Abstract
Graft steatosis has been associated with inferior outcomes after liver transplantation. Given the rising prevalence of obesity and fatty liver disease, strategies allowing safe and successful utilization of fatty liver grafts are needed. Liver preservation by normothermic machine perfusion (NMP) allows reducing ischemia-reperfusion injury, extending preservation time and assessing graft viability prior to implantation into the recipient. NMP can be initiated at the donor hospital using a transportable device (referred to as upfront NMP or normothermic machine preservation) or after a period of cold ischemia (known as back-to-base). In this report, we present the case of a graft from an HCV-positive DBD donor with 70% macrovesicular steatosis, which was successfully preserved and transplanted using upfront NMP. This approach was key to minimize initial injury to the graft and allowed assessing its viability before transplantation, while improving transplant logistics. Upfront NMP represents a promising approach to enhance the transplantation of fatty liver grafts.
1. Introduction
Liver graft macrovesicular steatosis (MaS) has been linked to poorer outcomes following liver transplantation (LT) [1]. Grafts with severe MaS (≥60%) are often discarded due to the increased risk of graft dysfunction, which is directly proportional to the severity of MaS. However, given the rising incidence of non-alcoholic fatty liver disease and liver steatosis [2], the utilization of steatotic livers could significantly expand the donor pool, and strategies to improve their preservation are needed. Machine perfusion has been re-introduced in clinical practice to cope with the increased risks associated with the utilization of so-called “extended criteria” donors by static cold storage. Although various machine perfusion techniques have been used in steatotic grafts, the results have been conflicting [3,4,5,6,7,8,9,10,11,12,13,14]. Given the rapid expansion of machine perfusion technology, it is crucial to determine the appropriate settings for each technique [15].
Among the available machine perfusion techniques, normothermic machine perfusion (NMP) aims to mimic a physiological environment in which the liver is provided with oxygen and nutrients. Besides improving liver preservation and allowing prolonging preservation time [16,17], NMP has been shown to increase the organ utilization rate [9,18]. This property is closely linked to the possibility of assessing liver viability during perfusion, facilitating organ acceptance based on objective parameters [19,20,21,22]. Steatotic grafts represent an ideal setting for the utilization of NMP, potentially enabling the safe transplantation of these high-risk grafts after viability assessment [12]. While the adoption of NMP technology is gaining momentum [23], clinical data about its use in fatty liver grafts are still scarce. Furthermore, it is unclear which approach—upfront vs. back-to-base—should be preferred.
Here, we present a case of successful preservation and transplantation of a liver with severe MaS using upfront normothermic machine perfusion (NMP), representing the arrival point of our search for an optimal preservation strategy for fatty liver grafts.
2. Case Description
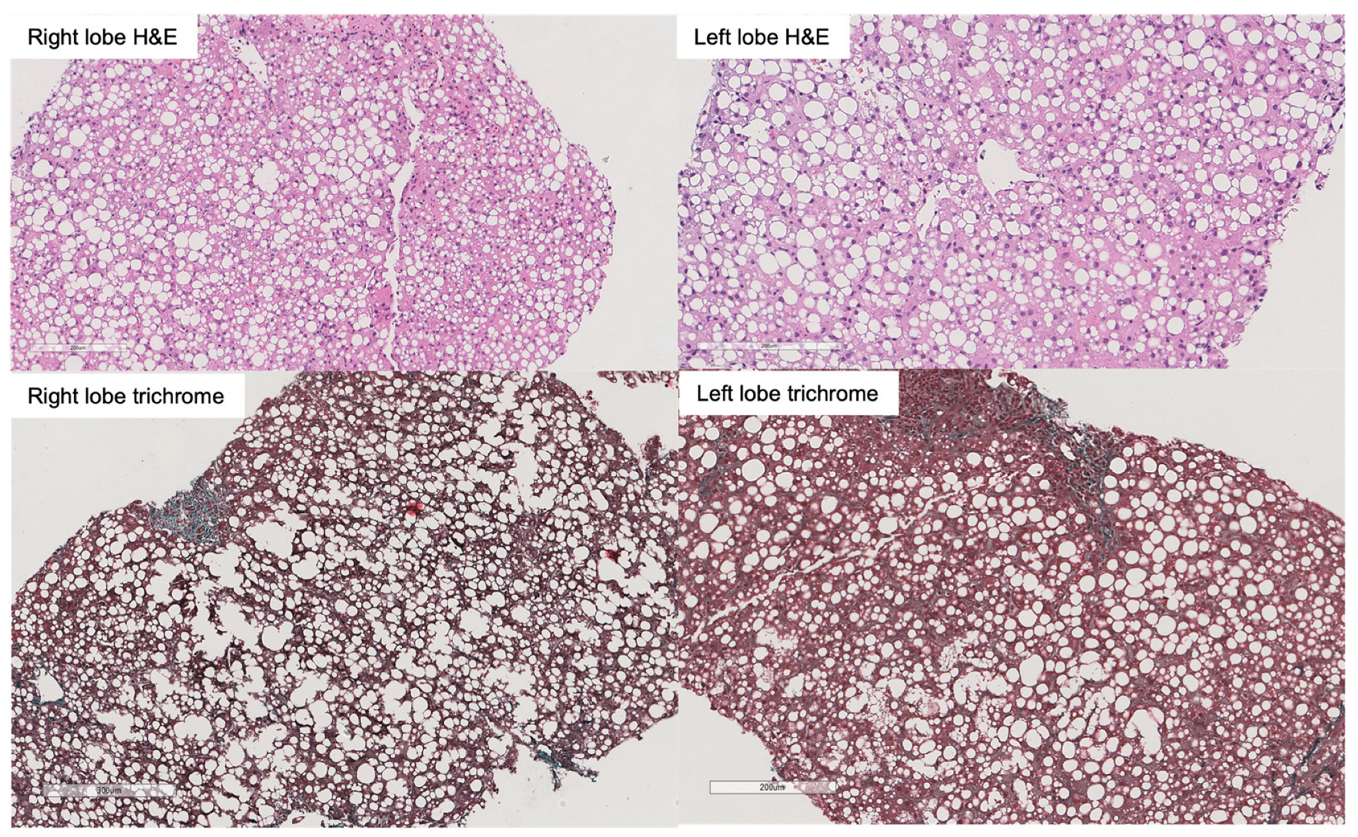
In December 2022, a 52 year old HCV-positive (HCV-RNA = 2,268,095 IU/mL; Genotype 3) DBD donor (Weight: 74 kg Height: 156 cm) with otherwise normal liver function was offered to our center. The donor hospital was about a four-hour drive from our center. A liver biopsy (Figure 1) had been performed before procurement, showing severe (~70%) MaS, but no associated fibrosis. The pathology report of the liver biopsy was available at the time of the liver offer. Given the availability of a suitable size-matched ABO-compatible recipient, the liver was provisionally accepted, with the intention of utilizing upfront NMP to optimize preservation and test liver viability prior to LT. At procurement, the liver appeared grossly steatotic.
Figure 1.
Histology of the donor liver showing severe macrovesicular steatosis.
To reduce cold ischemia time and expedite backtable preparation, dissection of the porta hepatis and cholecystectomy were performed prior to cross-clamping. Meanwhile, the backtable setup was handled by a third assistant, and the NMP device (OrganOx Metra, OrganOx, Oxford, UK) was prepared by a dedicated perfusionist. The NMP device was primed according to the manufacturer’s instructions, with the exception that meropenem 500 mg, instead of cefuroxime, was used as an antibiotic (Table 1). After the cross-clamp was applied, the liver was perfused in situ with chilled Celsior solution (IGL, Lissieux, France), cooled down with ice slush, and kept on ice during backtable preparation and cannulation. This initial cold preservation phase, which was necessary to facilitate the connection of the liver to the NMP device, lasted just under 2 h.
Table 1.
Composition of the priming perfusate and infusion solutions.
After monitoring perfusion parameters on-site during the first hour of NMP, the liver (weight: 2 kg) was transported by car to our center under continuous NMP. The OrganOx Metra is a fully automated, transportable normothermic liver perfusion device that allows perfusing the organ with oxygenated blood, medicines, and nutrients at a normothermic temperature for up to 24 h. The perfusion is managed by an internal, independent algorithm that aims to maintain an inferior vena cava pressure between 0 and 4 mmHg and an arterial pressure between 65 and 80 mmHg in the hepatic artery. Target portal vein and hepatic artery flows are 0.8–1.2 L and 0.4–0.8 L, respectively. Drugs and nutrition are infused independently by the machine during perfusion at a constant flow rate, and the machine also manages gas concentrations and flows in the oxygenator. A dedicated smartphone app allows continuously monitoring of perfusion parameters during transport. In a standard case, the only interventions required by the operator are correcting pH by adding sodium bicarbonate to the perfusate (if needed) and setting perfusate glucose level every 4 h. In the present case, the liver rapidly cleared lactate and maintained a stable pH and vascular flows throughout perfusion. A total of 20 mEq of sodium bicarbonate was administered at the start of NMP, without the need for further pH corrections. The liver rapidly metabolized glucose. As the total parenteral nutrition pump was not activated during transport, the perfusate glucose level dropped to 5 mg/dl upon arrival at the transplant center and had to be corrected with 40 mL of 33% glucose solution, after which it stabilized at ~100 mg/dL. Parenteral nutrition was then started. Perfusate transaminase levels at 1 and 6 h of perfusion were below 2000 IU/L, while bile production was satisfactory regarding both quantity (~15 mL/h) and quality (pH = ~7.8, HCO3- = ~50 mmol/L; glucose < 5 mg/dL). The liver was judged transplantable based on both Birmingham [24] and Groningen [21] criteria, so LT was scheduled. The timing and logistics of liver procurement, transport, and evaluation are depicted in Figure 2.
Figure 2.
Timing and logistics of liver procurement, transport and evaluation. Dotted black line represents pH perfusate levels, whereas continuous black line depicts perfusate lactate (mmol/L).
The recipient was a 53 year old man with a MELD 12, suffering from multifocal HCC in progression after previous downstaging, in the setting of alcohol and HCV-related cirrhosis. HCV-RNA became negative after treatment with direct-acting antivirals. The LT operation and graft reperfusion were uneventful, and no significant post-reperfusion syndrome was observed. Post-LT AST and ALT peaked at 4250 IU/L and 1133 IU/L, respectively, but liver function tests quicky normalized and have been normal since (Figure 3). Due to the AST peak > 2000 IU/L, he met the criteria for early allograft dysfunction as per Olthoff criteria [25]. However, both L-GrAFT (−1.97; estimated risk of graft failure = 12.2%) [26] and EASE (−4.4; estimated risk of graft failure = 1.2%) [27] scores were consistent with good postoperative graft function. A liver biopsy obtained after graft reperfusion, at the end of the transplant operation, confirmed the degree of MaS as assessed on the pre-transplant biopsy and showed mild (<5%) necrosis, with no lipopeliosis. During the first ten postoperative days, the only noticeable complication was a mild elevation of creatinine levels (maximum level = 1.27 mg/dL), consistent with grade 1 acute kidney injury [28]). The patient consistently maintained a good urine output, and no need for renal replacement therapy arose. The subsequent postoperative course was characterized by transitory ascites, which promptly responded to diuretics, and fever on postoperative day 13th. This fever was attributed to a central line infection by Pseudomonas Aeruginosa and was treated with antibiotics. Notably, perfusate samples collected at the end of NMP did not show any bacterial or fungal contamination. Given the delayed timing and the mild clinical presentation, which different from previously reported NMP-related sepsis [29,30], this bloodstream infection was deemed unrelated to NMP. Volume depletion resulting from diuretic administration and sepsis resulted in a transitory elevation of creatinine levels (maximum = 1.94 mg/dL) between postoperative day 11th and 18th (Figure 3), which resolved spontaneously. Overall, ICU and hospital stays were 1 and 20 days, respectively. Ribavirin and sofosbuvir-velpatasvir were administered by postoperative 2, achieving negative HCV-RNA by postoperative day 16th. At 6 months follow-up, the patient is alive and well, with normal hepatic function and no clinical nor laboratory evidence of ischemic cholangiopathy.
Figure 3.
Biochemical parameters after liver transplantation.
3. Discussion
Due to the high risk of post-LT dysfunction or non-function, liver grafts with severe MaS have historically been approached with extreme caution, as reflected by the very low numbers in published series [1]. In our experience, the utilization of these grafts preserved by static cold storage has been associated with a 20% rate of primary non-function, 10% mortality and a 60% requirement for renal replacement therapy after LT, with all grafts invariably developing early allograft dysfunction [31]. In the past, the use of these high-risk grafts was justified by the scarcity of organ donors and the need to relieve waiting list pressure. However, their “blind” utilization (i.e., without viability assessment) appears hardly justifiable nowadays.
Extended criteria donors are becoming commonplace in many countries, including Italy. Prompted by the need to optimize the preservation of these grafts, our group has successfully employed end-ischemic hypothermic oxygenated machine perfusion (HOPE) in a variety of settings, including livers from elderly donors [11,31,32] and those procured after circulatory determination of death [33]. However, the clinical results of applying HOPE to steatotic grafts have been less promising. One limitation of HOPE for steatotic livers is the occasional necessity to increase portal perfusion pressure due to the high vascular resistances of these livers when perfused at a cold temperature. This carries the risk of further damaging the graft [6,34]. Secondly, liver viability assessment during HOPE is more limited. Although perfusate levels of flavin mononucleotide (FMN)—a mitochondrial complex I cofactor that is released into the perfusate proportionally to the severity of graft injury—represent a promising approach to assess liver viability during HOPE [35,36,37], relying on a single parameter for graft acceptance is challenging. The same Zurich group, which has pioneered HOPE and extensively studied FMN as a biomarker of liver function and injury, is now exploring NMP applied over several days to assess the viability of severely steatotic grafts [38]. Overall, HOPE limitations in the setting of moderate or severe MaS have prompted us to explore end-ischemic NMP. During this approach, perfusion parameters are less affected by steatosis, and viability assessment is more comprehensive, although still challenging in some cases. In a previous joint experience between our group and Milano Niguarda Hospital [12], end-ischemic NMP allowed the successful transplanting of about half of the evaluated livers. However, it is worth noting that two cases of primary non-function highlighted the inherent difficulties in assessing the viability of these grafts. However, bearing in mind the ultimate goal of increasing utilization, an end-ischemic approach might be suboptimal, as some grafts could already be severely damaged even after a relatively short period of cold storage. Indeed, graft steatosis has been frequently associated with the liver being discarded in published series of end-ischemic NMP (Table 2). This is why we have transitioned to upfront NMP.
Table 2.
Relevant literature on clinical applications of normothermic machine perfusion in fatty liver grafts.
An upfront NMP approach has several advantages. Firstly, the initial cold ischemia time is very limited, especially if cholecystectomy and porta hepatis dissection are performed during donor operation. This technical detail also improves hemostasis during NMP. Second, transport time allows liver function to stabilize, ensuring that viability criteria are durably met and ruling out occasional rebounds in perfusate lactate levels, which in our experience have been associated with poor function after transplant [12]. While perfusate and bile samples can be collected during transport, definitive and comprehensive viability assessment is better performed upon arrival at the transplant center. Third, transplant logistics are favorably impacted, given the possibility to perform the LT operation during daytime working hours, while the liver is preserved and monitored in a dedicated space outside the operating theatre.
Upfront NMP may represent a good compromise between end-ischemic NMP and ischemia-free LT (IFLT). IFLT, a procedure in which the organ is procured and implanted into the recipient without any interruption of blood flow, was introduced to completely avoid ischemia-reperfusion injury in LT, and its benefits have been recently confirmed in a randomized controlled trial [39]. Interestingly, the first case of IFLT was performed on a liver with severe steatosis [7], and a subsequent cohort study has suggested it could be beneficial when applied to fatty livers [4]. Upfront NMP, particularly if measures are taken to minimize initial cold ischemia time, could mimic the benefits of IFLT while extending its applicability to other hospitals than those where the transplant center is located. Indeed, at least for the present, IFLT has not been implemented using a transportable device, which would be the next logical step to allow its more widespread adoption.
It is worth noticing that so far, our experience in fatty liver preservation does not include upfront HOPE. Indeed, the reasonable comparator of upfront NMP should be upfront HOPE/D-HOPE, rather than end-ischemic HOPE or NMP. Similar to upfront NMP, an upfront approach to hypothermic oxygenated perfusion would minimize initial damage sustained during static cold storage and would be particularly appealing in the setting of graft steatosis. At the time of writing of this article, however, there is no transportable HOPE/D-HOPE device available for clinical use in Europe, and data on the potential benefits of this approach are eagerly awaited.
There are also shortcomings to an upfront NMP approach. Performing backtable preparation at the donor hospital requires the availability of adequate space and surgical instruments, especially in the case of aberrant hepatic arteries requiring reconstruction. Additionally, this prolongs the occupation time of the surgical theatre. The NMP device used in this case requires the setting of perfusate glucose values every 4 h, which could be impractical under certain transport conditions and might require the availability of a portable glucometer or a blood gas analysis machine. In the present case, it is likely that the liver consumed perfusate glucose to synthesize glycogen during transport, requiring its supplementation upon arrival at our transplant center. This was a teaching point of this case, indicating that parenteral nutrition should have probably been initiated before transport. In general, it should be considered that little intervention is possible during the transport phase, and conversion to static cold storage should be readily available if needed. Many of these difficulties can be overcome with adequate planning, staff training, and equipment availability [18].
Another main limitation is represented by case selection for upfront NMP, which limits its clinical applicability. Although in our case a liver biopsy had been performed before the procurement, this is the exception rather than the rule. Given the logistical challenges, it would be reasonable to reserve upfront NMP to those cases most likely benefiting from it. Unfortunately, detection of donor steatosis, especially large droplet fat, is largely unreliable based on donor data, and proposed predictive models have not gained widespread adoption [40]. Even if a liver biopsy was available prior to procurement, it should ideally be remotely evaluated by an experienced pathologist, which requires the necessary equipment and may be difficult to implement on a systematic basis. So far, our pragmatic approach has been to be prepared to use upfront NMP in cases of high suspicion of graft steatosis based on donor data (ultrasound scan, BMI, GGT level, history of alcohol abuse), with macroscopic assessment as the final step dictating the indication to use upfront NMP. This is suboptimal, as there is a well-known discrepancy between the degree of steatosis as assessed by the procurement surgeon and by histological examination, and this has resulted in an overemployment of upfront NMP in some cases. However, in the absence of reliable tools to assess MaS during procurement [41], we believe that, at least in our setting, this is the best available strategy to maximize utilization of these grafts.
4. Conclusions
In conclusion, this case suggests that upfront NMP initiated at the donor hospital can be successfully employed in livers with severe MaS. Given the histological features of the case presented, the clinical outcome seems encouraging. However, this will require confirmation through longer-term follow-up, particularly regarding the possibility occurrence of late-onset ischemic cholangiopathy. Upfront NMP may represent a promising approach to optimize utilization and outcomes of livers with moderate and severe MaS. Further exploration of this approach is warranted, potentially through the context of a randomized trial.
Author Contributions
Conceptualization, D.P. and R.R.; performing the case, D.P., A.L.A., G.R., S.M. and R.R.; data curation, D.P., D.C., A.B. and S.L.; writing—original draft preparation, D.P. and D.C.; writing—review and editing, R.R.; visualization, D.P. and A.B.; supervision, R.R. All authors have read and agreed to the published version of the manuscript.
Funding
This research received no external funding.
Institutional Review Board Statement
The study was conducted in accordance with the Declaration of Helsinki, and approved by our Institutional Review Board.
Informed Consent Statement
Informed consent was obtained from all subjects involved in the study.
Data Availability Statement
Not applicable.
Acknowledgments
The authors are indebted to Giacomo Spagna, operating theatre nurse at the Turin Liver Transplant Center, and Andrea Accorsi, organ perfusionist at IGL Italia, who both participated in this case and enthusiastically support our machine perfusion program.
Conflicts of Interest
The authors declare no conflict of interest.
References
- Croome, K.P.; Lee, D.D.; Taner, C.B. The “Skinny” on Assessment and Utilization of Steatotic Liver Grafts: A Systematic Review. Liver Transplant. 2019, 25, 488–499. [Google Scholar] [CrossRef] [PubMed]
- Younossi, Z.M. Non-alcoholic fatty liver disease—A global public health perspective. J. Hepatol. 2019, 70, 531–544. [Google Scholar] [CrossRef] [PubMed]
- Ceresa, C.D.L.; Nasralla, D.; Watson, C.J.E.; Butler, A.J.; Coussios, C.C.; Crick, K.; Hodson, L.; Imber, C.; Jassem, W.; Knight, S.R.; et al. Transient Cold Storage Prior to Normothermic Liver Perfusion May Facilitate Adoption of a Novel Technology. Liver Transplant. 2019, 25, 1503–1513. [Google Scholar] [CrossRef]
- Chen, M.; Chen, Z.; Lin, X.; Hong, X.; Ma, Y.; Huang, C.; He, X.; Ju, W. Application of ischaemia-free liver transplantation improves prognosis of patients with steatotic donor livers—A retrospective study. Transpl. Int. 2021, 34, 1261–1270. [Google Scholar] [CrossRef]
- Fodor, M.; Cardini, B.; Peter, W.; Weissenbacher, A.; Oberhuber, R.; Hautz, T.; Otarashvili, G.; Margreiter, C.; Maglione, M.; Resch, T.; et al. Static cold storage compared with normothermic machine perfusion of the liver and effect on ischaemic-type biliary lesions after transplantation: A propensity score-matched study. Br. J. Surg. 2021, 108, 1082–1089. [Google Scholar] [CrossRef]
- Guarrera, J.V.; Henry, S.D.; Samstein, B.; Reznik, E.; Musat, C.; Lukose, T.I.; Ratner, L.E.; Brown, R.S., Jr.; Kato, T.; Emond, J.C. Hypothermic machine preservation facilitates successful transplantation of “orphan” extended criteria donor livers. Am. J. Transplant. 2015, 15, 161–169. [Google Scholar] [CrossRef] [PubMed]
- He, X.; Guo, Z.; Zhao, Q.; Ju, W.; Wang, D.; Wu, L.; Yang, L.; Ji, F.; Tang, Y.; Zhang, Z.; et al. The first case of ischemia-free organ transplantation in humans: A proof of concept. Am. J. Transplant. 2018, 18, 737–744. [Google Scholar] [CrossRef]
- Kron, P.; Schlegel, A.; Mancina, L.; Clavien, P.A.; Dutkowski, P. Hypothermic oxygenated perfusion (HOPE) for fatty liver grafts in rats and humans. J. Hepatol. 2018, 68, 82–91. [Google Scholar] [CrossRef]
- Mergental, H.; Laing, R.W.; Kirkham, A.J.; Perera, M.; Boteon, Y.L.; Attard, J.; Barton, D.; Curbishley, S.; Wilkhu, M.; Neil, D.A.H.; et al. Transplantation of discarded livers following viability testing with normothermic machine perfusion. Nat. Commun. 2020, 11, 2939. [Google Scholar] [CrossRef]
- Patrono, D.; Catalano, G.; Rizza, G.; Lavorato, N.; Berchialla, P.; Gambella, A.; Caropreso, P.; Mengozzi, G.; Romagnoli, R. Perfusate Analysis During Dual Hypothermic Oxygenated Machine Perfusion of Liver Grafts: Correlations with Donor Factors and Early Outcomes. Transplantation 2020, 104, 1929–1942. [Google Scholar] [CrossRef]
- Patrono, D.; Cussa, D.; Sciannameo, V.; Montanari, E.; Panconesi, R.; Berchialla, P.; Lepore, M.; Gambella, A.; Rizza, G.; Catalano, G.; et al. Outcome of liver transplantation with grafts from brain-dead donors treated with dual hypothermic oxygenated machine perfusion, with particular reference to elderly donors. Am. J. Transplant. 2022, 22, 1382–1395. [Google Scholar] [CrossRef] [PubMed]
- Patrono, D.; De Carlis, R.; Gambella, A.; Farnesi, F.; Podesta, A.; Lauterio, A.; Tandoi, F.; De Carlis, L.; Romagnoli, R. Viability assessment and transplantation of fatty liver grafts using end-ischemic normothermic machine perfusion. Liver Transplant. 2022, 29, 508–520. [Google Scholar] [CrossRef] [PubMed]
- Rayar, M.; Beaurepaire, J.M.; Bajeux, E.; Hamonic, S.; Renard, T.; Locher, C.; Desfourneaux, V.; Merdrignac, A.; Bergeat, D.; Lakehal, M.; et al. Hypothermic Oxygenated Perfusion Improves Extended Criteria Donor Liver Graft Function and Reduces Duration of Hospitalization Without Extra Cost: The PERPHO Study. Liver Transplant. 2021, 27, 349–362. [Google Scholar] [CrossRef]
- Watson, C.J.E.; Kosmoliaptsis, V.; Pley, C.; Randle, L.; Fear, C.; Crick, K.; Gimson, A.E.; Allison, M.; Upponi, S.; Brais, R.; et al. Observations on the ex situ perfusion of livers for transplantation. Am. J. Transplant. 2018, 18, 2005–2020. [Google Scholar] [CrossRef] [PubMed]
- Ghinolfi, D.; Lai, Q.; Dondossola, D.; De Carlis, R.; Zanierato, M.; Patrono, D.; Baroni, S.; Bassi, D.; Ferla, F.; Lauterio, A.; et al. Machine Perfusions in Liver Transplantation: The Evidence-Based Position Paper of the Italian Society of Organ and Tissue Transplantation. Liver Transplant. 2020, 26, 1298–1315. [Google Scholar] [CrossRef]
- Ravikumar, R.; Jassem, W.; Mergental, H.; Heaton, N.; Mirza, D.; Perera, M.T.; Quaglia, A.; Holroyd, D.; Vogel, T.; Coussios, C.C.; et al. Liver Transplantation After Ex Vivo Normothermic Machine Preservation: A Phase 1 (First-in-Man) Clinical Trial. Am. J. Transplant. 2016, 16, 1779–1787. [Google Scholar] [CrossRef] [PubMed]
- Vogel, T.; Brockmann, J.G.; Quaglia, A.; Morovat, A.; Jassem, W.; Heaton, N.D.; Coussios, C.C.; Friend, P.J. The 24-hour normothermic machine perfusion of discarded human liver grafts. Liver Transplant. 2017, 23, 207–220. [Google Scholar] [CrossRef]
- Nasralla, D.; Coussios, C.C.; Mergental, H.; Akhtar, M.Z.; Butler, A.J.; Ceresa, C.D.L.; Chiocchia, V.; Dutton, S.J.; Garcia-Valdecasas, J.C.; Heaton, N.; et al. A randomized trial of normothermic preservation in liver transplantation. Nature 2018, 557, 50–56. [Google Scholar] [CrossRef]
- Matton, A.P.M.; de Vries, Y.; Burlage, L.C.; van Rijn, R.; Fujiyoshi, M.; de Meijer, V.E.; de Boer, M.T.; de Kleine, R.H.J.; Verkade, H.J.; Gouw, A.S.H.; et al. Biliary Bicarbonate, pH, and Glucose Are Suitable Biomarkers of Biliary Viability During Ex Situ Normothermic Machine Perfusion of Human Donor Livers. Transplantation 2019, 103, 1405–1413. [Google Scholar] [CrossRef]
- Mergental, H.; Perera, M.T.; Laing, R.W.; Muiesan, P.; Isaac, J.R.; Smith, A.; Stephenson, B.T.; Cilliers, H.; Neil, D.A.; Hubscher, S.G.; et al. Transplantation of Declined Liver Allografts Following Normothermic Ex-Situ Evaluation. Am. J. Transplant. 2016, 16, 3235–3245. [Google Scholar] [CrossRef]
- van Leeuwen, O.B.; Bodewes, S.B.; Lantinga, V.A.; Haring, M.P.D.; Thorne, A.M.; Bruggenwirth, I.M.A.; van den Berg, A.P.; de Boer, M.T.; de Jong, I.E.M.; de Kleine, R.H.J.; et al. Sequential hypothermic and normothermic machine perfusion enables safe transplantation of high-risk donor livers. Am. J. Transplant. 2022, 22, 1658–1670. [Google Scholar] [CrossRef] [PubMed]
- Watson, C.J.E.; Gaurav, R.; Fear, C.; Swift, L.; Selves, L.; Ceresa, C.D.L.; Upponi, S.S.; Brais, R.; Allison, M.; Macdonald-Wallis, C.; et al. Predicting Early Allograft Function After Normothermic Machine Perfusion. Transplantation 2022, 106, 2391–2398. [Google Scholar] [CrossRef] [PubMed]
- Croome, K.P. Introducing Machine Perfusion into Routine Clinical Practice for Liver Transplantation in the United States: The Moment Has Finally Come. J. Clin. Med. 2023, 12, 909. [Google Scholar] [CrossRef]
- Mergental, H.; Stephenson, B.T.F.; Laing, R.W.; Kirkham, A.J.; Neil, D.A.H.; Wallace, L.L.; Boteon, Y.L.; Widmer, J.; Bhogal, R.H.; Perera, M.; et al. Development of Clinical Criteria for Functional Assessment to Predict Primary Nonfunction of High-Risk Livers Using Normothermic Machine Perfusion. Liver Transplant. 2018, 24, 1453–1469. [Google Scholar] [CrossRef] [PubMed]
- Olthoff, K.M.; Kulik, L.; Samstein, B.; Kaminski, M.; Abecassis, M.; Emond, J.; Shaked, A.; Christie, J.D. Validation of a current definition of early allograft dysfunction in liver transplant recipients and analysis of risk factors. Liver Transplant. 2010, 16, 943–949. [Google Scholar] [CrossRef]
- Agopian, V.G.; Harlander-Locke, M.P.; Markovic, D.; Dumronggittigule, W.; Xia, V.; Kaldas, F.M.; Zarrinpar, A.; Yersiz, H.; Farmer, D.G.; Hiatt, J.R.; et al. Evaluation of Early Allograft Function Using the Liver Graft Assessment Following Transplantation Risk Score Model. JAMA Surg. 2018, 153, 436–444. [Google Scholar] [CrossRef]
- Avolio, A.W.; Franco, A.; Schlegel, A.; Lai, Q.; Meli, S.; Burra, P.; Patrono, D.; Ravaioli, M.; Bassi, D.; Ferla, F.; et al. Development and Validation of a Comprehensive Model to Estimate Early Allograft Failure Among Patients Requiring Early Liver Retransplant. JAMA Surg. 2020, 155, e204095. [Google Scholar] [CrossRef]
- Khwaja, A. KDIGO clinical practice guidelines for acute kidney injury. Nephron Clin. Pract. 2012, 120, c179–c184. [Google Scholar] [CrossRef]
- Hann, A.; Lembach, H.; Dassanayake, B.; Carvalheiro, A.; McKay, S.; Rajoriya, N.; Armstrong, M.J.; Bartlett, D.; David, M.; Perera, M. Severe Sepsis Mimicking Primary Nonfunction Following Liver Transplantation: Normothermic Machine Perfusion Is a Potential Environment for Bacterial Overgrowth and Transmission From Donor to Recipient. A Case Report. Transplant. Proc. 2020, 52, 2781–2785. [Google Scholar] [CrossRef]
- Lau, N.-S.; Ly, M.; Dennis, C.; Toomath, S.; Huang, J.L.; Huang, J.; Ly, H.; Chanda, S.; Marinelli, T.; Davis, R.; et al. Microbial Contamination During Long-term Ex Vivo Normothermic Machine Perfusion of Human Livers. Transplantation, 2023; online ahead of print. [Google Scholar] [CrossRef]
- Tandoi, F.; Salizzoni, M.; Brunati, A.; Lupo, F.; Romagnoli, R. Excellent outcomes of liver transplantation using severely steatotic grafts from brain-dead donors. Liver Transplant. 2016, 22, 377–378. [Google Scholar] [CrossRef]
- Patrono, D.; Surra, A.; Catalano, G.; Rizza, G.; Berchialla, P.; Martini, S.; Tandoi, F.; Lupo, F.; Mirabella, S.; Stratta, C.; et al. Hypothermic Oxygenated Machine Perfusion of Liver Grafts from Brain-Dead Donors. Sci. Rep. 2019, 9, 9337. [Google Scholar] [CrossRef] [PubMed]
- Patrono, D.; Zanierato, M.; Vergano, M.; Magaton, C.; Diale, E.; Rizza, G.; Catalano, S.; Mirabella, S.; Cocchis, D.; Potenza, R.; et al. Normothermic Regional Perfusion and Hypothermic Oxygenated Machine Perfusion for Livers Donated After Controlled Circulatory Death With Prolonged Warm Ischemia Time: A Matched Comparison With Livers From Brain-Dead Donors. Transpl. Int. 2022, 35, 10390. [Google Scholar] [CrossRef] [PubMed]
- Schlegel, A.; de Rougemont, O.; Graf, R.; Clavien, P.A.; Dutkowski, P. Protective mechanisms of end-ischemic cold machine perfusion in DCD liver grafts. J. Hepatol. 2013, 58, 278–286. [Google Scholar] [CrossRef] [PubMed]
- Muller, X.; Schlegel, A.; Kron, P.; Eshmuminov, D.; Wurdinger, M.; Meierhofer, D.; Clavien, P.A.; Dutkowski, P. Novel Real-time Prediction of Liver Graft Function During Hypothermic Oxygenated Machine Perfusion Before Liver Transplantation. Ann. Surg. 2019, 270, 783–790. [Google Scholar] [CrossRef] [PubMed]
- Patrono, D.; Roggio, D.; Mazzeo, A.T.; Catalano, G.; Mazza, E.; Rizza, G.; Gambella, A.; Rigo, F.; Leone, N.; Elia, V.; et al. Clinical assessment of liver metabolism during hypothermic oxygenated machine perfusion using microdialysis. Artif. Organs 2022, 46, 281–295. [Google Scholar] [CrossRef] [PubMed]
- Schlegel, A.; Muller, X.; Mueller, M.; Stepanova, A.; Kron, P.; de Rougemont, O.; Muiesan, P.; Clavien, P.A.; Galkin, A.; Meierhofer, D.; et al. Hypothermic oxygenated perfusion protects from mitochondrial injury before liver transplantation. EBioMedicine 2020, 60, 103014. [Google Scholar] [CrossRef]
- Sousa Da Silva, R.X.; Weber, A.; Dutkowski, P.; Clavien, P.A. Machine perfusion in liver transplantation. Hepatology 2022, 76, 1531–1549. [Google Scholar] [CrossRef]
- Guo, Z.; Zhao, Q.; Jia, Z.; Huang, C.; Wang, D.; Ju, W.; Zhang, J.; Yang, L.; Huang, S.; Chen, M.; et al. A randomized-controlled trial of ischemia-free liver transplantation for end-stage liver disease. J. Hepatol. 2023, 79, 394–402. [Google Scholar] [CrossRef]
- Cucchetti, A.; Vivarelli, M.; Ravaioli, M.; Cescon, M.; Ercolani, G.; Piscaglia, F.; Del Gaudio, M.; Grazi, G.L.; Ridolfi, L.; Pinna, A.D. Assessment of donor steatosis in liver transplantation: Is it possible without liver biopsy? Clin. Transplant. 2009, 23, 519–524. [Google Scholar] [CrossRef]
- Cesaretti, M.; Brustia, R.; Goumard, C.; Cauchy, F.; Pote, N.; Dondero, F.; Paugam-Burtz, C.; Durand, F.; Paradis, V.; Diaspro, A.; et al. Use of Artificial Intelligence as an Innovative Method for Liver Graft Macrosteatosis Assessment. Liver Transplant. 2020, 26, 1224–1232. [Google Scholar] [CrossRef]
Disclaimer/Publisher’s Note: The statements, opinions and data contained in all publications are solely those of the individual author(s) and contributor(s) and not of MDPI and/or the editor(s). MDPI and/or the editor(s) disclaim responsibility for any injury to people or property resulting from any ideas, methods, instructions or products referred to in the content. |
© 2023 by the authors. Licensee MDPI, Basel, Switzerland. This article is an open access article distributed under the terms and conditions of the Creative Commons Attribution (CC BY) license (https://creativecommons.org/licenses/by/4.0/).


