FGFR2 and NOTCH1 Expression Inversely Correlated in Progressive Cutaneous Carcinogenesis in an Experimental Mouse Model
Abstract
1. Introduction
2. Materials and Methods
2.1. Animals
2.2. Two-Stage Carcinogenesis Protocol
2.3. Histopathological Analysis
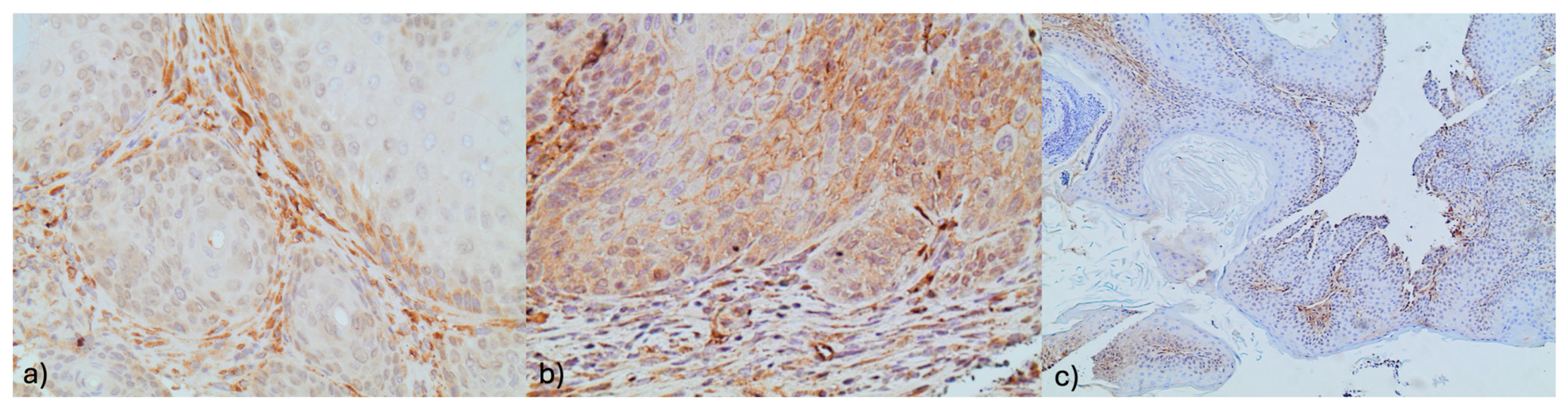
2.4. Immunohistochemical Analysis
2.5. Statistical Analysis
3. Results
| Group | ||||||
|---|---|---|---|---|---|---|
| Control | A | B | ||||
| Ν | % | Ν | % | Ν | % | |
| Normal histology | 8 | 100.0 | 6 | 2.8 | 2 | 0.8 | 
| Malignant tumors | 0 | 0.0 | 9 | 4.3 | 8 | 3.3 | 
| Precancerous lesions | 0 | 0.0 | 162 | 76.8 | 151 | 62.9 | 
| Benign tumors | 0 | 0.0 | 34 | 16.1 | 79 | 32.9 | 
4. Discussion
5. Conclusions
Author Contributions
Funding
Institutional Review Board Statement
Informed Consent Statement
Data Availability Statement
Conflicts of Interest
References
- Lomas, A.; Leonardi-Bee, J.; Bath-Hextall, F. A Systematic Review of Worldwide Incidence of Nonmelanoma Skin Cancer. Br. J. Dermatol. 2012, 166, 1069–1080. [Google Scholar] [CrossRef]
- De Vries, E.; Trakatelli, M.; Kalabalikis, D.; Ferrandiz, L.; Ruiz-de-Casas, A.; Moreno-Ramirez, D.; Sotiriadis, D.; Ioannides, D.; Aquilina, S.; Apap, C.; et al. Known and Potential New Risk Factors for Skin Cancer in European Populations: A Multicentre Case-Control Study: Risk Factors for Skin Cancer in European Populations. Br. J. Dermatol. 2012, 167, 1–13. [Google Scholar] [CrossRef]
- Zeng, L.; Gowda, B.H.J.; Ahmed, M.G.; Abourehab, M.A.S.; Chen, Z.-S.; Zhang, C.; Li, J.; Kesharwani, P. Advancements in Nanoparticle-Based Treatment Approaches for Skin Cancer Therapy. Mol. Cancer 2023, 22, 10. [Google Scholar] [CrossRef]
- Dianzani, C.; Zara, G.P.; Maina, G.; Pettazzoni, P.; Pizzimenti, S.; Rossi, F.; Gigliotti, C.L.; Ciamporcero, E.S.; Daga, M.; Barrera, G. Drug Delivery Nanoparticles in Skin Cancers. BioMed Res. Int. 2014, 2014, 895986. [Google Scholar] [CrossRef]
- Jung, G.W.; Metelitsa, A.I.; Dover, D.C.; Salopek, T.G. Trends in Incidence of Nonmelanoma Skin Cancers in Alberta, Canada, 1988-2007: Trends of Nonmelanoma Skin Cancers. Br. J. Dermatol. 2010, 163, 146–154. [Google Scholar] [CrossRef]
- Ramos, J.; Villa, J.; Ruiz, A.; Armstrong, R.; Matta, J. UV Dose Determines Key Characteristics of Nonmelanoma Skin Cancer. Cancer Epidemiol. Biomark. Prev. Publ. Am. Assoc. Cancer Res. Cosponsored Am. Soc. Prev. Oncol. 2004, 13, 2006–2011. [Google Scholar] [CrossRef]
- Saindane, D.; Bhattacharya, S.; Shah, R.; Prajapati, B.G. The Recent Development of Topical Nanoparticles for Annihilating Skin Cancer. Life 2022, 15, 843–869. [Google Scholar] [CrossRef]
- Gour, V.; Agrawal, P.; Pandey, V.; Kanwar, I.L.; Haider, T.; Tiwari, R.; Soni, V. Nanoparticles and Skin Cancer. In Nano Drug Delivery Strategies for the Treatment of Cancers; Elsevier: Amsterdam, The Netherlands, 2021; pp. 245–273. ISBN 978-0-12-819793-6. [Google Scholar]
- Lubman, O.Y.; Korolev, S.V.; Kopan, R. Anchoring Notch Genetics and Biochemistry. Mol. Cell 2004, 13, 619–626. [Google Scholar] [CrossRef]
- Radtke, F.; Clevers, H.; Riccio, O. From Gut Homeostasis to Cancer. Curr. Mol. Med. 2006, 6, 275–289. [Google Scholar] [CrossRef]
- Weng, A.P.; Ferrando, A.A.; Lee, W.; Morris, J.P.; Silverman, L.B.; Sanchez-Irizarry, C.; Blacklow, S.C.; Look, A.T.; Aster, J.C. Activating Mutations of NOTCH1 in Human T Cell Acute Lymphoblastic Leukemia. Science 2004, 306, 269–271. [Google Scholar] [CrossRef]
- Koch, U.; Radtke, F. Notch and Cancer: A Double-Edged Sword. Cell. Mol. Life Sci. 2007, 64, 2746–2762. [Google Scholar] [CrossRef]
- Nicolas, M.; Wolfer, A.; Raj, K.; Kummer, J.A.; Mill, P.; Van Noort, M.; Hui, C.; Clevers, H.; Dotto, G.P.; Radtke, F. Notch1 Functions as a Tumor Suppressor in Mouse Skin. Nat. Genet. 2003, 33, 416–421. [Google Scholar] [CrossRef]
- Proweller, A.; Tu, L.; Lepore, J.J.; Cheng, L.; Lu, M.M.; Seykora, J.; Millar, S.E.; Pear, W.S.; Parmacek, M.S. Impaired Notch Signaling Promotes De Novo Squamous Cell Carcinoma Formation. Cancer Res. 2006, 66, 7438–7444. [Google Scholar] [CrossRef]
- Devgan, V.; Mammucari, C.; Millar, S.E.; Brisken, C.; Dotto, G.P. P21 WAF1/Cip1 Is a Negative Transcriptional Regulator of Wnt4 Expression Downstream of Notch1 Activation. Genes Dev. 2005, 19, 1485–1495. [Google Scholar] [CrossRef]
- Nguyen, B.-C.; Lefort, K.; Mandinova, A.; Antonini, D.; Devgan, V.; Della Gatta, G.; Koster, M.I.; Zhang, Z.; Wang, J.; Di Vignano, A.T.; et al. Cross-Regulation between Notch and P63 in Keratinocyte Commitment to Differentiation. Genes Dev. 2006, 20, 1028–1042. [Google Scholar] [CrossRef]
- Blanpain, C.; Lowry, W.E.; Pasolli, H.A.; Fuchs, E. Canonical Notch Signaling Functions as a Commitment Switch in the Epidermal Lineage. Genes Dev. 2006, 20, 3022–3035. [Google Scholar] [CrossRef]
- Demehri, S.; Liu, Z.; Lee, J.; Lin, M.-H.; Crosby, S.D.; Roberts, C.J.; Grigsby, P.W.; Miner, J.H.; Farr, A.G.; Kopan, R. Notch-Deficient Skin Induces a Lethal Systemic B-Lymphoproliferative Disorder by Secreting TSLP, a Sentinel for Epidermal Integrity. PLoS Biol. 2008, 6, e123. [Google Scholar] [CrossRef]
- Porębska, N.; Latko, M.; Kucińska, M.; Zakrzewska, M.; Otlewski, J.; Opaliński, Ł. Targeting Cellular Trafficking of Fibroblast Growth Factor Receptors as a Strategy for Selective Cancer Treatment. J. Clin. Med. 2018, 8, 7. [Google Scholar] [CrossRef]
- Eswarakumar, V.P.; Lax, I.; Schlessinger, J. Cellular Signaling by Fibroblast Growth Factor Receptors. Cytokine Growth Factor Rev. 2005, 16, 139–149. [Google Scholar] [CrossRef]
- Holzmann, K.; Grunt, T.; Heinzle, C.; Sampl, S.; Steinhoff, H.; Reichmann, N.; Kleiter, M.; Hauck, M.; Marian, B. Alternative Splicing of Fibroblast Growth Factor Receptor IgIII Loops in Cancer. J. Nucleic Acids 2012, 2012, 950508. [Google Scholar] [CrossRef]
- Dorey, K.; Amaya, E. FGF Signalling: Diverse Roles during Early Vertebrate Embryogenesis. Development 2010, 137, 3731–3742. [Google Scholar] [CrossRef] [PubMed]
- Bobbs, A.S.; Saarela, A.V.; Yatskievych, T.A.; Antin, P.B. Fibroblast Growth Factor (FGF) Signaling during Gastrulation Negatively Modulates the Abundance of MicroRNAs That Regulate Proteins Required for Cell Migration and Embryo Patterning. J. Biol. Chem. 2012, 287, 38505–38514. [Google Scholar] [CrossRef] [PubMed]
- Dienstmann, R.; Rodon, J.; Prat, A.; Perez-Garcia, J.; Adamo, B.; Felip, E.; Cortes, J.; Iafrate, A.J.; Nuciforo, P.; Tabernero, J. Genomic Aberrations in the FGFR Pathway: Opportunities for Targeted Therapies in Solid Tumors. Ann. Oncol. 2014, 25, 552–563. [Google Scholar] [CrossRef] [PubMed]
- Schelch, K.; Wagner, C.; Hager, S.; Pirker, C.; Siess, K.; Lang, E.; Lin, R.; Kirschner, M.B.; Mohr, T.; Brcic, L.; et al. FGF2 and EGF Induce Epithelial–Mesenchymal Transition in Malignant Pleural Mesothelioma Cells via a MAPKinase/MMP1 Signal. Carcinogenesis 2018, 39, 534–545. [Google Scholar] [CrossRef] [PubMed]
- Turner, N.; Grose, R. Fibroblast Growth Factor Signalling: From Development to Cancer. Nat. Rev. Cancer 2010, 10, 116–129. [Google Scholar] [CrossRef] [PubMed]
- Helsten, T.; Schwaederle, M.; Kurzrock, R. Fibroblast Growth Factor Receptor Signaling in Hereditary and Neoplastic Disease: Biologic and Clinical Implications. Cancer Metastasis Rev. 2015, 34, 479–496. [Google Scholar] [CrossRef]
- Prieto-Dominguez, N.; Shull, A.Y.; Teng, Y. Making Way for Suppressing the FGF19/FGFR4 Axis in Cancer. Future Med. Chem. 2018, 10, 2457–2469. [Google Scholar] [CrossRef] [PubMed]
- Touat, M.; Ileana, E.; Postel-Vinay, S.; André, F.; Soria, J.-C. Targeting FGFR Signaling in Cancer. Clin. Cancer Res. 2015, 21, 2684–2694. [Google Scholar] [CrossRef]
- Helsten, T.; Elkin, S.; Arthur, E.; Tomson, B.N.; Carter, J.; Kurzrock, R. The FGFR Landscape in Cancer: Analysis of 4,853 Tumors by Next-Generation Sequencing. Clin. Cancer Res. 2016, 22, 259–267. [Google Scholar] [CrossRef]
- Adler, N.R.; Haydon, A.; McLean, C.A.; Kelly, J.W.; Mar, V.J. Metastatic Pathways in Patients with Cutaneous Melanoma. Pigment Cell Melanoma Res. 2017, 30, 13–27. [Google Scholar] [CrossRef]
- Ascierto, P.A.; Kirkwood, J.M.; Grob, J.-J.; Simeone, E.; Grimaldi, A.M.; Maio, M.; Palmieri, G.; Testori, A.; Marincola, F.M.; Mozzillo, N. The Role of BRAF V600 Mutation in Melanoma. J. Transl. Med. 2012, 10, 85. [Google Scholar] [CrossRef]
- Hayward, N.K.; Wilmott, J.S.; Waddell, N.; Johansson, P.A.; Field, M.A.; Nones, K.; Patch, A.-M.; Kakavand, H.; Alexandrov, L.B.; Burke, H.; et al. Whole-Genome Landscapes of Major Melanoma Subtypes. Nature 2017, 545, 175–180. [Google Scholar] [CrossRef]
- Hodis, E.; Watson, I.R.; Kryukov, G.V.; Arold, S.T.; Imielinski, M.; Theurillat, J.-P.; Nickerson, E.; Auclair, D.; Li, L.; Place, C.; et al. A Landscape of Driver Mutations in Melanoma. Cell 2012, 150, 251–263. [Google Scholar] [CrossRef]
- Muñoz-Couselo, E.; Zamora Adelantado, E.; Ortiz Vélez, C.; Soberino-García, J.; Perez-Garcia, J.M. NRAS-Mutant Melanoma: Current Challenges and Future Prospect. OncoTargets Ther. 2017, 10, 3941–3947. [Google Scholar] [CrossRef] [PubMed]
- Luke, J.J.; Flaherty, K.T.; Ribas, A.; Long, G.V. Targeted Agents and Immunotherapies: Optimizing Outcomes in Melanoma. Nat. Rev. Clin. Oncol. 2017, 14, 463–482. [Google Scholar] [CrossRef] [PubMed]
- Volpe, V.O.; Klufas, D.M.; Hegde, U.; Grant-Kels, J.M. The New Paradigm of Systemic Therapies for Metastatic Melanoma. J. Am. Acad. Dermatol. 2017, 77, 356–368. [Google Scholar] [CrossRef] [PubMed]
- Ugurel, S.; Röhmel, J.; Ascierto, P.A.; Flaherty, K.T.; Grob, J.J.; Hauschild, A.; Larkin, J.; Long, G.V.; Lorigan, P.; McArthur, G.A.; et al. Survival of Patients with Advanced Metastatic Melanoma: The Impact of Novel Therapies–Update 2017. Eur. J. Cancer 2017, 83, 247–257. [Google Scholar] [CrossRef] [PubMed]
- Kaufman, H.L.; Margolin, K.; Sullivan, R. Management of Metastatic Melanoma in 2018. JAMA Oncol. 2018, 4, 857. [Google Scholar] [CrossRef] [PubMed]
- Mardaryev, A.N. Method to Study Skin Cancer: Two-Stage Chemically Induced Carcinogenesis in Mouse Skin. In Molecular Dermatology; Botchkareva, V., Westgate, G.E., Eds.; Methods in Molecular Biology; Springer: New York, NY, USA, 2020; Volume 2154, pp. 231–238. ISBN 978-1-07-160647-6. [Google Scholar]
- Garber, J.C. Guide for the Care and Use of Labaratory Animals; Institute for Laboratory Animal Research, Division on Earth and Life Studies, The National Academies Press: Washington, DC, USA, 2011. Available online: https://grants.nih.gov/grants/olaw/guide-for-the-care-and-use-of-laboratory-animals.pdf (accessed on 3 July 2024).
- Fujiwara, K.; Igarashi, J.; Irahara, N.; Kimura, M.; Nagase, H. New Chemically Induced Skin Tumour Susceptibility Loci Identified in a Mouse Backcross between FVB and Dominant Resistant PWK. BMC Genet. 2007, 8, 39. [Google Scholar] [CrossRef]
- Abel, E.L.; Angel, J.M.; Kiguchi, K.; DiGiovanni, J. Multi-Stage Chemical Carcinogenesis in Mouse Skin: Fundamentals and Applications. Nat. Protoc. 2009, 4, 1350–1362. [Google Scholar] [CrossRef]
- Quintanilla, M.; Brown, K.; Ramsden, M.; Balmain, A. Carcinogen-Specific Mutation and Amplification of Ha-Ras during Mouse Skin Carcinogenesis. Nature 1986, 322, 78–80. [Google Scholar] [CrossRef] [PubMed]
- DiGiovanni, J. Multistage Carcinogenesis in Mouse Skin. Pharmacol. Ther. 1992, 54, 63–128. [Google Scholar] [CrossRef]
- Yuspa, S.H. The Pathogenesis of Squamous Cell Cancer: Lessons Learned from Studies of Skin Carcinogenesis. J. Dermatol. Sci. 1998, 17, 1–7. [Google Scholar] [CrossRef] [PubMed]
- Derka, S.; Vairaktaris, E.; Papakosta, V.; Vassiliou, S.; Acil, Y.; Vylliotis, A.; Spyridonidou, S.; Lazaris, A.C.; Mourouzis, C.; Kokkori, A.; et al. Cell Proliferation and Apoptosis Culminate in Early Stages of Oral Oncogenesis. Oral Oncol. 2006, 42, 540–550. [Google Scholar] [CrossRef] [PubMed]
- Goutzanis, L.; Vairaktaris, E.; Yapijakis, C.; Kavantzas, N.; Nkenke, E.; Derka, S.; Vassiliou, S.; Acil, Y.; Kessler, P.; Stavrianeas, N.; et al. Diabetes May Increase Risk for Oral Cancer through the Insulin Receptor Substrate-1 and Focal Adhesion Kinase Pathway. Oral Oncol. 2007, 43, 165–173. [Google Scholar] [CrossRef] [PubMed]
- Vairaktaris, E.; Spyridonidou, S.; Papakosta, V.; Vylliotis, A.; Lazaris, A.; Perrea, D.; Yapijakis, C.; Patsouris, E. The Hamster Model of Sequential Oral Oncogenesis. Oral Oncol. 2008, 44, 315–324. [Google Scholar] [CrossRef] [PubMed]
- Yapijakis, C.; Kalogera, S.; Papakosta, V.; Vassiliou, S. The Hamster Model of Sequential Oral Carcinogenesis: An Update. In Vivo 2019, 33, 1751–1755. [Google Scholar] [CrossRef] [PubMed]
- Wang, Z.; Liu, L.; Wang, M.; Shen, M.; Li, J.; Liu, J.; Li, C.; Xin, C.; Zhu, S.; Mei, Q.; et al. NOTCH1 Regulates Migration and Invasion of Skin Cancer Cells by E-Cadherin Repression. Mol. Cell. Biochem. 2012, 362, 35–41. [Google Scholar] [CrossRef]
- Grose, R.; Fantl, V.; Werner, S.; Chioni, A.-M.; Jarosz, M.; Rudling, R.; Cross, B.; Hart, I.R.; Dickson, C. The Role of Fibroblast Growth Factor Receptor 2b in Skin Homeostasis and Cancer Development. EMBO J. 2007, 26, 1268–1278. [Google Scholar] [CrossRef]
- Nan, H.; Qureshi, A.A.; Hunter, D.J.; Han, J. Genetic Variants in FGFR2 and FGFR4 Genes and Skin Cancer Risk in the Nurses’ Health Study. BMC Cancer 2009, 9, 172. [Google Scholar] [CrossRef]




| NOTCH1 | Control Group | Group A | Group Β | 
|---|---|---|---|
| 0.0 | 5.0 | 45.5 | |
| 0.0 | 15.4 | 52.9 | |
| 0.0 | 43.8 | 60.0 | |
| 0.0 | 6.7 | 33.3 | |
| 0.0 | 27.3 | 60.0 | |
| 0.0 | 50.0 | 57.1 | |
| 0.0 | 50.0 | 0.0 | |
| 0.0 | 0.0 | 60.0 | |
| 62.5 | 62.5 | ||
| 41.2 | 45.5 | ||
| 22.2 | 75.0 | ||
| 88.9 | 50.0 | ||
| 40.0 | 62.5 | ||
| 0.0 | 62.5 | ||
| 57.1 | 75.0 | ||
| 35.3 | 50.0 | ||
| Mean percentage (SD) | 0.0 (0.0) | 34.1 (25.1) | 53.2 (17.8) | 
| Median percentage (IQR) | 0.0 (0.0–0.0) | 37.7 (11.1–50.0) | 58.6 (47.8–62.5) | 
| p + | - | <0.001 | <0.001 | 
| FGFR2 | Control Group | Group A | Group Β | 
|---|---|---|---|
| 0.0 | 57.1 | 36.4 | |
| 0.0 | 53.8 | 82.4 | |
| 0.0 | 75.0 | 100.0 | |
| 0.0 | 26.7 | 33.3 | |
| 0.0 | 31.8 | 80.0 | |
| 0.0 | 50.0 | 54.3 | |
| 0.0 | 62.5 | 13.3 | |
| 0.0 | 75.0 | 64.0 | |
| 25.0 | 50.0 | ||
| 23.5 | 75.0 | ||
| 77.8 | 12.5 | ||
| 44.4 | 66.7 | ||
| 0.0 | 75.0 | ||
| 0.0 | 50.0 | ||
| 28.6 | 90.9 | ||
| 33.3 | 57.1 | ||
| Mean percentage (SD) | 0.0 (0.0) | 41.5 (24.6) | 58.8 (25.7) | 
| Median percentage (IQR) | 0.0 (0.0–0.0) | 38.9 (25.9–59.8) | 60.6 (43.2–77.5) | 
| p + | - | <0.001 | <0.001 | 
| Total Sample | Histological Status | ||||
|---|---|---|---|---|---|
| Normal Histology | Malignant Tumors | Precancerous Lesions | Benign Tumors | ||
| (N = 459) | (N = 16) | (N = 17) | (N = 313) | (N = 113) | |
| NOTCH1 | |||||
| Mean percentage (SD) | 44.3 (49.7) | 18.8 (40.3) | 41.2 (50.7) | 44.6 (49.8) | 47.7 (50.2) | 
| Median percentage (IQR) | 0 (0–100) | 0 (0–0) | 0 (0–100) | 0 (0–100) | 0 (0–100) | 
| p + | 0.168 | 0.043 | 0.030 | ||
| FGFR2 | |||||
| Mean percentage (SD) | 51.3 (50.0) | 12.5 (34.2) | 76.5 (43.7) | 52.2 (50) | 50.4 (50.2) | 
| Median percentage (IQR) | 100 (0–100) | 0 (0–0) | 100 (100–100) | 100 (0–100) | 100 (0–100) | 
| p + | <0.001 | 0.002 | 0.005 | ||
| p ++ | 0.028 | 0.564 | 0.014 | 0.046 | 0.763 | 
| Disclaimer/Publisher’s Note: The statements, opinions and data contained in all publications are solely those of the individual author(s) and contributor(s) and not of MDPI and/or the editor(s). MDPI and/or the editor(s) disclaim responsibility for any injury to people or property resulting from any ideas, methods, instructions or products referred to in the content. | 
© 2024 by the authors. Licensee MDPI, Basel, Switzerland. This article is an open access article distributed under the terms and conditions of the Creative Commons Attribution (CC BY) license (https://creativecommons.org/licenses/by/4.0/).
Share and Cite
Vairaktari, G.; Schramm, A.; Vairaktari, E.; Derka, S.; Sakkas, A.; Lefantzis, N.; Diamantopoulou, S.; Vylliotis, A.; Lazaris, A.; Ebeling, M.; et al. FGFR2 and NOTCH1 Expression Inversely Correlated in Progressive Cutaneous Carcinogenesis in an Experimental Mouse Model. J. Pers. Med. 2024, 14, 729. https://doi.org/10.3390/jpm14070729
Vairaktari G, Schramm A, Vairaktari E, Derka S, Sakkas A, Lefantzis N, Diamantopoulou S, Vylliotis A, Lazaris A, Ebeling M, et al. FGFR2 and NOTCH1 Expression Inversely Correlated in Progressive Cutaneous Carcinogenesis in an Experimental Mouse Model. Journal of Personalized Medicine. 2024; 14(7):729. https://doi.org/10.3390/jpm14070729
Chicago/Turabian StyleVairaktari, Georgia, Alexander Schramm, Efstathia Vairaktari, Spyridoula Derka, Andreas Sakkas, Nikolaos Lefantzis, Stavroula Diamantopoulou, Antonis Vylliotis, Andreas Lazaris, Marcel Ebeling, and et al. 2024. "FGFR2 and NOTCH1 Expression Inversely Correlated in Progressive Cutaneous Carcinogenesis in an Experimental Mouse Model" Journal of Personalized Medicine 14, no. 7: 729. https://doi.org/10.3390/jpm14070729
APA StyleVairaktari, G., Schramm, A., Vairaktari, E., Derka, S., Sakkas, A., Lefantzis, N., Diamantopoulou, S., Vylliotis, A., Lazaris, A., Ebeling, M., & Vassiliou, S. (2024). FGFR2 and NOTCH1 Expression Inversely Correlated in Progressive Cutaneous Carcinogenesis in an Experimental Mouse Model. Journal of Personalized Medicine, 14(7), 729. https://doi.org/10.3390/jpm14070729
 
        

 
       