The Long Linker Region of Telomere-Binding Protein TRF2 Is Responsible for Interactions with Lamins
Abstract
1. Introduction
2. Results
2.1. Antibodies against udTRF2
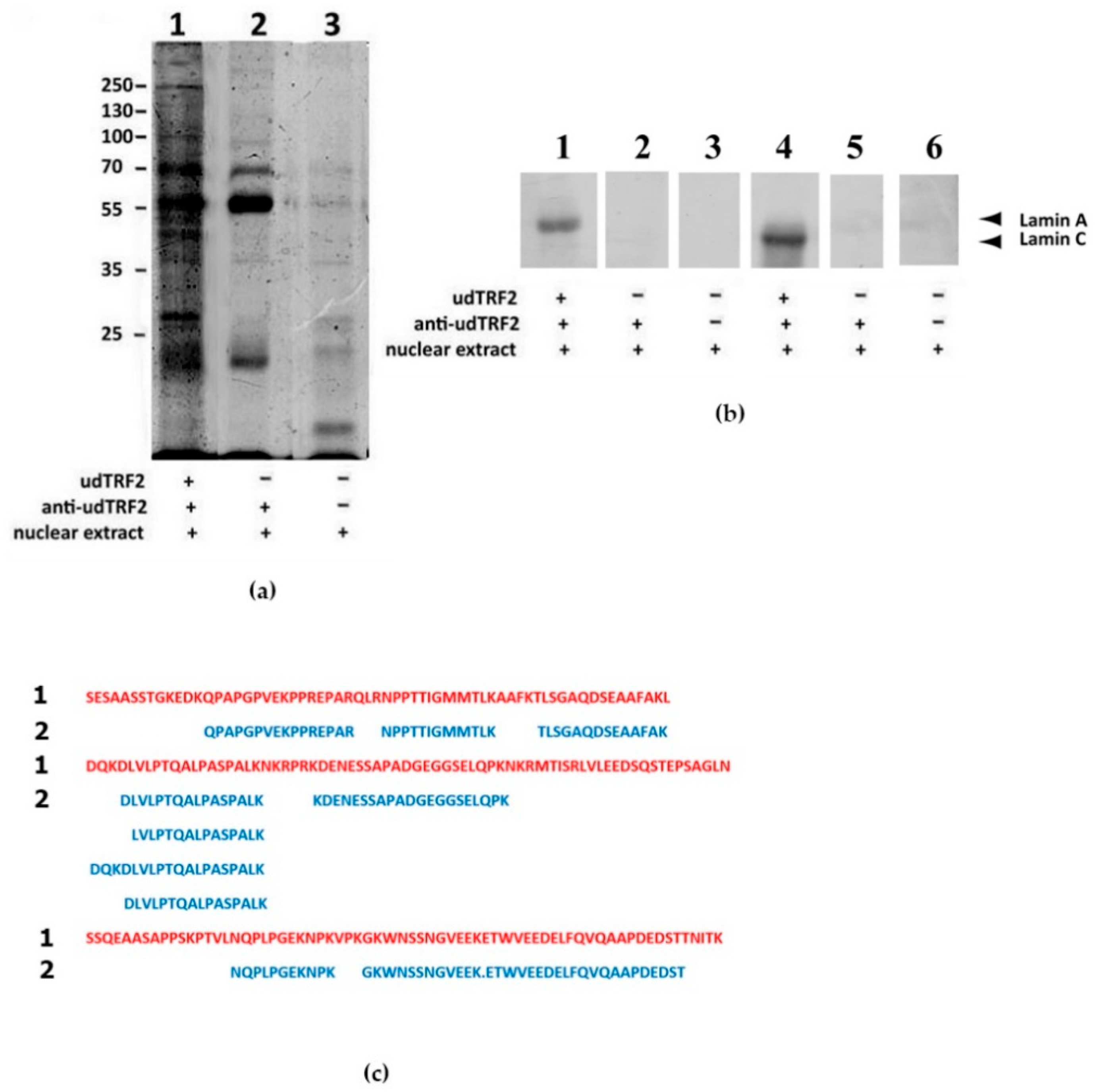
2.2. udTRF2 Interacts with Lamins from Nuclear Lamina Extract
2.3. udTRF2 Interacts with Soluble Lamin A/C from the Nucleoplasm
2.4. Non-Lamin Interacting Partners of udTRF2
3. Discussion
3.1. Interaction between TRF2 and Lamins
3.2. Interaction between udTRF2 and Other Proteins
4. Materials and Methods
4.1. Protein Expression and Purification
4.2. SDS-PAGE and Western Blotting (WB)
4.3. ImmunoFISH
4.4. Confocal Microscopy
4.5. Nuclear Proteins Fractionation
4.6. Immunoprecipitation (IP) and Co-Immunoprecipitation (CoIP)
4.7. Mass Spectrometry and Protein Identification
4.8. Bioinformatics Analysis
Supplementary Materials
Author Contributions
Funding
Institutional Review Board Statement
Informed Consent Statement
Conflicts of Interest
Abbreviations
| AB | antibodies |
| CBB | Coomassie brilliant blue |
| CoIP | co-immunoprecipitation |
| IP | immunoprecipitation |
| LAP2α NL | lamin-associated protein 2α nuclear lamina |
| NM | nuclear matrix |
| Mr | apparent molecular weight |
References
- Ilicheva, V.N.; Podgornaya, O.I.; Voronin, A.P. Telomere Repeat-Binding Factor 2 Is Responsible for the Telomere Attachment to the Nuclear Membrane. Adv. Protein Chem. Struct. Biol. 2015, 101, 67–96. [Google Scholar] [CrossRef]
- De Lange, T. Shelterin-Mediated Telomere Protection. Annu. Rev. Genet. 2018, 52, 223–247. [Google Scholar] [CrossRef] [PubMed]
- De Lange, T. Human telomeres are attached to the nuclear matrix. EMBO J. 1992, 11, 717–724. [Google Scholar] [CrossRef] [PubMed]
- Ludérus, E.M.; van Steensel, B.; Chong, L.; Sibon, O.C.; Cremers, F.F.; de Lange, T. Structure, subnuclear distribution, and nuclear matrix association of the mammalian telomeric complex. J. Cell Biol. 1996, 135, 867–881. [Google Scholar] [CrossRef]
- Lobov, B.I.; Tsutsui, K.; Mitchell, A.R.; Podgornaya, O.I. Specific interaction of mouse major satellite with MAR-binding protein SAF-A. Eur. J. Cell Biol. 2000, 79, 839–849. [Google Scholar] [CrossRef] [PubMed]
- Voronin, P.A.; Lobov, I.B.; Gilson, E.; Podgornaya, O.I. A telomere-binding protein (TRF2/MTBP) from mouse nuclear matrix with motives of an intermediate filament-type rod domain. J. Anti. Aging Med. 2003, 6, 205–218. [Google Scholar] [CrossRef]
- Wilson, H.R.; Hesketh, E.L.; Coverley, D. The Nuclear Matrix: Fractionation Techniques and Analysis. Cold Spring Harb. Protoc. 2016, 2016. [Google Scholar] [CrossRef][Green Version]
- Nickerson, J. Experimental observations of a nuclear matrix. J. Cell Sci. 2001, 114 Pt 3, 463–474. [Google Scholar]
- Kiseleva, E.; Drummond, S.P.; Goldberg, M.W.; Rutherford, S.A.; Allen, T.D.; Wilson, K.L. Actin- and protein-4.1-containing filaments link nuclear pore complexes to subnuclear organelles in Xenopus oocyte nuclei. J. Cell Sci. 2004, 117 Pt 12, 2481–2490. [Google Scholar] [CrossRef] [PubMed]
- Maslova, A.; Krasikova, A. Nuclear actin depolymerization in transcriptionally active avian and amphibian oocytes leads to collapse of intranuclear structures. Nucleus 2012, 3, 300–311. [Google Scholar] [CrossRef][Green Version]
- Krasikova, A.; Kulikova, T.; Saifitdinova, A.; Derjusheva, S.; Gaginskaya, E. Centromeric protein bodies on avian lampbrush chromosomes contain a protein detectable with an antibody against DNA topoisomerase II. Chromosoma 2004, 113, 316–323. [Google Scholar] [CrossRef] [PubMed]
- Pochukalina, N.G.; Ilicheva, N.V.; Podgornaya, O.I.; Voronin, A.P. Nucleolus-like body of mouse oocytes contains lamin A and B and TRF2 but not actin and topo II. Mol. Cytogenet. 2016, 9, 50. [Google Scholar] [CrossRef] [PubMed]
- Ilicheva, N.; Podgornaya, O.; Bogolyubov, D.; Pochukalina, G. The karyosphere capsule in Rana temporaria oocytes contains structural and DNA-binding proteins. Nucleus 2018, 9, 516–529. [Google Scholar] [CrossRef]
- Ilicheva, V.N.; Kiryushina, D.Y.; Baskakov, A.V.; Podgornaya, O.I.; Pochukalina, G.N. The karyosphere capsule in oocytes of hibernating frogs rana temporaria contains actin, lamins and small nuclear rnp. Tsitologiia 2016, 58, 451–459. [Google Scholar]
- Ilicheva, V.N.; Pochukalina, G.N.; Podgornaya, O.I. Actin depolymerization disrupts karyosphere capsule integrity but not residual transcription in late oocytes of the grass frog Rana temporaria. J. Cell Biochem. 2019, 120, 15057–15068. [Google Scholar] [CrossRef] [PubMed]
- Razin, V.S.; Borunova, V.V.; Iarovaia, O.V.; Vassetzky, Y.S. Nuclear matrix and structural and functional compartmentalization of the eucaryotic cell nucleus. Biochemistry 2014, 79, 608–618. [Google Scholar] [CrossRef]
- Razin, V.S.; Iarovaia, O.V.; Vassetzky, Y.S. A requiem to the nuclear matrix: From a controversial concept to 3D organization of the nucleus. Chromosoma 2014, 123, 217–224. [Google Scholar] [CrossRef]
- Dwyer, N.; Blobel, G. A modified procedure for the isolation of a pore complex-lamina fraction from rat liver nuclei. J. Cell Biol. 1976, 70, 581–591. [Google Scholar] [CrossRef]
- Gruenbaum, Y.; Foisner, R. Lamins: Nuclear intermediate filament proteins with fundamental functions in nuclear mechanics and genome regulation. Annu. Rev. Biochem. 2015, 84, 131–164. [Google Scholar] [CrossRef]
- Gruenbaum, Y.; Medalia, O. Lamins: The structure and protein complexes. Curr. Opin. Cell Biol. 2015, 32, 7–12. [Google Scholar] [CrossRef]
- McClintock, D.; Gordon, L.B.; Djabali, K. Hutchinson–Gilford progeria mutant lamin A primarily targets human vascular cells as detected by an anti-Lamin A G608G antibody. Proc. Natl. Acad. Sci. USA 2006, 103, 2154–2159. [Google Scholar] [CrossRef] [PubMed]
- Capell, B.C.; Erdos, M.R.; Madigan, J.P.; Fiordalisi, J.J.; Varga, R.; Conneely, K.N.; Gordon, L.B.; Der, C.J.; Cox, A.D.; Collins, F.S. Inhibiting farnesylation of progerin prevents the characteristic nuclear blebbing of Hutchinson-Gilford progeria syndrome. Proc. Natl. Acad. Sci. USA 2005, 102, 12879–12884. [Google Scholar] [CrossRef]
- Naetar, N.; Ferraioli, S.; Foisner, R. Lamins in the nuclear interior—Life outside the lamina. J. Cell Sci. 2017, 130, 2087–2096. [Google Scholar] [CrossRef] [PubMed]
- Gonzalez-Suarez, I.; Redwood, A.B.; Gonzalo, S. Loss of A-type lamins and genomic instability. Cell Cycle 2009, 8, 3860–3865. [Google Scholar] [CrossRef]
- Gonzalez-Suarez, I.; Redwood, A.B.; Perkins, S.M.; Vermolen, B.; Lichtensztejin, D.; Grotsky, D.A.; Morgado-Palacin, L.; Gapud, E.J.; Sleckman, B.P.; Sullivan, T.; et al. Novel roles for A-type lamins in telomere biology and the DNA damage response pathway. EMBO J. 2009, 28, 2414–2427. [Google Scholar] [CrossRef]
- Makhija, E.; Jokhun, D.S.; Shivashankar, G.V. Nuclear deformability and telomere dynamics are regulated by cell geometric constraints. Proc. Natl. Acad. Sci. USA 2016, 113, E32–E40. [Google Scholar] [CrossRef]
- Taimen, P.; Pfleghaar, K.; Shimi, T.; Möller, D.; Ben-Harush, K.; Erdos, M.R.; Adam, S.A.; Herrmann, H.; Medalia, O.; Collins, F.S.; et al. A progeria mutation reveals functions for lamin A in nuclear assembly, architecture, and chromosome organization. Proc. Natl. Acad. Sci. USA 2009, 106, 20788–20793. [Google Scholar] [CrossRef]
- Wood, A.M.; Danielsen, J.M.R.; Lucas, C.A.; Rice, E.L.; Scalzo, D.; Shimi, T.; Goldman, R.D.; Smith, E.D.; le Beau, M.M.; Kosak, S.T. TRF2 and lamin A/C interact to facilitate the functional organization of chromosome ends. Nat. Commun. 2014, 5, 5467. [Google Scholar] [CrossRef] [PubMed]
- Broccoli, D.; Smogorzewska, A.; Chong, L.; de Lange, T. Human telomeres contain two distinct Myb-related proteins, TRF1 and TRF2. Nat. Genet. 1997, 17, 231–235. [Google Scholar] [CrossRef]
- Babu, M.M. The contribution of intrinsically disordered regions to protein function, cellular complexity, and human disease. BioChem. Soc. Trans. 2016, 44, 1185–1200. [Google Scholar] [CrossRef]
- Van der Lee, R.; Buljan, M.; Lang, B.; Weatheritt, R.J.; Daughdrill, G.W.; Dunker, A.K.; Fuxreiter, M.; Gough, J.; Gsponer, J.; Jones, D.T.; et al. Classification of intrinsically disordered regions and proteins. Chem. Rev. 2014, 114, 6589–6631. [Google Scholar] [CrossRef] [PubMed]
- Deiana, A.; Forcelloni, S.; Porrello, A.; Giansanti, A. Intrinsically disordered proteins and structured proteins with intrinsically disordered regions have different functional roles in the cell. PLoS ONE 2019, 14, e0217889. [Google Scholar] [CrossRef]
- Ilicheva, N.V.; Travina, A.O.; Voronin, A.P.; Podgornaya, O.I. Development and characterization of polyclonal antibodies against thelinker region of the telomere-binding protein TRF2. Electron. J. Biotechnol. 2018, 32, 1–5. [Google Scholar] [CrossRef]
- Mignon-Ravix, C.; Depetris, D.; Delobel, B.; Croquette, M.F.; Mattei, M.G. A human interstitial telomere associates in vivo with specific TRF2 and TIN2 proteins. Eur. J. Hum. Genet. 2002, 10, 107–112. [Google Scholar] [CrossRef] [PubMed]
- Krohne, G.; Wolin, S.L.; McKeon, F.D.; Franke, W.W.; Kirschner, M.W. Nuclear lamin LI of Xenopus laevis: cDNA cloning, amino acid sequence and binding specificity of a member of the lamin B subfamily. EMBO J. 1987, 6, 3801–3808. [Google Scholar] [CrossRef] [PubMed]
- Schirmer, E.C.; Gerace, L. The stability of the nuclear lamina polymer changes with the composition of lamin subtypes according to their individual binding strengths. J. Biol. Chem. 2004, 279, 42811–42817. [Google Scholar] [CrossRef] [PubMed]
- Kolb, T.; Maass, K.; Hergt, M.; Aebi, U.; Herrmann, H. Lamin A and lamin C form homodimers and coexist in higher complex forms both in the nucleoplasmic fraction and in the lamina of cultured human cells. Nucleus 2011, 2, 425–433. [Google Scholar] [CrossRef] [PubMed]
- Geuens, T.; Bouhy, D.; Timmerman, V. The hnRNP family: Insights into their role in health and disease. Hum. Genet. 2016, 135, 851–867. [Google Scholar] [CrossRef]
- Munro, T.P.; Magee, R.J.; Kidd, G.J.; Carson, J.H.; Barbarese, E.; Smith, L.M.; Smith, R. Mutational analysis of a heterogeneous nuclear ribonucleoprotein A2 response element for RNA trafficking. J. Biol. Chem. 1999, 274, 34389–34395. [Google Scholar] [CrossRef]
- Villarroya-Beltri, C.; Gutiérrez-Vázquez, C.; Sánchez-Cabo, F.; Pérez-Hernández, D.; Vázquez, J.; Martin-Cofreces, N.; Martinez-Herrera, D.J.; Pascual-Montano, A.; Mittelbrunn, M.; Sánchez-Madrid, F. Sumoylated hnRNPA2B1 controls the sorting of miRNAs into exosomes through binding to specific motifs. Nat. Commun. 2013, 4, 2980. [Google Scholar] [CrossRef]
- Moran-Jones, K.; Wayman, L.; Kennedy, D.D.; Reddel, R.R.; Sara, S.; Snee, M.J.; Smith, R. hnRNP A 2, a potential ssDNA/RNA molecular adapter at the telomere. Nucleic Acids Res. 2005, 33, 486–496. [Google Scholar] [CrossRef]
- Redon, S.; Zemp, I.; Lingner, J. A three-state model for the regulation of telomerase by TERRA and hnRNPA1. Nucleic Acids Res. 2013, 41, 9117–9128. [Google Scholar] [CrossRef]
- Wang, T.H.; Chen, C.C.; Hsiao, Y.C.; Lin, Y.H.; Pi, W.C.; Huang, P.R.; Wang, T.V.; Chen, C.Y. Heterogeneous Nuclear Ribonucleoproteins A1 and A2 Function in Telomerase-Dependent Maintenance of Telomeres. Cancers 2019, 11, 334. [Google Scholar] [CrossRef] [PubMed]
- Shishkin, S.S.; Kovalev, L.I.; Pashintseva, N.V.; Kovaleva, M.A.; Lisitskaya, K. Heterogeneous nuclear ribonucleoproteins involved in the functioning of telomeres in malignant cells. Int. J. Mol. Sci. 2019, 20, 745. [Google Scholar] [CrossRef] [PubMed]
- Jansson, L.I.; Hentschel, J.; Parks, J.W.; Chang, T.R.; Lu, C.; Baral, R.; Stone, M.D. Telomere DNA G-quadruplex folding within actively extending human telomerase. Proc. Natl. Acad. Sci. USA 2019, 116, 9350–9359. [Google Scholar] [CrossRef]
- Tan, J.; Lan, L. The DNA secondary structures at telomeres and genome instability. Cell Biosci. 2020, 10, 1–6. [Google Scholar] [CrossRef]
- Mendoza, O.; Bourdoncle, A.; Boule, J.-B.; Brosh, R.M., Jr.; Mergny, J.-L. G-quadruplex and helicases. Nucleic Acids Res. 2016, 44, 1989–2006. [Google Scholar] [CrossRef] [PubMed]
- Tippana, R.; Chen, M.C.; Demeshkina, N.A.; Ferre-D’Amare, A.R.; Myong, S. RNA G-quadruplex is resolved by repetitive and ATP-dependent mechanism of DHX36. Nat. Commun. 2019, 10, 1855. [Google Scholar] [CrossRef] [PubMed]
- Petti, E.; Buemi, V.; Zappone, A.; Schillaci, O.; Broccia, P.V.; Dinami, R.; Matteoni, S.; Benetti, R.; Schoeftner, S. SFPQ and NONO suppress RNA:DNA-hybrid-related telomere instability. Nat. Commun. 2019, 10. [Google Scholar] [CrossRef] [PubMed]
- Henderson, S.; Allsopp, R.; Spector, D.; Wang, S.S.; Harley, C. In situ analysis of changes in telomere size during replicative aging and cell transformation. J. Cell Biol. 1996, 134, 1–12. [Google Scholar] [CrossRef]
- Masny, P.S.; Bengtsson, U.; Chung, S.A.; Martin, J.H.; van Engelen, B.; van der Maarel, S.M.; Winokur, S.T. Localization of 4q35.2 to the nuclear periphery: Is FSHD a nuclear envelope disease? Hum. Mol. Genet 2004, 13, 1857–1871. [Google Scholar] [CrossRef] [PubMed]
- Tam, R.; Smith, K.P.; Lawrence, J.B. The 4q subtelomere harboring the FSHD locus is specifically anchored with peripheral heterochromatin unlike most human telomeres. J. Cell Biol. 2004, 167, 269–279. [Google Scholar] [CrossRef]
- Ramírez, M.J.; Surrallés, J. Laser confocal microscopy analysis of human interphase nuclei by three-dimensional FISH reveals dynamic perinucleolar clustering of telomeres. CytoGenet. Genome Res. 2008, 122, 237–242. [Google Scholar] [CrossRef]
- Travina, A.O.; Ilicheva, N.V.; Podgornaya, O.I. Two lamins’ related mechanisms of telomeres distribution. 2021; Unpublished work. [Google Scholar]
- Cao, K.; Blair, C.D.; Faddah, D.A.; Kieckhaefer, J.E.; Olive, M.; Erdos, M.R.; Nabel, E.G.; Collins, F.S. Progerin and telomere dysfunction collaborate to trigger cellular senescence in normal human fibroblasts. J. Clin. Investig. 2011, 121, 2833–2844. [Google Scholar] [CrossRef]
- Raz, V.; Vermolen, B.J.; Garini, Y.; Onderwater, J.J.M.; Mommaas-Kienhuis, M.A.; Koster, A.J.; Young, I.T.; Tanke, H.; Dirks, R.W. The nuclear lamina promotes telomere aggregation and centromere peripheral localization during senescence of human mesenchymal stem cells. J. Cell Sci. 2008, 121 Pt 24, 4018–4028. [Google Scholar] [CrossRef]
- Agbulut, O.; Huet, A.; Niederländer, N.; Puceat, M.; Menasché, P.; Coirault, C. Green fluorescent protein impairs actin-myosin interactions by binding to the actin-binding site of myosin. J. Biol. Chem. 2007, 282, 10465–10471. [Google Scholar] [CrossRef] [PubMed]
- Zhang, F.; Moniz, H.A.; Walcott, B.; Moremen, K.W.; Wang, L.; Linhardt, R.J. Probing the impact of GFP tagging on Robo1-heparin interaction. Glycoconj. J. 2014, 31, 299–307. [Google Scholar] [CrossRef]
- Moore, D.A.; Whatley, Z.N.; Joshi, C.P.; Osawa, M.; Erickson, H.P. Probing for binding regions of the FtsZ protein surface through site-directed insertions: Discovery of fully functional FtsZ-fluorescent proteins. J. Bacteriol. 2017, 199. [Google Scholar] [CrossRef]
- Mitchell, T.R.; Zhu, X.D. Methylated TRF2 associates with the nuclear matrix and serves as a potential biomarker for cellular senescence. Aging (Albany NY) 2014, 6, 248. [Google Scholar] [CrossRef]
- Mitchell, T.R.; Glenfield, K.; Jeyanthan, K.; Zhu, X.D. Arginine Methylation Regulates Telomere Length and Stability. Mol. Cell. Biol. 2009, 29, 4918–4934. [Google Scholar] [CrossRef] [PubMed]
- Crabbe, L.; Cesare, A.J.; Kasuboski, J.M.; Fitzpatrick, J.A.; Karlseder, J. Human telomeres are tethered to the nuclear envelope during postmitotic nuclear assembly. Cell Rep. 2012, 2, 1521–1529. [Google Scholar] [CrossRef]
- Moir, R.D.; Yoon, M.; Khuon, S.; Goldman, R.D. Nuclear lamins A and B1: Different pathways of assembly during nuclear envelope formation in living cells. J. Cell Biol. 2000, 151, 1155–1168. [Google Scholar] [CrossRef]
- Naetar, N.; Korbei, B.; Kozlov, S.; Kerenyi, M.A.; Dorner, D.; Kral, R.; Gotic, I.; Fuchs, P.; Cohen, T.V.; Bittner, R.; et al. Loss of nucleoplasmic LAP2alpha-lamin A complexes causes erythroid and epidermal progenitor hyperproliferation. Nat. Cell Biol. 2008, 10, 1341–1348. [Google Scholar] [CrossRef]
- Dechat, T.; Korbei, B.; Vaughan, O.A.; Vlcek, S.; Hutchison, C.J.; Foisner, R. Lamina-associated polypeptide 2alpha binds intranuclear A-type lamins. J. Cell Sci. 2000, 113 Pt 19, 3473–3484. [Google Scholar]
- Dechat, T.; Gajewski, A.; Korbei, B.; Gerlich, D.; Daigle, N.; Haraguchi, T.; Furukawa, K.; Ellenberg, J.; Foisner, R. LAP2alpha and BAF transiently localize to telomeres and specific regions on chromatin during nuclear assembly. J. Cell Sci. 2004, 117 Pt 25, 6117–6128. [Google Scholar] [CrossRef]
- Dechat, T.; Adam, S.A.; Taimen, P.; Shimi, T.; Goldman, R.D. Nuclear lamins. Cold Spring Harbor Perspect. Biol. 2010, 2, a000547. [Google Scholar] [CrossRef]
- Dechat, T.; Shimi, T.; Adam, S.A.; Rusinol, A.E.; Andres, D.A.; Spielmann, H.P.; Sinensky, M.S.; Goldman, R.D. Alterations in mitosis and cell cycle progression caused by a mutant lamin A known to accelerate human aging. Proc. Natl. Acad. Sci. USA 2007, 104, 4955–4960. [Google Scholar] [CrossRef] [PubMed]
- Podgornaya, O.I.; Voronin, A.P.; Enukashvily, N.I.; Matveev, I.V.; Lobov, I.B. Structure-specific DNA-binding proteins as the foundation for three-dimensional chromatin organization. Int. Rev. Cytol. 2003, 224, 227–296. [Google Scholar]
- Voronin, A.P.; Lobov, I.B.; Bugaeva, E.A.; Parfenov, V.N.; Podgornaia, O.I. Telomere-binding protein of mouse nuclear matrix. I. Characteristics. Mol. Biol. 1999, 33, 657–664. [Google Scholar]
- Voronin, A.P.; Lobov, I.B.; Bugaeva, E.A.; Parfenov, V.N.; Podgornaia, O.I. Telomere-binding protein of mouse nuclear matrix. II. Localization. Mol. Biol. 1999, 33, 665–672. [Google Scholar]
- Kaminker, P.G.; Kim, S.H.; Desprez, P.Y.; Campisi, J. A novel form of the telomere-associated protein TIN2 localizes to the nuclear matrix. Cell Cycle 2009, 8, 931–939. [Google Scholar] [CrossRef]
- Göhring, F.; Fackelmayer, F.O. The scaffold/matrix attachment region binding protein hnRNP-U (SAF-A) is directly bound to chromosomal DNA in vivo: A chemical cross-linking study. Biochemistry 1997, 36, 8276–8283. [Google Scholar] [CrossRef] [PubMed]
- Enukashvily, N.; Donev, R.; Sheer, D.; Podgornaya, O. Satellite DNA binding and cellular localisation of RNA helicase P68. J. Cell Sci. 2005, 118 Pt 3, 611–622. [Google Scholar] [CrossRef]
- Bizard, A.H.; Hickson, I.D. The many lives of type IA topoisomerases. J. Biol. Chem. 2020, 295, 7138–7153. [Google Scholar] [CrossRef]
- Mukherjee, A.K.; Sharma, S.; Bagri, S.; Kutum, R.; Kumar, P.; Hussain, A.; Singh, P.; Saha, D.; Kar, A.; Dash, D.; et al. Telomere repeat-binding factor 2 binds extensively to extra-telomeric G-quadruplexes and regulates the epigenetic status of several gene promoters. J. Biol. Chem. 2019, 294, 17709–17722. [Google Scholar] [CrossRef] [PubMed]
- Ye, J.; Lenain, C.; Bauwens, S.; Rizzo, A.; Saint-Léger, A.; Poulet, A.; Benarroch, D.; Magdinier, F.; Morere, J.; Amiard, S.; et al. TRF2 and apollo cooperate with topoisomerase 2alpha to protect human telomeres from replicative damage. Cell 2010, 142, 230–242. [Google Scholar] [CrossRef]
- Benarroch-Popivker, D.; Pisano, S.; Mendez-Bermudez, A.; Lototska, L.; Kaur, P.; Bauwens, S.; Djerbi, N.; Latrick, C.M.; Fraisier, V.; Pei, B.; et al. TRF2-Mediated Control of Telomere DNA Topology as a Mechanism for Chromosome-End Protection. Mol. Cell 2016, 61, 274–286. [Google Scholar] [CrossRef]
- Mendez-Bermudez, A.; Lototska, L.; Bauwens, S.; Giraud-Panis, M.J.; Croce, O.; Jamet, K.; Irizar, A.; Mowinckel, M.; Koundrioukoff, S.; Nottet, N.; et al. Genome-wide Control of Heterochromatin Replication by the Telomere Capping Protein TRF2. Mol. Cell 2018, 70, 449–461.e5. [Google Scholar] [CrossRef]
- Ciavarra, R.P.; Goldman, C.; Wen, K.K.; Tedeschi, B.; Castora, F.J. Heat stress induces hsc70/nuclear topoisomerase I complex formation in vivo: Evidence for hsc70-mediated, ATP-independent reactivation in vitro. Proc. Natl. Acad. Sci. USA 1994, 91, 1751–1755. [Google Scholar] [CrossRef]
- Laemmli, U.K. Cleavage of structural proteins during the assembly of the head of bacteriophage T4. Nature 1970, 227, 680–685. [Google Scholar] [CrossRef]
- Kaufmann, S.H.; Coffey, D.S.; Shaper, J.H. Considerations in the isolation of rat liver nuclear matrix 1970, nuclear envelope, and pore complex lamina. Exp. Cell Res. 1981, 132, 105–123. [Google Scholar] [CrossRef]
- Abmayr, S.M.; Yao, T.; Parmely, T.; Workman, J.L. Preparation of nuclear and cytoplasmic extracts from mammalian cells. Curr. Protoc. Mol. Biol. 2006, 75, 12.1.1–12.1.10. [Google Scholar] [CrossRef] [PubMed]




| Gene Name | UniProt ID | Protein Name | Number of Peptides (95%) |
|---|---|---|---|
| LMNA | P48678 | Prelamin-A/C | 4 |
| Hnrpa2b1 | O88569 | Heterogeneous nuclear ribonucleoprotein A2/B1 | 16 |
| ROA3 | Q8BG05 | Heterogeneous nuclear ribonucleoprotein A3 | 10 |
| TADBP | Q921F2 | TAR DNA-binding protein 43 | 4 |
| HNRPK | P61979 | Heterogeneous nuclear ribonucleoprotein K | 3 |
| HNRPM | Q9D0E1 | Heterogeneous nuclear ribonucleoprotein M | 2 |
| ROA1 | P49312 | Heterogeneous nuclear ribonucleoprotein A1 | 2 |
| HNRPL | Q8R081 | Heterogeneous nuclear ribonucleoprotein L | 1 |
| SFPQ | Q8VIJ6 | Splicing factor, proline- and glutamine-rich | 5 |
| NONO | Q99K48 | Non-POU domain-containing octamer-binding protein | 3 |
| SRSF1 | Q6PDM2 | Serine/arginine-rich splicing factor 1 | 3 |
| FBRL | P35550 | rRNA 2′-O-methyltransferase fibrillarin | 3 |
| U520 | Q6P4T2 | Small nuclear ribonucleoprotein U5 subunit 200 | 3 |
| SMD3 | P62320 | Small nuclear ribonucleoprotein Sm D3 | 1 |
| DKC1 | Q9ESX5 | H/ACA ribonucleoprotein complex subunit DKC1 | 1 |
| SMU1 | Q3UKJ7 | WD40 repeat-containing protein SMU1 | 1 |
| PRP19 | Q99KP6 | Pre-mRNA processing factor 19 | 1 |
| PHF5A | P83870 | PHD finger-like domain-containing protein 5A | 1 |
| PRP8 | Q99PV0 | Pre-mRNA-processing-splicing factor 8 | 1 |
| H0V9E4 | H0V9E4 | Probable ATP-dependent RNA helicase DDX5 | 4 |
| DHX9 | O70133 | ATP-dependent RNA helicase A (DHX9) | 7 |
| E9PV04 | E9PV04 | Eukaryotic translation initiation factor 4A3-like 1 | 1 |
| TOP1 | Q04750 | DNA topoisomerase I | 2 |
| HSP7C | P63017 | Heat shock cognate 71 kDa protein | 3 |
Publisher’s Note: MDPI stays neutral with regard to jurisdictional claims in published maps and institutional affiliations. |
© 2021 by the authors. Licensee MDPI, Basel, Switzerland. This article is an open access article distributed under the terms and conditions of the Creative Commons Attribution (CC BY) license (http://creativecommons.org/licenses/by/4.0/).
Share and Cite
Travina, A.O.; Ilicheva, N.V.; Mittenberg, A.G.; Shabelnikov, S.V.; Kotova, A.V.; Podgornaya, O.I. The Long Linker Region of Telomere-Binding Protein TRF2 Is Responsible for Interactions with Lamins. Int. J. Mol. Sci. 2021, 22, 3293. https://doi.org/10.3390/ijms22073293
Travina AO, Ilicheva NV, Mittenberg AG, Shabelnikov SV, Kotova AV, Podgornaya OI. The Long Linker Region of Telomere-Binding Protein TRF2 Is Responsible for Interactions with Lamins. International Journal of Molecular Sciences. 2021; 22(7):3293. https://doi.org/10.3390/ijms22073293
Chicago/Turabian StyleTravina, Aleksandra O., Nadya V. Ilicheva, Alexey G. Mittenberg, Sergey V. Shabelnikov, Anastasia V. Kotova, and Olga I. Podgornaya. 2021. "The Long Linker Region of Telomere-Binding Protein TRF2 Is Responsible for Interactions with Lamins" International Journal of Molecular Sciences 22, no. 7: 3293. https://doi.org/10.3390/ijms22073293
APA StyleTravina, A. O., Ilicheva, N. V., Mittenberg, A. G., Shabelnikov, S. V., Kotova, A. V., & Podgornaya, O. I. (2021). The Long Linker Region of Telomere-Binding Protein TRF2 Is Responsible for Interactions with Lamins. International Journal of Molecular Sciences, 22(7), 3293. https://doi.org/10.3390/ijms22073293

