Identification of the Function of the Pathogenesis-Related Protein GmPR1L in the Resistance of Soybean to Cercospora sojina Hara
Abstract
1. Introduction
2. Results
2.1. Cloning and Bioinformatic Analysis of GmPR1L
2.2. Acquisition of the GmPR1L Expression Vector and Production of Transgenic Soybean Plants
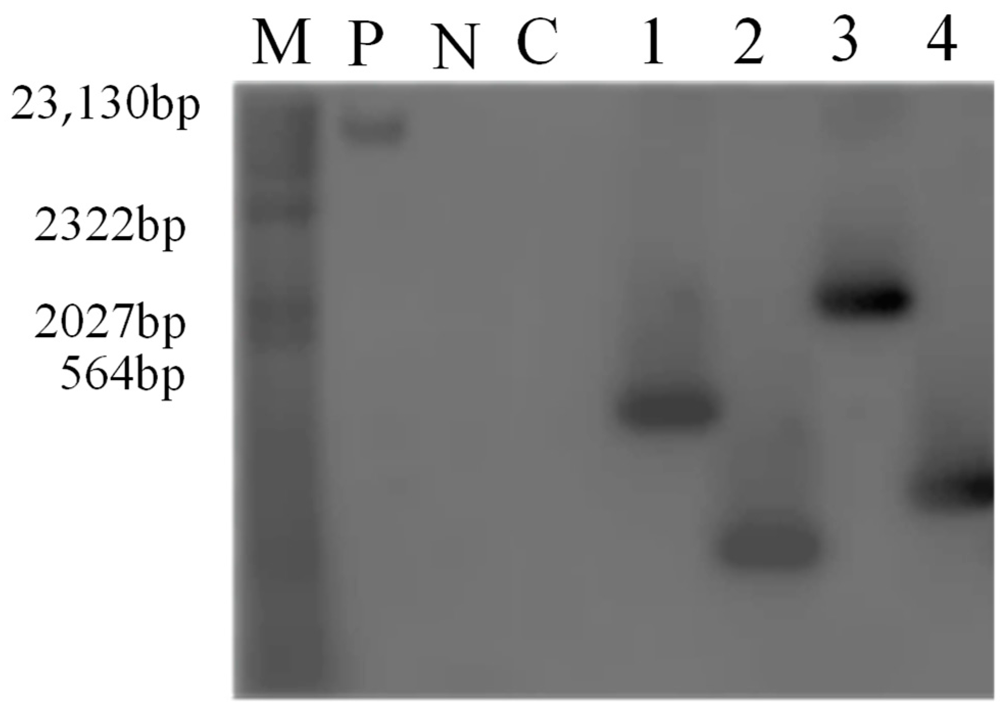
2.3. Southern Blot Detection of Transgenic Soybean Plants
2.4. Identification of the Phenotype of Soybean Plants Overexpressing the GmPR1L Gene during C. sojina Infection
2.5. Resistance of Transgenic Soybean Plants to C. sojina Infection
2.6. Determination of Disease Resistance and the Activity of Defense-Related Enzymes in Different Transgenic Soybean Lines
2.7. Overexpression of GmPR1L Induced the Expression of Disease-Resistant Genes in Transgenic Soybean Plants
2.8. Statistical Analysis of Agronomic Traits of Transgenic Soybean Lines
3. Discussion
3.1. Relationship between Changes in the Activity of Defense-Related Enzymes and Disease Resistance
3.2. Analysis of Expression Patterns of Disease Resistance-Related Endogenous Genes
4. Materials and Methods
4.1. Identification and Sequence Homology Analysis of the Target Gene GmPR1L
4.2. Construction of GmPR1 L Overexpression Vector and Genetic Transformation
4.3. Bioinformatic Analysis of GmPR1L
4.4. Infection of Transgenic Soybean Plants with C. sojina
4.5. Evaluation of the Resistance of Transgenic Soybean to C. sojina Infection
4.6. Determination of the Activity of Defense-Related Enzymes in Transgenic Soybean Plants Infected with C. sojina
4.7. Analysis of the Expression Pattern of GmPR1L Gene and Related Endogenous Genes in Plants Infected with C. sojina
4.8. Agronomic Trait Analysis of Transgenic Soybean Lines Resistant to C. sojina
5. Conclusions
Supplementary Materials
Author Contributions
Funding
Institutional Review Board Statement
Informed Consent Statement
Data Availability Statement
Acknowledgments
Conflicts of Interest
References
- Kattupalli, D.; Srinivasan, A.; Soniya, E. A Genome-Wide Analysis of Pathogenesis-Related Protein-1 (PR-1) Genes from Piper nigrum Reveals Its Critical Role during Phytophthora capsici Infection. Genes 2021, 12, 1007. [Google Scholar] [CrossRef] [PubMed]
- Whitham, S.A.; Qi, M.; Innes, R.W.; Ma, W.; Lopes-Caitar, V.; Hewezi, T. Molecular Soybean-Pathogen Interactions. Annu. Rev. Phytopathol. 2016, 54, 443–468. [Google Scholar] [CrossRef] [PubMed]
- Breen, S.; Williams, S.J.; Outram, M.; Kobe, B.; Solomon, P.S. Emerging Insights into the Functions of Pathogenesis-Related Protein 1. Trends Plant Sci. 2017, 22, 871–879. [Google Scholar] [CrossRef] [PubMed]
- Baek, D.; Kim, M.C.; Kumar, D.; Park, B.; Cheong, M.S.; Choi, W.; Park, H.C.; Chun, H.J.; Park, H.J.; Lee, S.Y.; et al. AtPR5K2, a PR5-Like Receptor Kinase, Modulates Plant Responses to Drought Stress by Phosphorylating Protein Phosphatase 2Cs. Front. Plant Sci. 2019, 10, 1146. [Google Scholar] [CrossRef]
- Arora, R.; Kumar, A.; Singh, I.K.; Singh, A. Pathogenesis related proteins: A defensin for plants but an allergen for humans. Int. J. Biol. Macromol. 2020, 157, 659–672. [Google Scholar] [CrossRef]
- van Verk, M.C.; Pappaioannou, D.; Neeleman, L.; Bol, J.F.; Linthorst, H.J. A Novel WRKY transcription factor is required for induction of PR-1a gene expression by salicylic acid and bacterial elicitors. Plant Physiol. 2008, 146, 1983–1995. [Google Scholar] [CrossRef]
- Kothari, K.S.; Dansana, P.K.; Giri, J.; Tyagi, A.K. Rice Stress Associated Protein 1 (OsSAP1) Interacts with Aminotransferase (OsAMTR1) and Pathogenesis-Related 1a Protein (OsSCP) and Regulates Abiotic Stress Responses. Front. Plant Sci. 2016, 7, 1057. [Google Scholar] [CrossRef]
- Kong, X.; Zhang, D.; Pan, J.; Zhou, Y.; Li, D. Hydrogen peroxide is involved in nitric oxide-induced cell death in maize leaves. Plant Biol. 2013, 15, 53–59. [Google Scholar] [CrossRef]
- Rahman, F.U.; Khan, I.A.; Aslam, A.; Liu, R.; Sun, L.; Wu, Y.; Aslam, M.M.; Khan, A.U.; Li, P.; Jiang, J.; et al. Transcriptome analysis reveals pathogenesis-related gene 1 pathway against salicylic acid treatment in grapevine (Vitis vinifera L.). Front. Genet. 2022, 13, 1033288. [Google Scholar] [CrossRef]
- Mitsuhara, I.; Iwai, T.; Seo, S.; Yanagawa, Y.; Kawahigasi, H.; Hirose, S.; Ohkawa, Y.; Ohashi, Y. Characteristic expression of twelve rice PR1 family genes in response to pathogen infection, wounding, and defense-related signal compounds (121/180). Mol. Genet. Genom. 2008, 279, 415–427. [Google Scholar] [CrossRef]
- Li, Y.; Qiu, L.; Liu, X.; Zhang, Q.; Zhuansun, X.; Fahima, T.; Krugman, T.; Sun, Q.; Xie, C. Glycerol-Induced Powdery Mildew Resistance in Wheat by Regulating Plant Fatty Acid Metabolism, Plant Hormones Cross-Talk, and Pathogenesis-Related Genes. Int. J. Mol. Sci. 2020, 21, 673. [Google Scholar] [CrossRef] [PubMed]
- Bonasera, J.M.; Kim, J.F.; Beer, S.V. PR genes of apple: Identification and expression in response to elicitors and inoculation with Erwinia amylovora. BMC Plant Biol. 2006, 6, 23. [Google Scholar] [CrossRef] [PubMed]
- Seo, J.S.; Diloknawarit, P.; Park, B.S.; Chua, N.-H. ELF18-induced long noncoding RNA 1 evicts fibrillarin from mediator subunit to enhance pathogenesis-related gene 1 (PR1) expression. New Phytol. 2019, 221, 2067–2079. [Google Scholar] [CrossRef] [PubMed]
- Ren, X.-B.; Dang, Y.-R.; Liu, S.-S.; Huang, K.-X.; Qin, Q.-L.; Chen, X.-L.; Zhang, Y.-Z.; Wang, Y.-J.; Li, P.-Y. Identification and Characterization of Three Chitinases with Potential in Direct Conversion of Crystalline Chitin into N,N′-diacetylchitobiose. Mar. Drugs 2022, 20, 165. [Google Scholar] [CrossRef]
- Agrawal, G.K.; Rakwal, R.; Jwa, N.S.; Agrawal, V.P. Signaling molecules and blast pathogen attack activates rice OsPR1a and OsPR1b genes: A model illustrating components participating during defence/stress response. Plant Physiol. Biochem. 2001, 39, 1095–1103. [Google Scholar] [CrossRef]
- Lu, S.; Friesen, T.L.; Faris, J.D. Molecular characterization and genomic mapping of the pathogenesis-related protein 1 (PR-1) gene family in hexaploid wheat (Triticum aestivum L.). Mol. Genet. Genom. 2011, 285, 485–503. [Google Scholar] [CrossRef]
- Liu, Q.; Xue, Q. Computational identification of novelPR-1-type genes in Oryza sativa. J. Genet. 2006, 85, 193–198. [Google Scholar] [CrossRef]
- Gamir, J.; Darwiche, R.; Hof, P.V.; Choudhary, V.; Stumpe, M.; Schneiter, R.; Mauch, F. The sterol-binding activity of Pathogenesis-Related Protein 1 reveals the mode of action of an antimicrobial protein. Plant J. Cell Mol. Biol. 2017, 89, 502–509. [Google Scholar] [CrossRef]
- Yamamoto, T.; Iketani, H.; Ieki, H.; Nishizawa, Y.; Notsuka, K.; Hibi, T.; Hayashi, T.; Matsuta, N. Transgenic grapevine plants expressing a rice chitinase with enhanced resistance to fungal pathogens. Plant Cell Rep. 2000, 19, 639–646. [Google Scholar] [CrossRef]
- Dai, L.; Wang, D.; Xie, X.; Zhang, C.; Wang, X.; Xu, Y.; Wang, Y.; Zhang, J. The Novel Gene VpPR4-1 from Vitis pseudoreticulata Increases Powdery Mildew Resistance in Transgenic Vitis vinifera L. Front. Plant Sci. 2016, 7, 695. [Google Scholar] [CrossRef]
- Zhang, J.; Wang, F.; Liang, F.; Zhang, Y.; Ma, L.; Wang, H.; Liu, D. Functional analysis of a pathogenesis-related thaumatin-like protein gene TaLr35PR5 from wheat induced by leaf rust fungus. BMC Plant Biol. 2018, 18, 76. [Google Scholar] [CrossRef] [PubMed]
- Chye, M.-L.; Zhao, K.-J.; He, Z.-M.; Ramalingam, S.; Fung, K.-L. An agglutinating chitinase with two chitin-binding domains confers fungal protection in transgenic potato. Planta 2005, 220, 717–730. [Google Scholar] [CrossRef]
- Sinha, M.; Singh, R.P.; Kushwaha, G.S.; Iqbal, N.; Singh, A.; Kaushik, S.; Kaur, P.; Sharma, S.; Singh, T.P. Current Overview of Allergens of Plant Pathogenesis Related Protein Families. Sci. World J. 2014, 2014, 543195. [Google Scholar] [CrossRef] [PubMed]
- Anuradha, C.; Chandrasekar, A.; Backiyarani, S.; Thangavelu, R.; Giribabu, P.; Uma, S. Genome-wide analysis of pathogenesis-related protein 1 (PR-1) gene family from Musa spp. and its role in defense response during stresses. Gene 2022, 821, 146334. [Google Scholar] [CrossRef] [PubMed]
- Sels, J.; Mathys, J.; De Coninck, B.M.; Cammue, B.P.; De Bolle, M.F. Plant pathogenesis-related (PR) proteins: A focus on PR peptides. Plant Physiol. Biochem. 2008, 46, 941–950. [Google Scholar] [CrossRef]
- Christensen, A.B.; Cho, B.H.; Naesby, M.; Gregersen, P.L.; Brandt, J.; Madriz-Ordeñana, K.; Collinge, D.B.; Thordal-Christensen, H. The molecular characterization of two barley proteins establishes the novel PR-17 family of pathogenesis-related proteins. Mol. Plant Pathol. 2002, 3, 135–144. [Google Scholar] [CrossRef] [PubMed]
- Bai, S.; Dong, C.; Li, B.; Dai, H. A PR-4 gene identified from Malus domestica is involved in the defense responses against Botryosphaeria dothidea. Plant Physiol. Biochem. 2013, 62, 23–32. [Google Scholar] [CrossRef]
- Ghorbel, M.; Zribi, I.; Missaoui, K.; Drira-Fakhfekh, M.; Azzouzi, B.; Brini, F. Differential regulation of the durum wheat Pathogenesis-related protein (PR1) by Calmodulin TdCaM1.3 protein. Mol. Biol. Rep. 2021, 48, 347–362. [Google Scholar] [CrossRef]
- Du, Q.; Yang, X.; Zhang, J.; Zhong, X.; Kim, K.S.; Yang, J.; Xing, G.; Li, X.; Jiang, Z.; Li, Q.; et al. Over-expression of the Pseudomonas syringae harpin-encoding gene hrpZm confers enhanced tolerance to Phytophthora root and stem rot in transgenic soybean. Transgenic Res. 2018, 27, 277–288. [Google Scholar] [CrossRef]
- AlHudaib, K.A.; Alanazi, N.A.; Ghorbel, M.; El-Ganainy, S.M.; Brini, F. Isolation and Characterization of a Novel Pathogenesis-Related Protein-1 Gene (AvPR-1) with Induced Expression in Oat (Avena sativa L.) during Abiotic and Hormonal Stresses. Plants 2022, 11, 2284. [Google Scholar] [CrossRef]
- Liu, X.; Huang, B.; Lin, J.; Fei, J.; Chen, Z.; Pang, Y.; Sun, X.; Tang, K. A novel pathogenesis-related protein (SsPR10) from Solanum surattense with ribonucleolytic and antimicrobial activity is stress- and pathogen-inducible. J. Plant Physiol. 2006, 163, 546–556. [Google Scholar] [CrossRef] [PubMed]
- Xie, Y.-R.; Chen, Z.-Y.; Brown, R.L.; Bhatnagar, D. Expression and functional characterization of two pathogenesis-related protein 10 genes from Zea mays. J. Plant Physiol. 2010, 167, 121–130. [Google Scholar] [CrossRef] [PubMed]
- Prasath, D.; El-Sharkawy, I.; Sherif, S.; Tiwary, K.S.; Jayasankar, S. Cloning and characterization of PR5 gene from Curcuma amada and Zingiber officinale in response to Ralstonia solanacearum infection. Plant Cell Rep. 2011, 30, 1799–1809. [Google Scholar] [CrossRef]
- Pečenková, T.; Pleskot, R.; Žárský, V. Subcellular Localization of Arabidopsis Pathogenesis-Related 1 (PR1) Protein. Int. J. Mol. Sci. 2017, 18, 825. [Google Scholar] [CrossRef] [PubMed]
- Gao, S.; Zhou, G.; Sun, T.; Liu, J.; Kong, W.; Wu, H. Apolygus lucorum-induced resistance in Vitis vinifera L. elicits changes at the phenotypic, physiological, and biochemical levels. Sci. Hortic. 2022, 298, 110985. [Google Scholar] [CrossRef]
- Akbudak, M.A.; Yildiz, S.; Filiz, E. Pathogenesis related protein-1 (PR-1) genes in tomato (Solanum lycopersicum L.): Bioinformatics analyses and expression profiles in response to drought stress. Genomics 2020, 112, 4089–4099. [Google Scholar] [CrossRef]
- Goyal, R.K.; Fatima, T.; Topuz, M.; Bernadec, A.; Sicher, R.; Handa, A.K.; Mattoo, A.K. Pathogenesis-Related Protein 1b1 (PR1b1) Is a Major Tomato Fruit Protein Responsive to Chilling Temperature and Upregulated in High Polyamine Transgenic Genotypes. Front. Plant Sci. 2016, 7, 901. [Google Scholar] [CrossRef]
- Liu, T.; Chen, T.; Kan, J.; Yao, Y.; Guo, D.; Yang, Y.; Ling, X.; Wang, J.; Zhang, B. The GhMYB36 transcription factor confers resistance to biotic and abiotic stress by enhancing PR1 gene expression in plants. Plant Biotechnol. J. 2022, 20, 722–735. [Google Scholar] [CrossRef]
- Sung, Y.; Outram, M.A.; Breen, S.; Wang, C.; Dagvadorj, B.; Winterberg, B.; Kobe, B.; Williams, S.J.; Solomon, P.S. PR1-mediated defence via C-terminal peptide release is targeted by a fungal pathogen effector. New Phytol. 2021, 229, 3467–3480. [Google Scholar] [CrossRef]
- Zhang, X.; Ménard, R.; Li, Y.; Coruzzi, G.M.; Heitz, T.; Shen, W.-H.; Berr, A. Arabidopsis SDG8 Potentiates the Sustainable Transcriptional Induction of the Pathogenesis-Related Genes PR1 and PR2 During Plant Defense Response. Front. Plant Sci. 2020, 11, 277. [Google Scholar] [CrossRef]
- Hussain, R.M.F.; Sheikh, A.H.; Haider, I.; Quareshy, M.; Linthorst, H.J.M. Arabidopsis WRKY50 and TGA Transcription Factors Synergistically Activate Expression of PR1. Front. Plant Sci. 2018, 9, 930. [Google Scholar] [CrossRef] [PubMed]
- Bozbuga, R. Expressions of Pathogenesis related 1 (PR1) Gene in Solanum lycopersicum and Influence of Salicylic Acid Exposures on Host-Meloidogyne incognita Interactions. Dokl. Biochem. Biophys. 2020, 494, 266–269. [Google Scholar] [CrossRef] [PubMed]
- Gayoso, C.; Pomar, F.; Novo-Uzal, E.; Merino, F.; de Ilárduya, Ó.M. The Ve-mediated resistance response of the tomato to Verticillium dahliae involves H2O2, peroxidase and lignins and drives PALgene expression. BMC Plant Biol. 2010, 10, 232. [Google Scholar] [CrossRef] [PubMed]
- Guo, J.; Bai, Y.; Wei, Y.; Dong, Y.; Zeng, H.; Reiter, R.J.; Shi, H. Fine-tuning of pathogenesis-related protein 1 (PR1) activity by the melatonin biosynthetic enzyme ASMT2 in defense response to cassava bacterial blight. J. Pineal Res. 2022, 72, e12784. [Google Scholar] [CrossRef] [PubMed]
- Oide, S.; Bejai, S.; Staal, J.; Guan, N.; Kaliff, M.; Dixelius, C. A novel role of PR 2 in abscisic acid (ABA) mediated, pathogen-induced callose deposition in Arabidopsis thaliana. New Phytol. 2013, 200, 1187–1199. [Google Scholar] [CrossRef]
- Park, C.-J.; Kim, K.-J.; Shin, R.; Park, J.M.; Shin, Y.-C.; Paek, K.-H. Pathogenesis-related protein 10 isolated from hot pepper functions as a ribonuclease in an antiviral pathway. Plant J. 2004, 37, 186–198. [Google Scholar] [CrossRef]
- Li, R.; Li, Y.; Zhang, Y.; Sheng, J.; Zhu, H.; Shen, L. Transcriptome analysis reveals that SlNPR1 mediates tomato fruit resistance against Botrytis cinerea by modulating phenylpropanoid metabolism and balancing ROS homeostasis. Postharvest Biol. Technol. 2021, 172, 111382. [Google Scholar] [CrossRef]
- Luo, X.; Tian, T.; Feng, L.; Yang, X.; Li, L.; Tan, X.; Wu, W.; Li, Z.; Treves, H.; Serneels, F.; et al. Pathogenesis-related protein 1 suppresses oomycete pathogen by targeting against AMPK kinase complex. J. Adv. Res. 2023, 43, 13–26. [Google Scholar] [CrossRef]
- Ijaz, S.; Haq, I.U.; Khan, I.A.; Ali, H.M.; Kaur, S.; Razzaq, H.A. Identification of resistance gene analogs of the NBS-LRR family through transcriptome probing and in silico prediction of the expressome of Dalbergia sissoo under dieback disease stress. Front. Genet. 2022, 13, 1036029. [Google Scholar] [CrossRef]
- Lodhi, N.; Singh, M.; Srivastava, R.; Sawant, S.V.; Tuli, R. Epigenetic malleability at core promoter initiates tobacco PR-1a expression post salicylic acid treatment. Mol. Biol. Rep. 2023, 50, 417–431. [Google Scholar] [CrossRef]






| Lines | Total Number of Investigations | Disease Level | Disease Index | Resistance Evaluation | |||||
|---|---|---|---|---|---|---|---|---|---|
| 0 | 1 | 3 | 5 | 7 | 9 | ||||
| WT | 45 | 2 | 13 | 25 | 5 | 0 | 0 | 50.22 | MS |
| OEA1 | 45 | 8 | 16 | 18 | 3 | 0 | 0 | 37.78 | MR |
| OEA2 | 45 | 7 | 19 | 17 | 2 | 0 | 0 | 35.56 | MR |
| IEA1 | 45 | 3 | 4 | 5 | 26 | 7 | 0 | 62.86 | S |
| IEA2 | 45 | 2 | 3 | 9 | 25 | 6 | 0 | 62.54 | S |
| Genotype | WT | OEA1 | OEA2 | IEA1 | IEA2 |
|---|---|---|---|---|---|
| Plant height (cm) | 85.4 ± 6.88 | 100 ± 7.04 * | 99.4 ± 4.18 * | 83.2 ± 8.42 | 81.8 ± 6.55 |
| Branching number | 3.6 ± 1.14 | 4.8 ± 1.17 | 4 ± 0.71 | 2.2 ± 1.09 | 3.4 ± 1.52 |
| Node number | 17.4 ± 1.95 | 19.4 ± 2.3 | 19.2 ± 1.30 | 15.6 ± 1.52 | 15 ± 3.08 |
| Total pods per plant | 80.4 ± 28.31 | 165.6 ± 90.83 | 136 ± 33.29 * | 73.8 ± 23.01 | 79.4 ± 38.11 |
| Number of four pods | 2.2 ± 2.17 | 4.8 ± 4.60 ** | 5.4 ± 3.91 | 4.4 ± 2.61 | 1.6 ± 1.14 |
| 100 seed weight (g) | 17.34 ± 0.39 | 19.44 ± 1.31 * | 18.71 ± 2.74 | 14.2 ± 1.51 ** | 14.32 ± 1.98 * |
| Maturity period (days) | 124 | 124 | 124 | 124 | 124 |
| Leaf shape | Round | Round | Round | Round | Round |
| Flower color | Purple | Purple | Purple | Purple | Purple |
| Hilum color | Black | Black | Black | Black | Black |
Disclaimer/Publisher’s Note: The statements, opinions and data contained in all publications are solely those of the individual author(s) and contributor(s) and not of MDPI and/or the editor(s). MDPI and/or the editor(s) disclaim responsibility for any injury to people or property resulting from any ideas, methods, instructions or products referred to in the content. |
© 2023 by the authors. Licensee MDPI, Basel, Switzerland. This article is an open access article distributed under the terms and conditions of the Creative Commons Attribution (CC BY) license (https://creativecommons.org/licenses/by/4.0/).
Share and Cite
Du, Y.; Amin, N.; Ahmad, N.; Zhang, H.; Zhang, Y.; Song, Y.; Fan, S.; Wang, P. Identification of the Function of the Pathogenesis-Related Protein GmPR1L in the Resistance of Soybean to Cercospora sojina Hara. Genes 2023, 14, 920. https://doi.org/10.3390/genes14040920
Du Y, Amin N, Ahmad N, Zhang H, Zhang Y, Song Y, Fan S, Wang P. Identification of the Function of the Pathogenesis-Related Protein GmPR1L in the Resistance of Soybean to Cercospora sojina Hara. Genes. 2023; 14(4):920. https://doi.org/10.3390/genes14040920
Chicago/Turabian StyleDu, Yeyao, Nooral Amin, Naveed Ahmad, Hanzhu Zhang, Ye Zhang, Yang Song, Sujie Fan, and Piwu Wang. 2023. "Identification of the Function of the Pathogenesis-Related Protein GmPR1L in the Resistance of Soybean to Cercospora sojina Hara" Genes 14, no. 4: 920. https://doi.org/10.3390/genes14040920
APA StyleDu, Y., Amin, N., Ahmad, N., Zhang, H., Zhang, Y., Song, Y., Fan, S., & Wang, P. (2023). Identification of the Function of the Pathogenesis-Related Protein GmPR1L in the Resistance of Soybean to Cercospora sojina Hara. Genes, 14(4), 920. https://doi.org/10.3390/genes14040920

