Journal Description
Children
Children
is an international, peer-reviewed, open access journal on children’s health, published monthly online by MDPI.
- Open Access— free for readers, with article processing charges (APC) paid by authors or their institutions.
- High Visibility: indexed within Scopus, SCIE (Web of Science), PubMed, PMC, Embase, and other databases.
- Journal Rank: JCR - Q2 (Pediatrics) / CiteScore - Q2 (Pediatrics, Perinatology and Child Health)
- Rapid Publication: manuscripts are peer-reviewed and a first decision is provided to authors approximately 17.5 days after submission; acceptance to publication is undertaken in 2.7 days (median values for papers published in this journal in the second half of 2025).
- Recognition of Reviewers: reviewers who provide timely, thorough peer-review reports receive vouchers entitling them to a discount on the APC of their next publication in any MDPI journal, in appreciation of the work done.
Impact Factor:
2.1 (2024);
5-Year Impact Factor:
2.3 (2024)
Latest Articles
Perioperative Management of Pediatric Epilepsy Neuromodulation Devices
Children 2026, 13(4), 517; https://doi.org/10.3390/children13040517 (registering DOI) - 8 Apr 2026
Abstract
Drug-resistant epilepsy (DRE) has a significant burden on children and their families that extends beyond seizure management. Surgery can be a curative treatment but is sometimes not an option for certain generalized epilepsies or epilepsy in an eloquent region. Neuromodulation therapies (vagus nerve
[...] Read more.
Drug-resistant epilepsy (DRE) has a significant burden on children and their families that extends beyond seizure management. Surgery can be a curative treatment but is sometimes not an option for certain generalized epilepsies or epilepsy in an eloquent region. Neuromodulation therapies (vagus nerve stimulation–VNS, deep brain stimulation–DBS, and responsive neurostimulation–RNS) have emerged as effective palliative treatments to mitigate seizure burden. Only VNS is FDA-approved for use in certain pediatric populations for epilepsy, but all are used off-label to treat pediatric drug-resistant epilepsy. This review provides an overview of these therapies, the perioperative considerations related to their implantation, and the perioperative considerations related to managing a device in situ. Care must be taken to avoid unintentional harm to the device, the leads, and the generator. Procedures must be cognizant of possible physiological changes that can occur intraoperatively and anatomic restrictions due to lead/generator placement. Although there is still a need for more long-term safety data regarding the use of neuromodulation devices in children, the current data demonstrate good efficacy and safety thus far. More children are likely to receive these devices for treatment, and so continued training and education will be needed for health care providers to maintain device longevity and safety.
Full article
(This article belongs to the Special Issue Transforming Care in Childhood Epilepsy: Advances in Diagnosis and Treatment)
►
Show Figures
Open AccessArticle
Behavioral Determinants in Pediatric Dentistry: A Comparative Analysis of Cooperative Versus Uncooperative Patients
by
Narmin Helal, Nisma Merdad and Heba Jafar Sabbagh
Children 2026, 13(4), 516; https://doi.org/10.3390/children13040516 - 8 Apr 2026
Abstract
Background/Objectives: Uncooperative behavior in pediatric dental settings remains a significant barrier to effective treatment. Factors such as demographics, psychological variables, and family influences may impact children’s behavior, but their relative importance is not fully understood. This study explores the emotional, familial, and
[...] Read more.
Background/Objectives: Uncooperative behavior in pediatric dental settings remains a significant barrier to effective treatment. Factors such as demographics, psychological variables, and family influences may impact children’s behavior, but their relative importance is not fully understood. This study explores the emotional, familial, and demographic factors influencing cooperation among children in dental clinics in Jeddah, Saudi Arabia. Methods: A cross-sectional study was conducted among children aged 6–11 years attending dental clinics in Jeddah, Saudi Arabia. Participants undergoing non-invasive dental procedures were recruited. Behavioral cooperation was assessed using the Frankl Behavior Rating Scale, and dental anxiety was measured using the validated Abeer Children Dental Anxiety Scale (ACDAS). Data on demographic characteristics, child cognitive factors, and parental dental anxiety were collected through structured interviews. Multivariable logistic regression analysis was performed to identify independent determinants of cooperative behavior. Results: A total of 906 children were included in the analysis. Demographic variables, including gender, age, and income, were not significantly associated with child behavior (all p > 0.05). Fear of losing control emerged as the strongest predictor in the model. Children reporting fear of losing control had significantly lower odds of cooperative behavior (AOR = 0.14, 95% CI [0.10–0.22], p < 0.001). Shyness in the clinic was not statistically significant (p = 0.216). Maternal dental anxiety was significantly associated with child behavior, with higher maternal anxiety scores linked to lower odds of cooperative behavior (AOR = 0.96, 95% CI [0.93–0.997], p = 0.032). Paternal dental anxiety was not significantly associated with child behavior (p = 0.701). Conclusions: Fear of losing control and maternal dental anxiety were independently associated with children’s behavioral responses during dental visits. These findings highlight the relevance of children’s perceived control and maternal anxiety in understanding behavioral outcomes in pediatric dental settings.
Full article
(This article belongs to the Special Issue Early Dental Treatment in Children: A Focus on Behavior Intervention and Management)
Open AccessCase Report
Management of Severe Congenital Protein C Deficiency with Continuous Subcutaneous Infusion via Insulin Pump: A Pediatric Case Report
by
Angelo Gentile, Giordano Spacco, Nicola Minuto, Vera Morsellino, Sandro Dallorso, Angelo Claudio Molinari, Mohamad Maghnie, Marta Bassi and Laura Banov
Children 2026, 13(4), 515; https://doi.org/10.3390/children13040515 - 7 Apr 2026
Abstract
Severe congenital Protein C deficiency (SCPCD) is a rare autosomal recessive thrombophilia that typically presents in the neonatal period with early-onset life-threatening thrombotic complications. We report the case of a female infant who presented at birth with digital ischemic necrosis and laboratory evidence
[...] Read more.
Severe congenital Protein C deficiency (SCPCD) is a rare autosomal recessive thrombophilia that typically presents in the neonatal period with early-onset life-threatening thrombotic complications. We report the case of a female infant who presented at birth with digital ischemic necrosis and laboratory evidence of consumptive coagulopathy consistent with neonatal purpura fulminans. Severe Protein C deficiency was confirmed by markedly reduced Protein C activity (<0.03 IU/mL) and compound heterozygous variants in the PROC gene. After initial stabilization and intermittent intravenous Protein C replacement, pharmacokinetic assessment showed marked peak–trough variability. Continuous subcutaneous infusion of Protein C concentrate was therefore initiated using a programmable insulin pump in combination with oral anticoagulation. This strategy achieved stable Protein C activity levels, allowed progressive reduction of the weight-adjusted replacement dose, and enabled removal of the central venous catheter. Continuous subcutaneous infusion of Protein C concentrate via an insulin pump, combined with oral anticoagulation, may represent a feasible long-term therapeutic option in selected patients with SCPCD.
Full article
(This article belongs to the Special Issue Advances in Neonatal Hematology and Hemostasis)
Open AccessArticle
An Observational Study of the Role of Adiponectin and Vitamin D in Pediatric Asthma and Obesity
by
Jelena Knežević, Olga Malev, Marcel Lipej, Ivana Banić and Mirjana Turkalj
Children 2026, 13(4), 514; https://doi.org/10.3390/children13040514 - 7 Apr 2026
Abstract
Background/Objectives: The co-occurrence of asthma and obesity presents a significant clinical challenge, but the underlying mechanisms remain unclear. Reduced adiponectin and vitamin D levels have been associated with both conditions, suggesting that their potential modulatory roles warrant further investigation. This study aimed to
[...] Read more.
Background/Objectives: The co-occurrence of asthma and obesity presents a significant clinical challenge, but the underlying mechanisms remain unclear. Reduced adiponectin and vitamin D levels have been associated with both conditions, suggesting that their potential modulatory roles warrant further investigation. This study aimed to evaluate whether vitamin D and adiponectin levels differ among pediatric groups defined by their asthma and obesity status, to better characterize the metabolic and inflammatory profile of the obesityasthma phenotype. Methods: A total of 120 participants aged 6–18 were enrolled and categorized into four groups: Asthma (n = 30), Obesity (n = 30), Asthma + Obesity (n = 30), and Control group (n = 30). All participants underwent lung function testing, anthropometric assessment and measurement of fraction of exhaled nitric oxide (FeNO). Participants were further categorized according to BMI percentiles. Adiponectin levels were measured using ELISA, while vitamin D levels were detected using HPLC. Results: Vitamin D levels and lung function parameters did not differ across groups, although deficiency was most prevalent in the obesity group. FeNO was elevated in asthmatics relative to obese children (p = 0.038) and in obese asthmatics compared with both controls (p = 0.040) and obese children (p = 0.021). Adiponectin levels were lower in obese asthmatic children compared to the controls (p = 0.024). A similar difference was observed between the controls and obese asthmatics among children with low vitamin D levels (p = 0.014). Conclusions: The dominant mechanisms underlying the obesity–asthma phenotype remain unclear; however, our findings indicate a link between adiponectin dysregulation and heightened airway inflammation, as evidenced by increased FeNO levels, though the precise pathways involved are still not well-understood. The role of vitamin D appears less consistent. These results highlight the need for further research to clarify the interplay between metabolic and inflammatory pathways and to support more personalized management strategies in children with obesity-related asthma.
Full article
(This article belongs to the Special Issue Allergic Diseases in Children: From Pathophysiological Mechanisms to Management)
Open AccessArticle
Clinical Patterns and Outcomes of Eosinophilic Esophagitis in Children and Adolescents at a Tertiary Care Center in Lebanon
by
Amal Rahi, Rima Hanna-Wakim, Abir Barhoumi and Nadine Yazbeck
Children 2026, 13(4), 513; https://doi.org/10.3390/children13040513 - 7 Apr 2026
Abstract
Background: Studies on the clinical presentation of eosinophilic esophagitis and its outcome in children in the Middle East and North African region are scarce. The aim of this 10-year retrospective study was to describe the common clinical manifestations, endoscopic and histological findings, and
[...] Read more.
Background: Studies on the clinical presentation of eosinophilic esophagitis and its outcome in children in the Middle East and North African region are scarce. The aim of this 10-year retrospective study was to describe the common clinical manifestations, endoscopic and histological findings, and the response to medication and dietary intervention in children and adolescents with eosinophilic esophagitis. Methods: This study was a retrospective chart review of patients aged 6 months to 18 years who attended the Pediatric Gastroenterology clinic at the American University of Beirut Medical Center between 1 January 2013 and 30 June 2023 and who were diagnosed with eosinophilic esophagitis. Results: A total of 15 patients met the inclusion criteria. The median age at diagnosis was 9 years. Male patients accounted for 73% of our cohort. The most frequent presenting symptoms were dysphagia (80%) and choking (47%). The esophagus appeared normal in 33% of subjects despite histologic confirmation of disease, highlighting the importance of routine biopsies. Adherence to therapy was variable, with 73% of subjects reporting symptom improvement following initial therapy, even in cases where histology remained active. This pattern suggests that symptomatic improvement alone may not reliably reflect disease control and underscores the importance of objective monitoring through follow-up biopsy. Conclusions: The recognition of manifestations of eosinophilic esophagitis in children, early diagnosis, and strict adherence to the diet and medication are essential to prevent long-term complications. In a resource-constrained country like Lebanon, the management remains challenging in view of the burden of dietary restrictions and high cost of procedures and biologics. Socioeconomic feasibility and long-term adherence to diet and medication is as critical as pharmacologic efficacy in determining outcomes in pediatric patients.
Full article
(This article belongs to the Special Issue Non-IgE Pediatric Food Allergy: Clinical and Research Issues)
►▼
Show Figures

Figure 1
Open AccessReview
Functional Motor Assessment and Rehabilitation in Joubert Syndrome: A Narrative Review and Conceptual Framework for Pediatric Neurorehabilitation
by
Łukasz Mański, Aleksandra Moluszys and Jolanta Wierzba
Children 2026, 13(4), 512; https://doi.org/10.3390/children13040512 - 7 Apr 2026
Abstract
Background/Objectives: Joubert syndrome (JS) is a rare neurodevelopmental disorder characterized by cerebellar and brainstem malformations, resulting in a complex and heterogeneous motor phenotype. Despite increasing clinical recognition, functional assessment and physiotherapy strategies in this population remain insufficiently characterized. This study aimed to
[...] Read more.
Background/Objectives: Joubert syndrome (JS) is a rare neurodevelopmental disorder characterized by cerebellar and brainstem malformations, resulting in a complex and heterogeneous motor phenotype. Despite increasing clinical recognition, functional assessment and physiotherapy strategies in this population remain insufficiently characterized. This study aimed to synthesize current rehabilitation evidence and to propose a conceptual framework for functional motor assessment in children with JS. Methods: A structured narrative review was conducted across PubMed, Scopus, Web of Science, EBSCOhost, the Cochrane Library, and PEDro databases, including studies published between 2000 and 2026. Eligible studies involved pediatric patients (0–18 years) with JS and reported physiotherapy or motor-related outcomes. Data were synthesized descriptively, and recurring functional domains were identified to inform the development of a conceptual framework. Results: Ten studies (eight case reports and two case series) were included. Rehabilitation approaches were heterogeneous and predominantly multidisciplinary, focusing on postural control, trunk stability, and motor milestone acquisition. Functional improvements were reported across studies; however, outcome measures were primarily based on generic pediatric tools such as GMFM-88 and WeeFIM. These tools did not fully capture the multidimensional nature of motor impairment, particularly in relation to regulatory and sensorimotor domains. Evidence also suggested that postural control and gross motor performance may not fully correspond, highlighting additional functional components such as axial control and thoracoabdominal organization. Given the absence of formal risk-of-bias assessment and the low methodological quality of included studies, all findings should be interpreted as exploratory. Conclusions: Current functional assessment in JS may not adequately reflect the interaction between regulatory processes, sensorimotor integration, and motor control. The proposed conceptual framework provides a multidimensional, hypothesis-generating perspective that may support clinical reasoning and physiotherapy planning. Further research is required to validate this framework and to develop more sensitive, syndrome-specific assessment tools.
Full article
(This article belongs to the Section Pediatric Neurology & Neurodevelopmental Disorders)
►▼
Show Figures

Figure 1
Open AccessArticle
Operative Vaginal Delivery Compared to Cesarean After Failed Labor: A Population-Based Analysis of Neonatal and Maternal Outcomes
by
Yvalis Cortes-Rojas and Braxton Forde
Children 2026, 13(4), 511; https://doi.org/10.3390/children13040511 - 7 Apr 2026
Abstract
Objective: We sought to compare common neonatal and maternal morbidity outcomes amongst operative vaginal delivery (OVD) versus cesarean delivery performed in the setting of failed attempt at labor. We planned to stratify outcomes by type of OVD (vacuum-assisted vaginal delivery (VAVD) and forceps-assisted
[...] Read more.
Objective: We sought to compare common neonatal and maternal morbidity outcomes amongst operative vaginal delivery (OVD) versus cesarean delivery performed in the setting of failed attempt at labor. We planned to stratify outcomes by type of OVD (vacuum-assisted vaginal delivery (VAVD) and forceps-assisted vaginal delivery (FAVD)). Methods: This was a retrospective cohort study of singleton live births in the United States, using the 2023 National Vital Statistics birth certificate dataset. The primary outcome of interest was the risk of neonatal morbidity, as listed on the birth certificate. The secondary outcome of interest was the risk of maternal morbidity. Neonatal morbidities were planned to be analyzed independently (i.e., risk of NICU admission, need for antibiotics) as well as in aggregate (i.e., the risk of any morbidity occurring). Three groups were planned: FAVD, VAVD, and cesarean in the setting of attempted labor or attempted induction of labor (referent group). Differences in demographic and clinical characteristics were compared and subsequently adjusted for, and odds ratios (aOR) were calculated using multivariable logistic regression. Results: Of the 3,605,081 births from 2023, there were 15,384 FAVDs; 83,134 VAVDs; and 325,310 cesareans after failed labor. Neonatal morbidity was lower in FAVD (aOR 0.71, 95% CI 0.66–0.76) and VAVD (aOR 0.57, 95% CI 0.55–0.59) compared to cesarean delivery, with VAVD showing the lowest rates, in particular, the need for assisted ventilation (aOR 0.52 95% CI 0.48–0.57 with VAVD and aOR 0.74 95% CI 0.68–0.81 with FAVD) and NICU admissions aOR 0.66, 95% CI 0.60–0.71 with FAVD and aOR 0.48, 95% CI 0.46–0.51 with VAVD) were reduced with operative vaginal delivery. Antibiotic usage was only reduced in VAVD, not FAVD. Maternal morbidity was highest FAVD; however, this was driven by perineal lacerations. ICU admission, hysterectomy, and ruptured uterus were all higher in cesarean delivery than FAVD or VAVD. Conclusions: Operative vaginal delivery, particularly VAVD, is associated with reduced neonatal morbidity compared to cesarean delivery in the setting of labor.
Full article
(This article belongs to the Section Pediatric Neonatology)
Open AccessReview
Pediatric Pes Planovalgus and Femoral Antetorsion: Understanding a Biomechanical Unit: A Narrative Review of the Proximal-to-Distal Kinetic Chain in Childhood Flatfoot
by
Carlo Camathias, Victor Valderrabano, Erich Rutz and Bernhard M. Speth
Children 2026, 13(4), 510; https://doi.org/10.3390/children13040510 - 6 Apr 2026
Abstract
Background: Pes planovalgus affects 44–54% of preschool children and represents one of the most common concerns in pediatric orthopedic practice. Aim: This narrative review synthesizes the evidence linking increased femoral antetorsion to pediatric flatfoot deformity. Methods: A comprehensive literature search was conducted in
[...] Read more.
Background: Pes planovalgus affects 44–54% of preschool children and represents one of the most common concerns in pediatric orthopedic practice. Aim: This narrative review synthesizes the evidence linking increased femoral antetorsion to pediatric flatfoot deformity. Methods: A comprehensive literature search was conducted in PubMed, Scopus, and Web of Science through January 2026. The initial search yielded 847 records; after screening, 52 studies were included, 29 of which are directly cited. Search terms included combinations of: “femoral antetorsion” OR “femoral anteversion” AND “flatfoot” OR “pes planovalgus” AND “children” OR “pediatric”. Results: Strong correlations exist between flatfoot and increased internal hip rotation (as a proxy for femoral antetorsion) in preschool children (r = 0.53–0.77), suggesting an association, though direct causation remains unproven. Both deformities share similar developmental trajectories with spontaneous resolution by school age. The biomechanical model proposes that elevated antetorsion reduces gluteus medius moment arms by 40–50%, necessitating compensatory hip internal rotation; however, this derives from computational models and cerebral palsy populations, with limited direct validation in typically developing children. Femoral derotation osteotomy improves the foot progression angle, though transfer efficiency is incomplete (~54% of surgical correction manifests distally). Conclusions: Femoral antetorsion and pes planovalgus are strongly associated in preschool children, though whether this represents a direct mechanistic cascade or parallel manifestations of common developmental factors remains uncertain. This understanding supports watchful waiting in preschool children and, in persistent cases, prioritizes the assessment of the entire rotational profile before intervention.
Full article
(This article belongs to the Section Pediatric Orthopedics & Sports Medicine)
►▼
Show Figures

Figure 1
Open AccessArticle
Virtual Reality Technology Reduces Pain and Anxiety in Hospitalized Pediatric Patients Undergoing Peripheral Venous Catheterization: A Randomized Controlled Trial
by
Jiao Yu, Qiqi Cheng, Min Luo, Huidan Yu and Suqing Wang
Children 2026, 13(4), 509; https://doi.org/10.3390/children13040509 - 5 Apr 2026
Abstract
Objective: To investigate the effects of virtual reality (VR) technology on pain and anxiety in hospitalized pediatric patients undergoing Peripheral Venous Catheterization. Methods: This study is a randomized controlled trial (RCT). Between July and December 2024, eligible pediatric inpatients aged 5–14 years from
[...] Read more.
Objective: To investigate the effects of virtual reality (VR) technology on pain and anxiety in hospitalized pediatric patients undergoing Peripheral Venous Catheterization. Methods: This study is a randomized controlled trial (RCT). Between July and December 2024, eligible pediatric inpatients aged 5–14 years from the Chegu Branch of Wuhan Union Hospital were randomly assigned to either the experimental group or the control group. The control group received routine care during peripheral venous catheterization, including health education and psychological comfort. The intervention group, in addition to routine care, used VR headsets to watch age-appropriate game videos, with each VR session lasting 10–15 min. The primary outcome measure was patient-reported pain levels, with anxiety as a key secondary outcome. Secondary outcome measures included catheterization time, heart rate, patient satisfaction with nursing procedures, and usability evaluation of the VR equipment. Results: A total of 80 pediatric patients were enrolled, with 40 in the VR group (mean age 8.05 ± 2.60 years) and 40 in the control group (mean age 8.63 ± 2.50 years). Generalized estimating equation (GEE) analysis showed a significant interaction effect between group and time for pain (Wald χ2 = 7.091, p = 0.029), while no significant interaction was found for anxiety (Wald χ2 = 0.971, p = 0.615). Before peripheral venous catheterization, there was no significant difference in pain and anxiety scores between the two groups of pediatric patients (p > 0.05). Patients in the VR group reported significantly reduced pain (β = −0.78; 95% CI, −1.40 to −0.15; p = 0.015) during catheterization, and overall anxiety scores were also lower in the VR group (β = −0.43; 95% CI, −0.77 to −0.08; p = 0.016), although the group by time interaction for anxiety was not significant. The intervention group also demonstrated a lower peak heart rate (107.67 ± 16.25 beats/min vs. 115.25 ± 29.53 beats/min; p = 0.047) and a shorter procedure duration [110 (100, 120) seconds vs. 120 (110, 123.5) seconds; p < 0.001]. Operator satisfaction with the nursing procedure was also significantly higher in the intervention group (95.0% vs. 72.5%, p < 0.001). Conclusions: VR significantly reduces pain and anxiety in hospitalized pediatric patients during peripheral venous catheterization.
Full article
(This article belongs to the Section Pediatric Nursing)
►▼
Show Figures

Figure 1
Open AccessArticle
Caregivers’ Baseline Mental Health Problems and Early Childhood Social Skills at One-Year Follow-Up in an Urban Area of Indonesia
by
Hilda Meriyandah, Yuri Nurdiantami, Smarika Shresta, Maiko Shigeeda and Tokie Anme
Children 2026, 13(4), 508; https://doi.org/10.3390/children13040508 - 4 Apr 2026
Abstract
Background/Objectives: Social development in children is a significant aspect that supports appropriate behavior in the community, and parents, as the main caregivers, play a central role in developing social skills in children. However, caregivers experiencing mental health problems—such as depression, anxiety, and stress—may
[...] Read more.
Background/Objectives: Social development in children is a significant aspect that supports appropriate behavior in the community, and parents, as the main caregivers, play a central role in developing social skills in children. However, caregivers experiencing mental health problems—such as depression, anxiety, and stress—may find it challenging to provide a nurturing rearing environment. This one-year follow-up study examined whether the baseline mental health of caregivers was associated with social skills in children 1 year later in an urban Indonesian context. Methods: A one-year follow-up study was conducted in an urban area of Indonesia in 2023–2024, inviting all nine kindergartens in the area to participate. Caregivers completed the demographic questionnaire and the Depression, Anxiety, Stress Scale (DASS-21), while teachers assessed social skills in children using the Social Skills Scale (SSS). Linear mixed-effects models with random intercepts for kindergarten were estimated to account for clustering. Results: Finally, a total of 270 parent–child dyads were included. After adjusting for baseline social skills and covariates, higher levels of baseline caregiver depression (B = −0.15, p < 0.001), anxiety (B = −0.22, p < 0.001), and stress (B = −0.27, p < 0.001) were associated with lower social skills in children in the follow-up. Conclusions: Even subclinical variations in caregiver mental health problems may be meaningfully associated with social development in children over time. The findings highlight mental health in caregivers as a potentially important factor associated with early social development in an urban setting of Indonesia.
Full article
Open AccessArticle
Artificial Intelligence-Assisted Detection of Canine Impaction, Localization, and Classification from Panoramic Images: A Diagnostic Accuracy Comparative Study with CBCT
by
Narmin M. Helal, Abdulrahman F. Aljehani, Sawsan A. Alomari, Reem A. Mahmoud and Hanadi M. Khalifa
Children 2026, 13(4), 507; https://doi.org/10.3390/children13040507 - 4 Apr 2026
Abstract
Background/Objectives: This study aimed to develop and evaluate deep learning models for the detection, localization, and classification of impacted maxillary canines, and to compare their performance with cone-beam computed tomography (CBCT) as the reference standard. Methods: This cross-sectional diagnostic accuracy study was conducted
[...] Read more.
Background/Objectives: This study aimed to develop and evaluate deep learning models for the detection, localization, and classification of impacted maxillary canines, and to compare their performance with cone-beam computed tomography (CBCT) as the reference standard. Methods: This cross-sectional diagnostic accuracy study was conducted at King Abdulaziz University Dental Hospital to develop and validate artificial intelligence (AI) models for detecting and localizing maxillary canine impactions using panoramic and cone-beam computed tomography (CBCT) imaging data. A total of 641 panoramic ra and 158 CBCT scans were collected, of which 158 cases had matched panoramic–CBCT pairs for localization analysis. Images were annotated and validated by expert radiologists and orthodontists, with consensus review ensuring labeling reliability. Data augmentation expanded each panoramic and CBCT category to 500 samples for panoramic and 1000 samples for CBCT, resulting in 1935 panoramic and 5703 CBCT images after preprocessing and normalization. The datasets were divided into (training + validation) (80%) and testing (20%) subsets. MobileNetV2 architectures were used for classification, and whdiographsile, a ResNet-50–based Few-Shot Learning framework, enabled spatial localization of impacted canines. Models were trained using the Adam optimizer with a learning rate of 1 × 10−4 and evaluated using accuracy, precision, recall, F1 score, and area under the receiver operating characteristic curve (AUC). Cohen’s kappa and 95% confidence intervals were used to assess agreement between AI predictions and expert annotations. Results: Panoramic classification achieved 94% accuracy, demonstrating the highest performance in normal cases and reduced recall for bilateral impactions. The CBCT classifier achieved 98% accuracy across positional categories. Cross-modality prediction reached 93.5% accuracy, with strong agreement compared to CBCT (Cohen’s kappa = 0.91). Expert review confirmed reliable localization of impacted canines on both imaging modalities. Conclusions: Artificial intelligence applied to panoramic radiographs supports the detection, localization, and characterization of impacted maxillary canines with performance comparable to CBCT. This approach may enable lower-radiation decision support for clinical triage.
Full article
(This article belongs to the Section Pediatric Dentistry & Oral Medicine)
►▼
Show Figures

Figure 1
Open AccessArticle
Psychometric Validation of a Spanish–Chilean Instrument for Assessing Public Attitudes Toward Childhood Stuttering: Construct Validity and Internal Consistency
by
Yasna Sandoval, Carlos Rojas, Francisco Novoa-Muñoz, Gabriel Lagos, Carla Figueroa, Álvaro Silva, Jaime Crisosto-Alarcón and Mauricio Alfaro-Calfullán
Children 2026, 13(4), 506; https://doi.org/10.3390/children13040506 - 3 Apr 2026
Abstract
Background/Objectives: Stuttering is a neurodevelopmental disorder of speech fluency. It emerges most commonly between 2 and 5 years old, often causing social exclusion and stigma. In Latin America, cultural misconceptions regarding its causes exacerbate these psychosocial challenges. This study validated a culturally adapted
[...] Read more.
Background/Objectives: Stuttering is a neurodevelopmental disorder of speech fluency. It emerges most commonly between 2 and 5 years old, often causing social exclusion and stigma. In Latin America, cultural misconceptions regarding its causes exacerbate these psychosocial challenges. This study validated a culturally adapted instrument for Chile to measure public attitudes toward stuttering. The instrument provides a psychometrically sound method to assess and address stigma within educational and community settings. Methods: A total of 756 Chilean adults (mean age = 36.7 years, SD = 15.8; 64% women, 36% men) were recruited using stratified probability sampling to reflect the national demographics. Ethical approval and informed consent were obtained. The subsection underwent rigorous cross-cultural adaptation (translation, expert review, cognitive debriefing n = 30, pre-testing n = 50). Analysis employed polychoric matrices, EFA, CFA with WLSMV, and multiple reliability/validity indices. Results: Joint analysis showed poor fit (CFI = 0.72, RMSEA = 0.12), confirming independence. Beliefs (14 items): three-factor CFA fit excellent (CFI = 0.993, RMSEA = 0.034); factors: competence/normality (α = 0.85), psychological causes (α = 0.78), and help/support (α = 0.72). Reactions (11 items): four-factor fit adequate (CFI = 0.97, RMSEA = 0.043); factors: distant concern (α = 0.82), personal concern (α = 0.79), media sources (α = 0.75), and formal sources (α = 0.77). Validity was supported; bifactor models favored multidimensionality. Conclusions: The adapted subsection is psychometrically robust and effectively captures Chilean-specific attitudes toward childhood stuttering. It provides a reliable tool for quantifying public stigma and misconceptions, particularly in educational and school contexts, thereby supporting the design of targeted school-based policies and interventions to reduce bullying, promote inclusion, and safeguard the psychosocial well-being of children and adolescents who stutter.
Full article
(This article belongs to the Section Pediatric Mental Health)
►▼
Show Figures

Figure 1
Open AccessArticle
Chest Radiography Use in Hospitalized Children with Acute Respiratory Tract Infections: A Baseline Analysis for Imaging Optimization
by
Roxana Axinte, Sorin Axinte, Elena Tătăranu, Laura Ion, Adina Mihaela Frenți, Florin Filip, Gabriela Burțilă, Liliana Anchidin-Norocel and Smaranda Diaconescu
Children 2026, 13(4), 505; https://doi.org/10.3390/children13040505 - 3 Apr 2026
Abstract
Background: Pediatric respiratory infections represent a leading cause of emergency department (ED) visits and hospitalizations. Chest X-rays are frequently used in their diagnostic evaluation, despite guideline recommendations advocating restrictive imaging strategies, particularly in young children with uncomplicated disease. Excessive imaging raises concerns regarding
[...] Read more.
Background: Pediatric respiratory infections represent a leading cause of emergency department (ED) visits and hospitalizations. Chest X-rays are frequently used in their diagnostic evaluation, despite guideline recommendations advocating restrictive imaging strategies, particularly in young children with uncomplicated disease. Excessive imaging raises concerns regarding cumulative radiation exposure and inefficient resource utilization. Objectives: To quantify potentially unnecessary chest radiography use in hospitalized pediatric patients with respiratory infections and to identify age-related and diagnostic patterns suitable for targeted imaging optimization interventions. Methods: We conducted a retrospective observational study analyzing pediatric patients presented to the ED of a tertiary county hospital in Romania over a period of 12 months. Data regarding respiratory diagnoses, hospitalization status, patient age, and chest radiography utilization were extracted from electronic medical records. Results: Among more than 26,000 pediatric emergency presentations, 4139 children required hospitalization, of whom 1212 were diagnosed with respiratory infections. A total of 3414 chest radiographs were performed, with the highest imaging burden observed in children aged 0–4 years. Repeated imaging was common in interstitial pneumonia, bronchiolitis, and bronchial hyperreactivity. A strong negative correlation was identified between patient age and imaging frequency (r = −0.70, p < 0.001). Conclusions: Thoracic radiographs are disproportionately used in young children with respiratory infections, particularly in conditions with limited imaging indications. These findings provide an essential baseline for the development of targeted quality improvement interventions aimed at reducing unnecessary pediatric imaging.
Full article
(This article belongs to the Special Issue Improving Respiratory Care for Children)
►▼
Show Figures

Figure 1
Open AccessArticle
Phenotypic Associations of Early Cardiovascular Surgery in Pediatric Marfan Syndrome
by
Veronika C. Stark, Thomas S. Mir, Caja Langkat, Daniel Biermann, Johanna J. Kanitz, Gerhard Schoen, Yskert von Kodolitsch, Nora Lang, Rainer Kozlik-Feldmann, Michael Huebler and Jakob Olfe
Children 2026, 13(4), 504; https://doi.org/10.3390/children13040504 - 3 Apr 2026
Abstract
Background/Objectives: Cardiovascular manifestations in pediatric Marfan syndrome (MFS) exhibit substantial heterogeneity. Early identification of patients at elevated risk of requiring cardiac surgery is essential to optimizing outcomes. This study aimed to determine phenotypic features associated with cardiovascular surgery in genetically confirmed pediatric
[...] Read more.
Background/Objectives: Cardiovascular manifestations in pediatric Marfan syndrome (MFS) exhibit substantial heterogeneity. Early identification of patients at elevated risk of requiring cardiac surgery is essential to optimizing outcomes. This study aimed to determine phenotypic features associated with cardiovascular surgery in genetically confirmed pediatric MFS. Methods: Among the 1006 children evaluated, 214 with genetically verified MFS were included in the analysis. We categorized patients by the presence or absence of cardiac surgery during childhood. Systemic and cardiovascular features were assessed. We applied binary logistic regression to identify independent associated manifestations with surgical intervention. Results: 20/214 patients (9.3%, 11.5 ± 5.5 years) underwent cardiac surgery (50% aortic root replacement, 20% mitral valve surgery, 30% combined interventions). Extracardiac features—Marfan-type facial features, pectus carinatum, pes planus, hindfoot deformity, and myopia of ≥3 diopters—were significantly associated with an increased probability of surgery (OR 3.0–4.6). Tricuspid valve prolapse and pulmonary artery dilatation were more prevalent in surgical patients. Surgical patients exhibited higher systemic manifestation scores (9.2 vs. 5.2; p ≤ 0.05) per revised Ghent criteria (RGC). Conclusions: A higher systemic score (RGC) correlates with increased risk for surgery. Marfan-type facial features, pectus carinatum, pes planus, hindfoot deformity, and myopia ≥ 3 diopters were strongly associated with the need for early cardiac surgery. Comprehensive phenotypic assessment, including systemic manifestation scoring, enables risk stratification and supports timely surgical planning in pediatric MFS.
Full article
(This article belongs to the Special Issue Research Progress of the Pediatric Cardiology: 4th Edition)
►▼
Show Figures

Figure 1
Open AccessArticle
Rapid Shallow Breathing Index as a Predictor of Extubation Outcomes After Pediatric Cardiac Surgeries
by
Mustafa Saad El Masri, Wajih Nasr, Marianne N. Majdalani and Jihane Moukhaiber
Children 2026, 13(4), 503; https://doi.org/10.3390/children13040503 - 2 Apr 2026
Abstract
Background/Objectives: Determining the optimal timing for the discontinuation of mechanical ventilation (MV) in pediatric patients following cardiac surgery remains challenging. Both delayed and premature extubation increase the risk of complications. The rapid shallow breathing index (RSBI) is widely used, but its role and
[...] Read more.
Background/Objectives: Determining the optimal timing for the discontinuation of mechanical ventilation (MV) in pediatric patients following cardiac surgery remains challenging. Both delayed and premature extubation increase the risk of complications. The rapid shallow breathing index (RSBI) is widely used, but its role and optimal cutoff in pediatric cardiac populations remain uncertain. This study aimed to determine a clinically useful RSBI cutoff for predicting extubation readiness in children after cardiac surgery. Methods: We conducted a prospective single-center observational cohort study including children younger than 18 years who required postoperative MV after cardiac surgery and were admitted to the Pediatric Intensive Care Unit (PICU) between July 2020 and June 2024. The RSBI was measured one minute prior to extubation during a spontaneous breathing trial (SBT). Extubation failure was defined as the need for reintubation within 48 h. Results: A total of 247 patients were enrolled, with 13 (5.3%) experiencing extubation failure. Patients who failed extubation had significantly higher RSBI values compared with those successfully extubated (median 4.97 vs. 3.76; p < 0.001). An RSBI cutoff ≥ 4.62 breaths/min/mL/kg provided a sensitivity of 84.6%, specificity of 94.0%, positive predictive value (PPV) of 44%, and negative predictive value (NPV) of 99.1%. The RSBI was the only independent predictor of extubation failure in multivariable analysis (p = 0.014). Conclusions: The RSBI is a simple and reliable physiological marker for assessing extubation readiness in pediatric patients after cardiac surgery. An RSBI threshold of ≥4.62 breaths/min/mL/kg identifies patients at increased risk of extubation failure. Larger, multicenter studies will be important to validate our results.
Full article
(This article belongs to the Section Pediatric Cardiology)
►▼
Show Figures

Figure 1
Open AccessOpinion
Moving from Challenge to Change: Redesigning Inpatient Care for Children with Complex Care Needs
by
Emma Popejoy, Jane Coad, Eyal Cohen, Aysha Sheikhi and Joseph C. Manning
Children 2026, 13(4), 502; https://doi.org/10.3390/children13040502 - 2 Apr 2026
Abstract
Children with complex care needs represent a growing and highly vulnerable population within inpatient hospital settings. They experience disproportionately long lengths of stay, higher rates of safety incidents, and poorer care experiences than other children. Their increasing prevalence in hospitals reflects broader advances
[...] Read more.
Children with complex care needs represent a growing and highly vulnerable population within inpatient hospital settings. They experience disproportionately long lengths of stay, higher rates of safety incidents, and poorer care experiences than other children. Their increasing prevalence in hospitals reflects broader advances in medical care that have improved survival, yet current inpatient systems remain largely designed around episodic, single-condition models of care. As a result, children with complex care needs and their families frequently encounter inpatient services which are fragmented and stretched and environments which are not adequately suited to their needs. The challenges are well recognised, and current drivers exist to move toward meaningful system change. Recent policy drivers, workforce development agendas, and new funding streams provide an opportunity to reimagine how inpatient services are organised and delivered for this population. This opinion piece, situated within the UK healthcare context, offers a structured analysis of the systemic challenges facing inpatient services for children with complex care needs and identifies priority domains of safe care, workforce development, and knowledge generation, where targeted redesign is both feasible and urgently required.
Full article
(This article belongs to the Special Issue Healthcare and Transition in Children with Special Needs, Complex Chronic Illness, and Medical Technology Dependence)
Open AccessArticle
Educational Needs and Priorities for Pediatric Emergency Nursing: A Cross-Sectional Study of Clinical Nurses
by
Jung Hwa Lee, So Yeon Park and Hyeon Ok Ju
Children 2026, 13(4), 501; https://doi.org/10.3390/children13040501 - 2 Apr 2026
Abstract
►▼
Show Figures
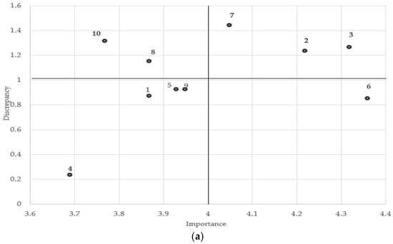
Background/Objectives: Pediatric emergency nursing requires timely, accurate interventions, yet educational content is not always aligned with clinical priorities. Identifying and prioritizing educational gaps based on clinical relevance and nurses’ current performance is essential to improve pediatric emergency care. Methods: This descriptive cross-sectional study
[...] Read more.
Background/Objectives: Pediatric emergency nursing requires timely, accurate interventions, yet educational content is not always aligned with clinical priorities. Identifying and prioritizing educational gaps based on clinical relevance and nurses’ current performance is essential to improve pediatric emergency care. Methods: This descriptive cross-sectional study assessed clinical performance and educational needs among nurses working in emergency departments, general wards, and intensive care units. Data were collected using a structured questionnaire on 20 pediatric emergency conditions and related procedures. Priorities were identified using the Borich Needs Assessment and the Locus for Focus model, based on differences between required and present competence and the level of perceived importance. Results: Educational needs were consistently high across participant characteristics. In both the Borich needs assessment and the Locus for Focus model, the highest priorities were identified in pediatric emergency nursing competencies related to time-critical emergencies and core procedures, particularly resuscitation and high-risk medication administration. Conclusions: Educational priorities in pediatric emergency nursing span urgent conditions and skill-intensive procedures. Although performance varied by age and experience, educational needs were consistently high, supporting continuous, standardized training. Simulation-based and mobile-enabled, scenario-focused education should be considered to enhance preparedness and response capacity among nursing students and early-career nurses.
Full article

Figure 1
Open AccessReview
Lung Function Trajectories After Preterm Birth: A Life-Course Approach to Age-Specific Monitoring
by
Dorina Hoxha, Ilaria Bucci, Sabrina Di Pillo, Francesco Chiarelli, Marina Attanasi and Paola Di Filippo
Children 2026, 13(4), 500; https://doi.org/10.3390/children13040500 - 2 Apr 2026
Abstract
Preterm birth interrupts critical phases of lung development and is associated with long-term alterations in respiratory structure and function. While bronchopulmonary dysplasia (BPD) has traditionally been considered the principal determinant of adverse outcomes, accumulating evidence indicates that prematurity per se contributes substantially to
[...] Read more.
Preterm birth interrupts critical phases of lung development and is associated with long-term alterations in respiratory structure and function. While bronchopulmonary dysplasia (BPD) has traditionally been considered the principal determinant of adverse outcomes, accumulating evidence indicates that prematurity per se contributes substantially to persistent pulmonary impairment. Lung function trajectories in preterm-born children frequently track along lower percentiles from infancy into adolescence and early adulthood, with limited catch-up growth and increased vulnerability to chronic airflow limitation. Assessment of lung function requires a developmentally tailored approach, as feasibility and interpretability vary across age groups. In infancy, non-volitional techniques such as tidal breathing flow-volume loop analysis and raised-volume rapid thoracoabdominal compression allow early evaluation of respiratory mechanics. During toddlerhood, methodological limitations persist, although emerging technologies may expand feasibility. In preschool children, impulse oscillometry enables detection of small airway dysfunction, often preceding spirometric abnormalities. From school age onward, spirometry, body plethysmography, diffusing capacity, and multiple breath washout provide complementary information on obstructive, restrictive, and gas-exchange impairments. Longitudinal studies demonstrate that reduced lung function is not confined to children with BPD and may predispose to early-onset chronic obstructive pulmonary disease-like phenotypes. Early identification of abnormal trajectories and modifiable risk factors supports structured long-term follow-up and preventive strategies. Standardization of age-specific assessment protocols and harmonization of reference values are essential to improve risk stratification and optimize long-term respiratory outcomes in this vulnerable population.
Full article
(This article belongs to the Special Issue Bronchopulmonary Dysplasia in Children: Early Diagnosis and Treatment)
►▼
Show Figures

Figure 1
Open AccessSystematic Review
Neuromorphological Alterations in the Somatosensory System of Adolescent Idiopathic Scoliosis: A Systematic Review of Magnetic Resonance Imaging Studies
by
Qikai Wu, Zhengquan Chen, Kang Chen, Xin Li, Haibin Guo, Xiangyue Zhou, Juping Liang and Qing Du
Children 2026, 13(4), 499; https://doi.org/10.3390/children13040499 - 1 Apr 2026
Abstract
Background/Objectives: This systematic review synthesizes MRI evidence to characterize neuromorphological alterations in somatosensory and vestibular brain regions among adolescents with idiopathic scoliosis (AIS). Methods: This systematic review was conducted in accordance with the PRISMA 2020 guidelines. We systematically searched five databases from inception
[...] Read more.
Background/Objectives: This systematic review synthesizes MRI evidence to characterize neuromorphological alterations in somatosensory and vestibular brain regions among adolescents with idiopathic scoliosis (AIS). Methods: This systematic review was conducted in accordance with the PRISMA 2020 guidelines. We systematically searched five databases from inception to January 2026 for case–control MRI studies comparing AIS patients (10–18 years) with healthy controls. Two reviewers independently screened studies, extracted data, and assessed the risk of bias using the Newcastle–Ottawa Scale. Results: Across 15 studies (1270 participants), AIS patients demonstrated consistent neuromorphological alterations: (1) lower cerebellar tonsil position (0.9–2.8 mm below baseline), with ectopia incidence correlating with curve severity; (2) cortical thickening in bilateral medial regions but thinning in left paracentral areas; (3) left-dominant white matter volume increases and impaired microstructure in the corpus callosum; and (4) left-sided vestibular morphological changes, including a more vertical semicircular canal. Conclusions: AIS is associated with consistent neuromorphological alterations in key somatosensory and vestibular regions, supporting a potential neuroanatomical basis for impaired sensorimotor integration in its pathogenesis. It should be noted that substantial heterogeneity among the included studies prevented a meta-analysis, and the cross-sectional design limits causal interpretations Registration: This systematic review was registered in PROSPERO (CRD42024577195).
Full article
(This article belongs to the Special Issue Emerging Technologies in Pediatric Diagnostic Radiology: Current Progress and Future Prospects)
►▼
Show Figures

Figure 1
Open AccessArticle
Association Between Early Breast Milk Feeding Proportion and Discharge Weight z-Score in Preterm Infants
by
Chang Mi Kwon, Ji Eun Jeong, Eun Ah Kim, So Hee Lee and Sang Gyu Kwak
Children 2026, 13(4), 498; https://doi.org/10.3390/children13040498 - 1 Apr 2026
Abstract
Background/Objectives: Breast milk is recommended as primary enteral nutrition for preterm infants, but the quantitative association between early breast milk feeding proportion and short-term growth remains unclear. We examined the relationship between early breast milk feeding proportion and discharge weight z-score in preterm
[...] Read more.
Background/Objectives: Breast milk is recommended as primary enteral nutrition for preterm infants, but the quantitative association between early breast milk feeding proportion and short-term growth remains unclear. We examined the relationship between early breast milk feeding proportion and discharge weight z-score in preterm infants. Methods: This single-center retrospective cohort study included preterm infants admitted to a neonatal intensive care unit between January 2024 and December 2025. Early breast milk feeding proportion was defined as the percentage of breast milk intake among total enteral nutrition during the first 14 days of life. The primary outcome was discharge weight z-score based on the Fenton growth reference. Linear regression, restricted cubic spline analysis, and exploratory mediation analysis were performed. Results: Among 1174 preterm infants, a higher early breast milk feeding proportion was independently associated with a higher discharge weight z-score in the primary multivariable model adjusted for gestational age, sex, and initial mechanical ventilation. A 10% increase in breast milk feeding proportion was associated with an increase of 0.18 in discharge weight z-score (β = 0.18; 95% CI, 0.09–0.26; p < 0.001). Restricted cubic spline analysis showed an approximately linear association. In sensitivity analyses additionally adjusted for late-onset sepsis and necrotizing enterocolitis, the association was no longer statistically significant. Exploratory mediation analysis suggested that the association may be partly explained through pathways involving late-onset sepsis, whereas the mediating role of necrotizing enterocolitis appeared to be more limited. Conclusions: In baseline-adjusted analyses, a higher early breast milk feeding proportion was associated with a higher discharge weight z-score; however, this association was attenuated and no longer statistically significant after additional adjustment for major neonatal complications. These findings should be interpreted cautiously and should not be considered evidence of a causal relationship, given the substantial potential for residual confounding by prematurity and illness severity.
Full article
(This article belongs to the Special Issue Promoting Breastfeeding and Human Milk in Infants (2nd Edition))
►▼
Show Figures

Figure 1
Journal Menu
► ▼ Journal Menu-
- Children Home
- Aims & Scope
- Editorial Board
- Reviewer Board
- Topical Advisory Panel
- Instructions for Authors
- Special Issues
- Topics
- Sections & Collections
- Article Processing Charge
- Indexing & Archiving
- Editor’s Choice Articles
- Most Cited & Viewed
- Journal Statistics
- Journal History
- Journal Awards
- Conferences
- Editorial Office
Journal Browser
► ▼ Journal BrowserHighly Accessed Articles
Latest Books
E-Mail Alert
News
Topics
Topic in
Applied Sciences, Children, Dentistry Journal, JCM
Preventive Dentistry and Public Health
Topic Editors: Denis Bourgeois, Elena BardelliniDeadline: 30 April 2026
Topic in
Behavioral Sciences, Education Sciences, J. Intell., Children
Personality, Emotions, and Emotional Intelligence Assessments: New Applications and Instruments
Topic Editors: Roberto Burro, Daniela Raccanello, Joana PipaDeadline: 30 June 2026
Topic in
Behavioral Sciences, Children, Healthcare, IJERPH, JFMK, Obesities
The Effect of Physical Activity on the Population's Health
Topic Editors: Stefania Paduano, Federica ValerianiDeadline: 31 August 2026
Topic in
Nutrients, Metabolites, Healthcare, Children, Obesities, Life
Non-Communicable Diseases Silent Killer: Metabolic and Obesity Risks of Sedentary Behaviors
Topic Editors: Kotsedi Daniel Monyeki, Machoene Derrick SekgalaDeadline: 30 September 2026
Conferences
Special Issues
Special Issue in
Children
Early Interceptive Treatment of Oral Disorders: Protective Mechanisms and Future Perspectives
Guest Editors: Alexandru Vlasa, Anamaria Bud, Massimo CorsaliniDeadline: 10 April 2026
Special Issue in
Children
Pediatric Infectious Disease Epidemiology
Guest Editors: Noriko Kitamura, Daisuke YoneokaDeadline: 10 April 2026
Special Issue in
Children
Advances and Controversies in Paediatric Gastrointestinal and Hepatobiliary Surgery: Update
Guest Editors: Francisco Oliveros, Carlos Delgado-MiguelDeadline: 10 April 2026
Special Issue in
Children
Specialized Pediatric Palliative Care: In-Hospital, Homecare and Intersectoral Demands
Guest Editors: Ulrika Kreicbergs, Eduard Verhagen, Boris ZernikowDeadline: 10 April 2026
Topical Collections
Topical Collection in
Children
Pediatric Palliative Care Update
Collection Editor: Regina Okhuysen-Cawley
Topical Collection in
Children
Emotional and Behavioral Problems in Children and Adolescents: Assessment and Intervention
Collection Editors: Pietro Muratori, Valentina Levantini
Topical Collection in
Children
Advancements in the Management of Children with Cerebral Palsy
Collection Editor: Erich Rutz




