Clinical Course and Outcomes among COVID-19 Patients at the Hospitel in Bangkok: A Retrospective Study
Abstract
:1. Introduction
2. Materials and Methods
2.1. COVID-19 Management at the Hospitel
2.2. Case Severity
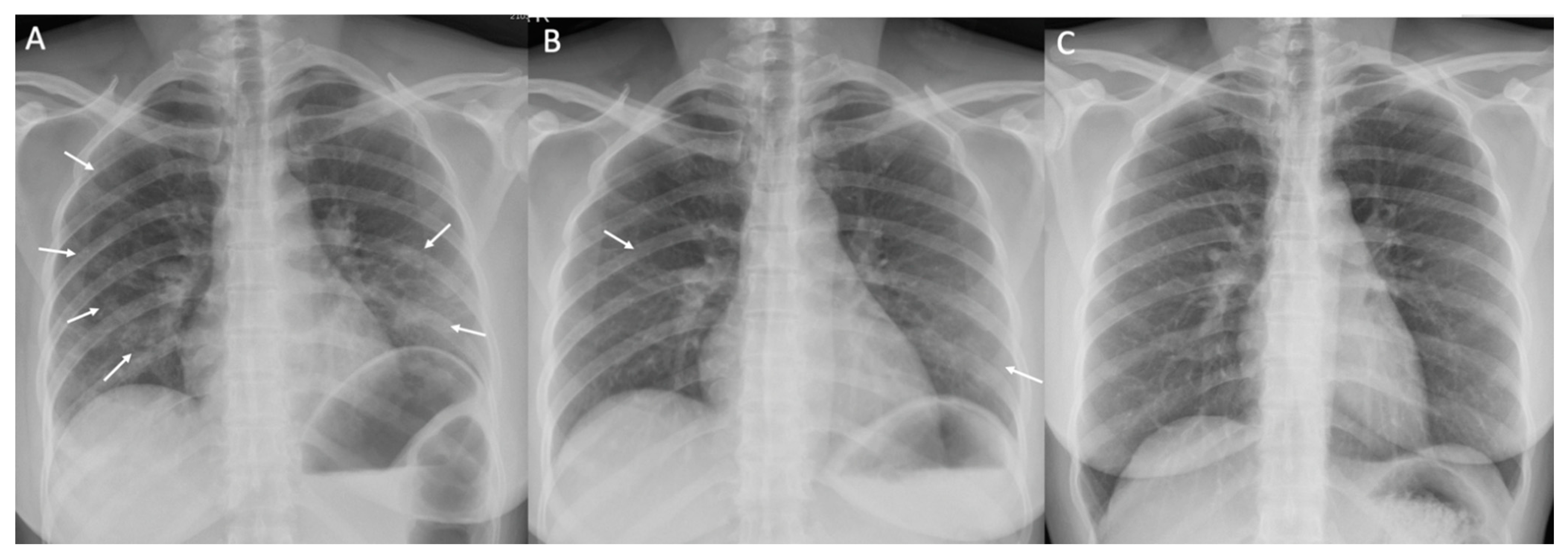
2.3. Radiographic Assessment
2.4. Statistical Analysis
3. Results
4. Discussion
5. Conclusions
Supplementary Materials
Author Contributions
Funding
Institutional Review Board Statement
Informed Consent Statement
Data Availability Statement
Acknowledgments
Conflicts of Interest
References
- Azevedo, T.C.P.D.; Melo, V.S.C.; Silva, R.M.D.; Barbosa, B.G.D.H.; Christofoletti, L.Z.D.M.; Nascimento, G.M.C.S.D.; Oliveira, G.S.L.D.; Barbosa, F.T.; Sousa-Rodrigues, C.F.D. Update of the epidemiological distribution of COVID-19 variants: A review article. Rev. Assoc. Med. Bras. 2021, 67, 1368–1371. [Google Scholar] [CrossRef] [PubMed]
- Bruminhent, J.; Ruangsubvilai, N.; Nabhindhakara, J.; Ingsathit, A.; Kiertiburanakul, S. Clinical characteristics and risk factors for coronavirus disease 2019 (COVID-19) among patients under investigation in Thailand. PLoS ONE 2020, 15, e0239250. [Google Scholar] [CrossRef] [PubMed]
- Emanuel, E.J.; Persad, G.; Upshur, R.; Thome, B.; Parker, M.; Glickman, A.; Zhang, C.; Boyle, C.; Smith, M.; Phillips, J.P. Fair allocation of scarce medical resources in the time of COVID-19. N. Engl. J. Med. 2020, 382, 2049–2055. [Google Scholar] [CrossRef] [PubMed]
- Lin, C.A.; Franco, J.B.; da Costa Ribeiro, S.C.; Dadalto, L.; Letaif, L.S.H. Scarce resource allocation for critically ill patients during the COVID-19 pandemic: A public health mergency in São Paulo Brazil. Clinics 2021, 76, e2191. [Google Scholar] [CrossRef] [PubMed]
- Elezkurtaj, S.; Greuel, S.; Ihlow, J.; Michaelis, E.G.; Bischoff, P.; Kunze, C.A.; Sinn, B.V.; Gerhold, M.; Hauptmann, K.; Ingold-Heppner, B. Causes of death and comorbidities in hospitalized patients with COVID-19. Sci. Rep. 2021, 11, 4263. [Google Scholar] [CrossRef] [PubMed]
- Pinyopornpanish, K.; Nantsupawat, N.; Buawangpong, N.; Pliannuom, S.; Vaniyapong, T.; Jiraporncharoen, W. Concerns of Home Isolating COVID-19 Patients While Receiving Care via Telemedicine during the Pandemic in the Northern Thailand: A Qualitative Study on Text Messaging. Int. J. Environ. Res. Public Health 2022, 19, 6591. [Google Scholar] [CrossRef] [PubMed]
- Yılmaz, Z.; Duman, S.; Öztürk, G.; Özdemir, H.; Hogan, G.; Karataş, K. Evaluating the home isolation of COVID-19 patients in primary care. J. Ideas Health 2021, 4, 357–364. [Google Scholar] [CrossRef]
- Wurzer, D.; Spielhagen, P.; Siegmann, A.; Gercekcioglu, A.; Gorgass, J.; Henze, S.; Kolar, Y.; Koneberg, F.; Kukkonen, S.; McGowan, H. Remote monitoring of COVID-19 positive high-risk patients in domestic isolation: A feasibility study. PLoS ONE 2021, 16, e0257095. [Google Scholar] [CrossRef] [PubMed]
- Bhardwaj, P.; Joshi, N.K.; Gupta, M.K.; Goel, A.D.; Saurabh, S.; Charan, J.; Rajpurohit, P.; Ola, S.; Singh, P.; Bisht, S. Analysis of Facility and Home Isolation Strategies in COVID 19 Pandemic: Evidences from Jodhpur, India. Infect. Drug Resist. 2021, 14, 2233–2239. [Google Scholar] [CrossRef] [PubMed]
- Prutipinyo, C. COVID-19 field hospital: Alternative state quarantine hospital and hospitel. Public Health Policy Laws J. 2021, 7, 195–213. [Google Scholar]
- Department of Disease Control MoPH. Corona Virus Disease (COVID-19): Thailand Situation. 2021. Available online: https://ddc.moph.go.th/viralpneumonia/eng/index.php (accessed on 30 November 2021).
- Department of Disease Control MoPH. Hospitel. 2021. Available online: http://www.hsscovid.com/img/helphospitel.pdf (accessed on 28 November 2021).
- Department of Disease Control MoPH. Guidelines on Clinical Practice, Diagnosis, Treatment, and Prevention of Healthcare-Associated Infection for COVID-19. 2021. Available online: https://ddc.moph.go.th/viralpneumonia/eng/file/guidelines/g_CPG_28jan21.pdf (accessed on 28 January 2021).
- Suwatanapongched, T.; Nitiwarangkul, C.; Arnuntasupakul, V.; Kiertiburanakul, S. Rama Co-RADS: Cutting-edge tool for improved communication in management and treatment of COVID-19 patients in Thailand. ASEAN J. Radiol. 2021, 22, 29–49. [Google Scholar] [CrossRef]
- Pogorzelska, K.; Chlabicz, S. Patient Satisfaction with Telemedicine during the COVID-19 Pandemic—A Systematic Review. Int. J. Environ. Res. Public Health 2022, 19, 6113. [Google Scholar] [CrossRef] [PubMed]
- Davarpanah, A.H.; Mahdavi, A.; Sabri, A.; Langroudi, T.F.; Kahkouee, S.; Haseli, S.; Kazemi, M.A.; Mehrian, P.; Mahdavi, A.; Falahati, F.; et al. Novel Screening and Triage Strategy in Iran During Deadly Coronavirus Disease 2019 (COVID-19) Epidemic: Value of Humanitarian Teleconsultation Service. J. Am. Coll. Radiol. 2020, 17, 734–738. [Google Scholar] [CrossRef] [PubMed]
- Sirijatuphat, R.; Suputtamongkol, Y.; Angkasekwinai, N.; Horthongkham, N.; Chayakulkeeree, M.; Rattanaumpawan, P.; Koomanachai, P.; Assanasen, S.; Rongrungruang, Y.; Chierakul, N.; et al. Epidemiology, clinical characteristics, and treatment outcomes of patients with COVID-19 at Thailand’s university-based referral hospital. BMC Infect. Dis. 2021, 21, 382. [Google Scholar] [CrossRef] [PubMed]
- Kaleemi, R.; Hilal, K.; Arshad, A.; Martins, R.S.; Nankani, A.; Tu, H.; Basharat, S.; Ansar, Z. The association of chest radiographic findings and severity scoring with clinical outcomes in patients with COVID-19 presenting to the emergency department of a tertiary care hospital in Pakistan. PLoS ONE 2021, 16, e0244886. [Google Scholar] [CrossRef] [PubMed]
- Chuah, C.H.; Chow, T.S.; Hor, C.P.; Cheng, J.T.; Ker, H.B.; Lee, H.G.; Lee, K.S.; Nordin, N.; Ng, T.K.; Zaid, M. Efficacy of early treatment with favipiravir on disease progression among high risk COVID-19 patients: A randomized, open-label clinical trial. Clin. Infect. Dis. 2021, 75, e432–e439. [Google Scholar] [CrossRef] [PubMed]
- The RECOVERY Collaborative Group. Dexamethasone in hospitalized patients with COVID-19. N. Engl. J. Med. 2021, 384, 693–704. [Google Scholar] [CrossRef] [PubMed]


| Variables | Total (n = 514) | Mild (n = 63) | Moderate (n = 445) | Severe (n = 6) | p-Value |
|---|---|---|---|---|---|
| Clinical characteristics | |||||
| Male sex, n (%) | 213 (41.4) | 35 (55.6) | 175 (39.3) | 3 (50) | 0.038 |
| Age (years), mean (SD) | 35.6 (13.4) | 34.4 (11.5) | 35.5 (13.6) | 51.7 (13) | 0.010 |
| Age > 60 years, n (%) | 28 (5.4) | 0 (0) | 27 (6.1) | 1 (16.7) | 0.285 |
| Underlying diseases, n (%) | 121 (23.5) | 11 (17.5) | 106 (23.8) | 4 (66.7) | 0.029 |
| BMI (kg/m2), mean (SD) | 23.6 (4.0) | 22.7 (3.1) | 23.7 (4.1) | 28.2 (5.4) | 0.022 |
| Risk of severe disease, n (%) * | 237 (46.1) | 0 | 232 (52.1) | 5 (83.3) | <0.001 |
| Symptomatic before admission, n (%) | 388 (75.5) | 0 | 382 (85.8) | 6 (100) | <0.001 |
| Time from symptom or positive PCR to admission (days), median (IQR) | 3 (2–6) | 1 (1–2) | 4 (2–6) | 8.5 (5–11) | <0.001 |
| Clinical presentation | |||||
| Fever, n (%) | 162 (31.5) | 1 (1.6) | 158 (35.5) | 3 (50.0) | <0.001 |
| Sore throat, n (%) | 146 (28.4) | 2 (3.2) | 143 (32.1) | 1 (16.7) | <0.001 |
| Cough, n (%) | 236 (45.9) | 2 (3.2) | 230 (51.7) | 4 (66.7) | <0.001 |
| Diarrhea, n (%) | 22 (4.3) | 0 | 22 (4.9) | 0 | 0.199 |
| Anosmia, n (%) | 41 (8.0) | 0 | 41 (9.2) | 0 | 0.019 |
| Myalgia, n (%) | 50 (9.7) | 0 | 49 (11.0) | 1 (16.7) | 0.003 |
| Dyspnea, n (%) | 32 (6.2) | 0 | 29 (6.5) | 3 (50.0) | <0.001 |
| Headache, n (%) | 56 (10.9) | 0 | 56 (12.6) | 0 | 0.002 |
| Nasal congestion, n (%) | 89 (17.3) | 2 (3.2) | 87 (19.6) | 0 | 0.001 |
| Red eyes, n (%) | 3 (0.6) | 0 | 3 (0.67) | 0 | 1.000 |
| Ageusia, n (%) | 17 (3.3) | 0 | 17 (3.82) | 0 | 0.387 |
| Sputum production, n (%) | 35 (6.8) | 0 | 35 (7.9) | 0 | 0.030 |
| Nausea/vomiting, n (%) | 4 (0.8) | 0 | 4 (0.9) | 0 | 1.000 |
| Chest pain, n (%) | 21 (4.1) | 0 | 20 (4.5) | 1 (16.7) | 0.060 |
| Fatigue, n (%) | 8 (1.6) | 0 | 8 (1.8) | 0 | 0.640 |
| Other symptoms, n (%) | 15 (2.2) | 0 | 15 (3.4) | 0 | 0.361 |
| Physical examination and chest X-ray findings | |||||
| Body temperature (°C), mean (SD) | 36.6 (0.7) | 36.7 (0.6) | 36.6 (0.7) | 36.8 (1.2) | 0.404 |
| Respiratory rate (breaths/min), mean (SD) | 20 (1) | 20 (1.0) | 20 (1.0) | 23 (6) | <0.001 |
| SpO2 at rest (%), mean (SD) | 98.0 (1.0) | 98.2 (0.8) | 98.0 (1.0) | 96 (3.5) | <0.001 |
| Normal chest X-ray on DOI 1–3, n (%) | 211/290 (72.7) | 47/57 (82.5) | 163/231 (70.6) | 1/2 (50) | 0.136 |
| Treatment | |||||
| Received oxygen supplementation, n (%) | 13 (2.5) | 0 | 10 (2.2) | 3 (50) | <0.001 |
| Received favipiravir, n (%) | 135 (26.3) | 9 (14.3) | 120 (27.0) | 6 (100) | <0.001 |
| Duration of favipiravir (days), mean (SD) | 5.7 (1.7) | 5.9 (2) | 5.6 (1.7) | 7.5 (2.7) | 0.042 |
| Received corticosteroids, n (%) | 77 (15.0) | 3 (4.8) | 68 (15.3) | 6 (100.0) | <0.001 |
| Duration of corticosteroids (days), mean (SD) | 5.2 (2.0) | 7 (1.7) | 5 (1.9) | 6.3 (2.6) | 0.068 |
| Variables | Total (n = 514) | Mild (n = 63) | Moderate (n = 445) | Severe (n = 6) | p-Value |
|---|---|---|---|---|---|
| Chest X-ray improved/stable *, n (%) | 387 (92.4) | 58 (92.1) | 327 (73.5) | 2 (33.3) | 0.660 |
| Discharged home from the hospitel, n (%) | 499 (97.1) | 63 (100) | 433 (97.3) | 3 (50) | <0.001 |
| Duration of hospitel admission (days), mean (SD) | 9.4 (3.3) | 11.8 (2) | 9 (3.3) | 9 (5.3) | <0.001 |
| Transferred to general ward, n (%) | 11 (2.2) | 0 | 8 (1.8) | 3 (50) | <0.001 |
| Transferred to intermediate ward, n (%) | 3 (0.6) | 0 | 3 (0.7) | 0 | 1.000 |
| Transferred to ICU, n (%) | 1 (0.2) | 0 | 1 (0.2) | 0 | 1.000 |
| Endotracheal intubation, n (%) | 1 (0.2) | 0 | 1 (0.2) | 0 | 1.000 |
| Discharged home finally, n (%) | 513 (99.8) | 63 (100) | 444 (99.8) | 6 (100) | 1.000 |
| Duration of overall admission (days), mean (SD) | 9.5 (3.5) | 11.8 (2) | 9.2 (3.5) | 8.3 (1.2) | <0.001 |
| Deaths, n (%) | 0 | 0 | 0 | 0 | N/A |
Publisher’s Note: MDPI stays neutral with regard to jurisdictional claims in published maps and institutional affiliations. |
© 2022 by the authors. Licensee MDPI, Basel, Switzerland. This article is an open access article distributed under the terms and conditions of the Creative Commons Attribution (CC BY) license (https://creativecommons.org/licenses/by/4.0/).
Share and Cite
Bruminhent, J.; Kaewsanga, Y.; Jiraaumpornpat, W.; Arnuntasupakul, V.; Suwatanapongched, T.; Kiertiburanakul, S. Clinical Course and Outcomes among COVID-19 Patients at the Hospitel in Bangkok: A Retrospective Study. Trop. Med. Infect. Dis. 2022, 7, 238. https://doi.org/10.3390/tropicalmed7090238
Bruminhent J, Kaewsanga Y, Jiraaumpornpat W, Arnuntasupakul V, Suwatanapongched T, Kiertiburanakul S. Clinical Course and Outcomes among COVID-19 Patients at the Hospitel in Bangkok: A Retrospective Study. Tropical Medicine and Infectious Disease. 2022; 7(9):238. https://doi.org/10.3390/tropicalmed7090238
Chicago/Turabian StyleBruminhent, Jackrapong, Yosapan Kaewsanga, Werapoj Jiraaumpornpat, Vanlapa Arnuntasupakul, Thitiporn Suwatanapongched, and Sasisopin Kiertiburanakul. 2022. "Clinical Course and Outcomes among COVID-19 Patients at the Hospitel in Bangkok: A Retrospective Study" Tropical Medicine and Infectious Disease 7, no. 9: 238. https://doi.org/10.3390/tropicalmed7090238
APA StyleBruminhent, J., Kaewsanga, Y., Jiraaumpornpat, W., Arnuntasupakul, V., Suwatanapongched, T., & Kiertiburanakul, S. (2022). Clinical Course and Outcomes among COVID-19 Patients at the Hospitel in Bangkok: A Retrospective Study. Tropical Medicine and Infectious Disease, 7(9), 238. https://doi.org/10.3390/tropicalmed7090238

