Abstract
Background/Aim: There is a strong association between malignancy and histone deacetylases (HDACs). Histone deacetylase inhibitors (HDACIs) are now being tested as antitumor agents in various clinical trials. We aimed to assess the clinical importance of HDAC-2 in breast cancer (BC). Materials and Methods: A total of 118 BC specimens were examined immunohistochemically. A statistical analysis was conducted in order to examine the relation between HDAC-2 and the clinicopathological features and survival of the patients. Results: Higher HDAC-2 expression was related to lobular histological type of cancer, grade III, and stage III BC. In addition, the disease-free period and overall survival were curtailed and negatively related to the over-expression of HDAC-2. Other factors correlating with worse survival were histological types other than ductal or lobular, and the stage of the disease. Conclusions: This study showed a relationship between HDAC-2 and BC. Further studies are required in order to eventually potentiate the role of HDACIs as anticancer agents in BC.
1. Introduction
The regulation of transcription is controlled by the acetylation status of histones. The competition between the histone deacetylases (HDACs) and the histone acetyltransferases (HATs) plays a crucial role in either the inhibition or the promotion of transcription, respectively [1,2]. The HDAC-dependent removal of acetyl groups from lysine residues in histones leads to the formation of heterochromatin, thus repressing the process of transcription [3]. A large number of human HDACs has been found and recognized. HDACs are divided into four classes depending on their structure and function [4], and are further subdivided into NAD-dependent (III) and Zn2+-dependent classes (I, II, and IV). Class I includes HDAC-1, -2, -3, and -8; class II consists of HDAC-4, -5, -7, -6, -9, and -10, whereas class IV only contains HDAC-11. Class III HDACs are widely known as sirtuins and contain seven distinct members: SIRT-1–7 (Figure 1) [5,6,7].
Figure 1.
Histone deacetylases’ function and classification.
In particular, HDAC-2 is a classical class I HDAC with a conserved deacetylase domain with short amino- and carboxy-terminal extensions [3]. Its catalytic site consists of a 14 Å long internal cavity adjacent to the zinc-binding site, a lipophilic tube connecting the surface with the zinc-binding site, as well as a catalytic zinc ion. HDAC-2 may be post-translationally modified by phosphorylation, acetylation, ubiquitination, and sumoylation, while it exhibits high activity and enantioselectivity to histones [8]. By catalyzing the removal of acetyl groups on the NH2-terminal lysine histone residues, HDAC-2 is involved in transcriptional repression and tumor-suppressor gene-silencing [2,9]. As a consequence, its deregulation may potentially promote malignant cell proliferation, migration, and/or invasion [10].
HDAC2 plays a vital role in gene expression through the formation of transcription repressor complexes. It is often regarded as a target for cancer therapy [5]. Increased deacetylation can cease transcription of tumor-suppressor genes leading to cell proliferation, migration, and invasion [11]. Different subtypes of HDAC seem to be related to different cancer biological behaviors and histological types. It is a component of complexes that deactivate the SIN3 and NURD pathways [12]. In addition, it plays a preventive role against neural expression genes in tissues unrelated to the nervous system [13]. Finally, HDAC-2 is regarded as a helpful factor in vascular and lymphatic invasion in a variety of malignancies [5]. Another study showed, through immunohistochemistry, that HDAC-2 expression was related to the presence of both lymphatic and vascular invasion and lymph node metastases in malignant thyroid lesions. Additionally, both nuclear and cytoplasmic pattern of HDAC-2 distribution is related more to lymphatic invasion [14].
Histone deacetylase inhibitors (HDACI) are enzymes that lead to hyperacetylation of the substrates. Four classes of HDACI, which differ in structure, are being researched. These include hydroxamic acid (suberoylanilide hydroxamic acid, SAHA), cyclic tetrapeptide (romidepsin), benzamide (MS-275), and aliphatic acid (valproic acid) [5,15]. Another classification, which can be also used, depends on the specificity of each HDACI to the HDAC. For example, MS-275 and romidepsin inhibit class I, while trichostatin A and SAHA are pan-HDAC inhibitors [5,16]. They suppress the action of HDAC and express anti-tumor activity through many mechanisms. These include both the damage to and prevention of repairment of DNA via the production of reactive oxygen species (ROS) [17]. The HDACIs can alter gene expression and negatively affect cell proliferation in various stages of the cell cycle, such as the G1, G2, or M phase [18]. Additionally, apoptosis can be triggered through both the endogenous and exogenous pathways by the HDACIs [19]. The HDACIs exert an antiangiogenetic and antimetastatic effect on malignancies, as well as prevent malignant cells from using glycose for their metabolic pathways [20,21,22]. It is of paramount importance to highlight that their action is limited to the malignant cells, whereas normal ones are only slightly affected. Clinical research on the use of HDACIs has been conducted and proved their antitumor potential [5,15,23,24]. Furthermore, four HDACI have already been approved by the FDA (U.S. Food and Drug Administration) against haematological malignancies: T-cell cutaneous lymphoma is being treated with romidepsin (istodax) or vorinostat (zolinza); T-cell peripheral lymphoma is being treated with belinostat (beleodaq); while panobistat (farydak) is being used against multiple myeloma [5]. In breast cancer (BC), HDACIs show clinical benefits when used as a combination therapy with radiation or cytotoxic treatment [25].
BC is the most frequent malignancy affecting the female population worldwide [26,27,28,29]. As much as 30% of all cancers derive from the breast tissue and it is the second cause of cancer death in women following lung cancer in developed countries [30,31]. Diverse therapeutic methods are currently being used to treat patients, including surgery, radiotherapy, and chemotherapy [32,33,34,35]. These methods do have side effects, including toxicity and drug resistance [36]. Additionally, despite the extensive advancements in both treatment and diagnosis, 43,250 women are, however, still estimated to die in the US in 2022 [31]. Hence, it is necessary to explore novel aspects regarding the treatment and prognosis of this specific disease.
HDAC-2 has been reported to play a significant role in various cancer entities, ranging from medulloblastoma, melanoma, lung cancer, and hematological malignancies, to pancreatic, colorectal, prostate, and urothelial cancer [37]. Recently, multiple study groups have investigated the role of HDAC-2 in BC and underlined its potential oncogenic capacities in different BC types [38,39,40,41,42]. Nevertheless, most of these studies investigate HDAC-2 expression in BC cell lines or xenograft tumor models, but not patient-derived tumor samples. Thus, the aim of our study is to examine the expression of HDAC-2 immunohistochemically in specimens derived from BC tissue and its correlation to the clinicopathological features of the tumor and patient prognosis.
During the last three decades, great progress on the pathophysiology of BC has been achieved through extensive research, leading to the development of possible novel therapeutic approaches. In addition, a variety of human malignancies, such as lung, colorectal, gastric, thyroid, prostate, endometrial, hepatocellular, kidney, pancreatic, melanoma (including uveal), breast, and hematological malignancies, over-express HDACs [15,25,33,34,35,36,37,38,39,40,41,42,43,44,45,46,47,48,49,50,51,52,53,54,55]. The majority of these studies have highlighted the correlation between HDAC over-expression and parameters such as the histological grade, the stage of the tumor, and the survival of the patients. Still, the available knowledge about HDACs and BC remains poor.
2. Materials and Methods
2.1. Clinical Material
Patient-derived BC tumor samples with a diameter less than 20 mm were obtained from female patients that had undergone R0 surgical resection (R0 resection: no cancer cells seen microscopically at the margin of the resection) of breast tissue during the period 2008–2018. Only deceased, pre-operatively treatment-naïve, stage I–III BC patients were included in the study. Stage IV BC patients, patients with tumor size >20 mm, neoadjuvantly-treated patients, and patients whose death was associated with any reason not directly linked to BC were excluded from the study. The staging of the tumor was evaluated using the 7th edition of the American Joint Committee on Cancer (AJCC) Grouping system and the Tumor, Node, Metastasis (TNM) system [56]. A total of 118 patients meeting the aforementioned criteria were selected to be evaluated in our study (Scheme 1). The period of time from the date of surgery until death caused by BC was defined as the overall survival (OS) period. Disease-free survival (DFS) period was defined as the time interval between initial diagnosis and disease recurrence. All patients included in this study had given written informed consent for the evaluation of their clinical information and biological specimens. The study was approved by the Ethical Committee of the Medical School of the National and Kapodistrian University of Athens (Approval ethic code: 1718004914).
Scheme 1.
Patient selection criteria and flow chart of the current study.
2.2. Immunohistochemistry
BC tissue samples were initially paraffin-embedded, and formalin-fixed. Rabbit polyclonal anti-HDAC-2 (H-5, Santa Cruz Biotechnology, Santa Cruz, CA, USA, sc-7899) antibodies were used in order to examine HDAC-2 expression immunohistochemically. The antigen was retrieved through the use of microwave slides for 15 min in 10 mM citrate buffer, in compliance with the manufacturer’s instructions. Hydrogen peroxide 0.3% was mixed with methanol for 30 min, in the dark at room temperature, in order to achieve removal of the endogenous peroxidase activity. Then, the incubation of all sections, at room temperature for 1 h with antibodies against HDAC-2 (H-54, sc-7899, Santa Cruz Biotechnology) in phosphate-buffered saline (PBS - Primary Antibody Diluent, ScyTek Laboratories Inc., Logan, UT, USA) dilution 1:200, took place. Two more incubations at room temperature lasting 10 min each, one with a biotinylated linking reagent and peroxidase-conjugated streptavidin label, followed. A 3,3′-diaminobenzidine tetrahydrochloride (DAB) substrate kit (UltraVision Quanto HRP Detection System, Thermo Fisher Scientific, Labvision Corporation, Fremont, CA, USA) was then used in order to develop immune peroxidase activity. The sections were stained with hematoxylin. Negative controls for the study were performed through the use of irrelevant anti-serum or omission of the primary antibodies, whereas positive controls were tissue parts from pancreatic cancer with previously known increased levels of HDAC-2 [57]. The cells’ proliferative index of the tumor was evaluated by p53 immunohistochemical expression.
2.3. Evaluation of Immunohistochemistry
Two pathologists, unaware of the clinical information, assessed the sections immunohistochemically by measuring at least 1000 malignant cells each time. Two parameters were used in order to evaluate the immunohistochemistry staining. These were the intensity (0: negative, 1: mild, 2: moderate, 3: strong) and the percentage of positive cells (0: negative staining; 1: less than 10%; 2: equal to or more than 10% and less than 33%; 3: equal to or more than 33% and less than 66%; 4: equal to or more than 66%). The HDAC-2 immunohistochemistry scores were then measured through the multiplication of these two parameters. The examined cases were divided into two groups depending on the above score: 0–6 was characterized as low expression of HDAC-2, and 7–12 as high expression of HDAC-2. The staining of p53 was regarded as positive when the percentage of positively stained tumor nuclei was more than 10%.
2.4. Statistical Analysis
Quantitative variables were expressed as mean values (SD) or as median values (interquartile range = IQR). Qualitative variables are presented with absolute and relative frequencies. For the comparisons of proportions, chi-square and Fisher’s exact tests were used. Student’s t-tests were computed for the comparison of mean values in the case of normal distribution, and the Mann–Whitney test for the comparison of median values when the distribution was not normal. Kaplan–Meier survival estimates for events were graphed over the follow-up period. Log-rank tests were used to compare survival curves. The Cox proportional hazard model was used in order to determine independent factors for recurrence and survival [58]. Hazard ratios (HR) with 95% confidence intervals (95% CI) were computed from the results of the Cox regression analyses. Statistical significance was set at 0.05 and analyses were conducted using the SPSS statistical software (SPSS 22.0; SPSS Corporation, Chicago, IL, USA).
3. Results
Data from 118 women were analyzed. Sample demographics and clinical characteristics are presented in Table 1. The mean age of the women was 63.7 years (SD = 8.2). A total of 32.2% of the cases were grade 3 and 16.9% of the samples were triple negative. Moreover, 33.9% of the cases were at stage II and 49.2% of the cases were at stage III. A total of 72.9% were estrogen receptor (ER)-positive and 67.8% were progesterone receptor (PR)-positive. C-erb B-2 was positive in 15.3% of the women. In terms of postoperative adjuvant treatment, all patients received radiation therapy, as well as adjuvant hormone therapy, in case of hormone receptor-positive BC. Depending on the individual case, patients with HER2-positive BC additionally received trastuzumab-based targeted therapy, as well as adjuvant chemotherapy. Patients with tumors larger than 1 cm in diameter, and/or hormone receptor-negative BC, also received 5-fluorouracil PLUS epirubicin PLUS cyclophosphamide, followed by docetaxel.
Table 1.
Sample demographics and clinical characteristics.
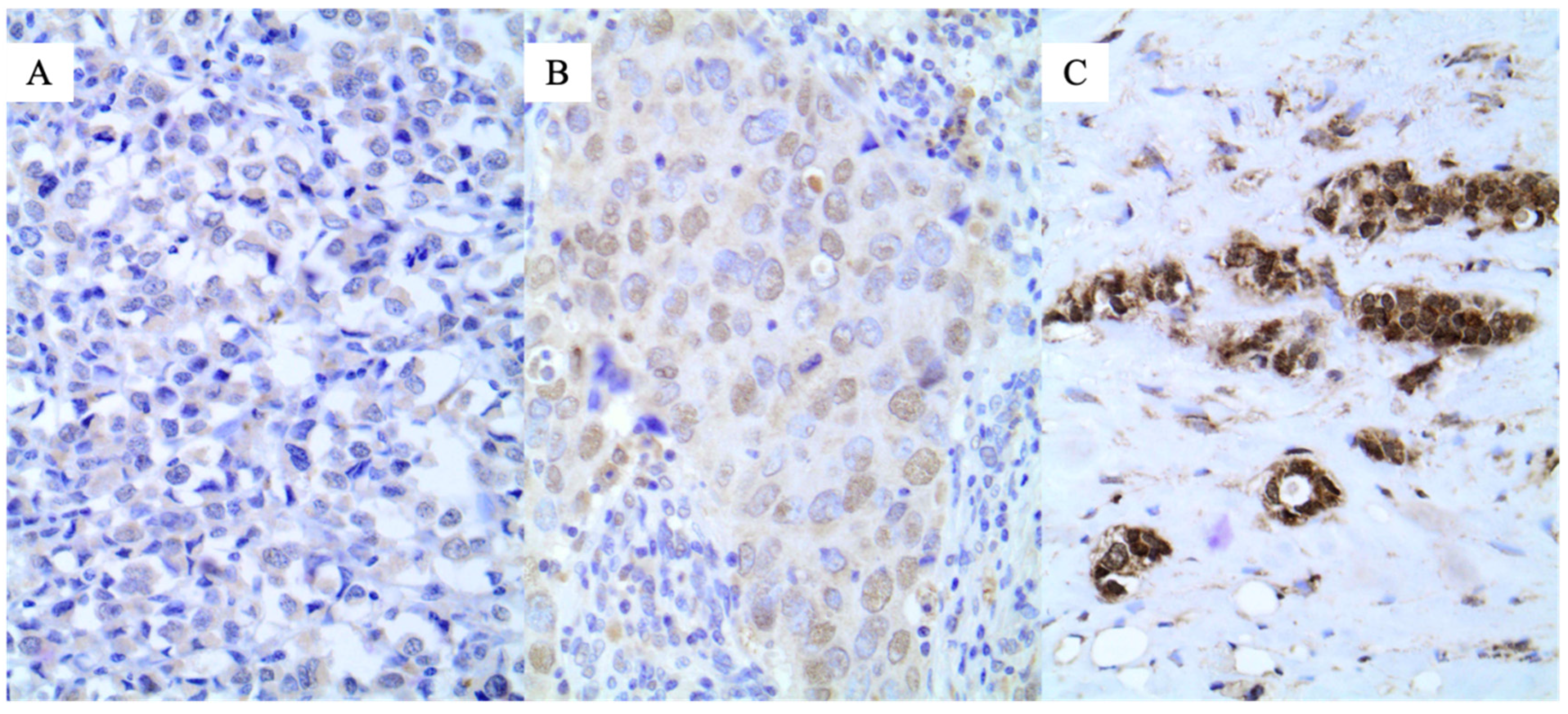
Only 4 (3.4%) out of 118 cases did not show HDAC-2 expression (Figure 2A). In all other HDAC-2-positive cases, the pattern of distribution was nuclear (Figure 2B,C), whereas non-cancerous sites of the tissues were negative for HDAC-2. The mean immunohistochemical expression of HDAC-2 was 5.02 (SD = 2.71), with 22 cases (18.6%) exhibiting high immunohistochemical expression (Figure 2C).
Figure 2.
HDAC-2 immunohistochemical expression in breast cancer tissue (×400). (A): Negative nuclear staining. (B): Mild to moderate nuclear staining. (C): Strong nuclear staining.
The association of high immunohistochemical expression with demographics and clinical characteristics is shown in Table 2. High HDAC-2 expression correlated with the lobular type and stage/grade III BC. Moreover, the proportion of cases with high HDAC-2 expression was higher in ER- and C-erb B-2-positive samples.
Table 2.
Correlation of immunohistochemical expression with demographics and clinical characteristics.
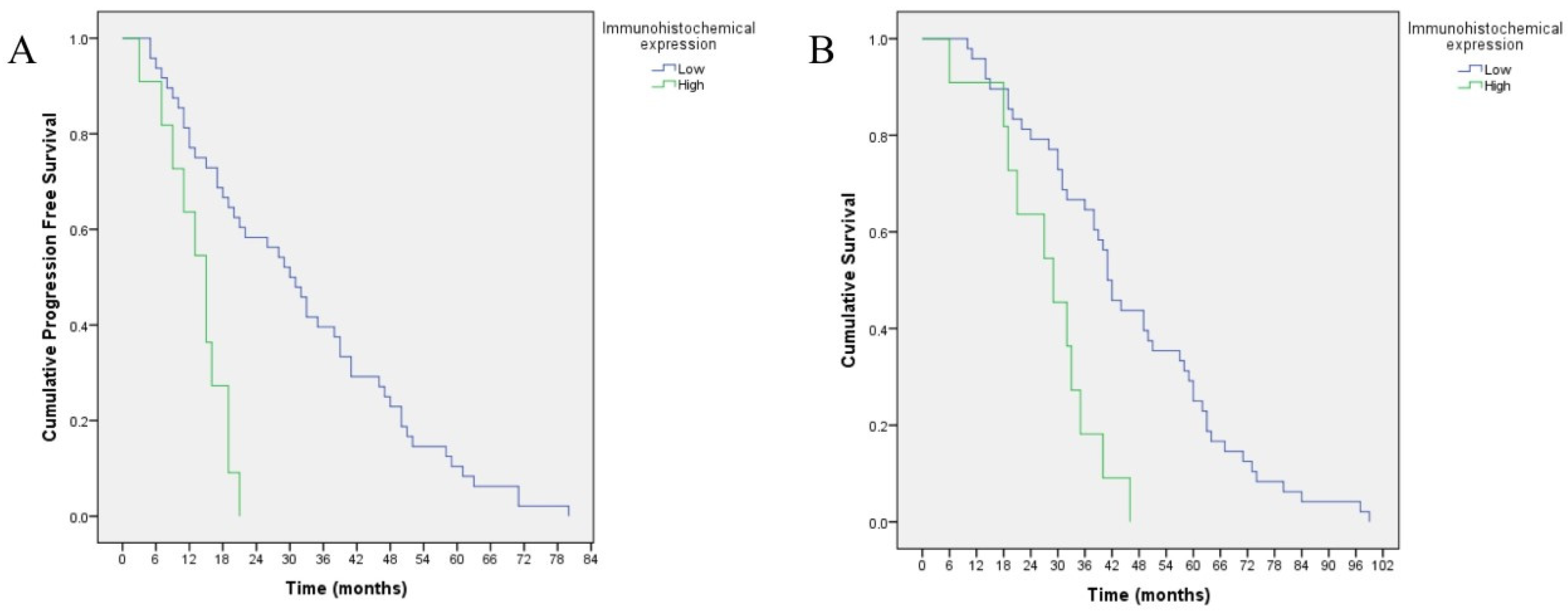
The mean DFS for all patients was 28.6 months (SD = 1.8), with a median DFS of 21 months, while the mean OS was 42.2 months (SD = 2.0), with a median OS of 40 months. Kaplan–Meier estimates for both DFS and OS were significantly different for low versus high HDAC-2-expressing BC (log-rank test, p < 0.001) (Figure 3).
Figure 3.
Kaplan–Meier estimates for survival according to HDAC-2 immunohistochemical expression. (A): Disease-free survival. (B): Overall survival.
Multiple Cox regression analysis for DFS (Table 3) identified high immunohistochemical expression as an independent prognostic factor, associated with greater hazard after adjustment for age, histological type, grade, stage, ER, PR, and C-erb B-2. Specifically, patients with high HDAC-2 expression had 3.31 times greater hazard for progression than those with low expression (p < 0.001).
Table 3.
Multiple Cox regression analysis results for disease-free survival.
Multiple Cox regression analysis for survival (Table 4) showed a 2.56 times greater hazard for those with high immunohistochemical expression (p < 0.001) after adjusting for age, histological type, grade, stage, ER, PR, and C-erb B-2.
Table 4.
Multiple Cox regression analysis results for overall survival.
4. Discussion
As aforementioned, HDACs are currently regarded as crucial factors in the regulation of the cell cycle, including cell differentiation, apoptosis, and proliferation, in different types of cancer [15,25,41,43,44,45,46,47,48,49,50,51,52,53,54,55]. Their over-expression correlates with the management and survival of the patient.
In our study, we examined the clinical importance of the expression of HDAC-2 in 118 human BC cases. Our results indicated that high levels of HDAC-2 were associated with the lobular histological type of BC (p < 0.005). ER- and C-erbB-2-positive specimens were more likely to present higher HDAC-2 levels than PR-positive or triple-negative specimens. Moreover, there was a strong correlation between stage III (p < 0.001) and histological grade 3 (p = 0.013), and HDAC-2 over-expression. This indicates a more aggressive tumor behavior with a worse prognosis. Last but not least, DFS and OS were negatively associated with the over-expression of HDAC-2, thus confirming the above findings about prognosis.
A small number of studies have so far evaluated the clinical importance of HDAC-2 in BC. Derr et al. indicated that only the combination of high SIRT-1, LSD1, and HDAC-2 leads to shorter survival and a greater possibility of relapse. The over-expression of HDAC-2 alone did not show any clinical significance [59]. The same year, Seo et al. demonstrated that high levels of HDAC-2 correlate with better OS in ER-negative tumors [60]. Different environments or sizes of specimens, as well as different ethnicities of patients (Caucasian or Asian), could explain the discordance between our findings and these results. The number of patients also undoubtedly represents an important factor explaining the difference in the results. The study by Derr et al. included 822 [59], and the one by Seo et al., 300 patients [60], whereas our study evaluated the BC tumor samples of a total of 118 patients. In addition, different antibodies, methods of staining, including dilution levels, and even the evaluation of the immunohistochemistry could justify the diversity of the results. In our study, evaluation was performed through the use of both the intensity and the percentage of the stained cells. It should be highlighted that every study had different inclusion and exclusion criteria concerning age, stage, histological type, and the number of lesions. This could result in heterogeneity of the population among the studies and explain the aforementioned conflicting results. On the other hand, several studies have demonstrated similar results concerning HDAC-2 expression and its association with BC. In 2013, Muller et al. showed that HDAC-2 is associated with more aggressive BC and lymph node metastasis [61]. In 2016, a Chinese study concluded that higher levels of HDAC-2 are related to worse clinical outcomes in BC patients, as metastases, disease recurrence, and drug resistance occur earlier. Specifically, HDAC-2 overexpression was found to correlate with anthracycline resistance, lymph node metastasis, Ki-67 expression, advanced TNM stage, and higher histological grade in BC [62]. One year later, another study demonstrated the same results, since the over-expression of HDAC-2 was positively associated with lymph node infiltration, undifferentiated cancer cells, and a worse clinical outcome [63]. Altogether, the present study confirmed the results of previous research groups and determined important clinicopathological parameters that correlate with the over-expression of HDAC-2 in BC, such as higher histological grade, stage, and worse prognosis.
In the same context, targeting of HDACs by the use of HDAC inhibitors (HDACIs) might represent a novel therapeutic strategy against BC [25,54,64]. In vitro studies have shown that HDACIs do improve response to hormone therapy and increase estrogen receptor expression in cancer cells [65]. In a clinical trial, Munster et al. demonstrated that the combination of tamoxifen with the HDACI vorinostat has better clinical results than tamoxifen alone. Tamoxifen normally exerts its anti-tumor action through cessation of proliferation. However, its combination with HDACI increases its apoptotic activity [66]. Specifically, this action is accelerated through the inhibition of HDAC-2 [67]. Another study proved that a natural HDACIs can reduce HDAC-2 levels in BC cell lines and lead to apoptosis and inhibition of tumor cell proliferation [68]. Finally, Xu et al. recently proposed HDAC-2 as a target of anti-cancer immunotherapy in triple-negative BC [38]. All in all, the HDAC/HDACI interaction is a complex issue that needs to be clarified in further studies.
5. Conclusions
In summary, this study examined the expression of HDAC-2 in 118 deceased sporadic BC patients and its correlation with clinicopathological characteristics of the tumor and the prognosis of the patient. High expression of this protein is associated with higher histological grade, stage of disease, and worse prognosis. Although more research needs to be conducted, our study indicates that HDAC-2 could arise as a new potential index of aggressiveness and a therapeutic target against BC. Except for the HDAC-2, future studies need to closely investigate the mechanisms of action of different members of the HDAC family in BC, and to determine the tissues mostly affected. This is a prerequisite for the future development of effective HDACIs for the efficient treatment of the various BC subtypes.
Author Contributions
Conceptualization, N.G., C.D., and G.K.; methodology, N.G., C.D., D.D., G.K. and A.N.; data curation, N.G., C.D., A.G., P.S., E.K., A.P., I.P. and A.N.; writing—original draft preparation, N.G., C.D. and D.D.; writing—review and editing, N.G., C.D., D.D., G.K., E.A.A., M.V.K., K.K. and A.N.; resources, N.G., C.D., K.K. and A.N.; supervision, A.N.; Revisions: A.P. and I.P. All authors have read and agreed to the published version of the manuscript.
Funding
This research received no external funding.
Institutional Review Board Statement
The study was conducted in accordance with the Declaration of Helsinki, and approved by the Ethical Committee of the Medical School of the National and Kapodistrian University of Athens (Approval ethic code: 1718004914; date of approval: 12 October 2017).
Informed Consent Statement
Informed consent was obtained from all subjects involved in the study.
Data Availability Statement
The data presented in this study are available on request from the corresponding author.
Conflicts of Interest
The authors declare no conflict of interest.
References
- Allfrey, V.G.; Faulkner, R.; Mirsky, A.E. Acetylation and methylation of histones and their possible role in the regulation of RNA synthesis. Proc. Natl. Acad. Sci. USA 1964, 51, 786–794. [Google Scholar] [CrossRef]
- Grunstein, M. Histone acetylation in chromatin structure and transcription. Nature 1997, 389, 349–352. [Google Scholar] [CrossRef] [PubMed]
- Haberland, M.; Montgomery, R.L.; Olson, E.N. The many roles of histone deacetylases in development and physiology: Implications for disease and therapy. Nat. Rev. Genet. 2009, 10, 32–42. [Google Scholar] [CrossRef] [PubMed]
- Trapp, J.; Jung, M. The role of NAD+ dependent histone deacetylases (sirtuins) in ageing. Curr. Drug Targets 2006, 7, 1553–1560. [Google Scholar] [CrossRef] [PubMed]
- Garmpi, A.; Garmpis, N.; Damaskos, C.; Valsami, S.; Spartalis, E.; Lavaris, A.; Patelis, N.; Margonis, G.A.; Apostolou, K.G.; Spartalis, M.; et al. Histone deacetylase inhibitors as a new anticancer option: How far can we go with expectations? J. BUON 2018, 23, 846–861. [Google Scholar] [PubMed]
- Olzscha, H.; Sheikh, S.; La Thangue, N.B. Deacetylation of chromatin and gene expression regulation: A new target for epigenetic therapy. Crit. Rev. Oncog. 2015, 20, 1–17. [Google Scholar] [CrossRef]
- Garmpi, A.; Damaskos, C.; Garmpis, N.; Kaminiotis, V.-V.; Georgakopoulou, V.E.; Spandidos, D.A.; Papalexis, P.; Diamantis, E.; Patsouras, A.; Kyriakos, G.; et al. Role of histone deacetylase inhibitors in diabetic cardiomyopathy in experimental models (Review). Med. Int. 2022, 2, 26. [Google Scholar] [CrossRef]
- Liu, Y.-R.; Wang, J.-Q.; Huang, Z.-G.; Chen, R.-N.; Cao, X.; Zhu, D.-C.; Yu, H.-X.; Wang, X.-R.; Zhou, H.-Y.; Xia, Q.; et al. Histone deacetylase-2: A potential regulator and therapeutic target in liver disease (Review). Int. J. Mol. Med. 2021, 48, 131. [Google Scholar] [CrossRef] [PubMed]
- Marks, P.A.; Richon, V.M.; Rifkind, R.A. Histone Deacetylase Inhibitors: Inducers of Differentiation or Apoptosis of Transformed Cells. JNCI J. Natl. Cancer Inst. 2000, 92, 1210–1216. [Google Scholar] [CrossRef] [PubMed]
- Archer, S.Y.; Hodin, R.A. Histone acetylation and cancer. Curr. Opin. Genet. Dev. 1999, 9, 171–174. [Google Scholar] [CrossRef]
- Glozak, M.A.; Seto, E. Histone deacetylases and cancer. Oncogene 2007, 26, 5420–5432. [Google Scholar] [CrossRef] [PubMed]
- Büchler, P.; Gazdhar, A.; Schubert, M.; Giese, N.; Reber, H.A.; Hines, O.J.; Giese, T.; Ceyhan, G.O.; Müller, M.; Büchler, M.W.; et al. The Notch Signaling Pathway Is Related to Neurovascular Progression of Pancreatic Cancer. Ann. Surg. 2005, 242, 791–800, discussion 800–801. [Google Scholar] [CrossRef] [PubMed]
- Huang, Y.; Myers, S.J.; Dingledine, R. Transcriptional repression by REST: Recruitment of Sin3A and histone deacetylase to neuronal genes. Nat. Neurosci. 1999, 2, 867–872. [Google Scholar] [CrossRef]
- Giaginis, C.; Alexandrou, P.; Delladetsima, I.; Giannopoulou, I.; Patsouris, E.; Theocharis, S. Clinical significance of histone deacetylase (HDAC)-1, HDAC-2, HDAC-4, and HDAC-6 expression in human malignant and benign thyroid lesions. Tumor Biol. 2013, 35, 61–71. [Google Scholar] [CrossRef] [PubMed]
- Damaskos, C.; Karatzas, T.; Nikolidakis, L.; Kostakis, I.D.; Karamaroudis, S.; Boutsikos, G.; Damaskou, Z.; Kostakis, A.; Kouraklis, G. Histone Deacetylase (HDAC) Inhibitors: Current Evidence for Therapeutic Activities in Pancreatic Cancer. Anticancer Res. 2015, 35, 3129–3135. [Google Scholar] [PubMed]
- Marks, P.A. The clinical development of histone deacetylase inhibitors as targeted anticancer drugs. Expert Opin. Investig. Drugs 2010, 19, 1049–1066. [Google Scholar] [CrossRef] [PubMed]
- Ruefli, A.A.; Ausserlechner, M.J.; Bernhard, D.; Sutton, V.R.; Tainton, K.M.; Kofler, R.; Smyth, M.J.; Johnstone, R.W. The histone deacetylase inhibitor and chemotherapeutic agent suberoylanilide hydroxamic acid (SAHA) induces a cell-death pathway characterized by cleavage of Bid and production of reactive oxygen species. Proc. Natl. Acad. Sci. USA 2001, 98, 10833–10838. [Google Scholar] [CrossRef] [PubMed]
- Richon, V.M.; Sandhoff, T.W.; Rifkind, R.A.; Marks, P.A. Histone deacetylase inhibitor selectively induces p21WAF1 expression and gene-associated histone acetylation. Proc. Natl. Acad. Sci. USA 2000, 97, 10014–10019. [Google Scholar] [CrossRef] [PubMed]
- Dokmanovic, M.; Clarke, C.; Marks, P.A. Histone Deacetylase Inhibitors: Overview and Perspectives. Mol. Cancer Res. 2007, 5, 981–989. [Google Scholar] [CrossRef] [PubMed]
- Qian, D.Z.; Kachhap, S.K.; Collis, S.J.; Verheul, H.M.; Carducci, M.A.; Atadja, P.; Pili, R. Class II Histone Deacetylases Are Associated with VHL-Independent Regulation of Hypoxia-Inducible Factor 1α. Cancer Res. 2006, 66, 8814–8821. [Google Scholar] [CrossRef]
- Kano, Y.; Akutsu, M.; Tsunoda, S.; Izumi, T.; Kobayashi, H.; Mano, H.; Furukawa, Y. Cytotoxic effects of histone deacetylase inhibitor FK228 (depsipeptide, formally named FR901228) in combination with conventional anti-leukemia/lymphoma agents against human leukemia/lymphoma cell lines. Investig. New Drugs 2006, 25, 31–40. [Google Scholar] [CrossRef] [PubMed]
- Wardell, S.E.; Ilkayeva, O.R.; Wieman, H.L.; Frigo, D.E.; Rathmell, J.C.; Newgard, C.B.; McDonnell, D.P. Glucose Metabolism as a Target of Histone Deacetylase Inhibitors. Mol. Endocrinol. 2009, 23, 388–401. [Google Scholar] [CrossRef] [PubMed]
- Barbarotta, L.; Hurley, K. Romidepsin for the Treatment of Peripheral T-Cell Lymphoma. J. Adv. Pract. Oncol. 2015, 6, 22–36. [Google Scholar]
- Libby, E.N.; Becker, P.S.; Burwick, N.; Green, D.J.; Holmberg, L.; Bensinger, W.I. Panobinostat: A review of trial results and future prospects in multiple myeloma. Expert Rev. Hematol. 2014, 8, 9–18. [Google Scholar] [CrossRef] [PubMed]
- Damaskos, C.; Garmpis, N.; Valsami, S.; Kontos, M.; Spartalis, E.; Kalampokas, T.; Kalampokas, E.; Athanasiou, A.; Moris, D.; Daskalopoulou, A.; et al. Histone Deacetylase Inhibitors: An Attractive Therapeutic Strategy Against Breast Cancer. Anticancer Res. 2017, 37, 35–46. [Google Scholar] [CrossRef]
- Siegel, R.L.; Miller, K.D.; Jemal, A. Cancer statistics, 2018. CA Cancer J. Clin. 2018, 68, 7–30. [Google Scholar] [CrossRef] [PubMed]
- Chen, W.; Zheng, R.; Baade, P.D.; Zhang, S.; Zeng, H.; Bray, F.; Jemal, A.; Yu, X.Q.; He, J. Cancer statistics in China, 2015. CA Cancer J. Clin. 2016, 66, 115–132. [Google Scholar] [CrossRef]
- Torre, L.A.; Bray, F.; Siegel, R.L.; Ferlay, J.; Lortet-Tieulent, J.; Jemal, A. Global cancer statistics, 2012. CA Cancer J. Clin. 2015, 65, 87–108. [Google Scholar] [CrossRef]
- Veronesi, U.; Boyle, P.; Goldhirsch, A.; Orecchia, R.; Viale, G. Breast cancer. Lancet 2005, 365, 1727–1741. [Google Scholar] [CrossRef]
- Bray, F.; Ferlay, J.; Soerjomataram, I.; Siegel, R.L.; Torre, L.A.; Jemal, A. Global cancer statistics 2018: GLOBOCAN estimates of incidence and mortality worldwide for 36 cancers in 185 countries. CA Cancer J. Clin. 2018, 68, 394–424. [Google Scholar] [CrossRef]
- Siegel, R.L.; Miller, K.D.; Fuchs, H.E.; Jemal, A. Cancer statistics, 2022. CA Cancer J. Clin. 2022, 72, 7–33. [Google Scholar] [CrossRef] [PubMed]
- Feng, Y.; Spezia, M.; Huang, S.; Yuan, C.; Zeng, Z.; Zhang, L.; Ji, X.; Liu, W.; Huang, B.; Luo, W.; et al. Breast cancer development and progression: Risk factors, cancer stem cells, signaling pathways, genomics, and molecular pathogenesis. Gene Funct. Dis. 2018, 5, 77–106. [Google Scholar] [CrossRef] [PubMed]
- Carlsson, M.; Hamrin, E. Psychological and psychosocial aspects of breast cancer and breast cancer treatment. A literature review. Cancer Nurs. 1994, 17, 418–428. [Google Scholar] [CrossRef] [PubMed]
- Chambers, M.S.; Rugo, H.S.; Litton, J.K.; Meiller, T.F. Stomatitis associated with mammalian target of rapamycin inhibition: A review of pathogenesis, prevention, treatment, and clinical implications for oral practice in metastatic breast cancer. JADA 2018, 149, 291–298. [Google Scholar]
- Ariana, M.; Arabi, N.; Pornour, M.; Vaseghi, H.; Ganji, S.M.; Alivand, M.R.; Salari, M.; Akbari, M.E. The diversity in the expression profile of caveolin II transcripts, considering its new transcript in breast cancer. J. Cell. Biochem. 2017, 119, 2168–2178. [Google Scholar] [CrossRef]
- Rich, J.N.; Bao, S. Chemotherapy and Cancer Stem Cells. Cell Stem Cell 2007, 1, 353–355. [Google Scholar] [CrossRef]
- Li, Y.; Seto, E. HDACs and HDAC Inhibitors in Cancer Development and Therapy. Cold Spring Harb. Perspect. Med. 2016, 6, a026831. [Google Scholar] [CrossRef]
- Xu, P.; Xiong, W.; Lin, Y.; Fan, L.; Pan, H.; Li, Y. Histone deacetylase 2 knockout suppresses immune escape of triple-negative breast cancer cells via downregulating PD-L1 expression. Cell Death Dis. 2021, 12, 779. [Google Scholar] [CrossRef]
- Xie, Y.; Shi, Z.; Qian, Y.; Jiang, C.; Liu, W.; Liu, B.; Jiang, B. HDAC2- and EZH2-Mediated Histone Modifications Induce PDK1 Expression through miR-148a Downregulation in Breast Cancer Progression and Adriamycin Resistance. Cancers 2022, 14, 3600. [Google Scholar] [CrossRef]
- Huang, W.; Chen, J.; Liu, X.; Liu, X.; Duan, S.; Chen, L.; Liu, X.; Lan, J.; Zou, Y.; Guo, D.; et al. MIER3 induces epithelial-mesenchymal transition and promotes breast cancer cell aggressiveness via forming a co-repressor complex with HDAC1/HDAC2/Snail. Exp. Cell Res. 2021, 406, 112722. [Google Scholar] [CrossRef]
- Darvishi, N.; Rahimi, K.; Mansouri, K.; Fathi, F.; Menbari, M.-N.; Mohammadi, G.; Abdi, M. MiR-646 prevents proliferation and progression of human breast cancer cell lines by suppressing HDAC2 expression. Mol. Cell. Probes 2020, 53, 101649. [Google Scholar] [CrossRef] [PubMed]
- Zhang, Z.; Qiu, N.; Yin, J.; Zhang, J.; Liu, H.; Guo, W.; Liu, M.; Liu, T.; Chen, D.; Luo, K.; et al. SRGN crosstalks with YAP to maintain chemoresistance and stemness in breast cancer cells by modulating HDAC2 expression. Theranostics 2020, 10, 4290–4307. [Google Scholar] [CrossRef] [PubMed]
- Damaskos, C.; Tomos, I.; Garmpis, N.; Karakatsani, A.; Dimitroulis, D.; Garmpi, A.; Spartalis, E.; Kampolis, C.F.; Tsagkari, E.; Loukeri, A.A.; et al. Histone deacetylase inhibitors as a novel targeted therapy against non-small cell lung cancer: Where are we now and what should we expect? Anticancer Res. 2018, 38, 37–43. [Google Scholar] [PubMed]
- Garmpis, N.; Damaskos, C.; Garmpi, A.; Nonni, A.; Georgakopoulou, V.E.; Antoniou, E.; Schizas, D.; Sarantis, P.; Patsouras, A.; Syllaios, A.; et al. Histone Deacetylases and their Inhibitors in Colorectal Cancer Therapy: Current Evidence and Future Considerations. Curr. Med. Chem. 2021, 29, 2979–2994. [Google Scholar] [CrossRef]
- Weichert, W.; Röske, A.; Gekeler, V.; Beckers, T.; Ebert, M.P.A.; Pross, M.; Dietel, M.; Denkert, C.; Röcken, C. Association of patterns of class I histone deacetylase expression with patient prognosis in gastric cancer: A retrospective analysis. Lancet Oncol. 2008, 9, 139–148. [Google Scholar] [CrossRef]
- Damaskos, C.; Garmpis, N.; Valsami, S.; Spartalis, E.; Antoniou, E.A.; Tomos, P.; Karamaroudis, S.; Zoumpou, T.; Pergialiotis, V.; Stergios, K.; et al. Histone deacetylase inhibitors: A novel therapeutic weapon against medullary thyroid cancer? Anticancer Res. 2016, 36, 5019–5024. [Google Scholar] [CrossRef]
- Spartalis, E.; Athanasiadis, D.I.; Chrysikos, D.; Spartalis, M.; Boutzios, G.; Schizas, D.; Garmpis, N.; Damaskos, C.; Paschou, S.A.; Ioannidis, A.; et al. Histone Deacetylase Inhibitors and Anaplastic Thyroid Carcinoma. Anticancer Res. 2019, 39, 1119–1127. [Google Scholar] [CrossRef]
- Halkidou, K.; Gaughan, L.; Cook, S.; Leung, H.Y.; Neal, D.E.; Robson, C.N. Upregulation and Nuclear Recruitment of HDAC1 in Hormone Refractory Prostate Cancer. Prostate 2004, 59, 177–189. [Google Scholar] [CrossRef]
- Garmpis, N.; Damaskos, C.; Garmpi, A.; Spartalis, E.; Kalampokas, E.; Kalampokas, T.; Margonis, G.A.; Schizas, D.; Andreatos, N.; Angelou, A.; et al. Targeting histone deacetylases in endometrial cancer: A paradigm-shifting therapeutic strategy? Eur. Rev. Med. Pharmacol. Sci. 2018, 22, 950–960. [Google Scholar]
- Garmpis, N.; Damaskos, C.; Garmpi, A.; Georgakopoulou, V.; Sarantis, P.; Antoniou, E.; Karamouzis, M.; Nonni, A.; Schizas, D.; Diamantis, E.; et al. Histone Deacetylase Inhibitors in the Treatment of Hepatocellular Carcinoma: Current Evidence and Future Opportunities. J. Pers. Med. 2021, 11, 223. [Google Scholar] [CrossRef]
- Fritzsche, F.R.; Weichert, W.; Röske, A.; Gekeler, V.; Beckers, T.; Stephan, C.; Jung, K.; Scholman, K.; Denkert, C.; Dietel, M.; et al. Class I histone deacetylases 1, 2 and 3 are highly expressed in renal cell cancer. BMC Cancer 2008, 8, 381. [Google Scholar] [CrossRef]
- Garmpis, N.; Damaskos, C.; Garmpi, A.; Dimitroulis, D.; Spartalis, E.; Margonis, G.A.; Schizas, D.; Deskou, I.; Doula, C.; Magkouti, E.; et al. Targeting histone deacetylases in malignant melanoma: A future therapeutic agent or just great expectations? Anticancer Res. 2017, 37, 5355–5362. [Google Scholar] [PubMed]
- Moschos, M.M.; Dettoraki, M.; Androudi, S.; Kalogeropoulos, D.; Lavaris, A.; Garmpis, N.; Damaskos, C.; Garmpi, A.; Tsatsos, M. The Role of Histone Deacetylase Inhibitors in Uveal Melanoma: Current Evidence. Anticancer Res. 2018, 38, 3817–3824. [Google Scholar] [CrossRef]
- Garmpis, N.; Damaskos, C.; Garmpi, A.; Kalampokas, E.; Kalampokas, T.; Spartalis, E.; Daskalopoulou, A.; Valsami, S.; Kontos, M.; Nonni, A.; et al. Histone Deacetylases as New Therapeutic Targets in Triple-negative Breast Cancer: Progress and Promises. Cancer Genom. Proteom. 2017, 14, 299–313. [Google Scholar] [CrossRef][Green Version]
- Marquard, L.; Gjerdrum, L.M.; Christensen, I.J. Prognostic significance of the therapeutic targets histone deacetylase 1, 2, 6 and acetylated histone H4 in cutaneous T-cell lymphoma. Histopathology 2008, 53, 267–277. [Google Scholar]
- Edge, S.B.; Compton, C.C. The American Joint Committee on Cancer: The 7th Edition of the AJCC Cancer Staging Manual and the Future of TNM. Ann. Surg. Oncol. 2010, 17, 1471–1474. [Google Scholar] [CrossRef]
- Giaginis, C.; Damaskos, C.; Koutsounas, I.; Zizi-Serbetzoglou, A.; Tsoukalas, N.; Patsouris, E.; Kouraklis, G.; Theocharis, S. Histone deacetylase (HDAC)-1, -2, -4 and -6 expression in human pancreatic adenocarcinoma: Associations with clinicopathological parameters, tumor proliferative capacity and patients’ survival. BMC Gastroenterol. 2015, 15, 148. [Google Scholar] [CrossRef]
- Cox, D.R. Regression Models and Life-Tables. J. R. Stat. Soc. Ser. B Stat. Methodol. 1972, 34, 187–202. [Google Scholar] [CrossRef]
- Derr, R.S.; Van Hoesel, A.Q.; Benard, A.; Goossens-Beumer, I.J.; Sajet, A.; Dekker-Ensink, N.G.; De Kruijf, E.M.; Bastiaannet, E.; Smit, V.T.H.B.M.; Van De Velde, C.J.H.; et al. High nuclear expression levels of histone-modifying enzymes LSD1, HDAC2 and SIRT1 in tumor cells correlate with decreased survival and increased relapse in breast cancer patients. BMC Cancer 2014, 14, 604. [Google Scholar] [CrossRef]
- Seo, J.; Min, S.K.; Park, H.-R.; Kim, D.H.; Kwon, M.J.; Kim, L.S.; Ju, Y.-S. Expression of Histone Deacetylases HDAC1, HDAC2, HDAC3, and HDAC6 in Invasive Ductal Carcinomas of the Breast. J. Breast Cancer 2014, 17, 323–331. [Google Scholar] [CrossRef]
- Müller, B.M.; Jana, L.; Kasajima, A.; Lehmann, A.; Prinzler, J.; Budczies, J.; Winzer, K.-J.; Dietel, M.; Weichert, W.; Denkert, C. Differential expression of histone deacetylases HDAC1, 2 and 3 in human breast cancer—Overexpression of HDAC2 and HDAC3 is associated with clinicopathological indicators of disease progression. BMC Cancer 2013, 13, 215. [Google Scholar] [CrossRef]
- Zhao, H.; Yu, Z.; Zhao, L.; He, M.; Ren, J.; Wu, H.; Chen, Q.; Yao, W.; Wei, M. HDAC2 overexpression is a poor prognostic factor of breast cancer patients with increased multidrug resistance-associated protein expression who received anthracyclines therapy. Jpn. J. Clin. Oncol. 2016, 46, 893–902. [Google Scholar] [CrossRef] [PubMed]
- Shan, W.; Jiang, Y.; Yu, H.; Huang, Q.; Liu, L.; Guo, X.; Li, L.; Mi, Q.; Zhang, K.; Yang, Z. HDAC2 overexpression correlates with aggressive clinicopathological features and DNA-damage response pathway of breast cancer. Am. J. Cancer Res. 2017, 7, 1213–1226. [Google Scholar] [PubMed]
- Damaskos, C.; Garmpis, N.; Garmpi, A.; Nikolettos, K.; Sarantis, P.; Georgakopoulou, V.; Nonni, A.; Schizas, D.; Antoniou, E.; Karamouzis, M.; et al. Investigational Drug Treatments for Triple-Negative Breast Cancer. J. Pers. Med. 2021, 11, 652. [Google Scholar] [CrossRef] [PubMed]
- Yang, X.; Phillips, D.L.; Ferguson, A.T.; Nelson, W.G.; Herman, J.G.; Davidson, N.E. Synergistic activation of functional estrogen receptor (ER)-α by DNA methyltransferase and histone deacetylase inhibition in human ER-α-negative breast cancer cells. Cancer Res. 2001, 61, 7025–7029. [Google Scholar]
- Munster, P.N.; Thurn, K.T.; Thomas, S.; Raha, P.; Lacevic, M.; Miller, A.; Melisko, M.; Ismail-Khan, R.; Rugo, H.; Moasser, M.; et al. A phase II study of the histone deacetylase inhibitor vorinostat combined with tamoxifen for the treatment of patients with hormone therapy-resistant breast cancer. Br. J. Cancer 2011, 104, 1828–1835. [Google Scholar] [CrossRef] [PubMed]
- Biçaku, E.; Marchion, D.C.; Schmitt, M.L.; Münster, P.N. Selective Inhibition of Histone Deacetylase 2 Silences Progesterone Receptor–Mediated Signaling. Cancer Res. 2008, 68, 1513–1519. [Google Scholar] [CrossRef] [PubMed][Green Version]
- Bayat, S.; Derakhshan, S.M.; Derakhshan, N.M.; Khaniani, M.S.; Alivand, M.R. Downregulation of HDAC2 and HDAC3 via oleuropein as a potent prevention and therapeutic agent in MCF-7 breast cancer cells. J. Cell. Biochem. 2019, 120, 9172–9180. [Google Scholar] [CrossRef] [PubMed]
Publisher’s Note: MDPI stays neutral with regard to jurisdictional claims in published maps and institutional affiliations. |
© 2022 by the authors. Licensee MDPI, Basel, Switzerland. This article is an open access article distributed under the terms and conditions of the Creative Commons Attribution (CC BY) license (https://creativecommons.org/licenses/by/4.0/).



