Adrenal Cortical Carcinoma with Inferior Vena Cava and Right Atrium Involvement: A Report of an Unusual Presentation with a Literature Review
Abstract
1. Introduction
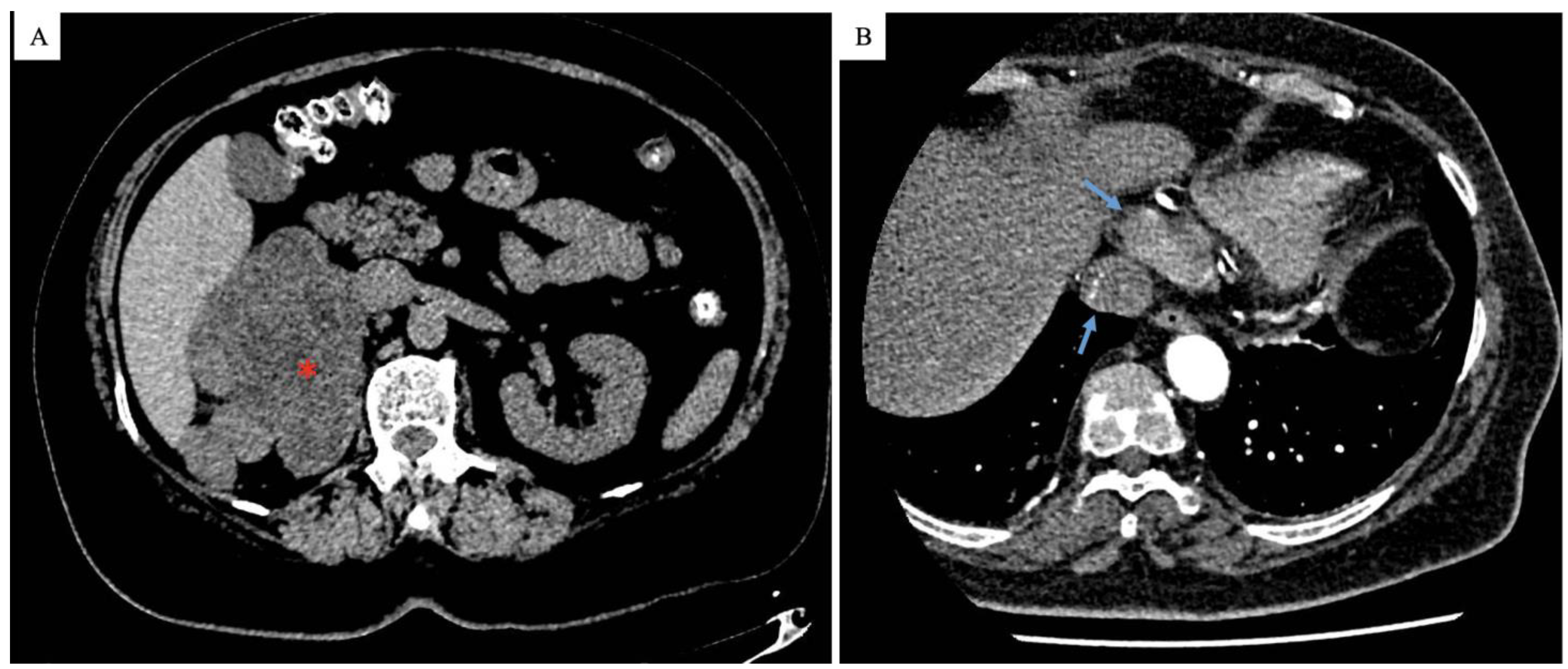
2. Case Presentation
3. Discussion
Author Contributions
Funding
Institutional Review Board Statement
Informed Consent Statement
Data Availability Statement
Conflicts of Interest
References
- Ayala-Ramirez, M.; Jasim, S.; Feng, L.; Ejaz, S.; Deniz, F.; Busaidy, N.; Waguespack, S.G.; Naing, A.; Sircar, K.; Wood, C.G.; et al. Adrenocortical carcinoma: Clinical outcomes and prognosis of 330 patients at a tertiary care center. Eur. J. Endocrinol. 2013, 169, 891–899. [Google Scholar] [CrossRef] [PubMed]
- Crucitti, F.; Bellantone, R.; Ferrante, A.; Boscherini, M.; Crucitti, P. The Italian Registry for Adrenal Cortical Carcinoma: Analysis of a multiinstitutional series of 129 patients. The ACC Italian Registry Study Group. Surgery 1996, 119, 161–170. [Google Scholar] [CrossRef] [PubMed]
- Fassnacht, M.; Allolio, B. Clinical management of adrenocortical carcinoma. Best Pract. Res. Clin. Endocrinol. Metab. 2009, 23, 273–289. [Google Scholar] [CrossRef] [PubMed]
- Paton, B.L.; Novitsky, Y.W.; Zerey, M.; Harrell, A.G.; Norton, H.J.; Asbun, H.; Kercher, K.W.; Heniford, B.T. Outcomes of adrenal cortical carcinoma in the United States. Surgery 2006, 140, 914–920. [Google Scholar] [CrossRef] [PubMed]
- Hisham, A.N.; Sarojah, A.; Zanariah, H. Large adrenocortical carcinoma extending into the inferior vena cava and right atrium. Asian J. Surg. 2003, 26, 40–42. [Google Scholar] [CrossRef] [PubMed][Green Version]
- Chiche, L.; Dousset, B.; Kieffer, E.; Chapuis, Y. Adrenocortical carcinoma extending into the inferior vena cava: Presentation of a 15-patient series and review of the literature. Surgery 2006, 139, 15–27. [Google Scholar] [CrossRef] [PubMed]
- Kim, K.H.; Park, J.C.; Lim, S.Y.; Sohn, I.S.; Yun, K.H.; Cho, S.H.; Hong, Y.J.; Park, H.W.; Kim, J.H.; Kim, W.; et al. A Case of Non-Functioning Huge Adrenocortical Carcinoma Extending into Inferior Vena Cava and Right Atrium. J. Korean Med. Sci. 2006, 21, 572–576. [Google Scholar] [CrossRef] [PubMed]
- Péterffy, Á.; Dezső, B.; Adler, I.; Árkossy, P.; Szerafin, T. A vena cava inferioron keresztül a jobb pitvarba terjedő mellékveserák sikeres műtéti eltávolítása [Successful surgical removal of adrenocortical carcinoma growing into the inferior vena cava and the right atrium]. Magy. Sebészet 2008, 61, 38–41. [Google Scholar] [CrossRef] [PubMed]
- Kumar, K.; Basker, S.; Jeslin, L.; Srinivasan, C.; Zedek, E. Anesthetic management for removal of adrenocortical carcinoma with thrombus in the inferior vena cava extending to the right atrium. J. Anaesthesiol. Clin. Pharmacol. 2011, 27, 571–573. [Google Scholar] [CrossRef] [PubMed]
- Patil, S.; Singh, V.; Kumar, A.; Sankhwar, S.N. Adrenocortical carcinoma with tumour thrombus extension to right atrium: A rare finding in uncommon tumour. BMJ Case Rep. 2013, 2013, bcr2013200804. [Google Scholar] [CrossRef] [PubMed]
- Kumar, S.; Choudhary, G.R.; Pushkarna, A. Functioning adrenocortical carcinoma with extension up to the right atrium producing Cushing’s syndrome. J. Clin. Imaging Sci. 2013, 3, 32. [Google Scholar] [CrossRef] [PubMed]
- Annamaria, P.; Silvia, P.; Bernardo, C.; Alessandro, D.L.; Antonino, M.; Antonio, B.; Giuseppe, M.; Massimo, R.; Montesani, C. Adrenocortical carcinoma with inferior vena cava, left renal vein and right atrium tumor thrombus extension. Int. J. Surg. Case Rep. 2015, 15, 137–139. [Google Scholar] [CrossRef] [PubMed]
- Levin, T.L.; Berdon, W.E.; Weiser, D.; Ribeiro, R.C. Adrenocortical carcinoma with extension to the inferior vena cava and right atrium: 20-month-old girl with TP53 mutation. Radiol. Case Rep. 2016, 10, 1084. [Google Scholar] [CrossRef] [PubMed][Green Version]
- Wang, Y.; Zhou, F.; Pan, H.; Jin, B. Adrenal cortical carcinoma with tumor thrombus extension into the right atrium: A case report. Oncol. Lett. 2016, 11, 3987–3991. [Google Scholar] [CrossRef] [PubMed]
- Alghulayqah, A.; Alghasab, N.; Amin, T.; Alkahtani, N.; Farhat, R.; Alzahrani, A.S. Long-term recurrence-free survival of adrenocortical cancer extending into the inferior vena cava and right atrium: Case report and literature review. Medicine 2017, 96, e6751. [Google Scholar] [CrossRef] [PubMed]
- Castro-Dominguez, Y.; Samad, F.; Hashim, H.; Waller, A. Extension of Adrenocortical Carcinoma into the Right Atrium. Pak. J. Med. Sci. 2017, 33, 510–512. [Google Scholar] [CrossRef] [PubMed]
- Szmyt, K.; Wierzbicki, T.; Borejsza-Wysocki, M.; Jemielity, M.; Sławek-Szmyt, S.; Krokowicz, L. Adrenocortical carcinoma with tumor thrombus extension into the right atrium. Pol. Arch. Intern. Med. 2023, 133, 16434. [Google Scholar] [CrossRef] [PubMed]
- Broggi, G.; Musumeci, G.; Puzzo, L.; Russo, A.; Reibaldi, M.; Ragusa, M.; Longo, A.; Caltabiano, R. Immunohistochemical Expression of ABCB5 as a Potential Prognostic Factor in Uveal Melanoma. Appl. Sci. 2019, 9, 1316. [Google Scholar] [CrossRef]
- Weiss, L.M. Comparative histologic study of 43 metastasizing and nonmetastasizing adrenocortical tumors. Am. J. Surg. Pathol. 1984, 8, 163–169. [Google Scholar] [CrossRef] [PubMed]




| Study | N. of Cases | Age, Sex | Side of ACC | Tumor Size | 
|---|---|---|---|---|
| Hisham et al. (2003) [5] | 1 | 43 y, M | Left | 14 cm | 
| Chiche et al. (2006) [6] | 4 | Mean 42.25 y (range 15–65 y) 3 F, 1 M | Right in all 4 cases | NA | 
| Kim et al. (2006) [7] | 1 | 34 y, M | Right | 17 cm | 
| Peterffy et al. (2008) [8] | 1 | 47 y, F | Right | NA | 
| Kumar et al. (2011) [9] | 1 | 1 y, M | Right | 5 cm | 
| Patil et al. (2013) [10] | 1 | 30 y, F | Right | 13 cm | 
| Kumar et al. (2013) [11] | 1 | 40 y, F | Right | 10 cm | 
| Annamaria et al. (2015) [12] | 1 | 51 y, F | Right | 8 cm | 
| Levin et al. (2015) [13] | 1 | 1.7 y, F | Right | NA | 
| Wang et al. (2016) [14] | 1 | 33 y, M | Right | 18 cm | 
| Alghulayqah et al. (2017) [15] | 1 | 15 y, M | Right | 11 cm | 
| Castro-Dominguez et al. (2017) [16] | 1 | 42 y, M | Right | 22 cm | 
| Szmyt et al. (2023) [17] | 1 | 34 y, F | Right | 23 cm | 
| Present case | 1 | 61 y, F | Right | 10 cm | 
| Disclaimer/Publisher’s Note: The statements, opinions and data contained in all publications are solely those of the individual author(s) and contributor(s) and not of MDPI and/or the editor(s). MDPI and/or the editor(s) disclaim responsibility for any injury to people or property resulting from any ideas, methods, instructions or products referred to in the content. | 
© 2024 by the authors. Licensee MDPI, Basel, Switzerland. This article is an open access article distributed under the terms and conditions of the Creative Commons Attribution (CC BY) license (https://creativecommons.org/licenses/by/4.0/).
Share and Cite
Mazzucchelli, M.; Rosano, G.N.; Lin, C.C.; Salvatorelli, L.; Caltabiano, R.; Puzzo, L.; Magro, G.; Broggi, G. Adrenal Cortical Carcinoma with Inferior Vena Cava and Right Atrium Involvement: A Report of an Unusual Presentation with a Literature Review. Surgeries 2024, 5, 1084-1090. https://doi.org/10.3390/surgeries5040087
Mazzucchelli M, Rosano GN, Lin CC, Salvatorelli L, Caltabiano R, Puzzo L, Magro G, Broggi G. Adrenal Cortical Carcinoma with Inferior Vena Cava and Right Atrium Involvement: A Report of an Unusual Presentation with a Literature Review. Surgeries. 2024; 5(4):1084-1090. https://doi.org/10.3390/surgeries5040087
Chicago/Turabian StyleMazzucchelli, Manuel, Giovanni Nunzio Rosano, Chien Chien Lin, Lucia Salvatorelli, Rosario Caltabiano, Lidia Puzzo, Gaetano Magro, and Giuseppe Broggi. 2024. "Adrenal Cortical Carcinoma with Inferior Vena Cava and Right Atrium Involvement: A Report of an Unusual Presentation with a Literature Review" Surgeries 5, no. 4: 1084-1090. https://doi.org/10.3390/surgeries5040087
APA StyleMazzucchelli, M., Rosano, G. N., Lin, C. C., Salvatorelli, L., Caltabiano, R., Puzzo, L., Magro, G., & Broggi, G. (2024). Adrenal Cortical Carcinoma with Inferior Vena Cava and Right Atrium Involvement: A Report of an Unusual Presentation with a Literature Review. Surgeries, 5(4), 1084-1090. https://doi.org/10.3390/surgeries5040087
 
        




 
       