A Case of Fatal Asphyxia by a Barbell during a Bench Press
Abstract
1. Introduction
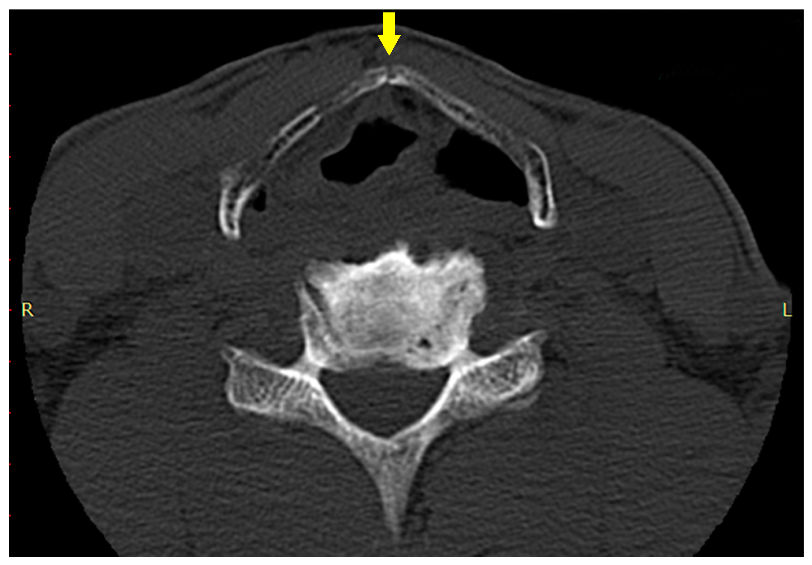
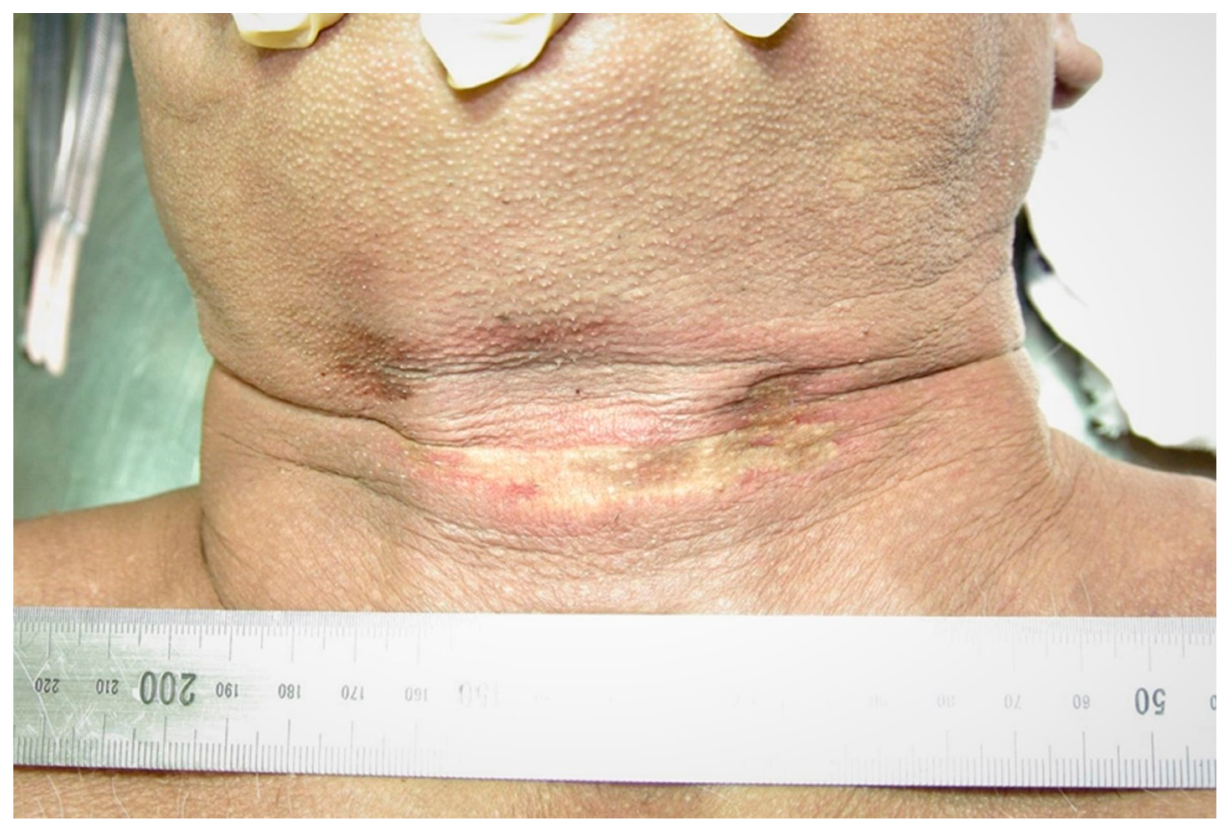
2. Case
3. Discussion
Author Contributions
Funding
Institutional Review Board Statement
Informed Consent Statement
Data Availability Statement
Conflicts of Interest
References
- National Sporting Goods Association. Sports Participation—Series I and II; Annual Report 2018; National Sporting Goods Association: Mount Prospect, IL, USA, 2006; Available online: https://www.nsga.org/globalassets/products/product-images/single-sport-participation-2018-edition---example.pdf (accessed on 24 December 2021).
- Pickett, T.C.; Lewis, R.J.; Cash, T.F. Men, muscles, and body image: Comparisons of competitive bodybuilders, weight trainers, and athletically active controls. Br. J. Sports Med. 2005, 39, 217–222. [Google Scholar] [CrossRef] [PubMed]
- Yu, J.S.; Habib, P.A. Common injuries related to weightlifting: MR imaging perspective. Semin. Musculoskelet. Radiol. 2005, 9, 289–301. [Google Scholar] [CrossRef] [PubMed]
- Keogh, J.W.; Winwood, P.W. The epidemiology of injuries across the weight-training sports. Sports Med. 2017, 47, 479–501. [Google Scholar] [CrossRef] [PubMed]
- Raske, R.; Nolin, R. Injury incidence and prevalence among elite weight and power lifters. Am. J. Sports Med. 2002, 30, 248–256. [Google Scholar] [CrossRef] [PubMed]
- Keogh, J.; Hume, P.A.; Pearson, S. Retrospective injury epidemiology of one hundred one competitive Oceania power lifters: The effects of age, body mass, competitive standard, and gender. J. Strength Cond. Res. 2006, 20, 672–681. [Google Scholar] [CrossRef]
- Siewe, J.; Rudat, J.; Rollinghoff, M.; Schlegel, U.J.; Eysel, P.; Michael, J.W. Injuries and overuse syndromes in powerlifting. Int. J. Sports Med. 2011, 32, 703–711. [Google Scholar] [CrossRef]
- Wurm, M.; Imhoff, A.B.; Siebenlist, S. Surgical repair of acute pectoralis major muscle ruptures. Oper. Orthop. Traumatol. 2018, 30, 390–397. [Google Scholar] [CrossRef]
- Kakwani, R.G.; Matthews, J.J.; Kumar, K.M.; Pimpalnerkar, A.; Mohtadi, A.P.N. Rupture of the pectoralis major muscle: Surgical treatment in athletes. Int. Orthop. 2007, 31, 159–163. [Google Scholar] [CrossRef][Green Version]
- Bengtsson, V.; Berglund, L.; Aasa, U. Narrative review of injuries in powerlifting with special reference to their association to the squat, bench press and deadlift. BMJ Open Sport Exerc. Med. 2018, 4, e000382. [Google Scholar] [CrossRef] [PubMed]
- Calhoon, G.; Fry, A.C. Injury rates and profiles of elite competitive weightlifters. J. Athl. Train. 1999, 34, 232–238. [Google Scholar] [PubMed]
- Winwood, P.W.; Hume, P.A.; Cronin, J.B.; Keogh, J.W. Retrospective injury epidemiology of strongman athletes. J. Strength Cond. Res. 2014, 28, 28–42. [Google Scholar] [CrossRef] [PubMed]
- Aasa, U.; Svartholm, I.; Andersson, F.; Berglund, L. Injuries among weightlifters and powerlifters: A systematic review. Br. J. Sports Med. 2017, 51, 211–219. [Google Scholar] [CrossRef] [PubMed]
- Strömbäck, E.; Aasa, U.; Gilenstam, K.; Berglund, L. Prevalence and consequences of injuries in powerlifting: A cross-sectional study. Orthop. J. Sports Med. 2018, 6. [Google Scholar] [CrossRef] [PubMed]
- Stevenson, T. Denial of Petition Requesting Labeling of Weightlifting Bench Press Benches to Reduce or Prevent Deaths Due to Asphyxia/Anoxia (Petition no. CP 03-3) [Letter]; United States Consumer Product Safety Commission: Bethesda, MD, USA, 2004.
- Jumbelic, M.I. Traumatic asphyxia in weightlifters. J. Forensic Sci. 2007, 52, 702–705. [Google Scholar] [CrossRef] [PubMed]
- Hooper, D.R.; Szivak, T.K.; Comstock, B.A.; Dunn-Lewis, C.; Apicella, J.M.; Kelly, N.A.; Creighton, B.C.; Flanagan, S.D.; Looney, D.P.; Volek, J.S.; et al. Effects of fatigue from resistance training on barbell back squat biomechanics. J. Strength Cond. Res. 2014, 28, 1127–1134. [Google Scholar] [CrossRef] [PubMed]
- Kuroyanagi, K. Sudden death during sport activities. Shinzo 2006, 38, 53–60. (In Japanese) [Google Scholar] [CrossRef]
- Trnka, J.; Gesicki, M.; Suslo, R.; Siuta, J.; Drobnik, J.; Pirogowicz, I. Death as a result of violent asphyxia in autopsy reports. Adv. Exp. Med. Biol. 2013, 788, 413–416. [Google Scholar] [CrossRef] [PubMed]
- ASTM F 1749-9: 2009 Specification for Fitness Equipment and Fitness Facility Safety Signage and Labels; American Society for Testing and Materials: West Conshohocken, PA, USA, 2009.
- Larson, K.; Levy, J.; Rome, M.G.; Matte, T.D.; Silver, L.D.; Frieden, T.R. Public health detailing: A strategy to improve the delivery of clinical preventive services in New York City. Public Health Rep. 2006, 121, 228–234. [Google Scholar] [CrossRef] [PubMed]
- Robert, W. Bench Press Safety Apparatus. Strength and Safety Designs Corp a Corporation of, 1987-11-16. Available online: https://patents.google.com/patent/US4799673 (accessed on 24 December 2021).




Publisher’s Note: MDPI stays neutral with regard to jurisdictional claims in published maps and institutional affiliations. |
© 2021 by the authors. Licensee MDPI, Basel, Switzerland. This article is an open access article distributed under the terms and conditions of the Creative Commons Attribution (CC BY) license (https://creativecommons.org/licenses/by/4.0/).
Share and Cite
Bandou, R.; Idota, N.; Akasaka, Y.; Ikegaya, H. A Case of Fatal Asphyxia by a Barbell during a Bench Press. Forensic Sci. 2022, 2, 1-6. https://doi.org/10.3390/forensicsci2010001
Bandou R, Idota N, Akasaka Y, Ikegaya H. A Case of Fatal Asphyxia by a Barbell during a Bench Press. Forensic Sciences. 2022; 2(1):1-6. https://doi.org/10.3390/forensicsci2010001
Chicago/Turabian StyleBandou, Risa, Nozomi Idota, Yoshihisa Akasaka, and Hiroshi Ikegaya. 2022. "A Case of Fatal Asphyxia by a Barbell during a Bench Press" Forensic Sciences 2, no. 1: 1-6. https://doi.org/10.3390/forensicsci2010001
APA StyleBandou, R., Idota, N., Akasaka, Y., & Ikegaya, H. (2022). A Case of Fatal Asphyxia by a Barbell during a Bench Press. Forensic Sciences, 2(1), 1-6. https://doi.org/10.3390/forensicsci2010001

