Biomechanical Multipurpose Miniscrew Strategy for Simultaneous Distalization in Class II Patients—The BiGa System
Abstract
1. Introduction
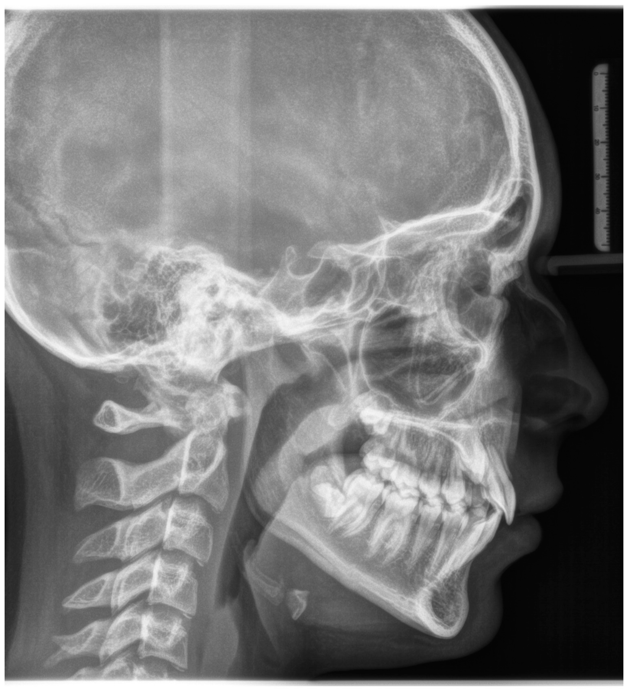
2. Case Report
2.1. Treatment Progress
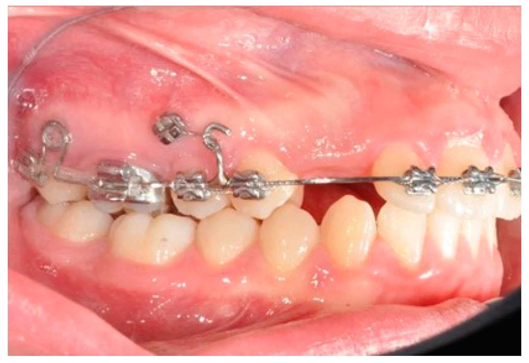
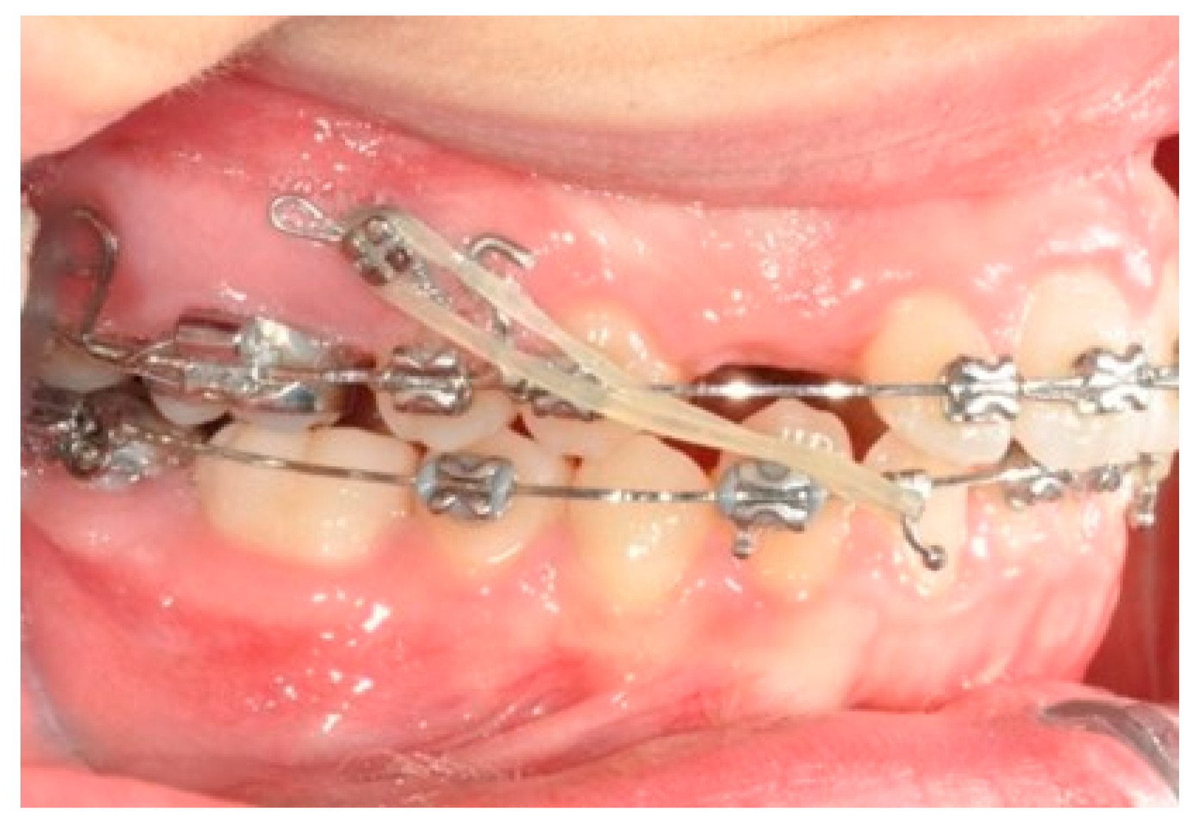
2.2. Molars’ and Premolars’ Distalization
2.3. Canine and Incisor Distalization
3. Discussion
Author Contributions
Funding
Institutional Review Board Statement
Informed Consent Statement
Data Availability Statement
Conflicts of Interest
References
- Upadhyay, M.; Yadav, S.; Nanda, R. Biomechanics of incisor retraction with mini-implant anchorage. J. Orthod. 2014, 41 (Suppl. 1), S15–S23. [Google Scholar] [CrossRef]
- Tunçer, N.İ.; Arman-Özçırpıcı, A. Clinical effectiveness of buccally and palatally anchored maxillary molar distalization: The miniscrew-supported 3-dimensional maxillary bimetric distalizing arch vs. the Beneslider. Am. J. Orthod. Dentofac. Orthop. 2022, 162, e337–e348. [Google Scholar] [CrossRef] [PubMed]
- Klontz, H.A. Tweed-Merrifield sequential directional force treatment. Semin. Orthod. 1996, 2, 254–267. [Google Scholar] [CrossRef] [PubMed]
- Gebeck, T.R.; Merrifield, L.L. Orthodontic diagnosis and treatment analysis—Concepts and values. Part I. Am. J. Orthod. Dentofac. Orthop. 1995, 107, 434–443. [Google Scholar] [CrossRef] [PubMed]
- Schudy, F.F. The rotation of the mandible resulting from growth: Its implications in orthodontic treatment. Angle Orthod. 1965, 35, 36–50. [Google Scholar] [PubMed]
- Chae, J.M.; Park, J.H.; Kojima, Y.; Tai, K.; Kook, Y.A.; Kyung, H.M. Biomechanical analysis for total distalization of the mandibular dentition: A finite element study. Am. J. Orthod. Dentofac. Orthop. 2019, 155, 388–397. [Google Scholar] [CrossRef] [PubMed]
- Alharbi, F.; Almuzian, M.; Bearn, D. Miniscrews failure rate in orthodontics: Systematic review and meta-analysis. Eur. J. Orthod. 2018, 40, 519–530. [Google Scholar] [CrossRef] [PubMed]
- Kravitz, N.D.; Kusnoto, B. Risks and complications of orthodontic miniscrews. Am. J. Orthod. Dentofac. Orthop. 2007, 131, S43–S51. [Google Scholar] [CrossRef] [PubMed]
- Tepedino, M.; Cattaneo, P.M.; Niu, X.; Cornelis, M.A. Interradicular sites and cortical bone thickness for miniscrew insertion: A systematic review with meta-analysis. Am. J. Orthod. Dentofac. Orthop. 2020, 158, 783–798.e20. [Google Scholar] [CrossRef] [PubMed]
- Oliveira, C.B.; Ayub, P.; Angelieri, F.; Murata, W.H.; Suzuki, S.S.; Ravelli, D.B.; Santos-Pinto, A. Evaluation of factors related to the success of miniscrew-assisted rapid palatal expansion. Angle Orthod. 2021, 91, 187–194. [Google Scholar] [CrossRef] [PubMed]













| Cephalometrics Value Pre-Post-Treatment | |||
|---|---|---|---|
| Normal Value | Pre Tx | Post Tx | |
| FMIA | 67 | 55 | 57 |
| FMA | 25 | 27 | 26 |
| IMPA | 88 | 98 | 97 |
| 1-MxP | 110 | 113 | 110 |
| SNA | 82 | 84 | 84 |
| SNB | 80 | 79 | 81 |
| ANB | 2 | 5 | 3 |
| AO-BO | 2 mm | 2 mm | 1 mm |
| OP | 10 | 8 | 5 |
| Z | 75 | 57 | 75 |
| PFH | 45 mm | 41 mm | 44 mm |
| AFH | 65 mm | 62 mm | 66 mm |
| INDEX | 0.69 | 0.67 | 0.68 |
Disclaimer/Publisher’s Note: The statements, opinions and data contained in all publications are solely those of the individual author(s) and contributor(s) and not of MDPI and/or the editor(s). MDPI and/or the editor(s) disclaim responsibility for any injury to people or property resulting from any ideas, methods, instructions or products referred to in the content. |
© 2024 by the authors. Licensee MDPI, Basel, Switzerland. This article is an open access article distributed under the terms and conditions of the Creative Commons Attribution (CC BY) license (https://creativecommons.org/licenses/by/4.0/).
Share and Cite
Di Carlo, G.; Biondi, G.; Gazzola, I.; Saccucci, M. Biomechanical Multipurpose Miniscrew Strategy for Simultaneous Distalization in Class II Patients—The BiGa System. Biomimetics 2024, 9, 305. https://doi.org/10.3390/biomimetics9050305
Di Carlo G, Biondi G, Gazzola I, Saccucci M. Biomechanical Multipurpose Miniscrew Strategy for Simultaneous Distalization in Class II Patients—The BiGa System. Biomimetics. 2024; 9(5):305. https://doi.org/10.3390/biomimetics9050305
Chicago/Turabian StyleDi Carlo, Gabriele, Guglielmo Biondi, Ivan Gazzola, and Matteo Saccucci. 2024. "Biomechanical Multipurpose Miniscrew Strategy for Simultaneous Distalization in Class II Patients—The BiGa System" Biomimetics 9, no. 5: 305. https://doi.org/10.3390/biomimetics9050305
APA StyleDi Carlo, G., Biondi, G., Gazzola, I., & Saccucci, M. (2024). Biomechanical Multipurpose Miniscrew Strategy for Simultaneous Distalization in Class II Patients—The BiGa System. Biomimetics, 9(5), 305. https://doi.org/10.3390/biomimetics9050305

