Computer-Aided Design and Computer-Aided Modeling (CAD/CAM) for Guiding Dental Implant Surgery: Personal Reflection Based on 10 Years of Real-Life Experience
Abstract
1. Introduction
2. Patients and Methods
Study Design
3. Technical Protocol
3.1. Step 1: Planning of the Ideal Implant-Supported Prosthesis
3.2. Step 2: CBCT Scan of the Patient and the Prosthesis with Integrated Reference Markers (Dual-Scan Technique)
3.3. Step 3: Preoperative Virtual Planning in the Software
3.3.1. Image Transfer and Processing
3.3.2. Image Segmentation and Virtual Planning
3.4. Step 4: Manufacturing of the Surgical Stereolithographic Drilling Guide
4. Surgical Procedure
5. Results
6. Illustrative Cases
6.1. Case 1
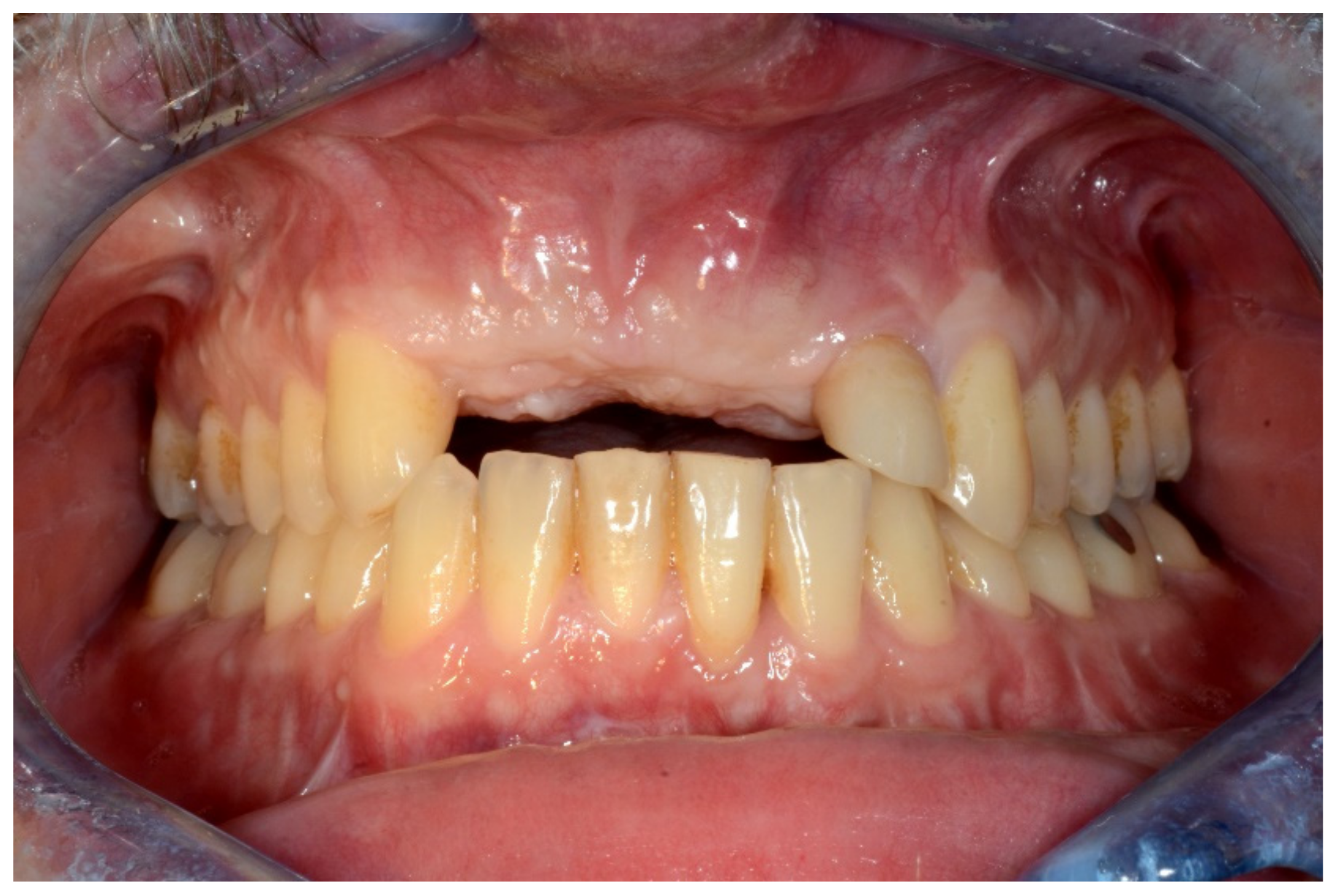
6.1.1. Anterior Maxillary Post-Traumatic Alveolar Ridge Defect (Maxillary Screw-Retained Implant-Supported Fixed Bridge)
6.1.2. Post-Bone-Grafted Documentation
6.1.3. Image Segmentation and Virtual Planning:
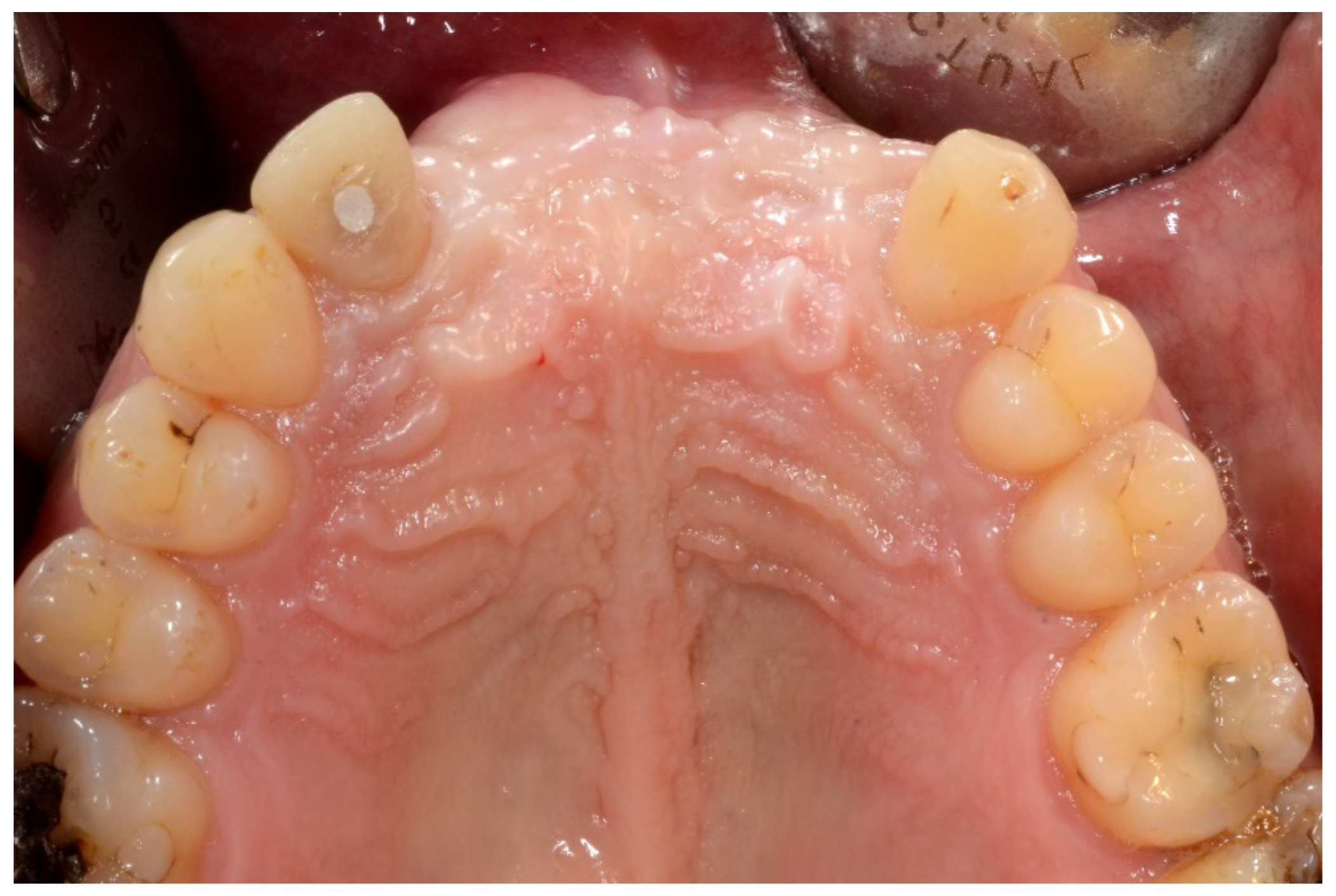
6.1.4. Intra-Operative Documentation:
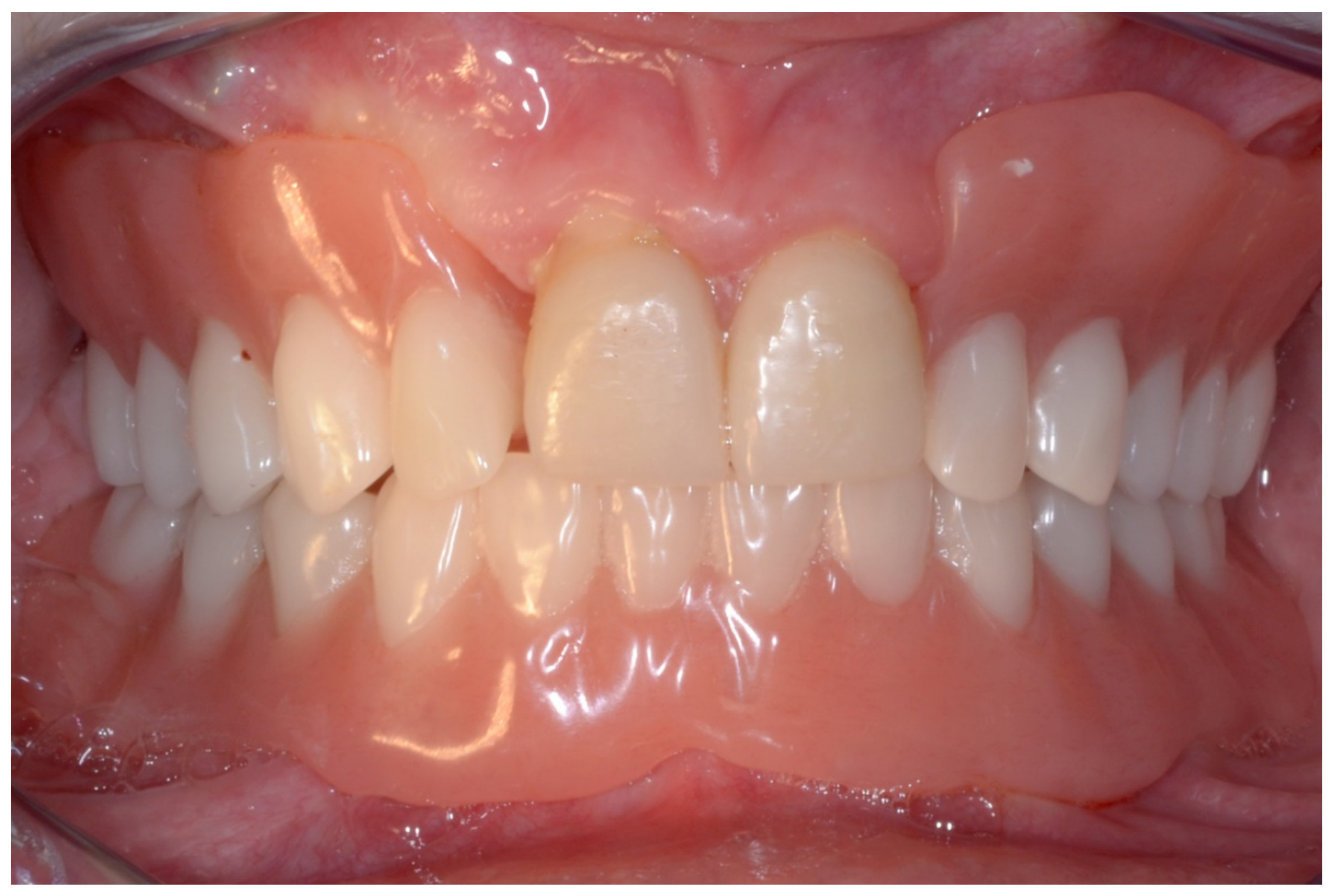
6.1.5. Postoperative (5-Years Follow-Up) Documentation:
6.2. Case 2
6.2.1. Severe Partial Edentulous Maxilla and Complete Edentulous Mandible (Maxillary and Mandibular Screw-Retained Implant-Supported Bridges)
6.2.2. Preoperative Documentation
6.2.3. Image Segmentation and Virtual Planning:
6.2.4. Intra-Operative Documentation:
6.2.5. Postoperative (2-Years Follow-Up) Documentation:
6.3. Case 3
6.3.1. Complete Mandibular Edentulism (Mandibular Bar-Retained Implant-Supported Overdenture Using Straumann Pro Arch® Protocol)
6.3.2. Preoperative Documentation:
6.3.3. Image Segmentation and Virtual Planning:
6.3.4. Intra-Operative Documentation:
6.3.5. Postoperative (3-Years Follow-Up) Documentation:
7. Discussion
7.1. Anterior Partial Maxillary Edentulism:
7.2. Severe Partial or Complete Edentulism:
8. Conclusions
Author Contributions
Funding
Institutional Review Board Statement
Informed Consent Statement
Data Availability Statement
Conflicts of Interest
References
- Vercruyssen, M.; De Laat, A.; Coucke, W.; Quirynen, M. An RCT comparing patient-centred outcome variables of guided surgery (bone or mucosa supported) with conventional implant placement. J. Clin. Periodontol. 2014, 41, 724–732. [Google Scholar] [CrossRef] [PubMed]
- Yogui, F.C.; Verri, F.R.; de Luna Gomes, J.M.; Lemos, C.A.A.; Cruz, R.S.; Pellizzer, E.P. Comparison between computer-guided and freehand dental implant placement surgery: A systematic review and meta-analysis. Int. J. Oral Maxillofac. Surg. 2021, 50, 242–250. [Google Scholar] [CrossRef] [PubMed]
- Neugebauer, J.; Stachulla, G.; Ritter, L.; Dreiseidler, T.; Mischkowski, R.A.; Keeve, E.; Zöller, J.E. Computer-aided manufacturing technologies for guided implant placement. Expert Rev. Med. Devices 2010, 7, 113–129. [Google Scholar] [CrossRef] [PubMed]
- Vercruyssen, M.; Laleman, I.; Jacobs, R.; Quirynen, M. Computer-supported implant planning and guided surgery: A narrative review. Clin. Oral Implant. Res. 2015, 11, 69–76. [Google Scholar] [CrossRef] [PubMed]
- Vercruyssen, M.; Fortin, T.; Widmann, G.; Jacobs, R.; Quirynen, M. Different techniques of static/dynamic guided implant surgery: Modalities and indications. Periodontol 2000 2014, 66, 214–227. [Google Scholar] [CrossRef] [PubMed]
- Panchal, N.; Mahmood, L.; Retana, A.; Emery, R., 3rd. Dynamic Navigation for Dental Implant Surgery. Oral Maxillofac. Surg. Clin. N. Am. 2019, 31, 539–547. [Google Scholar] [CrossRef] [PubMed]
- Tatakis, D.N.; Chien, H.H.; Parashis, A.O. Guided implant surgery risks and their prevention. Periodontol 2000 2019, 81, 194–208. [Google Scholar] [CrossRef] [PubMed]
- Hultin, M.; Svensson, K.G.; Trulsson, M. Clinical advantages of computer-guided implant placement: A systematic review. Clin. Oral Implant. Res. 2012, 6, 124–135. [Google Scholar] [CrossRef] [PubMed]
- D’haese, J.; Ackhurst, J.; Wismeijer, D.; De Bruyn, H.; Tahmaseb, A. Current state of the art of computer-guided implant surgery. Periodontol 2000 2017, 73, 121–133. [Google Scholar] [CrossRef] [PubMed]
- Flügge, T.; Kramer, J.; Nelson, K.; Nahles, S.; Kernen, F. Digital implantology-a review of virtual planning software for guided implant surgery. Part II: Prosthetic set-up and virtual implant planning. BMC Oral Health 2022, 22, 23. [Google Scholar] [CrossRef] [PubMed]
- Vercruyssen, M.; Hultin, M.; Van Assche, N.; Svensson, K.; Naert, I.; Quirynen, M. Guided surgery: Accuracy and efficacy. Periodontol 2000 2014, 66, 228–246. [Google Scholar] [CrossRef] [PubMed]
- Tahmaseb, A.; Wu, V.; Wismeijer, D.; Coucke, W.; Evans, C. The accuracy of static computer-aided implant surgery: A systematic review and meta-analysis. Clin. Oral Implant. Res. 2018, 16, 416–435. [Google Scholar] [CrossRef] [PubMed]
- Colombo, M.; Mangano, C.; Mijiritsky, E.; Krebs, M.; Hauschild, U.; Fortin, T. Clinical applications and effectiveness of guided implant surgery: A critical review based on randomized controlled trials. BMC Oral Health 2017, 17, 150. [Google Scholar] [CrossRef] [PubMed]
- Kernen, F.; Kramer, J.; Wanner, L.; Wismeijer, D.; Nelson, K.; Flügge, T. A review of virtual planning software for guided implant surgery—Data import and visualization, drill guide design and manufacturing. BMC Oral Health 2020, 20, 251. [Google Scholar] [CrossRef] [PubMed]
- Ku, J.K.; Lee, J.; Lee, H.J.; Yun, P.Y.; Kim, Y.K. Accuracy of dental implant placement with computer-guided surgery: A retrospective cohort study. BMC Oral Health 2022, 22, 8. [Google Scholar] [CrossRef] [PubMed]
- Wittneben, J.G.; Joda, T.; Weber, H.P.; Brägger, U. Screw retained vs. cement retained implant-supported fixed dental prosthesis. Periodontol 2000 2017, 73, 141–151. [Google Scholar] [CrossRef] [PubMed]
- Schulz, M.C.; Hofmann, F.; Range, U.; Lauer, G.; Haim, D. Pilot-drill guided vs. full-guided implant insertion in artificial mandibles-a prospective laboratory study in fifth-year dental students. Int. J. Implant. Dent. 2019, 5, 23. [Google Scholar] [CrossRef] [PubMed]






































| Patient No | Gender | Age (Years) | Etiology of Edentulism | Type of Edentulism | Pre-Prosthetic Surgical Procedures | No of Implants | Final Restoration | Follow-Up Period | Complications |
|---|---|---|---|---|---|---|---|---|---|
| 1 | F | 55 | DC + PD | Completely edentulous maxilla and mandible | Le Fort I osteotomy with IICG | 7 (Mx) 4 (Md) | Bar-retained overdenture | 3 years | None |
| 2 | F | 47 | DC + PD | Completely edentulous maxilla | Le Fort I osteotomy with IICG | 8 (Mx) | Fixed screw-retained prosthesis | 1 year | None |
| 3 | F | 50 | DC + PD | Partially edentulous maxilla | Le Fort I osteotomy with IICG | 5 (Mx) | Fixed screw-retained prosthesis | 3 years | None |
| 4 | F | 55 | DC + PD | Completely edentulous maxilla and mandible | None | 4 (Mx) 4 (Md) | Bar-retained overdenture | 3 years | None |
| 5 | F | 20 | AI | Completely edentulous maxilla and mandible | None | 8 (Mx) 6 (Md) | Fixed screw-retained prosthesis | 2 years | None |
| 6 | F | 19 | AI | Partially edentulous maxilla and complete edentulous mandible | None | 6 (Mx) 6 (Md) | Fixed screw-retained prosthesis | 2 years | None |
| 7 | F | 21 | ED | Completely edentulous mandible | Bilateral IANLT | 6 (Mx) | Fixed screw-retained prosthesis | 2 years | None |
| 8 | F | 67 | DC + PD | Partially edentulous mandible | Bilateral IANLT | 5 (Mx) | Fixed screw-retained prosthesis | 1 year | None |
| 9 | F | 71 | DC + PD | Partially edentulous maxilla and mandible | None | 6 (Mx) 4 (Md) | Fixed screw-retained prosthesis | 1 year | None |
| 10 | F | 64 | Mandibular resection (MEC) | Partially edentulous mandible | Free fibular graft | 3 (Md) | Bar-retained overdenture | 3 years | None |
| 11 | M | 30 | Post-trauma | Partially edentulous anterior maxilla | OICG | 2 (Mx) | Fixed screw-retained prosthesis | 5 years | None |
| 12 | M | 28 | Post-trauma | Partially edentulous anterior maxilla | OICG | 3 (Mx) | Fixed screw-retained prosthesis | 5 years | None |
| 13 | M | 74 | Mandibular resection (SCC) | Completely edentulous mandible | None | 4 (Mx) | Bar-retained overdenture | 5 years | None |
Disclaimer/Publisher’s Note: The statements, opinions and data contained in all publications are solely those of the individual author(s) and contributor(s) and not of MDPI and/or the editor(s). MDPI and/or the editor(s) disclaim responsibility for any injury to people or property resulting from any ideas, methods, instructions or products referred to in the content. |
© 2023 by the authors. Licensee MDPI, Basel, Switzerland. This article is an open access article distributed under the terms and conditions of the Creative Commons Attribution (CC BY) license (https://creativecommons.org/licenses/by/4.0/).
Share and Cite
Scolozzi, P.; Michelini, F.; Crottaz, C.; Perez, A. Computer-Aided Design and Computer-Aided Modeling (CAD/CAM) for Guiding Dental Implant Surgery: Personal Reflection Based on 10 Years of Real-Life Experience. J. Pers. Med. 2023, 13, 129. https://doi.org/10.3390/jpm13010129
Scolozzi P, Michelini F, Crottaz C, Perez A. Computer-Aided Design and Computer-Aided Modeling (CAD/CAM) for Guiding Dental Implant Surgery: Personal Reflection Based on 10 Years of Real-Life Experience. Journal of Personalized Medicine. 2023; 13(1):129. https://doi.org/10.3390/jpm13010129
Chicago/Turabian StyleScolozzi, Paolo, Francesco Michelini, Claude Crottaz, and Alexandre Perez. 2023. "Computer-Aided Design and Computer-Aided Modeling (CAD/CAM) for Guiding Dental Implant Surgery: Personal Reflection Based on 10 Years of Real-Life Experience" Journal of Personalized Medicine 13, no. 1: 129. https://doi.org/10.3390/jpm13010129
APA StyleScolozzi, P., Michelini, F., Crottaz, C., & Perez, A. (2023). Computer-Aided Design and Computer-Aided Modeling (CAD/CAM) for Guiding Dental Implant Surgery: Personal Reflection Based on 10 Years of Real-Life Experience. Journal of Personalized Medicine, 13(1), 129. https://doi.org/10.3390/jpm13010129

