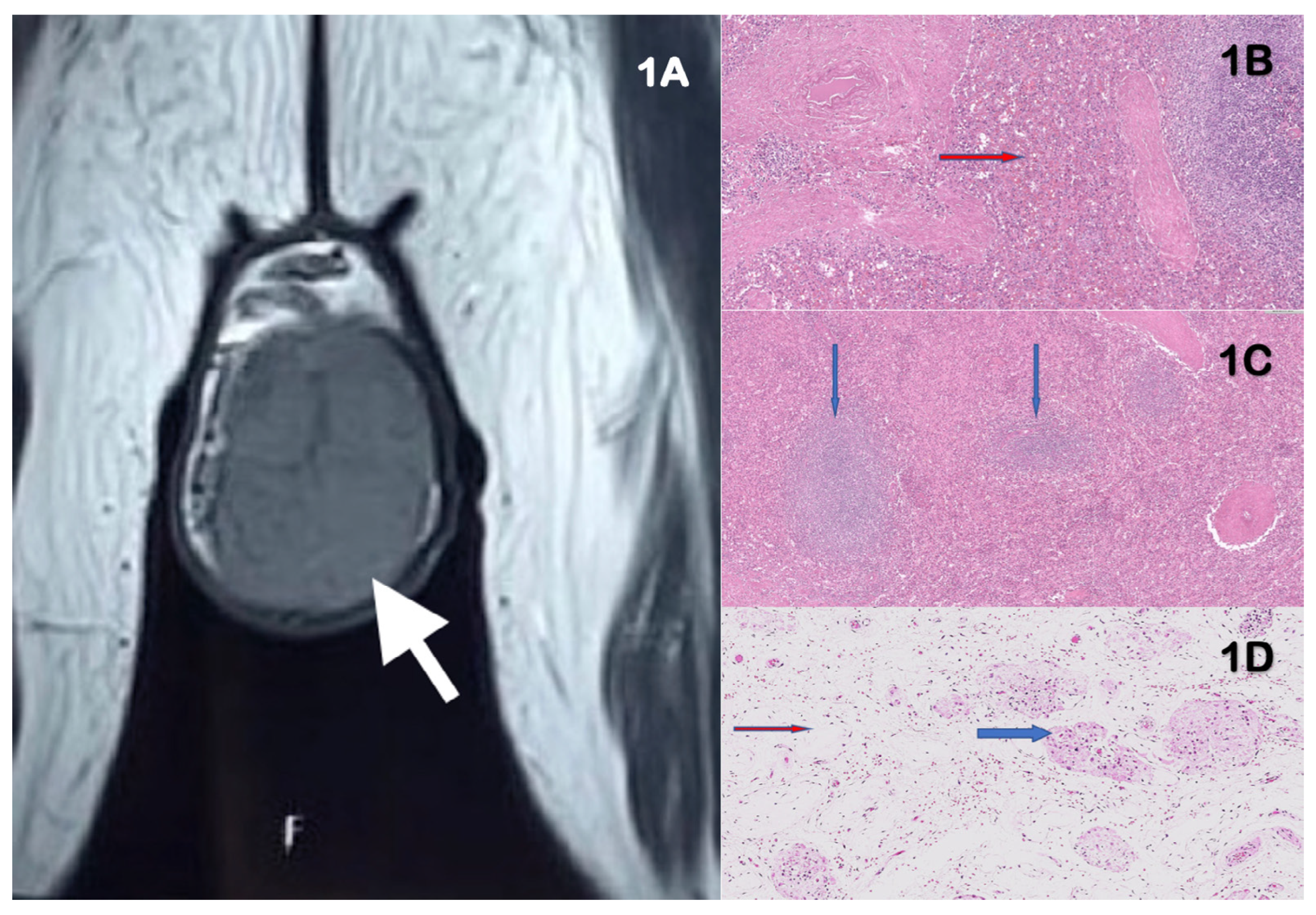
Large Accessory Scrotal Spleen Masquerading as Testicular Tumor
Competing Interests
Patient consent
References
- Marwah, N.; Bhutani, N.; Kalra, R.; Kajal, P. Accessory spleen within the scrotum. J. Pediatr. Surg. Case Rep. 2019, 42, 19–23. [Google Scholar] [CrossRef]
- Kadouri, Y.; Carnicelli, D.; Sayegh, H.E.; Benslimane, L.; Nouini, Y. Pathogenesis, diagnosis, and management of splenogonadal fusion: A literature review. Case Rep. Urol. 2020, 2020, 8876219. [Google Scholar] [CrossRef] [PubMed]
- Huang, G.; Huang, Y.; Zeng, L.; Yuan, M.; Wu, Y.; Huang, L. Continuous- type splenogonadal fusion: A case report. Exp. Ther. Med. 2017, 13, 2019–2021. [Google Scholar] [CrossRef] [PubMed][Green Version]
- Abokrecha, A.; Almatrfi, A. Discontinued splenogonadal fusion and bilateral empty scrotum in an 18-month-old boy. European J. Pediatr. Surg. Rep. 2017, 5, e1–e3. [Google Scholar] [CrossRef] [PubMed][Green Version]

This is an open access article under the terms of a license that permits non-commercial use, provided the original work is properly cited. © 2022 The Authors. Société Internationale d'Urologie Journal, published by the Société Internationale d'Urologie, Canada.
Share and Cite
Bharadwaj, S.; Sinha, S.; Swain, M. Large Accessory Scrotal Spleen Masquerading as Testicular Tumor. Soc. Int. Urol. J. 2022, 3, 354-355. https://doi.org/10.48083/CTUZ3597
Bharadwaj S, Sinha S, Swain M. Large Accessory Scrotal Spleen Masquerading as Testicular Tumor. Société Internationale d’Urologie Journal. 2022; 3(5):354-355. https://doi.org/10.48083/CTUZ3597
Chicago/Turabian StyleBharadwaj, Sirish, Sanjay Sinha, and Meenakshi Swain. 2022. "Large Accessory Scrotal Spleen Masquerading as Testicular Tumor" Société Internationale d’Urologie Journal 3, no. 5: 354-355. https://doi.org/10.48083/CTUZ3597
APA StyleBharadwaj, S., Sinha, S., & Swain, M. (2022). Large Accessory Scrotal Spleen Masquerading as Testicular Tumor. Société Internationale d’Urologie Journal, 3(5), 354-355. https://doi.org/10.48083/CTUZ3597
