Molecular Networking and Bioassay-Guided Preparation and Separation of Active Extract and Constituents from Vicia tenuifolia Roth
Abstract
:1. Introduction
2. Materials and Methods
2.1. Plant Materials
2.2. Selection of Organs for Extraction
2.3. LC-MS/MS Conditions and Molecular Network Experiments
2.4. Selective Optimization Using Organic Solvent, Time, and Temperature for Extraction
2.5. Antioxidant Assay
2.6. Total Phenolic Content (TPC) Assay
2.7. Total Flavonoid Content (TFC) Assay
2.8. Extraction and Separation of Compounds (1–22)
Spectroscopic Data of Compounds 1, 15, and 22
2.9. Anti-Inflammatory Assay
2.9.1. Cell Culture and Cell Viability
2.9.2. Measurement of NO Production
2.9.3. Measurement of IL-8 Production
2.9.4. IL-1β Assay
2.10. In Silico Study
2.11. Western Blotting Assay
2.12. Statistical Analysis
3. Results
3.1. Selection of V. tenuifolia Organ Based on Molecular Networking Guidance
3.2. Optimization of Extraction Method
3.3. Anti-Inflammatory Capacity of Active Fraction
3.4. Antioxidant Effect, Total Phenolic (TPC), and Total Flavonoids (TFC) Contents of Extract and Fractions
3.5. Structural Elucidation of 22 Constituents
3.6. Biological Activities of Isolated Compounds
3.7. Molecular Docking Analysis
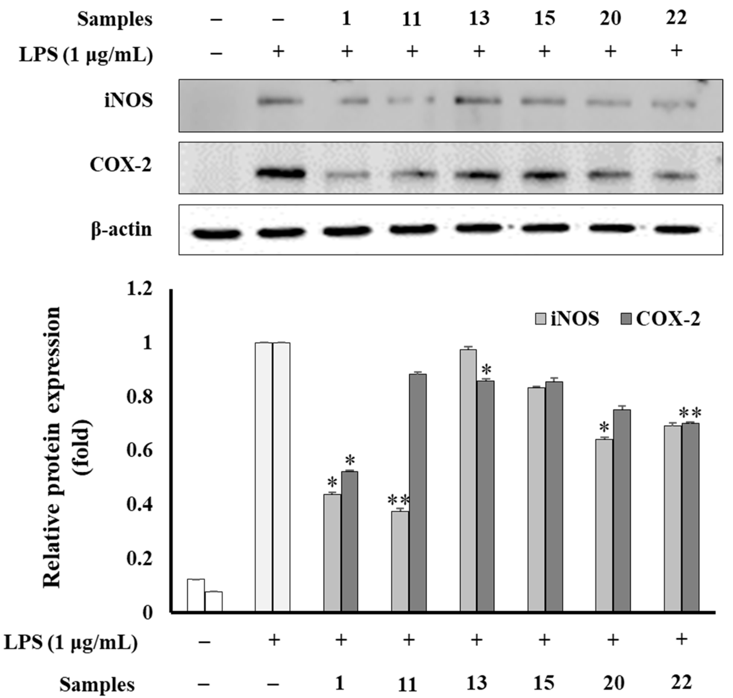
3.8. Western Blot Analysis
4. Discussion
5. Conclusions
Supplementary Materials
Author Contributions
Funding
Informed Consent Statement
Data Availability Statement
Conflicts of Interest
References
- Kałużna, A.; Olczyk, P.; Komosińska-Vassev, K. The role of innate and adaptive immune cells in the pathogenesis and development of the inflammatory response in ulcerative colitis. J. Clin. Med. 2022, 11, 400. [Google Scholar] [CrossRef]
- Bamias, G.; Arseneau, K.O.; Cominelli, F. Cytokines and mucosal immunity. Curr. Opin. Gastroenterol. 2014, 30, 547–552. [Google Scholar] [CrossRef]
- Brynskov, J.; Nielsen, O.H.; Ahnfelt-Rønne, I.; Bendtzen, K. Cytokines (immunoinflammatory hormones) and their natural regulation in inflammatory bowel disease (Crohn’s Disease and Ulcerative Colitis): A review. Dig. Dis. 2008, 12, 290–304. [Google Scholar] [CrossRef]
- Sanchez-Munoz, F.; Dominguez-Lopez, A.; Yamamoto-Furusho, J.-K. Role of cytokines in inflammatory bowel disease. World J. Gastroenterol. 2008, 14, 4280–4288. [Google Scholar] [CrossRef]
- Ley, S.H.; Hamdy, O.; Mohan, V.; Hu, F.B. Prevention and management of type 2 diabetes: Dietary components and nutritional strategies. Lancet 2014, 383, 1999–2007. [Google Scholar] [CrossRef]
- Bazzano, L.A.; Thompson, A.M.; Tees, M.T.; Nguyen, C.H.; Winham, D.M. Non-soy legume consumption lowers cholesterol levels: A meta-analysis of randomized controlled trials. Nutr. Metab. Cardiovasc. Dis. 2011, 21, 94–103. [Google Scholar] [CrossRef]
- Megías, C.; Cortés-Giraldo, I.; Girón-Calle, J.; Alaiz, M.; Vioque, J. Characterization of Vicia (Fabaceae) seed water extracts with potential immunomodulatory and cell antiproliferative activities. J. Food Biochem. 2018, 42, e12578. [Google Scholar] [CrossRef]
- Pastor-Cavada, E.; Juan, R.; Pastor, J.E.; Alaiz, M.; Vioque, J. Fatty acid distribution in the seed flour of wild Vicia species from southern Spain. J. Am. Oil Chem. Soc. 2009, 86, 977–983. [Google Scholar] [CrossRef]
- Pastor-Cavada, E.; Juan, R.; Pastor, J.E.; Alaiz, M.; GirÓN-Calle, J.; Vioque, J. Antioxidative activity in the seeds of 28 vicia species from southern Spain. J. Food Biochem. 2011, 35, 1373–1380. [Google Scholar] [CrossRef]
- Yang, M.H.; Ha, I.J.; Ahn, J.; Kim, C.-K.; Lee, M.; Ahn, K.S. Potential function of loliolide as a novel blocker of epithelial-mesenchymal transition in colorectal and breast cancer cells. Cell. Signal. 2023, 105, 110610. [Google Scholar] [CrossRef]
- Yang, J.Y.; Sanchez, L.M.; Rath, C.M.; Liu, X.; Boudreau, P.D.; Bruns, N.; Glukhov, E.; Wodtke, A.; de Felicio, R.; Fenner, A.; et al. Molecular networking as a dereplication strategy. J. Nat. Prod. 2013, 76, 1686–1699. [Google Scholar] [CrossRef]
- Crüsemann, M.; O’Neill, E.C.; Larson, C.B.; Melnik, A.V.; Floros, D.J.; da Silva, R.R.; Jensen, P.R.; Dorrestein, P.C.; Moore, B.S. Prioritizing natural product diversity in a collection of 146 bacterial strains based on growth and extraction protocols. J. Nat. Prod. 2017, 80, 588–597. [Google Scholar] [CrossRef] [PubMed]
- Woo, S.; Kang, K.B.; Kim, J.; Sung, S.H. Molecular networking reveals the chemical diversity of Selaginellin derivatives, natural phosphodiesterase-4 inhibitors from Selaginella tamariscina. J. Nat. Prod. 2019, 82, 1820–1830. [Google Scholar] [CrossRef] [PubMed]
- Olivon, F.; Apel, C.; Retailleau, P.; Allard, P.M.; Wolfender, J.L.; Touboul, D.; Roussi, F.; Litaudon, M.; Desrat, S. Searching for original natural products by molecular networking: Detection, isolation and total synthesis of chloroaustralasines. Org. Chem. Front. 2018, 5, 2171–2178. [Google Scholar] [CrossRef]
- Zhang, F.-X.; Li, M.; Yao, Z.-H.; Li, C.; Qiao, L.-R.; Shen, X.-Y.; Yu, K.; Dai, Y.; Yao, X.-S. A target and nontarget strategy for identification or characterization of the chemical ingredients in Chinese herb preparation Shuang-Huang-Lian oral liquid by ultra-performance liquid chromatography–quadrupole time-of-flight mass spectrometry. Biomed. Chromatogr. 2018, 32, e4110. [Google Scholar] [CrossRef] [PubMed]
- Le, D.; Han, S.; Ahn, J.; Yu, J.; Kim, C.-K.; Lee, M. Analysis of Antioxidant Phytochemicals and Anti-Inflammatory Effect from Vitex rotundifolia L.f. Antioxidants 2022, 11, 454. [Google Scholar] [CrossRef]
- Le, D.D.; Min, K.H.; Lee, M. Antioxidant and anti-Inflammatory capacities of fractions and constituents from Vicia tetrasperma. Antioxidants 2023, 12, 1044. [Google Scholar] [CrossRef]
- Kim, C.-K.; Yu, J.; Le, D.; Han, S.; Yu, S.; Lee, M. Anti-inflammatory activity of caffeic acid derivatives from Ilex rotunda. Int. Immunopharmacol. 2023, 115, 109610. [Google Scholar] [CrossRef]
- Le, D.; Han, S.; Min, K.H.; Lee, M. Anti-Inflammatory Activity of Compounds Derived from Vitex rotundifolia. Metabolites 2023, 13, 249. [Google Scholar] [CrossRef]
- Li, X.; Zhang, J.-Y.; Gao, W.-Y.; Wang, Y.; Wang, H.-Y.; Cao, J.-G.; Huang, L.-Q. Chemical composition and anti-inflammatory and antioxidant activities of eight pear cultivars. J. Agric. Food Chem. 2012, 60, 8738–8744. [Google Scholar] [CrossRef]
- Shraim, A.M.; Ahmed, T.A.; Rahman, M.M.; Hijji, Y.M. Determination of total flavonoid content by aluminum chloride assay: A critical evaluation. LWT 2021, 150, 111932. [Google Scholar] [CrossRef]
- Le, D.D.; Han, S.; Yu, J.; Ahn, J.; Kim, C.-K.; Lee, M. Iridoid derivatives from Vitex rotundifolia L. f. with their anti-inflammatory activity. Phytochemistry 2023, 210, 113649. [Google Scholar] [CrossRef] [PubMed]
- Azizah, M.; Pripdeevech, P.; Thongkongkaew, T.; Mahidol, C.; Ruchirawat, S.; Kittakoop, P. UHPLC-ESI-QTOF-MS/MS-Based Molecular Networking Guided Isolation and Dereplication of Antibacterial and Antifungal Constituents of Ventilago denticulata. Antibiotics 2020, 9, 606. [Google Scholar] [CrossRef] [PubMed]
- Slimestad, R.; Fossen, T.; Brede, C. Flavonoids and other phenolics in herbs commonly used in Norwegian commercial kitchens. Food Chem. 2020, 309, 125678. [Google Scholar] [CrossRef]
- Chang, S.W.; Du, Y.E.; Qi, Y.; Lee, J.S.; Goo, N.; Koo, B.K.; Bae, H.J.; Ryu, J.H.; Jang, D.S. New Depsides and Neuroactive Phenolic Glucosides from the Flower Buds of Rugosa Rose (Rosa rugosa). J. Agric. Food Chem. 2019, 67, 7289–7296. [Google Scholar] [CrossRef]
- Wang, H.; Du, Y.-J.; Song, H.-C. α-Glucosidase and α-amylase inhibitory activities of guava leaves. Food Chem. 2010, 123, 6–13. [Google Scholar] [CrossRef]
- Iwashina, T.; Yamaguchi, M.-a.; Nakayama, M.; Onozaki, T.; Yoshida, H.; Kawanobu, S.; Ono, H.; Okamura, M. Kaempferol glycosides in the flowers of Carnation and their contribution to the Creamy white flower color. Nat. Prod. Commun. 2010, 5, 1934578X1000501213. [Google Scholar] [CrossRef]
- Lee, Y.-S.; Kim, S.-H.; Yuk, H.J.; Lee, G.-J.; Kim, D.-S. Tetragonia tetragonoides (Pall.) Kuntze (New Zealand Spinach) Prevents Obesity and Hyperuricemia in High-Fat Diet-Induced Obese Mice. Nutrients 2018, 10, 1087. [Google Scholar] [CrossRef]
- Park, Y.; Moon, B.-H.; Yang, H.; Lee, Y.; Lee, E.; Lim, Y. Complete assignments of NMR data of 13 hydroxymethoxyflavones. Magn. Reson. Chem. 2007, 45, 1072–1075. [Google Scholar] [CrossRef]
- Liu, G.; Zhuang, L.; Song, D.; Lu, C.; Xu, X. Isolation, purification, and identification of the main phenolic compounds from leaves of celery (Apium graveolens L. var. dulce Mill./Pers.). J. Sep. Sci. 2017, 40, 472–479. [Google Scholar] [CrossRef]
- Pinheiro, P.G.; Santiago, G.M.P.; da Silva, F.E.F.; de Araújo, A.C.J.; de Oliveira, C.R.T.; Freitas, P.R.; Rocha, J.E.; Neto, J.B.d.A.; da Silva, M.M.C.; Tintino, S.R.; et al. Ferulic acid derivatives inhibiting Staphylococcus aureus tetK and MsrA efflux pumps. Biotechnol. Rep. 2022, 34, e00717. [Google Scholar] [CrossRef] [PubMed]
- Johnsson, P.; Peerlkamp, N.; Kamal-Eldin, A.; Andersson, R.E.; Andersson, R.; Lundgren, L.N.; Åman, P. Polymeric fractions containing phenol glucosides in flaxseed. Food Chem. 2002, 76, 207–212. [Google Scholar] [CrossRef]
- Rasmussen, S.; Wolff, C.; Rudolph, H. 4′-O-β-d-glucosyl-cis-p-coumaric acid—A natural constituent of Sphagnum fallax cultivated in bioreactors. Phytochemistry 1996, 42, 81–87. [Google Scholar] [CrossRef]
- Lee, M.; Phillips, R.S. Fluorine substituent effects for tryptophan in 13C nuclear magnetic resonance. Magn. Reson. Chem. 1992, 30, 1035–1040. [Google Scholar] [CrossRef]
- Choi, J.-d.; Kim, J.-H.; Lee, J.H.; Young, H.S.; Lee, T.-S. Isolation of adenosine and free amino acid composition from the leaves of Allium tuberosum. J. Korean Soc. Food Sci. Nutr. 1992, 21, 286–290. [Google Scholar]
- Kim, S.C.; Moon, M.i.; Lee, H.a.; Kim, J.; Chang, M.; Cha, J. Skin care benefits of bioactive compounds isolated from Zanthoxylum piperitum DC. (Rutaceae). Trop. J. Pharm. Res. 2019, 18, 2385–2390. [Google Scholar] [CrossRef]
- Nishina, A.; Itagaki, M.; Suzuki, Y.; Koketsu, M.; Ninomiya, M.; Sato, D.; Suzuki, T.; Hayakawa, S.; Kuroda, M.; Kimura, H. Effects of Flavonoids and Triterpene Analogues from Leaves of Eleutherococcus sieboldianus (Makino) Koidz. ‘Himeukogi’ in 3T3-L1 Preadipocytes. Molecules 2017, 22, 671. [Google Scholar] [CrossRef]
- Pereira, C.; Barreto Júnior, C.B.; Kuster, R.M.; Simas, N.K.; Sakuragui, C.M.; Porzel, A.; Wessjohann, L. Flavonoids and a neolignan glucoside from Guarea macrophylla (Meliaceae). Química Nova 2012, 35, 1123–1126. [Google Scholar] [CrossRef]
- Hasler, A.; Gross, G.-A.; Meier, B.; Sticher, O. Complex flavonol glycosides from the leaves of Ginkgo biloba. Phytochemistry 1992, 31, 1391–1394. [Google Scholar] [CrossRef]
- Hou, W.-C.; Lin, R.-D.; Lee, T.-H.; Huang, Y.-H.; Hsu, F.-L.; Lee, M.-H. The phenolic constituents and free radical scavenging activities of Gynura formosana Kiamnra. J. Sci. Food Agric. 2005, 85, 615–621. [Google Scholar] [CrossRef]
- Hur, J.-M.; Park, J.-C.; Hwang, Y.-H. Aromatic acid and flavonoids from the leaves of Zanthoxylum piperitum. Nat. Prod. Sci. 2001, 7, 23–26. [Google Scholar]
- Cedeño, H.; Espinosa, S.; Andrade, J.M.; Cartuche, L.; Malagón, O. Novel Flavonoid Glycosides of Quercetin from Leaves and Flowers of Gaiadendron punctatum G.Don. (Violeta de Campo), used by the Saraguro Community in Southern Ecuador, Inhibit α-Glucosidase Enzyme. Molecules 2019, 24, 4267. [Google Scholar] [CrossRef] [PubMed]
- Merina, A.J.; Kesavan, D.; Sulochana, D. Isolation and antihyperglycemic activity of flavonoid from flower petals of Opuntia stricta. Pharm. Chem. J. 2011, 45, 317–321. [Google Scholar] [CrossRef]
- Materska, M.; Piacente, S.; Stochmal, A.; Pizza, C.; Oleszek, W.; Perucka, I. Isolation and structure elucidation of flavonoid and phenolic acid glycosides from pericarp of hot pepper fruit Capsicum annuum L. Phytochemistry 2003, 63, 893–898. [Google Scholar] [CrossRef] [PubMed]
- Siciliano, T.; De Tommasi, N.; Morelli, I.; Braca, A. Study of flavonoids of Sechium edule (Jacq) Swartz (Cucurbitaceae) different edible organs by liquid chromatography photodiode array mass spectrometry. J. Agric. Food Chem. 2004, 52, 6510–6515. [Google Scholar] [CrossRef]
- Quinn, R.A.; Nothias, L.-F.; Vining, O.; Meehan, M.; Esquenazi, E.; Dorrestein, P.C. Molecular networking as a drug discovery, drug Metabolism, and precision medicine strategy. Trends Pharmacol. Sci. 2017, 38, 143–154. [Google Scholar] [CrossRef]
- Allard, S.; Allard, P.-M.; Morel, I.; Gicquel, T. Application of a molecular networking approach for clinical and forensic toxicology exemplified in three cases involving 3-MeO-PCP, doxylamine, and chlormequat. Drug Test. Anal. 2019, 11, 669–677. [Google Scholar] [CrossRef]
- Sheibanie, A.F.; Yen, J.-H.; Khayrullina, T.; Emig, F.; Zhang, M.; Tuma, R.; Ganea, D. The proinflammatory effect of prostaglandin E2 in experimental inflammatory bowel disease is mediated through the IL-23→IL-17 axis. J. Immunol. 2007, 178, 8138–8147. [Google Scholar] [CrossRef]
- Greenhough, A.; Smartt, H.J.M.; Moore, A.E.; Roberts, H.R.; Williams, A.C.; Paraskeva, C.; Kaidi, A. The COX-2/PGE 2 pathway: Key roles in the hallmarks of cancer and adaptation to the tumour microenvironment. Carcinogenesis 2009, 30, 377–386. [Google Scholar] [CrossRef]









| Position | 1 | 15 | 22 | |||
|---|---|---|---|---|---|---|
| 1 | - | 107.5 | - | - | - | - | 
| 2 | - | 157.0 | - | 158.7 | - | 164.6 | 
| 3 | 6.50 (1H, d, 2.3) | 101.9 | - | 134.9 | 6.84 (1H, s) | 103.6 | 
| 4 | - | 157.3 | - | 179.9 | - | 179.8 | 
| 5 | 6.21 (1H, d, 2.3) | 104.0 | - | 150.4 | - | 160.8 | 
| 6 | - | 150.3 | - | 129.0 | 6.44 (1H, brs) | 97.8 | 
| 7 | 3.45 (1H, d, 17.0) 3.62 (1H, d, 17.0) | 29.0 | 6.24 (1H, s) | 158.1 | - | 163.0 | 
| 8 | - | 169.3 | - | 100.0 | 6.79 (1H, brs) | 94.5 | 
| 9 | - | - | - | 158.4 | - | 156.9 | 
| 10 | - | - | - | 104.8 | - | 105.1 | 
| 1′ | - | 117.9 | - | 122.9 | - | 122.8 | 
| 2′ | 7.11 (1H, d, 1.9) | 105.2 | 8.09 (1H, d, 8.9) | 132.3 | 7.46 (1H, d, 2.4) | 112.9 | 
| 3′ | - | 148.0 | 6.90 (1H, d, 8.9) | 116.3 | - | 146.6 | 
| 4′ | - | 140.3 | - | 161.7 | - | 151.3 | 
| 5′ | - | 145.5 | 6.90 (1H, d, 8.9) | 116.3 | 7.10 (1H, d, 8.6) | 111.9 | 
| 6′ | 7.16 (1H, d, 1.9) | 111.1 | 8.09 (1H, d, 8.9) | 132.3 | 7.57 (1H, dd, 2.4, 8.6) | 118.6 | 
| 7′ | - | 163.8 | - | - | - | - | 
| OCH3 | 3.78 (3H, s) | 55.9 | 3.87 (3H, s) | 61.9 | 3.87 (3H, s) | 55.5 | 
| Glucosyl | 2-O-Glc | 3-O-Glc | 7-O-Glc | |||
| 1″ | 4.66 (1H, d, 7.3) | 103.4 | 5.45 (1H, d, 7.6) | 100.9 | 5.18 (1H, d, 7.3) | 99.1 | 
| 2″ | 3.20 (m) | 73.2 | 3.74 (1H, m) | 82.6 | 3.53 (1H, m) | 76.5 | 
| 3″ | 3.29 (m) | 77.0 | 3.59 ((1H, d, 8.9) | 77.9 | 3.50 (1H, m) | 76.8 | 
| 4″ | 3.15 (m) | 69.3 | 3.35 (overlap) | 71.3 | 3.20 (1H, m) | 69.5 | 
| 5″ | 3.22 (m) | 76.3 | 3.18 (1H, m) | 78.3 | 3.43 (1H, m) | 75.4 | 
| 6″ | 3.44 (m) 3.67 (m) | 60.6 | 3.47 (1H, dd, 5.7, 11.9) 3.70 (1H, m) | 62.6 | 3.45 (1H, m) 3.73 (1H, m) | 60.3 | 
| Glycosyl | 8-O-Rha | 2″-O-Glc | 2″-O-Api | |||
| 1‴ | 5.65 (1H, d, 1.8) | 94.0 | 4.74 (1H, d, 7.4) | 104.8 | 5.35 (1H, d, 1.5) | 108.5 | 
| 2‴ | 3.49 (m) | 69.4 | 3.36 (overlap) | 75.6 | 3.74 (1H, d, 1.5) | 75.8 | 
| 3‴ | 3.23 (m) | 70.1 | 3.35 (overlap) | 77.9 | - | 78.9 | 
| 4‴ | 3.15 (m) | 71.4 | 3.33 (overlap) | 71.1 | 3.66 (1H, d, 9.4) 3.91 (1H, d, 9.4) | 73.8 | 
| 5‴ | 3.29 (m) | 70.7 | 3.28 (overlap) | 78.2 | 3.31 (overlap) | 64.0 | 
| 6‴ | 0.96 (1H, d, 6.2) | 17.7 | 3.30 3.35 (overlap) 3.65 (1H, m) | 62.4 | - | - | 
| Disclaimer/Publisher’s Note: The statements, opinions and data contained in all publications are solely those of the individual author(s) and contributor(s) and not of MDPI and/or the editor(s). MDPI and/or the editor(s) disclaim responsibility for any injury to people or property resulting from any ideas, methods, instructions or products referred to in the content. | 
© 2023 by the authors. Licensee MDPI, Basel, Switzerland. This article is an open access article distributed under the terms and conditions of the Creative Commons Attribution (CC BY) license (https://creativecommons.org/licenses/by/4.0/).
Share and Cite
Le, D.D.; Yu, S.; Dang, T.; Lee, M. Molecular Networking and Bioassay-Guided Preparation and Separation of Active Extract and Constituents from Vicia tenuifolia Roth. Antioxidants 2023, 12, 1876. https://doi.org/10.3390/antiox12101876
Le DD, Yu S, Dang T, Lee M. Molecular Networking and Bioassay-Guided Preparation and Separation of Active Extract and Constituents from Vicia tenuifolia Roth. Antioxidants. 2023; 12(10):1876. https://doi.org/10.3390/antiox12101876
Chicago/Turabian StyleLe, Duc Dat, Soojung Yu, Thinhulinh Dang, and Mina Lee. 2023. "Molecular Networking and Bioassay-Guided Preparation and Separation of Active Extract and Constituents from Vicia tenuifolia Roth" Antioxidants 12, no. 10: 1876. https://doi.org/10.3390/antiox12101876
APA StyleLe, D. D., Yu, S., Dang, T., & Lee, M. (2023). Molecular Networking and Bioassay-Guided Preparation and Separation of Active Extract and Constituents from Vicia tenuifolia Roth. Antioxidants, 12(10), 1876. https://doi.org/10.3390/antiox12101876
 
        


 
                         
       