An Unusual Cause of Right Heart Dysfunction and High Output Heart Failure in a Young Woman
Abstract
1. Introduction
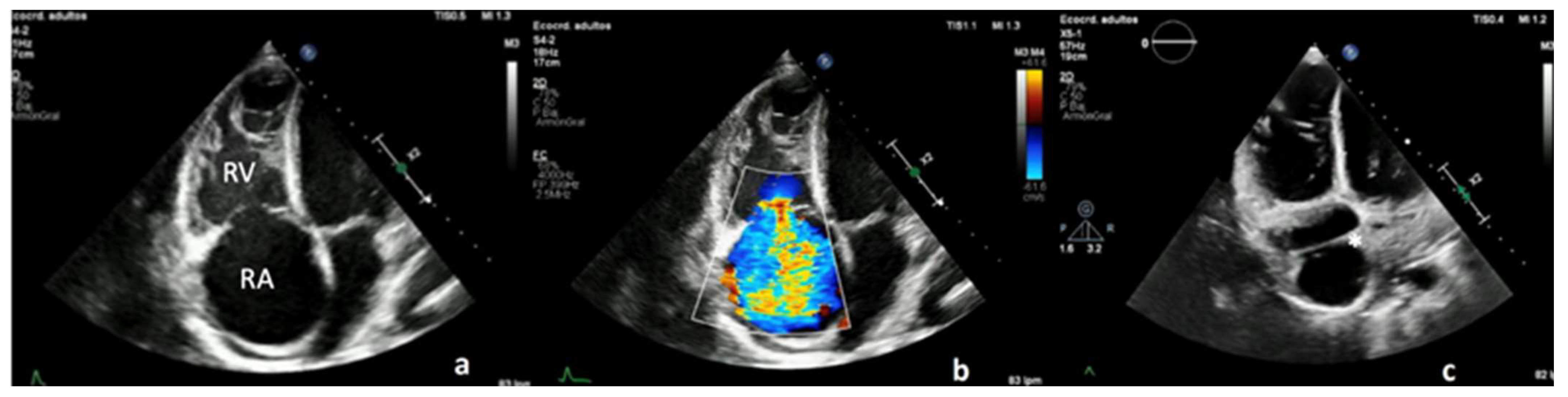
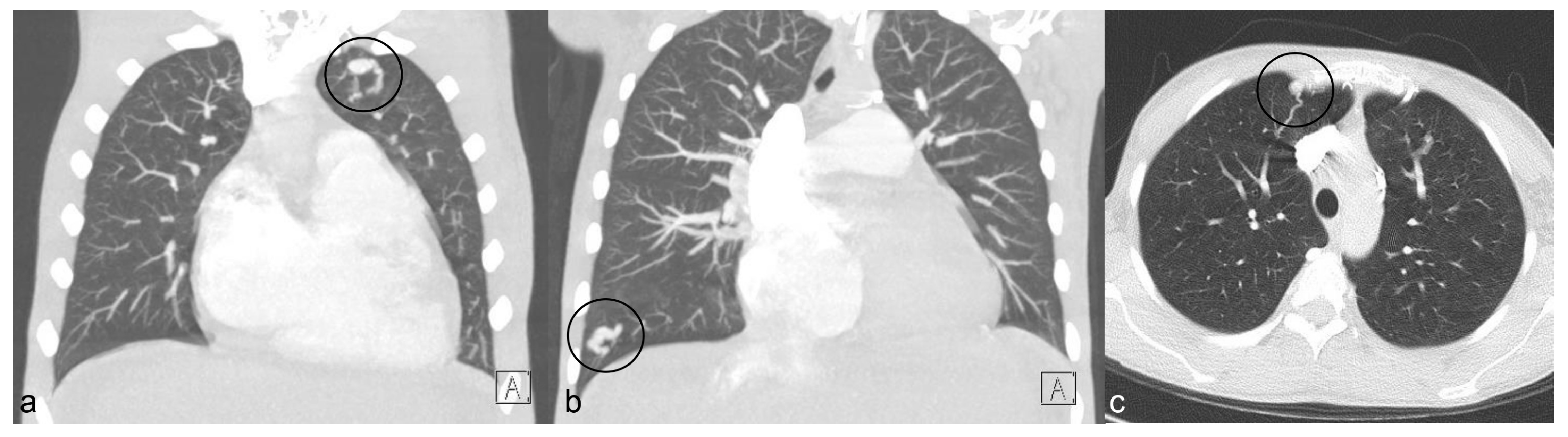
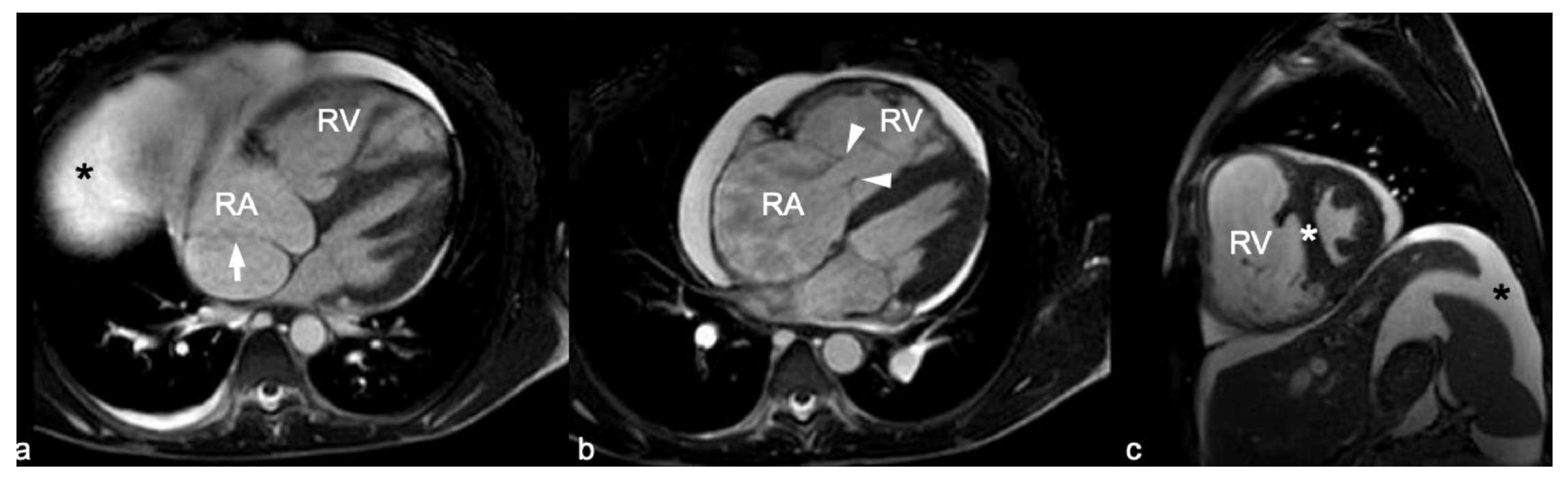
2. Case Presentation
3. Discussion
4. Conclusions
Author Contributions
Funding
Institutional Review Board Statement
Informed Consent Statement
Data Availability Statement
Conflicts of Interest
References
- Saparia, T.; E Faughnan, M.; Schneider, J.L.; Almers, L.M.; Chow, N.; Grosse, S.D.; Kim, H.; Zaroff, J.G. Assessing the Hereditary Hemorrhagic Telangiectasia Algorithms in a Community-Based Patient Population. Perm. J. 2019, 23, 18–145. [Google Scholar] [CrossRef] [PubMed]
- Kritharis, A.; Al-Samkari, H.; Kuter, D.J. Hereditary hemorrhagic telangiectasia: Diagnosis and management from the hematologist’s perspective. Haematologica 2018, 103, 1433–1443. [Google Scholar] [CrossRef] [PubMed]
- Letteboer, T.G.W.; Zewald, R.A.; Kamping, E.J.; De Haas, G.; Mager, J.J.; Snijder, R.J.; Lindhout, D.; Hennekam, F.A.M.; Westermann, C.J.J.; Van Amstel, J.K.P. Hereditary hemorrhagic telangiectasia: ENG and ALK-1 mutations in Dutch patients. Qual. Life Res. 2004, 116, 8–16. [Google Scholar] [CrossRef] [PubMed]
- Viteri-Noël, A.; González-García, A.; Patier, J.L.; Fabregate, M.; Bara-Ledesma, N.; López-Rodríguez, M.; del Olmo, V.G.; Manzano, L. Hereditary Hemorrhagic Telangiectasia: Genetics, Pathophysiology, Diagnosis, and Management. J. Clin. Med. 2022, 11, 5245. [Google Scholar] [CrossRef] [PubMed]
- Farooqui, M.; Suriya, S.; Qeadan, F.; Vigil, C.; Wegele, A.; Ikram, A.; Quadri, S.A.; Robinson, M.; Rodriguez-Lopez, J.; Ortega-Gutierrez, S.; et al. Cerebrovascular and cardiovascular disease burden in patients with hereditary hemorrhagic telangiectasia. Neurol. Sci. 2021, 42, 5117–5122. [Google Scholar] [CrossRef] [PubMed]
- Garcia-Tsao, G. Liver involvement in hereditary hemorrhagic telangiectasia (HHT). J. Hepatol. 2007, 46, 499–507. Available online: https://linkinghub.elsevier.com/retrieve/pii/S0168827806006878 (accessed on 10 July 2022). [CrossRef] [PubMed]
- Ianora, A.A.S.; Memeo, M.; Sabba, C.; Cirulli, A.; Rotondo, A.; Angelelli, G. Hereditary Hemorrhagic Telangiectasia: Multi–Detector Row Helical CT Assessment of Hepatic Involvement. Radiology 2004, 230, 250–259. [Google Scholar] [CrossRef] [PubMed]
- Brenard, R.; Chapaux, X.; Deltenre, P.; Henrion, J.; De Maeght, S.; Horsmans, Y.; Borbath, I.; Leenaerts, A.; Van Cauter, J.; Francque, S.; et al. Large spectrum of liver vascular lesions including high prevalence of focal nodular hyperplasia in patients with hereditary haemorrhagic telangiectasia: The Belgian Registry based on 30 patients. Eur. J. Gastroenterol. Hepatol. 2010, 22, 1253–1259. Available online: http://journals.lww.com/00042737-201010000-00015 (accessed on 10 July 2022). [CrossRef] [PubMed]
- Vorselaars, V.M.; Velthuis, S.; Snijder, R.J.; Vos, J.A.; Mager, J.J.; Post, M.C. Pulmonary hypertension in hereditary haemorrhagic telangiectasia. World J. Cardiol. 2015, 7, 230–237. Available online: http://www.wjgnet.com/1949-8462/full/v7/i5/230.htm (accessed on 10 July 2022). [CrossRef] [PubMed]
- Faughnan, M.E.; Granton, J.T.; Young, L.H. The pulmonary vascular complications of hereditary haemorrhagic telangiectasia. Eur. Respir. J. 2009, 33, 1186–1194. [Google Scholar] [CrossRef] [PubMed]
- Sabbà, C.; Pompili, M. Review article: The hepatic manifestations of hereditary haemorrhagic telangiectasia. Aliment. Pharmacol. Ther. 2008, 28, 523–533. [Google Scholar] [CrossRef] [PubMed]
- Reddy, Y.N.V.; Melenovsky, V.; Redfield, M.M.; Nishimura, R.A.; Borlaug, B.A. High-Output Heart Failure. J. Am. Coll. Cardiol. 2016, 68, 473–482. Available online: https://linkinghub.elsevier.com/retrieve/pii/S0735109716332697 (accessed on 10 July 2022). [CrossRef] [PubMed]
- Wu, P.R.; Horwith, A.; Mai, S.; Parikh, M.; Tyagi, G.; Pai, R.G. High-Output Cardiac Failure Due to Hereditary Hemorrhagic Telangiectasia: A Case of an Extra-Cardiac Left to Right Shunt. Int. J. Angiol. 2017, 26, 125–129. [Google Scholar] [CrossRef]
- Faughnan, M.E.; Palda, V.A.; Garcia-Tsao, G.; Geisthoff, U.W.; McDonald, J.; Proctor, D.D.; Spears, J.; Brown, D.H.; Buscarini, E.; Chesnutt, M.S.; et al. International guidelines for the diagnosis and management of hereditary haemorrhagic telangiectasia. J. Med. Genet. 2011, 48, 73–87. [Google Scholar] [CrossRef]
- McDonald, J.; Bayrak-Toydemir, P.; DeMille, D.; Wooderchak-Donahue, W.; Whitehead, K. Curaçao diagnostic criteria for hereditary hemorrhagic telangiectasia is highly predictive of a pathogenic variant in ENG or ACVRL1 (HHT1 and HHT2). Genet. Med. 2020, 22, 1201–1205. Available online: https://linkinghub.elsevier.com/retrieve/pii/S1098360021011758 (accessed on 10 July 2022). [CrossRef]
- Cho, D.; Kim, S.; Kim, M.; Seo, Y.H.; Kim, W.; Kang, S.H.; Park, S.-M.; Shim, W. Two Cases of High Output Heart Failure Caused by Hereditary Hemorrhagic Telangiectasia. Korean Circ. J. 2012, 42, 861–865. [Google Scholar] [CrossRef] [PubMed]
- Blum, A.; Shalabi, R. Osler-Weber-Rendu (OWR) Disease and Heart Failure. Clin. Med. Insights Cardiol. 2009, 3, 121–123. [Google Scholar] [CrossRef]
- Wasse, H.; Singapuri, M.S. High-Output Heart Failure: How to Define It, When to Treat It, and How to Treat It. Semin. Nephrol. 2012, 32, 551–557. Available online: https://linkinghub.elsevier.com/retrieve/pii/S0270929512002252 (accessed on 10 July 2022). [CrossRef] [PubMed]
- Ginon, I.; Decullier, E.; Finet, G.; Cordier, J.-F.; Marion, D.; Saurin, J.-C.; Dupuis-Girod, S. Hereditary hemorrhagic telangiectasia, liver vascular malformations and cardiac consequences. Eur. J. Intern. Med. 2013, 24, e35–e39. Available online: https://linkinghub.elsevier.com/retrieve/pii/S095362051200338X (accessed on 10 July 2022). [CrossRef] [PubMed]
- Mehta, P.; Dubrey, S. High output heart failure. QJM Int. J. Med. 2008, 102, 235–241. [Google Scholar] [CrossRef] [PubMed]
- Al-Samkari, H. Hereditary hemorrhagic telangiectasia: Systemic therapies, guidelines, and an evolving standard of care. Blood 2021, 137, 888–895. Available online: https://ashpublications.org/blood/article/137/7/888/474132/Hereditary-hemorrhagic-telangiectasia-systemic (accessed on 10 July 2022). [CrossRef] [PubMed]
- Robert, F.; Desroches-Castan, A.; Bailly, S.; Dupuis-Girod, S.; Feige, J.-J. Future treatments for hereditary hemorrhagic telangiectasia. Orphanet J. Rare Dis. 2020, 15, 1–10. [Google Scholar] [CrossRef] [PubMed]
- Flower, M.; Chern, B. A case report of successful treatment of high-output heart failure secondary to hereditary haemorrhagic telangiectasia with bevacizumab. Oxf. Med Case Rep. 2019, 2019, omz046. [Google Scholar] [CrossRef] [PubMed]
- Rajiah, P.; MacNamara, J.; Chaturvedi, A.; Ashwath, R.; Fulton, N.L.; Goerne, H. Bands in the Heart: Multimodality Imaging Review. RadioGraphics 2019, 39, 1238–1263. [Google Scholar] [CrossRef]
- Sánchez-Brotons, J.A.; López-Pardo, F.J.; Rodríguez-Puras, M.J.; López-Haldón, J.E. Cor Triatriatum Dexter in Adults. Rev. Española De Cardiol. 2010, 63, 998–999. Available online: https://linkinghub.elsevier.com/retrieve/pii/S1885585710701961 (accessed on 10 July 2022). [CrossRef]




Publisher’s Note: MDPI stays neutral with regard to jurisdictional claims in published maps and institutional affiliations. |
© 2022 by the authors. Licensee MDPI, Basel, Switzerland. This article is an open access article distributed under the terms and conditions of the Creative Commons Attribution (CC BY) license (https://creativecommons.org/licenses/by/4.0/).
Share and Cite
Ariza Ordoñez, N.; Pino Marín, A.; Bonilla Crespo, J.S.; Navarro Navajas, A.; Oliver, G.A.; Medina, H.M.; Forero, J.F. An Unusual Cause of Right Heart Dysfunction and High Output Heart Failure in a Young Woman. J. Cardiovasc. Dev. Dis. 2022, 9, 418. https://doi.org/10.3390/jcdd9120418
Ariza Ordoñez N, Pino Marín A, Bonilla Crespo JS, Navarro Navajas A, Oliver GA, Medina HM, Forero JF. An Unusual Cause of Right Heart Dysfunction and High Output Heart Failure in a Young Woman. Journal of Cardiovascular Development and Disease. 2022; 9(12):418. https://doi.org/10.3390/jcdd9120418
Chicago/Turabian StyleAriza Ordoñez, Nicolás, Antonia Pino Marín, Juan Sebastián Bonilla Crespo, Alberto Navarro Navajas, Gabriel Antonio Oliver, Hector M. Medina, and Julián F. Forero. 2022. "An Unusual Cause of Right Heart Dysfunction and High Output Heart Failure in a Young Woman" Journal of Cardiovascular Development and Disease 9, no. 12: 418. https://doi.org/10.3390/jcdd9120418
APA StyleAriza Ordoñez, N., Pino Marín, A., Bonilla Crespo, J. S., Navarro Navajas, A., Oliver, G. A., Medina, H. M., & Forero, J. F. (2022). An Unusual Cause of Right Heart Dysfunction and High Output Heart Failure in a Young Woman. Journal of Cardiovascular Development and Disease, 9(12), 418. https://doi.org/10.3390/jcdd9120418

