Low Genetic Diversity of Plasmodium vivax Circumsporozoite Surface Protein in Clinical Isolates from Southern Thailand
Abstract
1. Introduction
2. Materials and Methods
2.1. Sample Collection
2.2. DNA Template Preparation
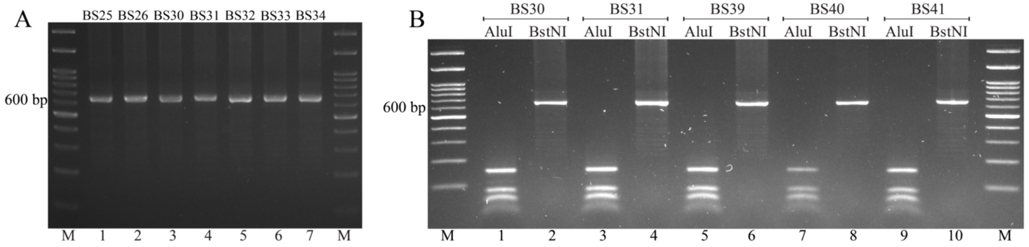
2.3. Genotyping of Pvcsp by Polymerase Chain Reaction-Restriction Fragment Length Polymorphism (PCR-RFLP)
2.4. Analysis of Pvcsp Gene Sequence
3. Results
3.1. Genotyping of Pvcsp
3.2. Diversity of Pvcsp Gene
3.3. Prevalence of the VK210 Variants
4. Discussion
5. Conclusions
Author Contributions
Funding
Institutional Review Board Statement
Informed Consent Statement
Data Availability Statement
Acknowledgments
Conflicts of Interest
References
- WHO. World Malaria Report 2022; World Health Organization: Geneva, Switzerland, 2022. [Google Scholar]
- White, N.J. Determinants of relapse periodicity in Plasmodium vivax malaria. Malar. J. 2011, 10, 297. [Google Scholar] [CrossRef] [PubMed]
- White, N.J.; Imwong, M. Relapse. Adv. Parasitol. 2012, 80, 113–150. [Google Scholar] [PubMed]
- Rogerson, S.J.; Carter, R. Severe vivax malaria: Newly recognised or rediscovered. PLoS Med. 2008, 5, e136. [Google Scholar] [CrossRef] [PubMed]
- Rahimi, B.A.; Thakkinstian, A.; White, N.J.; Sirivichayakul, C.; Dondorp, A.M.; Chokejindachai, W. Severe vivax malaria: A systematic review and meta-analysis of clinical studies since 1900. Malar. J. 2014, 13, 481. [Google Scholar] [CrossRef] [PubMed]
- Baird, J.K. Chloroquine resistance in Plasmodium vivax. Antimicrob. Agents Chemother. 2004, 48, 4075–4083. [Google Scholar] [CrossRef] [PubMed]
- Price, R.N.; Douglas, N.M.; Anstey, N.M. New developments in Plasmodium vivax malaria: Severe disease and the rise of chloroquine resistance. Curr. Opin. Infect. Dis. 2009, 22, 430–435. [Google Scholar] [CrossRef] [PubMed]
- Rijken, M.J.; Boel, M.E.; Russell, B.; Imwong, M.; Leimanis, M.L.; Phyo, A.P.; Muehlenbachs, A.; Lindegardh, N.; McGready, R.; Rénia, L.; et al. Chloroquine resistant vivax malaria in a pregnant woman on the western border of Thailand. Malar. J. 2011, 10, 113. [Google Scholar] [CrossRef]
- Rungsihirunrat, K.; Muhamad, P.; Chaijaroenkul, W.; Kuesap, J.; Na-Bangchang, K. Plasmodium vivax drug resistance genes; Pvmdr1 and Pvcrt-o polymorphisms in relation to chloroquine sensitivity from a malaria endemic area of Thailand. Korean J. Parasitol. 2015, 53, 43–49. [Google Scholar] [CrossRef] [PubMed]
- WHO. Mekong Malaria Elimination: Epidemiology Summary, July–September 2022; World Health Organization: Geneva, Switzerland, 2022; Volume 19. [Google Scholar]
- Chang, H.-H.; Chang, M.-C.; Kiang, M.; Mahmud, A.S.; Ekapirat, N.; Engø-Monsen, K.; Sudathip, P.; Buckee, C.O.; Maude, R.J. Low parasite connectivity among three malaria hotspots in Thailand. Sci. Rep. 2021, 11, 23348. [Google Scholar] [CrossRef]
- Department of Disease Control MoPH, Thailand: Bureau of Vector Borne Disease. Guide to Malaria Elimination For Thailand’s Local Administrative Organizations and the Health Network; Department of Disease Control MoPH, Thailand: Bureau of Vector Borne Disease: Nonthaburi, Thailand, 2019.
- Rathore, D.; Sacci, J.B.; de la Vega, P.; McCutchan, T.F. Binding and invasion of liver cells by Plasmodium falciparum sporozoites. Essential involvement of the amino terminus of circumsporozoite protein. J. Biol. Chem. 2002, 277, 7092–7098. [Google Scholar] [CrossRef]
- Coppi, A.; Natarajan, R.; Pradel, G.; Bennett, B.L.; James, E.R.; Roggero, M.A.; Corradin, G.; Persson, C.; Tewari, R.; Sinnis, P. The malaria circumsporozoite protein has two functional domains, each with distinct roles as sporozoites journey from mosquito to mammalian host. J. Exp. Med. 2011, 208, 341–356. [Google Scholar] [CrossRef] [PubMed]
- Duffy, P.E.; Patrick Gorres, J. Malaria vaccines since 2000: Progress, priorities, products. NPJ Vaccines 2020, 5, 48. [Google Scholar] [CrossRef] [PubMed]
- Arnot, D.E.; Barnwell, J.W.; Tam, J.P.; Nussenzweig, V.; Nussenzweig, R.S.; Enea, V. Circumsporozoite protein of Plasmodium vivax: Gene cloning and characterization of the immunodominant epitope. Science 1985, 230, 815–818. [Google Scholar] [CrossRef] [PubMed]
- Rosenberg, R.; Wirtz, R.A.; Lanar, D.E.; Sattabongkot, J.; Hall, T.; Waters, A.P.; Prasittisuk, C. Circumsporozoite protein heterogeneity in the human malaria parasite Plasmodium vivax. Science 1989, 245, 973–976. [Google Scholar] [CrossRef] [PubMed]
- Gonzalez-Ceron, L.; Rodriguez, M.H.; Nettel, J.C.; Villarreal, C.; Kain, K.C.; Hernandez, J.E. Differential susceptibilities of Anopheles albimanus and Anopheles pseudopunctipennis to infections with coindigenous Plasmodium vivax variants VK210 and VK247 in southern Mexico. Infect. Immun. 1999, 67, 410–412. [Google Scholar] [CrossRef] [PubMed]
- Cui, L.; Chen, H.; Rzomp, K.A.; Zhou, G.; Fan, Q.; Mascorro, C.N.; Khuntirat, B.; Yan, G.; Sattabongkot, J. Genetic diversity and multiple infections of Plasmodium vivax malaria in Western Thailand. Am. J. Trop. Med. Hyg. 2003, 68, 613–619. [Google Scholar] [CrossRef] [PubMed]
- Leclerc, M.; Menegon, M.; Cligny, A.; Noyer, J.; Mammadov, S.; Aliyev, N.; Gasimov, E.; Majori, G.; Severini, C. Genetic diversity of Plasmodium vivax isolates from Azerbaijan. Malar. J. 2004, 3, 40. [Google Scholar] [CrossRef] [PubMed][Green Version]
- Zakeri, S.; Abouie Mehrizi, A.; Djadid, N.D.; Snounou, G. Circumsporozoite protein gene diversity among temperate and tropical Plasmodium vivax isolates from Iran. Trop. Med. Int. Health 2006, 11, 729–737. [Google Scholar] [CrossRef] [PubMed]
- Kim, J.-R.; Imwong, M.; Nandy, A.; Chotivanich, K.; Nontprasert, A.; Tonomsing, N.; Maji, A.; Addy, M.; Day, N.P.J.; White, N.J. Genetic diversity of Plasmodium vivax in Kolkata, India. Malar. J. 2006, 5, 71. [Google Scholar] [CrossRef]
- Moon, S.-U.; Lee, H.-W.; Kim, J.-Y.; Na, B.-K.; Cho, S.-H.; Lin, K.; Sohn, W.-M.; Kim, T.-S. High frequency of genetic diversity of Plasmodium vivax field isolates in Myanmar. Acta Trop. 2009, 109, 30–36. [Google Scholar] [CrossRef]
- Zakeri, S.; Raeisi, A.; Afsharpad, M.; Kakar, Q.; Ghasemi, F.; Atta, H.; Zamani, G.; Memon, M.S.; Salehi, M.; Djadid, N.D. Molecular characterization of Plasmodium vivax clinical isolates in Pakistan and Iran using pvmsp-1, pvmsp-3alpha and pvcsp genes as molecular markers. Parasitol. Int. 2010, 59, 15–21. [Google Scholar] [CrossRef]
- Zakeri, S.; Safi, N.; Afsharpad, M.; Butt, W.; Ghasemi, F.; Mehrizi, A.A.; Atta, H.; Zamani, G.; Djadid, N.D. Genetic structure of Plasmodium vivax isolates from two malaria endemic areas in Afghanistan. Acta Trop. 2010, 113, 12–19. [Google Scholar] [CrossRef]
- Liu, Y.; Zhou, R.-M.; Zhang, Y.-L.; Wang, D.-Q.; Li, S.-H.; Yang, C.-Y.; Qian, D.; Zhao, Y.-L.; Zhang, H.-W.; Xu, B.-L. Analysis of polymorphisms in the circumsporozoite protein gene of Plasmodium vivax isolates from Henan Province, China. Malar. J. 2018, 17, 103. [Google Scholar] [CrossRef]
- González-Cerón, L.; Martinez-Barnetche, J.; Montero-Solís, C.; Santillán, F.; Soto, A.M.; Rodríguez, M.H.; Espinosa, B.J.; Chávez, O.A. Molecular epidemiology of Plasmodium vivax in Latin America: Polymorphism and evolutionary relationships of the circumsporozoite gene. Malar. J. 2013, 12, 243. [Google Scholar] [CrossRef]
- Võ, T.C.; Lê, H.G.; Kang, J.-M.; Moe, M.; Naw, H.; Myint, M.K.; Lee, J.; Sohn, W.-M.; Kim, T.-S.; Na, B.-K. Genetic polymorphism and natural selection of circumsporozoite protein in Myanmar Plasmodium vivax. Malar. J. 2020, 19, 303. [Google Scholar] [CrossRef]
- Rongnoparut, P.; Supsamran, N.; Sattabongkot, J.; Suwanabun, N.; Rosenberg, R. Phenotype and genotype diversity in the circumsporozoite proteins of Plasmodium vivax in Thailand. Mol. Biochem. Parasitol. 1995, 74, 201–210. [Google Scholar] [CrossRef]
- Qari, S.; Shi, Y.; Goldman, I.; Udhaykumar, V.; Collins, W.; Lal, A.; Alpers, M. Identification of Plasmodium vivax-like human malaria parasite. Lancet 1993, 341, 780–783. [Google Scholar] [CrossRef]
- Qari, S.H.; Shi, V.-P.; Povoa, M.M.; Alpers, M.P.; Deloron, P.; Murphy, G.S.; Harjosuwarno, S.; Lal, A.A. Global occurrence of Plasmodium vivax-like human malaria parasite. J. Infect. Dis. 1993, 168, 1485–1489. [Google Scholar] [CrossRef]
- Jalei, A.A.; Chaijaroenkul, W.; Na-Bangchang, K. Genetic Diversity of Plasmodium vivax Field Isolates from the Thai-Myanmar Border during the Period of 2006-2016. Trop. Med. Infect. Dis. 2023, 8, 210. [Google Scholar] [CrossRef]
- Maneerattanasak, S.; Gosi, P.; Krudsood, S.; Tongshoob, J.; Lanteri, C.A.; Snounou, G.; Khusmith, S. Genetic diversity among Plasmodium vivax isolates along the Thai-Myanmar border of Thailand. Malar. J. 2016, 15, 75. [Google Scholar] [CrossRef]
- Imwong, M.; Pukrittayakamee, S.; Grüner, A.C.; Rénia, L.; Letourneur, F.; Looareesuwan, S.; White, N.J.; Snounou, G. Practical PCR genotyping protocols for Plasmodium vivax using Pvcs and Pvmsp1. Malar. J. 2005, 4, 20. [Google Scholar] [CrossRef]
- Kittichai, V.; Koepfli, C.; Nguitragool, W.; Sattabongkot, J.; Cui, L. Substantial population structure of Plasmodium vivax in Thailand facilitates identification of the sources of residual transmission. PLoS Negl. Trop. Dis. 2017, 11, e0005930. [Google Scholar] [CrossRef]
- Department of Disease Control MoPH, Thailand. Thailand Malaria Elimination Program: MoPH, Thailand. 2024. Available online: https://malaria.ddc.moph.go.th/malariaR10/home.php (accessed on 29 March 2024).
- Snounou, G.; Viriyakosol, S.; Zhu, X.P.; Jarra, W.; Pinheiro, L.; Rosario, V.E.D.; Thaithong, S.; Brown, K. High sensitivity of detection of human malaria parasites by the use of nested polymerase chain reaction. Mol. Biochem. Parasitol. 1993, 61, 315–320. [Google Scholar] [CrossRef]
- Hall, T.A. BioEdit: A User-Friendly Biological Sequence Alignment Editor and Analysis Program for Windows 95/98/NT. Nucleic Acids Symp. Ser. 1999, 41, 95–98. [Google Scholar]
- Tamura, K.; Stecher, G.; Kumar, S. MEGA11: Molecular Evolutionary Genetics Analysis Version 11. Mol. Biol. Evol. 2021, 38, 3022–3027. [Google Scholar] [CrossRef]
- Suwanabun, N.; Sattabongkot, J.; Wirtz, R.A.; Rosenberg, R. The epidemiology of Plasmodium vivax circumsporozoite protein polymorphs in Thailand. Am. J. Trop. Med. Hyg. 1994, 50, 460–464. [Google Scholar] [CrossRef]
- Shabani, S.H.; Zakeri, S.; Mehrizi, A.A.; Mortazavi, Y.; Djadid, N.D. Population genetics structure of Plasmodium vivax circumsporozoite protein during the elimination process in low and unstable malaria transmission areas, southeast of Iran. Acta Trop. 2016, 160, 23–34. [Google Scholar] [CrossRef]
- Machado, R.L.; Povoa, M.M. Distribution of Plasmodium vivax variants (VK210, VK247 and P. vivax-like) in three endemic areas of the Amazon region of Brazil and their correlation with chloroquine treatment. Trans. R. Soc. Trop. Med. Hyg. 2000, 94, 377–381. [Google Scholar] [CrossRef]
- Kibria, M.G.; Elahi, R.; Mohon, A.N.; Khan, W.A.; Haque, R.; Alam, M.S. Genetic diversity of Plasmodium vivax in clinical isolates from Bangladesh. Malar. J. 2015, 14, 267. [Google Scholar] [CrossRef]
- Li, Y.-C.; Wang, G.-Z.; Meng, F.; Zeng, W.; He, C.-H.; Hu, X.-M.; Wang, S.-Q. Genetic diversity of Plasmodium vivax population before elimination of malaria in Hainan Province, China. Malar. J. 2015, 14, 78. [Google Scholar] [CrossRef]
- Zhang, L.L.; Yao, L.N.; Chen, H.L.; Lu, Q.Y.; Ruan, W. Genetic diversity analysis of PvCSP and its application in tracking of Plasmodium vivax. Exp. Parasitol. 2018, 188, 26–35. [Google Scholar] [CrossRef]
- Sriwichai, P.; Karl, S.; Samung, Y.; Kiattibutr, K.; Sirichaisinthop, J.; Mueller, I.; Cui, L.; Sattabongkot, K. Imported Plasmodium falciparum and locally transmitted Plasmodium vivax: Cross-border malaria transmission scenario in northwestern Thailand. Malar. J. 2017, 16, 258. [Google Scholar] [CrossRef]
- Rodriguez, M.H.; Nettel, J.A.; Villarreal, C.; Kain, K.C.; Gonzalez-Ceron, L.; Wirtz, R.A.; E Hernandez, J. Different prevalences of Plasmodium vivax phenotypes VK210 and VK247 associated with the distribution of Anopheles albimanus and Anopheles pseudopunctipennis in Mexico. Am. J. Trop. Med. Hyg. 2000, 62, 122–127. [Google Scholar] [CrossRef]
- da Silva, A.N.; Santos, C.C.; Lacerda, R.N.; Machado, R.L.; Povoa, M.M. Susceptibility of Anopheles aquasalis and An. darlingi to Plasmodium vivax VK210 and VK247. Mem. Inst. Oswaldo. Cruz. 2006, 101, 547–550. [Google Scholar] [CrossRef]
- Rattanarithikul, R.; Konishi, E.; Linthicum, K.J. Detection of Plasmodium vivax and Plasmodium falciparum circumsporozoite antigen in anopheline mosquitoes collected in southern Thailand. Am. J. Trop. Med. Hyg. 1996, 54, 114–121. [Google Scholar] [CrossRef]
- Frances, S.P.; Klein, T.A.; Wirtz, R.A.; Eamsila, C.; Pilakasiri, C.; Linthicum, K.J. Plasmodium falciparum and P. vivax circumsporozoite proteins in anophelines (Diptera: Culicidae) collected in eastern Thailand. J. Med. Entomol. 1996, 33, 990–991. [Google Scholar] [CrossRef]
- Coleman, R.E.; Sithiprasasna, R.; Kankaew, P.; Kiaattiut, C.; Ratanawong, S.; Khuntirat, B.; Sattabongkot, J. Naturally occurring mixed infection of Plasmodium vivax VK210 and P. vivax VK247 in anopheles mosquitoes (Diptera: Culicidae) in western Thailand. J. Med. Entomol. 2002, 39, 556–559. [Google Scholar] [CrossRef]
- Sriwichai, P.; Samung, Y.; Sumruayphol, S.; Kiattibutr, K.; Kumpitak, C.; Payakkapol, A.; Kaewkungwal, J.; Yan, G.; Cui, L.; Sattabongkot, J. Natural human Plasmodium infections in major Anopheles mosquitoes in western Thailand. Parasit Vectors 2016, 9, 17. [Google Scholar] [CrossRef] [PubMed]
- Santos, E.A.; Primo, D.G.; Sucupira, I.M.C.; Cassiano, G.C.; Barbosa, D.R.L.; Viana, G.M.R.; Machado, R.L.D.; Póvoa, M.M. Frequency of Plasmodium vivax circumsporozoite protein genotypes in humans and anopheline mosquitoes in an endemic area of southeastern Pará State, Brazil. Rev. Pan Amaz. Saúde 2016, 7, 8. [Google Scholar] [CrossRef]
- Congpuong, K.; Ubalee, R. Population Genetics of Plasmodium vivax in Four High Malaria Endemic Areas in Thailand. Korean J. Parasitol. 2017, 55, 465–472. [Google Scholar] [CrossRef]
- Kritsiriwuthinan, K.; Ngrenngarmlert, W.; Patrapuvich, R.; Phuagthong, S.; Choosang, K. Distinct Allelic Diversity of Plasmodium vivax Merozoite Surface Protein 3-Alpha (PvMSP-3alpha) Gene in Thailand Using PCR-RFLP. J. Trop. Med. 2023, 2023, 8855171. [Google Scholar] [CrossRef] [PubMed]
- Alias, H.; Surin, J.; Mahmud, R.; Shafie, A.; Zin, J.M.; Nor, M.M.; Ibrahim, A.S.; Rundi, C. Spatial distribution of malaria in Peninsular Malaysia from 2000 to 2009. Parasit Vectors 2014, 7, 186. [Google Scholar] [CrossRef] [PubMed]
- Hussin, N.; Lim, Y.A.; Goh, P.P.; William, T.; Jelip, J.; Mudin, R.N. Updates on malaria incidence and profile in Malaysia from 2013 to 2017. Malar. J. 2020, 19, 55. [Google Scholar] [CrossRef] [PubMed]
- WHO. World Malaria Report 2023; World Health Organization: Geneva, Switzerland, 2023. [Google Scholar]
- Robinson, L.J.; Wampfler, R.; Betuela, I.; Karl, S.; White, M.T.; Suen, C.S.N.L.W.; Hofmann, N.E.; Kinboro, B.; Waltmann, A.; Brewster, J.; et al. Strategies for understanding and reducing the Plasmodium vivax and Plasmodium ovale hypnozoite reservoir in Papua New Guinean children: A randomised placebo-controlled trial and mathematical model. PLoS Med. 2015, 12, e1001891. [Google Scholar] [CrossRef] [PubMed]
- Taylor, A.R.; Watson, J.A.; Chu, C.S.; Puaprasert, K.; Duanguppama, J.; Day, N.P.J.; Nosten, F.; Neafsey, D.E.; Buckee, C.O.; Imwong, M.; et al. Resolving the cause of recurrent Plasmodium vivax malaria probabilistically. Nat. Commun. 2019, 10, 5595. [Google Scholar] [CrossRef] [PubMed]
- Pewkliang, Y.; Rungin, S.; Lerdpanyangam, K.; Duangmanee, A.; Kanjanasirirat, P.; Suthivanich, P.; Sa-Ngiamsuntorn, K.; Borwornpinyo, S.; Sattabongkot, J.; Patrapuvich, R.; et al. A novel immortalized hepatocyte-like cell line (imHC) supports in vitro liver stage development of the human malarial parasite Plasmodium vivax. Malar. J. 2018, 17, 50. [Google Scholar] [CrossRef] [PubMed]
- Mikolajczak, S.A.; Vaughan, A.M.; Kangwanrangsan, N.; Roobsoong, W.; Fishbaugher, M.; Yimamnuaychok, N.; Rezakhani, N.; Lakshmanan, V.; Singh, N.; Kaushansky, A.; et al. Plasmodium vivax liver stage development and hypnozoite persistence in human liver-chimeric mice. Cell Host Microbe 2015, 17, 526–535. [Google Scholar] [CrossRef] [PubMed]
- Pratt-Riccio, L.R.; Baptista, B.d.O.; Torres, V.R.; Bianco-Junior, C.; Perce-Da-Silva, D.d.S.; Riccio, E.K.P.; Lima-Junior, J.d.C.; Totino, P.R.R.; Cassiano, G.C.; Storti-Melo, L.M.; et al. Chloroquine and mefloquine resistance profiles are not related to the circumsporozoite protein (CSP) VK210 subtypes in field isolates of Plasmodium vivax from Manaus, Brazilian Amazon. Mem. Inst. Oswaldo. Cruz. 2019, 114, e190054. [Google Scholar] [CrossRef]
- Congpuon, K.; Satimai, W.; Sujariyakul, A.; Intanakom, S.; Harnpitakpong, W.; Pranuth, Y.; Cholpol, S.; Bualombai, P. In vivo sensitivity monitoring of chloroquine for the treatment of uncomplicated vivax malaria in four bordered provinces of Thailand during 2009–2010. J. Vector Borne Dis. 2011, 48, 190–196. [Google Scholar]
- Alam, T.; Vinayak, S.; Congpuong, K.; Wongsrichanalai, C.; Satimai, W.; Slutsker, L.; Escalante, A.A.; Barnwell, J.W.; Udhayakumar, V. Tracking origins and spread of sulfadoxine-resistant Plasmodium falciparum dhps alleles in Thailand. Antimicrob. Agents Chemother. 2011, 55, 155–164. [Google Scholar] [CrossRef]
- Noisang, C.; Prosser, C.; Meyer, W.; Chemoh, W.; Ellis, J.; Sawangjaroen, N.; Lee, R. Molecular detection of drug resistant malaria in Southern Thailand. Malar. J. 2019, 18, 275. [Google Scholar] [CrossRef] [PubMed]





| Types | Amino Acid Sequences in CRR | Repeat No. | Insertion of ANKKAEDA | No. of GGNA Repeat | No. of Cases | 
|---|---|---|---|---|---|
| S1 | ○○■○○■○■○■■○■○■■■◇ | 18 | No | 3 | 81 | 
| S2 | ○○■○○■○■○■■○■○■■■◆ | 18 | No | 3 | 7 | 
| Ref_W1989 * | ○○○■○■○■○■■○■○■■■◇ | 18 | No | 3 | |
| W1 | ∆○○■○■■○■○■○○■○■■◇ | 18 | No | 3 | 1 | 
| W2 | ○○○■○■○■○○○■■○■■■◇ | 18 | Yes | 2 | 1 | 
| W3 | ○○○■○■○■○■○■■○■■■◇ | 18 | Yes | 2 | 1 | 
| W4 | ○○○■○■○■○■■■○■○■■■◇ | 19 | No | 3 | 5 | 
| W5 | ○○○■○■○■○■■○■○■■■◇ | 18 | No | 10 | 1 | 
| Disclaimer/Publisher’s Note: The statements, opinions and data contained in all publications are solely those of the individual author(s) and contributor(s) and not of MDPI and/or the editor(s). MDPI and/or the editor(s) disclaim responsibility for any injury to people or property resulting from any ideas, methods, instructions or products referred to in the content. | 
© 2024 by the authors. Licensee MDPI, Basel, Switzerland. This article is an open access article distributed under the terms and conditions of the Creative Commons Attribution (CC BY) license (https://creativecommons.org/licenses/by/4.0/).
Share and Cite
Khulmanee, T.; Thita, T.; Kritsiriwutinan, K.; Boonyuen, U.; Saai, A.; Inkabjan, K.; Chakrabarti, R.; Rathod, P.K.; Krudsood, S.; Mungthin, M.; et al. Low Genetic Diversity of Plasmodium vivax Circumsporozoite Surface Protein in Clinical Isolates from Southern Thailand. Trop. Med. Infect. Dis. 2024, 9, 94. https://doi.org/10.3390/tropicalmed9050094
Khulmanee T, Thita T, Kritsiriwutinan K, Boonyuen U, Saai A, Inkabjan K, Chakrabarti R, Rathod PK, Krudsood S, Mungthin M, et al. Low Genetic Diversity of Plasmodium vivax Circumsporozoite Surface Protein in Clinical Isolates from Southern Thailand. Tropical Medicine and Infectious Disease. 2024; 9(5):94. https://doi.org/10.3390/tropicalmed9050094
Chicago/Turabian StyleKhulmanee, Tachin, Thanyapit Thita, Kanyanan Kritsiriwutinan, Usa Boonyuen, Aminoh Saai, Kanjana Inkabjan, Rimi Chakrabarti, Pradipsinh K. Rathod, Srivicha Krudsood, Mathirut Mungthin, and et al. 2024. "Low Genetic Diversity of Plasmodium vivax Circumsporozoite Surface Protein in Clinical Isolates from Southern Thailand" Tropical Medicine and Infectious Disease 9, no. 5: 94. https://doi.org/10.3390/tropicalmed9050094
APA StyleKhulmanee, T., Thita, T., Kritsiriwutinan, K., Boonyuen, U., Saai, A., Inkabjan, K., Chakrabarti, R., Rathod, P. K., Krudsood, S., Mungthin, M., & Patrapuvich, R. (2024). Low Genetic Diversity of Plasmodium vivax Circumsporozoite Surface Protein in Clinical Isolates from Southern Thailand. Tropical Medicine and Infectious Disease, 9(5), 94. https://doi.org/10.3390/tropicalmed9050094
 
        


 
       