Nano Ellagic Acid Counteracts Cisplatin-Induced Upregulation in OAT1 and OAT3: A Possible Nephroprotection Mechanism
Abstract
1. Introduction
2. Results
2.1. Impact of Ellagic Acid Nano on Renal Hypertrophy, Serum Creatinine, and Urea Measured in Nephrotoxic Rats
2.2. Impact of Ellagic Acid Nano on Kidney Histopathology Examined in Nephrotoxic Rats
2.3. Impact of Ellagic Acid Nano on Kidney Antioxidants Measured in Nephrotoxic Rats
2.4. Impact of Ellagic Acid Nano on Kidney Organic Anion Transporter 1 (OAT1) Immunoexpression Examined in Nephrotoxic Rats
2.5. Impact of Ellagic Acid Nano on Kidney Organic Anion Transporter 3 (OAT3) Immunoexpression Examined in Nephrotoxic Rats
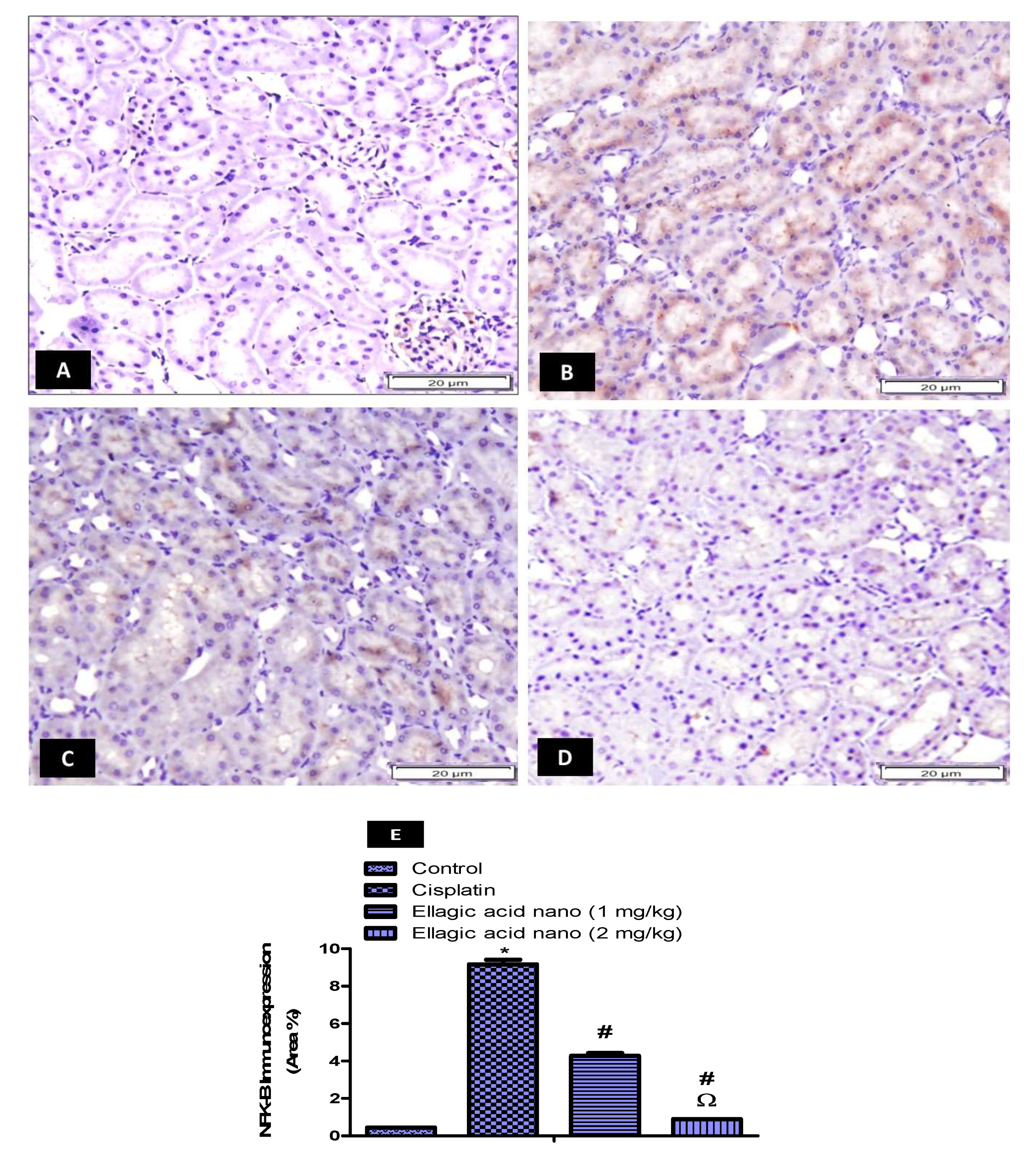
2.6. Impact of Ellagic Acid Nano on Kidney Nuclear Factor Kappa-Beta (NFK-B) Immunoexpression Examined in Nephrotoxic Rats
2.7. Impact of Ellagic Acid Nano on Kidney mRNA Levels of Organic Anion Transporter 1 (OAT1) Relative Expression to Beta-2-Microglobulin (B2m) Was Examined in Nephrotoxic Rats
2.8. Impact of Ellagic Acid Nanoformulation on Kidney mRNA Levels of Organic Anion Transporter 3 (OAT3) Relative Expression to Beta-2-Microglobulin (B2m) Examined in Nephrotoxic Rats
2.9. Impact of Ellagic Acid Nano on the Antitumor Activity of Cisplatin
3. Discussion
4. Materials and Methods
4.1. Chemicals
4.2. Animals
4.3. Samples Collection
4.4. Measurements of Serum Creatinine and Urea Levels
4.5. Examination of Kidney Histopathology
4.6. Measurements of Kidney Oxidative Stress/Antioxidants Markers
4.7. Immunohistochemistry Localization and Quantification of OAT1, OAT3, and NFK-B Gene in the Kidney
4.8. Quantitative Real-Time Polymerase Chain Reaction (qRT-PCR) for Determination of mRNA Expression of OAT1 and OAT3 Genes
4.9. Impact of Ellagic Acid Nano on the Antitumor Activity of Cisplatin
4.10. Statistical Analysis
Author Contributions
Funding
Acknowledgments
Conflicts of Interest
References
- Miller, R.P.; Tadagavadi, R.K.; Ramesh, G.; Reeves, W.B. Mechanisms of cisplatin nephrotoxicity. Toxins 2010, 2, 2490–2518. [Google Scholar] [CrossRef] [PubMed]
- Valentovic, M.A.; Ball, J.G.; Mike Brown, J.; Terneus, M.V.; McQuade, E.; Van Meter, S.; Hedrick, H.M.; Roy, A.A.; Williams, T. Resveratrol attenuates cisplatin renal cortical cytotoxicity by modifying oxidative stress. Toxicol. Vitr. 2014, 28, 248–257. [Google Scholar] [CrossRef]
- Yang, Z.; Schumaker, L.M.; Egorin, M.J.; Zuhowski, E.G.; Quo, Z.; Cullen, K.J. Cisplatin preferentially binds mitochondrial DNA and voltage-dependent anion channel protein in the mitochondrial membrane of head and neck squamous cell carcinoma: Possible role in apoptosis. Clin. Cancer Res. 2006, 12, 5817–5825. [Google Scholar] [CrossRef] [PubMed]
- Faubel, S.; Lewis, E.C.; Reznikov, L.; Ljubanovic, D.; Hoke, T.S.; Somerset, H.; Oh, D.J.; Lu, L.; Klein, C.L.; Dinarello, C.A.; et al. Cisplatin-induced acute renal failure is associated with an increase in the cytokines interleukin (IL)-1β, IL-18, IL-6, and neutrophil infiltration in the kidney. J. Pharmacol. Exp. Ther. 2007, 322, 8–15. [Google Scholar] [CrossRef] [PubMed]
- Ravi, R.; Somani, S.M.; Rybak, L.P. Mechanism of Cisplatin Ototoxicity: Antioxidant System. Pharmacol. Toxicol. 1995, 76, 386–394. [Google Scholar] [CrossRef] [PubMed]
- Minami, T.; Okazaki, J.; Kawabata, A.; Kawaki, H.; Okazaki, Y. Lipopolysaccharide-induced platinum accumulation in the cerebral cortex after cisplatin administration in mice: Involvement of free radicals. Environ. Toxicol. Pharmacol. 1996, 2, 321–326. [Google Scholar] [CrossRef]
- Siddik, Z.H. Cisplatin: Mode of cytotoxic action and molecular basis of resistance. Oncogene 2003, 22, 7265–7279. [Google Scholar] [CrossRef]
- Podratz, J.L.; Knight, A.M.; Ta, L.E.; Staff, N.P.; Gass, J.M.; Genelin, K.; Schlattau, A.; Lathroum, L.; Windebank, A.J. Cisplatin induced Mitochondrial DNA damage in dorsal root ganglion neurons. Neurobiol. Dis. 2011, 41, 661–668. [Google Scholar] [CrossRef]
- Kellokumpu-Lehtinen, P.L.; Hjälm-Eriksson, M.; Thellenberg-Karlsson, C.; Åström, L.; Franzen, L.; Marttila, T.; Seke, M.; Taalikka, M.; Ginman, C. Toxicity in patients receiving adjuvant docetaxel hormonal treatment after radical radiotherapy for intermediate or high-risk prostate cancer: A preplanned safety report of the SPCG-13 trial. Prostate Cancer Prostatic Dis. 2012, 15, 303–307. [Google Scholar] [CrossRef][Green Version]
- Marín, M.; María Giner, R.; Ríos, J.L.; Carmen Recio, M. Intestinal anti-inflammatory activity of ellagic acid in the acute and chronic dextrane sulfate sodium models of mice colitis. J. Ethnopharmacol. 2013, 150, 925–934. [Google Scholar] [CrossRef]
- Hassan, H.A.; Edrees, G.M.; El-Gamel, E.M.; El-Sayed, E.A. Amelioration of Cisplatin-induced nephrotoxicity by grape seed extract and fish oil is mediated by lowering oxidative stress and DNA damage. Cytotechnology 2014, 66, 419–429. [Google Scholar] [CrossRef] [PubMed]
- Goldstein, R.S.; Mayor, G.H. The nephrotoxicity of cisplatin. Life Sci. 1983, 32, 685–690. [Google Scholar] [CrossRef]
- Oeffinger, K.C.; Hudson, M.M. Long-term Complications Following Childhood and Adolescent Cancer: Foundations for Providing Risk-based Health Care for Survivors. CA Cancer J. Clin. 2004, 54, 208–236. [Google Scholar] [CrossRef] [PubMed]
- Wood, P.A.; Hrushesky, W.J.M. Cisplatin-associated anemia: An erythropoietin deficiency syndrome. J. Clin. Investig. 1995, 95, 1650–1659. [Google Scholar] [CrossRef] [PubMed]
- Jackson, A.M.; Rose, B.D.; Graff, L.G.; Jacobs, J.B.; Schwartz, J.H.; Strauss, G.M.; Yang, J.P.; Rudnick, M.R.; Elfenbein, I.B.; Narins, R.G. Thrombotic microangiopathy and renal failure associated with antineoplastic chemotherapy. Ann. Intern. Med. 1984, 101, 41–44. [Google Scholar] [CrossRef]
- An, G.; Wang, X.; Morris, M.E. Flavonoids are inhibitors of human Organic Anion Transporter 1 (OAT1)-mediated transport. Drug Metab. Dispos. 2014, 42, 1357–1366. [Google Scholar] [CrossRef]
- Hu, S.; Leblanc, A.F.; Gibson, A.A.; Hong, K.W.; Kim, J.Y.; Janke, L.J.; Li, L.; Vasilyeva, A.; Finkelstein, D.B.; Sprowl, J.A.; et al. Identification of OAT1/OAT3 as Contributors to Cisplatin Toxicity. Clin. Transl. Sci. 2017, 10, 412–420. [Google Scholar] [CrossRef]
- Nigam, S.K.; Bush, K.T.; Martovetsky, G.; Ahn, S.Y.; Liu, H.C.; Richard, E.; Bhatnagar, V.; Wu, W. The organic anion transporter (OAT) family: A systems biology perspective. Physiol. Rev. 2015, 95, 83–123. [Google Scholar] [CrossRef]
- Di Giusto, G.; Anzai, N.; Endou, H.; Torres, A.M. Elimination of organic anions in response to an early stage of renal ischemia-reperfusion in the rat: Role of basolateral plasma membrane transporters and cortical renal blood flow. Pharmacology 2008, 81, 127–136. [Google Scholar] [CrossRef]
- Villar, S.R.; Brandoni, A.; Anzai, N.; Endou, H.; Torres, A.M. Altered expression of rat renal cortical OAT1 and OAT3 in response to bilateral ureteral obstruction. Kidney Int. 2005, 68, 2704–2713. [Google Scholar] [CrossRef]
- Wu, W.; Bush, K.T.; Nigam, S.K. Key Role for the Organic Anion Transporters, OAT1 and OAT3, in the in vivo Handling of Uremic Toxins and Solutes. Sci. Rep. 2017, 7, 1–9. [Google Scholar] [CrossRef]
- Whitley, A.C.; Sweet, D.H.; Walle, T. The dietary polyphenol ellagic acid is a potent inhibitor of hOAT1. Drug Metab. Dispos. 2005, 33, 1097–1100. [Google Scholar] [CrossRef] [PubMed]
- Ateşşahín, A.; Çeríbaşi, A.O.; Yuce, A.; Bulmus, Ö.; Çikim, G. Role of ellagic acid against cisplatin-induced nephrotoxicity and oxidative stress in rats. Basic Clin. Pharmacol. Toxicol. 2007, 100, 121–126. [Google Scholar] [CrossRef] [PubMed]
- El-Shitany, N.A.E.-A.; Abbas, A.T.; Ali, S.S.; Eid, B.; Harakeh, S.; Neamatalla, T.; Al-Abd, A.; Mousa, S. Nanoparticles Ellagic Acid Protects Against Cisplatin-induced Hepatotoxicity in Rats without Inhibiting its Cytotoxic Activity. Int. J. Pharmacol. 2019, 15, 465–477. [Google Scholar] [CrossRef]
- Whitley, A.C.; Stoner, G.D.; Darby, M.V.; Walle, T. Intestinal epithelial cell accumulation of the cancer preventive polyphenol ellagic acid—Extensive binding to protein and DNA. Biochem. Pharmacol. 2003, 66, 907–915. [Google Scholar] [CrossRef]
- Chen, P.; Chen, F.; Zhou, B. Antioxidative, anti-inflammatory and anti-apoptotic effects of ellagic acid in liver and brain of rats treated by D-galactose. Sci. Rep. 2018, 8, 1–10. [Google Scholar] [CrossRef] [PubMed]
- Piccart, M.J.; Lamb, H.; Vermorken, J.B. Current and future potential roles of the platinum drugs in the treatment of ovarian cancer. Ann. Oncol. Off. J. Eur. Soc. Med. Oncol. 2001, 12, 1195–1203. [Google Scholar] [CrossRef]
- Manohar, S.; Leung, N. Cisplatin nephrotoxicity: A review of the literature. J. Nephrol. 2018, 31, 15–25. [Google Scholar] [CrossRef]
- Talcott, S.T.; Lee, J.H. Ellagic acid and flavonoid antioxidant content of muscadine wine and juice. J. Agric. Food Chem. 2002, 50, 3186–3192. [Google Scholar] [CrossRef]
- Zhang, H.M.; Zhao, L.; Li, H.; Xu, H.; Chen, W.W.; Tao, L. Research progress on the anticarcinogenic actions and mechanisms of ellagic acid. Cancer Biol. Med. 2014, 11, 92–100. [Google Scholar]
- Perše, M.; Večerić-Haler, Ž. Cisplatin-Induced Rodent Model of Kidney Injury: Characteristics and Challenges. Biomed. Res. Int. 2018, 2018, 1462802. [Google Scholar] [CrossRef] [PubMed]
- Nazari Soltan Ahmad, S.; Rashtchizadeh, N.; Argani, H.; Roshangar, L.; Ghorbanihaghjo, A.; Sanajou, D.; Panah, F.; Ashrafi Jigheh, Z.; Dastmalchi, S.; Kalantary-Charvadeh, A. Tangeretin protects renal tubular epithelial cells against experimental cisplatin toxicity. Iran. J. Basic Med. Sci. 2019, 22, 179–186. [Google Scholar]
- Soetikno, V.; Sari, S.D.P.; Ul Maknun, L.; Sumbung, N.K.; Rahmi, D.N.I.; Pandhita, B.A.W.; Louisa, M.; Estuningtyas, A. Pre-Treatment with Curcumin Ameliorates Cisplatin-Induced Kidney Damage by Suppressing Kidney Inflammation and Apoptosis in Rats. Drug Res. 2018, 69, 75–82. [Google Scholar] [CrossRef] [PubMed]
- Nieskens, T.T.G.; Peters, J.G.P.; Dabaghie, D.; Korte, D.; Jansen, K.; Van Asbeck, A.H.; Tavraz, N.N.; Friedrich, T.; Russel, F.G.M.; Masereeuw, R.; et al. Expression of Organic Anion Transporter 1 or 3 in Human Kidney Proximal Tubule Cells Reduces Cisplatin Sensitivity. Drug Metab. Dispos. 2018, 46, 592–599. [Google Scholar] [CrossRef] [PubMed]
- Wang, Y.; Ren, F.; Li, B.; Song, Z.; Chen, P.; Ouyang, L. Ellagic acid exerts antitumor effects via the PI3K signaling pathway in endometrial cancer. J. Cancer 2019, 10, 3303–3314. [Google Scholar] [CrossRef]
- Zhao, K.; Wen, L.B. DMF attenuates cisplatin-induced kidney injury via activating Nrf2 signaling pathway and inhibiting NF-kB signaling pathway. Eur. Rev. Med. Pharmacol. Sci. 2018, 22, 8924–8931. [Google Scholar]
- Deng, M.; Luo, Y.; Li, Y.; Yang, Q.; Deng, X.; Wu, P.; Ma, H. Klotho gene delivery ameliorates renal hypertrophy and fibrosis in streptozotocin-induced diabetic rats by suppressing the Rho-associated coiled-coil kinase signaling pathway. Mol. Med. Rep. 2015, 12, 45–54. [Google Scholar] [CrossRef][Green Version]
- Humanes, B.; Camaño, S.; Lara, J.M.; Sabbisetti, V.; González-Nicolás, M.Á.; Bonventre, J.V.; Tejedor, A.; Lázaro, A. Cisplatin-induced renal inflammation is ameliorated by cilastatin nephroprotection. Nephrol. Dial. Transplant. 2017, 32, 1645–1655. [Google Scholar] [CrossRef]
- Neamatallah, T.; El-Shitany, N.A.; Abbas, A.T.; Ali, S.S.; Eid, B.G. Honey protects against cisplatin-induced hepatic and renal toxicity through inhibition of NF-κB-mediated COX-2 expression and the oxidative stress dependent BAX/Bcl-2/caspase-3 apoptotic pathway. Food Funct. 2018, 9, 3743–3754. [Google Scholar] [CrossRef]
- Livak, K.J.; Schmittgen, T.D. Analysis of relative gene expression data using real-time quantitative PCR and the 2-ΔΔCT method. Methods 2001, 25, 402–408. [Google Scholar] [CrossRef]
- Haggag, Y.A.; Osman, M.A.; El-Gizawy, S.A.; Goda, A.E.; Shamloula, M.M.; Faheem, A.M.; McCarron, P.A. Polymeric nano-encapsulation of 5-fluorouracil enhances anti-cancer activity and ameliorates side effects in solid Ehrlich Carcinoma-bearing mice. Biomed. Pharmacother. 2018, 105, 215–224. [Google Scholar] [CrossRef] [PubMed]
- Elkhawaga, O.-A.; Gebril, S.; Salah, N. Evaluation of anti-tumor activity of metformin against Ehrlich ascites carcinoma in Swiss albino mice. Egypt. J. Basic Appl. Sci. 2019, 6, 116–123. [Google Scholar] [CrossRef]
Sample Availability: Not available. |







| Control | Cisplatin | Ellagic Acid Nano (1 mg/kg) | Ellagic Acid Nano (2 mg/kg) | |
|---|---|---|---|---|
| Renal hypertrophy | 4.15 ± 0.05 | 5.96 ± 0.26 a | 4.08 ± 0.41 b | 3.88 ± 0.55 b |
| Creatinine (mg/dL) | 0.65 ± 0.05 | 2.38 ± 0.18 a | 1.07 ± 0.17 b | 0.80 ± 0.07 b |
| Urea (mg/dL) | 26.9 ± 1.41 | 181.20 ± 8.09 a | 105.32 ± 6.01 b | 29.53 ± 3.69 b, c |
| Control | Cisplatin | Ellagic Acid Nano (1 mg/kg) | Ellagic Acid Nano (2 mg/kg) | |
|---|---|---|---|---|
| MDA (μM/mg protein) | 35.5 ± 9.7 | 113.5 ± 12.1 a | 62.8 ± 3.5 b | 25.9 ± 6.9 b, c |
| GSH (mg/mg protein) | 4.6 ± 0.17 | 3.9 ± 0.18 a | 5.1 ± 0.34 b | 5.4 ± 0.24 b |
| GPx (U/mg protein) | 665 ± 39 | 136 ± 11 a | 221 ± 7 b | 241 ± 4 b |
| SOD (U/mg protein) | 1615 ± 270 | 373 ± 72 a | 600 ± 53 b | 605 ± 41 b |
| CAT (U/mg protein) | 13.0 ± 2.1 | 6.7 ± 0.5 a | 9.6 ± 0.9 b | 10.5 ± 0.4 b |
| Primer Name | Sequence |
|---|---|
| B2m | Forward: 5′- GATGTCAGATCTGTCCTTCAGCA -3′ Reverse: 5′- GTCTCGGTCCCAGGTGACG -3′ |
| OAT1 | Forward: 5′- CGTCGGACGCTTCCAGTTGA -3′ Reverse: 5′- CTCCAGACCTCCATCTTTGCT -3′ |
| OAT3 | Forward: 5′- TGCCTACTACAGTTTGGCTATGG -3′ Reverse: 5′- AGGAGCAGGAGGAAGCTCTG -3′ |
© 2020 by the authors. Licensee MDPI, Basel, Switzerland. This article is an open access article distributed under the terms and conditions of the Creative Commons Attribution (CC BY) license (http://creativecommons.org/licenses/by/4.0/).
Share and Cite
Neamatallah, T.; El-Shitany, N.; Abbas, A.; Eid, B.G.; Harakeh, S.; Ali, S.; Mousa, S. Nano Ellagic Acid Counteracts Cisplatin-Induced Upregulation in OAT1 and OAT3: A Possible Nephroprotection Mechanism. Molecules 2020, 25, 3031. https://doi.org/10.3390/molecules25133031
Neamatallah T, El-Shitany N, Abbas A, Eid BG, Harakeh S, Ali S, Mousa S. Nano Ellagic Acid Counteracts Cisplatin-Induced Upregulation in OAT1 and OAT3: A Possible Nephroprotection Mechanism. Molecules. 2020; 25(13):3031. https://doi.org/10.3390/molecules25133031
Chicago/Turabian StyleNeamatallah, Thikryat, Nagla El-Shitany, Aymn Abbas, Basma G. Eid, Steve Harakeh, Soad Ali, and Shaker Mousa. 2020. "Nano Ellagic Acid Counteracts Cisplatin-Induced Upregulation in OAT1 and OAT3: A Possible Nephroprotection Mechanism" Molecules 25, no. 13: 3031. https://doi.org/10.3390/molecules25133031
APA StyleNeamatallah, T., El-Shitany, N., Abbas, A., Eid, B. G., Harakeh, S., Ali, S., & Mousa, S. (2020). Nano Ellagic Acid Counteracts Cisplatin-Induced Upregulation in OAT1 and OAT3: A Possible Nephroprotection Mechanism. Molecules, 25(13), 3031. https://doi.org/10.3390/molecules25133031

