The Involvement of PDE4 in the Protective Effects of Melatonin on Cigarette-Smoke-Induced Chronic Obstructive Pulmonary Disease
Abstract
:1. Introduction
2. Results
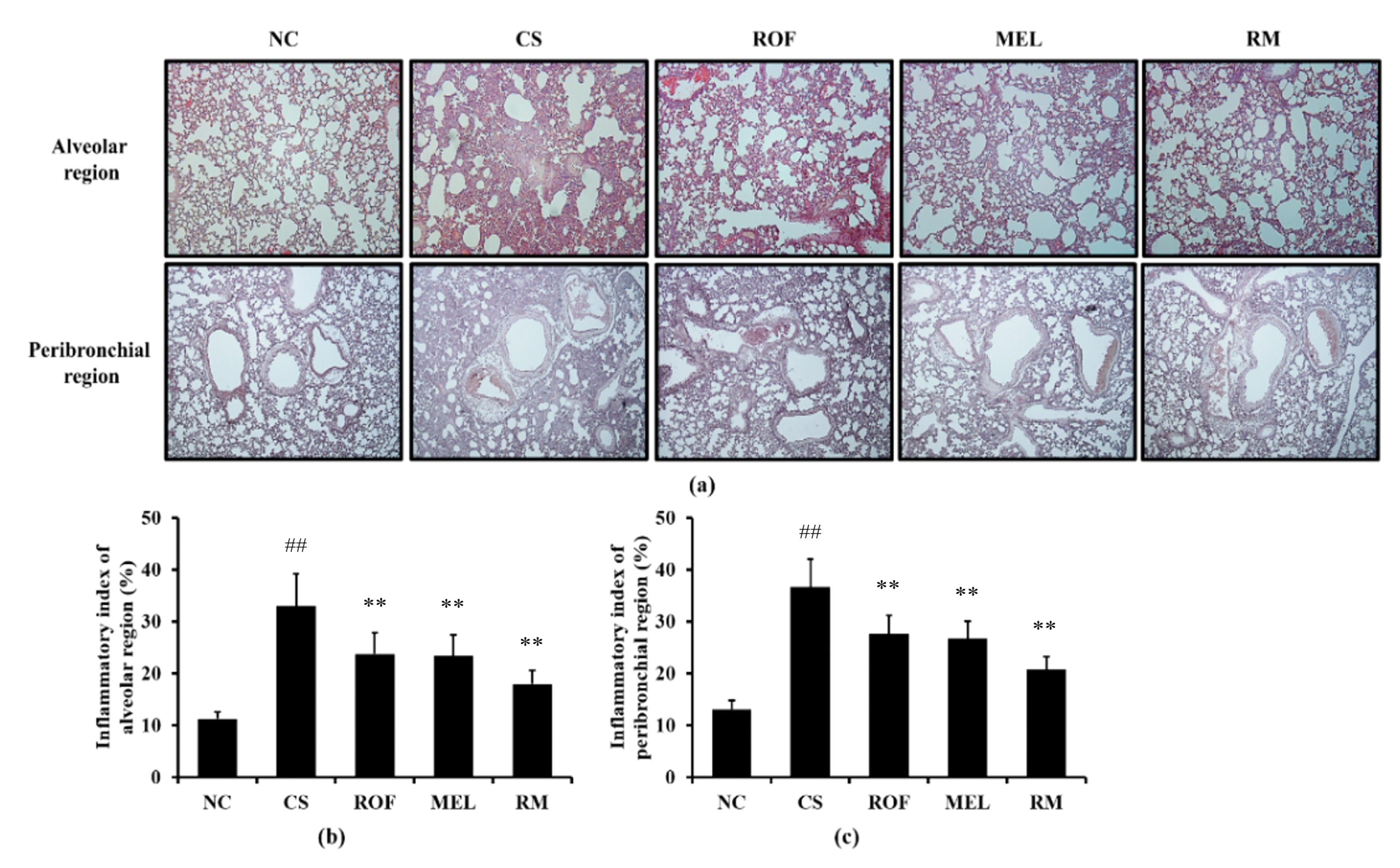
2.1. Effect of Melatonin on Inflammatory Mediators in Mice Exposed to CS
2.2. Effects of Melatonin on MMP-9, PDE4, and cAMP Levels in Mice Exposed to CS
2.3. Effects of Melatonin on Lung Function in Mice Exposed to CS
2.4. Effect of Melatonin on Inflammatory Mediators in CSC Stimulated NCI-H292 Cells
2.5. Effect of Melatonin on PDE4B Expression and cAMP Activity in CSC-Stimulated NCI-H292 Cells
3. Discussion
4. Materials and Methods
4.1. Cell Culture and Viability Assay
4.2. RNA Isolation and Real-Time PCR
4.3. CS Induced Airway Inflammation
4.4. Bronchoalveolar Lavage Fluid (BALF) Collection and Analysis
4.5. Immunoblotting
4.6. Histological Analysis
4.7. Statistical Analysis
Author Contributions
Funding
Institutional Review Board Statement
Informed Consent Statement
Data Availability Statement
Conflicts of Interest
References
- Quaderi, S.A.; Hurst, J.R. The unmet global burden of COPD. Glob. Health Epidemiol. Genom. 2018, 3, e4. [Google Scholar] [CrossRef] [PubMed] [Green Version]
 - Groneberq, D.A.; Chung, K.F. Models of chronic obstructive pulmonary disease. Respir. Res. 2004, 5, 18. [Google Scholar] [CrossRef] [PubMed] [Green Version]
 - Strzelak, A.; Ratajczak, A.; Adamiec, A.; Feleszko, W. Tobacco smoke induces and alters immune responses in the lung triggering inflammation, allergy, asthma and other lung diseases: A mechanistic review. Int. J. Environ. Res. Public Health 2018, 15, 1033. [Google Scholar] [CrossRef] [PubMed] [Green Version]
 - Pang, M.; Yuan, Y.; Wang, D.; Li, T.; Wang, D.; Shi, X.; Guo, M.; Wang, C.; Zhang, X.; Zheng, G.; et al. Recombinant CC16 protein inhibits the production of pro-inflammatory cytokines via NF-κB and p38 MAPK pathways in LPS-activated RAW264.7 macrophages. Acta Biochim. Biophys. Sin. 2017, 49, 435–443. [Google Scholar] [CrossRef] [Green Version]
 - Yan, K.; Gao, L.N.; Cui, Y.L.; Zhang, Y.; Zhou, X. The cyclic AMP signaling pathway: Exploring targets for successful drug discovery (Review). Mol. Med. Rep. 2016, 13, 3715–3723. [Google Scholar] [CrossRef] [Green Version]
 - Omori, K.; Kotera, J. Overview of PDEs and their regulation. Circ. Res. 2007, 100, 309–327. [Google Scholar] [CrossRef]
 - Jacob, C.; Szilagyi, C.; Allen, J.M.; Bertrand, C.; Lagente, V. Role of PDE4 in superoxide anion generation through p44/42MAPK regulation: A cAMP and a PKA-independent mechanism. Br. J. Pharmacol. 2004, 143, 257–268. [Google Scholar] [CrossRef] [Green Version]
 - Zuo, H.; Han, B.; Poppinga, W.J.; Ringnalda, L.; Kistemaker, L.E.M.; Halayko, A.J.; Gosens, R.; Nikolaev, V.O.; Schmidt, M. Cigarette smoke up-regulates PDE3 and PDE4 to decrease cAMP in airway cells. Br. J. Pharmacol. 2018, 175, 2988–3006. [Google Scholar] [CrossRef]
 - De Visser, Y.P.; Walther, F.J.; Laghmani, E.H.; van Wijngaarden, S.; Nieuwland, K.; Wagenaar, G.T. Phosphodiesterase-4 inhibition attenuates pulmonary inflammation in neonatal lung injury. Eur. Respir. J. 2008, 31, 633–644. [Google Scholar] [CrossRef] [Green Version]
 - Tashkin, D.P. Roflumilast: The new orally active, selective phophodiesterase-4 inhibitor, for the treatment of COPD. Expert Opin. Pharmacother. 2014, 15, 85–96. [Google Scholar] [CrossRef]
 - Park, E.; Jeon, W.Y.; Seo, C.S.; Ha, H.; Jin, S.E.; Kim, J.; Lee, M.Y. Yukgunja-tang, a traditional herbal formula, attenuates cigarette smoke-induced lung inflammation in a mouse model. Pharmacogn. Mag. 2018, 14, 275–282. [Google Scholar]
 - Shin, N.R.; Park, J.W.; Lee, I.C.; Ko, J.W.; Park, S.H.; Kim, J.S.; Kim, J.C.; Ahn, K.S.; Shin, I.S. Melatonin suppresses fibrotic responses induced by cigarette smoke via downregulation of TGF-β1. Oncotarget 2017, 8, 95692–95703. [Google Scholar] [CrossRef] [Green Version]
 - Li, Y.; Li, S.; Zhou, Y.; Meng, X.; Zhang, J.J.; Xu, D.P.; Li, H.B. Melatonin for the prevention and treatment of cancer. Oncotarget 2017, 8, 39896–39921. [Google Scholar] [CrossRef] [Green Version]
 - Slominski, A.T.; Zmijewski, M.A.; Semak, I.; Kim, T.K.; Janjetovic, Z.; Slominski, R.M.; Zmijewski, W. Melatonin, mitochondria, and the skin. Cell. Mol. Life Sci. 2017, 74, 3913–3925. [Google Scholar] [CrossRef]
 - Kim, T.K.; Kleszczynski, K.; Janjetovic, Z.; Sweatman, T.; Lin, Z.; Li, W.; Reiter, R.J.; Fischer, T.W.; Slominski, A.T. Metabolism of melatonin and biological activity of intermediates of melatoninergic pathway in human skin cells. FASEB J. 2013, 27, 2742–2755. [Google Scholar] [CrossRef]
 - Slominski, A.T.; Semak, I.; Fischer, T.M.; Kim, T.K.; Kleszczynski, K.; Hardeland, R.; Reiter, R.J. Metabolism of melatonin in the skin: Why is it important? Exp. Dermatol. 2017, 26, 563–568. [Google Scholar] [CrossRef]
 - Shin, I.S.; Park, J.W.; Shin, N.R.; Jeon, C.M.; Kwon, O.K.; Lee, M.Y.; Kim, H.S.; Kim, J.C.; Oh, S.R.; Ahn, K.S. Melatonin inhibits MUC5AC production via suppression of MAPK signaling in human airway epithelial cells. J. Pineal Res. 2014, 56, 398–407. [Google Scholar] [CrossRef]
 - Shin, I.S.; Shin, N.R.; Park, J.W.; Jeon, C.M.; Hong, J.M.; Kwon, O.K.; Kim, J.S.; Lee, I.C.; Kim, J.C.; Oh, S.R.; et al. Melatonin attenuates neutrophil inflammation and mucus secretion in cigarette smoke-induced chronic obstructive pulmonary diseases via the suppression of Erk-Sp1 signaling. J. Pineal Res. 2015, 58, 50–60. [Google Scholar] [CrossRef]
 - He, B.; Zhang, W.; Qiao, J.; Peng, Z.; Chai, X. Melatonin protects against COPD by attenuating apoptosis and endoplasmic reticulum stress via upregulating SIRT1 expression in rats. Can. J. Physiol. Pharmacol. 2019, 97, 386–391. [Google Scholar] [CrossRef]
 - Shin, N.R.; Ko, J.W.; Kim, J.C.; Park, G.; Kim, S.H.; Kim, M.S.; Kim, J.S.; Shin, I.S. Role of melatonin as an SIRT1 enhancer in chronic obstructive pulmonary disease induced by cigarette smoke. J. Cell. Mol. Med. 2020, 24, 1151–1156. [Google Scholar] [CrossRef] [Green Version]
 - Kim, G.D.; Lee, S.E.; Kim, T.H.; Jin, Y.H.; Park, Y.S.; Park, C.S. Melatonin suppresses acrolein-induced IL-8 production in human pulmonary fibroblast. J. Pineal Res. 2021, 52, 356–364. [Google Scholar] [CrossRef]
 - De Matos Cavalcnte, A.G.; de Bruin, P.F.; de Bruin, V.M.; Nunes, D.N.; Pereira, E.D.; Cavalcante, M.M.; Andrade, G.M. Melatonin reduced lung oxidative stress in patients with chronic obstructive pulmonary disease: A randomized, double-blind, placebo-controlled study. J. Pineal Res. 2012, 53, 238–244. [Google Scholar] [CrossRef]
 - Devine, J.F. Chronic obstructive pulmonary disease: An overview. Am. Health Drug Benefits 2008, 1, 34–42. [Google Scholar]
 - Nam, H.S.; Izumchenko, E.; Dasgupta, S.; Hoque, M.O. Mitochondria in chronic obstructive pulmonary disease and lung cancer: Where are we now? Biomark. Med. 2017, 11, 475–789. [Google Scholar] [CrossRef]
 - Cornwell, W.D.; Kim, V.; Song, C.; Rogers, T.J. Pathogenesis of inflammation and repair in advanced COPD. Semin. Respir. Crit. Care Med. 2010, 31, 257–266. [Google Scholar] [CrossRef] [Green Version]
 - Pan, Z.; Yu, H.; Liao, J.L. Probing cellular and molecular mechanisms of cigarette smoke-induced immune response in the progression of chronic obstructive pulmonary disease using multiscale network modeling. PLoS ONE 2016, 11, e0163192. [Google Scholar] [CrossRef]
 - O’Donnell, R.; Breen, D.; Wilson, S.; Djukanovic, R. Inflammatory cells in the airways in COPD. Thorax 2006, 61, 448–454. [Google Scholar] [CrossRef] [Green Version]
 - Wang, Y.; Xu, J.; Meng, Y.; Adcock, I.M.; Yao, X. Role of inflammatory cells in airway remodeling in COPD. Int. J. Chron. Obstruct. Pulmon. Dis. 2018, 13, 3341–3348. [Google Scholar] [CrossRef] [Green Version]
 - Li, H.; Zuo, J.; Tang, W. Phosphodiesterase-4 inhibitors for the treatment of inflammatory diseases. Front. Pharmacol. 2018, 9, 1048. [Google Scholar] [CrossRef] [Green Version]
 - Perez-Aso, M.; Montesinos, M.C.; Mediero, A.; Wilder, T.; Schafer, P.H.; Cronstein, B. Apremilast, a novel phosphodiesterase 4 (PDE4) inhibitor, regulates inflammation through multiple cAMP downstream effectors. Arthritis Res. Ther. 2015, 17, 249. [Google Scholar] [CrossRef] [Green Version]
 - Brown, W.M. Treating COPD with PDE 4 inhibitors. Int. J. Chron. Obstruct. Pulmon. Dis. 2007, 2, 517–533. [Google Scholar] [PubMed]
 - Mclvor, R.A. Future options for disease intervention: Important advances in phosphodiesterase 4 inhibitors. Eur. Respir. Rev. 2007, 16, 105–112. [Google Scholar] [CrossRef]
 - Demizu, S.; Asaka, N.; Kawahara, H.; Sasaki, E. TAS-203, an oral phosphodiesterase 4 inhibitor, exerts anti-inflammatory activities in a rat airway inflammation model. Eur. J. Pharmacol. 2019, 849, 22–29. [Google Scholar] [CrossRef] [PubMed]
 - Seimetz, M.; Parajuli, N.; Pichl, A.; Bednorz, M.; Ghofrani, H.A.; Schermuly, R.T.; Seeger, W.; Grimminger, F.; Weissmann, N. Cigarette smoke-induced emphysema and pulmonary hypertension can be prevented by phosphodiesterase 4 and 5 inhibition in mice. PLoS ONE 2015, 10, e0129327. [Google Scholar] [CrossRef] [Green Version]
 - Kubo, S.; Kobayashi, M.; Iwata, M.; Takahashi, K.; Miyata, K.; Shimizu, Y. Disease-modifying effect of ASP3258, a novel phosphodiesterase type 4 inhibitor, on subchronic cigarette smoke exposure-induced lung injury in guinea pigs. Eur. J. Pharmacol. 2011, 659, 79–84. [Google Scholar] [CrossRef]
 - Martorana, P.A.; Beume, R.; Lucattelli, M.; Wollin, L.; Lungarella, G. Roflumilast fully prevents emphysema in mice chronically exposed to cigarette smoke. Am. J. Respir. Crit. Care Med. 2005, 172, 848–853. [Google Scholar] [CrossRef]
 - Wan, W.Y.; Morris, A.; Kinnear, G.; Pearce, W.; Mok, J.; Wyss, D.; Stevenson, C.S. Pharmacological characterisation of anti-inflammatory compounds in acute and chronic mouse models of cigarette smoke-induced inflammation. Respir. Res. 2010, 11, 126. [Google Scholar] [CrossRef] [Green Version]
 - Mahalanobish, S.; Dutta, S.; Saha, S.; Sil, P.C. Melatonin induced suppression of ER stress and mitochondrial dysfunction inhibited NLRP3 inflammasome activation in COPD mice. Food Chem. Toxicol. 2020, 144, 111588. [Google Scholar] [CrossRef]
 - Peng, Z.; Zhang, W.; Qiao, J.; He, B. Melatonin attenuates airway inflammation via SIRT1 dependent inhibition of NLRP3 inflammasome and IL-1beta in rats with COPD. Int. Immunopharmacol. 2018, 62, 23–28. [Google Scholar] [CrossRef]
 - Ko, J.W.; Seo, C.S.; Shin, N.R.; Kim, J.S.; Lee, S.I.; Kim, J.C.; Kim, S.H.; Shin, I.S. Modificated Mahuang-Tang, a traditional herbal medicine suppresses inflammatory responses induced by cigarette smoke in human airway epithelial cell and mice. Phytomedicine 2019, 59, 152777. [Google Scholar] [CrossRef]
 







Publisher’s Note: MDPI stays neutral with regard to jurisdictional claims in published maps and institutional affiliations.  | 
© 2021 by the authors. Licensee MDPI, Basel, Switzerland. This article is an open access article distributed under the terms and conditions of the Creative Commons Attribution (CC BY) license (https://creativecommons.org/licenses/by/4.0/).
Share and Cite
Lim, J.-O.; Kim, W.-I.; Lee, S.-J.; Pak, S.-W.; Cho, Y.-K.; Kim, J.-C.; Kim, J.-S.; Shin, I.-S. The Involvement of PDE4 in the Protective Effects of Melatonin on Cigarette-Smoke-Induced Chronic Obstructive Pulmonary Disease. Molecules 2021, 26, 6588. https://doi.org/10.3390/molecules26216588
Lim J-O, Kim W-I, Lee S-J, Pak S-W, Cho Y-K, Kim J-C, Kim J-S, Shin I-S. The Involvement of PDE4 in the Protective Effects of Melatonin on Cigarette-Smoke-Induced Chronic Obstructive Pulmonary Disease. Molecules. 2021; 26(21):6588. https://doi.org/10.3390/molecules26216588
Chicago/Turabian StyleLim, Je-Oh, Woong-Il Kim, Se-Jin Lee, So-Won Pak, Young-Kwon Cho, Jong-Choon Kim, Joong-Sun Kim, and In-Sik Shin. 2021. "The Involvement of PDE4 in the Protective Effects of Melatonin on Cigarette-Smoke-Induced Chronic Obstructive Pulmonary Disease" Molecules 26, no. 21: 6588. https://doi.org/10.3390/molecules26216588
APA StyleLim, J.-O., Kim, W.-I., Lee, S.-J., Pak, S.-W., Cho, Y.-K., Kim, J.-C., Kim, J.-S., & Shin, I.-S. (2021). The Involvement of PDE4 in the Protective Effects of Melatonin on Cigarette-Smoke-Induced Chronic Obstructive Pulmonary Disease. Molecules, 26(21), 6588. https://doi.org/10.3390/molecules26216588
        
                                                