Misunderstood Gastric Perforation of a Pancreatic Acinar Cell Carcinoma: A Wolf in Sheep’s Clothing
Abstract
:1. Introduction
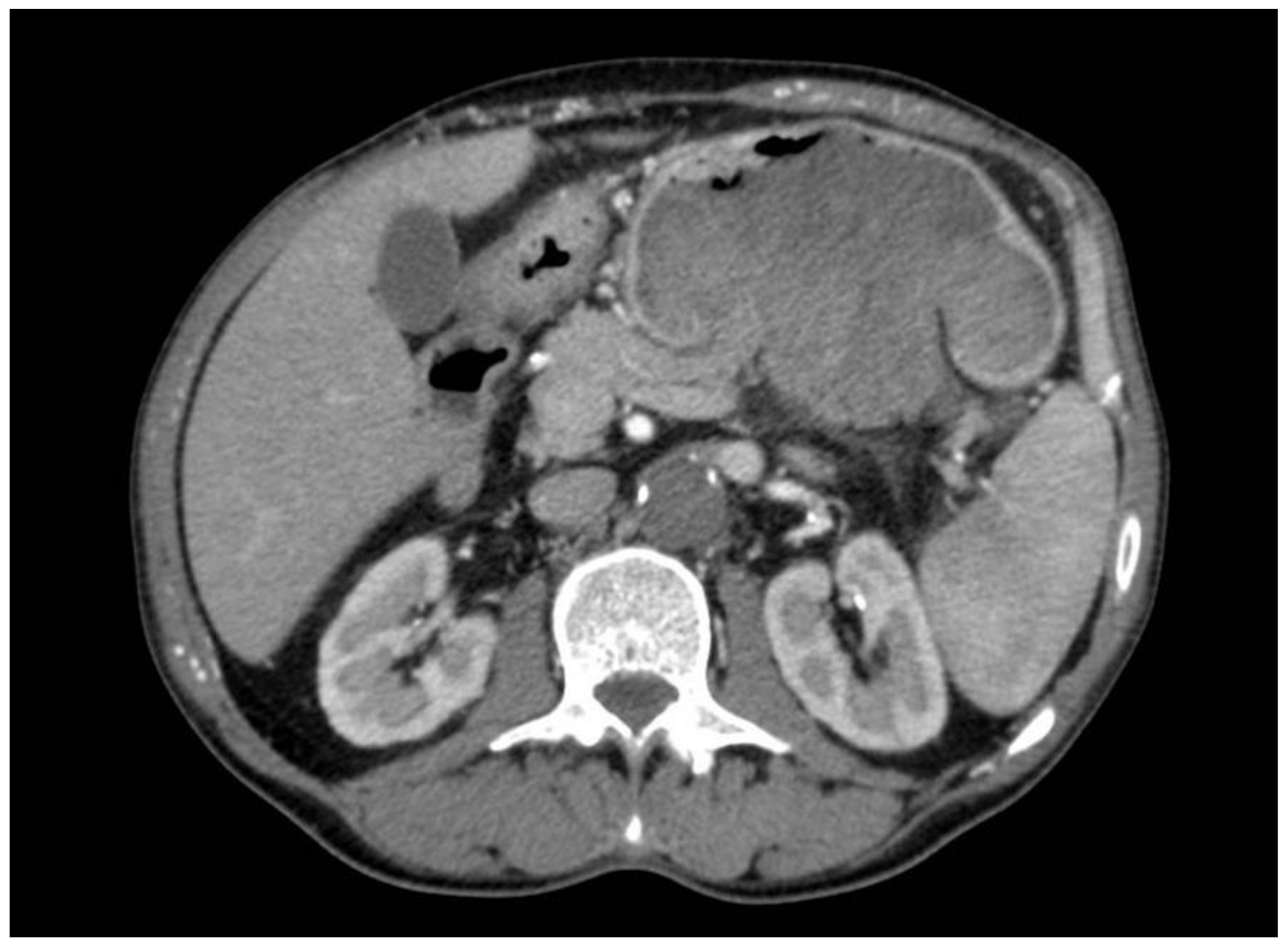
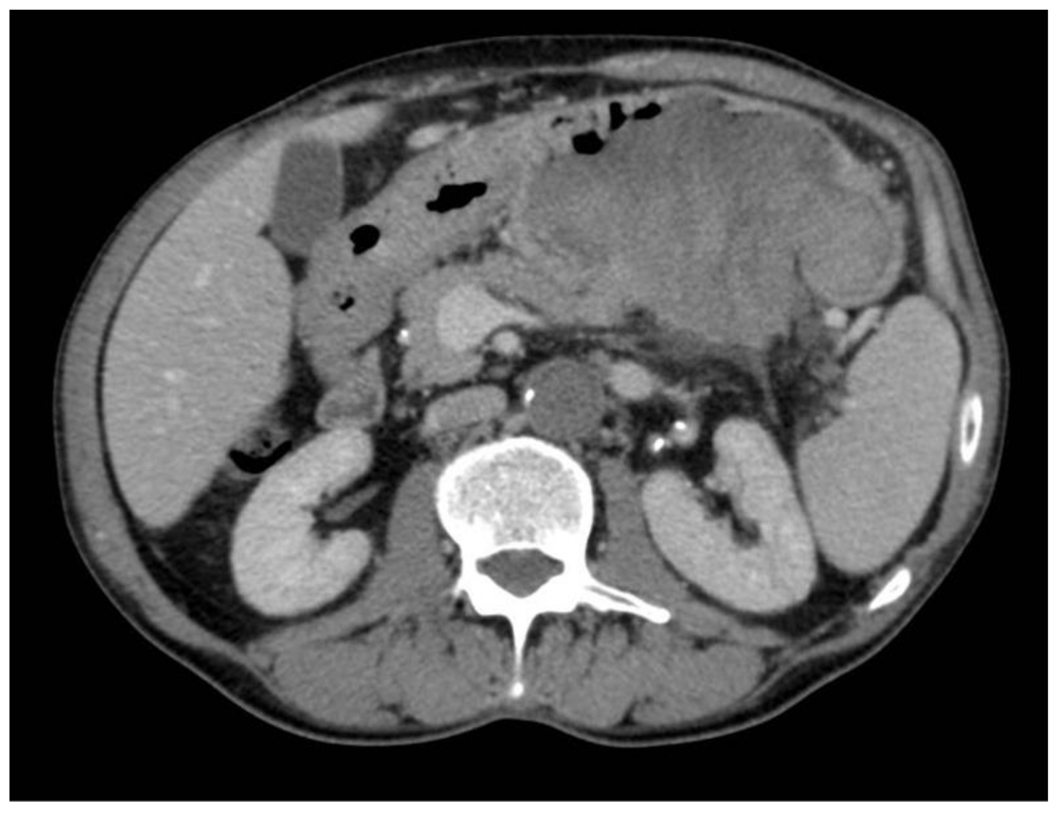
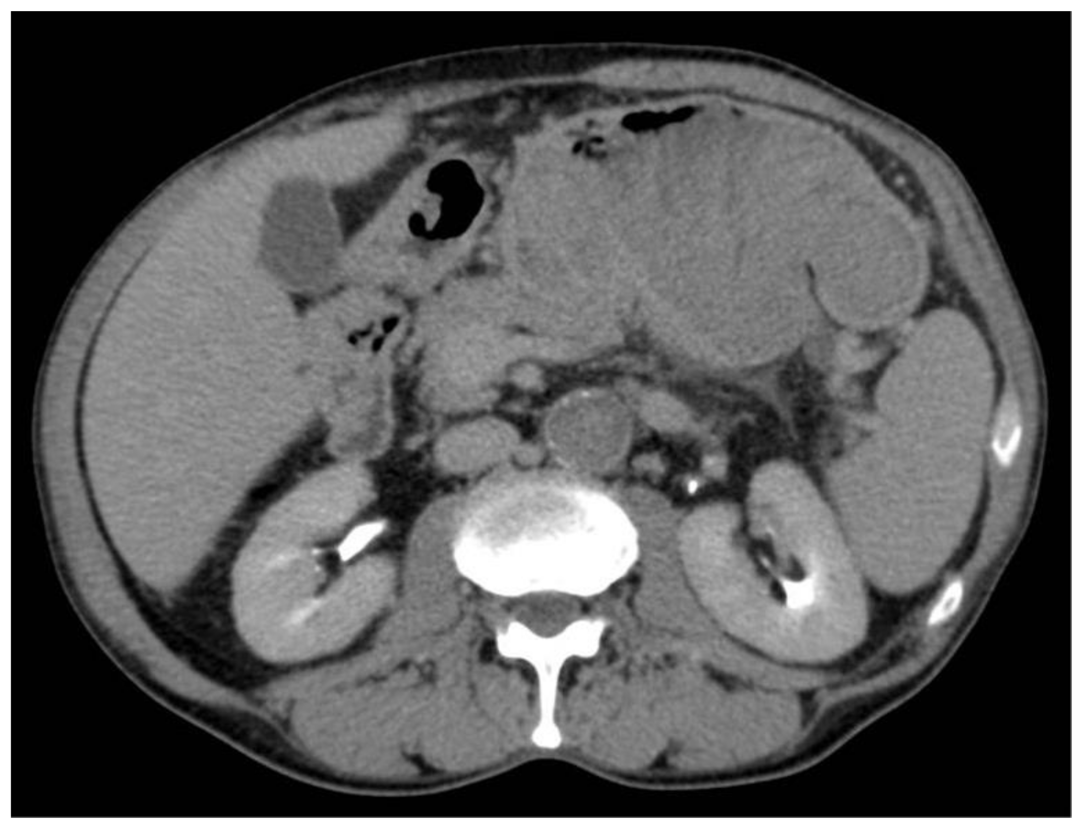
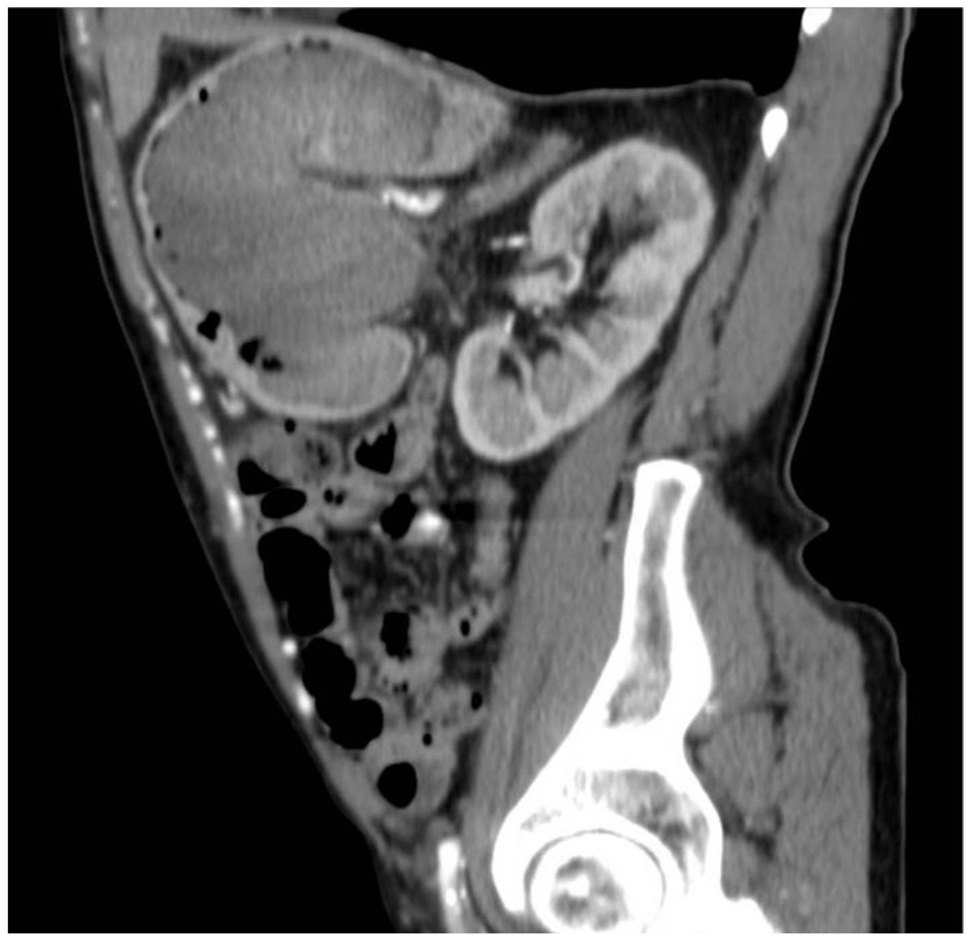
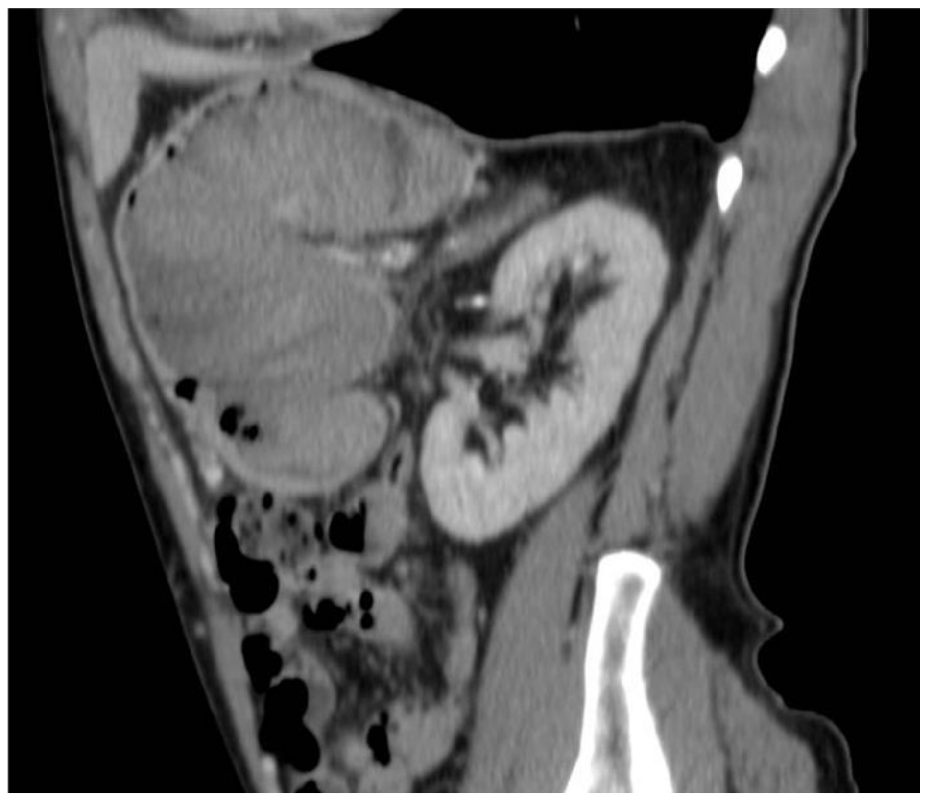
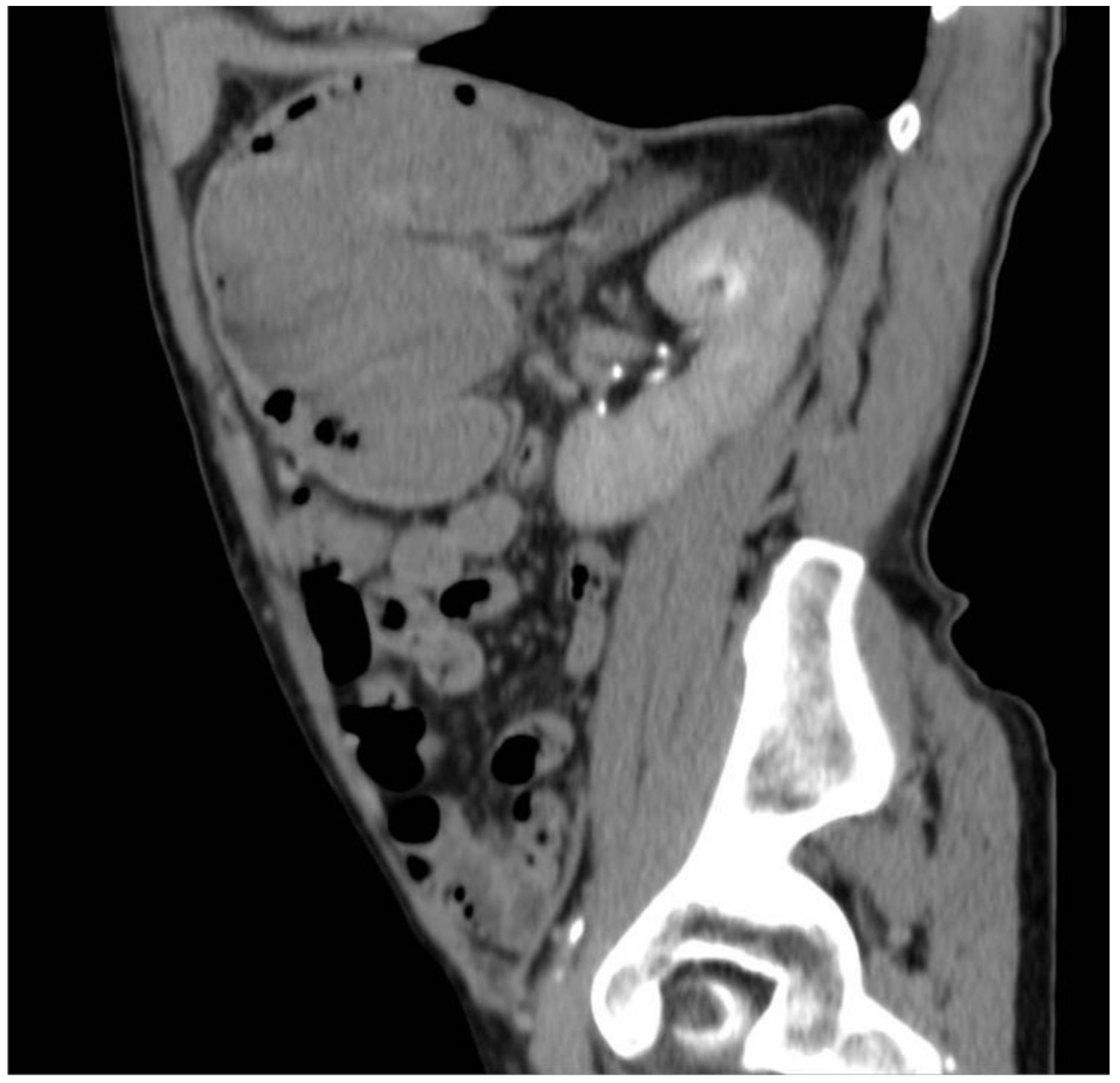
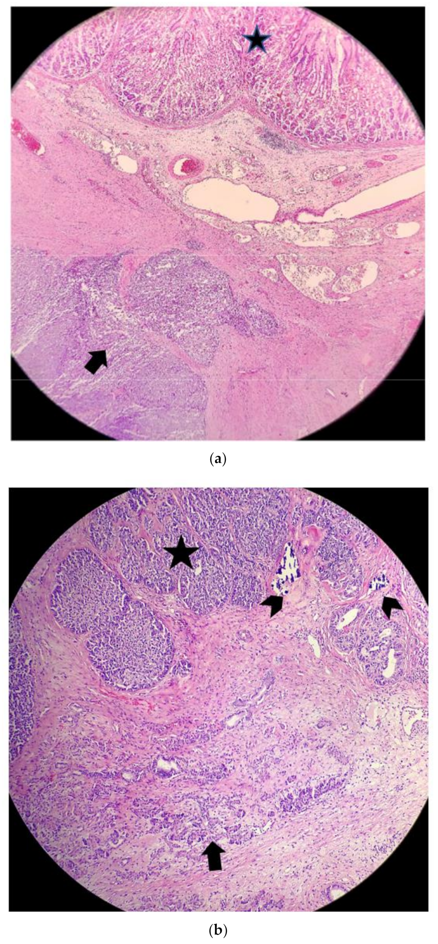
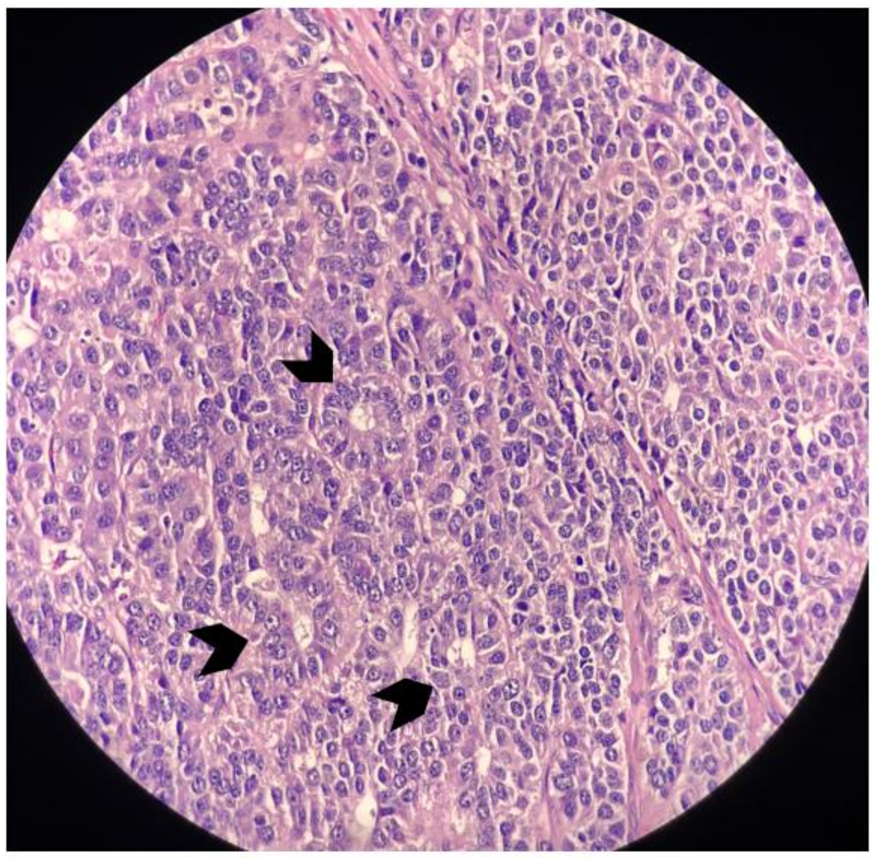
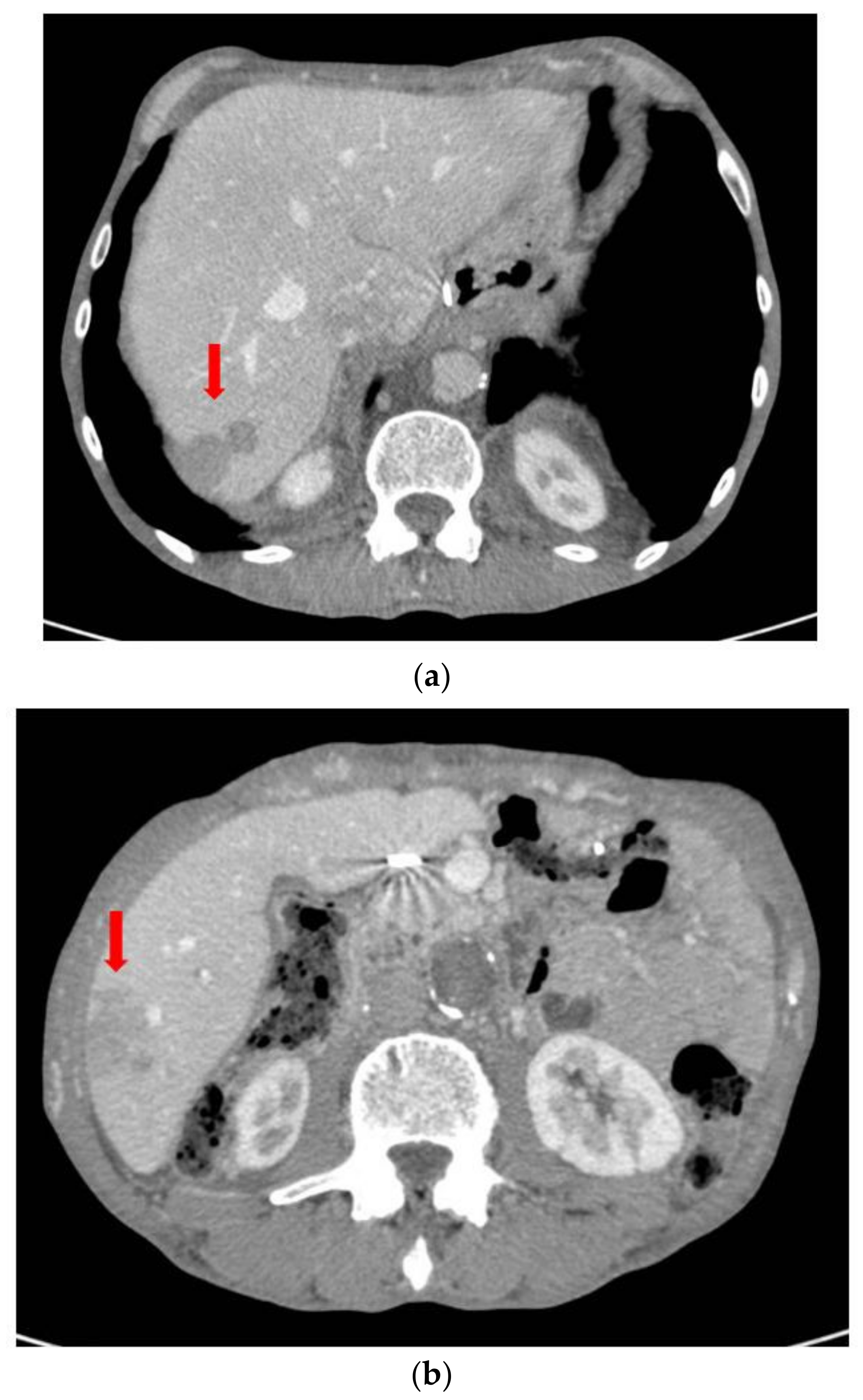
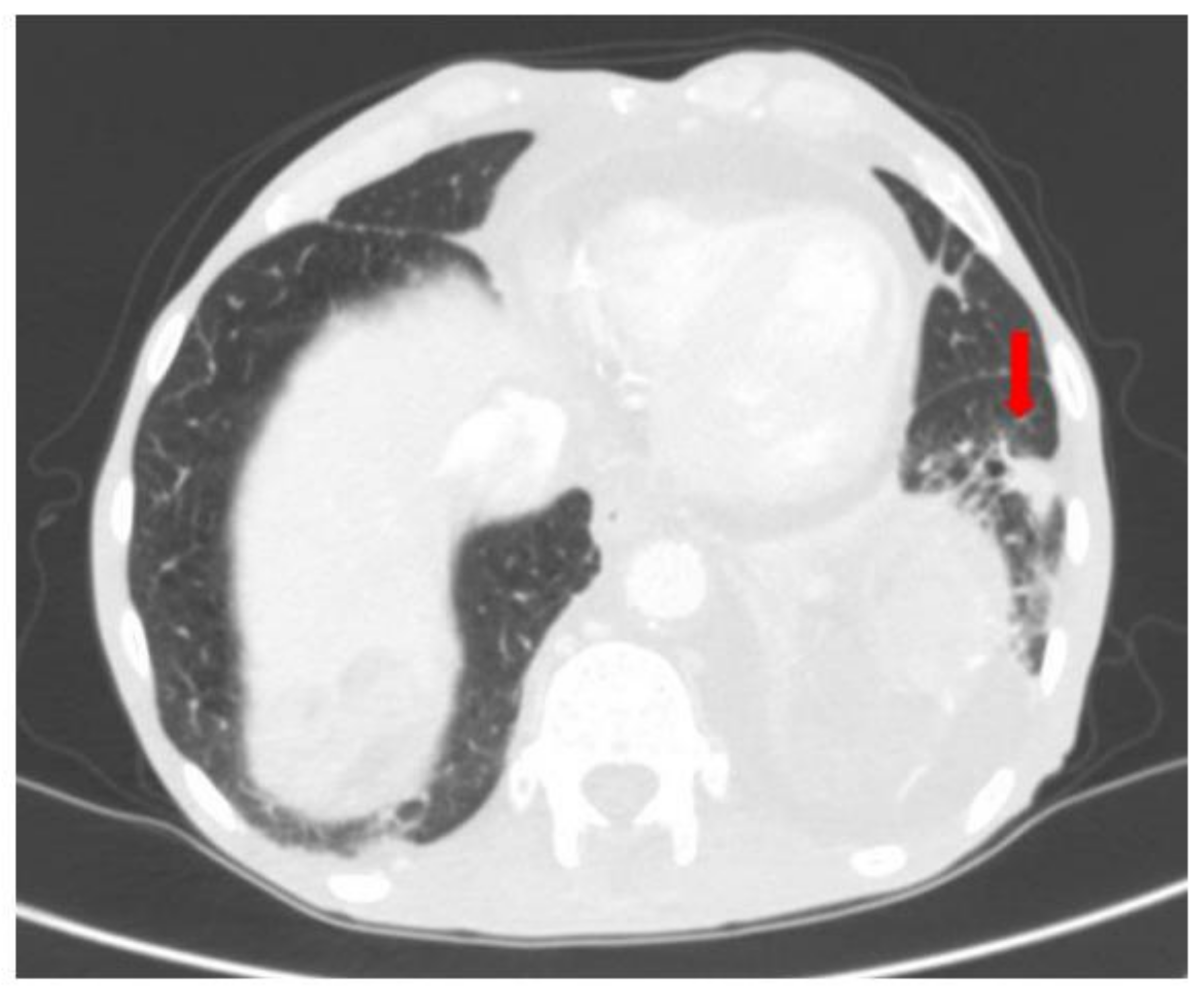
2. Case Report
3. Discussion and Literary Review
4. Conclusions
Author Contributions
Funding
Institutional Review Board Statement
Informed Consent Statement
Data Availability Statement
Acknowledgments
Conflicts of Interest
Abbreviations
| PACC | (Pancreatic acinar cell carcinoma) |
| OS | (Overall survival) |
| ED | (Emergency Department) |
| COPD | (Chronic obstructive pulmonary disease) |
| UGI | (Upper gastrointestinal) |
| NV | (Normal value) |
| CRP | (C-reactive protein) |
| SPT | (Solid pseudopapillary tumors) |
| PET | (Pancreatic endocrine tumors) |
References
- Klimstra, D.S.; Heffess, C.S.; Oertel, J.E.; Rosai, J. Acinar cell carcinoma of the pancreas. A clinicopathologic study of 28 cases. Am. J. Surg. Pathol. 1992, 16, 815–837. [Google Scholar] [CrossRef] [PubMed]
- Chaudhary, P. Acinar Cell Carcinoma of the Pancreas: A Literature Review and Update. Indian J. Surg. 2015, 77, 226–231. [Google Scholar] [CrossRef]
- Toll, A.D.; Hruban, R.H.; Ali, S.Z. Acinar cell carcinoma of the pancreas: Clinical and cytomorphologic characteristics. Korean J. Pathol. 2013, 47, 93–99. [Google Scholar] [CrossRef] [PubMed]
- Takahashi, H.; Ikeda, M.; Shiba, S.; Imaoka, H.; Todaka, A.; Shioji, K.; Yane, K.; Kojima, Y.; Kobayashi, S.; Asagi, A.; et al. Multicenter Retrospective Analysis of Chemotherapy for Advanced Pancreatic Acinar Cell Carcinoma: Potential Efficacy of Platinum- and Irinotecan-Containing Regimens. Pancreas 2021, 50, 77–82. [Google Scholar] [CrossRef]
- Wisnoski, N.C.; Townsend, C.M., Jr.; Nealon, W.H.; Freeman, J.L.; Riall, T.S. 672 patients with acinar cell carcinoma of the pancreas: A population-based comparison to pancreatic adenocarcinoma. Surgery 2008, 144, 141–148. [Google Scholar] [CrossRef]
- Lee, H.; Tang, L.H.; Veras, E.F.; Klimstra, D.S. The prevalence of pancreatic acinar differentiation in gastric adenocarcinoma: Report of a case and immunohistochemical study of 111 additional cases. Am. J. Surg. Pathol. 2012, 36, 402–408. [Google Scholar] [CrossRef]
- Al-Hader, A.; Al-Rohil, R.N.; Han, H.; Von Hoff, D. Pancreatic acinar cell carcinoma: A review on molecular profiling of patient tumors. World J. Gastroenterol. 2017, 23, 7945–7951. [Google Scholar] [CrossRef]
- Chan, W.L.; Lam, K.O.; Lee, V.H.F.; Davidson, M.; So, T.H.; Li, J.S.; Chau, I.; Kwong, D.L.W. Gastric Cancer—From Aetiology to Management: Differences between the East and the West. Clin. Oncol. R. Coll. Radiol. 2019, 31, 570–577. [Google Scholar] [CrossRef]
- Chaudhary, P.; Ranjan, G.; Chaudhary, A.; Tiwari, A.K.; Arora, M.P. Acinar cell carcinoma: A rare pancreatic malignancy. Clin. Pract. 2013, 3, e18. [Google Scholar] [CrossRef]
- Holen, K.D.; Klimstra, D.S.; Hummer, A.; Gonen, M.; Conlon, K.; Brennan, M.; Saltz, L.B. Clinical characteristics and outcomes from an institutional series of acinar cell carcinoma of the pancreas and related tumors. J. Clin. Oncol. 2002, 20, 4673–4678. [Google Scholar] [CrossRef]
- Tatli, S.; Mortele, K.J.; Levy, A.D.; Glickman, J.N.; Ros, P.R.; Banks, P.A.; Silverman, S.G. CT and MRI features of pure acinar cell carcinoma of the pancreas in adults. Am. J. Roentgenol. 2005, 184, 511–519. [Google Scholar] [CrossRef] [PubMed]
- Wang, C.; Cui, W.; Wang, J.; Chen, X.; Tong, H.; Wang, Z. Differentiation between solid pseudopapillary neoplasm of the pancreas and hypovascular pancreatic neuroendocrine tumors by using computed tomography. Acta Radiol. 2019, 60, 1216–1223. [Google Scholar] [CrossRef]
- Stelow, E.B.; Bardales, R.H.; Shami, V.M.; Woon, C.; Presley, A.; Mallery, S.; Lai, R.; Stanley, M.W. Cytology of pancreatic acinar cell carcinoma. Diagn. Cytopathol. 2006, 34, 367–372. [Google Scholar] [CrossRef]
- Adams, A.L.; Siegal, G.P.; Jhala, N.C. Solid pseudopapillary tumor of the pancreas: A review of salient clinical and pathologic features. Adv. Anat. Pathol. 2008, 15, 39–45. [Google Scholar] [CrossRef] [PubMed]
- La Rosa, S.; Franzi, F.; Marchet, S.; Finzi, G.; Clerici, M.; Vigetti, D.; Chiaravalli, A.M.; Sessa, F.; Capella, C. The monoclonal anti-BCL10 antibody (clone 331.1) is a sensitive and specific marker of pancreatic acinar cell carcinoma and pancreatic metaplasia. Virchows Arch. 2009, 454, 133–142. [Google Scholar] [CrossRef]
- Sun, Y.; Wasserman, P.G. Acinar cell carcinoma arising in the stomach: A case report with literature review. Hum. Pathol. 2004, 35, 263–265. [Google Scholar] [CrossRef]
- Mizuno, Y.; Sumi, Y.; Nachi, S.; Ito, Y.; Marui, T.; Saji, S.; Matsutomo, H. Acinar cell carcinoma arising from an ectopic pancreas. Surg. Today 2007, 37, 704–707. [Google Scholar] [CrossRef] [PubMed]
- Mounajjed, T.; Zhang, L.; Wu, T.T. Glypican-3 expression in gastrointestinal and pancreatic epithelial neoplasms. Hum. Pathol. 2013, 44, 542–550. [Google Scholar] [CrossRef]
- Kida, A.; Matsuda, K.; Takegoshi, K.; Matsuda, M.; Sakai, A.; Noda, Y. Pancreatic acinar cell carcinoma with extensive tumor embolism at the trunk of portal vein and pancreatic intraductal infiltration. Clin. J. Gastroenterol. 2017, 10, 546–550. [Google Scholar] [CrossRef]
- Nishimura, M.; Wada, H.; Eguchi, H.; Iwagami, Y.; Yamada, D.; Asaoka, T.; Noda, T.; Gotoh, K.; Kobayashi, S.; Mori, M.; et al. A Case Report of Acinar Cell Carcinoma of Pancreas with Extensive Intraductal Growth to the Branch—Main Pancreatic Duct. Gan Kagaku Ryoho 2017, 44, 1568–1570. (In Japanese) [Google Scholar]
- Iwatate, M.; Matsubayashi, H.; Sasaki, K.; Kishida, N.; Yoshikawa, S.; Ono, H.; Maitra, A. Functional pancreatic acinar cell carcinoma extending into the main pancreatic duct and splenic vein. J. Gastrointest. Cancer 2012, 43, 373–378. [Google Scholar] [CrossRef] [PubMed]
- Matsuyama, T.; Ogata, S.; Sugiura, Y.; Yoshizumi, Y.; Aiko, S.; Aida, S.; Maehara, T. Acinar cell carcinoma of the pancreas eroding the pylorus and duodenal bulb. J. Hepatobiliary Pancreat. Surg. 2004, 11, 276–279. [Google Scholar] [CrossRef] [PubMed]
- Asayama, N.; Kojima, Y.; Aoki, T.; Maeyashiki, C.; Yokoi, C.; Yanase, M.; Suda, R.; Yano, H.; Nakamura, H.; Igari, T. Acinar cell carcinoma of the pancreas with colon involvement. Case Rep. Med. 2014, 2014, 389425. [Google Scholar] [CrossRef]
- Takagi, K.; Yagi, T.; Tanaka, T.; Umeda, Y.; Yoshida, R.; Nobuoka, D.; Kuise, T.; Fujiwara, T. Primary pancreatic-type acinar cell carcinoma of the jejunum with tumor thrombus extending into the mesenteric venous system: A case report and literature review. BMC Surg. 2017, 17, 75. [Google Scholar] [CrossRef]
- Hiraoka, A.; Nakahara, H.; Kawasaki, H.; Shimizu, Y.; Hidaka, S.; Imai, Y.; Utsunomiya, H.; Tatsukawa, H.; Tazuya, N.; Yamago, H.; et al. Huge pancreatic acinar cell carcinoma with high levels of AFP and fucosylated AFP (AFP-L3). Intern. Med. 2012, 51, 1341–1349. [Google Scholar] [CrossRef] [PubMed]
- Ambrosini-Spaltro, A.; Potì, O.; De Palma, M.; Filotico, M. Pancreatic-type acinar cell carcinoma of the stomach beneath a focus of pancreatic metaplasia of the gastric mucosa. Hum. Pathol. 2009, 40, 746–749. [Google Scholar] [CrossRef] [PubMed]













| Authors | Preoperative Diagnosis | Tumor Size (cm) | Surgical Treatment | Follow-Up |
|---|---|---|---|---|
| Sun Y. et al. (2004) [16] | Gastric cancer | 5 | Partial gastrectomy and Billroth II reconstruction | / |
| Matsuyama T. et al. (2004) [22] | Gastric cancer or nonfunctioning pancreatic endocrine tumor invading the duodenum and pancreatic head | 10 | Pancreatoduodenectomy and resection of the transverse colon | Died of multiple liver metastases after 6 months |
| Asayama N. et al. (2014) [23] | Descending colon cancer | 11 | Left hemicolectomy, resection of the jejunum, resection of the pancreas body and tail, and splenectomy | Died 14 weeks after surgery of hepatic failure |
| Mizuno Y. et al. (2007) [17] | Gastrointestinal stromal tumor or malignant lymphoma of the pylorus | 7 | Pancreaticoduodenectomy | 11 months without recurrence or metastases |
| Takagi K. et al. (2017) [24] | Jejunal adenocarcinoma | 8 | Partial jejunectomy and partial pancreatectomy | 10 months without recurrence or metastases |
| Hiraoka A. et al. (2012) [25] | Hepatocellular carcinoma and intrahepatic metastasis of hepatocellular carcinoma | 10 | Pancreaticoduodenectomy and resection of the 5th segment of the liver | Died after 2 months |
| Ambrosini-Spaltro A. et al. (2008) [26] | Gastric cancer | 4 | Subtotal gastrectomy with Roux-en-Y reconstruction | / |
Disclaimer/Publisher’s Note: The statements, opinions and data contained in all publications are solely those of the individual author(s) and contributor(s) and not of MDPI and/or the editor(s). MDPI and/or the editor(s) disclaim responsibility for any injury to people or property resulting from any ideas, methods, instructions or products referred to in the content. |
© 2023 by the authors. Licensee MDPI, Basel, Switzerland. This article is an open access article distributed under the terms and conditions of the Creative Commons Attribution (CC BY) license (https://creativecommons.org/licenses/by/4.0/).
Share and Cite
Cuoghi, M.; Baccaro, C.; Zorzetti, N.; Fornelli, A.; Ferrara, F.; Cennamo, V.; Navarra, G.G. Misunderstood Gastric Perforation of a Pancreatic Acinar Cell Carcinoma: A Wolf in Sheep’s Clothing. Surgeries 2023, 4, 73-85. https://doi.org/10.3390/surgeries4010009
Cuoghi M, Baccaro C, Zorzetti N, Fornelli A, Ferrara F, Cennamo V, Navarra GG. Misunderstood Gastric Perforation of a Pancreatic Acinar Cell Carcinoma: A Wolf in Sheep’s Clothing. Surgeries. 2023; 4(1):73-85. https://doi.org/10.3390/surgeries4010009
Chicago/Turabian StyleCuoghi, Manuela, Cinzia Baccaro, Noemi Zorzetti, Adele Fornelli, Francesco Ferrara, Vincenzo Cennamo, and Giuseppe Giovanni Navarra. 2023. "Misunderstood Gastric Perforation of a Pancreatic Acinar Cell Carcinoma: A Wolf in Sheep’s Clothing" Surgeries 4, no. 1: 73-85. https://doi.org/10.3390/surgeries4010009
APA StyleCuoghi, M., Baccaro, C., Zorzetti, N., Fornelli, A., Ferrara, F., Cennamo, V., & Navarra, G. G. (2023). Misunderstood Gastric Perforation of a Pancreatic Acinar Cell Carcinoma: A Wolf in Sheep’s Clothing. Surgeries, 4(1), 73-85. https://doi.org/10.3390/surgeries4010009

