Left-Parietal Angiocentric Glioma: Our Experience and a Review of the Literature
Abstract
1. Introduction
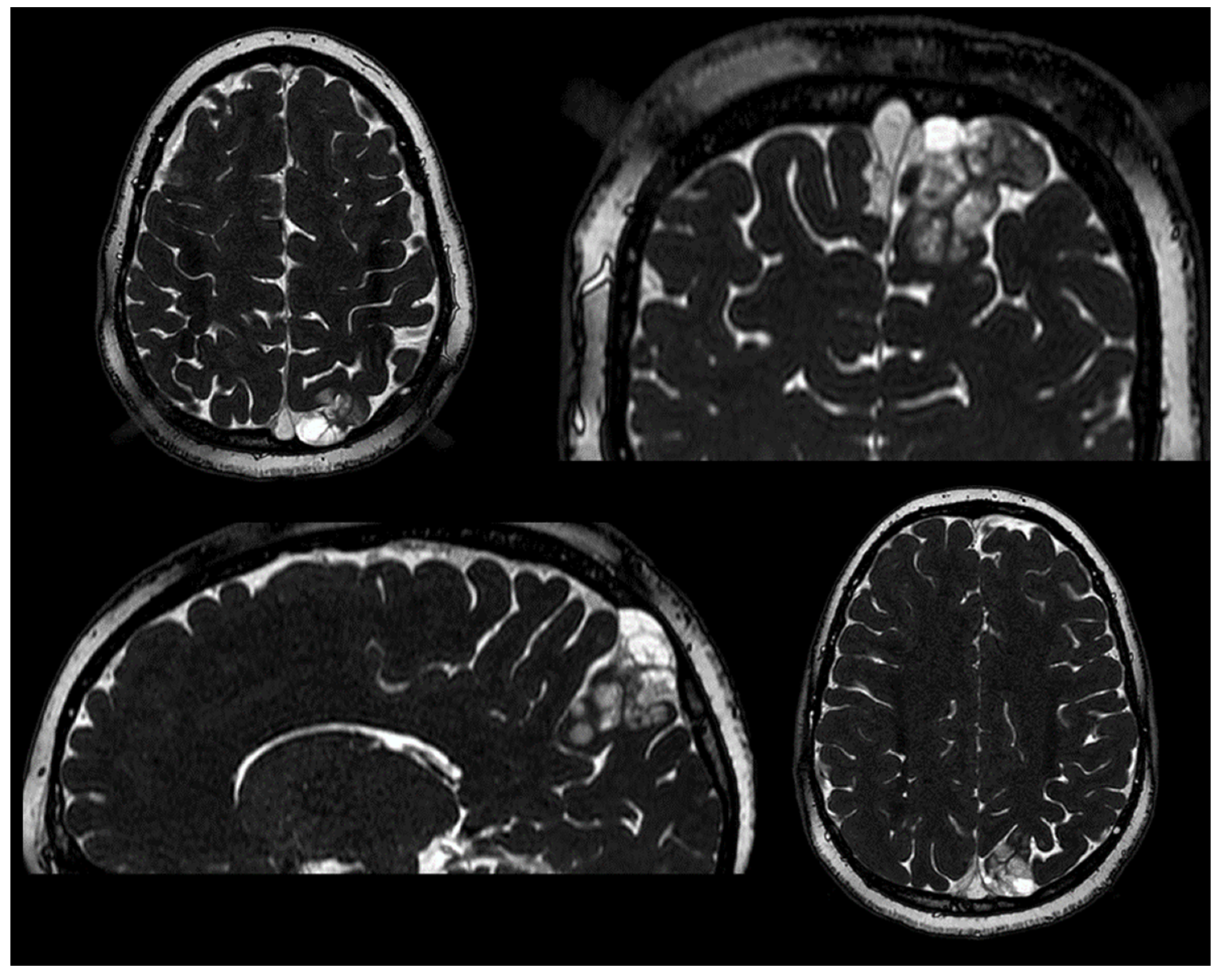
Case Report
2. Materials and Methods
3. Results
4. Discussion
5. Conclusions
Supplementary Materials
Author Contributions
Funding
Institutional Review Board Statement
Informed Consent Statement
Data Availability Statement
Conflicts of Interest
References
- Lellouch-Tubiana, A.; Boddaert, N.; Bourgeois, M.; Fohlen, M.; Jouvet, A.; Delalande, O.; Seidenwurm, D.; Brunelle, F.; Sainte-Rose, C. Angiocentric Neuroepithelial Tumor (ANET): A New Epilepsy-Related Clinicopathological Entity with Distinctive MRI. Brain Pathol. 2005, 15, 281–286. [Google Scholar] [CrossRef] [PubMed]
- Louis, D.N.; Ohgaki, H.; Wiestler, O.D.; Cavenee, W.K.; Burger, P.C.; Jouvet, A.; Scheithauer, B.W.; Kleihues, P. The 2007 WHO Classification of Tumours of the Central Nervous System. Acta Neuropathol. 2007, 114, 97–109. [Google Scholar] [CrossRef] [PubMed]
- Louis, D.N.; Perry, A.; Wesseling, P.; Brat, D.J.; Cree, I.A.; Figarella-Branger, D.; Hawkins, C.; Ng, H.K.; Pfister, S.M.; Reifenberger, G.; et al. The 2021 WHO Classification of Tumors of the Central Nervous System: A Summary. Neuro-Oncol. 2021, 23, 1231–1251. [Google Scholar] [CrossRef]
- Wang, M.; Tihan, T.; Rojiani, A.M.; Bodhireddy, S.R.; Prayson, R.A.; Iacuone, J.J.; Alles, A.J.; Donahue, D.J.; Hessler, R.B.; Kim, J.H.; et al. Monomorphous Angiocentric Glioma: A Distinctive Epileptogenic Neoplasm With Features of Infiltrating Astrocytoma and Ependymoma. J. Neuropathol. Exp. Neurol. 2005, 64, 875–881. [Google Scholar] [CrossRef] [PubMed]
- McCracken, J.A.; Gonzales, M.F.; Phal, P.M.; Drummond, K.J. Angiocentric Glioma Transformed into Anaplastic Ependymoma: Review of the Evidence for Malignant Potential. J. Clin. Neurosci. 2016, 34, 47–52. [Google Scholar] [CrossRef] [PubMed]
- D’Aronco, L.; Rouleau, C.; Gayden, T.; Crevier, L.; Décarie, J.-C.; Perreault, S.; Jabado, N.; Bandopadhayay, P.; Ligon, K.L.; Ellezam, B. Brainstem Angiocentric Gliomas with MYB–QKI Rearrangements. Acta Neuropathol. 2017, 134, 667–669. [Google Scholar] [CrossRef]
- Fulton, S.P.; Clarke, D.F.; Wheless, J.W.; Ellison, D.W.; Ogg, R.; Boop, F.A. Angiocentric Glioma-Induced Seizures in a 2-Year-Old Child. J. Child. Neurol. 2009, 24, 852–856. [Google Scholar] [CrossRef]
- Taschner, C.A.; Staszewski, O.; Zentner, J.; Meckel, S.; Prinz, M. Freiburg Neuropathology Case Conference: A Mass Lesion of the Mesial Temporal Lobe in a Child. Clin. Neuroradiol. 2011, 21, 171–176. [Google Scholar] [CrossRef]
- Donev, K.; Scheithauer, B.; Ketterling, R. Anaplastic Angiocentric Glioma: A Report of Two Cases. FASEB J. 2008, 22, 706.4. [Google Scholar] [CrossRef]
- Gonzalez-Quarante, L.H.; Fernández Carballal, C.; Agarwal, V.; Vargas Lopez, A.J.; Gil de Sagredo Del Corral, O.L.; Sola Vendrell, E. Angiocentric Glioma in an Elderly Patient: Case Report and Review of the Literature. World Neurosurg. 2017, 97, 755.e5–755.e10. [Google Scholar] [CrossRef]
- Aguilar, H.N.; Hung, R.W.; Mehta, V.; Kotylak, T. Imaging Characteristics of an Unusual, High-Grade Angiocentric Glioma: A Case Report and Review of the Literature. J. Radiol. Case Rep. 2012, 6, 1–10. [Google Scholar] [CrossRef] [PubMed]
- Sugita, Y.; Ono, T.; Ohshima, K.; Niino, D.; Ito, M.; Toda, K.; Baba, H. Brain Surface Spindle Cell Glioma in a Patient with Medically Intractable Partial Epilepsy: A Variant of Monomorphous Angiocentric Glioma? Neuropathology 2008, 28, 516–520. [Google Scholar] [CrossRef] [PubMed]
- Shakur, S.F.; McGirt, M.J.; Johnson, M.W.; Burger, P.C.; Ahn, E.; Carson, B.S.; Jallo, G.I. Angiocentric Glioma: A Case Series. J. Neurosurg. Pediatr. 2009, 3, 197–202. [Google Scholar] [CrossRef] [PubMed]
- Gupta, S.; Rangari, K.V.; Mehrotra, A.; Pal, L.; Jaisawal, A.K.; Kumar, R. Temporal Lobe Angiocentric Glioma with Oligodendroglioma-like Areas: A Rare Association of an Uncommon Tumor. A Case Report with Review of Literature. Childs Nerv. Syst. 2020, 36, 641–646. [Google Scholar] [CrossRef] [PubMed]
- Buccoliero, A.M.; Caporalini, C.; Scagnet, M.; Mussa, F.; Giordano, F.; Sardi, I.; Migliastro, I.; Moscardi, S.; Conti, V.; Barba, C.; et al. Angiocentric Glioma-Associated Seizures: The Possible Role of EATT2, Pyruvate Carboxylase and Glutamine Synthetase. Seizure 2021, 86, 152–154. [Google Scholar] [CrossRef] [PubMed]
- Weaver, K.J.; Crawford, L.M.; Bennett, J.A.; Rivera-Zengotita, M.L.; Pincus, D.W. Brainstem Angiocentric Glioma: Report of 2 Cases. J. Neurosurg. Pediatr. 2017, 20, 347–351. [Google Scholar] [CrossRef] [PubMed]
- O’Halloran, P.J.; Amoo, M.; Dablouk, M.O.; Beausang, A.; MacNally, S. Angiocentric Glioma: Drop Metastases to the Spinal Cord. World Neurosurg. 2020, 136, 110–116. [Google Scholar] [CrossRef] [PubMed]
- Chan, E.; Bollen, A.W.; Sirohi, D.; Van Ziffle, J.; Grenert, J.P.; Kline, C.N.; Tihan, T.; Perry, A.; Gupta, N.; Solomon, D.A. Angiocentric Glioma with MYB-QKI Fusion Located in the Brainstem, Rather than Cerebral Cortex. Acta Neuropathol. 2017, 134, 671–673. [Google Scholar] [CrossRef] [PubMed]
- Preusser, M.; Hoischen, A.; Novak, K.; Czech, T.; Prayer, D.; Hainfellner, J.A.; Baumgartner, C.; Woermann, F.G.; Tuxhorn, I.E.; Pannek, H.W.; et al. Angiocentric Glioma: Report of Clinico-Pathologic and Genetic Findings in 8 Cases. Am. J. Surg. Pathol. 2007, 31, 1709–1718. [Google Scholar] [CrossRef] [PubMed]
- Rho, G.-J.; Kim, H.; Kim, H.-I.; Ju, M.-J. A Case of Angiocentric Glioma with Unusual Clinical and Radiological Features. J. Korean Neurosurg. Soc. 2011, 49, 367. [Google Scholar] [CrossRef] [PubMed]
- Ersen, A.; Canda, M.S.; Men, S.; Yucesoy, K.; Kalemci, O.; Canda, T. Angiocentric Glioma: The Infiltrative Glioma with Ependymal Differentiation. Turk. Patoloji Derg. 2017, 33, 251–255. [Google Scholar] [CrossRef] [PubMed][Green Version]
- Takada, S.; Iwasaki, M.; Suzuki, H.; Nakasato, N.; Kumabe, T.; Tominaga, T. Angiocentric Glioma and Surrounding Cortical Dysplasia Manifesting as Intractable Frontal Lobe Epilepsy—Case Report. Neurol. Med. Chir. 2011, 51, 522–526. [Google Scholar] [CrossRef] [PubMed]
- Mott, R.T.; Ellis, T.L.; Geisinger, K.R. Angiocentric Glioma: A Case Report and Review of the Literature. Diagn. Cytopathol. 2010, 38, 452–456. [Google Scholar] [CrossRef]
- Grajkowska, W.; Matyja, E.; Daszkiewicz, P.; Roszkowski, M.; Peregud-Pogorzelski, J.; Jurkiewicz, E. Angiocentric Glioma: A Rare Intractable Epilepsy-Related Tumour in Children. Folia Neuropathol. 2014, 52, 253–259. [Google Scholar] [CrossRef] [PubMed]
- Lu, J.-Q.; Patel, S.; Wilson, B.A.; Pugh, J.; Mehta, V. Malignant Glioma with Angiocentric Features: Case Report. PED 2013, 11, 350–355. [Google Scholar] [CrossRef] [PubMed]
- Hu, X.-W.; Zhang, Y.-H.; Wang, J.-J.; Jiang, X.; Liu, J.; Yang, P.-F. Angiocentric Glioma with Rich Blood Supply. J. Clin. Neurosci. 2010, 17, 917–918. [Google Scholar] [CrossRef] [PubMed]
- Arsene, D.; Ardeleanu, C.; Ogrezeanu, I.; Danaila, L. Angiocentric Glioma: Presentation of Two Cases with Dissimilar Histology. Clin. Neuropathol. 2008, 27, 391–395. [Google Scholar] [CrossRef] [PubMed]
- Miyahara, H.; Toyoshima, Y.; Natsumeda, M.; Uzuka, T.; Aoki, H.; Nakayama, Y.; Okamoto, K.; Fujii, Y.; Kakita, A.; Takahashi, H. Anaplastic Astrocytoma with Angiocentric Ependymal Differentiation: Astrocytoma Mimicking Angiocentric Glioma. Neuropathology 2011, 31, 292–298. [Google Scholar] [CrossRef] [PubMed]
- Wang, Q.; Xiong, Y.; Chen, J.; Shao, Q. Cystic Angiocentric Glioma: A Case Report and Literature Review. Childs Nerv. Syst. 2021, 37, 2701–2705. [Google Scholar] [CrossRef] [PubMed]
- Whitehead, M.T.; Vezina, G. MR Spectroscopic Profile of an Angiocentric Glioma. Anticancer. Res. 2015, 35, 6267–6270. [Google Scholar] [PubMed]
- Lum, D.J.; Halliday, W.; Watson, M.; Smith, A.; Law, A. Cortical Ependymoma or Monomorphous Angiocentric Glioma? Neuropathology 2008, 28, 81–86. [Google Scholar] [CrossRef] [PubMed]
- Marburger, T.; Prayson, R. Angiocentric Glioma: A Clinicopathologic Review of 5 Tumors with Identification of Associated Cortical Dysplasia. Arch. Pathol. Lab. Med. 2011, 135, 1037–1041. [Google Scholar] [CrossRef] [PubMed]
- Kumar, M.; Ramakrishnaiah, R.; Samant, R. Angiocentric Glioma, a Recently Added WHO Grade-I Tumor. Radiol. Case Rep. 2013, 8, 782. [Google Scholar] [CrossRef] [PubMed]
- Pokharel, S.; Parker, J.R.; Parker, J.C.; Coventry, S.; Stevenson, C.B.; Moeller, K.K. Angiocentric Glioma with High Proliferative Index: Case Report and Review of the Literature. Ann. Clin. Lab. Sci. 2011, 41, 257–261. [Google Scholar] [PubMed]
- Cheng, S.; Lü, Y.; Xu, S.; Liu, Q.; Lee, P. Cystoid Angiocentric Glioma: A Case Report and Literature Review. J. Radiol. Case Rep. 2015, 9, 1–9. [Google Scholar] [CrossRef] [PubMed]
- Chatterjee, D.; Gupta, K.; Singla, N.; Radotra, B.D. Angiocentric Glioma of Hippocampus-Report of a Rare Intractable Epilepsy-Related Tumor. Neurol. India 2016, 64, 340–343. [Google Scholar] [CrossRef] [PubMed]
- Alexandru, D.; Haghighi, B.; Muhonen, M.G. The Treatment of Angiocentric Glioma: Case Report and Literature Review. TPJ 2013, 17, e100. [Google Scholar] [CrossRef] [PubMed]
- Chen, G.; Wang, L.; Wu, J.; Jin, Y.; Wang, X.; Jin, Y. Intractable Epilepsy Due to Angiocentric Glioma: A Case Report and Minireview. Exp. Ther. Med. 2014, 7, 61–65. [Google Scholar] [CrossRef] [PubMed]
- Yano, Y.; Matsuda, R.; Okada, F.; Takeda, M.; Maeoka, R.; Nakgawa, I. Awake Surgery for Angiocentric Glioma in the Eloquent Area in an Adolescent: A Case Report. Brain Tumor Res. Treat. 2024, 12, 75. [Google Scholar] [CrossRef] [PubMed]
- Li, J.Y.; Langford, L.A.; Adesina, A.; Bodhireddy, S.R.; Wang, M.; Fuller, G.N. The High Mitotic Count Detected by Phospho-Histone H3 Immunostain Does Not Alter the Benign Behavior of Angiocentric Glioma. Brain Tumor Pathol. 2012, 29, 68–72. [Google Scholar] [CrossRef] [PubMed]
- Reisz, Z.; Radics, B.L.; Nemes, P.; Laxton, R.; Kaizer, L.; Gabor, K.M.; Novak, T.; Barzo, P.; Al-Sarraj, S.; Bodi, I. Case Report: Brainstem Angiocentric Glioma Presenting in a Toddler Child–Diagnostic and Therapeutic Challenges. Pathol. Oncol. Res. 2023, 29, 1611231. [Google Scholar] [CrossRef] [PubMed]
- Bandopadhayay, P.; Ramkissoon, L.A.; Jain, P.; Bergthold, G.; Wala, J.; Zeid, R.; Schumacher, S.E.; Urbanski, L.; O’Rourke, R.; Gibson, W.J.; et al. MYB-QKI Rearrangements in Angiocentric Glioma Drive Tumorigenicity through a Tripartite Mechanism. Nat. Genet. 2016, 48, 273–282. [Google Scholar] [CrossRef] [PubMed]
- Wang, H.; Zhu, J.; Zhu, P.; Luo, C. Angiocentric Glioma: A Case Report and Review of the Literature. J. Clin. Neurosci. 2021, 94, 179–185. [Google Scholar] [CrossRef] [PubMed]
- Raghunathan, A.; Olar, A.; Vogel, H.; Parker, J.R.; Coventry, S.C.; Debski, R.; Albarracin, C.T.; Aldape, K.D.; Cahill, D.P.; Powell, S.Z.; et al. Isocitrate Dehydrogenase 1 R132H Mutation Is Not Detected in Angiocentric Glioma. Ann. Diagn. Pathol. 2012, 16, 255–259. [Google Scholar] [CrossRef] [PubMed]
- Sajjad, J.; Kaliaperumal, C.; Bermingham, N.; Marks, C.; Keohane, C. “Unusual Brain Stone”: Heavily Calcified Primary Neoplasm with Some Features Suggestive of Angiocentric Glioma. J. Neurosurg. 2015, 123, 1256–1260. [Google Scholar] [CrossRef] [PubMed]
- Almubarak, A.O.; Alahmari, A.; Hindi, H.A.; AlShail, E. Angiocentric Glioma of Brainstem. NSJ 2020, 25, 416–420. [Google Scholar] [CrossRef]
- Miyata, H.; Ryufuku, M.; Kubota, Y.; Ochiai, T.; Niimura, K.; Hori, T. Adult-Onset Angiocentric Glioma of Epithelioid Cell-Predominant Type of the Mesial Temporal Lobe Suggestive of a Rare but Distinct Clinicopathological Subset within a Spectrum of Angiocentric Cortical Ependymal Tumors. Neuropathology 2012, 32, 479–491. [Google Scholar] [CrossRef] [PubMed]
- AlSufiani, F.M.; Burneo, J.G.; McLachlan, R.S.; Pelz, D.M.; Steven, D.A.; Hammond, R.R. 45-Year-Old Female with a 25 Year History of Seizures. Can. J. Neurol. Sci. 2013, 40, 85–88. [Google Scholar] [CrossRef] [PubMed]
- Covington, D.B.; Rosenblum, M.K.; Brathwaite, C.D.; Sandberg, D.I. Angiocentric Glioma-like Tumor of the Midbrain. Pediatr. Neurosurg. 2009, 45, 429–433. [Google Scholar] [CrossRef]
- Kadak, M.T.; Demirel, A.; Demir, T. Angiocentric Glioma Manifesting as Psychotic Symptoms in an Adolescent: A Case Report. Neurol. Psychiatry Brain Res. 2013, 19, 197–200. [Google Scholar] [CrossRef]
- Kakkar, A.; Sharma, M.; Suri, V.; Kaushal, S.; Chandra, S.; Garg, A.; Sarkar, C. Angiocentric Glioma: A Treatable Cause of Epilepsy: Report of a Rare Case. Neurol. India 2014, 62, 677. [Google Scholar] [CrossRef] [PubMed]
- Koral, K.; Koral, K.M.; Sklar, F. Angiocentric Glioma in a 4-Year-Old Boy: Imaging Characteristics and Review of the Literature. Clin. Imaging 2012, 36, 61–64. [Google Scholar] [CrossRef] [PubMed]
- Liu, C.Q.; Zhou, J.; Qi, X.; Luan, G.M. Refractory Temporal Lobe Epilepsy Caused by Angiocentric Glioma Complicated with Focal Cortical Dysplasia: A Surgical Case Series. J. Neurooncol 2012, 110, 375–380. [Google Scholar] [CrossRef] [PubMed]
- Ma, X.; Ge, J.; Wang, L.; Xia, C.; Liu, H.; Li, Y.; He, J.; Zhu, W. A 25-YEAR-OLD WOMAN WITH A MASS IN THE HIPPOCAMPUS. Brain Pathol. 2010, 20, 503–506. [Google Scholar] [CrossRef] [PubMed]
- Majores, M.; Niehusmann, P.; Lehe, M.V.; Blümcke, I.; Urbach, H. Angiocentric Neuroepithelial Tumor Mimicking Ammons Horn Sclerosis Case Report. Clin. Neuropathol. 2007, 26, 311–316. [Google Scholar] [CrossRef] [PubMed]
- Ni, H.-C.; Chen, S.-Y.; Chen, L.; Lu, D.-H.; Fu, Y.-J.; Piao, Y.-S. Angiocentric Glioma: A Report of Nine New Cases, Including Four with Atypical Histological Features. Neuropathol. Appl. Neurobiol. 2015, 41, 333–346. [Google Scholar] [CrossRef]
- Rosenzweig, I.; Bodi, I.; Selway, R.P.; Crook, W.S.; Moriarty, J.; Elwes, R.D.C. Paroxysmal Ictal Phonemes in a Patient with Angiocentric Glioma. J. Neuropsychiatry Clin. Neurosci. 2010, 22, 123.E18–123.E20. [Google Scholar] [CrossRef] [PubMed]
- Soylemezoglu, F.; Himmetoglu, C.; Oguz, K.K.; Saygi, S.; Akalan, N. A 41-Year-Old Man Wıth Drug-Resıstant Complex Partıal Seızures. Brain Pathol. 2015, 25, 511–512. [Google Scholar] [CrossRef]
- Varikatt, W.; Dexter, M.; Mahajan, H.; Murali, R.; Ng, T. Usefulness of Smears in Intra-Operative Diagnosis of Newly Described Entities of CNS. Neuropathology 2009, 29, 641–648. [Google Scholar] [CrossRef]










| Author | Year | Age | Sex | Location | Side | Seizure | Treatment | Post-Op Seizure |
|---|---|---|---|---|---|---|---|---|
| Aguilar et al. [4] | 2012 | 15 | F | frontal | N/A | NO | GTR + RT; Recurrence: surgery + CMX | YES |
| Alexandru et al. [5] | 2013 | 12 | F | temporal | L | YES | GTR | N/A |
| Almubarak et al. [6] | 2020 | 4 | F | brainstem | N/A | NO |
STR + CMX;
Recurrence: palliative therapy | - |
| AlSufiani et al. [7] | 2013 | 45 | F | temporal | R | YES | GTR | YES |
| Arsene et al. [8] | 2008 | 55 | M | temporal | R | NO | GTR | - |
| Arsene et al. [8] | 2008 | 20 | M | temporo-occipital | N/A | YES | GTR | N/A |
| Chan et al. [9] | 2018 | 7 | M | brainstem | N/A | NO | Biopsy | - |
| Chatterjee et al. [10] | 2016 | 22 | F | temporal | R | YES | N/A | N/A |
| Chen et al. [11] | 2014 | 7 | F | parietal | R | YES | GTR | N/A |
| Cheng et al. [12] | 2015 | 25 | M | frontal | N/A | YES | GTR | YES |
| Covington et al. [13] | 2009 | 5 | F | brainstem | N/A | NO | STR | N/A |
| D’Aronco et al. [14] | 2017 | 3 | M | brainstem | N/A | NO |
CMX;
Recurrence: CMX | - |
| D’Aronco et al. [14] | 2017 | 7 | M | brainstem | N/A | NO | Biopsy + CMX; Recurrence: CMX | - |
| Donev et al. [15] | 2008 | 38 | M | frontal | N/A | YES | GTR | - |
| Donev et al. [15] | 2008 | 79 | F | temporal | N/A | NO | N/A | - |
| Ersen et al. [16] | 2014 | 21 | M | frontal | L | YES | GTR | - |
| Fulton et al. [17] | 2009 | 2 | N/A | fronto-parietal | R | YES | STR | YES |
| Gonzalez-Quarante et al. [18] | 2017 | 83 | M | frontal | L | NO | STR + RT | YES |
| Grajkowska et al. [19] | 2014 | 15 | F | temporal | R | YES | GTR | YES |
| Grajkowska et al. [19] | 2014 | 14 | M | parieto-occipital | L | YES | GTR | N/A |
| Gupta et al. [20] | 2020 | 14 | M | temporal | N/A | YES | GTR | N/A |
| Hu et al. [21] | 2010 | 19 | M | frontal | L | NO | GTR | N/A |
| Kadak et al. [22] | 2013 | 13 | M | temporal | L | YES | GTR | NO |
| Kakkar, Sharma et al. [23] | 2014 | 18 | M | frontal | L | YES | GTR | YES |
| Koral et al. [24] | 2012 | 4 | M | temporal | R | YES | STR | N/A |
| Kumar et al. [25] | 2015 | 4 | M | frontal | L | YES | N/A | N/A |
| Lellouch-Tubiana et al. [1] | 2005 | 9.5 | F | frontal | L | YES | GTR | N/A |
| Lellouch-Tubiana et al. [1] | 2005 | 10 | M | frontal | L | YES | STR | YES |
| Lellouch-Tubiana et al. [1] | 2005 | 3 | F | frontal | L | YES | STR | YES |
| Lellouch-Tubiana et al. [1] | 2005 | 12 | M | parietal | R | YES | GTR | N/A |
| Lellouch-Tubiana et al. [1] | 2005 | 13 | F | fronto-insular | R | YES | STR | YES |
| Lellouch-Tubiana et al. [1] | 2005 | 2 | M | fronto-parietal | R | YES | STR | YES |
| Lellouch-Tubiana et al. [1] | 2005 | 4.5 | M | parietal | R | YES | GTR | N/A |
| Lellouch-Tubiana et al. [1] | 2005 | 4 | F | temporal | L | YES | GTR | N/A |
| Lellouch-Tubiana et al. [1] | 2005 | 4 | F | temporal | L | YES | GTR | N/A |
| Lellouch-Tubiana et al. [1] | 2005 | 6.5 | M | fronto-temporal | L | YES | GTR | N/A |
| Li et al. [26] | 2012 | 4 | M | frontal | L | YES | GTR | - |
| Li et al. [26] | 2012 | 4 | F | frontal | R | YES | GTR | - |
| Li et al. [26] | 2012 | 9 | M | temporal | R | YES | GTR | - |
| Liu et al. [27] | 2012 | 13 | F | temporal | L | YES | GTR | - |
| Liu et al. [27] | 2012 | 14 | M | temporal | R | YES | GTR | - |
| Liu et al. [27] | 2012 | 22 | M | temporal | L | YES | GTR | - |
| Lu et al. [28] | 2013 | 15 | M | frontal | R | NO | GTR + RT; Recurrence (AG, no GBM likeness): GTR + CMX | YES |
| Ma et al. [29] | 2010 | 25 | F | temporal | R | YES | GTR | N/A |
| Majores et al. [30] | 2007 | 46 | M | temporal | L | YES | N/A | N/A |
| Marburger et al. [31] | 2011 | 15 | M | thalamus | R | NO | Biopsy | N/A |
| Marburger et al. [31] | 2011 | 3 | F | temporal | L | YES | GTR | N/A |
| Marburger et al. [31] | 2011 | 19 | M | parietal | L | YES | GTR | N/A |
| Marburger et al. [31] | 2011 | 15 | M | temporal | L | YES | STR | YES |
| Marburger et al. [31] | 2011 | 10 | F | parieto-occipital | L | YES | GTR | N/A |
| McCracken et al. [32] | 2016 | 16 | F | fronto-insular | L | YES | Biopsy; First Recurrence (AG + astrocytoma GII): STR + FRT; Second Recurrence (AG + anaplastic ependymoma): STR + CMX | YES |
| Miyahara et al. [33] | 2011 | 66 | F | temporo-insular | R | YES | STR + CMX + RT; Recurrence: RT + CMX | - |
| Miyata et al. [34] | 2011 | 37 | M | temporal | L | YES | GTR | N/A |
| Miyata et al. [34] | 2011 | 54 | F | temporal | L | YES | GTR | YES |
| Mott et al. [35] | 2010 | 57 | F | frontal | R | YES | Biopsy + RT | N/A |
| Ni et al. [36] | 2014 | 4.7 | M | frontal | R | YES | N/A | N/A |
| Ni et al. [36] | 2014 | 9 | F | parietal | R | YES | N/A | - |
| Ni et al. [36] | 2014 | 24 | M | frontal | R | YES | N/A | N/A |
| Ni et al. [36] | 2014 | 5.5 | F | parietal | R | YES | N/A | N/A |
| Ni et al. [36] | 2014 | 20 | F | parietal | L | YES | N/A | N/A |
| Ni et al. [36] | 2014 | 7 | M | temporal | L | YES | N/A | N/A |
| Ni et al. [36] | 2014 | 22.5 | F | frontal | R | YES | N/A | N/A |
| Ni et al. [36] | 2014 | 9 | M | frontal | R | YES | N/A | N/A |
| Ni et al. [36] | 2014 | 17 | M | temporal | L | YES | N/A | N/A |
| O’Halloran et al. [37] | 2020 | 42 | M | dorsal cord | NO | GTR | N/A | |
| Our case | 2023 | 8 | M | parietal | L | YES | GTR | NO |
| Pokharel et al. [38] | 2011 | 3 | M | parietal | R | YES | GTR | NO |
| Preusser et al. [39] | 2007 | 13 | F | temporal | N/A | YES | GTR | YES |
| Preusser et al. [39] | 2007 | 10 | M | parietal | N/A | YES | STR | YES |
| Preusser et al. [39] | 2007 | 12 | F | parietal | N/A | YES | GTR + RT | YES |
| Preusser et al. [39] | 2007 | 0 | F | temporal | N/A | YES | GTR | YES |
| Preusser et al. [39] | 2007 | 14 | M | fronto-parietal | N/A | YES | Biopsy + RT | YES |
| Preusser et al. [39] | 2007 | 8 | F | temporal | N/A | YES | GTR | NO |
| Preusser et al. [39] | 2007 | 6 | M | temporal | N/A | YES | STR | YES |
| Preusser et al. [39] | 2007 | 3 | M | parietal | N/A | YES | GTR | NO |
| Reisz et al. [40] | 2023 | 2 | M | brainstem | N/A | NO | STR + CMX; Recurrence: CMX | - |
| Rho et al. [41] | 2011 | 10 | F | frontal | R | NO | GTR | YES |
| Rosenzweig et al. [42] | 2009 | 28 | M | temporal | L | YES | GTR | NO |
| Sajjad et al. [43] | 2015 | 40 | M | parietal | R | NO | GTR | N/A |
| Shakur et al. [44] | 2009 | 13 | F | temporal | L | YES | GTR | NO |
| Shakur et al. [44] | 2009 | 10 | M | temporal | L | YES | GTR | YES |
| Shakur et al. [44] | 2009 | 10 | M | temporal | L | NO | GTR | NO |
| Soylemezoglu et al. [45] | 2015 | 41 | M | parietal | L | YES | GTR | N/A |
| Sugita et al. [46] | 2008 | 6 | M | parieto-occipital | R | YES | GTR | N/A |
| Takada et al. [47] | 2011 | 26 | M | frontal | R | YES | GTR | YES |
| Taschner et al. [48] | 2011 | 3 | N/A | occipito-temporal | L | YES | GTR | N/A |
| Varikatt et al. [49] | 2009 | 16 | f | parieto-occipital | L | YES | GTR | - |
| Wang et al. [50] | 2005 | 15 | M | temporal | R | YES | GTR | N/A |
| Wang et al. [50] | 2005 | 12 | F | fronto-temporal | R | YES | STR | N/A |
| Wang et al. [50] | 2005 | 14 | F | frontal | R | YES | GTR | N/A |
| Wang et al. [50] | 2005 | 3 | M | occipital | L | YES | STR | N/A |
| Wang et al. [50] | 2005 | 4 | F | parietal | R | YES | GTR + CMX + RT | N/A |
| Wang et al. [50] | 2005 | 30 | M | temporal | L | YES | GTR | N/A |
| Wang et al. [50] | 2005 | 26 | M | frontal | L | YES | STR; Recurrence (anaplastic astrocytoma): STR + FRT + CMX | YES |
| Wang et al. [50] | 2005 | 37 | M | frontal | R | YES | N/A | - |
| Wang et al. [51] | 2020 | 10 | F | frontal | L | YES | GTR | N/A |
| Wang et al. [52] | 2021 | 14 | M | parietal | L | YES | GTR | YES |
| Weaver et al. [53] | 2017 | 5 | F | brainstem | N/A | NO | Biopsy; Recurrence: CMX + STR | - |
| Weaver et al. [53] | 2017 | 6 | M | brainstem | N/A | NO | Biopsy | - |
| Yano et al. [54] | 2024 | 15 | M | frontal | L | YES | GTR | NO |
| Symptom | Number of Cases | |
|---|---|---|
| Seizures | 81% | n = 81 |
| Headaches | 8% | n = 8 |
| Cranial nerve palsy | 7% | n = 7 |
| Weakness | 6% | n = 6 |
| Visual impairment | 5% | n = 5 |
| Vomiting | 2% | n = 2 |
| Gait disturbances | 2% | n = 2 |
| Dizziness | 2% | n = 2 |
| Cognitive deficit | 2% | n = 2 |
| Developmental delay | 2% | n = 2 |
| Confusion | 1% | n = 1 |
| Dysphasia | 1% | n = 1 |
| Nystagmus | 1% | n = 1 |
| Otalgia | 1% | n = 1 |
| Respiratory failure | 1% | n = 1 |
| Fever | 1% | n = 1 |
| Spinal impairment | 1% | n = 1 |
Disclaimer/Publisher’s Note: The statements, opinions and data contained in all publications are solely those of the individual author(s) and contributor(s) and not of MDPI and/or the editor(s). MDPI and/or the editor(s) disclaim responsibility for any injury to people or property resulting from any ideas, methods, instructions or products referred to in the content. |
© 2024 by the authors. Licensee MDPI, Basel, Switzerland. This article is an open access article distributed under the terms and conditions of the Creative Commons Attribution (CC BY) license (https://creativecommons.org/licenses/by/4.0/).
Share and Cite
Curcio, A.; Espahbodinea, S.; Li Trenta, E.A.; Ferrarotto, R.; Nanni, A.; Arabia, N.; Ciccolo, G.; Raffa, G.; Granata, F.; Germanò, A. Left-Parietal Angiocentric Glioma: Our Experience and a Review of the Literature. Neuroglia 2024, 5, 165-181. https://doi.org/10.3390/neuroglia5020013
Curcio A, Espahbodinea S, Li Trenta EA, Ferrarotto R, Nanni A, Arabia N, Ciccolo G, Raffa G, Granata F, Germanò A. Left-Parietal Angiocentric Glioma: Our Experience and a Review of the Literature. Neuroglia. 2024; 5(2):165-181. https://doi.org/10.3390/neuroglia5020013
Chicago/Turabian StyleCurcio, Antonello, Shervin Espahbodinea, Eva Azzurra Li Trenta, Rosamaria Ferrarotto, Aristide Nanni, Noemi Arabia, Giorgio Ciccolo, Giovanni Raffa, Francesca Granata, and Antonino Germanò. 2024. "Left-Parietal Angiocentric Glioma: Our Experience and a Review of the Literature" Neuroglia 5, no. 2: 165-181. https://doi.org/10.3390/neuroglia5020013
APA StyleCurcio, A., Espahbodinea, S., Li Trenta, E. A., Ferrarotto, R., Nanni, A., Arabia, N., Ciccolo, G., Raffa, G., Granata, F., & Germanò, A. (2024). Left-Parietal Angiocentric Glioma: Our Experience and a Review of the Literature. Neuroglia, 5(2), 165-181. https://doi.org/10.3390/neuroglia5020013

