A_FINDINGS.pdf (accessed on 13 November 2022).
- Scallan, E.; Hoekstra, R.M.; Angulo, F.J.; Tauxe, R.V.; Widdowson, M.A.; Roy, S.L.; Jones, J.L.; Griffin, P.M. Foodborne illness acquired in the United States—Major pathogens. Emerg. Infect. Dis. 2011, 17, 7–15. [Google Scholar] [CrossRef]
- McClane, B.A.; Robertson, S.L.; Li, J. Clostridium perfringens. In Food Microbiology: Fundamentals and Frontiers, 4th ed.; Doyle, M.P., Buchanan, R.L., Eds.; ASM Press: Washington, DC, USA, 2013; pp. 465–489. [Google Scholar]
- Bamford, C.; Milligan, P.; Kaliski, S. Dangers of Clostridium perfringens food poisoning in psychiatric patients. S. Afr. J. Psychiatr. 2019, 25, 1339. [Google Scholar] [CrossRef]
- Bos, J.; Smithee, L.; McClane, B.A.; Distefano, R.F.; Uzal, F.A.; Songer, J.G.; Mallonee, S.; Crutcher, J.M. Fatal necrotizing colitis following a foodborne outbreak of enterotoxigenic Clostridium perfringens type A infection. Clin. Infect. Dis. 2005, 40, e78–e83. [Google Scholar] [CrossRef]
- CDC. Fatal foodborne Clostridium perfringens illness at a state psychiatric hospital—Louisiana, 2010. MMWR Morb. Mortal. Wkly. Rep. 2012, 61, 605–608. [Google Scholar]
- Caserta, J.A.; Robertson, S.L.; Saputo, J.; Shrestha, A.; McClane, B.A.; Uzal, F.A. Development and application of a mouse intestinal loop model to study the in vivo action of Clostridium perfringens enterotoxin. Infect. Immun. 2011, 79, 3020–3027. [Google Scholar] [CrossRef]
- Sugimoto, N.; Chen, Y.M.; Lee, S.Y.; Matsuda, M.; Lee, C.Y. Pathodynamics of intoxication in rats and mice by enterotoxin of Clostridium perfringens type A. Toxicon 1991, 29, 751–759. [Google Scholar] [CrossRef] [PubMed]
- Carman, R.J. Clostridium perfringens in spontaneous and antibiotic-associated diarrhoea of man and other animals. Rev. Med. Microbiol. 1997, 8 (Suppl. S1), S43–S45. [Google Scholar] [CrossRef]
- Li, J.; Paredes-Sabja, D.; Sarker, M.R.; McClane, B.A. Clostridium perfringens sporulation and sporulation-associated toxin production. Microbiol. Spectr. 2016, 4, 3–4. [Google Scholar] [CrossRef] [PubMed]
- Cornillot, E.; Saint-Joanis, B.; Daube, G.; Katayama, S.; Granum, P.E.; Carnard, B.; Cole, S.T. The enterotoxin gene (cpe) of Clostridium perfringens can be chromosomal or plasmid-borne. Mol. Microbiol. 1995, 15, 639–647. [Google Scholar] [CrossRef] [PubMed]
- Collie, R.E.; McClane, B.A. Evidence that the enterotoxin gene can be episomal in Clostridium perfringens isolates associated with nonfoodborne human gastrointestinal diseases. J. Clin. Microbiol. 1998, 36, 30–36. [Google Scholar] [CrossRef] [PubMed]
- Sparks, S.G.; Carman, R.J.; Sarker, M.R.; McClane, B.A. Genotyping of enterotoxigenic Clostridium perfringens isolates associated with gastrointestinal disease in North America. J. Clin. Microbiol. 2001, 39, 883–888. [Google Scholar] [CrossRef]
- Deguchi, A.; Miyamoto, K.; Kuwahara, T.; Miki, Y.; Kaneko, I.; Li, J.; McClane, B.A.; Akimoto, S. Genetic characterization of type A enterotoxigenic Clostridium perfringens strains. PLoS ONE 2009, 4, e5598. [Google Scholar] [CrossRef]
- Ma, M.; Li, J.; McClane, B.A. Genotypic and phenotypic characterization of Clostridium perfringens isolates from Darmbrand Cases in Post-World War II Germany. Infect. Immun. 2012, 80, 4354–4363. [Google Scholar] [CrossRef]
- Jaakkola, K.; Virtanen, K.; Lahti, P.; Keto-Timonen, R.; Lindstrom, M.; Korkeala, H. Comparative genome analysis and spore heat resistance assay reveal a new component to population structure and genome epidemiology within Clostridium perfringens enterotoxin-carrying isolates. Front. Microbiol. 2021, 12, 717176. [Google Scholar] [CrossRef]
- Li, J.; Uzal, F.A.; McClane, B.A. Clostridium perfringens sialidases: Potential contributors to intestinal pathogenesis and therapeutic targets. Toxins 2016, 8, 341. [Google Scholar] [CrossRef]
- Li, J.; McClane, B.A. NanH is produced by sporulating cultures of Clostridium perfringens type F food poisoning strains and enhances the cytotoxicity of C. perfringens enterotoxin. mSphere 2021, 6, e00176-21. [Google Scholar] [CrossRef] [PubMed]
- Li, J.; McClane, B.A. Contributions of NanI sialidase to Caco-2 cell adherence by Clostridium perfringens type A and C strains causing human intestinal disease. Infect. Immun. 2014, 82, 4620–4630. [Google Scholar] [CrossRef] [PubMed]
- Li, J.; McClane, B.A. NanI sialidase can support the growth and survival of Clostridium perfringens strain F4969 in the presence of sialyated host macromolecules (Mucin) or Caco-2 cells. Infect. Immun. 2018, 86, e00547-17. [Google Scholar] [CrossRef] [PubMed]
- Li, J.; Sayeed, S.; Robertson, S.; Chen, J.; McClane, B.A. Sialidases affect the host cell adherence and epsilon toxin-induced cytotoxicity of Clostridium perfringens type D strain CN3718. PLoS Pathog. 2011, 7, e1002429. [Google Scholar] [CrossRef]
- Navarro, M.A.; Li, J.; McClane, B.A.; Morrell, E.; Beingesser, J.; Uzal, F.A. NanI sialidase is an important contributor to Clostridium perfringens type F strain F4969 intestinal colonization in mice. Infect. Immun. 2018, 86, e00462-18. [Google Scholar] [CrossRef]
- Theoret, J.R.; Li, J.; Navarro, M.A.; Garcia, J.P.; Uzal, F.A.; McClane, B.A. Native or proteolytically activated NanI sialidase enhances the binding and cytotoxic activity of Clostridium perfringens enterotoxin and Beta toxin. Infect. Immun. 2018, 86, e00730-17. [Google Scholar] [CrossRef]
- Navarro, M.A.; Li, J.; Beingesser, J.; McClane, B.A.; Uzal, F.A. NanI sialidase enhances the action of Clostridium perfringens enterotoxin in the presence of mucus. mSphere 2021, 6, e0084821. [Google Scholar] [CrossRef]
- Li, J.; Evans, D.R.; Freedman, J.C.; McClane, B.A. NanR regulates nanI sialidase expression by Clostridium perfringens F4969, a human enteropathogenic strain. Infect. Immun. 2017, 85, e00241-17. [Google Scholar] [CrossRef]
- Therit, B.; Cheung, J.K.; Rood, J.I.; Melville, S.B. NanR, a transcriptional regulator that binds to the promoters of genes involved in sialic acid metabolism in the anaerobic pathogen Clostridium perfringens. PLoS ONE 2015, 10, e0133217. [Google Scholar] [CrossRef]
- Mi, E.; Li, J.; McClane, B.A. NanR regulates sporulation and enterotoxin production by Clostridium perfringens type F strain F4969. Infect. Immun. 2018, 86, e00416-18. [Google Scholar] [CrossRef]
- Chen, Y.; McClane, B.A.; Fisher, D.J.; Rood, J.I.; Gupta, P. Construction of an alpha toxin gene knockout mutant of Clostridium perfringens type A by use of a mobile group II intron. Appl. Environ. Microbiol. 2005, 71, 7542–7547. [Google Scholar] [CrossRef] [PubMed]
- Shimizu, T.; Ohtani, K.; Hirakawa, H.; Ohshima, K.; Yamashita, A.; Shiba, T.; Ogasawara, N.; Hattori, M.; Kuhara, S.; Hayashi, H. Complete genome sequence of Clostridium perfringens, an anaerobic flesh-eater. Proc. Natl. Acad. Sci. USA 2002, 99, 996–1001. [Google Scholar] [CrossRef] [PubMed]
- Myers, G.S.; Rasko, D.A.; Cheung, J.K.; Ravel, J.; Seshadri, R.; DeBoy, R.T.; Ren, Q.; Varga, J.; Awad, M.M.; Brinkac, L.M.; et al. Skewed genomic variability in strains of the toxigenic bacterial pathogen, Clostridium perfringens. Genome Res. 2006, 16, 1031–1040. [Google Scholar] [CrossRef] [PubMed]
- Li, J.; McClane, B.A. The sialidases of Clostridium perfringens type D strain CN3718 differ in their properties and sensitivities to inhibitors. Appl. Environ. Microbiol. 2014, 80, 1701–1709. [Google Scholar] [CrossRef] [PubMed]
- Adams, V.; Li, J.; Wisniewski, J.A.; Uzal, F.A.; Moore, R.J.; McClane, B.A.; Rood, J.I. Virulence plasmids of spore-forming bacteria. Microbiol. Spectr. 2014, 12, 1221–1236. [Google Scholar] [CrossRef] [PubMed]
- Li, J.; Adams, V.; Bannam, T.L.; Miyamoto, K.; Garcia, J.P.; Uzal, F.A.; Rood, J.I.; McClane, B.A. Toxin plasmids of Clostridium perfringens. Microbiol. Mol. Biol. Rev. 2013, 77, 208–233. [Google Scholar] [CrossRef]
- Li, J.; Freedman, J.C.; McClane, B.A. NanI sialidase, CcpA, and CodY work together to regulate Epsilon toxin production by Clostridium perfringens type D strain CN3718. J. Bacteriol. 2015, 197, 3339–3353. [Google Scholar] [CrossRef] [PubMed]
- Li, J.; Freedman, J.C.; Evans, D.R.; McClane, B.A. CodY promotes sporulation and enterotoxin production by Clostridium perfringens type A strain SM101. Infect. Immun. 2017, 85, e00855-16. [Google Scholar] [CrossRef] [PubMed]
- Zhao, Y.; Melville, S.B. Identification and characterization of sporulation-dependent promoters upstream of the enterotoxin gene (cpe) of Clostridium perfringens. J. Bacteriol. 1998, 180, 136–142. [Google Scholar] [CrossRef]
- Sayeed, S.; Uzal, F.A.; Fisher, D.J.; Saputo, J.; Vidal, J.E.; Chen, Y.; Gupta, P.; Rood, J.I.; McClane, B.A. Beta toxin is essential for the intestinal virulence of Clostridium perfringens type C disease isolate CN3685 in a rabbit ileal loop model. Mol. Microbiol. 2008, 67, 15–30. [Google Scholar] [CrossRef]
- Li, J.; Ma, M.; Sarker, M.R.; McClane, B.A. CodY is a global regulator of virulence-associated properties for Clostridium perfringens type D strain CN3718. mBio 2013, 4, e00770-13. [Google Scholar] [CrossRef] [PubMed]






Publisher’s Note: MDPI stays neutral with regard to jurisdictional claims in published maps and institutional affiliations. |
© 2022 by the authors. Licensee MDPI, Basel, Switzerland. This article is an open access article distributed under the terms and conditions of the Creative Commons Attribution (CC BY) license (https://creativecommons.org/licenses/by/4.0/).
Share and Cite
Li, J.; Mi, E.; Pradhan, A.; McClane, B.A. Characterization of NanR Regulation of Sialidase Production, Sporulation and Enterotoxin Production by Clostridium perfringens Type F Strains Carrying a Chromosomal Enterotoxin Gene. Toxins 2022, 14, 872. https://doi.org/10.3390/toxins14120872
Li J, Mi E, Pradhan A, McClane BA. Characterization of NanR Regulation of Sialidase Production, Sporulation and Enterotoxin Production by Clostridium perfringens Type F Strains Carrying a Chromosomal Enterotoxin Gene. Toxins. 2022; 14(12):872. https://doi.org/10.3390/toxins14120872
Chicago/Turabian StyleLi, Jihong, Eric Mi, Arhat Pradhan, and Bruce A. McClane. 2022. "Characterization of NanR Regulation of Sialidase Production, Sporulation and Enterotoxin Production by Clostridium perfringens Type F Strains Carrying a Chromosomal Enterotoxin Gene" Toxins 14, no. 12: 872. https://doi.org/10.3390/toxins14120872
APA StyleLi, J., Mi, E., Pradhan, A., & McClane, B. A. (2022). Characterization of NanR Regulation of Sialidase Production, Sporulation and Enterotoxin Production by Clostridium perfringens Type F Strains Carrying a Chromosomal Enterotoxin Gene. Toxins, 14(12), 872. https://doi.org/10.3390/toxins14120872

