Effect of Nanoencapsulation on the Antimicrobial and Antibiofilm Activities of Algerian Origanum glandulosum Desf. against Multidrug-Resistant Clinical Isolates
Abstract
:1. Introduction
2. Materials and Methods
2.1. Study Design
2.2. Identification of Clinical Isolate
2.3. Antibiotic Susceptibility Test
2.4. Phenotypic Detection of MDR Strains
2.5. Screening of Biofilm Production
2.6. Plant Material and Extraction
2.7. Nanoencapsulation and Nanoemulsion Formulation
2.8. Bacterial Strains
2.9. Antimicrobial Activity
2.9.1. Agar Diffusion Method
2.9.2. Broth Microdilution Assay
2.10. Chemical Composition of HD Oil and Its Nanoparticles
2.11. Particle Size and z-Potential
2.12. Antimicrobial Assay
2.12.1. Agar Diffusion Assay
2.12.2. Broth Microdillution Assay
2.13. Effect of Nanoformulations and Essential Oil of O. glandulosum on Biofilm Formation
3. Results and Discussion
3.1. Volatile Constituents of O. glandulosum Desf. Oil and Its Nanoparticles
3.2. Particle Size and z-Potential of Nanoparticles
3.3. Clinical Bacterial Isolates According to Specimens
3.4. Analysis of Clinical Bacterial Isolates According to the Department
3.5. Antibiotic Resistance Frequency of MDR
3.6. Phenotypic Detection of MDR Isolates
3.7. Antibacterial Activity
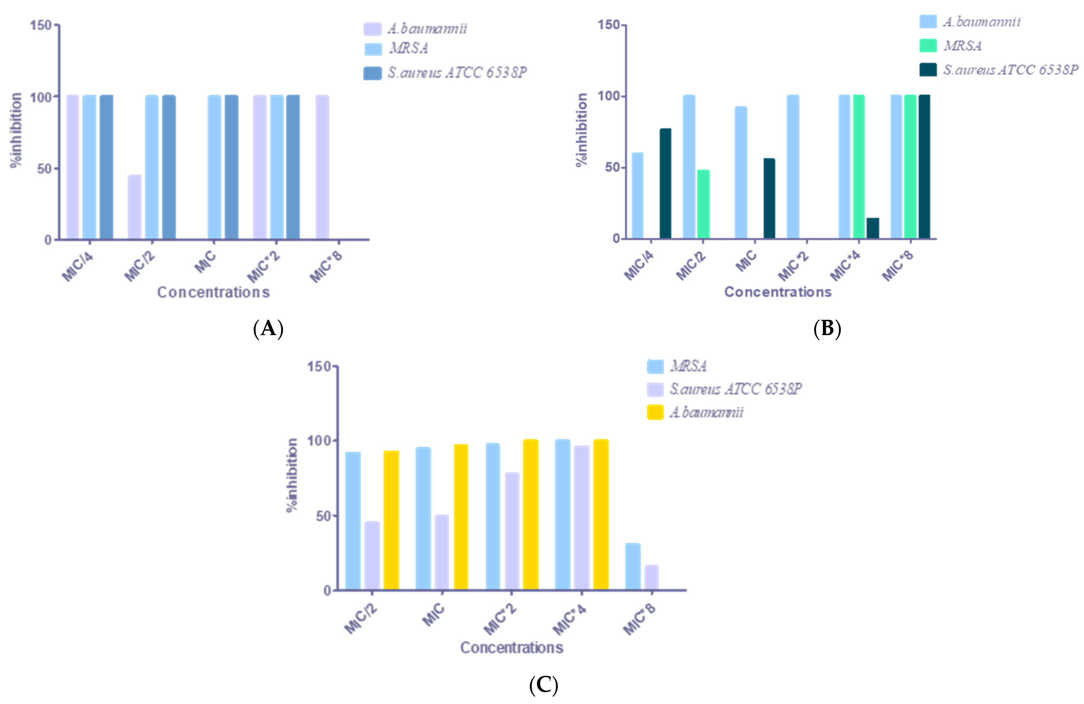
3.8. Antibiofilm Activity
4. Conclusions
Author Contributions
Funding
Institutional Review Board Statement
Informed Consent Statement
Data Availability Statement
Acknowledgments
Conflicts of Interest
References
- Renuka, K.; Kapil, A.; Kabra, S.K.; Wig, N.; Das, B.K.; Prasad, V.V.; Chaudhry, R.; Seth, P. Reduced susceptibility to ciprofloxacin and gyra gene mutation in north Indian strains of Salmonella enterica serotype Typhi and serotype Paratyphi A. Microb. Drug Resist. 2004, 10, 146–153. [Google Scholar] [CrossRef] [PubMed]
- Unemo, M.; Shafer, W.M. Antimicrobial Resistance in Neisseria gonorrhoeae in the 21st Century: Past, Evolution, and Future. Clin. Microbiol. Rev. 2014, 27, 587–613. [Google Scholar] [CrossRef] [Green Version]
- Sandasi, M.; Leonard, C.M.; Viljoen, A.M. The in vitro antibiofilm activity of selected culinary herbs and medicinal plants against Listeria monocytogenes. Lett. Appl. Microbiol. 2010, 50, 30–35. [Google Scholar] [CrossRef]
- Van Duin, D.; Paterson, D.L. Multidrug-Resistant Bacteria in the Community: Trends and Lessons Learned. Infect. Dis. Clin. North Am. 2016, 30, 377–390. [Google Scholar] [CrossRef] [PubMed] [Green Version]
- Szczepanski, S.; Lipski, A. Essential oils show specific inhibiting effects on bacterial biofilm formation. Food Control. 2014, 36, 224–229. [Google Scholar] [CrossRef]
- Kim, Y.G.; Lee, J.H.; Gwon, G.; Kim, S.; Park, J.G.; Lee, J. Essential Oils and Eugenols Inhibit Biofilm Formation and the Virulence of Escherichia coli O157:H7. Sci. Rep. 2016, 6, 36377. [Google Scholar] [CrossRef] [PubMed] [Green Version]
- Nabti, Z.L.; Sahli, F.; Laouar, H.; Olowo-okere, A.; Nkuimi Wandjou, J.G.; Maggi, F. Chemical Composition and Antibacterial Activity of Essential Oils from the Algerian Endemic Origanum glandulosum Desf. against Multidrug-Resistant Uropathogenic E. coli Isolates. Antibiotics 2020, 9, 29. [Google Scholar] [CrossRef] [PubMed] [Green Version]
- Doost, S.A.; Nasrabadi, M.N.; Kassozi, V.; Nakisozi, H.; van der Meeren, P. Recent advances in food colloidal delivery systems for essential oils and their main components. Trends Food Sci. Technol. 2020, 99, 474–486. [Google Scholar] [CrossRef] [Green Version]
- Reichling, J. Anti-biofilm and virulence factor-reducing activities of essential oils and oil components as a possible option for bacterial infection control. Planta Medica 2020, 86, 520–537. [Google Scholar] [CrossRef] [PubMed]
- Cappuccino, G.J.; Sherman, N. Biochemical activities of microorganisms. In Microbiology: A Laboratory Manual, 6th ed.; Pearson Education USA: Upper Saddle River, NJ, USA, 2001; Volume 5, pp. 133–194. [Google Scholar]
- Cheesbrough, M. Microbiological test. In District Laboratory Practice in Tropical Countries, 2nd ed.; Cambridge University Press: Cambridge, UK, 2009; Volume 7, pp. 1–226. [Google Scholar] [CrossRef]
- Jonathan, N. Screening for extended-spectrum beta-lactamase-producing pathogenic enterobacteria in district general hospitals. J. Clin. Microbiol. 2005, 43, 1488–1490. [Google Scholar] [CrossRef] [PubMed] [Green Version]
- Tan, T.Y.; Yong Ng, L.S.; He, J.; Koh, T.H.; Hsu, L.Y. Evaluation of screening methods to detect plasmid-mediated AmpC in Escherichia coli, Klebsiella pneumoniae, and Proteus mirabilis. Antimicrob. Agents Chemother. 2009, 53, 146–149. [Google Scholar] [CrossRef] [PubMed] [Green Version]
- Hidri, N.; Ploy, M.-C. Instauration et surveillance d’un traitement antibiotique. In Bacteriologie Medicale, 2nd ed.; Denis, F., Ploy, M.-C., Martin, C., Bingen, E., Quentin, R., Eds.; Elsevier Masson: Paris, France, 2016; Volume 42, pp. 585–594. [Google Scholar]
- Saxena, S.; Banerjee, G.; Garg, R.; Singh, M. Comparative Study of Biofilm Formation in Pseudomonas aeruginosa Isolates from Patients of Lower Respiratory Tract Infection. J. Clin. Diagn. Res. 2014, 8, DC09–DC11. [Google Scholar] [CrossRef] [PubMed]
- Duong, V.-A.; Nguyen, T.-T.-L.; Maeng, H.-J. Preparation of Solid Lipid Nanoparticles and Nanostructured Lipid Carriers for Drug Delivery and the Effects of Preparation Parameters of Solvent Injection Method. Molecules 2020, 25, 4781. [Google Scholar] [CrossRef] [PubMed]
- Daoud, A.; Malika, D.; Bakari, S.; Hfaiedh, N.; Mnafgui, K.; Kadri, A.; Gharsallah, N. Assessment of polyphenol composition, antioxidant and antimicrobial properties of various extracts of date palm pollen (DPP) from two Tunisian cultivars. Arab. J. Chem. 2019, 12, 3075–3086. [Google Scholar] [CrossRef] [Green Version]
- Natarajan, D.; Britto, S.J.; Srinivasan, K.; Nagamurugan, N.; Mohanasundari, C.; Perumal, G. Anti-bacterial activity of Euphorbia fusiformis a rare medicinal herb. J. Ethnopharmacol. 2005, 102, 123–126. [Google Scholar] [CrossRef] [PubMed]
- Taleb, M.H.; Abdeltawab, N.F.; Shamma, R.N.; Abdelgayed, S.S.; Mohamed, S.S.; Farag, M.A.; Ramadan, M.A. Origanum vulgare L. Essential Oil as a Potential Anti-Acne Topical Nanoemulsion—In Vitro and In Vivo Study. Molecules 2018, 23, 2164. [Google Scholar] [CrossRef] [PubMed] [Green Version]
- Ali, H.; Al-Khalifa, A.R.; Aouf, A.; Boukhebti, H.; Farouk, A. The effect of nanoencapsulation and nanoemulsion on the chemical structure and biological activity of Algerian Origanum glandulosum. Sci. Rep. 2020, 10, 2812. [Google Scholar] [CrossRef] [PubMed] [Green Version]
- Adams, R. Identification of Essential Oil Components by Gas. Chromatography/Mass Spectroscopy, 4th ed.; Allured Publishing Corporation: Carol Stream, IL, USA, 2007. [Google Scholar]
- Fraja, A.; Jaafara, F.; Martib, M.; Coderchb, L.; Ladharia, N. A comparative study of oregano (Origanum vulgare L.) essential oil-based polycaprolactone nanocapsules/microspheres: Preparation, physicochemical characterization, and storage stability. Ind. Crops Prod. 2019, 140, 1–18. [Google Scholar] [CrossRef]
- Gómez-Sequeda, N.; Cáceres, M.; Stashenko, E.E.; Hidalgo, W.; Ortiz, C. Antimicrobial and Antibiofilm Activities of Essential Oils against Escherichia coli O157:H7 and Methicillin-Resistant Staphylococcus aureus (MRSA). Antibiotics 2020, 9, 730. [Google Scholar] [CrossRef] [PubMed]
- Nabet, N.; Boudries, H.; Loupassaki, S.; Souagui, S.; Madani, K.; Carbonell-Barrachina, Á.A. Chemical composition, antimicrobial and antioxidant activities of Thymus fontanesii Boiss. et Reut. and Origanum glandulosum Desf. essential oils. Int. Food Res. J. 2017, 24, 2518–2525. [Google Scholar]
- Farouk, A.; Ali, H.; Al-Khalifa, A.R.; Mohsen, M.; Fikry, R. Aroma volatile compounds of parsley cultivated in the Kingdom of Saudi Arabia and Egypt extracted by hydrodistillation and headspace solid-phase microextraction. Int. J. Food Prop. 2018, 20, 2866–2877. [Google Scholar] [CrossRef]
- Donsì, F.; Annunziata, M.; Sessa, M.; Ferrari, G. Nanoencapsulation of essential oils to enhance their antimicrobial activity in foods. LWT Food Sci. Technol. 2011, 44, 1908–1914. [Google Scholar] [CrossRef]
- Chang, Y.; McLandsborough, L.; McClements, D.J. Physical properties and antimicrobial efficacy of thyme oil nanoemulsions: Influence of ripening inhibitors. J. Agric. Food Chem. 2012, 60, 12056–12063. [Google Scholar] [CrossRef] [PubMed]
- Weiss, J.; Gaysinksy, S.; Davidson, M.; McClements, J. Nanostructured encapsulation systems: Food antimicrobials. In Global Issues in Food Science and Technology; Barbosa Cánovas, G.V., Mortimer, A., Lineback, D., Spiess, W., Buckle, K., Eds.; Elsevier: Amsterdam, The Netherlands, 2009; Volume 24, pp. 425–479. [Google Scholar] [CrossRef]
- Aouf, A.; Ali, H.; Al-Khalifa, A.R.; Mahmoud, K.F.; Farouk, A. Influence of Nanoencapsulation Using High-Pressure Homogenization on the Volatile Constituents and Anticancer and Antioxidant Activities of Algerian Saccocalyx satureioides Coss. et Durieu. Molecules 2020, 25, 4756. [Google Scholar] [CrossRef] [PubMed]
- Danaei, M.; Dehghankhold, M.; Ataei, S.; Hasanzadeh Davarani, F.; Javanmard, R.; Dokhani, A.; Khorasani, S.; Mozafari, M.R. Impact of Particle Size and Polydispersity Index on the Clinical Applications of Lipidic Nanocarrier Systems. Pharmaceutics 2018, 10, 57. [Google Scholar] [CrossRef] [PubMed] [Green Version]
- Wu, Z.; Wu, J.; Zhang, R.; Yuan, S.; Lu, Q.; Yu, Y. Colloid properties of hydrophobic modified alginate: Surface tension, ζ-potential, viscosity and emulsification. Carbohydr. Polym. 2018, 181, 56–62. [Google Scholar] [CrossRef] [PubMed]
- Kibret, M.; Abera, B. Prevalence and antibiogram of bacterial isolates from urinary tract infections at Dessie Health Research Laboratory, Ethiopia. Asian Pac. J. Trop. Biomed. 2014, 4, 164–168. [Google Scholar] [CrossRef] [Green Version]
- Hawser, P.S.; Badal, R.E.; Bouchillon, S.K.; Hoban, D.J.; Hackel, M.A.; Biedenbach, D.J.; Debra, A.G. Susceptibility of gram negative aerobic bacilli from intra-abdominal pathogens to antimicrobial agents collected in the United States during 2011. J. Infect. 2014, 68, 71–76. [Google Scholar] [CrossRef]
- Kumwenda, P.; Adukwu, E.C.; Tabe, E.S.; Ujor, V.C.; Kamudumuli, S.P.; Ngwira1, M.; Wu, J.T.S.; Chisale, M.R.O. Prevalence, distribution and antimicrobial susceptibility pattern of bacterial isolates from a tertiary Hospital in Malawi. BMC Infect. Dis. 2021, 21, 34. [Google Scholar] [CrossRef] [PubMed]
- Bubonja-Sonje, M.; Matovina, M.; Skrobonja, I.; Bedenic, B.; Abram, M. Mechanisms of carbapenem resistance in multidrug-resistant clinical isolates of Pseudomonas aeruginosa from a Croatian hospital. Microb. Drug Resist. 2015, 21, 261–269. [Google Scholar] [CrossRef] [PubMed] [Green Version]
- Gomila, M.; Del Carmen Gallegos, M.; Fernández-Baca, V.; Pareja, A.; Pascual, M.; Díaz-Antolín, P.; García-Valdés, E.; Lalucat, J. Genetic diversity of clinical Pseudomonas aeruginosa isolates in a public hospital in Spain. BMC Microbiol. 2013, 13, 1471–2180. [Google Scholar] [CrossRef] [Green Version]
- Souna, D.; Sefraoui, I.; Drissi, M. Résistance aux antibiotiques des entérobactéries au niveau du CHU de Sidi Bel Abbes (Algérie). Microbiol. Hyg. Alim. 2011, 23, 37–41. [Google Scholar]
- Vasireddy, L.; Bingle, L.E.H.; Davies, M.S. Antimicrobial activity of essential oils against multidrug-resistant clinical isolates of the Burkholderia cepacia complex. PLoS ONE 2018, 13, e0201835. [Google Scholar] [CrossRef] [Green Version]
- Ansari, S.; Nepal, H.P.; Gautam, R.; Shrestha, S.; Neopane, P.; Gurung, G.; Chapagain, M.L. Community acquired multidrug resistant clinical isolates of Escherichia coli in a tertiary care center of Nepal. Antimicrob. Resist. Infect. Control 2015, 4, 1–8. [Google Scholar] [CrossRef] [Green Version]
- Kim, H.B.; Jang, H.C.; Nam, H.J.; Lee, Y.S.; Kim, B.S.; Park, W.B.; Lee, K.D.; Choi, Y.J.; Park, S.W.; Oh, M.D.; et al. In vitro activities of 28 antimicrobial agents against Staphylococcus aureus isolates from tertiary-care hospitals in Korea: A nationwide survey. Antimicrob. Agents Chemother. 2004, 48, 1124–1127. [Google Scholar] [CrossRef] [PubMed] [Green Version]
- Nandhini, P.; Kumar, P.; Mickymaray, S.; Alothaim, A.S.; Somasundaram, J.; Rajan, M. Recent Developments in Methicillin-Resistant Staphylococcus aureus (MRSA) Treatment. Antibiotics 2022, 11, 606. [Google Scholar] [CrossRef] [PubMed]
- Messai, L.; Achour, W.; Ben Hassen, A. Profil épidémiologique des entérobactéries isolées chez des patients neutropéniques. Pathol. Biol. 2007, 55, 230–234. [Google Scholar] [CrossRef]
- Yadav, K.K.; Adhikari, N.; Khadka, R.; Pant, A.P.; Shah, B. Multidrug resistant Enterobacteriaceae and extended spectrum β-lactamase producing Escherichia coli: A cross-sectional study in National Kidney Center, Nepal. Antimicrob. Resist. Infect. Control 2015, 4, 42. [Google Scholar] [CrossRef] [PubMed] [Green Version]
- Béjaoui, A.; Chaabane, H.; Jemli, M.; Boulila, A.; Boussaid, M. Essential oil composition and antibacterial activity of Origanum vulgare subsp. glandulosum Desf. at different phenological stages. J. Med. Food 2013, 16, 1115–1120. [Google Scholar] [CrossRef] [PubMed] [Green Version]
- Sari, M.; Biondi, D.M.; Kaâbeche, M.; Mandalari, G.; D’Arrigo, M.; Bisignano, G.; Saija, A.; Daquino, C.; Ruberto, G. Chemical composition, antimicrobial and antioxidant activities of the essential oil of several populations of Algerian Origanum glandulosum Desf. Flavour Fragr. J. 2006, 21, 890–898. [Google Scholar] [CrossRef]
- Bendahou, M.; Muselli, A.; Grignon-Dubois, M.; Benyoucef, M.; Desjobert, J.M.; Bernardini, A.F.; Costa, J. Antimicrobial activity and chemical composition of Origanum glandulosum Desf. essential oil and extract obtained by microwave extraction: Comparison with hydrodistillation. Food Chem. 2008, 106, 132–139. [Google Scholar] [CrossRef]
- Chouhan, S.; Sharma, K.; Guleria, S. Antimicrobial Activity of Some Essential Oils—Present Status and Future Perspectives. Medicines 2017, 4, 58. [Google Scholar] [CrossRef] [PubMed] [Green Version]
- Burt, S. Essential oils: Their antibacterial properties and potential applications in foods-A review. Int. J. Food Microbiol. 2004, 94, 223–253. [Google Scholar] [CrossRef]
- Giweli, A.; Džamić, A.M.; Soković, M.; Ristić, M.S.; Marin, P.D. Antimicrobial and Antioxidant Activities of Essential Oils of Satureja thymbra Growing Wild in Libya. Molecules 2012, 17, 4836–4850. [Google Scholar] [CrossRef] [PubMed] [Green Version]
- Sharma, D.; Misba, L.; Khan, U.A. Antibiotics versus biofilm: An emerging battleground in microbial communities. Antimicrob. Resist. Infect. Control 2019, 8, 76. [Google Scholar] [CrossRef] [PubMed]
- Nostro, A.; Marino, A.; Ginestra, G.; Cellini, L.; Di Giulio, M.; Bisignano, G. Effects of adaptation to carvacrol on Staphylococcus aureus in the planktonic and biofilm phases. Biofouling 2017, 33, 470–480. [Google Scholar] [CrossRef] [PubMed]
- Rodrigues, J.B.D.S.; de Carvalho, R.J.; de Souza, N.T.; Kleber de Sousa Oliveira, K.D.S.; Franco, O.L.; Schaffner, D.; de Souza, E.L.; Magnani, M. Effects of oregano essential oil and carvacrol on biofilms of Staphylococcus aureus from food-contact surfaces. Food Control 2017, 73, 1237–1246. [Google Scholar] [CrossRef]
- Niu, C.; Gilbert, E.S. Colorimetric method for identifying plant essential oil components that affect biofilm formation and structure. App. Environ. Microbiol. 2004, 70, 6951–6956. [Google Scholar] [CrossRef] [PubMed] [Green Version]
- Plyuta, V.; Zaitseva, J.; Lobakova, E.; Zagoskina, N.; Kuznetsov, A.; Khmel, I. Effect of plant phenolic compounds on biofilm formation by Pseudomonas aeruginosa. APMIS 2013, 121, 1073–1081. [Google Scholar] [CrossRef] [PubMed]
- Sousa, L.G.V.; Castro, J.; Cavaleiro, C.; Salgueiro, L.; Tomás, M.; Palmeira-Oliveira, R.; Martinez-Oliveira, J.; Cerca, N. Synergistic effects of carvacrol, α-terpinene, γ-terpinene, ρ-cymene and linalool against Gardnerella species. Sci. Rep. 2022, 12, 4417. [Google Scholar] [CrossRef]
- Lagha, R.; Ben Abdallah, F.; AL-Sarhan, B.O.; Al-Sodany, Y. Antibacterial and Biofilm Inhibitory Activity of Medicinal Plant Essential Oils Against Escherichia coli Isolated from UTI Patients. Molecules 2019, 24, 1161. [Google Scholar] [CrossRef] [Green Version]
- Rafaque, Z.; Abid, N.; Liaqat, N.; Afrid, P.; Siddique, S.; Masood, S.; Kanwal, S.; Dasti, J.I. In-vitro investigation of antibiotics efficacy against uropathogenic Escherichia coli biofilms and antibiotic induced biofilm formation at sub-minimum inhibitory concentration of ciprofloxacin. Infect. Drug Resist. 2020, 13, 2801. [Google Scholar] [CrossRef]
- Moghimi, R.; Aliahmadi, A.; Rafati, H.; Abtahi, H.R.; Amini, S.; Feizabadi, M.M. Antibacterial and anti-biofilm activity of nanoemulsion of Thymus daenensis oil against multidrug resistant Acinetobacter baumannii. J. Mol. Liq. 2018, 265, 765–770. [Google Scholar] [CrossRef]
- Silva, G.C.; Filho, J.G.O.; Ribeiro, M.M.M.; de Souza, C.W.O.; Ferreira, M.D. Antibacterial Activity of Nanoemulsions Based on Essential Oils Compounds Against Species of Xanthomonas that Cause Citrus Canker. Biointerface Res. Appl. Chem. 2022, 12, 1835–1846. [Google Scholar] [CrossRef]
- Mutlu-Ingok, A.; Firtin, B.; Karbancioglu-Guler, F.; Altay, F. A study on correlations between antimicrobial effects and diffusion coefficient, zeta potential and droplet size of essential oils. Int. J. Food Eng. 2020, 16, 20190354. [Google Scholar] [CrossRef]
- Otoni, C.G.; Moura, M.R.d.; Aouada, F.A.; Camilloto, G.P.; Cruz, R.S.; Lorevice, M.V.; Soares, N.D.F.F.; Mattoso, L.H.C. Antimicrobial and physical-mechanical properties of pectin/papaya puree/cinnamaldehyde nanoemulsion edible composite films. Food Hydrocoll. 2014, 41, 188–194. [Google Scholar] [CrossRef]
- Huang, Q.; Yu, H.; Ru, Q. Bioavailability and Delivery of Nutraceuticals Using Nanotechnology. J.Food Sci. 2010, 75, R50–R57. [Google Scholar] [CrossRef]




| S/N | Compound | KI a | % Area b Origanum glandulosum Desf. Oil | Identification Method c,d | ||
|---|---|---|---|---|---|---|
| HD | Nanoemulsion | Nanocapsules | ||||
| 1 | α-Thujene | 928 | n.d. | n.d. | 1.08 ± 0.05 | MS, KI, & ST |
| 2 | α-Pinene | 932 | 0.21 ± 0.04 | 0.68 ± 0.02 | 1.73 ± 0.07 | MS, KI, & ST |
| 3 | Camphene | 971 | n.d. | n.d. | 0.39 ± 0.01 | MS & KI |
| 4 | 1-Octen-3-ol | 973 | n.d. | 1.29 ± 0.13 | 1.64 ± 0.03 | MS & KI |
| 5 | 3-Octanone | 981 | n.d. | 0.38 ± 0.05 | 0.58 ± 0.04 | MS & KI |
| 6 | β–Myrcene | 991 | 0.15 ± 0.03 | 0.79 ± 0.05 | 1.66 ± 0.08 | MS, KI, & ST |
| 7 | α-Terpinene | 1004 | n.d. | 0.73 ± 0.08 | 2.39 ± 0.1 | MS, KI, & ST |
| 8 | p-Cymene | 1008 | 27.56 ± 0.43 | 19.78 ± 0.16 | 18.58 ± 0.30 | MS, KI, & ST |
| 9 | Limonene | 1029 | n.d. | 0.64 ± 0.07 | 1.09 ± 0.06 | MS & KI |
| 10 | Eucalyptol | 1035 | n.d. | n.d. | 0.35 ± 0.07 | MS & KI |
| 11 | γ-Terpinene | 1088 | 5.59 ± 0.06 | 0.77 ± 0.09 | 4.52 ± 0.12 | MS, KI, & ST |
| 12 | Linalool | 1089 | n.d. | 2.98 ± 0.10 | 2.97 ± 0.25 | MS, KI, & ST |
| 13 | Borneol | 1148 | n.d. | 1.13 ± 0.09 | 2.43 ± 0.17 | MS, KI, & ST |
| 14 | Terpinen-4-ol | 1155 | n.d. | 2.73 ± 0.16 | 2.95 ± 0.09 | MS, KI, & ST |
| 15 | α-Terpineol | 1165 | n.d. | 1.53 ± 0.02 | 1.30 ± 0.12 | MS & KI |
| 16 | Thymol methyl ether | 1231 | n.d. | 0.73 ± 0.05 | 0.74 ± 0.05 | MS & KI |
| 17 | Thymol | 1267 | 49.52 ± 0.72 | 51.42 ± 0.36 | 39.47 ± 0.45 | MS, KI, & ST |
| 18 | Carvacrol | 1276 | 16.13 ± 0.35 | 9.96 ± 0.26 | 7.07 ± 0.10 | MS, KI, & ST |
| 19 | β–Caryophyllene | 1414 | 0.53 ± 0.02 | 0.78 ± 0.10 | 1.34 ± 0.12 | MS & KI |
| 20 | α-Humulene | 1451 | 0.12 ± 0.07 | n.d. | n.d. | MS & KI |
| 21 | β–Bisabolene | 1502 | 0.18 ± 0.07 | 0.89 ± 0.11 | 1.57 ± 0.11 | MS & KI |
| 22 | β-Sesquiphellandrene | 1511 | n.d. | n.d. | 0.65 ± 0.09 | MS & KI |
| 23 | Caryophyllene oxide | 1576 | n.d. | 1.37 ± 0.09 | 1.54 ± 0.14 | MS & KI |
| Total | - | 99.99 | 98.58 | 96.04 | - | |
| Type of Particles | Size (nm) | Zeta Potential | PDI |
|---|---|---|---|
| Nanocapsules | 120.60 ± 18.37 | −15.5 ± 0.32 | 0.244 ± 0.05 |
| Nanoemulsion | 54.24 ± 1.29 | −26.2 ± 2.6 | 0.296 ± 0.09 |
| ATBs | Percentage of Resistance (%) | |||||||||
|---|---|---|---|---|---|---|---|---|---|---|
| Proteus spp. (n = 2) | E. cloacae (n = 1) | E. aerogene (n = 1) | P. mirabilis (n = 1) | S. marsescens (n = 2) | A. baumannii (n = 2) | M. morganii (n = 2) | E. coli (n = 18) | K. pneumoniae (n = 23) | P. aeruginosa (n = 3) | |
| AMP | 100% | 100% | 100% | 100% | 100% | NT | 100% | 100% | 100% | NT |
| AMX | 100% | 100% | 100% | 100% | 100% | NT | 100% | 100% | 100% | NT |
| AMC | 100% | 100% | 100% | 100% | 100% | NT | 100% | 88% | 91% | NT |
| TIC | 100% | 0% | 100% | 100% | 100% | 100% | 50% | 94% | 95% | 100% |
| PRL | 100% | 0% | 100% | 100% | 100% | 100% | 50% | 100% | 95% | 100% |
| CF | 100% | 75% | 100% | 100% | 100% | NT | 100% | 100% | 100% | NT |
| CTX | 100% | 100% | 100% | 100% | 100% | NT | 50% | 88% | 86% | NT |
| CRO | 100% | 25% | 100% | 100% | 100% | NT | 50% | 88% | 86% | NT |
| IMP | 0% | 0% | 0% | 100% | 0% | 50% | 0% | 5% | 8% | 66% |
| AK | 100% | 0% | 0% | 0% | 0% | 0% | 0% | 11% | 0% | 0% |
| GN | 100% | 0% | 0% | 100% | 100% | 50% | 0% | 61% | 34% | 100% |
| TCC | NT | NT | NT | NT | NT | 100% | NT | NT | NT | NT |
| NA | 0% | 0% | 100% | 100% | 50% | NT | 100% | 61% | 56% | NT |
| OFX | 100% | 0% | 0% | 100% | 50% | NT | 100% | 50% | 43% | NT |
| CIP | 100% | 0% | 0% | 100% | 50% | NT | 50% | 55% | 39% | NT |
| TZP | NT | NT | NT | NT | NT | 100% | NT | NT | NT | 33% |
| CT | 100% | 0% | 0% | 100% | 100% | 0% | 100% | 5% | 0% | 33% |
| SXT | 100% | 75% | 100% | 50% | 100% | 50% | 100% | 77% | 91% | 100% |
| ATM | NT | NT | NT | NT | NT | 50% | NT | NT | NT | 33% |
| CAZ | NT | NT | NT | NT | NT | 100% | NT | NT | NT | 100% |
| LEV | NT | NT | NT | NT | NT | 0% | NT | NT | NT | 66% |
| RD | NT | NT | NT | NT | NT | 0% | NT | NT | NT | 33% |
| NET | NT | NT | NT | NT | NT | 0% | NT | NT | NT | 66.66% |
| Antibiotics (ATBs) | Resistance Percentage (%) MRSA (N = 14) |
|---|---|
| P | 100% |
| OX | 100% |
| FOX | 100% |
| E | 21% |
| SP | 14% |
| L | 14% |
| DA | 14% |
| PT | 7% |
| VA | 0% |
| AK | 28% |
| GN | 42% |
| OFX | 21% |
| FD | 42% |
| TEC | 0% |
| TE | 42% |
| DO | 14% |
| C | 0% |
| RD | 7% |
| Strains | O. glandulosum oil | Nanoemulsion | Nanoencapsulation | ||||||
|---|---|---|---|---|---|---|---|---|---|
| IZ * (mm) | MIC (%) | MBC (%) | IZ (mm) | MIC (µL/mL) | MBC (µL/mL) | IZ (mm) | MIC (µL/mL) | MBC (µL/mL) | |
| E. coli ESBL | 13 | 0.62% | 0.62% | NA ** | / | / | 11 | 31.25 | 31.25 |
| K. pneumoniae ESBL | 15 | 0.62% | 1.25% | NA | / | / | NA | / | / |
| A. baumannii | 40 | 0.07% | 0.15% | 16 | 62.5 | 125 | 11 | 31.25 | 31.25 |
| S. marcescens ESBL | 16 | 0.31% | 0.31% | NA | / | / | 11 | 31.25 | 125 |
| MRSA | 35 | 0.15% | 0.15% | 12 | 62.5 | 62.5 | 13 | 31.25 | 62.5 |
| P. aeruginosa ATCC27853 | NA | / | / | NA | / | / | NA | / | / |
| E. coli ATCC 25953 | 20 | 0.15% | 0.15% | 12 | 62.5 | 125 | 20 | 31.25 | 250 |
| K. pneumoniae ATCC700603 | 17 | 0.15% | 0.15% | 15 | 31.25 | 125 | 20 | 31.25 | 250 |
| S. aureus ATCC 6538P | 22 | 0.15% | 0.15% | 20 | 31.25 | 62.5 | 20 | 31.25 | 125 |
Publisher’s Note: MDPI stays neutral with regard to jurisdictional claims in published maps and institutional affiliations. |
© 2022 by the authors. Licensee MDPI, Basel, Switzerland. This article is an open access article distributed under the terms and conditions of the Creative Commons Attribution (CC BY) license (https://creativecommons.org/licenses/by/4.0/).
Share and Cite
Bouaouina, S.; Aouf, A.; Touati, A.; Ali, H.; Elkhadragy, M.; Yehia, H.; Farouk, A. Effect of Nanoencapsulation on the Antimicrobial and Antibiofilm Activities of Algerian Origanum glandulosum Desf. against Multidrug-Resistant Clinical Isolates. Nanomaterials 2022, 12, 2630. https://doi.org/10.3390/nano12152630
Bouaouina S, Aouf A, Touati A, Ali H, Elkhadragy M, Yehia H, Farouk A. Effect of Nanoencapsulation on the Antimicrobial and Antibiofilm Activities of Algerian Origanum glandulosum Desf. against Multidrug-Resistant Clinical Isolates. Nanomaterials. 2022; 12(15):2630. https://doi.org/10.3390/nano12152630
Chicago/Turabian StyleBouaouina, Sarah, Abdelhakim Aouf, Abdelaziz Touati, Hatem Ali, Manal Elkhadragy, Hany Yehia, and Amr Farouk. 2022. "Effect of Nanoencapsulation on the Antimicrobial and Antibiofilm Activities of Algerian Origanum glandulosum Desf. against Multidrug-Resistant Clinical Isolates" Nanomaterials 12, no. 15: 2630. https://doi.org/10.3390/nano12152630
APA StyleBouaouina, S., Aouf, A., Touati, A., Ali, H., Elkhadragy, M., Yehia, H., & Farouk, A. (2022). Effect of Nanoencapsulation on the Antimicrobial and Antibiofilm Activities of Algerian Origanum glandulosum Desf. against Multidrug-Resistant Clinical Isolates. Nanomaterials, 12(15), 2630. https://doi.org/10.3390/nano12152630

