In-Situ Forming pH and Thermosensitive Injectable Hydrogels to Stimulate Angiogenesis: Potential Candidates for Fast Bone Regeneration Applications
Abstract
1. Introduction
2. Results
2.1. Synthesis of Hydrogels
2.1.1. Injectability
Qualitative Evaluation of Injectability
Quantitative Injectability Measurements
2.2. Solution Stability
2.3. Rheology Measurements
2.4. Scanning Electron Microscopy (SEM)
2.5. Chemical Analyses
2.5.1. Fourier-Transform Raman (FT-Raman) Spectroscopy
2.5.2. Attenuated Total Reflectance (ATR) Spectroscopy
2.6. Ex-Ovo Chick Chorioallantoic Membrane (CAM) Assay
Vascular Index Counting
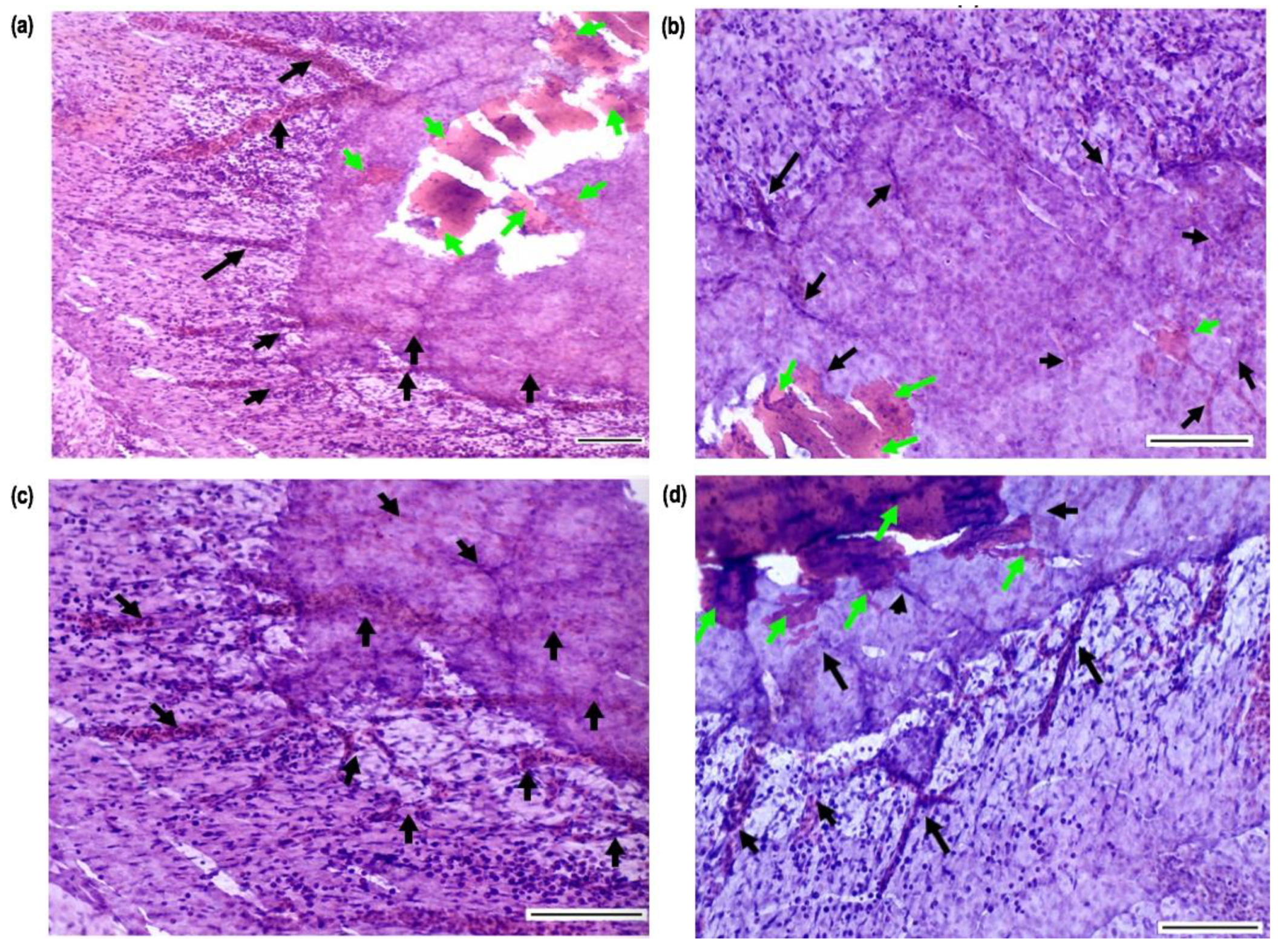
2.7. Histology Analyses of CAM Tissue-Samples
3. Discussion
4. Materials and Methods
4.1. Materials
4.2. Synthesis of Thermosensitive Injectable CS Hydrogels
4.3. Synthesis of Thermosensitive Injectable Composite Hydrogels (CS/HA/Hep)
4.4. Characterisation of Hydrogels
4.4.1. pH Measurements
4.4.2. Injectability Measurements of Hydrogels
Qualitative Injectability Measurements
Quantitative Injectability Measurements
Test Tube Invert Method
4.4.3. Rheology Measurements
4.4.4. Scanning Electron Microscopy (SEM)
4.4.5. Fourier-Transform-Raman (FT-Raman) Spectroscopy
4.4.6. Fourier Transform Infrared (FTIR) Spectroscopy
4.4.7. Ex-Ovo Chick Chorioallantoic Membrane (CAM) Assay
4.4.8. Statistical Analysis
4.4.9. Histology
5. Conclusions
Author Contributions
Funding
Acknowledgments
Conflicts of Interest
Abbreviations
| ATR | Attenuated Total Reflectance | 
| bFGF | Basic Fibroblast Growth Factor | 
| β-GP | β-Glycerol-Phosphate | 
| CAM | Chick Chorioallantoic Membrane | 
| CS | Chitosan | 
| ECM | Extra Cellular Matrix | 
| FT-Raman | Fourier-Transform Raman | 
| G | Gauge | 
| GW | Glycerol–water cosolvent | 
| HA | Hydroxyapatite | 
| Hep | Heparin | 
| H&E | Hematoxylin Eosin | 
| HPSGs | Heparan sulfate proteoglycans | 
| Mw | Molecular Weight | 
| PBS | Phosphate Buffer Saline | 
| PCL | Polycaprolactone | 
| PEGMA | Poly (ethylene glycol) methacrylate | 
| PES | Poly Ether Sulfone | 
| PMMA | Poly (methyl methacrylate) | 
| PNIPAAm | Poly(N-isopropylacrylamide) | 
| PNVCL | Poly(N-vinylcaprolactam) | 
| PVA | Polyvinyl alcohol | 
| poly(VCL-co-UA) | Poly(N-vinylcaprolactam-co-undecenoic acid) | 
| SEM | Scanning Electron Microscopy | 
| Sertaconazole-NLCs | Sertaconazole-loaded nanostructured lipid carriers | 
| SIM | Simvastatin | 
| TEOF | Triethyl orthoformate | 
| TGFβ | Transforming Growth Factor Beta | 
| TXA | Tranexamic acid | 
| UV | Ultraviolet | 
| VEGF | Vascular Endothelial Growth Factor | 
References
- Amini, A.A.; Nair, L.S. Injectable Hydrogels for Bone and Cartilage Repair. Biomed. Mater. 2012, 7, 024105. [Google Scholar] [CrossRef]
- He, X.; Dziak, R.; Mao, K.; Genco, R.; Swihart, M.; Li, C.; Yang, S. Integration of a Novel Injectable Nano Calcium Sulfate/Alginate Scaffold and BMP2 Gene-Modified Mesenchymal Stem Cells for Bone Regeneration. Tissue Eng. Part A 2013, 19, 508–518. [Google Scholar] [CrossRef]
- Fu, S.Z.; Ni, P.Y.; Wang, B.Y.; Chu, B.Y.; Zheng, L.; Luo, F.; Luo, J.C.; Qian, Z.Y. Injectable and Thermo-Sensitive PEG-PCL-PEG Copolymer/Collagen/n-HA Hydrogel Composite for Guided Bone Regeneration. Biomaterials 2012, 33, 4801–4809. [Google Scholar] [CrossRef]
- Lee, K.Y.; Mooney, D.J. Hydrogels for Tissue Engineering Applications. Am. Chem. Soc. 2001, 101, 203–225. [Google Scholar] [CrossRef]
- Matanovic, M.R.; Grabnar, I.; Gosenca, M.; Grabnar, P.A. Prolonged Subcutaneous Delivery of Low Molecular Weight Heparin Based on Thermoresponsive Hydrogels with Chitosan Nanocomplexes: Design, in Vitro Evaluation, and Cytotoxicity Studies. Int. J. Pharm. 2015, 488, 127–135. [Google Scholar] [CrossRef]
- Klouda, L. Thermoresponsive Hydrogels in Biomedical Applications A Seven-Year Update. Eur. J. Pharm. Biopharm. 2015, 97, 338–349. [Google Scholar] [CrossRef]
- Ullah, F.; Othman, M.B.H.; Javed, F.; Ahmad, Z.; Akil, H.M. Classification, Processing and Application of Hydrogels: A Review. Mater. Sci. Eng. C 2015, 57, 414–433. [Google Scholar] [CrossRef]
- Rizwan, M.; Yahya, R.; Hassan, A.; Yar, M.; Azzahari, A.D.; Selvanathan, V.; Sonsudin, F.; Abouloula, C.N. PH Sensitive Hydrogels in Drug Delivery: Brief History, Properties, Swelling, and Release Mechanism, Material Selection and Applications. Polymers 2017, 9, 137. [Google Scholar] [CrossRef]
- Fatin-Rouge, N.; Milon, A.; Buffle, J.; Goulet, R.R.; Tessier, A. Diffusion and Partitioning of Solutes in Agarose Hydrogels: The Relative Influence of Electrostatic and Specific Interactions. J. Phys. Chem. B 2003, 107, 12126–12137. [Google Scholar] [CrossRef]
- Davison, W.; Zhang, H. In Situ Speciation Measurements of Trace Components in Natural Waters Using Thin-Film Gels. Nature 1994, 367, 546–548. [Google Scholar] [CrossRef]
- Nguyen, M.K.; Lee, D.S. Injectable Biodegradable Hydrogels. Macromol. Biosci. 2010, 10, 563–579. [Google Scholar] [CrossRef]
- Dreifke, M.B.; Ebraheim, N.A.; Jayasuriya, A.C. Investigation of Potential Injectable Polymeric Biomaterials for Bone Regeneration. J. Biomed. Mater. Res. Part A 2013, 101, 2436–2447. [Google Scholar] [CrossRef]
- Li, Z.; Fan, Z.; Xu, Y.; Niu, H.; Xie, X.; Liu, Z.; Guan, J. Thermosensitive and Highly Flexible Hydrogels Capable of Stimulating Cardiac Differentiation of Cardiosphere-Derived Cells under Static and Dynamic Mechanical Training Conditions. ACS Appl. Mater. Interfaces 2016, 8, 15948–15957. [Google Scholar] [CrossRef]
- Tan, H.; Ramirez, C.M.; Miljkovic, N.; Li, H.; Rubin, J.P.; Marra, K.G. Thermosensitive Injectable Hyaluronic Acid Hydrogel for Adipose Tissue Engineering. Biomaterials 2009, 30, 6844–6853. [Google Scholar] [CrossRef]
- Shriky, B.; Kelly, A.; Isreb, M.; Babenko, M.; Rogers, S.; Shebanova, O.; Snow, T.; Gough, T. Pluronic F127 Thermosensitive Injectable Smart Hydrogels. J. Colloid Interface Sci. 2019. [Google Scholar] [CrossRef]
- Frydrych, M.; Román, S.; Green, N.H.; MacNeil, S.; Chen, B. Thermoresponsive, Stretchable, Biodegradable and Biocompatible Poly(Glycerol Sebacate)-Based Polyurethane Hydrogels. Polym. Chem. 2015, 6, 7974–7987. [Google Scholar] [CrossRef]
- Macchione, M.A.; Guerrero-Beltrán, C.; Rosso, A.P.; Euti, E.M.; Martinelli, M.; Strumia, M.C.; Muñoz-Fernández, M.Á. Poly(N-Vinylcaprolactam) Nanogels with Antiviral Behavior against HIV-1 Infection. Sci. Rep. 2019, 9, 1–10. [Google Scholar] [CrossRef]
- González-Ayõn, M.A.; Sañudo-Barajas, J.A.; Picos-Corrales, L.A.; Licea-Claverie, A. PNVCL-PEGMA Nanohydrogels with Tailored Transition Temperature for Controlled Delivery of 5-Fluorouracil. J. Polym. Sci. Part A Polym. Chem. 2015, 53, 2662–2672. [Google Scholar] [CrossRef]
- Lou, S.; Gao, S.; Wang, W.; Zhang, M.; Zhang, Q.; Wang, C.; Li, C.; Kong, D. Temperature/PH Dual Responsive Microgels of Crosslinked Poly(N-Vinylcaprolactam-Co-Undecenoic Acid) as Biocompatible Materials for Controlled Release of Doxorubicin. J. Appl. Polym. Sci. 2014, 131, 1–7. [Google Scholar] [CrossRef]
- Wang, Y.; Nie, J.; Chang, B.; Sun, Y.; Yang, W. Poly(Vinylcaprolactam)-Based Biodegradable Multiresponsive Microgels for Drug Delivery. Biomacromolecules 2013, 14, 3034–3046. [Google Scholar] [CrossRef]
- Qiu, Y.; Park, K. Environment-Sensitive Hydrogels for Drug Delivery. Adv. Drug Deliv. Rev. 2001, 53, 321–339. [Google Scholar] [CrossRef]
- Haraguchi, K.; Takehisa, T.; Ebato, M. Control of Cell Cultivation and Cell Sheet Detachment on the Surface of Polymer/Clay Nanocomposite Hydrogels. Biomacromolecules 2006, 7, 3267–3275. [Google Scholar] [CrossRef] [PubMed]
- Wei, P.; Chen, T.; Chen, G.; Liu, H.; Mugaanire, I.T.; Hou, K.; Zhu, M. Conductive Self-Healing Nanocomposite Hydrogel Skin Sensors with Antifreezing and Thermoresponsive Properties. ACS Appl. Mater. Interfaces 2020, 12, 3068–3079. [Google Scholar] [CrossRef]
- Gholizadeh, H.; Messerotti, E.; Pozzoli, M.; Cheng, S.; Traini, D.; Young, P.; Kourmatzis, A.; Caramella, C.; Ong, H.X. Application of a Thermosensitive In Situ Gel of Chitosan-Based Nasal Spray Loaded with Tranexamic Acid for Localised Treatment of Nasal Wounds. AAPS PharmSciTech 2019, 20, 1–12. [Google Scholar] [CrossRef]
- Cao, M.; Wang, Y.; Hu, X.; Gong, H.; Li, R.; Cox, H.; Zhang, J.; Waigh, T.A.; Xu, H.; Lu, J.R. Reversible Thermoresponsive Peptide-PNIPAM Hydrogels for Controlled Drug Delivery. Biomacromolecules 2019, 20, 3601–3610. [Google Scholar] [CrossRef]
- Kweon, O.Y.; Samanta, S.K.; Won, Y.; Yoo, J.H.; Oh, J.H. Stretchable and Self-Healable Conductive Hydrogels for Wearable Multimodal Touch Sensors with Thermoresponsive Behavior. ACS Appl. Mater. Interfaces 2019, 11, 26134–26143. [Google Scholar] [CrossRef]
- Tavakoli, N.; Taymouri, S.; Saeidi, A.; Akbari, V. Thermosensitive Hydrogel Containing Sertaconazole Loaded Nanostructured Lipid Carriers for Potential Treatment of Fungal Keratitis. Pharm. Dev. Technol. 2019, 24, 891–901. [Google Scholar] [CrossRef]
- Liu, X.; Gan, H.; Hu, C.; Sun, W.; Zhu, X.; Meng, Z.; Gu, R.; Wu, Z.; Dou, G. Silver Sulfadiazine Nanosuspension-Loaded Thermosensitive Hydrogel as a Topical Antibacterial Agent. Int. J. Nanomed. 2019, 14, 289–300. [Google Scholar] [CrossRef]
- Wang, C.Z.; Wang, Y.H.; Lin, C.W.; Lee, T.C.; Fu, Y.C.; Ho, M.L.; Wang, C.K. Combination of a Bioceramic Scaffold and Simvastatin Nanoparticles as a Synthetic Alternative to Autologous Bone Grafting. Int. J. Mol. Sci. 2018, 19, 99. [Google Scholar] [CrossRef]
- Shahzad, S.; Yar, M.; Siddiqi, S.A.; Mahmood, N.; Rauf, A.; Anwar, M.S.; Afzaal, S. Chitosan-Based Electrospun Nanofibrous Mats, Hydrogels and Cast Films: Novel Anti-Bacterial Wound Dressing Matrices. J. Mater. Sci. Mater. Med. 2015, 26, 136. [Google Scholar] [CrossRef]
- Palma, P.J.; Ramos, J.C.; Martins, J.B.; Diogenes, A.; Figueiredo, M.H.; Ferreira, P.; Viegas, C.; Santos, J.M. Histologic Evaluation of Regenerative Endodontic Procedures with the Use of Chitosan Scaffolds in Immature Dog Teeth with Apical Periodontitis. J. Regen. Endod. 2017, 43, 1279–1287. [Google Scholar] [CrossRef] [PubMed]
- Boynuegri, D.; Ozcan, G.; Senel, S.; Uc, D.; Uraz, A.; Ersin, O.; Cakılcı, B.; Karaduman, B. Clinical and Radiographic Evaluations of Chitosan Gel in Periodontal Intraosseous Defects: A Pilot Study. Period. Inc. J. Biomed Mater. Res. Part B 2009, 90B, 461–466. [Google Scholar] [CrossRef] [PubMed]
- Chenite, A.; Chaput, C.; Wang, D.; Combes, C.; Buschmann, M.; Hoemann, C.; Leroux, J.; Atkinson, B.; Binette, F.; Selmani, A. Novel Injectable Neutral Solutions of Chitosan Form Biodegradable Gels in Situ. Biomaterials 2000, 21, 2155–2161. [Google Scholar] [CrossRef]
- Shive, M.S.; Hoemann, C.D.; Restrepo, A.; Hurtig, M.B.; Duval, N.; Ranger, P.; Stanish, W.; Buschmann, M.D. BST-CarGel: In Situ ChondroInduction for Cartilage Repair. Oper. Tech. Orthop. 2006, 16, 271–278. [Google Scholar] [CrossRef]
- Shive, M.S.; Stanish, W.D.; McCormack, R.; Forriol, F.; Mohtadi, N.; Pelet, S.; Desnoyers, J.; Méthot, S.; Vehik, K.; Restrepo, A. BST-CarGel® Treatment Maintains Cartilage Repair Superiority over Microfracture at 5 Years in a Multicenter Randomized Controlled Trial. Cartilage 2015, 6, 62–72. [Google Scholar] [CrossRef]
- Kim, S.; Nishimoto, S.K.; Bumgardner, J.D.; Haggard, W.O.; Gaber, M.W.; Yang, Y. A Chitosan/β-Glycerophosphate Thermo-Sensitive Gel for the Delivery of Ellagic Acid for the Treatment of Brain Cancer. Biomaterials 2010, 31, 4157–4166. [Google Scholar] [CrossRef]
- Lisková, J.; Bačaková, L.; Skwarczyńska, A.; Musial, O.; Bliznuk, V.; De Schamphelaere, K.; Modrzejewska, Z.; Douglas, T. Development of Thermosensitive Hydrogels of Chitosan, Sodium and Magnesium Glycerophosphate for Bone Regeneration Applications. J. Funct. Biomater. 2015, 6, 192–203. [Google Scholar] [CrossRef]
- Kami, M.; Kuberski, S.; Komorowski, P.; Modrzejewska, Z. Thermosensitive Chitosan Gels Containing Calcium Glycerophosphate for Bone Cell Culture. J. Bioact. Compat. Polym. 2017, 32, 209–222. [Google Scholar] [CrossRef]
- Li, F.; Liu, Y.; Ding, Y.; Xie, Q. A New Injectable in Situ Forming Hydroxyapatite and Thermosensitive Chitosan Gel Promoted by Na2CO3. Soft Matter 2014, 10, 2292–2303. [Google Scholar] [CrossRef]
- Rogina, A.; Ressler, A.; Matić, I.; Gallego Ferrer, G.; Marijanović, I.; Ivanković, M.; Ivanković, H. Cellular Hydrogels Based on PH-Responsive Chitosan-Hydroxyapatite System. Carbohydr. Polym. 2017, 166, 173–182. [Google Scholar] [CrossRef]
- Liu, L.; Tang, X.; Wang, Y.; Guo, S. Smart Gelation of Chitosan Solution in the Presence of NaHCO3 for Injectable Drug Delivery System. Int. J. Pharm. 2011, 414, 6–15. [Google Scholar] [CrossRef]
- Deng, A.; Kang, X.; Zhang, J.; Yang, Y.; Yang, S. Enhanced Gelation of Chitosan/β-Sodium Glycerophosphate Thermosensitive Hydrogel with Sodium Bicarbonate and Biocompatibility Evaluated. Mater. Sci. Eng. C 2017, 78, 1147–1154. [Google Scholar] [CrossRef]
- Liu, Q.; Huang, S.; Matinlinna, J.P.; Chen, Z.; Pan, H. Insight into Biological Apatite: Physiochemical Properties and Preparation Approaches. Biomed Res. Int. 2013, 2013. [Google Scholar] [CrossRef]
- Arun Kumar, R.; Sivashanmugam, A.; Deepthi, S.; Iseki, S.; Chennazhi, K.P.; Nair, S.V.; Jayakumar, R. Injectable Chitin-Poly(ε-Caprolactone)/Nanohydroxyapatite Composite Microgels Prepared by Simple Regeneration Technique for Bone Tissue Engineering. ACS Appl. Mater. Interfaces 2015, 7, 9399–9409. [Google Scholar] [CrossRef]
- Zakaria, S.M.; Sharif Zein, S.H.; Othman, M.R.; Yang, F.; Jansen, J.A. Nanophase Hydroxyapatite as a Biomaterial in Advanced Hard Tissue Engineering: A Review. Tissue Eng. Part B Rev. 2013, 19, 431–441. [Google Scholar] [CrossRef]
- Uswatta, S.P.; Okeke, I.U.; Jayasuriya, A.C. Injectable Porous Nano-Hydroxyapatite/Chitosan/Tripolyphosphate Scaffolds with Improved Compressive Strength for Bone Regeneration. Mater. Sci. Eng. C 2016, 69, 505–512. [Google Scholar] [CrossRef]
- Nikpour, M.R.; Tavakol, S.; Rabiee, S.M.; Jahanshahi, M.; Amani, A. Synthesises, Characterization and Comparative Study of Bone Regeneration on Nano Hydroxyapatite and Hydroxyapatite/Chitosan Nanocomposite in Rat. In Proceedings of the 2011 18th Iranian Conference of Biomedical Engineering (ICBME), Tehran, Iran, 14–16 December 2011; pp. 146–151. [Google Scholar] [CrossRef]
- Yar, M.; Farooq, A.; Shahzadi, L.; Khan, A.S.; Mahmood, N.; Rauf, A.; Chaudhry, A.A.; Rehman, I.U. Novel Meloxicam Releasing Electrospun Polymer/Ceramic Reinforced Biodegradable Membranes for Periodontal Regeneration Applications. Mater. Sci. Eng. C 2016, 64, 148–156. [Google Scholar] [CrossRef]
- Iqbal, H.; Ali, M.; Zeeshan, R.; Mutahir, Z.; Iqbal, F.; Nawaz, M.A.H.; Shahzadi, L.; Chaudhry, A.A.; Yar, M.; Luan, S.; et al. Chitosan/Hydroxyapatite (HA)/Hydroxypropylmethyl Cellulose (HPMC) Spongy Scaffolds-Synthesis and Evaluation as Potential Alveolar Bone Substitutes. Colloids Surfaces B Biointerfaces 2017, 160, 553–563. [Google Scholar] [CrossRef]
- Xujie, L.; Chen, Y.; Huang, Q.; Wei, H.; Qingling, F.; Bo, Y. A Novel Thermo-Sensitive Hydrogel Based on Thiolated Chitosan/Hydroxyapatite/Beta-Glycerophosphate. Carbohydr. Polym. 2014, 110, 62–69. [Google Scholar]
- Sa, Y.; Wang, M.; Deng, H.; Wang, Y.; Jiang, T. Beneficial Effects of Biomimetic Nano-Sized Hydroxyapatite/Antibiotic Gentamicin Enriched Chitosan-Glycerophosphate Hydrogel on the Performance of Injectable Polymethylmethacrylate. RSC Adv. 2015, 5, 91082–91092. [Google Scholar] [CrossRef]
- Amini, A.R.; Laurencin, C.T.; Nukavarapu, S.P. Bone Tissue Engineering: Recent Advances and Challenges. NIH Public Access 2012, 40, 363–408. [Google Scholar] [CrossRef]
- Frohlich, M.; Grayson, W.L.; Wan, L.Q.; Marolt, D.; Drobnic, M.; Vunjak-Novakovic, G. Tissue Engineered Bone Grafts: Biological Requirements, Tissue Culture and Clinical Relevance. Current Stem Cell Res. Ther. 2009, 3, 254–264. [Google Scholar] [CrossRef]
- Grosso, A.; Burger, M.G.; Lunger, A.; Schaefer, D.J. It Takes Two to Tango: Coupling of Angiogenesis and Osteogenesis for Bone Regeneration. Front. Bioeng. Biotechnol. 2017, 5, 1–7. [Google Scholar] [CrossRef]
- Fujita, M.; Ishihara, M.; Simizu, M.; Obara, K.; Ishizuka, T.; Saito, Y.; Yura, H.; Morimoto, Y.; Takase, B.; Matsui, T.; et al. Vascularization in Vivo Caused by the Controlled Release of Fibroblast Growth Factor-2 from an Injectable Chitosan/Non-Anticoagulant Heparin Hydrogel. Biomaterials 2004, 25, 699–706. [Google Scholar] [CrossRef]
- Oliviero, O.; Ventre, M.; Netti, P.A. Functional Porous Hydrogels to Study Angiogenesis under the Effect of Controlled Release of Vascular Endothelial Growth Factor. Acta Biomater. 2012, 8, 3294–3301. [Google Scholar] [CrossRef]
- Yancopoulos, G.D.; Davis, S.; Gale, N.W.; Rudge, J.S.; Wiegand, S.J.; Holash, J. Vascular-Specific Growth Factors and Blood Vessel Formation. Nature 2000, 407, 242–248. [Google Scholar] [CrossRef]
- Raftery, R.M.; Castano, I.M.; Chen, G.; Cavanagh, B.; Quinn, B.; Curtin, C.M.; Cryan, S.A.; O’Brien, F.J. Translating the Role of Osteogenic-Angiogenic Coupling in Bone Formation: Highly Ef Fi Cient Chitosan-PDNA Activated Scaffolds Can Accelerate Bone Regeneration in Critical-Sized Bone Defects. Biomaterials 2017, 149, 116–127. [Google Scholar] [CrossRef]
- Carragee, E.J.; Hurwitz, E.L.; Weiner, B.K. A Critical Review of Recombinant Human Bone Morphogenetic Protein-2 Trials in Spinal Surgery: Emerging Safety Concerns and Lessons Learned. Spine J. 2011, 11, 471–491. [Google Scholar] [CrossRef]
- Tae, G.; Kim, Y.J.; Choi, W.I.; Kim, M.; Stayton, P.S.; Hoffman, A.S. Formation of a Novel Heparin-Based Hydrogel in the Presence of Heparin-Binding Biomolecules. Biomacromolecules 2007, 8, 1979–1986. [Google Scholar] [CrossRef]
- Chiodelli, P.; Bugatti, A.; Urbinati, C.; Rusnati, M. Heparin/Heparan Sulfate Proteoglycans Glycomic Interactome in Angiogenesis: Biological Implications and Therapeutical Use. Molecules 2015, 20, 6342–6388. [Google Scholar] [CrossRef]
- Shahzadi, L.; Yar, M.; Jamal, A.; Siddiqi, S.A.; Chaudhry, A.A.; Zahid, S.; Tariq, M.; Rehman, I.U.; MacNeil, S. Triethyl Orthoformate Covalently Cross-Linked Chitosan-(Poly Vinyl) Alcohol Based Biodegradable Scaffolds with Heparin-Binding Ability for Promoting Neovascularisation. J. Biomater. Appl. 2016, 31, 582–593. [Google Scholar] [CrossRef]
- Yar, M.; Gigliobianco, G.; Shahzadi, L.; Dew, L.; Siddiqi, S.A.; Khan, A.F.; Chaudhry, A.A.; Rehman, I.U.; MacNeil, S. Production of Chitosan PVA PCL Hydrogels to Bind Heparin and Induce Angiogenesis. Int. J. Polym. Mater. Polym. Biomater. 2016, 65, 466–476. [Google Scholar] [CrossRef]
- Khan, A.F.; Awais, M.; Tabassum, S.; Chaudhry, A.A.; Rehman, I.U. Raman Spectroscopy of Natural Bone and Synthetic Apatites. Appl. Spectrosc. Rev. 2013, 48, 329–355. [Google Scholar] [CrossRef]
- Karthik, R.; Manigandan, V.; Saravanan, R.; Rajesh, R.P.; Chandrika, B. Structural Characterization and in Vitro Biomedical Activities of Sulfated Chitosan from Sepia Pharaonis. Int. J. Biol. Macromol. 2016, 84, 319–328. [Google Scholar] [CrossRef]
- Zaja̧c, A.; Hanuza, J.; Wandas, M.; Dymińska, L. Determination of N-Acetylation Degree in Chitosan Using Raman Spectroscopy. Spectrochim. Acta Part A Mol. Biomol. Spectrosc. 2015, 134, 114–120. [Google Scholar] [CrossRef]
- Yar, M.; Shahzad, S.; Shahzadi, L.; Shahzad, S.A.; Mahmood, N.; Chaudhry, A.A.; Rehman, I.U.; MacNeil, S. Heparin Binding Chitosan Derivatives for Production of Pro-Angiogenic Hydrogels for Promoting Tissue Healing. Mater. Sci. Eng. C 2017, 74, 347–356. [Google Scholar] [CrossRef]
- Antonakos, A.; Liarokapis, E.; Leventouri, T. Micro-Raman and FTIR Studies of Synthetic and Natural Apatites. Biomaterials 2007, 28, 3043–3054. [Google Scholar] [CrossRef]
- Mikhailov, G.P.; Tuchkov, S.V.; Lazarev, V.V.; Kulish, E.I. Complexation of Chitosan with Acetic Acid According to Fourier Transform Raman Spectroscopy Data. Russ. J. Phys. Chem. A 2014, 88, 936–941. [Google Scholar] [CrossRef]
- Aleem, A.R.; Shahzadi, L.; Alvi, F.; Khan, A.F.; Chaudhry, A.A.; ur Rehman, I.; Yar, M. Thyroxin Releasing Chitosan/Collagen Based Smart Hydrogels to Stimulate Neovascularization. Mater. Des. 2017, 133, 416–425. [Google Scholar] [CrossRef]
- Barnhill, R.L.; Ryan, T.J. Biochemical Modulation of Angiogenesis in the Chorioallantoic Membrane of the Chick Embryo. J. Investig. Dermatol. 1983, 81, 485–488. [Google Scholar] [CrossRef]
- Burguera, E.F.; Xu, H.H.; Sun, L. Injectable Calcium Phosphate Cement: Effects of Powder-to-Liquid Ratio and Needle Size Elena. J. Biomed. Mater. Res. Part B Appl. Biomater. 2007, 82, 493–502. [Google Scholar] [CrossRef] [PubMed]
- Burckbuchler, V.; Mekhloufi, G.; Giteau, A.P.; Grossiord, J.L.; Huille, S.; Agnely, F. Rheological and Syringeability Properties of Highly Concentrated Human Polyclonal Immunoglobulin Solutions. Eur. J. Pharm. Biopharm. 2010, 76, 351–356. [Google Scholar] [CrossRef] [PubMed]
- Hamman, J.H. Chitosan Based Polyelectrolyte Complexes as Potential Carrier Materials in Drug Delivery Systems. Mar. Drugs 2010, 8, 1305–1322. [Google Scholar] [CrossRef]
- He, Q.; Ao, Q.; Gong, K.; Zhang, L.; Hu, M.; Gong, Y.; Zhang, X. Preparation and Characterization of Chitosan-Heparin Composite Matrices for Blood Contacting Tissue Engineering. Biomed. Mater. 2010, 5, 055001. [Google Scholar] [CrossRef]
- Hulbert, S.F.; Young, F.A.; Mathews, R.S.; Klawitter, J.J.; Talbert, C.D.; Stelling, F.H. Potential of Ceramic Materials as Permanently Implantable Skeletal Prostheses. J. Biomed. Mater. Res. 1970, 4, 433–456. [Google Scholar] [CrossRef]
- Oates, M.; Chen, R.; Duncan, M.; Hunt, J.A. The Angiogenic Potential of Three-Dimensional Open Porous Synthetic Matrix Materials. Biomaterials 2007, 28, 3679–3686. [Google Scholar] [CrossRef]
- Liu, T.; Liu, Y.; Chen, Y.; Liu, S.; Maitz, M.F.; Wang, X.; Zhang, K.; Wang, J.; Wang, Y.; Chen, J.; et al. Immobilization of Heparin/Poly-L-Lysine Nanoparticles on Dopamine-Coated Surface to Create a Heparin Density Gradient for Selective Direction of Platelet and Vascular Cells Behavior. Acta Biomater. 2014, 10, 1940–1954. [Google Scholar] [CrossRef]
- Sun, X.; Peng, W.; Yang, Z.; Ren, M.; Zhang, S.; Zhang, W.; Zhang, L.; Xiao, K.; Wang, Z.; Zhang, B.; et al. Heparin-Chitosan-Coated Acellular Bone Matrix Enhances Tissue Engineering Scaffolds. Tissue Eng. Part A 2011, 17, 2369–2378. [Google Scholar] [CrossRef]
- Cilurzo, F.; Selmin, F.; Minghetti, P.; Adami, M.; Bertoni, E.; Lauria, S.; Montanari, L. Injectability Evaluation: An Open Issue. AAPS PharmSciTech 2011, 12, 604–609. [Google Scholar] [CrossRef]
- Shavandi, A.; Bekhit, A.E.D.A.; Sun, Z.; Ali, M.A. Injectable Gel from Squid Pen Chitosan for Bone Tissue Engineering Applications. J. Sol-Gel Sci. Technol. 2016, 77, 675–687. [Google Scholar] [CrossRef]
- Yasmeen, S.; Lo, M.K.; Bajracharya, S.; Roldo, M. Injectable Scaffolds for Bone Regeneration. Langmuir 2014, 30, 12977–12985. [Google Scholar] [CrossRef]
- Laity, P.R.; Holland, C. The Rheology behind Stress-Induced Solidification in Native Silk Feedstocks. Int. J. Mol. Sci. 2016, 17, 1812. [Google Scholar] [CrossRef]
- Mangir, N.; Dikici, S.; Claeyssens, F.; Macneil, S. Using Ex Ovo Chick Chorioallantoic Membrane (CAM) Assay to Evaluate the Biocompatibility and Angiogenic Response to Biomaterials. ACS Biomater. Sci. Eng. 2019, 5, 3190–3200. [Google Scholar] [CrossRef]















| Sample Names and Codes | Chemical Compositions (w/w, %) | Incipient Gelation Time (tig), min | pH of Final Sol | pH after Gelation | ||
|---|---|---|---|---|---|---|
| CS | HA | Hep | ||||
| CI: CS Gel from pure CS | 100.00 | 0.00 | 0.00 | 8 | 6.20 | 6.50 | 
| CII: CS.01HA (CS+HA; HA/CS=1/10) | 90.91 | 9.09 | 0.00 | 7 | 6.24 | 6.51 | 
| SI: CS-0.1HA-0.005Hep (CS+HA+Hep; 0.12 mg/mL Hep) | 90.50 | 9.05 | 0.45 | 5 | 6.21 | 6.53 | 
| SII: CS-0.1HA-0.015Hep (CS+HA+Hep; 0.36 mg/mL Hep) | 89.69 | 8.97 | 1.35 | 10 | 6.22 | 6.72 | 
| SIII: CS-0.1HA-0.025Hep (CS+HA+Hep; 0.60 mg/mL Hep) | 88.89 | 8.89 | 2.22 | 7 | 6.24 | 7.01 | 
| Sample Names and Codes: | Needle Sizes (Gauge) | ||||||
|---|---|---|---|---|---|---|---|
| 18 | 19 | 20 | 21 | 22 | 23 | 25 | |
| CI: CS | ****** | ****** | ****** | ***** | **** | *** | ** | 
| CII: CS-0.1HA | ****** | ****** | ****** | ***** | **** | *** | ** | 
| SI: CS-0.1HA-0.005Hep | ****** | ****** | ****** | ***** | **** | *** | ** | 
| SII: CS-0.1HA-0.015 Hep | ****** | ****** | ****** | ***** | **** | *** | ** | 
| SII: CS-0.1HA-0.025 Hep | ****** | ****** | ****** | ***** | *** | *** | ** | 
| Syringe Type | Sample | IGF (N) | DGF (N) | Fmax (N) | 
|---|---|---|---|---|
| Needleless | CI | 4.478 ± 0.273 | 1.217 ± 0.050 | 4.478 ± 0.273 | 
| CII | 3.219 ± 0.331 | 0.679 ± 0.033 | 3.219 ± 0.332 | |
| SI | 3.138 ± 0.054 | 1.36 ± 0.050 | 3.138 ± 0.054 | |
| 19G needle | CI | 2.697 ± 2.296 | 16.697 ± 0.324 | 17.191 ± 2.296 | 
| CII | 4.520 ± 1.125 | 10.682 ± 0.265 | 10.996 ± 1.125 | |
| SI | 3.127 ± 1.263 | 11.460 ± 0.172 | 11.892 ± 1.263 | 
© 2020 by the authors. Licensee MDPI, Basel, Switzerland. This article is an open access article distributed under the terms and conditions of the Creative Commons Attribution (CC BY) license (http://creativecommons.org/licenses/by/4.0/).
Share and Cite
Kocak, F.Z.; Talari, A.C.S.; Yar, M.; Rehman, I.U. In-Situ Forming pH and Thermosensitive Injectable Hydrogels to Stimulate Angiogenesis: Potential Candidates for Fast Bone Regeneration Applications. Int. J. Mol. Sci. 2020, 21, 1633. https://doi.org/10.3390/ijms21051633
Kocak FZ, Talari ACS, Yar M, Rehman IU. In-Situ Forming pH and Thermosensitive Injectable Hydrogels to Stimulate Angiogenesis: Potential Candidates for Fast Bone Regeneration Applications. International Journal of Molecular Sciences. 2020; 21(5):1633. https://doi.org/10.3390/ijms21051633
Chicago/Turabian StyleKocak, Fatma Z., Abdullah C.S. Talari, Muhammad Yar, and Ihtesham U. Rehman. 2020. "In-Situ Forming pH and Thermosensitive Injectable Hydrogels to Stimulate Angiogenesis: Potential Candidates for Fast Bone Regeneration Applications" International Journal of Molecular Sciences 21, no. 5: 1633. https://doi.org/10.3390/ijms21051633
APA StyleKocak, F. Z., Talari, A. C. S., Yar, M., & Rehman, I. U. (2020). In-Situ Forming pH and Thermosensitive Injectable Hydrogels to Stimulate Angiogenesis: Potential Candidates for Fast Bone Regeneration Applications. International Journal of Molecular Sciences, 21(5), 1633. https://doi.org/10.3390/ijms21051633
 
        


 
                         
       