Commiphora myrrh Supplementation Protects and Cures Ethanol-Induced Oxidative Alterations of Gastric Ulceration in Rats
Abstract
1. Introduction
2. Materials and Methods
2.1. Ethics Statement
2.2. Gas Chromatography-Mass Spectrometry (GC-MS) Analysis
2.3. Commiphora Myrrh
2.4. Animals, Housing, and Experimental Design
2.5. Sampling
2.6. Assessment of Macroscopic Gastric Mucosal Injury
2.7. Histopathological Analysis
2.8. Immunohistochemical Analysis and Quantitative Analysis
2.9. Biochemical Analyses
2.10. mRNA Extraction and Reverse Transcription-Polymerase Chain Reaction (RT-PCR)
2.11. Statistical Analysis
3. Results
3.1. Gas Chromatography-Mass Spectrometry (GC-MS) Analysis
3.2. Macroscopic Gastric Mucosal Injury Investigation
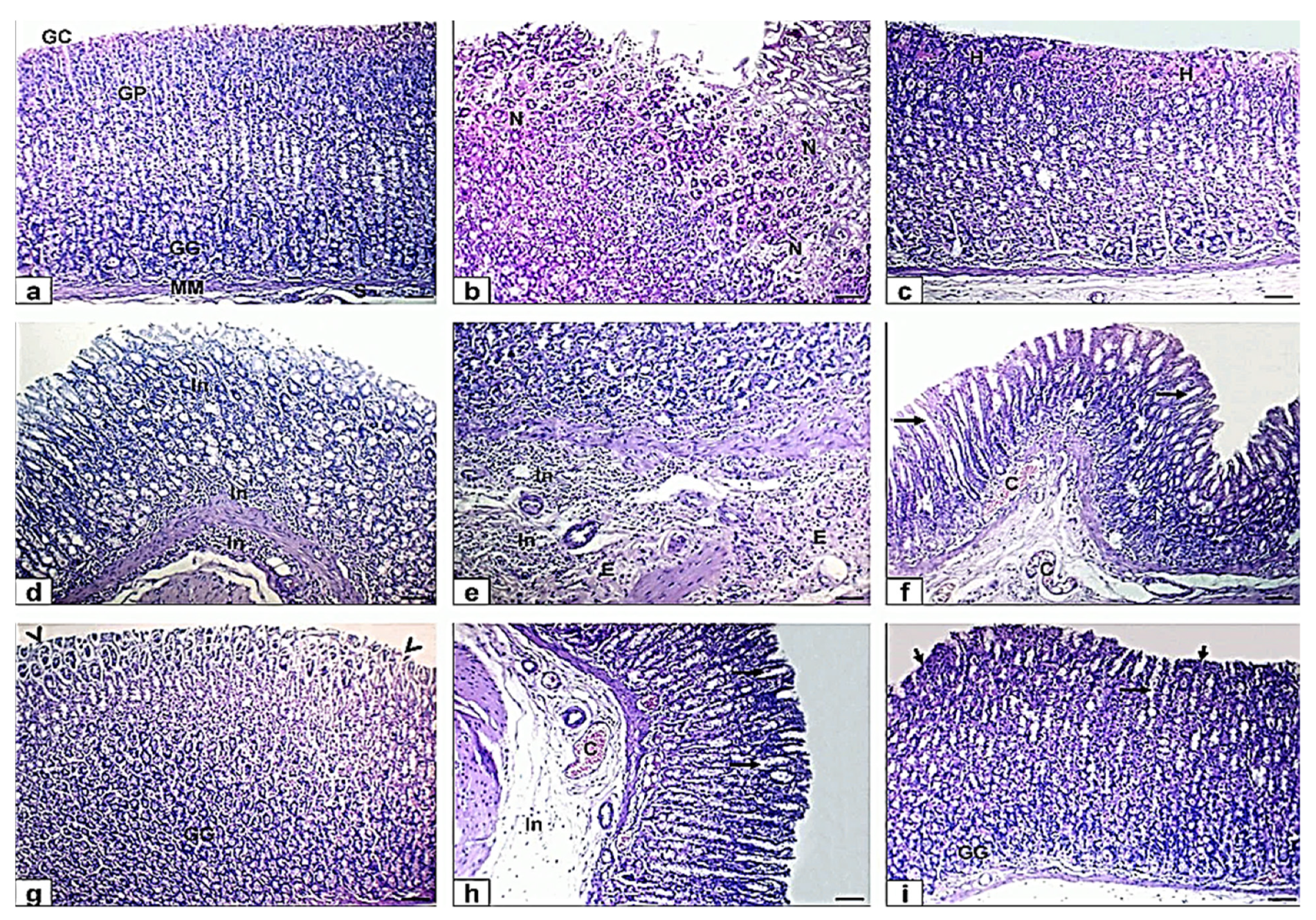
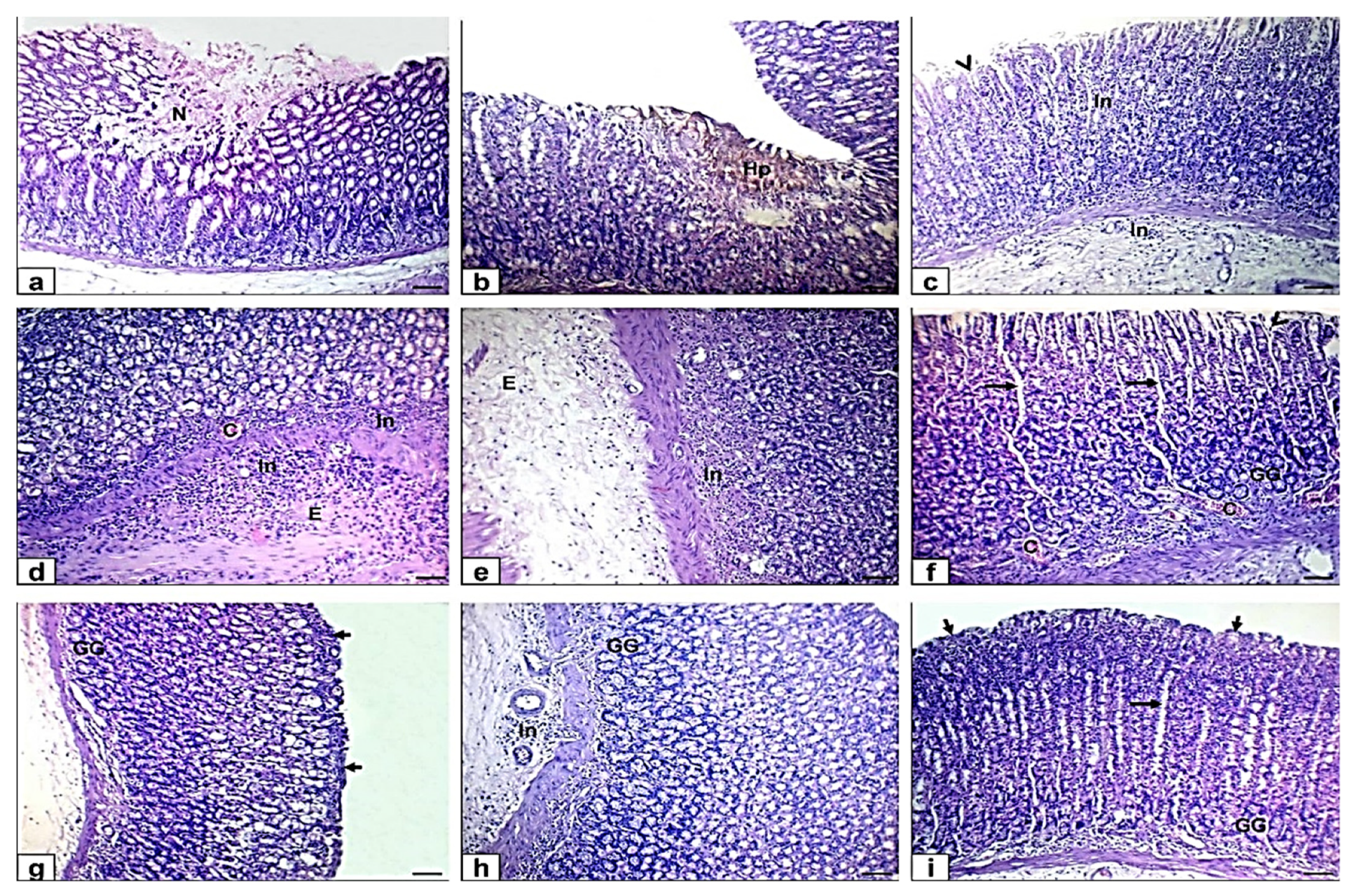
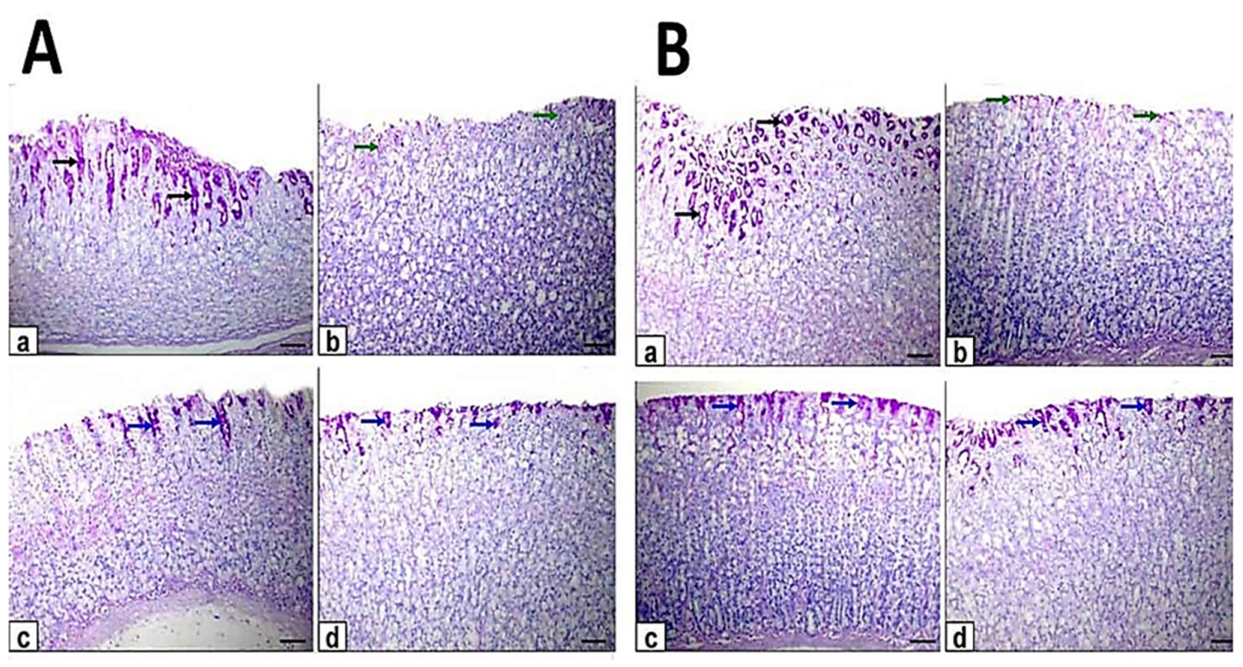
3.3. Histological and Histochemical Assessment
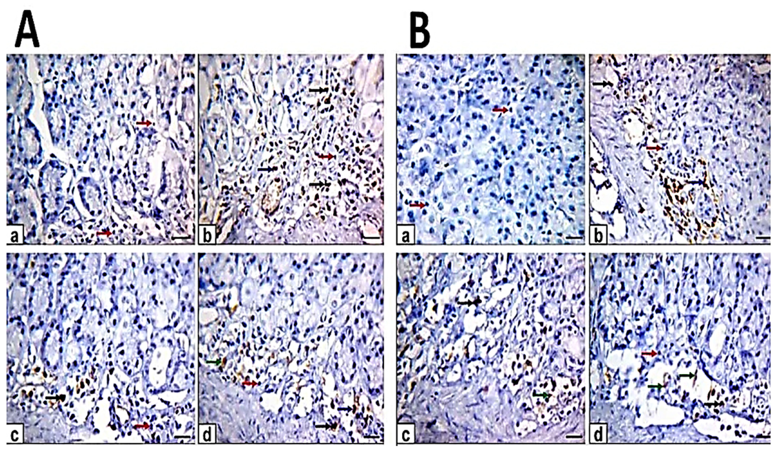
3.4. Immunohistochemical Assessment
3.5. Biochemical Assessment
3.6. RT-PCR Assessment
4. Discussion
5. Conclusions
Supplementary Materials
Author Contributions
Funding
Institutional Review Board Statement
Informed Consent Statement
Data Availability Statement
Conflicts of Interest
References
- Malik, T.F.; Gnanapandithan, K.; Singh, K. Peptic Ulcer Disease; StatPearls Publishing: Treasure Island, FL, USA, 2021.
- Stern, E.; Sugumar, K.; Journey, J.D. Peptic Ulcer Perforated; StatPearls Publishing: Treasure Island, FL, USA, 2021.
- Woolf, A.; Rose, R. Gastric Ulcer; StatPearls Publishing: Treasure Island, FL, USA, 2021.
- Sung, J.J.Y.; Kuipers, E.J.; El-Serag, H.B. Systematic review: The global incidence and prevalence of peptic ulcer disease. Aliment. Pharmacol. Ther. 2009, 29, 938–946. [Google Scholar] [CrossRef] [PubMed]
- Katary, M.A.; Salahuddin, A. Gastroprotective Effect of Punicalagin against Ethanol-Induced Gastric Ulcer: The Possible Underlying Mechanisms. Biomark. J. 2017, 3, 3. [Google Scholar] [CrossRef]
- Narayanan, M.; Reddy, K.M.; Marsicano, E. Peptic Ulcer Disease and Helicobacter pylori infection. Mo. Med. 2018, 115, 219. [Google Scholar]
- Yegen, B.C. Lifestyle and Peptic Ulcer Disease. Curr. Pharm. Des. 2018, 24, 2034–2040. [Google Scholar] [CrossRef]
- Amaral, G.P.; de Carvalho, N.R.; Barcelos, R.P.; Dobrachinski, F.; de Portella, R.L.; da Silva, M.H.; Lugokenski, T.H.; Dias, G.R.M.; da Luz, S.C.A.; Boligon, A.A.; et al. Protective action of ethanolic extract of Rosmarinus officinalis L. in gastric ulcer prevention induced by ethanol in rats. Food Chem. Toxicol. 2013, 55, 48–55. [Google Scholar] [CrossRef]
- Szabo, S.; Yoshida, M.; Filakovszky, J.; Juhasz, G. “Stress” is 80 Years Old: From Hans Selye Original Paper in 1936 to Recent Advances in GI Ulceration. Curr. Pharm. Des. 2017, 23, 4029–4041. [Google Scholar] [CrossRef] [PubMed]
- Zhang, L.; Ren, J.W.; Wong, C.C.M.; Wu, W.K.K.; Ren, S.X.; Shen, J.; Chan, R.L.Y.; Cho, C.H. Effects of cigarette smoke and its active components on ulcer formation and healing in the gastrointestinal mucosa. Curr. Med. Chem. 2012, 19, 63–69. [Google Scholar] [CrossRef]
- Bjarnason, I.; Scarpignato, C.; Holmgren, E.; Olszewski, M.; Rainsford, K.D.; Lanas, A. Mechanisms of Damage to the Gastrointestinal Tract From Nonsteroidal Anti-Inflammatory Drugs. Gastroenterology 2018, 154, 500–514. [Google Scholar] [CrossRef] [PubMed]
- Lebda, M.A.; El-Far, A.H.; Noreldin, A.E.; Elewa, Y.H.A.; Al Jaouni, S.K.; Mousa, S.A. Protective Effects of Miswak (Salvadora persica) against Experimentally Induced Gastric Ulcers in Rats. Oxid. Med. Cell. Longev. 2018, 2018, 6703296. [Google Scholar] [CrossRef]
- Sidahmed, H.M.A.; Hashim, N.M.; Abdulla, M.A.; Ali, H.M.; Mohan, S.; Abdelwahab, S.I.; Taha, M.M.E.; Fai, L.M.; Vadivelu, J. Antisecretory, gastroprotective, antioxidant and anti-Helicobcter pylori activity of zerumbone from Zingiber zerumbet (L.) Smith. PLoS ONE 2015, 10, e0121060. [Google Scholar] [CrossRef] [PubMed]
- Jiang, Y.; Zhang, T.; Kusumanchi, P.; Han, S.; Yang, Z.; Liangpunsakul, S. Alcohol Metabolizing Enzymes, Microsomal Ethanol Oxidizing System, Cytochrome P450 2E1, Catalase, and Aldehyde Dehydrogenase in Alcohol-Associated Liver Disease. Biomedicines 2020, 8, 50. [Google Scholar] [CrossRef]
- Suo, H.; Zhao, X.; Qian, Y.; Sun, P.; Zhu, K.; Li, J.; Sun, B. Lactobacillus fermentum Suo Attenuates HCl/Ethanol Induced Gastric Injury in Mice through Its Antioxidant Effects. Nutrients 2016, 8, 155. [Google Scholar] [CrossRef] [PubMed]
- Serafim, C.; Araruna, M.E.; Júnior, E.A.; Diniz, M.; Hiruma-Lima, C.; Batista, L. A Review of the Role of Flavonoids in Peptic Ulcer (2010–2020). Molecules 2020, 25, 5431. [Google Scholar] [CrossRef]
- Haffor, A.S.A. Effect of Commiphora molmol on leukocytes proliferation in relation to histological alterations before and during healing from injury. Saudi J. Biol. Sci. 2010, 17, 139–146. [Google Scholar] [CrossRef] [PubMed][Green Version]
- Su, S.; Wang, T.; Duan, J.-A.; Zhou, W.; Hua, Y.-Q.; Tang, Y.-P.; Yu, L.; Qian, D.-W. Anti-inflammatory and analgesic activity of different extracts of Commiphora myrrha. J. Ethnopharmacol. 2011, 134, 251–258. [Google Scholar] [CrossRef] [PubMed]
- Tipton, D.A.; Lyle, B.; Babich, H.; Dabbous, M.K. In vitro cytotoxic and anti-inflammatory effects of myrrh oil on human gingival fibroblasts and epithelial cells. Toxicol. In Vitro 2003, 17, 301–310. [Google Scholar] [CrossRef]
- Ashry, K.M.; El-Sayed, Y.S.; Khamiss, R.M.; El-Ashmawy, I.M. Oxidative stress and immunotoxic effects of lead and their amelioration with myrrh (Commiphora molmol) emulsion. Food Chem. Toxicol. 2010, 48, 236–241. [Google Scholar] [CrossRef]
- Elsakhawy, T.; ALKahtani, M.D.F.; Sharshar, A.A.H.; Attia, K.A.; Hafez, Y.M.; Abdelaal, K.A.A. Efficacy of Mushroom Metabolites (Pleurotus ostreatus) as A Natural Product for the Suppression of Broomrape Growth (Orobanche crenata Forsk) in Faba Bean Plants. Plants 2020, 9, 1265. [Google Scholar] [CrossRef]
- Al-wabel, N.A.; Hassan, A.; Abbas, H.M.H. Antiulcerogenic Effect of Camel Milk Against Ethanol Induced Gastric Ulcers in Rats. WebmedCentral Vet. Med. 2012, 3, 1–13. [Google Scholar]
- Bozkurt, A.; Yüksel, M.; Haklar, G.; Kurtel, H.; Yeǧen, B.C.; Alican, I. Adenosine protects against indomethacin-induced gastric damage in rats. Dig. Dis. Sci. 1998, 43, 1258–1263. [Google Scholar] [CrossRef]
- Das, D.; Banerjee, R.K. Effect of stress on the antioxidant enzymes and gastric ulceration. Mol. Cell. Biochem. 1993, 125, 115–125. [Google Scholar] [CrossRef]
- Bancroft, J.D.; Layton, C. The Hematoxylin and eosin. In Theory Practice of Histological Techniques, 7th ed.; Suvarna, S.K., Layton, C., Bancroft, J.D., Eds.; Churchill Livingstone of ElSevier: Philadelphia, PA, USA, 2013. [Google Scholar]
- Mahmoud, Y.I.; Abd El-Ghffar, E.A. Spirulina ameliorates aspirin-induced gastric ulcer in albino mice by alleviating oxidative stress and inflammation. Biomed. Pharmacother. 2019, 109, 314–321. [Google Scholar] [CrossRef]
- Pfaffl, M.W. A new mathematical model for relative quantification in real-time RT-PCR. Nucleic Acids Res. 2001, 29, e45. [Google Scholar] [CrossRef] [PubMed]
- Boutemine, I.-M.; Amri, M.; Amir, Z.-C.; Fitting, C.; Mecherara-Idjeri, S.; Layaida, K.; Sennoun, N.; Berkane, S.; Cavaillon, J.-M.; Touil-Boukoffa, C. Gastro-protective, therapeutic and anti-inflammatory activities of Pistacia lentiscus L. fatty oil against ethanol-induced gastric ulcers in rats. J. Ethnopharmacol. 2018, 224, 273–282. [Google Scholar] [CrossRef]
- de Souza, M.C.; Vieira, A.J.; Beserra, F.P.; Pellizzon, C.H.; Nóbrega, R.H.; Rozza, A.L. Gastroprotective effect of limonene in rats: Influence on oxidative stress, inflammation and gene expression. Phytomedicine 2019, 53, 37–42. [Google Scholar] [CrossRef]
- Lin, K.; Wang, Y.; Gong, J.; Tan, Y.; Deng, T.; Wei, N. Protective effects of total flavonoids from Alpinia officinarum rhizoma against ethanol-induced gastric ulcer in vivo and in vitro. Pharm. Biol. 2020, 58, 854–862. [Google Scholar] [CrossRef]
- Ibrahim, B.M.M.; Salama, A.A.A.; Abdallah, H.M.I.; El Awdan, S.A.; Shaffie, N.M. Study of the Protective Effects of Flaxseed Oil on Ethanol Induced Gastric Mucosal Lesions in Non Ovariectomized and Ovariectomized Rats. Int. J. Pharmacol. 2016, 12, 329–339. [Google Scholar] [CrossRef]
- AL-Yahya, A.A.I. Antiulcer effect of commiphora molmol Engl. (Burceraceae) oleo-gum-resin and its interaction with ranitidine, as demonstrated by histological studies. Biosci. Biotechnol. Res. Asia 2015, 12, 1931–1936. [Google Scholar] [CrossRef][Green Version]
- Shen, T.; Li, G.-H.; Wang, X.-N.; Lou, H.-X. The genus Commiphora: A review of its traditional uses, phytochemistry and pharmacology. J. Ethnopharmacol. 2012, 142, 319–330. [Google Scholar] [CrossRef] [PubMed]
- Zhou, B.; Zhang, W.; Wu, Y.; Yang, Y.; Wang, N.; Li, J.; Fu, T.; Wang, L.; Di, L. Improved efficacy of Panax notoginseng saponin loaded into BSP/alginate microspheres for the treatment of alcoholic gastric ulcers. Int. J. Pharm. 2021, 596, 120218. [Google Scholar] [CrossRef]
- Zhang, Y.; Wang, H.; Mei, N.; Ma, C.; Lou, Z.; Lv, W.; He, G.H. Protective effects of polysaccharide from Dendrobium nobile against ethanol-induced gastric damage in rats. Int. J. Biol. Macromol. 2018, 107, 230–235. [Google Scholar] [CrossRef]
- Li, X.M.; Miao, Y.; Su, Q.Y.; Yao, J.C.; Li, H.H.; Zhang, G.M. Gastroprotective effects of arctigenin of Arctium lappa L. On a rat model of gastric ulcers. Biomed. Rep. 2016, 5, 589–594. [Google Scholar] [CrossRef]
- Zhang, Q.; Feng, L. Protective effect of polaprezinc on acute gastric mucosal injury in rats. Zhong Nan Da Xue Xue Bao Yi Xue Ban 2019, 44, 22–27. [Google Scholar] [CrossRef] [PubMed]
- Yanaka, A. Role of NRF2 in protection of the gastrointestinal tract against oxidative stress. J. Clin. Biochem. Nutr. 2018, 63, 18–25. [Google Scholar] [CrossRef]
- Zhang, Y.; Jia, J.; Ding, Y.; Ma, Y.; Shang, P.; Liu, T.; Hui, G.; Wang, L.; Wang, M.; Zhu, Z.; et al. Alpha-boswellic acid protects against ethanol-induced gastric injury in rats: Involvement of nuclear factor erythroid-2-related factor 2/heme oxygenase-1 pathway. J. Pharm. Pharmacol. 2016, 68, 514–522. [Google Scholar] [CrossRef]
- Fatani, A.J.; Alrojayee, F.S.; Parmar, M.Y.; Abuohashish, H.M.; Ahmed, M.M.; Al-Rejaie, S.S. Myrrh attenuates oxidative and inflammatory processes in acetic acid-induced ulcerative colitis. Exp. Ther. Med. 2016, 12, 730–738. [Google Scholar] [CrossRef] [PubMed]
- Mahmoud, A.M.; Germoush, M.O.; Al-Anazi, K.M.; Mahmoud, A.H.; Farah, M.A.; Allam, A.A. Commiphora molmol protects against methotrexate-induced nephrotoxicity by up-regulating Nrf2/ARE/HO-1 signaling. Biomed. Pharmacother. 2018, 106, 499–509. [Google Scholar] [CrossRef]
- Mahmoud, A.M.; Alqahtani, S.; Othman, S.I.; Germoush, M.O.; Hussein, O.E.; Al-Basher, G.; Khim, J.S.; Al-Qaraawi, M.A.; Al-Harbi, H.M.; Fadel, A.; et al. Commiphora molmol Modulates Glutamate-Nitric Oxide-cGMP and Nrf2/ARE/HO-1 Pathways and Attenuates Oxidative Stress and Hematological Alterations in Hyperammonemic Rats. Oxid. Med. Cell. Longev. 2017, 2017, 7369671. [Google Scholar] [CrossRef] [PubMed]
- Xu, J.; Guo, Y.; Li, Y.; Zhao, P.; Liu, C.; Ma, Y.; Gao, J.; Hou, W.; Zhang, T. Sesquiterpenoids from the resinous exudates of Commiphora myrrha and their neuroprotective effects. Planta Med. 2011, 77, 2023–2028. [Google Scholar] [CrossRef]
- Li, W.; Yao, H.; Niu, X.; Wang, Y.; Zhang, H.; Li, H.; Mu, Q. Protective effect of δ-amyrone against ethanol-induced gastric ulcer in mice. Immunobiology 2015, 220, 798–806. [Google Scholar] [CrossRef]
- Yang, X.; Yang, L.; Pan, D.; Liu, H.; Xia, H.; Wang, S.; Sun, G. Wheat peptide protects against ethanol-induced gastric mucosal damage through downregulation of TLR4 and MAPK. J. Funct. Foods 2020, 75, 104271. [Google Scholar] [CrossRef]
- Zhang, J.-M.; An, J. Cytokines, inflammation, and pain. Int. Anesthesiol. Clin. 2007, 45, 27–37. [Google Scholar] [CrossRef]
- Arab, H.H.; Salama, S.A.; Eid, A.H.; Kabel, A.M.; Shahin, N.N. Targeting MAPKs, NF-κB, and PI3K/AKT pathways by methyl palmitate ameliorates ethanol-induced gastric mucosal injury in rats. J. Cell. Physiol. 2019, 234, 22424–22438. [Google Scholar] [CrossRef] [PubMed]
- Lima-Júnior, R.C.P.; Figueiredo, A.A.; Freitas, H.C.; Melo, M.L.P.; Wong, D.V.T.; Leite, C.A.V.G.; Medeiros, R.P.; Marques-Neto, R.D.; Vale, M.L.; Brito, G.A.C.; et al. Involvement of nitric oxide on the pathogenesis of irinotecan-induced intestinal mucositis: Role of cytokines on inducible nitric oxide synthase activation. Cancer Chemother. Pharmacol. 2012, 69, 931–942. [Google Scholar] [CrossRef]
- Al-Quraishy, S.; Othman, M.S.; Dkhil, M.A.; Abdel Moneim, A.E. Olive (Olea europaea) leaf methanolic extract prevents HCl/ethanol-induced gastritis in rats by attenuating inflammation and augmenting antioxidant enzyme activities. Biomed. Pharmacother. 2017, 91, 338–349. [Google Scholar] [CrossRef] [PubMed]
- Morikawa, T.; Matsuda, H.; Yoshikawa, M. A Review of Anti-inflammatory Terpenoids from the Incense Gum Resins Frankincense and Myrrh. J. Oleo Sci. 2017, 66, 805–814. [Google Scholar] [CrossRef]
- Su, S.; Duan, J.; Chen, T.; Huang, X.; Shang, E.; Yu, L.; Wei, K.; Zhu, Y.; Guo, J.; Guo, S.; et al. Frankincense and myrrh suppress inflammation via regulation of the metabolic profiling and the MAPK signaling pathway. Sci. Rep. 2015, 5, 13668. [Google Scholar] [CrossRef] [PubMed]
- Tian, M.; Dong, J.; Wang, Z.; Lu, S.; Geng, F. The effects and mechanism of Kangfuxin on improving healing quality and preventing recurrence of gastric ulcer. Biomed. Pharmacother. 2021, 138, 111513. [Google Scholar] [CrossRef]
- Ahluwalia, A.; Brzozowski, T.; Jones, M.K.; Ichikawa, Y.; Tarnawski, A.S. Formation of new blood vessels during gastric ulcer healing. Role of bone marrow derived endothelial progenitor cells. J. Physiol. Pharmacol. 2017, 68, 585–589. [Google Scholar]
- Zheng, H.; Chen, Y.; Zhang, J.; Wang, L.; Jin, Z.; Huang, H.; Man, S.; Gao, W. Evaluation of protective effects of costunolide and dehydrocostuslactone on ethanol-induced gastric ulcer in mice based on multi-pathway regulation. Chem. Biol. Interact. 2016, 250, 68–77. [Google Scholar] [CrossRef]
- Bhattacharyya, A.; Chattopadhyay, R.; Mitra, S.; Crowe, S.E. Oxidative stress: An essential factor in the pathogenesis of gastrointestinal mucosal diseases. Physiol. Rev. 2014, 94, 329–354. [Google Scholar] [CrossRef]
- Barboza, J.N.; da Silva Maia Bezerra Filho, C.; Silva, R.O.; Medeiros, J.V.R.; de Sousa, D.P. An Overview on the Anti-inflammatory Potential and Antioxidant Profile of Eugenol. Oxid. Med. Cell. Longev. 2018, 2018, 3957262. [Google Scholar] [CrossRef] [PubMed]
- Al Asmari, A.; Al Shahrani, H.; Al Masri, N.; Al Faraidi, A.; Elfaki, I.; Arshaduddin, M. Vanillin abrogates ethanol induced gastric injury in rats via modulation of gastric secretion, oxidative stress and inflammation. Toxicol. Rep. 2016, 3, 105–113. [Google Scholar] [CrossRef] [PubMed]
- Su, S.; Hua, Y.; Wang, Y.; Gu, W.; Zhou, W.; Duan, J.; Jiang, H.; Chen, T.; Tang, Y. Evaluation of the anti-inflammatory and analgesic properties of individual and combined extracts from Commiphora myrrha, and Boswellia carterii. J. Ethnopharmacol. 2012, 139, 649–656. [Google Scholar] [CrossRef]
- Alfky, N.A.A.; Mustafa, R.A.; Header, E.A.; Sawy, N.A.E.; Al-Kushi, A.G.; Alfky, N.A.A.; Mustafa, R.A.; Header, E.A.; Sawy, N.A.E.; Al-Kushi, A.G. Antiulcer Activities of Commiphora molmol (Myrrh) Extract in Male Rats. Open J. Gastroenterol. 2016, 6, 300–309. [Google Scholar] [CrossRef][Green Version]
- Al-Wajeeh, N.S.; Hajerezaie, M.; Noor, S.M.; Halabi, M.F.; Al-Henhena, N.; Azizan, A.H.S.; Kamran, S.; Hassandarvish, P.; Shwter, A.N.; Karimian, H.; et al. The gastro protective effects of Cibotium barometz hair on ethanol-induced gastric ulcer in Sprague-Dawley rats. BMC Vet. Res. 2017, 13, 27. [Google Scholar] [CrossRef]







| Retention Time (Minute) | Phytochemical Compounds of Myrrh Oil | Area (%) | 
|---|---|---|
| 9.15 | Eugenol | 11.96 | 
| 22.42 | Elaidic acid, methyl ester | 43.52 | 
| 30.17 | Sitosterol | 17.57 | 
| 32.18 | Thunbergol | 11.32 | 
| Retention Time (Minute) | Phytochemical Compounds of Myrrh Extract | Area (%) | 
|---|---|---|
| 3.50 | Diglycerol | 10.24 | 
| 4.52 | Glycerin | 16.09 | 
| 9.17 | Phenol, 2-methoxy-5-(1-Propenyl)-, (E)- | 1.48 | 
| 11.95 | 1-Dodecanamine,N,N-dimethyl | 15.33 | 
| 15.75 | 1-Tetradecanamine,N,N-dimethyl- | 7.47 | 
| 15.75 | nizatidine | 7.47 | 
| 16.19 | 17-Octadecynoic acid | 1.18 | 
| 19.62 | Hexadecanoic acid, methyl ester | 1.51 | 
| 22.40 | Oleic acid | 14.68 | 
| 22.40 | 11-Octadecenoic acid, methyl ester | 14.68 | 
| 22.48 | Trans-13-octadecenoic acid, methyl ester | 2.36 | 
| 22.57 | 2-Methylenebrexane | 7.44 | 
| 22.57 | 1-(Dimethylamino)-2-(benzy lamino)propane | 7.44 | 
| 22.81 | Heptadecanoic acid, 16-methyl-, methyl ester | 1.42 | 
| 23.41 | Ethyl oleate | 0.99 | 
| 24.42 | 9,12-Octadecadienal, dimethyl acetal | 2.51 | 
| 25.62 | N-Methyl-N-benzyltetradecanamine | 1.80 | 
| Prevention | Treatment | |||||||
|---|---|---|---|---|---|---|---|---|
| Control | EtOH | MO-EtOH | ME-EtOH | Control | EtOH | EtOH-MO | EtOH-ME | |
| Ulcer index | 0.00 ± 0.00 c | 5.08 ± 0.18 a | 3.34 ± 0.19 b | 3.25 ± 0.22 b | 0.00 ± 0.00 c | 1.10 ± 0.17 a | 0.78 ± 0.15 ab | 0.60 ± 0.20 b | 
| Ulcer | Prevention | Treatment | ||||||||||||||||||||||
|---|---|---|---|---|---|---|---|---|---|---|---|---|---|---|---|---|---|---|---|---|---|---|---|---|
| 1 h | 7 Days | MO-EtOH | ME-EtOH | EtOH-MO | EtOH-ME | |||||||||||||||||||
| − | + | ++ | +++ | − | + | ++ | +++ | − | + | ++ | +++ | − | + | ++ | +++ | − | + | ++ | +++ | − | + | ++ | +++ | |
| Coagulative necrosis | 0 | 1 | 1 | 3 | 0 | 2 | 2 | 1 | 2 | 2 | 1 | 3 | 1 | 1 | 3 | 2 | 0 | 0 | 3 | 2 | 0 | 0 | ||
| Congestion of blood vessel | 0 | 1 | 2 | 2 | 0 | 2 | 2 | 1 | 2 | 1 | 1 | 1 | 2 | 2 | 1 | 0 | 2 | 3 | 0 | 0 | 2 | 3 | 0 | 0 | 
| Hemorrhages | 0 | 1 | 2 | 2 | 0 | 2 | 2 | 1 | 5 | 0 | 0 | 0 | 5 | 0 | 0 | 0 | 5 | 0 | 0 | 0 | 5 | 0 | 0 | 0 | 
| Edema | 0 | 0 | 2 | 3 | 0 | 2 | 2 | 1 | 2 | 1 | 1 | 1 | 2 | 2 | 1 | 0 | 2 | 3 | 0 | 0 | 2 | 3 | 0 | 0 | 
| Inflammatory cell infiltration | 0 | 1 | 1 | 3 | 0 | 1 | 3 | 1 | 2 | 1 | 2 | 0 | 2 | 2 | 1 | 0 | 2 | 2 | 1 | 0 | 2 | 3 | 0 | 0 | 
| Wide gastric pit | 0 | 1 | 2 | 2 | 1 | 2 | 2 | 0 | 2 | 1 | 1 | 1 | 2 | 2 | 1 | 0 | 2 | 2 | 1 | 0 | 2 | 3 | 0 | 0 | 
| Ulcerative gastric surface | 0 | 1 | 2 | 2 | 1 | 2 | 2 | 1 | 2 | 1 | 2 | 0 | 2 | 2 | 1 | 0 | 2 | 3 | 0 | 0 | 2 | 3 | 0 | 0 | 
| Intact gastric surface | 5 | 0 | 0 | 0 | 3 | 2 | 0 | 0 | 0 | 1 | 3 | 1 | 0 | 1 | 2 | 2 | 0 | 1 | 2 | 2 | 0 | 0 | 2 | 3 | 
| Prevention | Treatment | |||||||
|---|---|---|---|---|---|---|---|---|
| Control | EtOH | MO-EtOH | ME-EtOH | Control | EtOH | EtOH-MO | EtOH-ME | |
| PAS (Area %) | 31.20 ± 0.35 a | 5.82 ± 0.22 d | 11.64 ± 0.22 c | 15.94 ± 0.20 b | 31.20 ± 0.35 a | 18.52 ± 0.11 d | 22.92 ± 0.19 c | 26.18 ± 0.17 b | 
| PCNA (Area %) | 17.74 ± 0.18 a | 3.74 ± 0.22 d | 8.36 ± 0.12 c | 9.72 ± 0.17 b | 17.74 ± 0.18 a | 6.72 ± 0.14 d | 11.92 ± 0.13 c | 14.18 ± 0.11 b | 
| Caspase-3 (Area %) | 6.50 ± 0.30 d | 26.20 ± 0.30 a | 21.74 ± 0.26 b | 17.02 ± 0.13 c | 6.50 ± 0.30 d | 15.42 ± 0.14 a | 11.56 ± 0.23 b | 9.34 ± 0.21 c | 
| TNF-α (Area %) | 0.46 ± 0.13 d | 15.16 ± 0.25 a | 12.34 ± 0.19 b | 9.54 ± 0.19 c | 0.46 ± 0.13 d | 9.50 ± 0.12 a | 7.76 ± 0.08 b | 5.86 ± 0.15 c | 
| Prevention | Treatment | |||||||
|---|---|---|---|---|---|---|---|---|
| Control | EtOH | MO-EtOH | ME-EtOH | Control | EtOH | EtOH-MO | EtOH-ME | |
| MDA (nmol/g tissue) | 9.93 ± 0.73 c | 28.63 ± 1.03 a | 15.88 ± 0.41 b | 14.23 ± 0.49 b | 11.46 ± 0.32 b | 15.33 ± 0.68 a | 12.71 ± 0.39 b | 12.39 ± 0.25 b | 
| Total GSH (nmol/mg protein) | 5.80 ± 0.18 a | 4.40 ± 0.08 c | 4.83 ± 0.18 bc | 5.20 ± 0.13 b | 5.60 ± 0.24 a | 4.73 ± 0.14 b | 4.99 ± 0.20 b | 5.15 ± 0.12 ab | 
| GSSG (nmol/mg protein) | 0.38 ± 0.01 c | 0.66 ± 0.03 a | 0.49 ± 0.03 b | 0.44 ± 0.03 bc | 0.34 ± 0.01 b | 0.41 ± 0.01 a | 0.38 ± 0.02 b | 0.37 ± 0.02 b | 
| GSH (nmol/mg protein) | 5.04 ± 0.15 a | 3.08 ± 0.02 d | 3.85 ± 0.13 c | 4.31 ± 0.12 b | 4.92 ± 0.22 a | 3.91 ± 0.12 b | 4.24 ± 0.18 b | 4.40 ± 0.09 b | 
| GSH/GSSG ratio | 13.25 ± 0.10 a | 4.80 ± 0.21 d | 7.96 ± 0.24 c | 9.94 ± 0.83 b | 14.43 ± 0.21 a | 9.62 ± 0.04 c | 11.24 ± 0.50 b | 11.95 ± 0.75 b | 
| Prevention | Treatment | |||||||
|---|---|---|---|---|---|---|---|---|
| Control | EtOH | MO-EtOH | ME-EtOH | Control | EtOH | EtOH-MO | EtOH-ME | |
| NOx (nmol/mg protein) | 6.50 ± 0.23 b | 13.70 ± 0.64 a | 5.76 ± 0.39 b | 5.20 ± 0.46 b | 6.62 ± 0.18 a | 6.86 ±0.41 a | 6.14 ± 0.28 a | 6.00 ± 0.32 a | 
| Nrf2 (pg/mg protein) | 125.88 ± 3.31 a | 67.21 ± 2.63 c | 109.50 ± 5.0 b | 106.24 ± 5.85 b | 124.36 ± 2.11 a | 96.70 ± 3.81 b | 117.06 ± 3.60 a | 120.96 ±1.47 a | 
| Prevention | Treatment | |||||||
|---|---|---|---|---|---|---|---|---|
| Control | EtOH | MO-EtOH | ME-EtOH | Control | EtOH | EtOH-MO | EtOH-ME | |
| iNOS | 0.97 ± 0.09 c | 2.58 ± 0.12 a | 1.36 ± 0.06 b | 1.39 ± 0.05 b | 0.99 ± 0.09 c | 1.58 ± 0.06 a | 1.30 ± 0.14 b | 1.17 ± 0.04 bc | 
| α -SMA | 0.99 ± 0.05 c | 3.17 ± 0.21 a | 1.09 ± 0.04 c | 1.47 ± 0.11 b | 1.04 ± 0.12 b | 1.52 ± 0.04 a | 1.11 ± 0.08 b | 1.04 ± 0.07 b | 
| TLR4 | 0.95 ± 0.16 b | 3.60 ± 0.31 a | 1.35 ± 0.10 b | 1.09 ± 0.07 b | 0.98 ± 0.15 b | 1.66 ± 0.21 a | 1.03 ± 0.08 b | 0.98 ± 0.08 b | 
| Publisher’s Note: MDPI stays neutral with regard to jurisdictional claims in published maps and institutional affiliations. | 
© 2021 by the authors. Licensee MDPI, Basel, Switzerland. This article is an open access article distributed under the terms and conditions of the Creative Commons Attribution (CC BY) license (https://creativecommons.org/licenses/by/4.0/).
Share and Cite
Lebda, M.A.; Mostafa, R.E.; Taha, N.M.; Abd El-Maksoud, E.M.; Tohamy, H.G.; Al Jaouni, S.K.; El-Far, A.H.; Elfeky, M.S. Commiphora myrrh Supplementation Protects and Cures Ethanol-Induced Oxidative Alterations of Gastric Ulceration in Rats. Antioxidants 2021, 10, 1836. https://doi.org/10.3390/antiox10111836
Lebda MA, Mostafa RE, Taha NM, Abd El-Maksoud EM, Tohamy HG, Al Jaouni SK, El-Far AH, Elfeky MS. Commiphora myrrh Supplementation Protects and Cures Ethanol-Induced Oxidative Alterations of Gastric Ulceration in Rats. Antioxidants. 2021; 10(11):1836. https://doi.org/10.3390/antiox10111836
Chicago/Turabian StyleLebda, Mohamed A., Rabab E. Mostafa, Nabil M. Taha, Eman M. Abd El-Maksoud, Hossam G. Tohamy, Soad K. Al Jaouni, Ali H. El-Far, and Mohamed S. Elfeky. 2021. "Commiphora myrrh Supplementation Protects and Cures Ethanol-Induced Oxidative Alterations of Gastric Ulceration in Rats" Antioxidants 10, no. 11: 1836. https://doi.org/10.3390/antiox10111836
APA StyleLebda, M. A., Mostafa, R. E., Taha, N. M., Abd El-Maksoud, E. M., Tohamy, H. G., Al Jaouni, S. K., El-Far, A. H., & Elfeky, M. S. (2021). Commiphora myrrh Supplementation Protects and Cures Ethanol-Induced Oxidative Alterations of Gastric Ulceration in Rats. Antioxidants, 10(11), 1836. https://doi.org/10.3390/antiox10111836
 
         
                                                


 
       