Recessive COL17A1 Mutations and a Dominant LAMB3 Mutation Cause Hypoplastic Amelogenesis Imperfecta
Abstract
:1. Introduction
2. Materials and Methods
2.1. Human Subject Enrollment
2.2. Whole-Exome Sequencing
2.3. Bioinformatic Analysis
2.4. Sanger Sequencing
3. Results
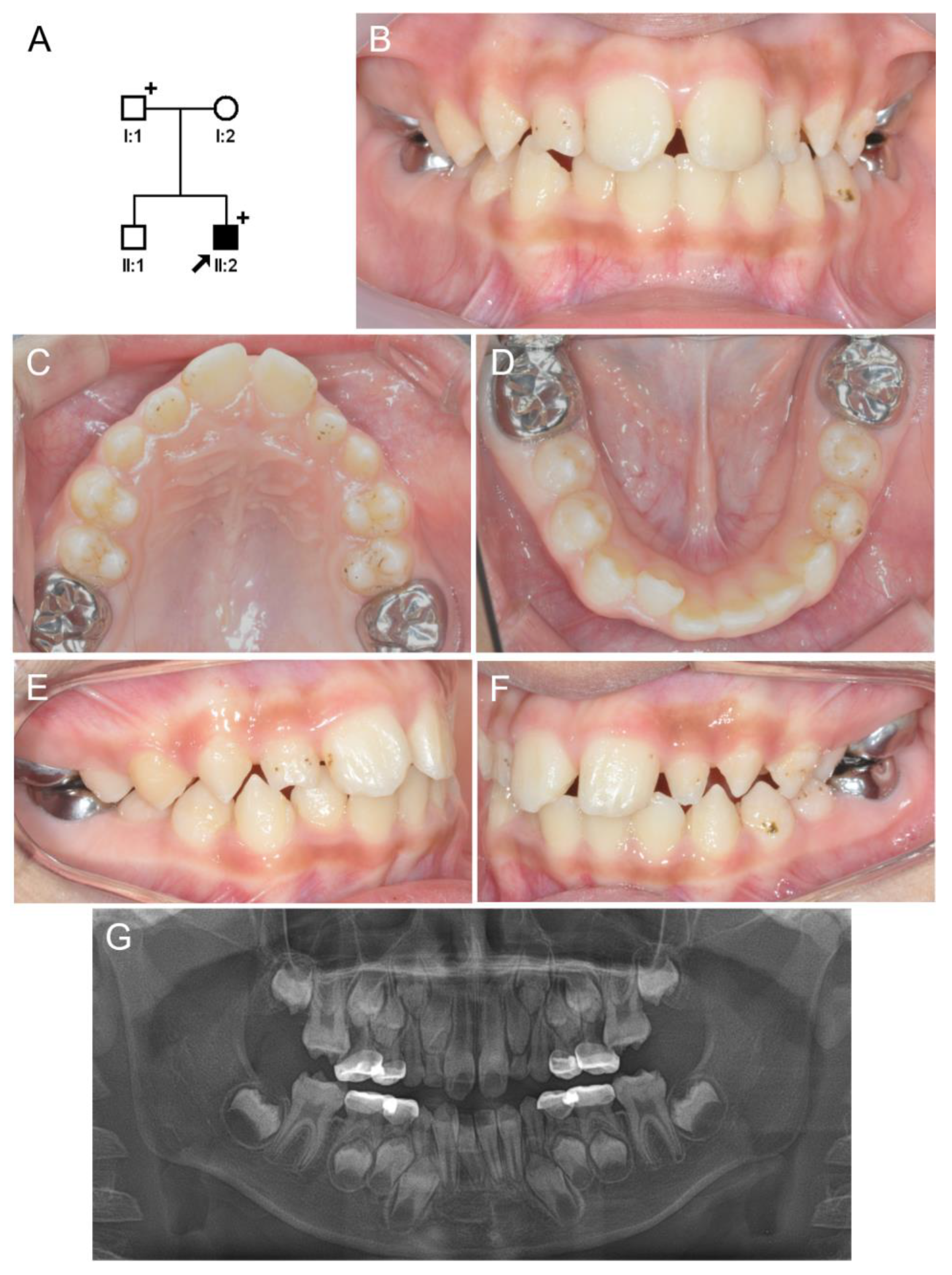
3.1. Family 1
3.2. Family 2
4. Discussion
5. Conclusions
Author Contributions
Funding
Institutional Review Board Statement
Informed Consent Statement
Data Availability Statement
Acknowledgments
Conflicts of Interest
References
- Simmer, J.P.; Fincham, A.G. Molecular mechanisms of dental enamel formation. Crit. Rev. Oral Biol. Med. 1995, 6, 84–108. [Google Scholar] [CrossRef]
- Wright, J.T.; Carrion, I.A.; Morris, C. The molecular basis of hereditary enamel defects in humans. J. Dent. Res. 2015, 94, 52–61. [Google Scholar] [CrossRef]
- Witkop, C.J., Jr. Amelogenesis imperfecta, dentinogenesis imperfecta and dentin dysplasia revisited: Problems in classification. J. Oral Pathol. 1988, 17, 547–553. [Google Scholar] [CrossRef]
- Wang, S.K.; Aref, P.; Hu, Y.; Milkovich, R.N.; Simmer, J.P.; El-Khateeb, M.; Daggag, H.; Baqain, Z.H.; Hu, J.C. FAM20A mutations can cause enamel-renal syndrome (ERS). PLoS Genet. 2013, 9, e1003302. [Google Scholar] [CrossRef] [PubMed]
- Zhang, H.; Koruyucu, M.; Seymen, F.; Kasimoglu, Y.; Kim, J.W.; Tinawi, S.; Zhang, C.; Jacquemont, M.L.; Vieira, A.R.; Simmer, J.P.; et al. WDR72 Mutations Associated with Amelogenesis Imperfecta and Acidosis. J. Dent. Res. 2019, 98, 541–548. [Google Scholar] [CrossRef] [PubMed]
- Prasad, M.K.; Laouina, S.; El Alloussi, M.; Dollfus, H.; Bloch-Zupan, A. Amelogenesis Imperfecta: 1 Family, 2 Phenotypes, and 2 Mutated Genes. J. Dent. Res. 2016, 95, 1457–1463. [Google Scholar] [CrossRef] [PubMed]
- Simmer, J.P.; Hu, J.C.; Hu, Y.; Zhang, S.; Liang, T.; Wang, S.K.; Kim, J.W.; Yamakoshi, Y.; Chun, Y.H.; Bartlett, J.D.; et al. A genetic model for the secretory stage of dental enamel formation. J. Struct. Biol. 2021, 213, 107805. [Google Scholar] [CrossRef] [PubMed]
- Kim, Y.J.; Lee, Y.; Kasimoglu, Y.; Seymen, F.; Simmer, J.P.; Hu, J.C.; Cho, E.S.; Kim, J.W. Recessive Mutations in ACP4 Cause Amelogenesis Imperfecta. J. Dent. Res. 2022, 101, 37–45. [Google Scholar] [CrossRef]
- Has, C.; Bauer, J.W.; Bodemer, C.; Bolling, M.C.; Bruckner-Tuderman, L.; Diem, A.; Fine, J.D.; Heagerty, A.; Hovnanian, A.; Marinkovich, M.P.; et al. Consensus reclassification of inherited epidermolysis bullosa and other disorders with skin fragility. Br. J. Dermatol. 2020, 183, 614–627. [Google Scholar] [CrossRef]
- Oliver, V.F.; van Bysterveldt, K.A.; Cadzow, M.; Steger, B.; Romano, V.; Markie, D.; Hewitt, A.W.; Mackey, D.A.; Willoughby, C.E.; Sherwin, T.; et al. A COL17A1 Splice-Altering Mutation Is Prevalent in Inherited Recurrent Corneal Erosions. Ophthalmology 2016, 123, 709–722. [Google Scholar] [CrossRef]
- Baek, J.S.; Bae, E.J.; Lee, S.Y.; Park, S.S.; Kim, S.Y.; Jung, K.N.; Noh, C.I. Jervell and Lange-Nielsen syndrome: Novel compound heterozygous mutations in the KCNQ1 in a Korean family. J. Korean Med. Sci. 2010, 25, 1522–1525. [Google Scholar] [CrossRef] [PubMed]
- Pânzaru, M.C.; Caba, L.; Florea, L.; Braha, E.E.; Gorduza, E.V. Epidermolysis Bullosa-A Different Genetic Approach in Correlation with Genetic Heterogeneity. Diagnostics 2022, 12, 1325. [Google Scholar] [CrossRef]
- Kim, J.W.; Seymen, F.; Lee, K.E.; Ko, J.; Yildirim, M.; Tuna, E.B.; Gencay, K.; Shin, T.J.; Kyun, H.K.; Simmer, J.P.; et al. LAMB3 Mutations Causing Autosomal-dominant Amelogenesis Imperfecta. J. Dent. Res. 2013, 92, 899–904. [Google Scholar] [CrossRef]
- Poulter, J.A.; El-Sayed, W.; Shore, R.C.; Kirkham, J.; Inglehearn, C.F.; Mighell, A.J. Whole-exome sequencing, without prior linkage, identifies a mutation in LAMB3 as a cause of dominant hypoplastic amelogenesis imperfecta. Eur. J. Hum. Genet. 2014, 22, 132–135. [Google Scholar] [CrossRef] [PubMed]
- Lee, K.E.; Ko, J.; Le, C.G.; Shin, T.J.; Hyun, H.K.; Lee, S.H.; Kim, J.W. Novel LAMB3 mutations cause non-syndromic amelogenesis imperfecta with variable expressivity. Clin. Genet. 2015, 87, 90–92. [Google Scholar] [CrossRef] [PubMed]
- Wright, J.T. Epidermolysis bullosa: Dental and anesthetic management of two cases. Oral Surg. Oral Med. Oral Pathol. 1984, 57, 155–157. [Google Scholar] [CrossRef] [PubMed]
- Oza, A.M.; DiStefano, M.T.; Hemphill, S.E.; Cushman, B.J.; Grant, A.R.; Siegert, R.K.; Shen, J.; Chapin, A.; Boczek, N.J.; Schimmenti, L.A.; et al. Expert specification of the ACMG/AMP variant interpretation guidelines for genetic hearing loss. Hum. Mutat. 2018, 39, 1593–1613. [Google Scholar] [CrossRef]
- Miller, J.N.; Pearce, D.A. Nonsense-mediated decay in genetic disease: Friend or foe? Mutat. Res. Rev. Mutat. Res. 2014, 762, 52–64. [Google Scholar] [CrossRef]
- Sun, B.; Chen, L. Mapping genetic variants for nonsense-mediated mRNA decay regulation across human tissues. Genome Biol. 2023, 24, 164. [Google Scholar] [CrossRef]
- Popp, M.W.; Maquat, L.E. Leveraging Rules of Nonsense-Mediated mRNA Decay for Genome Engineering and Personalized Medicine. Cell 2016, 165, 1319–1322. [Google Scholar] [CrossRef] [PubMed]
- Ben-Shachar, S.; Khajavi, M.; Withers, M.A.; Shaw, C.A.; van Bokhoven, H.; Brunner, H.G.; Lupski, J.R. Dominant versus recessive traits conveyed by allelic mutations-to what extent is nonsense-mediated decay involved? Clin. Genet. 2009, 75, 394–400. [Google Scholar] [CrossRef] [PubMed]
- De Mori, R.; Romani, M.; D’Arrigo, S.; Zaki, M.S.; Lorefice, E.; Tardivo, S.; Biagini, T.; Stanley, V.; Musaev, D.; Fluss, J.; et al. Hypomorphic Recessive Variants in SUFU Impair the Sonic Hedgehog Pathway and Cause Joubert Syndrome with Cranio-facial and Skeletal Defects. Am. J. Hum. Genet. 2017, 101, 552–563. [Google Scholar] [CrossRef] [PubMed]
- Wang, X.; Zhao, Y.; Yang, Y.; Qin, M. Novel ENAM and LAMB3 mutations in Chinese families with hypoplastic amelogenesis imperfecta. PLoS ONE 2015, 10, e0116514. [Google Scholar] [CrossRef]
- Kim, Y.J.; Shin, T.J.; Hyun, H.K.; Lee, S.H.; Lee, Z.H.; Kim, J.W. A novel de novo mutation in LAMB3 causes localized hypoplastic enamel in the molar region. Eur. J. Oral Sci. 2016, 124, 403–405. [Google Scholar] [CrossRef] [PubMed]
- Du, R.; Dinckan, N.; Song, X.; Coban-Akdemir, Z.; Jhangiani, S.N.; Guven, Y.; Aktoren, O.; Kayserili, H.; Petty, L.E.; Muzny, D.M.; et al. Identification of likely pathogenic and known variants in TSPEAR, LAMB3, BCOR, and WNT10A in four Turkish families with tooth agenesis. Hum. Genet. 2018, 137, 689–703. [Google Scholar] [CrossRef]
- Kim, Y.J.; Seymen, F.; Kang, J.; Koruyucu, M.; Tuloglu, N.; Bayrak, S.; Tuna, E.B.; Lee, Z.H.; Shin, T.J.; Hyun, H.K.; et al. Candidate gene sequencing reveals mutations causing hypoplastic amelogenesis imperfecta. Clin. Oral Investig. 2019, 23, 1481–1487. [Google Scholar] [CrossRef] [PubMed]
- Smith, C.E.L.; Poulter, J.A.; Brookes, S.J.; Murillo, G.; Silva, S.; Brown, C.J.; Patel, A.; Hussain, H.; Kirkham, J.; Inglehearn, C.F.; et al. Phenotype and Variant Spectrum in the LAMB3 Form of Amelogenesis Imperfecta. J. Dent. Res. 2019, 98, 698–704. [Google Scholar] [CrossRef]





| Sample | Total Reads | Mapping Rate (%) | Median Target Coverage | Coverage of Target Region (%) | Fraction of Target Covered with at Least | |
|---|---|---|---|---|---|---|
| 20X | 10X | |||||
| Family 1-II:2 | 108,198,568 | 99.8 | 70 | 92.3 | 83.6 | 88.1 |
| Family 2-II:2 | 103,344,371 | 99.9 | 101 | 99.4 | 97.2 | 98.8 |
Disclaimer/Publisher’s Note: The statements, opinions and data contained in all publications are solely those of the individual author(s) and contributor(s) and not of MDPI and/or the editor(s). MDPI and/or the editor(s) disclaim responsibility for any injury to people or property resulting from any ideas, methods, instructions or products referred to in the content. |
© 2023 by the authors. Licensee MDPI, Basel, Switzerland. This article is an open access article distributed under the terms and conditions of the Creative Commons Attribution (CC BY) license (https://creativecommons.org/licenses/by/4.0/).
Share and Cite
Kim, Y.J.; Lee, Y.; Chae, W.; Kim, J.-W. Recessive COL17A1 Mutations and a Dominant LAMB3 Mutation Cause Hypoplastic Amelogenesis Imperfecta. J. Pers. Med. 2023, 13, 1494. https://doi.org/10.3390/jpm13101494
Kim YJ, Lee Y, Chae W, Kim J-W. Recessive COL17A1 Mutations and a Dominant LAMB3 Mutation Cause Hypoplastic Amelogenesis Imperfecta. Journal of Personalized Medicine. 2023; 13(10):1494. https://doi.org/10.3390/jpm13101494
Chicago/Turabian StyleKim, Youn Jung, Yejin Lee, Wonseon Chae, and Jung-Wook Kim. 2023. "Recessive COL17A1 Mutations and a Dominant LAMB3 Mutation Cause Hypoplastic Amelogenesis Imperfecta" Journal of Personalized Medicine 13, no. 10: 1494. https://doi.org/10.3390/jpm13101494
APA StyleKim, Y. J., Lee, Y., Chae, W., & Kim, J.-W. (2023). Recessive COL17A1 Mutations and a Dominant LAMB3 Mutation Cause Hypoplastic Amelogenesis Imperfecta. Journal of Personalized Medicine, 13(10), 1494. https://doi.org/10.3390/jpm13101494

