Pulmonary Benign Metastasizing Leiomyoma in a Postmenopausal Woman: A Case Report and Review of the Literature
Abstract
1. Introduction
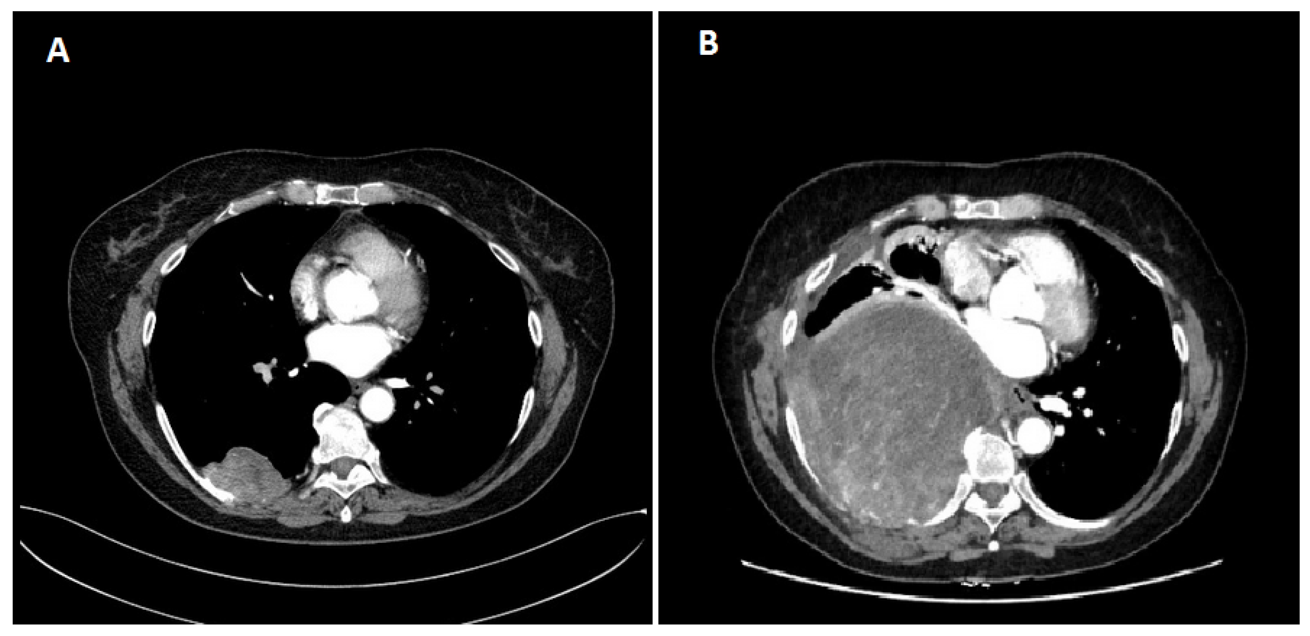
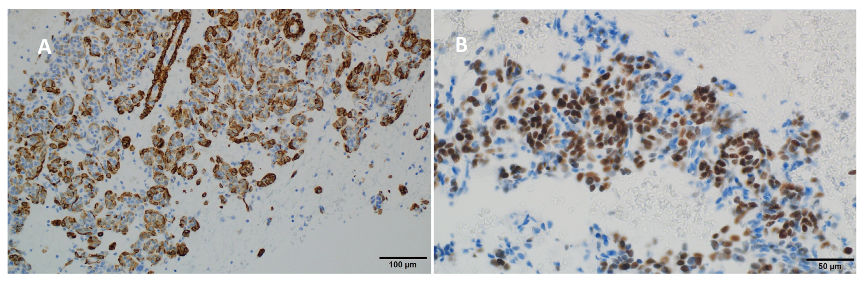
2. Case Report
3. Discussion
4. Conclusions
Author Contributions
Funding
Institutional Review Board Statement
Informed Consent Statement
Data Availability Statement
Conflicts of Interest
References
- Pacheco-Rodriguez, G.; Taveira-DaSilva, A.M.; Moss, J. Benign Metastasizing Leiomyoma. Clin. Chest Med. 2016, 37, 589–595. [Google Scholar] [CrossRef] [PubMed]
- Dai, H.-Y.; Guo, S.-L.; Shen, J.; Yang, L. Pulmonary benign metastasizing leiomyoma: A case report and review of the literature. World J. Clin. Cases 2020, 8, 3082–3089. [Google Scholar] [CrossRef] [PubMed]
- Fan, R.; Feng, F.; Yang, H.; Xu, K.; Li, S.; You, Y.; Wan, X.; Zhu, L. Pulmonary benign metastasizing leiomyomas: A case series of 23 patients at a single facility. BMC Pulm. Med. 2020, 20, 292. [Google Scholar] [CrossRef]
- Chen, S.; Liu, R.M.; Li, T. Pulmonary benign metastasizing leiomyoma: A case report and literature review. J. Thorac. Dis. 2014, 6, E92–E98. [Google Scholar] [PubMed]
- Abu Saadeh, F.; Riain, C.O.; Cormack, C.M.; Gleeson, N. Lung metastases from benign uterine leiomyoma: Does 18-FDG-PET/CT have a role to play? Ir. J. Med. Sci. 2019, 188, 619–624. [Google Scholar] [CrossRef]
- Goyle, K.K.; Moore, D.F.; Jr Garrett, C.; Goyle, V. Benign metastasizing leiomyomatosis: Case report and review. Am. J. Clin. Oncol. 2003, 26, 473–476. [Google Scholar] [CrossRef]
- Awonuga, A.O.; Shavell, V.I.; Imudia, A.N.; Rotas, M.; Diamond, M.P.; Puscheck, E.E. Pathogenesis of benign metastasizing leiomyoma: A review. Obstet. Gynecol. Surv. 2010, 65, 189–195. [Google Scholar] [CrossRef]
- Nucci, M.R.; Drapkin, R.; Dal Cin, P.; Fletcher, C.D.M.; Fletcher, J.A. Distinctive cytogenetic profile in benign metastasizing leiomyoma: Pathogenetic implications. Am. J. Surg. Pathol. 2007, 31, 737–743. [Google Scholar] [CrossRef]
- Jiang, H.; Ma, L.; Qi, X.-W.; Yan, L.-Z.; Feng, H.-X.; Suo, L.-J.; Liu, B. Pulmonary benign metastasizing leiomyoma: A case report and literature review. Ann. Palliat. Med. 2021, 10, 5831–5838. [Google Scholar] [CrossRef]
- Kayser, K.; Zink, S.; Schneider, T.; Dienemann, H.; André, S.; Kaltner, H.; Schüring, M.-P.; Zick, Y.; Gabius, H.-J. Benign metastasizing leiomyoma of the uterus: Documentation of clinical, immunohistochemical and lectin-histochemical data of ten cases. Virchows Arch. 2000, 437, 284–292. [Google Scholar] [CrossRef]
- Miller, J.; Shoni, M.; Siegert, C.; Lebenthal, A.; Godleski, J.; McNamee, C. Benign Metastasizing Leiomyomas to the Lungs: An Institutional Case Series and a Review of the Recent Literature. Ann. Thorac. Surg. 2016, 101, 253–258. [Google Scholar] [CrossRef]
- Jo, J.H.; Lee, J.H.; Kim, D.C.; Kim, S.H.; Kwon, H.C.; Kim, J.S.; Kim, H.J. A case of benign metastasizing leiomyoma with multiple metastasis to the soft tissue, skeletal muscle, lung and breast. Korean J. Intern. Med. 2006, 21, 199–201. [Google Scholar] [CrossRef] [PubMed]
- Arai, T.; Yasuda, Y.; Takaya, T.; Shibayama, M. Natural decrease of benign metastasizing leiomyoma. Chest 2000, 117, 921–922. [Google Scholar] [CrossRef] [PubMed]
- Rivera, J.A.; Christopoulos, S.; Small, D.; Trifiro, M. Hormonal manipulation of benign metastasizing leiomyomas: Report of two cases and review of the literature. J. Clin. Endocrinol. Metab. 2004, 89, 3183–3188. [Google Scholar] [CrossRef] [PubMed]
- Jautzke, G.; Müller-Ruchholtz, E.; Thalmann, U. Immunohistological detection of estrogen and progesterone receptors in multiple and well differentiated leiomyomatous lung tumors in women with uterine leiomyomas (so-called benign metastasizing leiomyomas). A report on 5 cases. Pathol. Res. Pract. 1996, 192, 215–223. [Google Scholar] [CrossRef]
- Schneider, T.; Kugler, C.; Kayser, K.; Dienemann, H. Benign, pulmonary metastatic leiomyoma of the uterus. Chirurg 2001, 72, 308–311. [Google Scholar] [CrossRef]
- Andrade, L.A.; Torres An, R.Z.; Sales, J.F., Jr.; Vicentini, R.; A De Souza, G. Intravenous leiomyomatosis of the uterus. A report of three cases. Pathol. Oncol. Res. 1998, 4, 44–47. [Google Scholar] [CrossRef]
- Abramson, S.; Gilkeson, R.C.; Goldstein, J.D.; Woodard, P.K.; Eisenberg, R.; Abramson, N. Benign metastasizing leiomyoma: Clinical, imaging, and pathologic correlation. AJR Am. J. Roentgenol. 2001, 176, 1409–1413. [Google Scholar] [CrossRef]
- Yoon, G.; Kim, T.-J.; Sung, C.-O.; Choi, C.H.; Lee, J.-W.; Lee, J.-H.; Bae, D.-S.; Kim, B.-G. Benign metastasizing leiomyoma with multiple lymph node metastasis: A case report. Cancer Res. Treat. 2011, 43, 131–133. [Google Scholar] [CrossRef]
- Egberts, J.-H.; Schafmayer, C.; Bauerschlag, D.O.; Jänig, U.; Tepel, J. Benign abdominal and pulmonary metastasizing leiomyoma of the uterus. Arch. Gynecol. Obstet. 2006, 274, 319–322. [Google Scholar] [CrossRef]
- Funakoshi, Y.; Sawabata, N.; Takeda, S.-I.; Hayakawa, M.; Okumura, Y.; Maeda, H. Pulmonary benign metastasizing leiomyoma from the uterus in a postmenopausal woman: Report of a case. Surg. Today 2004, 34, 55–57. [Google Scholar] [CrossRef] [PubMed]
- Radzikowska, E.; Szczepulska-Wójcik, E.; Langfort, R.; Oniszh, K.; Wiatr, E. Benign pulmonary metastasizing leiomyoma uteri. Case report and review of literature. Adv. Respir. Med. 2012, 80, 560–564. [Google Scholar] [CrossRef]
- Barnaś, E.; Książek, M.; Raś, R.; Skręt, A.; Magierło, J.S.; Gajzlerska, E.D. Benign metastasizing leiomyoma: A review of current literature in respect to the time and type of previous gynecological surgery. PLoS ONE 2017, 12, e0175875. [Google Scholar] [CrossRef] [PubMed]
- Efared, B.; Atsame-Ebang, G.; Sani, R.; Tahiri, L.; Sidibe, I.S.; Erregad, F.; Hammas, N.; Smahi, M.; Serraj, M.; Chbani, L.; et al. Unexpected pulmonary tumor: Metastasis from a benign uterine leiomyoma in a post-menopausal woman: A case report. BMC Res. Notes 2017, 10, 662. [Google Scholar] [CrossRef] [PubMed]
- Jo, H.C.; Baek, J.C. Case of pulmonary benign metastasizing leiomyoma from synchronous uterine leiomyoma in a postmenopausal woman. Gynecol. Oncol. Rep. 2018, 26, 33–36. [Google Scholar] [CrossRef] [PubMed]
- Cirak, Y.; Sever, O.N.; Ürün, Y. Benign metastasizing leiomyoma of bone and lung in postmenopausal women: Two rare case reports and review of the literature. Eur. J. Gynaecol. Oncol. 2017, 38, 118–121. [Google Scholar] [PubMed]
- Moon, H.; Park, S.J.; Lee, H.B.; Kim, S.R.; Choe, Y.H.; Lee, Y.C.; Chung, M.J.; Jin, G.Y. Pulmonary benign metastasizing leiomyoma in a postmenopausal woman. Am. J. Med. Sci. 2009, 338, 72–74. [Google Scholar] [CrossRef] [PubMed]
- Krentel, H.; Hucke, J. Disseminated Hormone-Producing Leiomyomatosis after Laparoscopic Supracervical Hysterectomy: A Case Report. Geburtshilfe Frauenheilkd. 2010, 70, 894–897. [Google Scholar] [CrossRef]
- Patel, J.; Coan, A.; Hindenburg, A.; Chan, K.; Nair, G. “Uterus in My Lung?!” A Case of Pulmonary Leiomyomatosis as a Presentation of Uterine Intravenous Leiomyomatosis. Chest 2014, 146 (Suppl. S2), 645A. [Google Scholar] [CrossRef]
- Orejola, W.C.; Vaidya, A.P.; Elmann, E.M. Benign metastasizing leiomyomatosis of the lungs presenting a miliary pattern. Ann. Thorac. Surg. 2014, 98, e113–e114. [Google Scholar] [CrossRef]
- Kwon, Y.I.; Kim, T.H.; Sohn, J.W.; Yoon, H.J.; Shin, D.H.; Park, S.S. Benign pulmonary metastasizing leiomvomatosis: Case report and a review of the literature. Korean J. Intern. Med. 2006, 21, 173–177. [Google Scholar] [CrossRef] [PubMed]
- Rao, A.V.; Wilson, J.; Sylvester, K. Pulmonary benign metastasizing leiomyoma following hysterectomy: A clinicopathologic correlation. J. Thorac. Oncol. 2008, 3, 674–676. [Google Scholar] [CrossRef] [PubMed]
- Mahmoud, M.S.; Desai, K.; Nezhat, F.R. Leiomyomas beyond the uterus; benign metastasizing leiomyomatosis with paraaortic metastasizing endometriosis and intravenous leiomyomatosis: A case series and review of the literature. Arch. Gynecol. Obstet. 2015, 291, 223–230. [Google Scholar] [CrossRef] [PubMed]
- Ponea, A.M.; Marak, C.P.; Goraya, H.; Guddati, A.K. Benign metastatic leiomyoma presenting as a hemothorax. Case Rep. Oncol. Med. 2013, 2013, 504589. [Google Scholar] [CrossRef] [PubMed][Green Version]
- Miyazaki, M.; Nakayama, A.; Noda, D.; Maehara, Y.; Tsushima, Y. Difficulty in complete transarterial embolization for pulmonary benign metastasizing leiomyoma with massive hemoptysis. Jpn. J. Radiol. 2014, 32, 53–57. [Google Scholar] [CrossRef] [PubMed]
- Ofori, K.; Fernandes, H.; Cummings, M.; Colby, T.; Saqi, A. Benign metastasizing leiomyoma presenting with miliary pattern and fatal outcome: Case report with molecular analysis & review of the literature. Respir. Med. Case Rep. 2019, 27, 100831. [Google Scholar]
- Pastré, J.; Juvin, K.; Grand, B.; Gibault, L.; Valcke, J.; Israël-Biet, D. Pulmonary benign metastasizing leiomyoma presented as acute respiratory distress. Respirol. Case Rep. 2017, 5, e00216. [Google Scholar] [CrossRef] [PubMed]
- Zong, D.; He, W.; Li, J.; Peng, H.; Chen, P.; Ouyang, R. Concurrent benign metastasizing leiomyoma in the lung and lumbar spine with elevated standardized uptake value level in positron-emission tomography computed tomography: A case report and literature review. Medicine 2018, 97, e11334. [Google Scholar] [CrossRef] [PubMed]
- Agackiran, Y.; Findik, G.; Ustun, L.N.; Aydogdu, K.; Kaya, S. Pulmonary Benign Metastasizing Leiomyoma: An Extremely Rare Case. Turk. Patoloji Derg. 2016, 32, 193–195. [Google Scholar] [CrossRef][Green Version]
- di Scioscio, V.; Feraco, P.; Miglio, L.; Toni, F.; Malvi, D.; Pacilli, A.M.G.; Fasano, L.; Fabbri, M.; Zompatori, M. Benign metastasizing leiomyoma of the lung: PET findings. J. Thorac. Imaging 2009, 24, 41–44. [Google Scholar] [CrossRef]
- Bell, S.W.; Kempson, R.L.; Hendrickson, M.R. Problematic uterine smooth muscle neoplasms. A clinicopathologic study of 213 cases. Am. J. Surg. Pathol. 1994, 18, 535–558. [Google Scholar] [CrossRef] [PubMed]
- Robboy, S.J.; Bentley, R.C.; Butnor, K.; Anderson, M.C. Pathology and pathophysiology of uterine smooth-muscle tumors. Environ. Health Perspect. 2000, 108 (Suppl. S5), 779–784. [Google Scholar] [CrossRef] [PubMed]
- Patton, K.T.; Cheng, L.; Papavero, V.; Blum, M.G.; Yeldandi, A.V.; Adley, B.P.; Luan, C.; Diaz, L.K.; Hui, P.; Yang, X.J. Benign metastasizing leiomyoma: Clonality, telomere length and clinicopathologic analysis. Mod. Pathol. 2006, 19, 130–140. [Google Scholar] [CrossRef] [PubMed]
- Tietze, L.; Günther, K.; Hörbe, A.; Pawlik, C.; Klosterhalfen, B.; Handt, S.; Merkelbach-Bruse, S. Benign metastasizing leiomyoma: A cytogenetically balanced but clonal disease. Hum. Pathol. 2000, 31, 126–128. [Google Scholar] [CrossRef] [PubMed]
- Abu-Rustum, N.R.; Curtin, J.P.; Burt, M.; Jones, W.B. Regression of uterine low-grade smooth-muscle tumors metastatic to the lung after oophorectomy. Obstet. Gynecol. 1997, 89, 850–852. [Google Scholar] [CrossRef] [PubMed]
- Horstmann, J.P.; Pietra, G.G.; Harman, J.A.; Cole, N.G.; Grinspan, S. Spontaneous regression of pulmonary leiomyomas during pregnancy. Cancer 1977, 39, 314–321. [Google Scholar] [CrossRef] [PubMed]
- Jacobson, T.Z.; Rainey, E.J.; Turton, C.W. Pulmonary benign metastasising leiomyoma: Response to treatment with goserelin. Thorax 1995, 50, 1225–1226. [Google Scholar] [CrossRef] [PubMed]
- Säynäjäkangas, O.; Maiche, A.G.; Liakka, K.A. Multiple progressive pulmonary leiomyomatous metastases treated with tamoxifen—A case report with a review of the literature. Acta Oncol. 2004, 43, 113–114. [Google Scholar] [CrossRef]
- Chen, S.; Zhang, Y.; Zhang, J.; Hu, H.; Cheng, Y.; Zhou, J.; Shen, L.; Chen, H. Pulmonary benign metastasizing leiomyoma from uterine leiomyoma. World J. Surg. Oncol. 2013, 11, 163. [Google Scholar] [CrossRef]
- Rege, A.S.; Snyder, J.A.; Scott, W.J. Benign metastasizing leiomyoma: A rare cause of multiple pulmonary nodules. Ann. Thorac. Surg. 2012, 93, e149–e151. [Google Scholar] [CrossRef]
- Nasu, K.; Tsuno, A.; Takai, N.; Narahara, H. A case of benign metastasizing leiomyoma treated by surgical castration followed by an aromatase inhibitor, anastrozole. Arch. Gynecol. Obstet. 2009, 279, 255–257. [Google Scholar] [CrossRef] [PubMed]
- Banner, A.S.; Carrington, C.B.; Emory, W.B.; Kittle, F.; Leonard, G.; Ringus, J.; Taylor, P.; Addington, W.W. Efficacy of oophorectomy in lymphangioleiomyomatosis and benign metastasizing leiomyoma. N. Engl. J. Med. 1981, 305, 204–209. [Google Scholar] [CrossRef] [PubMed]
- Cho, K.R.; Woodruff, J.D.; Epstein, J.I. Leiomyoma of the uterus with multiple extrauterine smooth muscle tumors: A case report suggesting multifocal origin. Hum. Pathol. 1989, 20, 80–83. [Google Scholar] [CrossRef] [PubMed]
- Ventura, L.; Gnetti, L.; Rossi, M.; Tiseo, M.; Giordano, G.; Corradi, M.; Silva, M.; Milanese, G.; Minari, R.; Leonetti, A.; et al. The role of miRNA-221 and miRNA-126 in patients with benign metastasizing leiomyoma of the lung: An overview with new interesting scenarios. Mol. Biol. Rep. 2021, 48, 3485–3494. [Google Scholar] [CrossRef]
- Tamura, S.; Hayashi, T.; Abiko, K.; Konishi, I. Potential Biomarkers Associated with the Nature of Uterine Benign Mesenchymal Tumors. J. Clin. Med. Res. 2022, 14, 142–145. [Google Scholar] [CrossRef] [PubMed]
- Zhang, G.; Fan, R.; Yang, H.; Su, H.; Yu, X.; Wang, Y.; Feng, F. Safety and efficacy of sirolimus in recurrent intravenous leiomyomatosis, pulmonary benign metastatic leiomyomatosis, and leiomyomatosis peritonealis disseminata: A pilot study. BMC Med. 2024, 22, 119. [Google Scholar] [CrossRef]




| Criterion | PBML | LMS |
|---|---|---|
| Clinical Presentation | Asymptomatic, rarely respiratory symptoms. In aggressive cases: significant respiratory distress, increased nodule size, systemic symptoms (weight loss, fatigue) | Severe and acute symptoms such as cough, hemoptysis, chest pain, rapid deterioration in respiratory function |
| Radiological Features | Multiple, well-circumscribed nodules. In aggressive cases: diffuse miliary patterns, cavitated nodule | Irregular, invasive masses, single or multiple nodules, often showing aggressive invasion into surrounding tissues |
| Histopathological Features | Spindle cells, no atypia, low mitotic index. Aggressive PBML may show higher proliferative activity | Spindle cells with significant atypia, high mitotic index, areas of necrosis |
| Immunohistochemistry | Desmin(+), SMA(+), ER/PR(+) | Desmin(+), SMA(+), sometimes ER/PR(−) |
| Hormone Receptor Expression | Often present (ER, PR) | Less commonly present |
| Clinical Behavior | Slow-growing, rarely aggressive. Aggressive cases show rapid growth and severe symptoms | Aggressive, rapid growth |
| Treatment | Hysterectomy, oophorectomy, hormonal therapy. Aggressive cases may require more intensive treatment | Surgery, radiotherapy, chemotherapy |
| Prognosis | Good, dependent on hormonal therapy. Variable in aggressive cases | Variable, often poor |
| Authors | Year | Journal | Key Findings |
|---|---|---|---|
| Ventura L et al. | 2021 | Molecular Biology Reports [54] | Role of miRNA-221 and miRNA-126 in PBML, offering new diagnostic, prognostic, and therapeutic perspectives. |
| Tamura S et al. | 2022 | J Clin Med Res [55] | Identified potential biomarkers related to the pathogenesis of uterine benign mesenchymal tumors and PBML. |
| Zhang G et al. | 2024 | BMC Medicine [56] | Sirolimus is safe and effective in treating PBML. |
Disclaimer/Publisher’s Note: The statements, opinions and data contained in all publications are solely those of the individual author(s) and contributor(s) and not of MDPI and/or the editor(s). MDPI and/or the editor(s) disclaim responsibility for any injury to people or property resulting from any ideas, methods, instructions or products referred to in the content. |
© 2024 by the authors. Licensee MDPI, Basel, Switzerland. This article is an open access article distributed under the terms and conditions of the Creative Commons Attribution (CC BY) license (https://creativecommons.org/licenses/by/4.0/).
Share and Cite
Piórek, A.; Płużański, A.; Wiśniewski, P.; Tabor, S.; Winiarczyk, K.; Knetki-Wróblewska, M.; Kowalski, D.M.; Krzakowski, M. Pulmonary Benign Metastasizing Leiomyoma in a Postmenopausal Woman: A Case Report and Review of the Literature. Diseases 2024, 12, 181. https://doi.org/10.3390/diseases12080181
Piórek A, Płużański A, Wiśniewski P, Tabor S, Winiarczyk K, Knetki-Wróblewska M, Kowalski DM, Krzakowski M. Pulmonary Benign Metastasizing Leiomyoma in a Postmenopausal Woman: A Case Report and Review of the Literature. Diseases. 2024; 12(8):181. https://doi.org/10.3390/diseases12080181
Chicago/Turabian StylePiórek, Aleksandra, Adam Płużański, Piotr Wiśniewski, Sylwia Tabor, Kinga Winiarczyk, Magdalena Knetki-Wróblewska, Dariusz M. Kowalski, and Maciej Krzakowski. 2024. "Pulmonary Benign Metastasizing Leiomyoma in a Postmenopausal Woman: A Case Report and Review of the Literature" Diseases 12, no. 8: 181. https://doi.org/10.3390/diseases12080181
APA StylePiórek, A., Płużański, A., Wiśniewski, P., Tabor, S., Winiarczyk, K., Knetki-Wróblewska, M., Kowalski, D. M., & Krzakowski, M. (2024). Pulmonary Benign Metastasizing Leiomyoma in a Postmenopausal Woman: A Case Report and Review of the Literature. Diseases, 12(8), 181. https://doi.org/10.3390/diseases12080181

