A Necessary Role for Cyclin D2 Induction During Colon Cancer Progression Mediated by L1
Abstract
1. Introduction
2. Materials and Methods
2.1. Cell Culture and Reagents
2.2. Plasmids
2.3. Transfection, Cell Motility, and Cell Proliferation Assays
2.4. Immunofluorescence
2.5. Western Blotting
2.6. Quantitative RT-PCR
2.7. Tumor Growth and Metastasis Assays
2.8. Ethics Approval
2.9. Immunohistochemistry
2.10. DNA Microarrays
2.11. Statistical Analysis
3. Results
3.1. Increased Expression of Cyclin D2 in Human CRC Tissue and L1-Overexpressing CRC Cell Lines
3.2. Isolation of CRC Cell Clones Overexpressing Cyclin D2 or L1 with Suppressed Levels of Cyclin D2
3.3. Increased Proliferation and Motility of CRC Cells Expressing High Levels of Cyclin D2 in the Presence or Absence of L1
3.4. Increased Tumorigenesis and Liver Metastasis of CRC Cells Mediated by L1 Requires a High Level of Cyclin D2 Expression
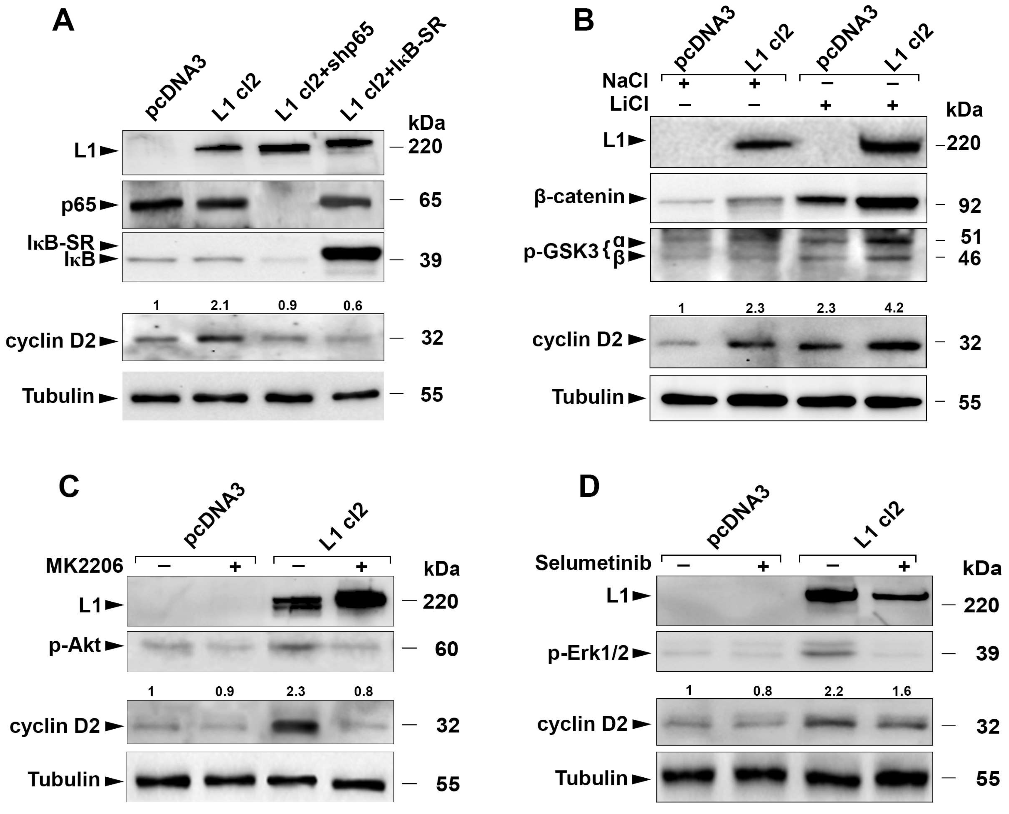
3.5. Signaling Pathways Involved in the Induction of Cyclin D2 in CRC Cell Lines by L1
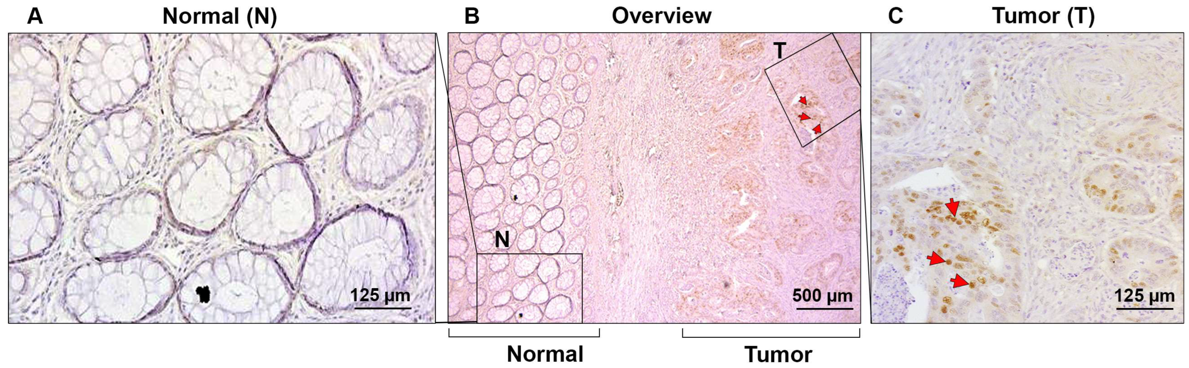
3.6. Cyclin D2 Is Localized in the Nuclei of CRC Tissue but Not in the Adjacent Normal Tissue
4. Discussion
Supplementary Materials
Author Contributions
Funding
Institutional Review Board Statement
Informed Consent Statement
Data Availability Statement
Acknowledgments
Conflicts of Interest
References
- Cheng, X.; Xu, X.; Chen, D.; Zhao, F.; Wang, W. Therapeutic potential of targeting the Wnt/β-catenin signaling pathway in colorectal cancer. Biomed. Pharmacother. 2019, 110, 473–481. [Google Scholar] [CrossRef] [PubMed]
- He, K.; Gan, W.J. Wnt/beta-Catenin signaling pathway in the development and progression of colorectal cancer. Cancer Manag. Res. 2023, 15, 435–448. [Google Scholar] [CrossRef] [PubMed]
- Herbst, A.; Jurinovic, V.; Krebs, S.; Thieme, S.E.; Blum, H.; Göke, B.; Kolligs, F.T. Comprehensive analysis of β-catenin target genes in colorectal carcinoma cell lines with deregulated Wnt/β-catenin signaling. BMC Genom. 2014, 15, 74. [Google Scholar] [CrossRef] [PubMed]
- Ji, Y.; Lv, J.; Sun, D.; Huang, Y. Therapeutic strategies targeting Wnt/β-catenin signaling for colorectal cancer (Review). Int. J. Mol. Med. 2022, 49, 1. [Google Scholar] [CrossRef] [PubMed]
- Conacci-Sorrell, M.E.; Ben-Yedidia, T.; Shtutman, M.; Feinstein, E.; Einat, P.; Ben-Ze’ev, A. Nr-CAM is a target gene of the β-catenin/LEF-1 pathway in melanoma and colon cancer and its expression enhances motility and confers tumorigenesis. Genes. Dev. 2002, 16, 2058–2072. [Google Scholar] [CrossRef]
- Gavert, N.; Conacci-Sorrell, M.; Gast, D.; Schneider, A.; Altevogt, P.; Brabletz, T.; Ben-Ze’ev, A. L1, a novel target of beta-catenin signaling, transforms cells and is expressed at the invasive front of colon cancers. J. Cell Biol. 2005, 168, 633–642. [Google Scholar] [CrossRef]
- Cheriyamundath, S.; Ben-Ze’ev, A. Wnt/β-Catenin target genes in colon cancer metastasis: The special case of L1CAM. Cancers 2020, 12, 3444. [Google Scholar] [CrossRef]
- Gavert, N.; Sheffer, M.; Raveh, S.; Spaderna, S.; Shtutman, M.; Brabletz, T.; Barany, F.; Paty, P.; Notterman, D.; Domany, E.; et al. Expression of L1-CAM and ADAM10 in human colon cancer cells induces metastasis. Cancer Res. 2007, 67, 7703–7712. [Google Scholar] [CrossRef]
- Gavert, N.; Shvab, A.; Sheffer, M.; Ben-Shmuel, A.; Haase, G.; Bakos, E.; Domany, E.; Ben-Ze’ev, A. c-Kit is suppressed in human colon cancer tissue and contributes to L1-mediated metastasis. Cancer Res. 2013, 73, 5754–5763. [Google Scholar] [CrossRef]
- Ben-Shmuel, A.; Shvab, A.; Gavert, N.; Brabletz, T.; Ben-Ze’ev, A. Global analysis of L1-transcriptomes identified IGFBP-2 as a target of ezrin and NF-κB signaling that promotes colon cancer progression. Oncogene 2013, 32, 3220–3230. [Google Scholar] [CrossRef]
- Cheriyamundath, S.; Kumar, A.; Gavert, N.; Brabletz, T.; Ben-Ze’ev, A. The collagen-modifying enzyme PLOD2 Is induced and required during L1-mediated colon cancer progression. Int. J. Mol. Sci. 2021, 22, 3552. [Google Scholar] [CrossRef] [PubMed]
- Saha, A.; Cheriyamundath, S.; Kumar, A.; Gavert, N.; Brabletz, T.; Ben-Ze’ev, A. A necessary role for increased biglycan expression during L1-mediated colon cancer progression. Int. J. Mol. Sci. 2022, 23, 445. [Google Scholar] [CrossRef] [PubMed]
- Saha, A.; Gavert, N.; Brabletz, T.; Ben-Ze’ev, A. An increase in Mucin2 expression is required for colon cancer progression mediated by L1. Int. J. Mol. Sci. 2023, 24, 13418. [Google Scholar] [CrossRef] [PubMed]
- Saha, A.; Gavert, N.; Brabletz, T.; Ben-Ze’ev, A. Downregulation of the tumor suppressor TFF1 is required during induction of colon cancer progression by L1. Cancers 2022, 14, 4478. [Google Scholar] [CrossRef]
- Cheriyamundath, S.; Basu, S.; Haase, G.; Doernberg, H.; Gavert, N.; Brabletz, T.; Ben-Ze’ev, A. ISG15 induction is required during L1-mediated colon cancer progression and metastasis. Oncotarget 2019, 10, 7122–7131. [Google Scholar] [CrossRef]
- Shapiro, B.; Tocci, P.; Haase, G.; Gavert, N.; Ben-Ze’ev, A. Clusterin, a gene enriched in intestinal stem cells, is required for L1-mediated colon cancer metastasis. Oncotarget 2015, 6, 34389–34401. [Google Scholar] [CrossRef]
- Saleban, M.; Harris, E.L.; Poulter, J.A. D-Type cyclins in development and disease. Genes. 2023, 14, 1445. [Google Scholar] [CrossRef]
- Sherr, C.J.; Roberts, J.M. CDK inhibitors: Positive and negative regulators of G1-phase progression. Genes. Dev. 1999, 13, 1501–1512. [Google Scholar] [CrossRef]
- Wang, Z.; Xie, Y.; Zhang, L.; Zhang, H.; An, X.; Wang, T.; Meng, A. Migratory localization of Cyclin D2-Cdk4 complex suggests a spatial regulation of the G1-S transition. Cell Struct. Funct. 2008, 33, 171–183. [Google Scholar] [CrossRef][Green Version]
- Hung, C.-S.; Wang, S.-C.; Yen, Y.-T.; Lee, T.-H.; Wen, W.-C.; Lin, R.-K. Hypermethylation of CCND2 in lung and breast cancer Is a potential biomarker and drug target. Int. J. Mol. Sci. 2018, 19, 3096. [Google Scholar] [CrossRef]
- Parada, Y.; Banerji, L.; Glassford, J.; Lea, N.C.; Collado, M.; Rivas, C.; Lewis, J.L.; Gordon, M.Y.; Thomas, N.S.; Lam, E.W. BCR-ABL and interleukin 3 promote haematopoietic cell proliferation and survival through modulation of cyclin D2 and p27Kip1 expression. J. Biol. Chem. 2001, 276, 23572–23580. [Google Scholar] [CrossRef] [PubMed]
- Sicinski, P.; Donaher, J.L.; Geng, Y.; Parker, S.B.; Gardner, H.; Park, M.Y.; Robker, R.L.; Richards, J.S.; McGinnis, L.K.; Biggers, J.D.; et al. Cyclin D2 is an FSH-responsive gene involved in gonadal cell proliferation and oncogenesis. Nature 1996, 384, 470–474. [Google Scholar] [CrossRef] [PubMed]
- Yu, J.; Leung, W.K.; Ebert, M.P.A.; Leong, R.W.L.; Tse, P.C.H.; Chan, M.W.Y.; Bai, A.H.C.; To, K.F.; Malfertheiner, P.; Sung, J.J.Y. Absence of cyclin D2 expression is associated with promoter hypermethylation in gastric cancer. Br. J. Cancer 2003, 88, 1560–1565. [Google Scholar] [CrossRef] [PubMed]
- Ding, Z.Y.; Li, R.; Zhang, Q.J.; Wang, Y.; Jiang, Y.; Meng, Q.Y.; Xi, Q.L.; Wu, G.H. Prognostic role of cyclin D2/D3 in multiple human malignant neoplasms: A systematic review and meta-analysis. Cancer Med. 2019, 8, 2717–2729. [Google Scholar] [CrossRef] [PubMed]
- Banerji, L.; Glassford, J.; Lea, N.C.; Thomas, N.S.B.; Klaus, G.G.B.; Lam, E.W.F. BCR signals target p27Kip1 and cyclin D2 via the PI3-K signalling pathway to mediate cell cycle arrest and apoptosis of WEHI 231 B cells. Oncogene 2001, 20, 7352–7367. [Google Scholar] [CrossRef]
- Bartkova, J.; Thullberg, M.; Slezak, P.; Jaramillo, E.; Rubio, C.; Thomassen, L.H.; Bartek, J. Aberrant expression of G1-phase cell cycle regulators in flat and exophytic adenomas of the human colon. Gastroenterology 2001, 120, 1680–1688. [Google Scholar] [CrossRef]
- Mermelshtein, A.; Gerson, A.; Walfisch, S.; Delgado, B.; Shechter-Maor, G.; Delgado, J.; Fich, A.; Gheber, L. Expression of D-type cyclins in colon cancer and in cell lines from colon carcinomas. Br. J. Cancer 2005, 93, 338–345. [Google Scholar] [CrossRef]
- Sarkar, R.; Hunter, I.A.; Rajaganeshan, R.; Perry, S.L.; Guillou, P.; Jayne, D.G. Expression of cyclin D2 is an independent predictor of the development of hepatic metastasis in colorectal cancer. Color. Dis. 2010, 12, 316–323. [Google Scholar] [CrossRef] [PubMed]
- Gavert, N.; Ben-Shmuel, A.; Lemmon, V.; Brabletz, T.; Ben-Ze’ev, A. Nuclear factor-κB signaling and ezrin are essential for L1-mediated metastasis of colon cancer cells. J. Cell Sci. 2010, 123, 2135–2143. [Google Scholar] [CrossRef]
- Basu, S.; Cheriyamundath, S.; Gavert, N.; Brabletz, T.; Haase, G.; Ben-Ze’ev, A. Increased expression of cathepsin D is required for L1-mediated colon cancer progression. Oncotarget 2019, 10, 5217–5228. [Google Scholar] [CrossRef]
- Hlavin, M.L.; Lemmon, V. Molecular structure and functional testing of human L1CAM: An interspecies comparison. Genomics 1991, 11, 416–423. [Google Scholar] [CrossRef] [PubMed]
- Baker, G.L.; Landis, M.W.; Hinds, P.W. Multiple functions of D-type cyclins can antagonize pRb-mediated suppression of proliferation. Cell Cycle (Georget. Tex.) 2005, 4, 330–338. [Google Scholar] [CrossRef]
- Cheng, L.; Lemmon, V. Pathological missense mutations of neural cell adhesion molecule L1 affect neurite outgrowth and branching on an L1 substrate. Mol. Cell Neurosci. 2004, 27, 522–530. [Google Scholar] [CrossRef] [PubMed]
- Stael, S.; Miller, L.P.; Fernández-Fernández, Á.D.; Van Breusegem, F. Detection of damage-activated metacaspase activity by western blot in plants. In Plant Proteases and Plant Cell Death: Methods and Protocols; Klemenčič, M., Stael, S., Huesgen, P.F., Eds.; Springer: New York, NY, USA, 2022; pp. 127–137. [Google Scholar]
- Shalash, R.; Levi-Ferber, M.; von Chrzanowski, H.; Atrash, M.K.; Shav-Tal, Y.; Henis-Korenblit, S. HLH-30/TFEB rewires the chaperone network to promote proteostasis under conditions of Coenzyme A and Iron-Sulfur Cluster Deficiency. bioRxiv 2024. [Google Scholar] [CrossRef]
- Ballman, K.V.; Grill, D.E.; Oberg, A.L.; Therneau, T.M. Faster cyclic loess: Normalizing RNA arrays via linear models. Bioinformatics 2004, 20, 2778–2786. [Google Scholar] [CrossRef]
- Sheffer, M.; Bacolod, M.D.; Zuk, O.; Giardina, S.F.; Pincas, H.; Barany, F.; Paty, P.B.; Gerald, W.L.; Notterman, D.A.; Domany, E. Association of survival and disease progression with chromosomal instability: A genomic exploration of colorectal cancer. Proc. Natl. Acad. Sci. USA 2009, 106, 7131–7136. [Google Scholar] [CrossRef]
- Basu, S.; Gavert, N.; Brabletz, T.; Ben-Ze’ev, A. The intestinal stem cell regulating gene ASCL2 is required for L1-mediated colon cancer progression. Cancer Lett. 2018, 424, 9–18. [Google Scholar] [CrossRef]
- Shvab, A.; Haase, G.; Ben-Shmuel, A.; Gavert, N.; Brabletz, T.; Dedhar, S.; Ben-Ze’ev, A. Induction of the intestinal stem cell signature gene SMOC-2 is required for L1-mediated colon cancer progression. Oncogene 2016, 35, 549–557. [Google Scholar] [CrossRef]
- Mirzaa, G.; Parry, D.A.; Fry, A.E.; Giamanco, K.A.; Schwartzentruber, J.; Vanstone, M.; Logan, C.V.; Roberts, N.; Johnson, C.A.; Singh, S.; et al. De novo CCND2 mutations leading to stabilization of cyclin D2 cause megalencephaly-polymicrogyria-polydactyly-hydrocephalus syndrome. Nat. Genet. 2014, 46, 510–515. [Google Scholar] [CrossRef]
- Pirozzi, F.; Lee, B.; Horsley, N.; Burkardt, D.D.; Dobyns, W.B.; Graham Jr, J.M.; Dentici, M.L.; Cesario, C.; Schallner, J.; Porrmann, J.; et al. Proximal variants in associated with microcephaly, short stature, and developmental delay: A case series and review of inverse brain growth phenotypes. Am. J. Med. Genet. Part A 2021, 185, 2719–2738. [Google Scholar] [CrossRef]
- McDermott, J.H.; Hickson, N.; Banerjee, I.; Murray, P.G.; Ram, D.; Metcalfe, K.; Clayton-Smith, J.; Douzgou, S. Hypoglycaemia represents a clinically significant manifestation of PIK3CA- and CCND2-associated segmental overgrowth. Clin. Genet. 2018, 93, 687–692. [Google Scholar] [CrossRef] [PubMed]
- Chaganti, R.S.; Houldsworth, J. Genetics and biology of adult human male germ cell tumors. Cancer Res. 2000, 60, 1475–1482. [Google Scholar] [PubMed]
- Jena, N.; Deng, M.; Sicinska, E.; Sicinski, P.; Daley, G.Q. Critical role for cyclin D2 in BCR/ABL-induced proliferation of hematopoietic cells. Cancer Res. 2002, 62, 535–541. [Google Scholar] [PubMed]
- Eisfeld, A.K.; Kohlschmidt, J.; Schwind, S.; Nicolet, D.; Blachly, J.S.; Orwick, S.; Shah, C.; Bainazar, M.; Kroll, K.W.; Walker, C.J.; et al. Mutations in the CCND1 and CCND2 genes are frequent events in adult patients with t(8;21)(q22;q22) acute myeloid leukemia. Leukemia 2017, 31, 1278–1285. [Google Scholar] [CrossRef] [PubMed]
- Robker, R.L.; Richards, J.S. Hormone-induced proliferation and differentiation of granulosa cells: A coordinated balance of the cell cycle regulators cyclin D2 and p27Kip1. Mol. Endocrinol. 1998, 12, 924–940. [Google Scholar] [CrossRef]
- Oshimo, Y.; Nakayama, H.; Ito, R.; Kitadai, Y.; Yoshida, K.; Chayama, K.; Yasui, W. Promoter methylation of cyclin D2 gene in gastric carcinoma. Int. J. Oncol. 2003, 23, 1663–1670. [Google Scholar] [CrossRef]
- Takano, Y.; Kato, Y.; Masuda, M.; Ohshima, Y.; Okayasu, I. Cyclin D2, but not cyclin D1, overexpression closely correlates with gastric cancer progression and prognosis. J. Pathol. 1999, 189, 194–200. [Google Scholar] [CrossRef]
- Cole, A.M.; Myant, K.; Reed, K.R.; Ridgway, R.A.; Athineos, D.; Van den Brink, G.R.; Muncan, V.; Clevers, H.; Clarke, A.R.; Sicinski, P.; et al. Cyclin D2-cyclin-dependent kinase 4/6 is required for efficient proliferation and tumorigenesis following Apc loss. Cancer Res. 2010, 70, 8149–8158. [Google Scholar] [CrossRef]
- Wang, Y.; Xue, J.; Kuang, H.; Zhou, X.; Liao, L.; Yin, F. microRNA-1297 inhibits the growth and metastasis of colorectal cancer by suppressing Cyclin D2 expression. DNA Cell Biol. 2017, 36, 991–999. [Google Scholar] [CrossRef]
- Myant, K.; Sansom, O. Efficient Wnt mediated intestinal hyperproliferation requires the cyclin D2-CDK4/6 complex. Cell Div. 2011, 6, 3. [Google Scholar] [CrossRef]
- Iwanaga, R.; Ozono, E.; Fujisawa, J.; Ikeda, M.A.; Okamura, N.; Huang, Y.; Ohtani, K. Activation of the cyclin D2 and cdk6 genes through NF-kappaB is critical for cell-cycle progression induced by HTLV-I Tax. Oncogene 2008, 27, 5635–5642. [Google Scholar] [CrossRef] [PubMed]
- Nagel, S.; Fischer, A.; Bens, S.; Hauer, V.; Pommerenke, C.; Uphoff, C.C.; Zaborski, M.; Siebert, R.; Quentmeier, H. PI3K/AKT inhibitor BEZ-235 targets CCND2 and induces G1 arrest in breast implant-associated anaplastic large cell lymphoma. Leuk. Res. 2023, 133, 107377. [Google Scholar] [CrossRef] [PubMed]
- Gast, D.; Riedle, S.; Issa, Y.; Pfeifer, M.; Beckhove, P.; Sanderson, M.P.; Arlt, M.; Moldenhauer, G.; Fogel, M.; Krüger, A.; et al. The cytoplasmic part of L1-CAM controls growth and gene expression in human tumors that is reversed by therapeutic antibodies. Oncogene 2008, 27, 1281–1289. [Google Scholar] [CrossRef] [PubMed]
- Riedle, S.; Kiefel, H.; Gast, D.; Bondong, S.; Wolterink, S.; Gutwein, P.; Altevogt, P. Nuclear translocation and signalling of L1-CAM in human carcinoma cells requires ADAM10 and presenilin/gamma-secretase activity. Biochem. J. 2009, 420, 391–402. [Google Scholar] [CrossRef]
- Cheng, L.; Wu, Q.; Huang, Z.; Guryanova, O.A.; Huang, Q.; Shou, W.; Rich, J.N.; Bao, S. L1CAM regulates DNA damage checkpoint response of glioblastoma stem cells through NBS1. EMBO J. 2011, 30, 800–813. [Google Scholar] [CrossRef]
- Maten, M.V.; Reijnen, C.; Pijnenborg, J.M.A.; Zegers, M.M. L1 Cell Adhesion Molecule in Cancer, a Systematic Review on Domain-Specific Functions. Int. J. Mol. Sci. 2019, 20, 4180. [Google Scholar] [CrossRef]






| Name | Sequence |
|---|---|
| shcyclin D2_1 | GATCCCCAATTACCTGGACCGTTTCTTTCAAGAGAAGAAACGGTCCAGGTAATTTTTTTA |
| shcyclin D2_2 | GATCCCCTGCTCCTCAATAGCCTGCATTCAAGAGATGCAGGCTATTGAGGAGCATTTTTA |
| shcyclin D2_3 | GATCCCCTGAATTACCTGGACCGTTTTTCAAGAGAAAACGGTCCAGGTAATTCATTTTTA |
| shcyclin D2_4 | GATCCCCTGACGGATCCAAGTCGGAGTTCAAGAGACTCCGACTTGGATCCGTCATTTTTA |
| Gene Name | Forward | Reverse |
|---|---|---|
| cyclin D2 | TCCTGGCCTCCAAACTCAAA | AAGTCATGAGGAGTGACAGC |
| L1 | TCGCCCTATGTCCACTACACCT | ATCCACAGGGTTCTTCTCTGGG |
| GAPDH | GTCTCCTCTGACTTCAACAGCG | ACCACCCTGTTGCTGTAGCCAA |
| Gene Symbol | Fold Change (LS 174T-L1 vs. pcDNA3) | p-Value | Fold Change (Tumor vs. Normal) | p-Value | Description |
|---|---|---|---|---|---|
| ARSE | 3.08519 | 1.73 × 10−19 | 3.571821 | 5.5 × 10−6 | arylsulfatase (chondrodysplasia punctata 1) |
| CEACAM5 | 2.45604 | 1.84 × 10−12 | 3.424527 | 0.019633 | carcinoembryonic antigen-related cell adhesion molecule 5 |
| C12orf5 | 2.07612 | 2.30 × 10−9 | 3.348652 | 7.12 × 10−7 | chromosome 12 open reading frame 5 |
| ALDH3A1 | 1.9768 | 6.92 × 10−9 | 3.055874 | 0.000381 | aldehyde dehydrogenase 3 family, member A1 |
| CCND2 | 1.97026 | 1.24 × 10−11 | 3.009642 | 0.00179 | cyclin D2 |
| CDC25A | 1.94782 | 1.18 × 10−8 | 2.978324 | 2.08 × 10−14 | cell division cycle 25 homolog A (S. pombe) |
| HSPE1 | 1.92853 | 5.95 × 10−8 | 2.657038 | 1.08 × 10−16 | heat shock 10 kDa protein 1 (chaperonin 10) |
| ACTL8 | 1.92409 | 7.29 × 10−8 | 2.633271 | 0.002426 | actin-like 8 |
| INPP5D | 1.85847 | 1.02 × 10−6 | 2.60498 | 1.01 × 10−11 | inositol polyphosphate-5-phosphatase, 145 kDa |
| CEACAM6 | 1.79795 | 1.12 × 10−5 | 2.586789 | 1.64 × 10−11 | carcinoembryonic antigen-related cell adhesion molecule 6 (non-specific cross reacting antigen) |
| POLR3G | 1.79191 | 6.39 × 10−7 | 2.553357 | 3.87 × 10−17 | polymerase (RNA) III (DNA-directed) polypeptide G (32 kD) |
| CACYBP | 1.77876 | 1.55 × 10−8 | 2.502908 | 6.64 × 10−12 | calcyclin-binding protein |
| PLK2 | 1.75368 | 3.33 × 10−6 | 2.490094 | 0.000479 | polo-like kinase 2 (Drosophila) |
| RRM2 | 1.72587 | 2.49 × 10−6 | 2.402542 | 3.72 × 10−16 | ribonucleotide reductase M2 polypeptide |
| CD70 | 1.70231 | 6.98 × 10−6 | 2.399618 | 0.000594 | CD70 molecule |
| TNFSF9 | 1.70175 | 6.14 × 10−6 | 2.361174 | 2.98 × 10−5 | tumor necrosis factor (ligand) superfamily, member 9 |
| CHORDC1 | 1.67797 | 9.30 × 10−6 | 2.279949 | 3.45 × 10−6 | cysteine and histidine-rich domain (CHORD)-containing 1 |
| PLLP | 1.66414 | 1.47 × 10−5 | 2.258648 | 0.004717 | plasma membrane proteolipid (plasmolipin) |
| ABCE1 | 1.65432 | 1.80 × 10−5 | 2.087956 | 6.11 × 10−18 | ATP-binding cassette, sub-family E (OABP), member 1 |
| CDC6 | 1.64504 | 1.56 × 10−5 | 2.017744 | 2.6 × 10−17 | cell division cycle 6 homolog (S. cerevisiae) |
| RRS1 | 1.63547 | 2.49 × 10−5 | 2.007606 | 4.59 × 10−18 | RRS1 ribosome biogenesis regulator homolog (S. cerevisiae) |
| GDF15 | 1.60155 | 3.27 × 10−5 | 1.912974 | 7.1 × 10−24 | growth differentiation factor 15 |
| KCNN4 | 1.60087 | 8.16 × 10−5 | 1.908127 | 1.31 × 10−16 | Potassium intermediate/small conductance calcium-activated channel, subfamily N, member 4 |
Disclaimer/Publisher’s Note: The statements, opinions and data contained in all publications are solely those of the individual author(s) and contributor(s) and not of MDPI and/or the editor(s). MDPI and/or the editor(s) disclaim responsibility for any injury to people or property resulting from any ideas, methods, instructions or products referred to in the content. |
© 2024 by the authors. Licensee MDPI, Basel, Switzerland. This article is an open access article distributed under the terms and conditions of the Creative Commons Attribution (CC BY) license (https://creativecommons.org/licenses/by/4.0/).
Share and Cite
Saha, A.; Gavert, N.; Brabletz, T.; Ben-Ze’ev, A. A Necessary Role for Cyclin D2 Induction During Colon Cancer Progression Mediated by L1. Cells 2024, 13, 1810. https://doi.org/10.3390/cells13211810
Saha A, Gavert N, Brabletz T, Ben-Ze’ev A. A Necessary Role for Cyclin D2 Induction During Colon Cancer Progression Mediated by L1. Cells. 2024; 13(21):1810. https://doi.org/10.3390/cells13211810
Chicago/Turabian StyleSaha, Arka, Nancy Gavert, Thomas Brabletz, and Avri Ben-Ze’ev. 2024. "A Necessary Role for Cyclin D2 Induction During Colon Cancer Progression Mediated by L1" Cells 13, no. 21: 1810. https://doi.org/10.3390/cells13211810
APA StyleSaha, A., Gavert, N., Brabletz, T., & Ben-Ze’ev, A. (2024). A Necessary Role for Cyclin D2 Induction During Colon Cancer Progression Mediated by L1. Cells, 13(21), 1810. https://doi.org/10.3390/cells13211810

