Genomic and Proteomic Analysis of Pseudomonas aeruginosa Isolated from Industrial Wastewater to Assess Its Resistance to Antibiotics
Abstract
:1. Introduction
2. Materials and Methods
2.1. Isolation and Cultivation of Bacteria from Industrial Wastewater
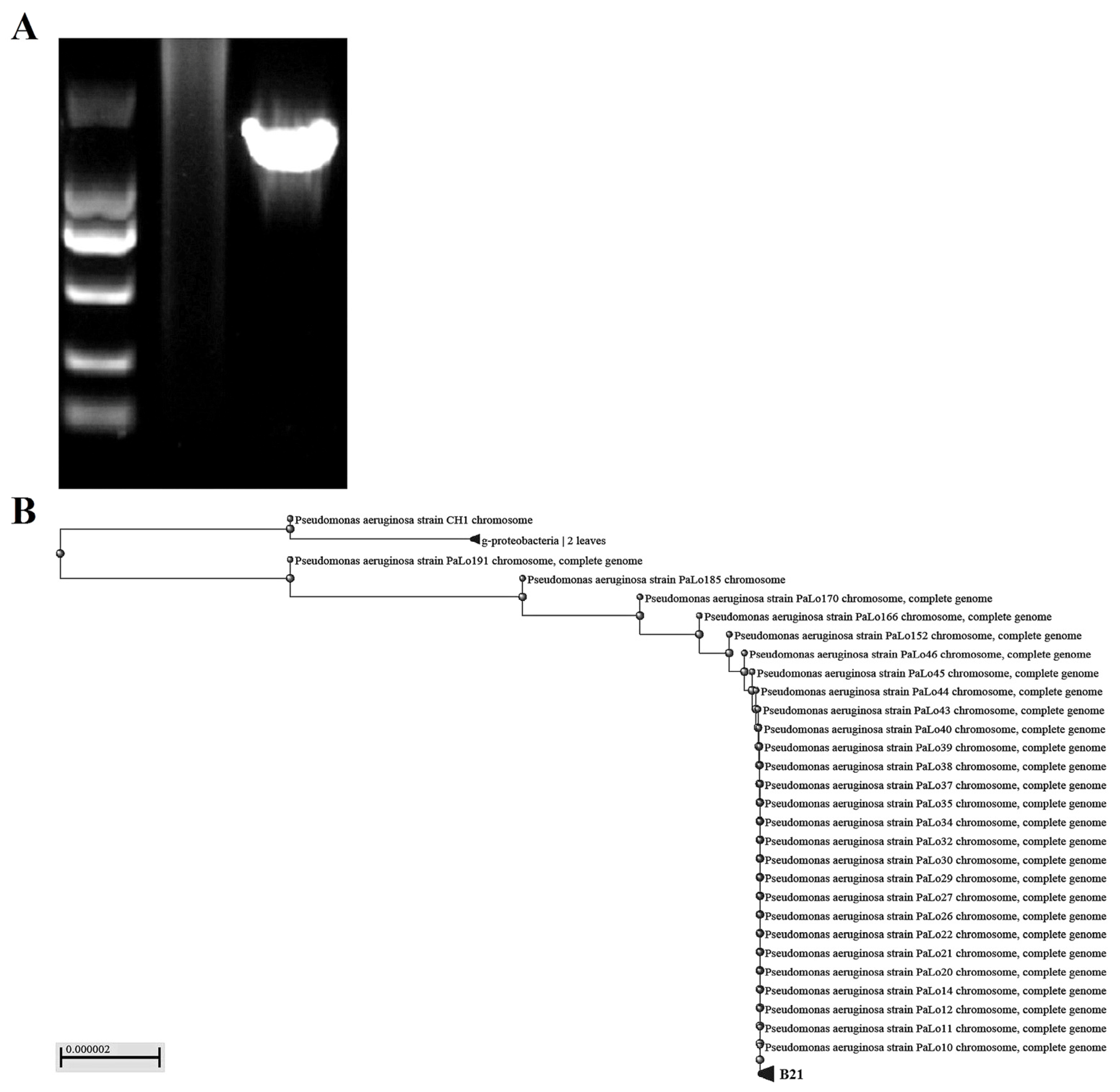
2.2. Plasmid and Genome DNA Purification
2.3. Establishment of a Phylogenetic Tree
2.4. Matrix-Assisted Laser Desorption Ionization Time of Flight Mass Spectrometry Was Used for Rapid Identification
2.5. Biochemical Experiments on Microorganisms
2.6. Experiments of Antimicrobial Resistance
2.7. Observation of the Growth Pattern of This Bacterium
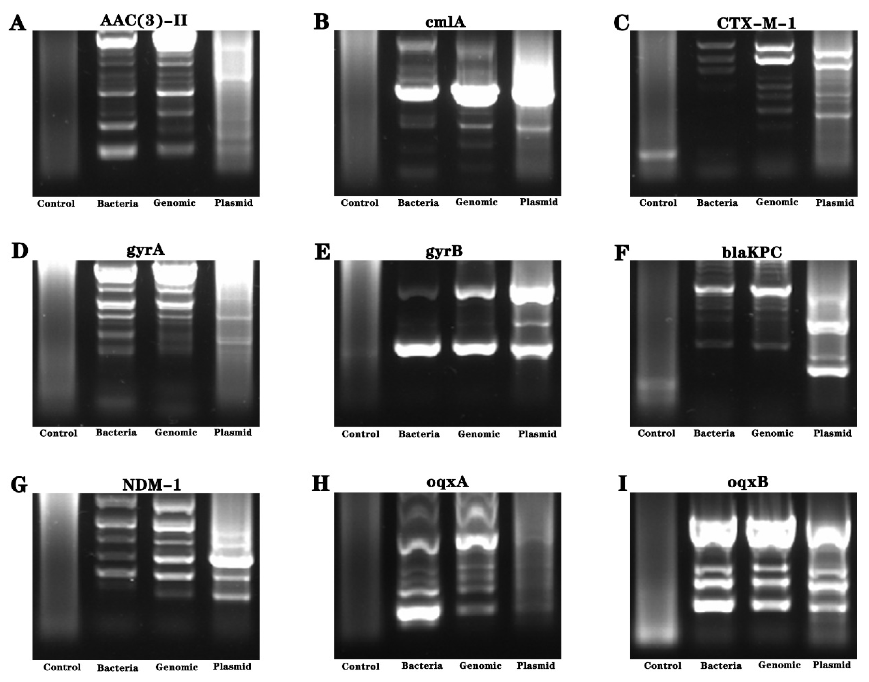
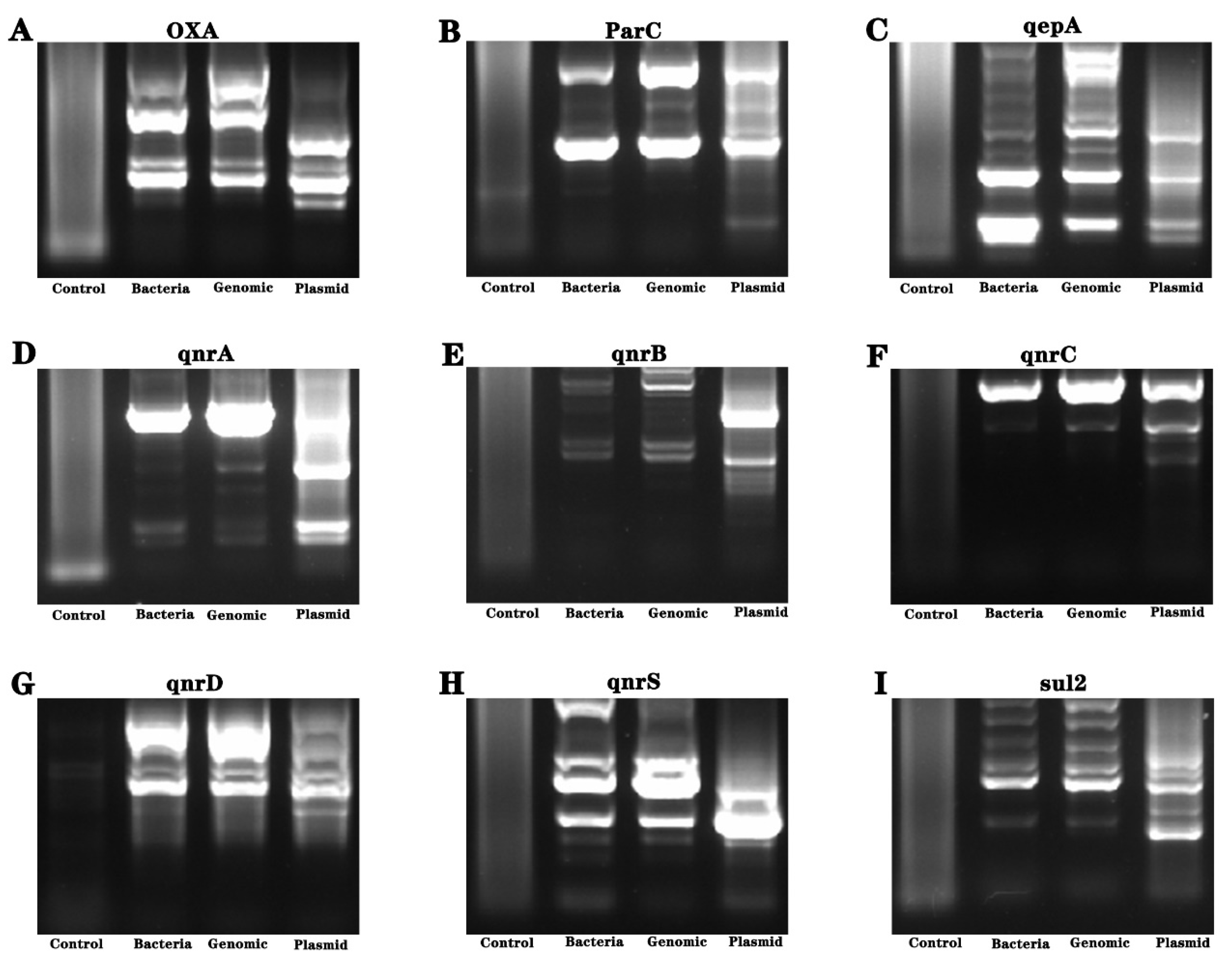
2.8. Drug Resistance Genes Testing
2.9. Proteomic Analysis
3. Results
3.1. The Rapid Identification of Pseudomonas aeruginosa by Matrix-Assisted Flight Mass Spectrometry
3.2. Molecular Biological Identification of Pseudomonas aeruginosa
3.3. Biochemical Identification of Pseudomonas aeruginosa
3.4. Analysis of Antibiotic Resistance in Pseudomonas aeruginosa
3.5. Growth Experiment on Pseudomonas aeruginosa
3.6. Drug Resistance Gene Detection Test
3.7. Proteomics Analysis
4. Discussion
5. Conclusions
Author Contributions
Funding
Institutional Review Board Statement
Data Availability Statement
Conflicts of Interest
References
- Wang, H.; Sun, C.; Chen, X.; Yan, K.; He, H. Isolation of Pseudomonas oleovorans Carrying Multidrug Resistance Proteins MdtA and MdtB from Wastewater. Molecules 2023, 28, 5403. [Google Scholar] [CrossRef] [PubMed]
- Koul, Y.; Devda, V.; Varjani, S.; Guo, W.; Ngo, H.H.; Taherzadeh, M.J.; Chang, J.S.; Wong, J.W.C.; Bilal, M.; Kim, S.H.; et al. Microbial electrolysis: A promising approach for treatment and resource recovery from industrial wastewater. Bioengineered 2022, 13, 8115–8134. [Google Scholar] [CrossRef] [PubMed]
- Saravanan, A.; Kumar, P.S.; Duc, P.A.; Rangasamy, G. Strategies for microbial bioremediation of environmental pollutants from industrial wastewater: A sustainable approach. Chemosphere 2023, 313, 137323. [Google Scholar] [CrossRef] [PubMed]
- Brunner, S.; Klessing, T.; Dotsch, A.; Sturm-Richter, K.; Gescher, J. Efficient Bioelectrochemical Conversion of Industrial Wastewater by Specific Strain Isolation and Community Adaptation. Front. Bioeng. Biotechnol. 2019, 7, 23. [Google Scholar] [CrossRef] [PubMed]
- Sommer, L.M.; Johansen, H.K.; Molin, S. Antibiotic resistance in Pseudomonas aeruginosa and adaptation to complex dynamic environments. Microb. Genom. 2020, 6, e000370. [Google Scholar] [CrossRef] [PubMed]
- Roulova, N.; Mot’kova, P.; Brozkova, I.; Pejchalova, M. Antibiotic resistance of Pseudomonas aeruginosa isolated from hospital wastewater in the Czech Republic. J. Water Health 2022, 20, 692–701. [Google Scholar] [CrossRef] [PubMed]
- Papanikolopoulou, A.; Gargalianos-Kakolyris, P.; Stoupis, A.; Moussas, N.; Pangalis, A.; Theodoridou, K.; Chronopoulou, G.; Pantazis, N.; Kantzanou, M.; Maltezou, H.C.; et al. Carbapenem-Resistant Pseudomonas aeruginosa Bacteremia, through a Six-Year Infection Control Program in a Hospital. Microorganisms 2023, 11, 1315. [Google Scholar] [CrossRef] [PubMed]
- Gil-Gil, T.; Laborda, P.; Ochoa-Sanchez, L.E.; Martinez, J.L.; Hernando-Amado, S. Efflux in Gram-negative bacteria: What are the latest opportunities for drug discovery? Expert Opin. Drug Discov. 2023, 18, 671–686. [Google Scholar] [CrossRef]
- Zahedi Bialvaei, A.; Rahbar, M.; Hamidi-Farahani, R.; Asgari, A.; Esmailkhani, A.; Mardani Dashti, Y.; Soleiman-Meigooni, S. Expression of RND efflux pumps mediated antibiotic resistance in Pseudomonas aeruginosa clinical strains. Microb. Pathog. 2021, 153, 104789. [Google Scholar] [CrossRef]
- Puzari, M.; Chetia, P. RND efflux pump mediated antibiotic resistance in Gram-negative bacteria Escherichia coli and Pseudomonas aeruginosa: A major issue worldwide. World J. Microbiol. Biotechnol. 2017, 33, 24. [Google Scholar] [CrossRef]
- Zhang, Y.; Qian, Y.; Zhang, M.; Qiao, W. Repairing of rutin to the toxicity of combined F-53B and chromium pollution on the biofilm formed by Pseudomonas aeruginosa. J. Environ. Sci. 2023, 127, 158–168. [Google Scholar] [CrossRef] [PubMed]
- Teerapo, K.; Roytrakul, S.; Sistayanarain, A.; Kunthalert, D. A scorpion venom peptide derivative BmKn—22 with potent antibiofilm activity against Pseudomonas aeruginosa. PLoS ONE 2019, 14, e0218479. [Google Scholar] [CrossRef] [PubMed]
- An, Q.; Deng, S.; Xu, J.; Nan, H.; Li, Z.; Song, J.L. Simultaneous reduction of nitrate and Cr(VI) by Pseudomonas aeruginosa strain G12 in wastewater. Ecotoxicol. Environ. Saf. 2020, 191, 110001. [Google Scholar] [CrossRef] [PubMed]
- Veetilvalappil, V.V.; Manuel, A.; Aranjani, J.M.; Tawale, R.; Koteshwara, A. Pathogenic arsenal of Pseudomonas aeruginosa: An update on virulence factors. Future Microbiol. 2022, 17, 465–481. [Google Scholar] [CrossRef] [PubMed]
- Bisht, K.; Baishya, J.; Wakeman, C.A. Pseudomonas aeruginosa polymicrobial interactions during lung infection. Curr. Opin. Microbiol. 2020, 53, 1–8. [Google Scholar] [CrossRef] [PubMed]
- Taudien, S.; Leszczynski, W.; Mayer, T.; Loderstadt, U.; Bader, O.; Kaase, M.; Scheithauer, S. Misidentification as Pseudomonas aeruginosa in hospital water supply samples. J. Hosp. Infect. 2023, 133, 23–27. [Google Scholar] [CrossRef]
- Subedi, D.; Vijay, A.K.; Willcox, M. Overview of mechanisms of antibiotic resistance in Pseudomonas aeruginosa: An ocular perspective. Clin. Exp. Optom. 2018, 101, 162–171. [Google Scholar] [CrossRef]
- Chug, R.; Mathur, S.; Kothari, S.L.; Harish; Gour, V.S. Maximizing EPS production from Pseudomonas aeruginosa and its application in Cr and Ni sequestration. Biochem. Biophys. Rep. 2021, 26, 100972. [Google Scholar] [CrossRef]
- Sutar, V.P.; Mali, G.V.; Upadhye, V.; Singh, V.K.; Sinha, R.P. Purification of Lipase from Pseudomonas aeruginosa VSJK R-9 and Its Application in Combination with the Lipolytic Consortium for Bioremediation of Restaurant Wastewater. Appl. Biochem. Biotechnol. 2023, 195, 1888–1903. [Google Scholar] [CrossRef]
- Mahgoub, S.A.; Qattan, S.Y.A.; Salem, S.S.; Abdelbasit, H.M.; Raafat, M.; Ashkan, M.F.; Al-Quwaie, D.A.; Motwali, E.A.; Alqahtani, F.S.; Abd El-Fattah, H.I. Characterization and Biodegradation of Phenol by Pseudomonas aeruginosa and Klebsiella variicola Strains Isolated from Sewage Sludge and Their Effect on Soybean Seeds Germination. Molecules 2023, 28, 1203. [Google Scholar] [CrossRef]
- Hosseini Zabet, A.; Ahmady-Asbchin, S. Investigation of cadmium and nickel biosorption by Pseudomonas sp. via response surface methodology. World J. Microbiol. Biotechnol. 2023, 39, 135. [Google Scholar] [CrossRef] [PubMed]
- Tang, H.; Zhang, Y.; Hu, J.; Li, Y.; Li, N.; Wang, M. Mixture of different Pseudomonas aeruginosa SD-1 strains in the efficient bioaugmentation for synthetic livestock wastewater treatment. Chemosphere 2019, 237, 124455. [Google Scholar] [CrossRef] [PubMed]
- Sun, S.; Wang, Y.; Zang, T.; Wei, J.; Wu, H.; Wei, C.; Qiu, G.; Li, F. A biosurfactant-producing Pseudomonas aeruginosa S5 isolated from coking wastewater and its application for bioremediation of polycyclic aromatic hydrocarbons. Bioresour. Technol. 2019, 281, 421–428. [Google Scholar] [CrossRef] [PubMed]
- Zang, T.; Wu, H.; Zhang, Y.; Wei, C. The response of polycyclic aromatic hydrocarbon degradation in coking wastewater treatment after bioaugmentation with biosurfactant-producing bacteria Pseudomonas aeruginosa S5. Water Sci. Technol. 2021, 83, 1017–1027. [Google Scholar] [CrossRef] [PubMed]
- Divyashree, M.; Mani, M.K.; Karunasagar, I. Association of exopolysaccharide genes in biofilm developing antibiotic-resistant Pseudomonas aeruginosa from hospital wastewater. J. Water Health 2022, 20, 176–184. [Google Scholar] [CrossRef] [PubMed]
- Dehkordi, S.M.H.; Anvar, S.A.; Rahimi, E.; Ahari, H.; Ataee, M. Molecular investigation of prevalence, phenotypic and genotypic diversity, antibiotic resistance, frequency of virulence genes and genome sequencing in Pseudomonas aeruginosa strains isolated from lobster. Int. J. Food Microbiol. 2022, 382, 109901. [Google Scholar] [CrossRef] [PubMed]
- Collin, F.; Karkare, S.; Maxwell, A. Exploiting bacterial DNA gyrase as a drug target: Current state and perspectives. Appl. Microbiol. Biotechnol. 2011, 92, 479–497. [Google Scholar] [CrossRef]
- Zidar, N.; Tomasic, T.; Macut, H.; Sirc, A.; Brvar, M.; Montalvao, S.; Tammela, P.; Ilas, J.; Kikelj, D. New N-phenyl-4,5-dibromopyrrolamides and N-Phenylindolamides as ATPase inhibitors of DNA gyrase. Eur. J. Med. Chem. 2016, 117, 197–211. [Google Scholar] [CrossRef]
- Kaul, M.; Mark, L.; Zhang, Y.; Parhi, A.K.; Lyu, Y.L.; Pawlak, J.; Saravolatz, S.; Saravolatz, L.D.; Weinstein, M.P.; LaVoie, E.J.; et al. TXA709, an FtsZ-Targeting Benzamide Prodrug with Improved Pharmacokinetics and Enhanced In Vivo Efficacy against Methicillin-Resistant Staphylococcus aureus. Antimicrob. Agents Chemother. 2015, 59, 4845–4855. [Google Scholar] [CrossRef]
- Feng, X.; Zhang, Z.; Li, X.; Song, Y.; Kang, J.; Yin, D.; Gao, Y.; Shi, N.; Duan, J. Mutations in gyrB play an important role in ciprofloxacin-resistant Pseudomonas aeruginosa. Infect. Drug Resist. 2019, 12, 261–272. [Google Scholar] [CrossRef]
- Cabrera, R.; Fernandez-Barat, L.; Vazquez, N.; Alcaraz-Serrano, V.; Bueno-Freire, L.; Amaro, R.; Lopez-Aladid, R.; Oscanoa, P.; Munoz, L.; Vila, J.; et al. Resistance mechanisms and molecular epidemiology of Pseudomonas aeruginosa strains from patients with bronchiectasis. J. Antimicrob. Chemother. 2022, 77, 1600–1610. [Google Scholar] [CrossRef] [PubMed]
- Pang, Z.; Raudonis, R.; Glick, B.R.; Lin, T.J.; Cheng, Z. Antibiotic resistance in Pseudomonas aeruginosa: Mechanisms and alternative therapeutic strategies. Biotechnol. Adv. 2019, 37, 177–192. [Google Scholar] [CrossRef] [PubMed]
- Goli, H.R.; Nahaei, M.R.; Rezaee, M.A.; Hasani, A.; Samadi Kafil, H.; Aghazadeh, M.; Sheikhalizadeh, V. Contribution of mexAB-oprM and mexXY (-oprA) efflux operons in antibiotic resistance of clinical Pseudomonas aeruginosa isolates in Tabriz, Iran. Infect. Genet. Evol. 2016, 45, 75–82. [Google Scholar] [CrossRef] [PubMed]
- Sharma, S.; Devkota, M.D.; Pokhrel, B.M.; Banjara, M.R. Detection of bla(NDM-1,)mcr-1 and MexB in multidrug resistant Pseudomonas aeruginosa isolated from clinical specimens in a tertiary care hospital of Nepal. BMC Microbiol. 2023, 23, 153. [Google Scholar] [CrossRef] [PubMed]
- Abed, W.H.; Kareem, S.M. Molecular detection of gyrA and mexA genes in Pseudomonas aeruginosa. Mol. Biol. Rep. 2021, 48, 7907–7912. [Google Scholar] [CrossRef] [PubMed]
- Glavier, M.; Puvanendran, D.; Salvador, D.; Decossas, M.; Phan, G.; Garnier, C.; Frezza, E.; Cece, Q.; Schoehn, G.; Picard, M.; et al. Antibiotic export by MexB multidrug efflux transporter is allosterically controlled by a MexA-OprM chaperone-like complex. Nat. Commun. 2020, 11, 4948. [Google Scholar] [CrossRef]





| Item | Name | Abbreviation | Results |
|---|---|---|---|
| 1 | Citrate utilization | CIT | P |
| 2 | Anaerobic glucose fermentation | GLUf | N |
| 3 | Acid production of fructose | FRU | N |
| 4 | Hydrogen sulfide production | H2S | N |
| 5 | Nitrate reduction | NIT | P |
| 6 | Ornithine decarboxylase | ODC | N |
| 7 | Acid production of lactose | LAC | N |
| 8 | Arginine dihydrolase | ADH | P |
| 9 | Acid production of sucrose | SAC | N |
| 10 | Lysine decarboxylase | LDC | N |
| 11 | Acid production of mannose | MNE | P |
| 12 | Amino acid control | C | N |
| 13 | Acetamide | ACE | P |
| 14 | Urease | URE | N |
| 15 | Galactosidase | ONPG | P |
| 16 | Aescin hydrolysis | ESC | N |
| 17 | Malonic acid salt utilization | MLT | P |
| 18 | Gelatin hydrolysis | GEL | P |
| 19 | Acid production of xylose | XYL | P |
| 20 | Acid production of maltose | MAL | N |
| 21 | Acid production of aerobic glucose | GLU | P |
| 22 | Production of indole | IND | N |
| 23 | Acid production of mannitol | MAN | N |
| 24 | Malic acid utilization | MTE | P |
| Item | Drug Name | Abbreviation | MIC Value | Results |
|---|---|---|---|---|
| 1 | Polymyxin B | PB | ≤2 | Intermediate |
| 2 | Polymyxin E | CT | ≤2 | Intermediate |
| 3 | Ceftazidime | CAZ | =2 | Susceptible |
| 4 | Tetracycline | TET | ≥16 | / |
| 5 | Piperacillin/tazobactam | P/T | ≤4/4 | Susceptible |
| 6 | Cefoperazone/sulbactam | CPS | =8/4 | Susceptible |
| 7 | Gentamicin | GEN | ≤2 | Susceptible |
| 8 | Piperacillin | PIP | ≤8 | Susceptible |
| 9 | Tobramycin | TOB | ≤1 | Susceptible |
| 10 | Minocycline | MIN | >16 | / |
| 11 | Imipenem | IPM | ≤1 | Susceptible |
| 12 | Ceftriaxone | CRO | =32 | / |
| 13 | Ciprofloxacin | CIP | ≤1 | Susceptible |
| 14 | Ticarcillin/clavulanic acid | TIM | =16/2 | Susceptible |
| 15 | Cefepime | FEP | ≤2 | Susceptible |
| 16 | Doxycycline | DOX | ≥16 | / |
| 17 | Aztreonam | ATM | =8 | Susceptible |
| 18 | Ampicillin/sulbactam | AMS | >32/16 | / |
| 19 | Meropene M | MRP | ≤1 | Susceptible |
| 20 | Chloramphenicol | CHL | >32 | / |
| 21 | Compound xinnuomin | SXT | >4/76 | / |
| 22 | Cefotaxime | CTX | =32 | / |
| 23 | Levofloxacin | LEV | ≤2 | Susceptible |
| 24 | Amikacin | AMK | ≤4 | Susceptible |
| Test Group | Input | Time (h) | Peak Point (OD) |
|---|---|---|---|
| 1 | 1 μL | 13 | 4.94 |
| 2 | 10 μL | 13 | 5.08 |
| 3 | 20 μL | 13 | 5 |
| 4 | 40 μL | 13 | 4.92 |
| 5 | 60 μL | 12 | 4.98 |
| 6 | 80 μL | 12 | 4.91 |
| 7 | 100 μL | 12 | 4.84 |
| Item | Proteomics Analysis |
|---|---|
| 1 | Multidrug resistance protein MexA |
| 2 | Multidrug resistance protein MexB |
| 3 | Multidrug resistance operon repressor |
| 4 | Multidrug ABC transporter ATPase |
| 5 | RND multidrug efflux membrane fusion protein |
| 6 | Multidrug transporter |
Disclaimer/Publisher’s Note: The statements, opinions and data contained in all publications are solely those of the individual author(s) and contributor(s) and not of MDPI and/or the editor(s). MDPI and/or the editor(s) disclaim responsibility for any injury to people or property resulting from any ideas, methods, instructions or products referred to in the content. |
© 2023 by the authors. Licensee MDPI, Basel, Switzerland. This article is an open access article distributed under the terms and conditions of the Creative Commons Attribution (CC BY) license (https://creativecommons.org/licenses/by/4.0/).
Share and Cite
Wang, Z.; Tian, W.; Sun, S.; Chen, X.; Wang, H. Genomic and Proteomic Analysis of Pseudomonas aeruginosa Isolated from Industrial Wastewater to Assess Its Resistance to Antibiotics. Separations 2023, 10, 549. https://doi.org/10.3390/separations10110549
Wang Z, Tian W, Sun S, Chen X, Wang H. Genomic and Proteomic Analysis of Pseudomonas aeruginosa Isolated from Industrial Wastewater to Assess Its Resistance to Antibiotics. Separations. 2023; 10(11):549. https://doi.org/10.3390/separations10110549
Chicago/Turabian StyleWang, Zongwu, Wantao Tian, Siyuan Sun, Xing Chen, and Haifeng Wang. 2023. "Genomic and Proteomic Analysis of Pseudomonas aeruginosa Isolated from Industrial Wastewater to Assess Its Resistance to Antibiotics" Separations 10, no. 11: 549. https://doi.org/10.3390/separations10110549
APA StyleWang, Z., Tian, W., Sun, S., Chen, X., & Wang, H. (2023). Genomic and Proteomic Analysis of Pseudomonas aeruginosa Isolated from Industrial Wastewater to Assess Its Resistance to Antibiotics. Separations, 10(11), 549. https://doi.org/10.3390/separations10110549

