Endometrial Cancer Staging: Is There Value in ADC?
Abstract
1. Introduction
2. Materials and Methods
2.1. Patient Selection
2.2. MR Imaging
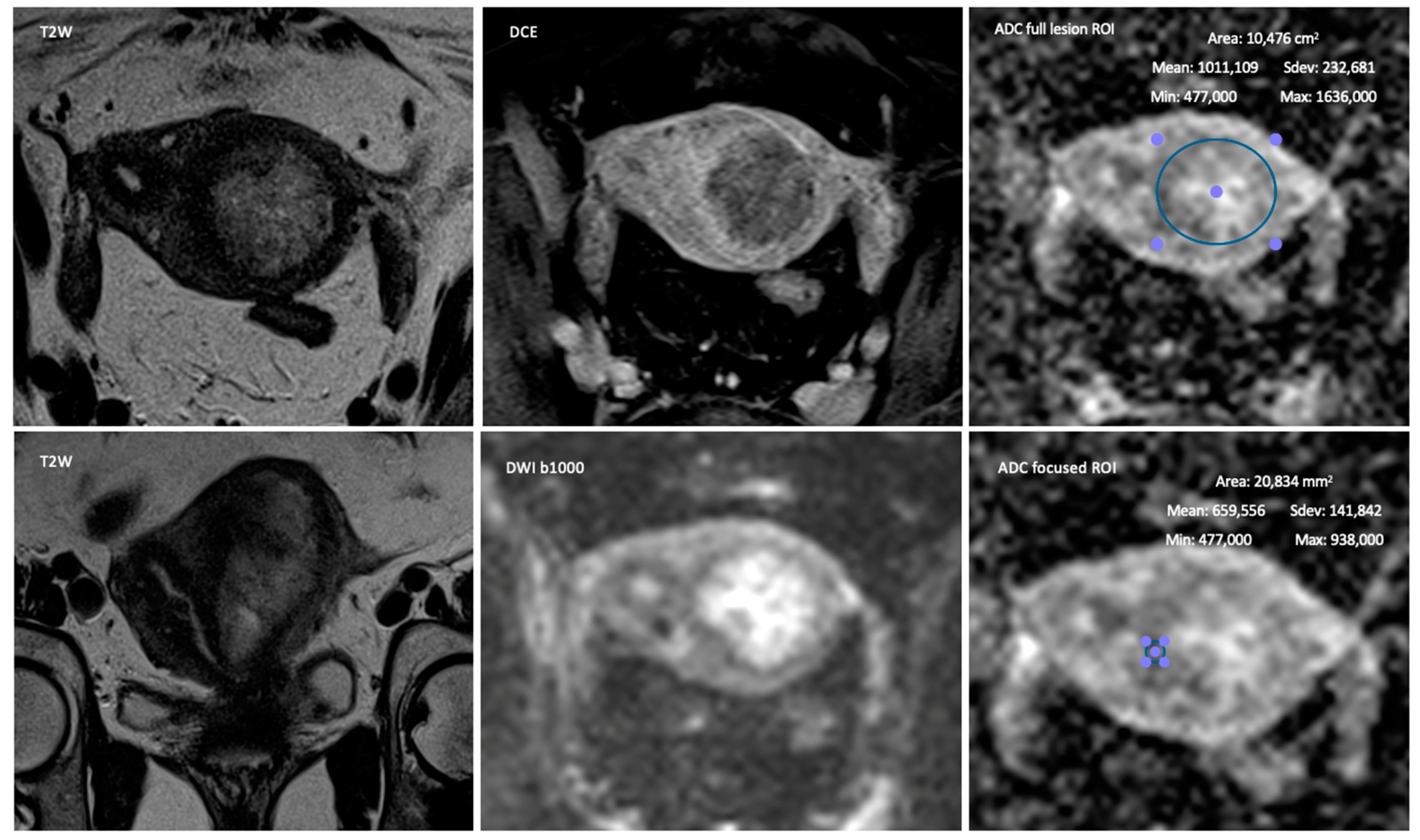
2.3. Image Interpretation
2.4. Statistical Analysis
3. Results
4. Discussion
5. Conclusions
Supplementary Materials
Author Contributions
Funding
Institutional Review Board Statement
Informed Consent Statement
Data Availability Statement
Conflicts of Interest
References
- Ferlay, J.; Colombet, M.; Soerjomataram, I.; Parkin, D.M.; Piñeros, M.; Znaor, A.; Bray, F. Cancer statistics for the year 2020: An overview. Int. J. Cancer 2021. [Google Scholar] [CrossRef] [PubMed]
- Purdie, D.M.; Green, A.C. Epidemiology of endometrial cancer. Best Pract. Res. Clin. Obstet. Gynaecol. 2001, 15, 341–354. [Google Scholar] [CrossRef] [PubMed]
- Bray, F.; Ferlay, J.; Soerjomataram, I.; Siegel, R.L.; Torre, L.A.; Jemal, A. Global cancer statistics 2018: GLOBOCAN estimates of incidence and mortality worldwide for 36 cancers in 185 countries. CA Cancer J. Clin. 2018, 68, 394–424. [Google Scholar] [CrossRef] [PubMed]
- Hlavna, M.; Kohut, L.; Lipkova, J.; Vasku, J.B.; Dostalova, Z.; Chovanec, J.; Vasku, A. Relationship of resistin levels with endometrial cancer risk. Neoplasma 2011, 58, 124–128. [Google Scholar] [CrossRef]
- Lafranconi, A.; Micek, A.; Galvano, F.; Rossetti, S.; Del Pup, L.; Berretta, M.; Facchini, G. Coffee Decreases the Risk of Endometrial Cancer: A Dose–Response Meta-Analysis of Prospective Cohort Studies. Nutrients 2017, 9, 1223. [Google Scholar] [CrossRef]
- Bianco, B.; Barbosa, C.P.; Trevisan, C.M.; Laganà, A.S.; Montagna, E. Endometrial cancer: A genetic point of view. Transl. Cancer Res. 2020, 9, 7706–7715. [Google Scholar] [CrossRef]
- Konopka, B.; Janiec-Jankowska, A.; Kwiatkowska, E.; Najmoła, U.; Bidziński, M.; Olszewski, W.; Goluda, C. PIK3CA mutations and amplification in endometrioid endometrial carcinomas: Relation to other genetic defects and clinicopathologic status of the tumors. Hum. Pathol. 2011, 42, 1710–1719. [Google Scholar] [CrossRef]
- Lacey, J.V., Jr.; Yang, H.; Gaudet, M.M.; Dunning, A.; Lissowska, J.; Sherman, M.E.; Peplonska, M.E.; Peplonska, B.; Brinton, L.A.; Healey, C.S.; et al. Endometrial cancer and genetic variation in PTEN, PIK3CA, AKT1, MLH1, and MSH2 within a population-based case-control study. Gynecol. Oncol. 2011, 120, 167–173. [Google Scholar] [CrossRef]
- Doherty, J.A.; Weiss, N.S.; Fish, S.; Fan, W.; Loomis, M.M.; Sakoda, L.C.; Rossing, M.A.; Zhao, L.P.; Chen, C. Polymorphisms in Nucleotide Excision Repair Genes and Endometrial Cancer Risk. Cancer Epidemiol. Biomark. Prev. 2011, 20, 1873–1882. [Google Scholar] [CrossRef]
- Hernández, J.E.; González-Montiel, A.; Allos-Villalva, J.C.C.; Cantú, D.; Barquet, S.; Olivares-Mundo, A.; Herrera, L.A.; Prada, D. Prognostic molecular biomarkers in endometrial cancer: A review. J. Cancer Res. Ther. 2019, 7, 17–28. [Google Scholar] [CrossRef]
- Concin, N.; Matias-Guiu, X.; Vergote, I.; Cibula, D.; Mirza, M.R.; Marnitz, S.; Ledermann, J.; Bosse, T.; Chargari, C.; Fagotti, A.; et al. ESGO/ESTRO/ESP guidelines for the management of patients with endometrial carcinoma. Int. J. Gynecol. Cancer 2021, 31, 12–39. [Google Scholar] [CrossRef] [PubMed]
- Amant, F.; Mirza, M.R.; Koskas, M.; Creutzberg, C.L. FIGO Cancer Report 2018. Cancer of the corpus uteri. Int. J. Gynecol. Obstet. 2018, 143, 37–50. [Google Scholar] [CrossRef] [PubMed]
- Freeman, S.J.; Aly, A.M.; Kataoka, M.Y.; Addley, H.C.; Reinhold, C.; Sala, E. The Revised FIGO Staging System for Uterine Malignancies: Implications for MR Imaging. Radio Graph. 2012, 32, 1805–1827. [Google Scholar] [CrossRef] [PubMed]
- Otero-García, M.M.; Mesa-Álvarez, A.; Nikolic, O.; Blanco-Lobato, P.; Basta-Nikolic, M.; De Llano-Ortega, R.M.; Paredes-Velázquez, L.; Nikolic, N.; Szewczyk-Bieda, M. Role of MRI in staging and follow-up of endometrial and cervical cancer: Pitfalls and mimickers. Insights Into Imaging 2019, 10, 19. [Google Scholar] [CrossRef]
- Nougaret, S.; Horta, M.; Sala, E.; Lakhman, Y.; Thomassin-Naggara, I.; Kido, A.; Masselli, G.; Bharwani, N.; Sadowski, E.; Ertmer, A.; et al. Endometrial Cancer MRI staging: Updated Guidelines of the European Society of Urogenital Radiology. Eur. Radiol. 2019, 29, 792–805. [Google Scholar] [CrossRef]
- Lin, M.Y.; Dobrotwir, A.; McNally, O.; Abu-Rustum, N.R.; Narayan, K. Role of imaging in the routine management of endometrial cancer. Int. J. Gynecol. Obstet. 2018, 143, 109–117. [Google Scholar] [CrossRef]
- Togami, S.; Kubo, R.; Kawamura, T.; Yanazume, S.; Kamio, M.; Kobayashi, H. Risk factors for lymphatic complications following lymphadenectomy in patients with endometrial cancer. Taiwan. J. Obstet. Gynecol. 2020, 59, 420–424. [Google Scholar] [CrossRef]
- NDesouza, N.M.; Rockall, A.; Freeman, S. Functional MR Imaging in Gynecologic Cancer. Magn. Reson. Imaging Clin. N. Am. 2016, 24, 205–222. [Google Scholar] [CrossRef]
- Ma, X.; Shen, M.; He, Y.; Ma, F.; Liu, J.; Zhang, G.; Qiang, J. The role of volumetric ADC histogram analysis in preoperatively evaluating the tumour subtype and grade of endometrial cancer. Eur. J. Radiol. 2021, 140, 109745. [Google Scholar] [CrossRef]
- Das, S.K.; Niu, X.K.; Wang, J.L.; Zeng, L.C.; Wang, W.X.; Bhetuwal, A.; Yang, H.F. Usefulness of DWI in preoperative assessment of deep myometrial invasion in patients with endometrial carcinoma: A systematic review and meta-analysis. Cancer Imaging 2014, 14, 32. [Google Scholar] [CrossRef]
- Bonatti, M.; Pedrinolla, B.; Cybulski, A.J.; Lombardo, F.; Negri, G.; Messini, S.; Tagliaferri, T.; Manfredi, R.; Bonatti, G. Prediction of histological grade of endometrial cancer by means of MRI. Eur. J. Radiol. 2018, 103, 44–50. [Google Scholar] [CrossRef] [PubMed]
- Kishimoto, K.; Tajima, S.; Maeda, I.; Takagi, M.; Ueno, T.; Suzuki, N.; Nakajima, Y. Endometrial cancer: Correlation of apparent diffusion coefficient (ADC) with tumor cellularity and tumor grade. Acta Radiol. 2016, 57, 1021–1028. [Google Scholar] [CrossRef] [PubMed]
- Nougaret, S.; Reinhold, C.; Alsharif, S.; Addley, H.; Arceneau, J.; Molinari, N.; Guiu, B.; Sala, E. Endometrial Cancer: Combined MR Volumetry and Diffusion-weighted Imaging for Assessment of Myometrial and Lymphovascular Invasion and Tumor Grade. Radiology 2015, 276, 797–808. [Google Scholar] [CrossRef] [PubMed]
- Gil, R.T.; Cunha, T.M.; Horta, M.; Alves, I. The added value of diffusion-weighted imaging in the preoperative assessment of endometrial cancer. Radiol. Bras. 2019, 52, 229–236. [Google Scholar] [CrossRef]
- Takeuchi, M.; Matsuzaki, K.; Harada, M. Evaluating Myometrial Invasion in Endometrial Cancer: Comparison of Reduced Field-of-view Diffusion-weighted Imaging and Dynamic Contrast-enhanced MR Imaging. Magn. Reson. Med. Sci. 2018, 17, 28–34. [Google Scholar] [CrossRef] [PubMed]
- Karataşlı, V.; Çakır, I.; Şahin, H.; Ayaz, D.; Sancı, M. Can preoperative magnetic resonance imaging replace intraoperative frozen sectioning in the evaluation of myometrial invasion for early-stage endometrial carcinoma? Ginekol. Polska 2019, 90, 128–133. [Google Scholar] [CrossRef]
- Bouche, C.; David, M.G.; Salleron, J.; Rauch, P.; Leufflen, L.; Buhler, J.; Marchal, F. Evaluation of Pre-Therapeutic Assessment in Endometrial Cancer Staging. Diagnostics 2020, 10, 1045. [Google Scholar] [CrossRef]
- Sampath, S.; Nema, D.; Agarwal, R.; Lele, P. Accuracy of MR Imaging in endometrial cancer: Our experience. Int. J. Reprod. Contracept. Obstet. Gynecol. 2017, 6, 1630. [Google Scholar] [CrossRef]
- Bi, Q.; Chen, Y.; Wu, K.; Wang, J.; Zhao, Y.; Wang, B.; Du, J. The Diagnostic Value of MRI for Preoperative Staging in Patients with Endometrial Cancer: A Meta-Analysis. Acad. Radiol. 2020, 27, 960–968. [Google Scholar] [CrossRef]
- Rashid, I.; Saeed, S.A.; Naz, S.; Azeemuddin, S. Diagnostic Accuracy of Pelvic MRI for Determination of the Cervical Involvement in Endometrial Cancer. 2018. Available online: https://ecommons.aku.edu/pakistan_fhs_mc_radiol/114 (accessed on 12 January 2023).
- Ahmed, M.; Al-Khafaji, J.; Class, C.; Wei, W.; Ramalingam, P.; Wakkaa, H.; Soliman, P.; Frumovitz, M.; Iyer, R.; Bhosale, P. Can MRI help assess aggressiveness of endometrial cancer? Clin. Radiol. 2018, 73, 833.e11. [Google Scholar] [CrossRef]
- Dokter, E.; Anderson, L.; Cho, S.-M.; Cohen-Hallaleh, V.; Lam, K.M.; Saidi, S.A.; Kitzing, Y.X. Radiology–pathology correlation of endometrial carcinoma assessment on magnetic resonance imaging. Insights Imaging 2022, 13, 80. [Google Scholar] [CrossRef] [PubMed]



| Number of Patients (Total 45) | ||
|---|---|---|
| Age (years old) (median [minimum; maximum]) | 73 [44; 93] | |
| Lesion size (volume in cm2) (median [minimum; maximum]) | 12.30 [0.15; 137.90] | |
| Tumor histology n (%) | Endometrioid carcinoma | 39 (86.67%) |
| Serous carcinoma | 5 (11.11%) | |
| Undifferentiated carcinoma | 1 (2.22%) | |
| Tumor grade n (%) | G1 | 15 (33.33%) |
| G2 | 23 (51.11%) | |
| G3 | 7 (15.56%) | |
| MRI FIGO stage n (%) | T1a | 22 (48.89%) |
| T1b | 17 (37.78%) | |
| T2 | 1 (2.22%) | |
| T3 | 3 (6.67%) | |
| T4 | 2 (4.44%) | |
| Time interval between MRI and surgery (days) (median [minimum; maximum]) | 52 [16; 110] | |
| Surgical FIGO stage n (%) | pT1a | 19 (42.22%) |
| pT1b | 17 (37.78%) | |
| pT2 | 4 (8.89%) | |
| pT3 | 3 (6.67%) | |
| pT4 | 2 (4.44%) | |
| Histologic Tumor Grade | Median | Interquartile Range | Min | Max | p | |||
|---|---|---|---|---|---|---|---|---|
| 1Q | 3Q | |||||||
| Full lesion ROI | Mean ROI area (cm2) | G1 | 1.76 | 0.97 | 4.84 | 0,24 | 7,61 | |
| G2 | 2.43 | 1.7 | 5.9 | 0,23 | 12,18 | 0.31 | ||
| G3 | 6.01 | 2.04 | 7.17 | 0.21 | 12.73 | |||
| Mean ADC (× 10−6 mm²/s) | G1 | 736.43 | 709.33 | 828.7 | 618.02 | 1302 | ||
| G2 | 764.18 | 687.07 | 864.1 | 618.02 | 1302.78 | 0.99 | ||
| G3 | 810.60 | 661.18 | 948.14 | 561.42 | 1423.88 | |||
| Minimum ADC (× 10−6 mm²/s) | G1 | 514 | 431 | 559 | 246 | 807 | ||
| G2 | 522 | 416 | 598 | 254 | 818 | 0.90 | ||
| G3 | 529 | 268 | 684 | 198 | 1062 | |||
| Maximum ADC (× 10−6 mm²/s) | G1 | 1098 | 1004 | 1327 | 929 | 1366 | ||
| G2 | 1002 | 973 | 1199 | 876 | 1688 | 0.63 | ||
| G3 | 1167 | 906 | 1179 | 900 | 1750 | |||
| Focused ROI | Mean ROI area (cm2) | G1 | 21.97 | 0.07 | 0.14 | 0.05 | 0.24 | |
| G2 | 24.46 | 0.07 | 0.196 | 0.03 | 1.11 | 0.72 | ||
| G3 | 20.43 | 0.055 | 0.12 | 0.05 | 0.2 | |||
| Mean ADC (× 10−6 mm²/s) | G1 | 24.67 | 576.33 | 741 | 361 | 839.5 | ||
| G2 | 22.52 | 575.78 | 681.66 | 425.63 | 937.33 | 0.81 | ||
| G3 | 21.00 | 426 | 709 | 349.33 | 1166 | |||
| Minimum ADC (× 10−6 mm²/s) | G1 | 25.00 | 446 | 639 | 246 | 694 | ||
| G2 | 21.48 | 416 | 597 | 314 | 831 | 0.71 | ||
| G3 | 23.71 | 365 | 631 | 198 | 906 | |||
| Maximum ADC (× 10−6 mm²/s) | G1 | 24.70 | 663 | 860 | 445 | 1094 | ||
| G2 | 23.20 | 669 | 802 | 553 | 1049 | 0.61 | ||
| G3 | 18.71 | 547 | 789 | 434 | 1437 | |||
| FIGO Stage | Histopathology (n, %) | Total | |||||
|---|---|---|---|---|---|---|---|
| pT1a | pT1b | pT2 | pT3 | pT4 | |||
| MRI (n, %) | T1a | 18 (40.00%) | 3 (6.67%) | 1 (2.22%) | 0 | 0 | 22 (48.89%) |
| T1b | 1 (2.22%) | 14 (31.11%) | 1 (2.22%) | 1 (2.22%) | 0 | 17 (37.78%) | |
| T2 | 0 | 0 | 1 (2.22%) | 0 | 0 | 1 (2.22%) | |
| T3 | 0 | 0 | 1 (2.22%) | 2 (4.44%) | 0 | 3 (6.67%) | |
| T4 | 0 | 0 | 0 | 0 | 2 (4.44%) | 2 (4.44%) | |
| Total | 19 (42.22%) | 17 (37.78%) | 4 (8.89%) | 3 (6.67%) | 2 (4.44%) | 45 | |
| Histologic Tumor Grade | Median | Interquartile Range | Min | Max | p | ||
|---|---|---|---|---|---|---|---|
| 1Q | 3Q | ||||||
| Mean lesion volume | G1 | 9.87 | 2.46 | 20.22 | 1.75 | 87.92 | |
| G2 | 11.35 | 6.63 | 26.5 | 0.15 | 131.82 | 0.20 | |
| G3 | 32.82 | 12.3 | 57.58 | 1.26 | 137.90 | ||
Disclaimer/Publisher’s Note: The statements, opinions and data contained in all publications are solely those of the individual author(s) and contributor(s) and not of MDPI and/or the editor(s). MDPI and/or the editor(s) disclaim responsibility for any injury to people or property resulting from any ideas, methods, instructions or products referred to in the content. |
© 2023 by the authors. Licensee MDPI, Basel, Switzerland. This article is an open access article distributed under the terms and conditions of the Creative Commons Attribution (CC BY) license (https://creativecommons.org/licenses/by/4.0/).
Share and Cite
Moreira, A.S.L.; Ribeiro, V.; Aringhieri, G.; Fanni, S.C.; Tumminello, L.; Faggioni, L.; Cioni, D.; Neri, E. Endometrial Cancer Staging: Is There Value in ADC? J. Pers. Med. 2023, 13, 728. https://doi.org/10.3390/jpm13050728
Moreira ASL, Ribeiro V, Aringhieri G, Fanni SC, Tumminello L, Faggioni L, Cioni D, Neri E. Endometrial Cancer Staging: Is There Value in ADC? Journal of Personalized Medicine. 2023; 13(5):728. https://doi.org/10.3390/jpm13050728
Chicago/Turabian StyleMoreira, Ana Sofia Linhares, Vera Ribeiro, Giacomo Aringhieri, Salvatore Claudio Fanni, Lorenzo Tumminello, Lorenzo Faggioni, Dania Cioni, and Emanuele Neri. 2023. "Endometrial Cancer Staging: Is There Value in ADC?" Journal of Personalized Medicine 13, no. 5: 728. https://doi.org/10.3390/jpm13050728
APA StyleMoreira, A. S. L., Ribeiro, V., Aringhieri, G., Fanni, S. C., Tumminello, L., Faggioni, L., Cioni, D., & Neri, E. (2023). Endometrial Cancer Staging: Is There Value in ADC? Journal of Personalized Medicine, 13(5), 728. https://doi.org/10.3390/jpm13050728

