Minimally Invasive Isolated and Hybrid Surgical Revascularization for Multivessel Coronary Disease: A Single-Center Long-Term Follow-Up
Abstract
1. Introduction
2. Materials and Methods
2.1. Study Design
2.2. Inclusion and Exclusion Criteria for MIDCAB /HCR and Pharmacologic Strategy
- Favorable chest anatomy to properly expose the heart and absence of calcifications or obstructing plaques of the femoral arteries, in case a peripheral cannulation for the cardiopulmonary bypass, would be needed.
- Hemodynamic stability and an adequate pulmonary function to tolerate single lung ventilation.
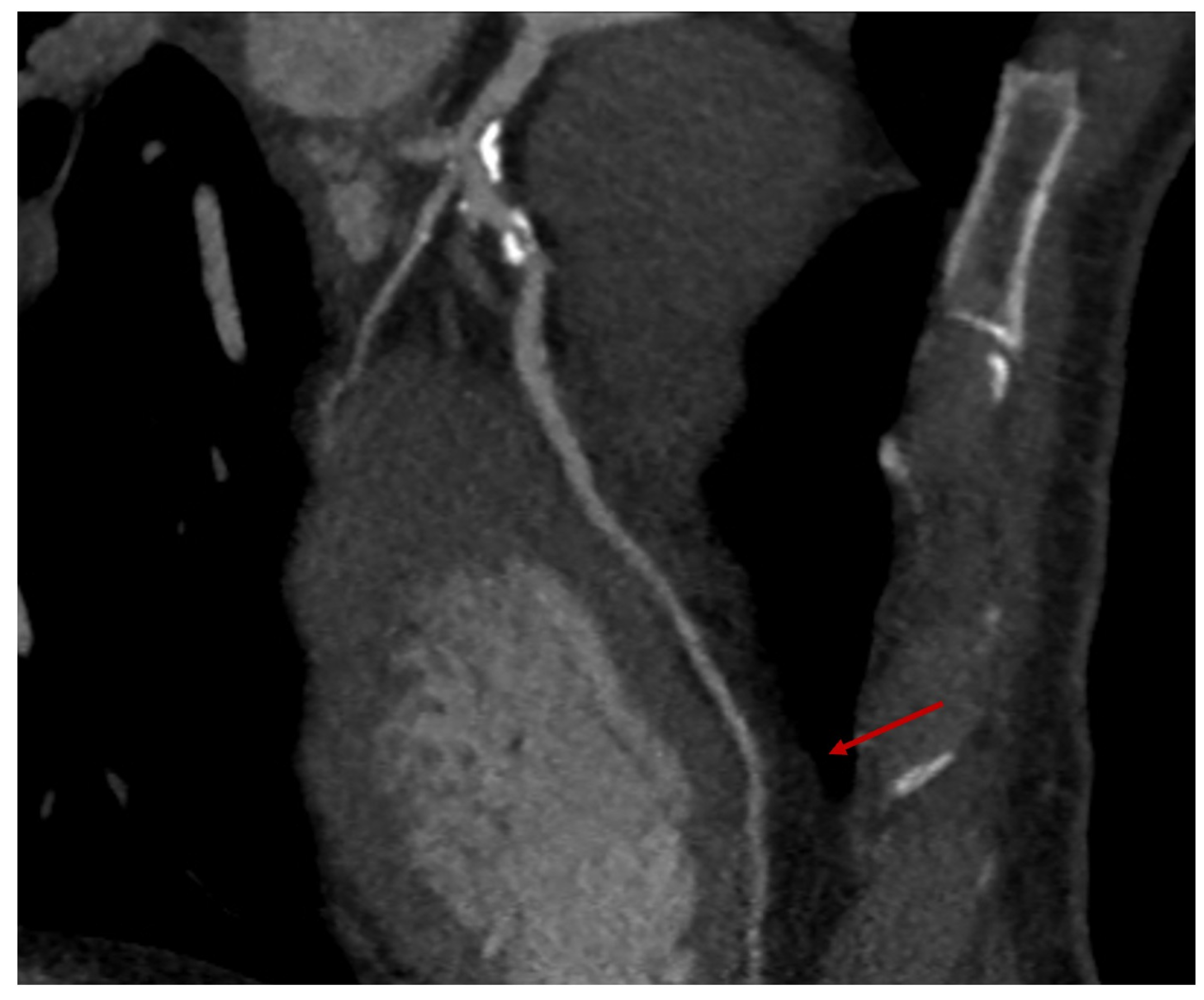
- Absence of calcification of the ascending aorta, allowing the execution of the proximal anastomosis (Figure 4A).
2.3. Preoperative Planning
2.4. Surgical Technique
2.5. Statistical Analysis
3. Results
4. Discussion
- a.
- One of the main advantages results from the avoidance of sternotomy, hence the risk for sternal wound infections (or mediastinitis) and sternal instability are completely abolished.
- b.
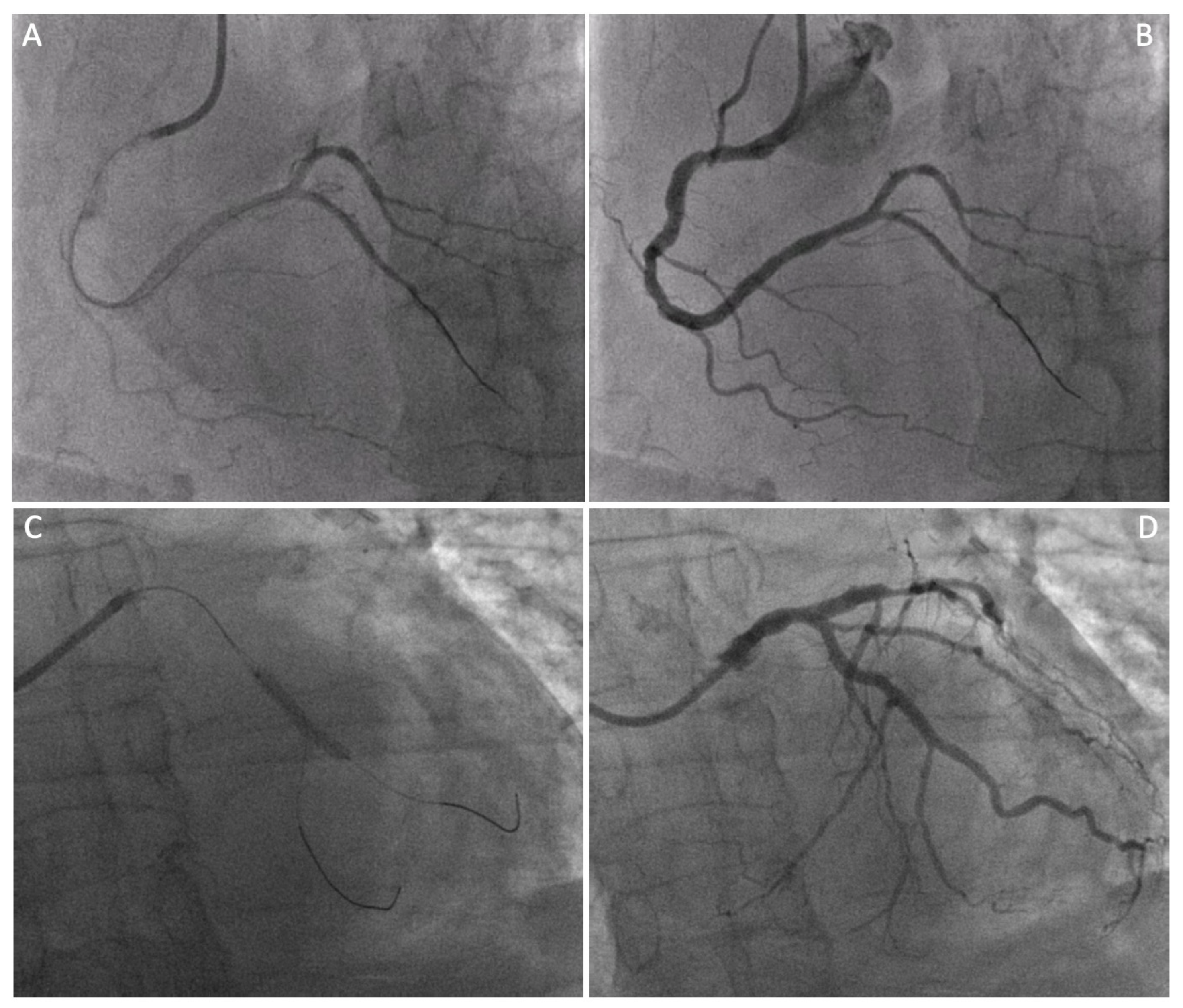
- For solely surgical revascularization of the LAD by a left mini-thoracotomy, followed by staged PCI, our results demonstrate that the long-term patency rate is as good as with sternotomy.
- c.
- Although only in a limited number of patients, the management of DAPT demonstrated a good safety profile and low bleeding risk in those patients in whom MIDCAB has been staged after PCI.
- At least a left ventricular systolic function (LVEF) > 45%.
- Good lung function because of the prolonged single lung ventilation required by this minimally invasive operation.
- The risk of an intramyocardial course of the LAD and the consequent possible implication of a sternotomy conversion.
- The management of double antiplatelet therapy (DAPT), with bleeding implications after a staged surgery.
5. Study Limitations
6. Conclusions
Author Contributions
Funding
Institutional Review Board Statement
Informed Consent Statement
Data Availability Statement
Acknowledgments
Conflicts of Interest
References
- Favaloro, R.G.; Effler, D.B.; Groves, L.K.; Sones FMJr Fergusson, D.J. Myocardial revascularization by internal mammary artery implant procedures. Clin. Exp. J. Thorac. Cardiovasc. Surg. 1967, 54, 359–370. [Google Scholar] [CrossRef] [PubMed]
- Ruel, M.; Shariff, M.A.; Lapierre, H.; Goyal, N.; Dennie, C.; Sadel, S.M.; Sohmer, B.; McGinn, J.T., Jr. Results of the Minimally Invasive Coronary Artery Bypass Grafting Angiographic Patency Study. J. Thorac. Cardiovasc. Surg. 2014, 147, 203–208. [Google Scholar] [CrossRef] [PubMed]
- Bonaros, N.; Schachner, T.; Kofler, M.; Lehr, E.; Lee, J.; Vesely, M.; Zimrin, D.; Feuchtner, G.; Friedrich, G.; Bonatti, J. Advanced hybrid closed chest revascularization: An innovative strategy for the treatment of multivessel coronary artery disease. Eur. J. Cardiothorac. Surg. 2014, 46, e94–e102; discussion e102. [Google Scholar] [CrossRef] [PubMed]
- McGinn Jr, J.T.; Usman, S.; Lapierre, H.; Pothula, V.R.; Mesana, T.G.; Ruel, M. Minimally invasive coronary artery bypass grafting: Dual-center experience in 450 consecutive patients. Circulation 2009, 120 (Suppl. S11), S78–S84. [Google Scholar] [CrossRef] [PubMed]
- Head, S.J.; Davierwala, P.M.; Serruys, P.W.; Redwood, S.R.; Colombo, A.; Mack, M.J.; Morice, M.C.; Holmes, D.R., Jr.; Feldman, T.E.; Ståhle, E. Coronary artery bypass grafting vs. percutaneous coronary intervention for patients with three-vessel disease: Final five-year follow-up of the SYNTAX trial. Eur. Heart J. 2014, 35, 2821–2830. [Google Scholar] [CrossRef]
- D’Ascenzo, F.; Iannaccone, M.; Saint-Hilary, G.; Bertaina, M.; Schulz-Schüpke, S.; Wahn Lee, C.; Chieffo, A.; Helft, G.; Gili, S.; Barbero, U.; et al. Impact of design of coronary stents and length of dual antiplatelet therapies on ischemic and bleeding events: A network meta-analysis of 64 randomized controlled trials and 102735 patients. Eur. Heart J. 2017, 38, 3160–3172. [Google Scholar] [CrossRef]
- Neumann, F.J.; Sousa-Uva, M.; Ahlsson, A.; Alfonso, F.; Banning, A.P.; Benedetto, U.; Byrne, R.A.; Collet, J.P.; Falk, V.; Head, S.J.; et al. 2018 ESC/EACTS Guidelines on myocardial revascularization. Eur. Heart J. 2019, 40, 87–165. [Google Scholar] [CrossRef] [PubMed]
- Blaas, I.; Heinz, K.; Würtinger, P.; Türkcan, A.; Tepeköylü, C.; Grimm, M.; Doppler, C.; Danzl, K.; Messner, B.; Bernhard, D. Vein graft thrombi, a niche for smooth muscle cell colonization—A hypothesis to explain the asymmetry of intimal hyperplasia. J. Thromb. Haemost. 2016, 14, 1095–1104. [Google Scholar] [CrossRef]
- Writing Committee Members; Hillis, L.D.; Smith, P.K.; Anderson, J.L.; Bittl, J.A.; Bridges, C.R.; Byrne, J.G.; Cigarroa, J.E.; DiSesa, V.J.; Hiratzka, L.F.; et al. 2011 ACCF/AHA Guideline for Coronary Artery Bypass Graft Surgery. A report of the American College of Cardiology Foundation/American Heart Association Task Force on Practice Guidelines. Circulation 2011, 124, e652–e735. [Google Scholar] [PubMed]
- Writing Committee Members; Lawton, J.S.; Tamis-Holland, J.E.; Bangalore, S.; Bates, E.R.; Beckie, T.M.; Bischoff, J.M.; Bittl, J.A.; Cohen, M.G.; DiMaio, J.M.; et al. 2021 ACC/AHA/SCAI Guideline for Coronary Artery Revascularization. A report of the American College of Cardiology/American Heart Association Joint Committee on Practice Guidelines. Circulation 2022, 145, e18–e114. [Google Scholar] [CrossRef]
- Moreno, P.R.; Stone, G.W.; Gonzales-Lengua, C.A.; Puskas, J.D. The hybrid coronary approach for optimal revascularization. J. Am. Coll. Cardiol. 2020, 76, 321–333. [Google Scholar] [CrossRef]
- Raja, S.G.; Uzzaman, M.; Garg, S.; Santhirakumaran, G.; Lee, M.; Soni, M.K.; Khan, H. Comparison of minimally invasive direct coronary artery bypass and drug-eluting stents for management of isolated left anterior descending artery disease: A systematic review and meta-analysis of 7710 patients. Ann. Cardiothorac. Surg. 2018, 7, 567–576. [Google Scholar] [CrossRef]
- Tajstra, M.; Hrapkowicz, T.; Hawranek, M.; Filipiak, K.; Gierlotka, M.; Zembala, M.; Gąsior, M.; Zembala, M.O.; POL-MIDES Study Investigators. Hybrid coronary revascularization in selected patients with multivessel disease: 5-year clinical outcomes of the prospective randomized pilot study. JACC Cardiovasc. Interv. 2018, 11, 847–852. [Google Scholar] [CrossRef]
- Repossini, A.; Di Bacco, L.; Nicoli, F.; Passaretti, B.; Stara, A.; Jonida, B.; Muneretto, C. Minimally invasive coronary artery bypass: Twenty-year experience. J. Thorac. Cardiovasc. Surg. 2019, 158, 127–138. [Google Scholar] [CrossRef]
- Hannan, E.L.; Wu, Y.; Cozzens, K.; Sundt, T.M., 3rd; Girardi, L.; Chikwe, J.; Wechsler, A.; Smith, C.R.; Gold, J.P.; Lahey, S.J.; et al. Hybrid coronary revascularization versus conventional coronary artery bypass surgery: Utilization and comparative outcomes. Circ. Cardiovasc. Interv. 2020, 13, e009386. [Google Scholar] [CrossRef]
- Esteves, V.; Oliveira, M.A.; Feitosa, F.S.; Mariani, J., Jr.; Campos, C.M.; Hajjar, L.A.; Lisboa, L.A.; Jatene, F.B.; Filho, R.K.; Lemos Neto, P.A. Late clinical outcomes of myocardial hybrid revascularization versus coronary artery bypass grafting for complex triple-vessel disease: Long-term follow-up of the randomized MERGING clinical trial. Catheter. Cardiovasc. Interv. 2021, 97, 259–264. [Google Scholar] [CrossRef]
- Ganyukov, V.; Kochergin, N.; Shilov, A.; Tarasov, R.; Skupien, J.; Szot, W.; Kokov, A.; Popov, V.; Kozyrin, K.; Barbarash, O.; et al. Randomized clinical trial of surgical vs. percutaneous vs. hybrid revascularization in multivessel coronary artery disease: Residual myocardial ischemia and clinical outcomes at one year-Hybrid. coronary REvascularization versus Stenting or Surgery (HREVS). J. Interv. Cardiol. 2020, 3, 5458064. [Google Scholar] [CrossRef]
- Van den Eynde, J.; Sá, M.P.; De Groote, S.; Amabile, A.; Sicouri, S.; Ramlawi, B.; Torregrossa, G.; Oosterlinck, W. Hybrid coronary revascularization versus percutaneous coronary intervention: A systematic review and meta-analysis. IJC Heart Vasc. 2021, 37, 100916. [Google Scholar] [CrossRef]
- Patel, N.C.; Hemli, J.M.; Seetharam, K.; Singh, V.P.; Scheinerman, S.J.; Pirelli, L.; Brinster, D.R.; Kim, M.C. Minimally invasive coronary bypass versus percutaneous coronary intervention for isolated complex stenosis of the left anterior descending coronary artery. J. Thorac. Cardiovasc. Surg. 2022, 163, 1839–1846. [Google Scholar] [CrossRef]
- Gąsior, M.; Zembala, M.O.; Tajstra, M.; Filipiak, K.; Gierlotka, M.; Hrapkowicz, T.; Hawranek, M.; Poloński, L.; Zembala, M.; POL-MIDES (HYBRID) Study Investigators. Hybrid revascularization for multivessel coronary artery disease. JACC Cardiovasc. Interv. 2014, 7, 1277–1283. [Google Scholar] [CrossRef]
- Harskamp, R.E.; Brennan, J.M.; Xian, Y.; Halkos, M.E.; Puskas, J.D.; Thourani, V.H.; Gammie, J.S.; Taylor, B.S.; de Winter, R.J.; Kim, S.; et al. Practice patterns and clinical outcomes after hybrid coronary revascularization in the United States: An analysis from the society of thoracic surgeons adult cardiac database. Circulation 2014, 130, 872–879. [Google Scholar] [CrossRef]
- Sanetra, K.; Buszman, P.P.; Jankowska-Sanetra, J.; Cisowski, M.; Fil, W.; Gorycki, B.; Bochenek, A.; Slabon-Turska, M.; Konopko, M.; Kaźmierczak, P.; et al. One-stage hybrid coronary revascularization for the treatment of multivessel coronary artery disease- Periprocedural and long-term results from the “HYBRID-COR” feasibility study. Front. Cardiovasc. Med. 2022, 9, 1016255. [Google Scholar] [CrossRef]
- Panoulas, V.F.; Colombo, A.; Margonato, A.; Maisano, F. Hybrid coronary revascularization: Promising, but yet to take off. J. Am. Coll. Cardiol. 2015, 65, 85–97. [Google Scholar] [CrossRef]
- Manuel, L.; Fong, L.S.; Betts, K.; Bassin, L.; Wolfenden, H. LIMA to LAD grafting returns patient survival to age-matched population: 20-year outcomes of MIDCAB surgery. Interact. Cardiovasc. Thorac. Surg. 2022, 35, ivac243. [Google Scholar] [CrossRef]
- Guo, M.H.; Wells, G.A.; Glineur, D.; Fortier, J.; Davierwala, P.M.; Kikuchi, K.; Lemma, M.G.; Mishra, Y.K.; McGinn, J.; Ramchandani, M.; et al. Minimally Invasive coronary surgery compared to STernotomy coronary artery bypass grafting: The MIST trial. Contemp. Clin. Trials 2019, 78, 140–145. [Google Scholar] [CrossRef] [PubMed]
- Shimamura, J.; Miyamoto, Y.; Hibino, M.; Fukuhara, S.; Takayama, H.; Itagaki, S.; Takagi, H.; Kuno, T. Long-Term Outcomes After Hybrid Coronary Revascularization Versus Coronary Artery Bypass Grafting: Meta-Analysis of Kaplan-Meier-Derived Data. Am. J. Cardiol. 2024, 212, 13–22. [Google Scholar] [CrossRef]
- Nagraj, S.; Tzoumas, A.; Kakargias, F.; Giannopoulos, S.; Ntoumaziou, A.; Kokkinidis, D.G.; Alvarez Villela, M.; Latib, A. Hybrid coronary revascularization (HCR) versus coronary artery bypass grafting (CABG) in multivessel coronary artery disease (MVCAD): A meta-analysis of 14 studies comprising 4226 patients. Catheter Cardiovasc. Interv. 2022, 100, 1182–1194. [Google Scholar] [CrossRef]
- Demirsoy, E.; Mavioglu, I.; Dogan, E.; Gulmez, H.; Dindar, I.; Erol, M.K. The Feasibility and Early Results of Multivessel Minimally Invasive Coronary Artery Bypass Grafting for All Comers. J. Clin. Med. 2023, 12, 5663. [Google Scholar] [CrossRef]
- Dokollari, A.; Sicouri, S.; Erten, O.; Gray, W.A.; Shapiro, T.A.; McGeehin, F.; Badri, M.; Coady, P.; Gnall, E.; Caroline, M.; et al. Long-term clinical outcomes of robotic-assisted surgical coronary artery revascularisation. EuroIntervention 2024, 20, 45–55. [Google Scholar] [CrossRef]






| N (Percentage %) | ||
|---|---|---|
| Tot. MIDCAB | Hybrid | |
| Patients | 92 (100%) | 14/92 (1.5%) |
| Age (years) | 67.9 ± 10.4 | 72 ± 10.5 |
| Male | 81 (88%) | 12 (86%) |
| Smoking | 23 (25%) | 4 (29%) |
| Hypertension | 64 (70%) | 13 (93%) |
| Dyslipidemia | 61 (66%) | 9 (64%) |
| Chronic coronary syndrome | 25 (27%) | 2 (14%) |
| Unstable angina | 67 (73%) | 12 (86%) |
| History of myocardial infarction | 26 (28%) | 2 (14%) |
| Diabetes type I under insulin therapy | 13 (14%) | 1 (7%) |
| Diabetes type II | 28 (30%) | 4 (29%) |
| PAD | 7 (8%) | 0 (0%) |
| Number of diseased vessels (N, %) | 1 vessel: 33 (36%) 2 vessels: 47 (51%) 3 vessels: 12 (13%) | 1 vessel: 0 (0%) 2 vessels: 9 (64%) 3 vessels: 5 (36%) |
| Euroscore II | 1.0 ± 0.7 | 0.95 ± 0.5 |
| Ejection Fraction (%) | 56 ± 7.5 | 53 ± 6.2 |
| N (Percentage %) | ||
|---|---|---|
| Tot. MIDCAB | Hybrid | |
| N° of bypass | ||
| 1 | 58 (63%) | 12 (86%) |
| 2 | 30 (33%) | 2 (14%) |
| 3 | 4 (4%) | 0 (0%) |
| Lima | 92 (100%) | 14 (100%) |
| + Rima | 4 (4%) | 0 (0%) |
| + Radial | 1 (1%) | 0 (0%) |
| + SVG | 17 (18%) | 0 (0%) |
| Op. time (min) | 210 ± 85 | 178 ± 65 |
| CPB time in 7 cases (min) | 117 ± 41 | 0 (0%) |
| X-Clamp time in 2 cases (min) | 62 | 0 (0%) |
| N (Percentage %) | ||
|---|---|---|
| Tot. MIDCAB | Hybrid | |
| 30-day Mortality | 1 (1%) | 0 |
| Extubation | ||
| POD 0 | 79 (86%) | 14 (100%) |
| POD 1 | 11 (12%) | 0 (0%) |
| POD > 1 | 2 (2%) | 0 (0%) |
| Graft failure | 2 (2.1) | 0 (0%) |
| Sternotomy conversion | 2 (2.1) | 0 (0%) |
| Surgical revision | 3 (3.2) | 0 (0%) |
| ICU stay (days) | 1.3 ± 0.7 | 1 |
| Post-operative Hospital stay (days) | 6.4 ± 3.9 | 6.3 ± 1.3 |
| Long-term Mortality | 2 (2.1%) | 0 (0%) |
| Hybrid Coronary Revascularization (14 Patients) | |
|---|---|
| N° of treated vessels (out of LAD) | 1.6 ± 0.6 |
| N° of treated vessels (out of LAD) per patient (N, %) | |
| 6/14 (43%) |
| 7/14 (50%) |
| 1/14 (7%) |
| N° of Drug Eluting Stent (mean ± SD) | 2.1 ± 0.9 |
| Type of Drug Eluting Stent (target vessels) | ORSIRO (RCA) BIOFREEDOM (RCA) XIENCE SIERRA (RCA and CX) ULTIMASTER TANSEI (RCA and CX) ORSIRO MISSION (RCA and RCX) XIENCE SKYPOINT (RCA) RESOLUTE ONYX (PDA) ONYX FRONTIER (RCA and PLA) ULTIMASTER NAGOMI (RI) |
| PCI before Surgery (n° of pts, %) | 4 (28%) |
| Days before Surgery (mean ± SD) | 28 ± 21 |
| PCI after Surgery (n° of pts, %) | 10 (72%) |
| Days after Surgery (mean ± SD) | 31 ± 24 |
| LIMA angiographic patency at staged PCI (n° of pts, %) | 10 (100%) |
| PCI during the same hospitalization (n° of pts, %) | 5 (36%) |
| Re-exploration for bleeding due to DAPT | 0 (0%) |
Disclaimer/Publisher’s Note: The statements, opinions and data contained in all publications are solely those of the individual author(s) and contributor(s) and not of MDPI and/or the editor(s). MDPI and/or the editor(s) disclaim responsibility for any injury to people or property resulting from any ideas, methods, instructions or products referred to in the content. |
© 2024 by the authors. Licensee MDPI, Basel, Switzerland. This article is an open access article distributed under the terms and conditions of the Creative Commons Attribution (CC BY) license (https://creativecommons.org/licenses/by/4.0/).
Share and Cite
Torre, T.; Pozzoli, A.; Valgimigli, M.; Leo, L.A.; Toto, F.; Muretti, M.; Birova, S.; Ferrari, E.; Pedrazzini, G.; Demertzis, S. Minimally Invasive Isolated and Hybrid Surgical Revascularization for Multivessel Coronary Disease: A Single-Center Long-Term Follow-Up. J. Pers. Med. 2024, 14, 528. https://doi.org/10.3390/jpm14050528
Torre T, Pozzoli A, Valgimigli M, Leo LA, Toto F, Muretti M, Birova S, Ferrari E, Pedrazzini G, Demertzis S. Minimally Invasive Isolated and Hybrid Surgical Revascularization for Multivessel Coronary Disease: A Single-Center Long-Term Follow-Up. Journal of Personalized Medicine. 2024; 14(5):528. https://doi.org/10.3390/jpm14050528
Chicago/Turabian StyleTorre, Tiziano, Alberto Pozzoli, Marco Valgimigli, Laura Anna Leo, Francesca Toto, Mirko Muretti, Sara Birova, Enrico Ferrari, Giovanni Pedrazzini, and Stefanos Demertzis. 2024. "Minimally Invasive Isolated and Hybrid Surgical Revascularization for Multivessel Coronary Disease: A Single-Center Long-Term Follow-Up" Journal of Personalized Medicine 14, no. 5: 528. https://doi.org/10.3390/jpm14050528
APA StyleTorre, T., Pozzoli, A., Valgimigli, M., Leo, L. A., Toto, F., Muretti, M., Birova, S., Ferrari, E., Pedrazzini, G., & Demertzis, S. (2024). Minimally Invasive Isolated and Hybrid Surgical Revascularization for Multivessel Coronary Disease: A Single-Center Long-Term Follow-Up. Journal of Personalized Medicine, 14(5), 528. https://doi.org/10.3390/jpm14050528

