Pulmonary Exacerbation of Undiagnosed Toxocariasis in Intensively-Treated High-Risk Neuroblastoma Patients
Abstract
1. Introduction
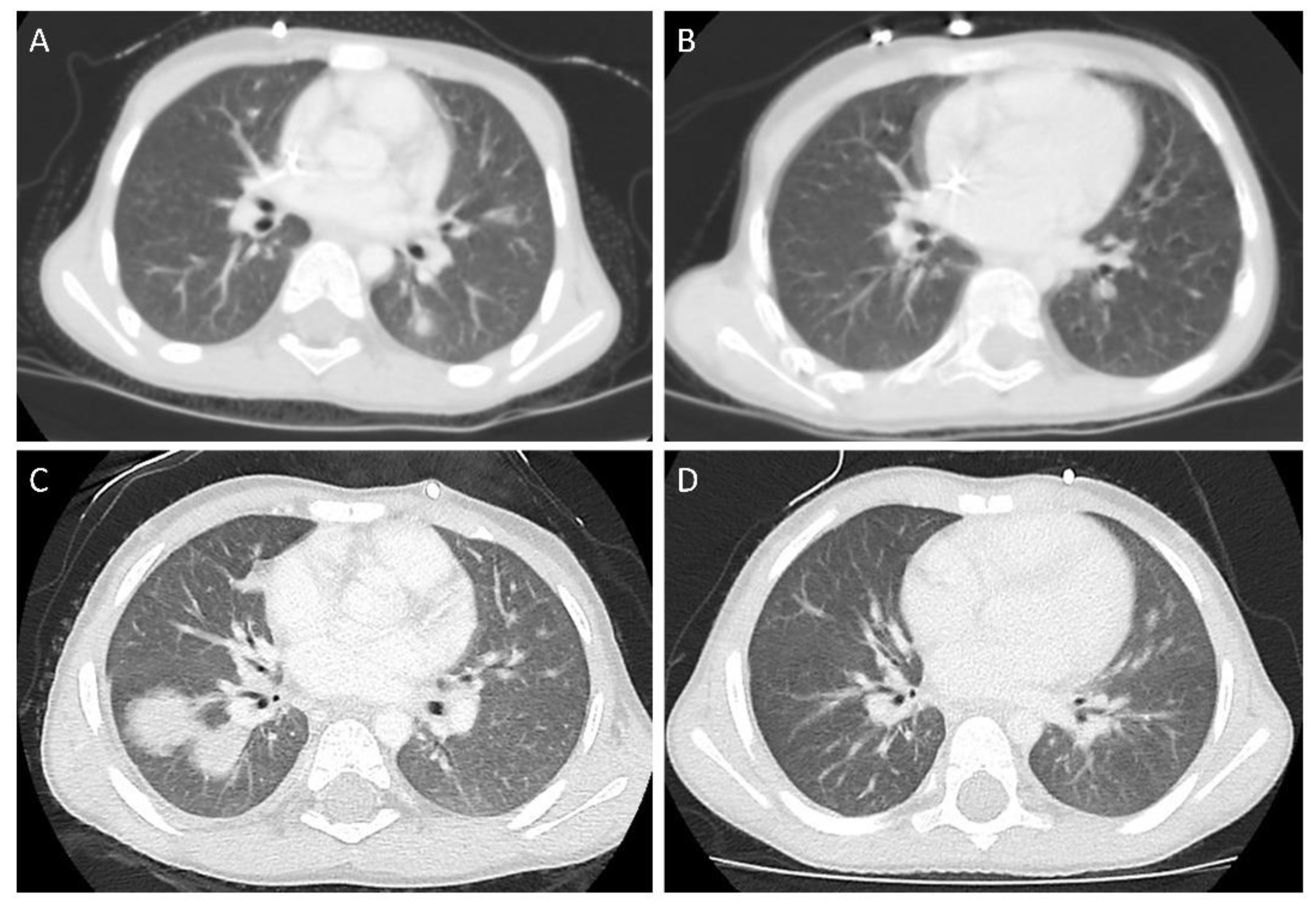
2. Results
3. Discussion
Author Contributions
Funding
Conflicts of Interest
References
- Ma, G.; Rostami, A.; Wang, T.; Hofmann, A.; Hotez, P.J.; Gasser, R.B. Global and regional seroprevalence estimates for human toxocariasis: A call for action. Adv. Parasitol. 2020, 109, 275–290. [Google Scholar]
- Rostami, A.; Riahi, S.M.; Holland, C.V.; Taghipour, A.; Khalili-Fomeshi, M.; Fakhri, Y.; Omrani, V.F.; Hotez, P.J.; Gasser, R.B. Seroprevalence estimates for toxocariasis in people worldwide: A systematic review and meta-analysis. PLoS Negl. Trop. Dis. 2019, 13, e0007809. [Google Scholar] [CrossRef] [PubMed]
- Woodhall, D.M.; Fiore, A.E. Toxocariasis: A Review for Pediatricians. J. Pediatric. Infect. Dis. Soc. 2014, 3, 154–159. [Google Scholar] [CrossRef] [PubMed]
- Wedrychowicz, A.; Goździk, J.; Krasowska-Kwiecień, A.; Kacińka, E.; Wiecha, O.; Kubiczek, K.; Ratajczak, M.Z. Manifestation of toxocariasis in children with neuroblastoma treated with autologous hematopoietic transplants. Pediatr. Hematol. Oncol. 2006, 23, 369–379. [Google Scholar] [CrossRef] [PubMed]
- Ladenstein, R.; Pötschger, U.; Pearson, A.D.J.; Brock, P.; Luksch, R.; Castel, V.; Yaniv, I.; Papadakis, V.; Laureys, G.; Malis, J.; et al. Busulfan and melphalan versus carboplatin, etoposide, and melphalan as high-dose chemotherapy for high-risk neuroblastoma (HR-NBL1/SIOPEN): An international, randomised, multi-arm, open-label, phase 3 trial. Lancet Oncol. 2017, 18, 500–514. [Google Scholar] [CrossRef]
- Philip, T.; Ladenstein, R.; Lasset, C.; Hartmann, O.; Zucker, J.M.; Pinkerton, R.; Pearson, A.D.; Klingebiel, T.; Garaventa, A.; Kremens, B.; et al. 1070 myeloablative megatherapy procedures followed by stem cell rescue for neuroblastoma: 17 years of European experience and conclusions. European Group for Blood and Marrow Transplant Registry Solid Tumour Working Party. Eur. J. Cancer 1997, 33, 2130–2135. [Google Scholar] [CrossRef]
- MacFarland, S.; Bagatell, R. Advances in neuroblastoma therapy. Curr. Opin. Pediatr. 2019, 31, 14–20. [Google Scholar] [CrossRef] [PubMed]
- Borecka, A.; Kłapeć, T. Epidemiology of human toxocariasis in Poland—A review of cases 1978–2009. Ann. Agric. Environ. Med. 2015, 22, 28–31. [Google Scholar] [CrossRef]
- Ranasuriya, G.; Mian, A.; Boujaoude, Z.; Tsigrelis, C. Pulmonary toxocariasis: A case report and literature review. Infection 2014, 42, 575–578. [Google Scholar] [CrossRef]
- Desai, A.V.; Seif, A.E.; Li, Y.; Getz, K.; Fisher, B.T.; Huang, V.; Mante, A.; Aplenc, R.; Bagatell, R. Resource Utilization and Toxicities After Carboplatin/Etoposide/Melphalan and Busulfan/Melphalan for Autologous Stem Cell Rescue in High-Risk Neuroblastoma Using a National Administrative Database. Pediatr. Blood Cancer 2016, 63, 901–907. [Google Scholar] [CrossRef]
- Cheung, N.-K.V.; Cheung, I.Y.; Kushber, B.H.; Ostrovnaya, I.; Chamberlain, E.; Kramer, K.; Modak, S. Murine anti-GD2 monoclonal antibody 3F8 combined with granulocyte-macrophage colony-stimulating factor and 13-cis-retinoic acid in high-risk patients with stage 4 neuroblastoma in first remission. J. Clin. Oncol. 2012, 30, 3264–3270. [Google Scholar] [CrossRef] [PubMed]
- Kushner, B.H.; Ostrovnaya, I.; Cheung, I.Y.; Kuk, D.; Modak, S.; Kramer, K.; Roberts, S.S.; Basu, E.M.; Yataghene, K.; Cheung, N.-K.V. Lack of survival advantage with autologous stem-cell transplantation in high-risk neuroblastoma consolidated by anti-GD2 immunotherapy and isotretinoin. Oncotarget 2016, 7, 4155–4166. [Google Scholar] [CrossRef] [PubMed]
- Anderson, A.; Fordham, L.A.; Bula, M.L.; Blatt, J. Visceral larval migrans masquerading as metastatic disease in a toddler with Wilms tumor. Pediatr. Radiol. 2006, 36, 265–267. [Google Scholar] [CrossRef] [PubMed]
- Weaver, M.S.; Federico, S. Visual Diagnosis: New Lung Nodules in a 3-year-old Girl with Wilms Tumor. Pediatr. Rev. 2016, 37, e5–e6. [Google Scholar] [CrossRef]
- Almeida, M.T.; Ribeiro, R.C.; Kauffman, W.M.; Maluf Júnior, P.T.; Brito, J.L.; Cristofani, L.M.; Jacob, C.A.; Odone-Filho, V. Toxocariasis simulating hepatic recurrence in a patient with Wilms’ tumor. Med. Pediatr. Oncol. 1994, 22, 211–215. [Google Scholar] [CrossRef] [PubMed]
- Hanslik, T.; Bougnoux, M.E.; Kirch, C.; Vaillant, J.N.; Labrune, S.; Prinseau, J.; Baglin, A. Metastasis or visceral larva migrans? Ann. Med. Interne (Paris) 1998, 149, 533–535. [Google Scholar]
- Kim, H.-G.; Yang, J.-W.; Hong, S.-C.; Lee, Y.-J.; Ju, Y.-T.; Jeong, C.-Y.; Lee, J.-K.; Kwag, S.-J. Toxocara canis Mimicking a Metastatic Omental Mass from Sigmoid Colon Cancer: A Case Report. Ann. Coloproctol. 2018, 34, 160–163. [Google Scholar] [CrossRef]
- Park, S.; Kim, Y.S.; Kim, Y.J.; Kyung, S.Y.; Park, J.-W.; Jeong, S.H.; Lee, S.P. Toxocariasis masquerading as liver and lung metastatic nodules in patents with gastrointestinal cancer: Clinicopathologic study of five cases. Dig. Dis. Sci. 2012, 57, 155–160. [Google Scholar] [CrossRef]
- Lim, Y.-J.; Kim, J.-H.; Oh, S.H.; Jeon, S.C.; Koh, H.C.; Lee, Y.-H. Pulmonary toxocariasis masquerading as metastatic tumor nodules in a child with osteosarcoma. Pediatr. Blood Cancer 2009, 53, 1343–1345. [Google Scholar] [CrossRef]
- Ota, K.V.; Dimaras, H.; Héon, E.; Babyn, P.S.; Yau, Y.C.W.; Read, S.; Budning, A.; Gallie, B.L.; Chan, H.S.L. Toxocariasis mimicking liver, lung, and spinal cord metastases from retinoblastoma. Pediatr. Infect. Dis. J. 2009, 28, 252–254. [Google Scholar] [CrossRef]
- Krcméry, V., Jr.; Gould, I.; Sobota, K.; Spánik, S. Two cases of disseminated toxocariasis in compromised hosts successfully treated with mebendazole. Chemotherapy 1992, 38, 367–368. [Google Scholar] [CrossRef] [PubMed]

| Patient 1 | Patient 2 | |
|---|---|---|
| Demographic | ||
| Treatment commenced | 2016 | 2019 |
| Sex | Male | Male |
| Age (years) | 2.5 | 2.5 |
| Clinical and pathological features at diagnosis | ||
| Primary site | Abdomen | Chest |
| Metastases | None | Bones, bone marrow |
| INSS Stage | 3 | 4 |
| Histology | Neuroblastoma –non otherwise specified | Neuroblastoma –undifferentiated |
| N-Myc status | Amplified | Non-amplified |
| Protocol | HR NBL/SIOPEN 1.5 | HR NBL/SIOPEN 1.7 |
| Treatment and response prior to MAT/SCT | ||
| Induction chemotherapy | Rapid COJEC | Rapid COJEC |
| Stem cell harvest | Post induction, G-CSF mobilization | Post induction, G-CSF mobilization |
| Response post induction | Complete remission, 123I mIBG negative | Very good partial response /metastatic partial remission (residual 123I mIBG activity in the bones, chest negative) |
| Tumor resection | Post induction, complete | Post induction, complete |
| MAT /SCT | ||
| Conditioning | Busulfan 16 × 1 mg/kg + Melfalan 140 mg/m2 | Busulfan 16 × 1.2 mg/kg +Melfalan 140 mg/m2 |
| Stem cell load | 6.26 × 106 CD34+/kg | 5.35 × 106 CD34+/kg |
| WBC > 1000/µL | Day +11 | Day +11 |
| ANC > 500/µL | Day +11 | Day +11 |
| Platelets > 20000/µL | Day +13 | Day +35 |
| Non-hematological complications post SCT | C. difficile infection, mucositis | Pyelonephritis, VOD, mucositis |
| Specific features during Toxocara infestation | ||
| Relation to neuroblastoma treatment | Post induction and stem cell apheresis | 42 days post MAT/SCT |
| Biopsy /histopathology | Not performed | No neoplastic cells, macrophage infiltration |
| Highest Eosinophil count | 9.500/µL | 4.100/µL |
| Total IgE (N < 60 IU/mL) | 937 IU/mL | normal |
| Immunoglobulins (IgG, IgA, IgM) | normal | normal |
| Lymphocyte subpopulations | CD3 and CD19 lymphopenia | Not performed |
| HIV | Negative | Negative |
| Antiparastic treatment | Albendazole 2 courses prior to SCT and 1 post SCT (10 days each) Diethylcarbamazine 3 mg/kg 3 times daily for 21 days (2 courses) | Albendazole -2 courses (10 days each) |
| Follow-up | ||
| Follow-up since diagnosis | 4 years, in remission, good general condition, no features of toxocariasis | 6 months, in remission (no 123I mIBG activity, no features of local recurrence, normal tumor markers), good general condition, currently undergoes immunotherapy, no features of toxocariasis |
© 2020 by the authors. Licensee MDPI, Basel, Switzerland. This article is an open access article distributed under the terms and conditions of the Creative Commons Attribution (CC BY) license (http://creativecommons.org/licenses/by/4.0/).
Share and Cite
Janczar, S.; Bulas, M.; Walenciak, J.; Baranska, D.; Ussowicz, M.; Młynarski, W.; Zalewska-Szewczyk, B. Pulmonary Exacerbation of Undiagnosed Toxocariasis in Intensively-Treated High-Risk Neuroblastoma Patients. Children 2020, 7, 169. https://doi.org/10.3390/children7100169
Janczar S, Bulas M, Walenciak J, Baranska D, Ussowicz M, Młynarski W, Zalewska-Szewczyk B. Pulmonary Exacerbation of Undiagnosed Toxocariasis in Intensively-Treated High-Risk Neuroblastoma Patients. Children. 2020; 7(10):169. https://doi.org/10.3390/children7100169
Chicago/Turabian StyleJanczar, Szymon, Monika Bulas, Justyna Walenciak, Dobromila Baranska, Marek Ussowicz, Wojciech Młynarski, and Beata Zalewska-Szewczyk. 2020. "Pulmonary Exacerbation of Undiagnosed Toxocariasis in Intensively-Treated High-Risk Neuroblastoma Patients" Children 7, no. 10: 169. https://doi.org/10.3390/children7100169
APA StyleJanczar, S., Bulas, M., Walenciak, J., Baranska, D., Ussowicz, M., Młynarski, W., & Zalewska-Szewczyk, B. (2020). Pulmonary Exacerbation of Undiagnosed Toxocariasis in Intensively-Treated High-Risk Neuroblastoma Patients. Children, 7(10), 169. https://doi.org/10.3390/children7100169

