Apolipoprotein E4 Is Associated with Right Ventricular Dysfunction in Dilated Cardiomyopathy—An Animal and In-Human Comparative Study
Abstract
:1. Introduction
2. Results
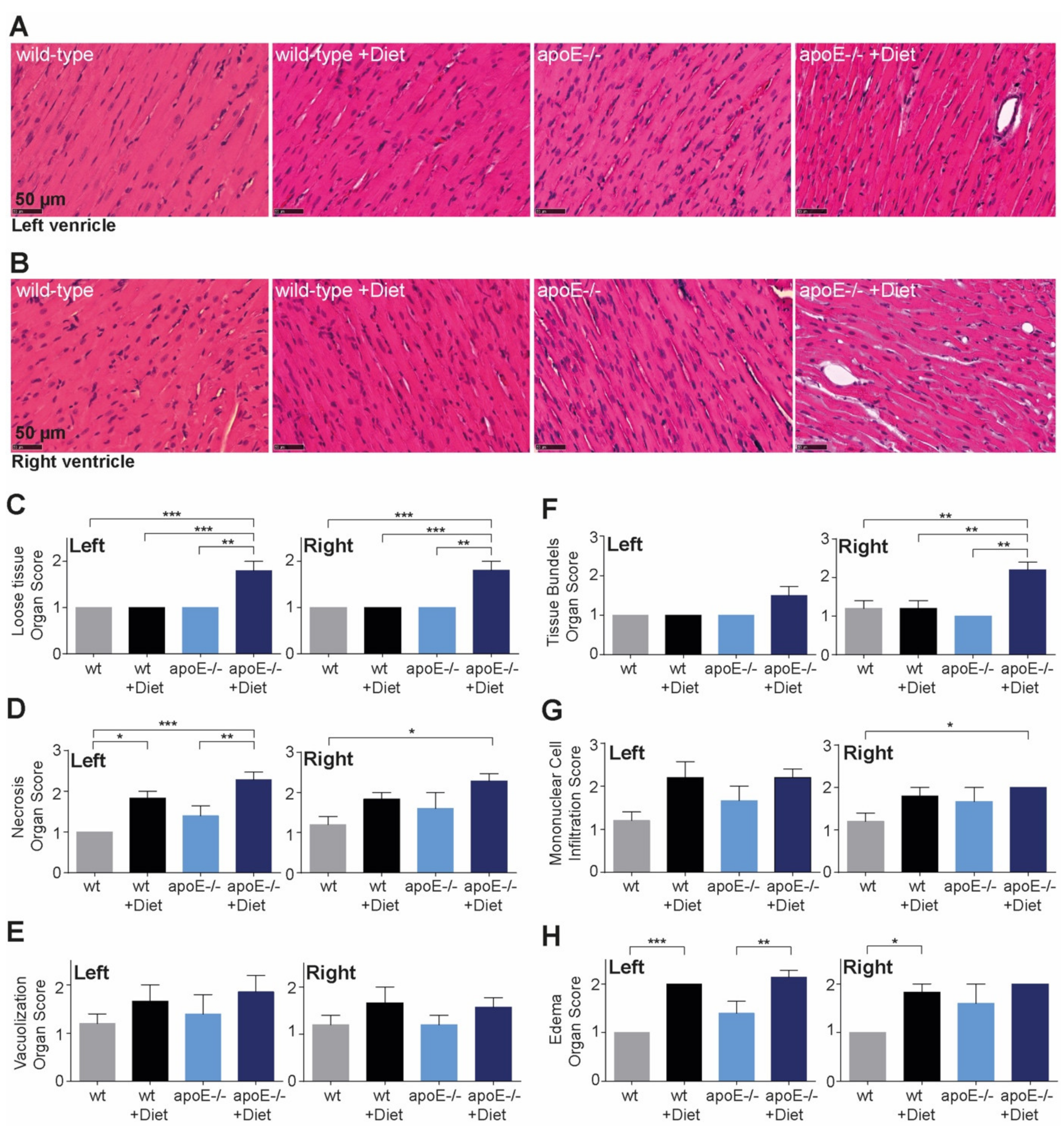
2.1. Morphological Changes Induced by High-Fat Diet in Different Organs
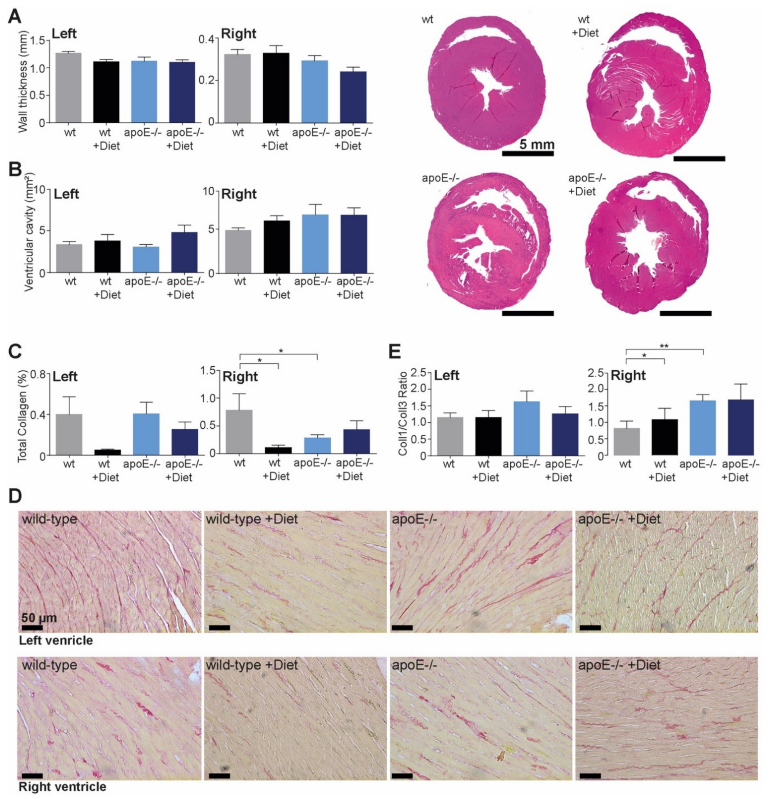
2.2. Heart Morphological Changes in ApoE−/− Fed or Not High-Fat Diet
2.3. Histomorphometrical Characterization of Hearts in ApoE−/− Rats Fed with Normal or High-Fat Diet
2.4. Study Group Population and Characteristics
2.5. Comparison of Genotype Frequency and Allele Frequency between Groups
2.6. The Main Characteristics of the Patient According to ε4 Allele Presence
3. Methods
3.1. Animal Model
3.2. Organ Scores
3.3. Morphometric Analysis
3.4. Study Population
3.5. Echocardiography
3.6. Laboratory Analysis
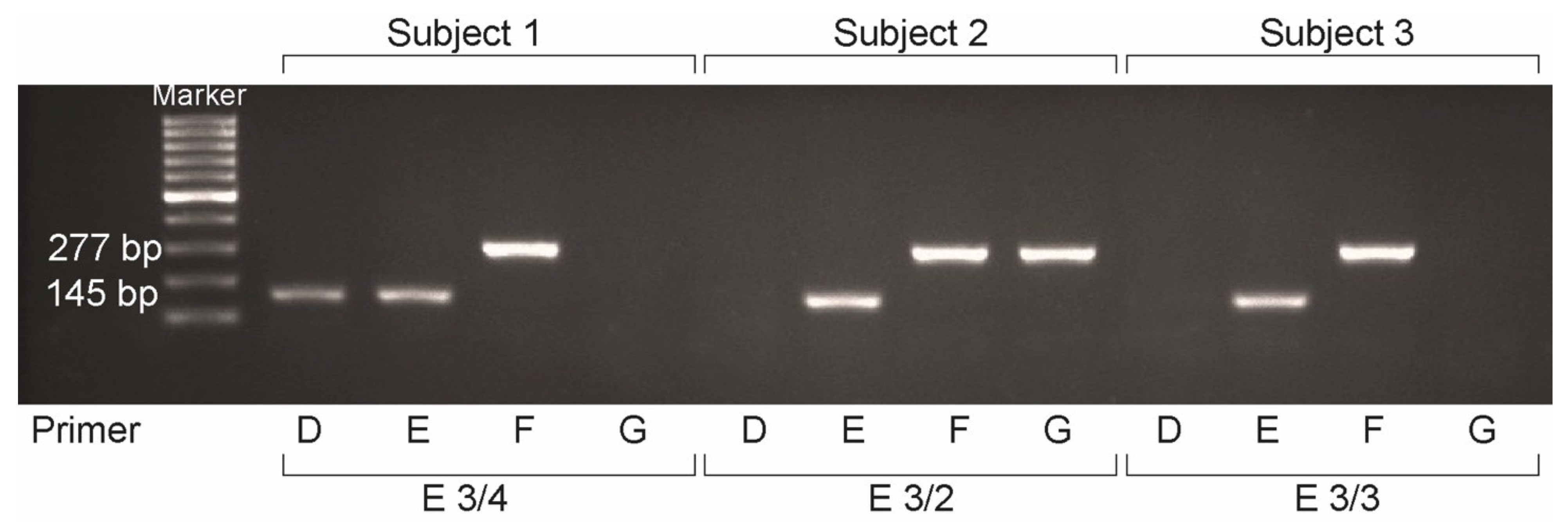
3.7. DNA Extraction
3.8. Genotyping
3.9. Statistical Analysis
4. Discussion
5. Limitations
6. Conclusions
Author Contributions
Funding
Institutional Review Board Statement
Informed Consent Statement
Data Availability Statement
Acknowledgments
Conflicts of Interest
References
- Buzello, M.; Tornig, J.; Faulhaber, J.; Ehmke, H.; Ritz, E.; Amann, K. The apolipoprotein e knockout mouse: A model documenting accelerated atherogenesis in uremia. J. Am. Soc. Nephrol. 2003, 14, 311–316. [Google Scholar] [CrossRef] [PubMed] [Green Version]
- Lo Sasso, G.; Schlage, W.K.; Boue, S.; Veljkovic, E.; Peitsch, M.C.; Hoeng, J. The Apoe(−/−) mouse model: A suitable model to study cardiovascular and respiratory diseases in the context of cigarette smoke exposure and harm reduction. J. Transl. Med. 2016, 14, 146. [Google Scholar] [CrossRef] [PubMed] [Green Version]
- Getz, G.S.; Reardon, C.A. ApoE knockout and knockin mice: The history of their contribution to the understanding of atherogenesis. J. Lipid Res. 2016, 57, 758–766. [Google Scholar] [CrossRef] [PubMed] [Green Version]
- Liehn, E.A.; Ponomariov, V.; Diaconu, R.; Streata, I.; Ioana, M.; Crespo-Avilan, G.E.; Hernandez-Resendiz, S.; Cabrera-Fuentes, H.A. Apolipoprotein E in Cardiovascular Diseases: Novel Aspects of an Old-fashioned Enigma. Arch. Med Res. 2018, 49, 522–529. [Google Scholar] [CrossRef] [PubMed]
- Abondio, P.; Sazzini, M.; Garagnani, P.; Boattini, A.; Monti, D.; Franceschi, C.; Luiselli, D.; Giuliani, C. The Genetic Variability of APOE in Different Human Populations and Its Implications for Longevity. Genes 2019, 10, 222. [Google Scholar] [CrossRef] [PubMed] [Green Version]
- Jurkovicova, D.; Goncalvesova, E.; Sedlakova, B.; Hudecova, S.; Fabian, J.; Krizanova, O. Is the ApoE polymorphism associated with dilated cardiomyopathy? Gen. Physiol. Biophys. 2006, 25, 3–10. [Google Scholar] [PubMed]
- Schultheiss, H.P.; Fairweather, D.; Caforio, A.L.P.; Escher, F.; Hershberger, R.E.; Lipshultz, S.E.; Liu, P.P.; Matsumori, A.; Mazzanti, A.; McMurray, J.; et al. Dilated cardiomyopathy. Nat. Rev. Dis. Primers 2019, 5, 32. [Google Scholar] [CrossRef]
- Cornelissen, A.; Simsekyilmaz, S.; Liehn, E.; Rusu, M.; Schaaps, N.; Afify, M.; Florescu, R.; Almalla, M.; Borinski, M.; Vogt, F. Apolipoprotein E deficient rats generated via zinc-finger nucleases exhibit pronounced in-stent restenosis. Sci. Rep. 2019, 9, 18153. [Google Scholar] [CrossRef] [Green Version]
- Gibson-Corley, K.N.; Olivier, A.K.; Meyerholz, D.K. Principles for valid histopathologic scoring in research. Vet. Pathol. 2013, 50, 1007–1015. [Google Scholar] [CrossRef] [Green Version]
- Cross, S.S. Grading and scoring in histopathology. Histopathology 1998, 33, 99–106. [Google Scholar] [CrossRef]
- Srinivasan, P.K.; Sperber, V.; Afify, M.; Tanaka, H.; Fukushima, K.; Kogel, B.; Gremse, F.; Tolba, R. Novel synthetic adhesive as an effective alternative to Fibrin based adhesives. World J. Hepatol. 2017, 9, 1030–1039. [Google Scholar] [CrossRef]
- Cherata, D.A.; Donoiu, I.; Diaconu, R.; Glodeanu, A.; Carstea, D.; Militaru, C.; Istratoaie, O. Longitudinal strain analysis allows the identification of subclinical deterioration of right ventricular function in patients with cancer therapy-related left ventricular dysfunction. Discoveries 2019, 7, e94. [Google Scholar] [CrossRef] [PubMed]
- Neagoe, O.; Ciobanu, A.; Diaconu, R.; Mirea, O.; Donoiu, I.; Militaru, C. A rare case of familial restrictive cardiomyopathy, with mutations in MYH7 and ABCC9 genes. Discoveries 2019, 7, e99. [Google Scholar] [CrossRef]
- Lang, R.M.; Badano, L.P.; Mor-Avi, V.; Afilalo, J.; Armstrong, A.; Ernande, L.; Flachskampf, F.A.; Foster, E.; Goldstein, S.A.; Kuznetsova, T.; et al. Recommendations for cardiac chamber quantification by echocardiography in adults: An update from the American Society of Echocardiography and the European Association of Cardiovascular Imaging. Eur. Heart J. Cardiovasc. Imaging 2015, 16, 233–270. [Google Scholar] [CrossRef] [PubMed]
- Main, B.F.; Jones, P.J.; MacGillivray, R.T.; Banfield, D.K. Apolipoprotein E genotyping using the polymerase chain reaction and allele-specific oligonucleotide primers. J. Lipid Res. 1991, 32, 183–187. [Google Scholar] [CrossRef]
- Zachowski, A. Phospholipids in animal eukaryotic membranes: Transverse asymmetry and movement. Biochem. J. 1993, 294 Pt 1, 1–14. [Google Scholar] [CrossRef]
- Wood, W.G.; Igbavboa, U.; Muller, W.E.; Eckert, G.P. Cholesterol asymmetry in synaptic plasma membranes. J. Neurochem. 2011, 116, 684–689. [Google Scholar] [CrossRef] [Green Version]
- Cappetta, D.; Esposito, G.; Piegari, E.; Russo, R.; Ciuffreda, L.P.; Rivellino, A.; Berrino, L.; Rossi, F.; De Angelis, A.; Urbanek, K. SIRT1 activation attenuates diastolic dysfunction by reducing cardiac fibrosis in a model of anthracycline cardiomyopathy. Int. J. Cardiol. 2016, 205, 99–110. [Google Scholar] [CrossRef]
- Diaconu, R.; Donoiu, I.; Mirea, O.; Balseanu, T.A. Testosterone, cardiomyopathies, and heart failure: A narrative review. Asian J. Androl. 2021, 23, 348–356. [Google Scholar] [CrossRef]
- DeKroon, R.M.; Mihovilovic, M.; Goodger, Z.V.; Robinette, J.B.; Sullivan, P.M.; Saunders, A.M.; Strittmatter, W.J. ApoE genotype-specific inhibition of apoptosis. J. Lipid Res. 2003, 44, 1566–1573. [Google Scholar] [CrossRef] [PubMed] [Green Version]
- Lynch, J.R.; Tang, W.; Wang, H.; Vitek, M.P.; Bennett, E.R.; Sullivan, P.M.; Warner, D.S.; Laskowitz, D.T. APOE genotype and an ApoE-mimetic peptide modify the systemic and central nervous system inflammatory response. J. Biol. Chem. 2003, 278, 48529–48533. [Google Scholar] [CrossRef] [Green Version]
- Bell, R.D.; Winkler, E.A.; Singh, I.; Sagare, A.P.; Deane, R.; Wu, Z.; Holtzman, D.M.; Betsholtz, C.; Armulik, A.; Sallstrom, J.; et al. Apolipoprotein E controls cerebrovascular integrity via cyclophilin A. Nature 2012, 485, 512–516. [Google Scholar] [CrossRef]
- Siwik, D.A.; Kuster, G.M.; Brahmbhatt, J.V.; Zaidi, Z.; Malik, J.; Ooi, H.; Ghorayeb, G. EMMPRIN mediates beta-adrenergic receptor-stimulated matrix metalloproteinase activity in cardiac myocytes. J. Mol. Cell. Cardiol. 2008, 44, 210–217. [Google Scholar] [CrossRef] [PubMed]
- Heeren, J.; Grewal, T.; Laatsch, A.; Becker, N.; Rinninger, F.; Rye, K.A.; Beisiegel, U. Impaired recycling of apolipoprotein E4 is associated with intracellular cholesterol accumulation. J. Biol. Chem. 2004, 279, 55483–55492. [Google Scholar] [CrossRef] [Green Version]
- Vogel, T.; Guo, N.H.; Guy, R.; Drezlich, N.; Krutzsch, H.C.; Blake, D.A.; Panet, A.; Roberts, D.D. Apolipoprotein E: A potent inhibitor of endothelial and tumor cell proliferation. J. Cell. Biochem. 1994, 54, 299–308. [Google Scholar] [CrossRef] [PubMed]
- Zito, G.; Polimanti, R.; Panetta, V.; Ventriglia, M.; Salustri, C.; Siotto, M.C.; Moffa, F.; Altamura, C.; Vernieri, F.; Lupoi, D.; et al. Antioxidant status and APOE genotype as susceptibility factors for neurodegeneration in Alzheimer’s disease and vascular dementia. Rejuvenation Res. 2013, 16, 51–56. [Google Scholar] [CrossRef] [Green Version]
- Porter, K.E.; Turner, N.A. Cardiac fibroblasts: At the heart of myocardial remodeling. Pharmacol. Ther. 2009, 123, 255–278. [Google Scholar] [CrossRef]
- Panin, L.E.; Russkikh, G.S.; Polyakov, L.M. Detection of apolipoprotein A-I, B, and E immunoreactivity in the nuclei of various rat tissue cells. Biochemistry 2000, 65, 1419–1423. [Google Scholar] [CrossRef]
- Theendakara, V.; Peters-Libeu, C.A.; Spilman, P.; Poksay, K.S.; Bredesen, D.E.; Rao, R.V. Direct Transcriptional Effects of Apolipoprotein E. J. Neurosci. 2016, 36, 685–700. [Google Scholar] [CrossRef] [PubMed] [Green Version]
- Liehn, E.A.; Postea, O.; Curaj, A.; Marx, N. Repair after myocardial infarction, between fantasy and reality: The role of chemokines. J. Am. Coll. Cardiol. 2011, 58, 2357–2362. [Google Scholar] [CrossRef] [Green Version]
- Ltic, S.; Perovic, M.; Mladenovic, A.; Raicevic, N.; Ruzdijic, S.; Rakic, L.; Kanazir, S. Alpha-synuclein is expressed in different tissues during human fetal development. J. Mol. Neurosci. 2004, 22, 199–204. [Google Scholar] [CrossRef] [PubMed]
- Muthuramu, I.; Amin, R.; Postnov, A.; Mishra, M.; Aboumsallem, J.P.; Dresselaers, T.; Himmelreich, U.; Van Veldhoven, P.P.; Gheysens, O.; Jacobs, F.; et al. Cholesterol-Lowering Gene Therapy Counteracts the Development of Non-ischemic Cardiomyopathy in Mice. Mol. Ther. 2017, 25, 2513–2525. [Google Scholar] [CrossRef] [PubMed] [Green Version]
- Muthuramu, I.; Mishra, M.; Aboumsallem, J.P.; Postnov, A.; Gheysens, O.; De Geest, B. Cholesterol lowering attenuates pressure overload-induced heart failure in mice with mild hypercholesterolemia. Aging 2019, 11, 6872–6891. [Google Scholar] [CrossRef]
- Aboumsallem, J.P.; Muthuramu, I.; Mishra, M.; De Geest, B. Cholesterol-Lowering Gene Therapy Prevents Heart Failure with Preserved Ejection Fraction in Obese Type 2 Diabetic Mice. Int. J. Mol. Sci. 2019, 20, 2222. [Google Scholar] [CrossRef] [Green Version]
- Frangogiannis, N.G. Fibroblasts and the extracellular matrix in right ventricular disease. Cardiovasc. Res. 2017, 113, 1453–1464. [Google Scholar] [CrossRef] [PubMed]
- Wei, S.; Chow, L.T.; Shum, I.O.; Qin, L.; Sanderson, J.E. Left and right ventricular collagen type I/III ratios and remodeling post-myocardial infarction. J. Card. Fail. 1999, 5, 117–126. [Google Scholar] [CrossRef]
- Rigolin, V.H.; Robiolio, P.A.; Wilson, J.S.; Harrison, J.K.; Bashore, T.M. The forgotten chamber: The importance of the right ventricle. Cathet. Cardiovasc. Diagn. 1995, 35, 18–28. [Google Scholar] [CrossRef] [PubMed]
- Umar, S.; Partow-Navid, R.; Ruffenach, G.; Iorga, A.; Moazeni, S.; Eghbali, M. Severe pulmonary hypertension in aging female apolipoprotein E-deficient mice is rescued by estrogen replacement therapy. Biol. Sex Differ. 2017, 8, 9. [Google Scholar] [CrossRef] [PubMed] [Green Version]
- Yao, X.; Gordon, E.M.; Figueroa, D.M.; Barochia, A.V.; Levine, S.J. Emerging Roles of Apolipoprotein E and Apolipoprotein A-I in the Pathogenesis and Treatment of Lung Disease. Am. J. Respir. Cell Mol. Biol. 2016, 55, 159–169. [Google Scholar] [CrossRef] [PubMed] [Green Version]
- Renshall, L.; Arnold, N.; West, L.; Braithwaite, A.; Pickworth, J.; Walker, R.; Alfaidi, M.; Chamberlain, J.; Casbolt, H.; Thompson, A.A.R.; et al. Selective improvement of pulmonary arterial hypertension with a dual ETA/ETB receptors antagonist in the apolipoprotein E(−/−) model of PAH and atherosclerosis. Pulm. Circ. 2018, 8, 2045893217752328. [Google Scholar] [CrossRef] [Green Version]








| Variable | CM Patients n = 111 | Controls n = 187 | p Value |
|---|---|---|---|
| Age (years) | 66 ± 8.68 | 57 ± 10.3 | p < 0.01 |
| Sex (male) | 86 (77.48%) | 131 (70.06%) | N |
| BMI, kg/m2 | 27.78 ± 4.90 | 26.56 ± 3.89 | N |
| Alcohol, n (%) | 13 (11.71%) | 33 (17.65%) | N |
| Smoking, n (%) | 29 (26.13%) | 95(50.8%) | p < 0.01 |
| CM Patients (n = 111) | Control (n = 186) | p-Value | Odds Ratio | 95% Confidence Interval | |
|---|---|---|---|---|---|
| Allelle | Allellic count (%) | Allellic count (%) | |||
| ε3 | 105 (94.59%) | 180 (96.25%) | 0.35 | 0.58 | 0.183–1.855 |
| ε4 | 52 (46.85%) | 53 (28.49%) | 0.001 | 2.21 | 1.355–3.611 |
| ε2 | 16 (14.41%) | 13 (6.9%) | 0.03 | 2.24 | 1.034–4.857 |
| Genotype | n (%) | n (%) | |||
| ε3/ε3 | 47 (42.34%) | 123 (66.12%) | 0.0001 | 0.38 | 0.231–0.610 |
| ε3/ε4 | 48 (43.24%) | 46 (24.73%) | 0.0009 | 2.31 | 1.404–3.831 |
| ε2/ε3 | 10 (9%) | 9 (4.8%) | 0.15 | 0.51 | 0.202–1.306 |
| ε2/ε2 | 2 (1.8%) | 1 (0.5%) | 0.29 | 0.29 | 0.026–3.287 |
| ε2/ε4 | 4 (3.6%) | 3 (1.6%) | 0.27 | 2.28 | 0.501–10.383 |
| ε4/ε4 | 4 (2.1%) | 0.11 |
| ICM (n = 50) | DCM (n = 61) | X2 | p-Value | |
|---|---|---|---|---|
| Allelle | Allellic count (%) | Allellic count (%) | ||
| ε3 | 48 (96%) | 57 (93.44%) | 0.315 | 0.554 |
| ε4 | 24 (48%) | 28 (45.9%) | 0.485 | 0.825 |
| ε2 | 10 (20%) | 6 (9.8%) | 2.537 | 0.111 |
| Genotype | n (%) | n (%) | ||
| ε3/ε3 | 17 (34%) | 30 (49.18%) | 2.593 | 0.108 |
| ε3/ε4 | 23 (46%) | 25 (40.98%) | 0.499 | 0.481 |
| ε2/ε3 | 8 (16%) | 2 (3.28%) | 5.425 | 0.019 |
| ε2/ε2 | 1 (2%) | 1 (1.64%) | 0.021 | 0.886 |
| ε2/ε4 | 1 (2%) | 3 (4.91%) | 0.674 | 0.412 |
| ε4 Present (n = 52) | ε4 Absent (n = 59) | p-Value | |
|---|---|---|---|
| Age, years (Range) | 67.8 (40–93) | 64.35 (28–88) | 0.1250 |
| Male gender, n (%) | 42 (80.8%) | 44 (74.6%) | 0.0910 |
| BMI, kg/m2 | 26.56 ± 3.89 | 28.46 ± 5.60 | 0.5684 |
| Risk Factors | |||
| Alcohol, n (%) | 3 (5.7%) | 10 (16.9%) | N |
| Smoking, n (%) | 11 (21.1%) | 18 (30.5%) | N |
| Diabetes, n (%) | 23 (44.2%) | 20 (33.9%) | N |
| NYHA classification | |||
| 1 | 3 (5.8%) | 6 (10.2%) | N |
| 2 | 2 (3.8%) | 7 (11.9%) | N |
| 3 | 30 (57.7%) | 30 (50.8%) | N |
| 4 | 17 (32.7%) | 16 (27.1%) | N |
| DCM etiology | |||
| Non-ischemic | 23 (44.2%) | 28 (47.5%) | 0.7335 |
| Ischemic | 29 (55.8%) | 31 (52.5%) | 0.7335 |
| ECG | |||
| Sinus rhythm | 24 (46.2%) | 17 (28.8%) | 0.0589 |
| Atrial fibrillation | 23 (44.2%) | 32 (59.3%) | 0.2927 |
| Other | 5 (9.6%) | 10 (16.9%) | 0.2594 |
| LBBB | 11 (21.2%) | 20 (33.9%) | 0.1353 |
| LVEF | |||
| 35–45%, n (%) | 4 (7.7%) | 14 (23.7%) | 0.0221 |
| ≤35%, n (%) | 48 (92.3%) | 42 (76.3%) | 0.0045 |
| LVEF mean ± SD (%) | 26.67 ± 8.45 | 29.57 ± 9.92 | 0.0992 |
| Echocardiography | |||
| LVEDD (mm) | 64 ± 5.27 | 64.23 ± 6.11 | N |
| LVESD (mm) | 52.27 ± 8.19 | 52.27 ± 7.7 | N |
| Septum (mm) | 11.14 ± 2.18 | 11.05 ± 1.94 | N |
| RVDD (mm) | 41.52 ± 7.82 | 42.27 ± 6.76 | N |
| TRPG (mmHg) | 37.04 ± 13.94 | 29.95 ± 14.31 | 0.0096 |
| TAPSE (mm) | 15.3 ± 2.63 | 19.8 ± 3.58 | <0.0001 |
| PAPs (mmHg) | 50.44 ± 16.47 | 40.68 ± 15.94 | 0.0019 |
| Blood parameters | |||
| Total cholesterol, mg/dL | 137.73 ± 35.32 | 134.24 ± 36.53 | 0.6110 |
| Creatinine, mg/dL | 1.29 ± 0.85 | 1.19 ± 0.56 | 0.4609 |
| Estimated GFR, mL/min/1.73 m2 | 73.05 ± 32.61 | 73.98 ± 30.68 | 0.88400 |
| Sodium, mmol/L | 137.59 ± 3.84 | 136.58 ± 5.64 | N |
| Potassium, mmol/L | 4.66 ± 0.67 | 4.59 ±0.8 | N |
| Heart |
| Scores: 1—none/negligible 2—mild 3—moderate 4—moderate to severe 5—severe |
| Liver |
| |
| Kidney |
| |
| Lung |
| |
| Spleen |
| |
| Intestine |
|
| Primer D | TACTGCACCAGGCGGCCTCG |
| Primer E | TACTGCACCAGGCGGCCTCA |
| Primer F | GCCTGGTACACTGCCAGTCG |
| Primer G | GCCTGGTACACTGCCAGTCA |
| Primer H | AAGGAGTTGAAGGCCTACAAAT |
| Genotype | Primer D | Primer E | Primer F | Primer G |
|---|---|---|---|---|
| E 2/2 | − | + | − | + |
| E 2/3 | − | + | + | + |
| E 3/3 | − | + | + | − |
| E 3/4 | + | + | + | − |
| E 4/4 | + | − | + | − |
| E 2/4 | + | + | + | + |
Publisher’s Note: MDPI stays neutral with regard to jurisdictional claims in published maps and institutional affiliations. |
© 2021 by the authors. Licensee MDPI, Basel, Switzerland. This article is an open access article distributed under the terms and conditions of the Creative Commons Attribution (CC BY) license (https://creativecommons.org/licenses/by/4.0/).
Share and Cite
Diaconu, R.; Schaaps, N.; Afify, M.; Boor, P.; Cornelissen, A.; Florescu, R.A.; Simsekyilmaz, S.; El-Khoury, T.; Schumacher, D.; Ioana, M.; et al. Apolipoprotein E4 Is Associated with Right Ventricular Dysfunction in Dilated Cardiomyopathy—An Animal and In-Human Comparative Study. Int. J. Mol. Sci. 2021, 22, 9688. https://doi.org/10.3390/ijms22189688
Diaconu R, Schaaps N, Afify M, Boor P, Cornelissen A, Florescu RA, Simsekyilmaz S, El-Khoury T, Schumacher D, Ioana M, et al. Apolipoprotein E4 Is Associated with Right Ventricular Dysfunction in Dilated Cardiomyopathy—An Animal and In-Human Comparative Study. International Journal of Molecular Sciences. 2021; 22(18):9688. https://doi.org/10.3390/ijms22189688
Chicago/Turabian StyleDiaconu, Rodica, Nicole Schaaps, Mamdouh Afify, Peter Boor, Anne Cornelissen, Roberta A. Florescu, Sakine Simsekyilmaz, Teddy El-Khoury, David Schumacher, Mihai Ioana, and et al. 2021. "Apolipoprotein E4 Is Associated with Right Ventricular Dysfunction in Dilated Cardiomyopathy—An Animal and In-Human Comparative Study" International Journal of Molecular Sciences 22, no. 18: 9688. https://doi.org/10.3390/ijms22189688
APA StyleDiaconu, R., Schaaps, N., Afify, M., Boor, P., Cornelissen, A., Florescu, R. A., Simsekyilmaz, S., El-Khoury, T., Schumacher, D., Ioana, M., Streata, I., Militaru, C., Donoiu, I., Vogt, F., & Liehn, E. A. (2021). Apolipoprotein E4 Is Associated with Right Ventricular Dysfunction in Dilated Cardiomyopathy—An Animal and In-Human Comparative Study. International Journal of Molecular Sciences, 22(18), 9688. https://doi.org/10.3390/ijms22189688

