Duodenal Ampulla Neuroendocrine Tumor with GISTs of the Proximal Jejunum: A Case Report
Abstract
1. Introduction
2. Case Report
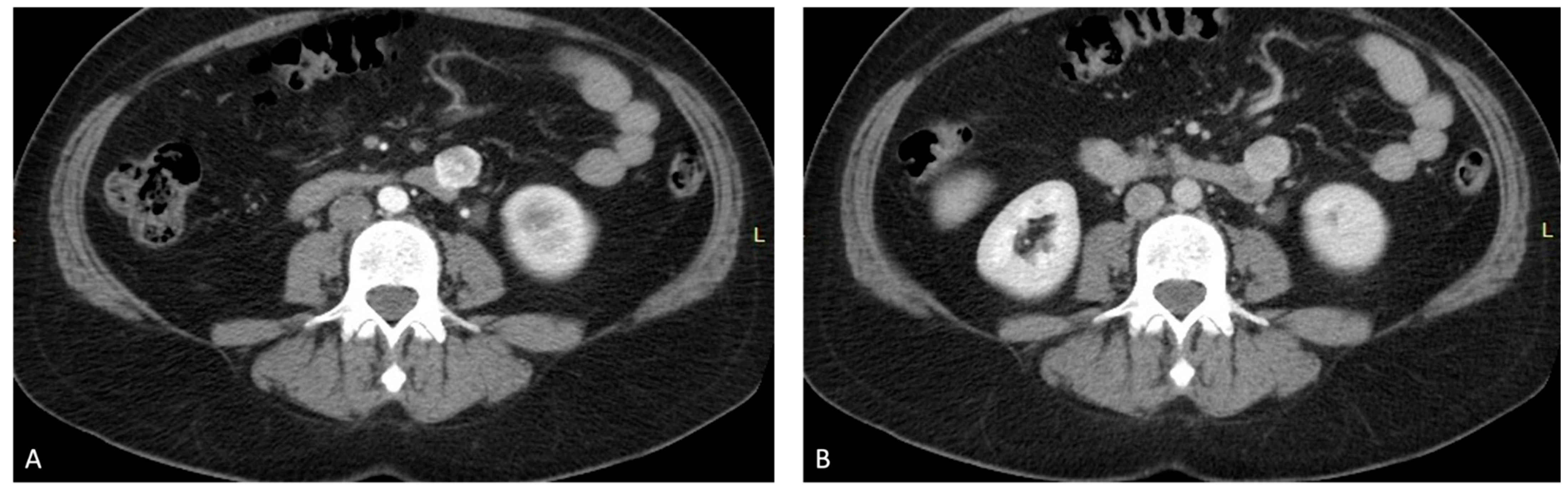
2.1. Abdominal and Pelvic CT with Contrast
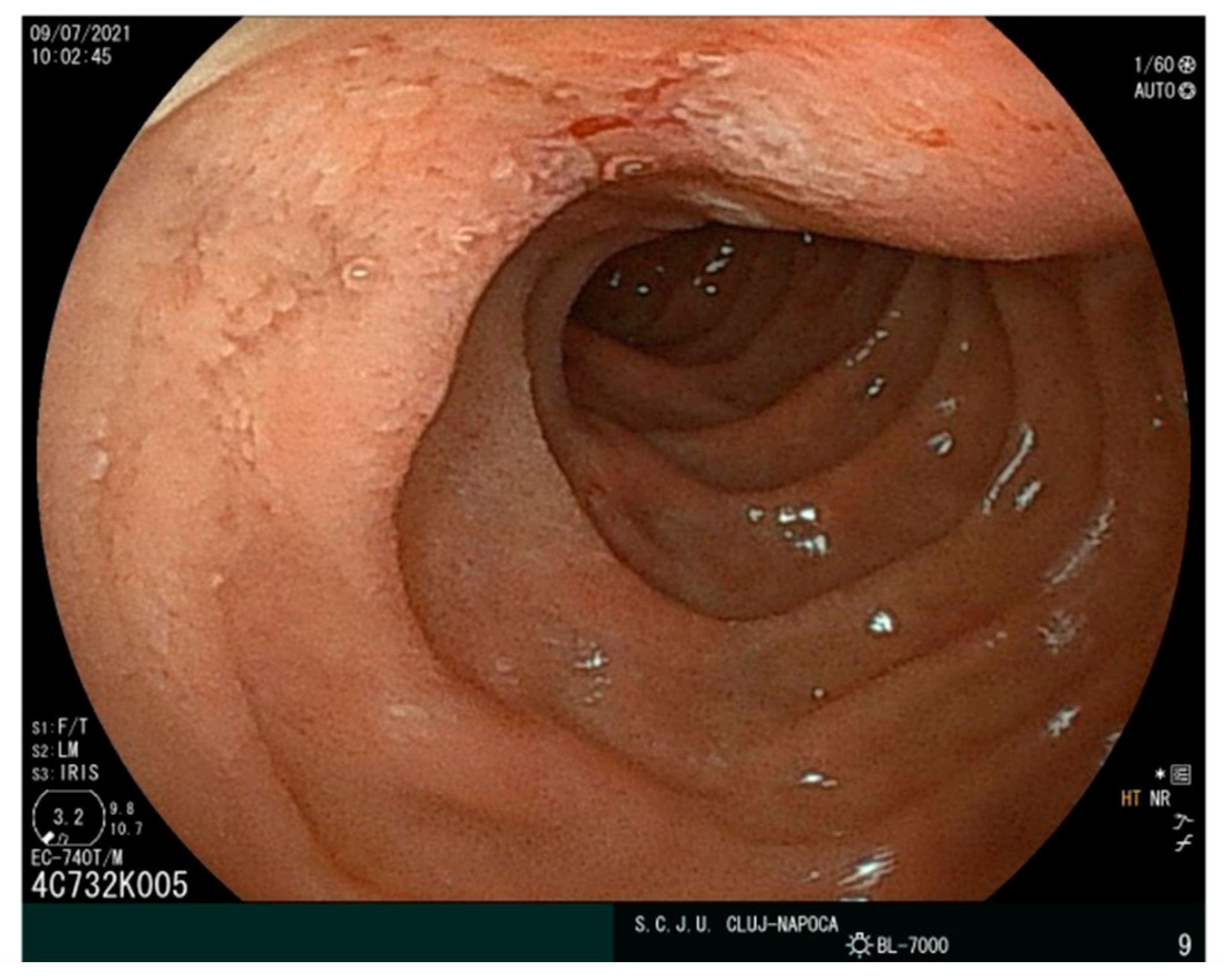
2.2. Upper Enteroscopy
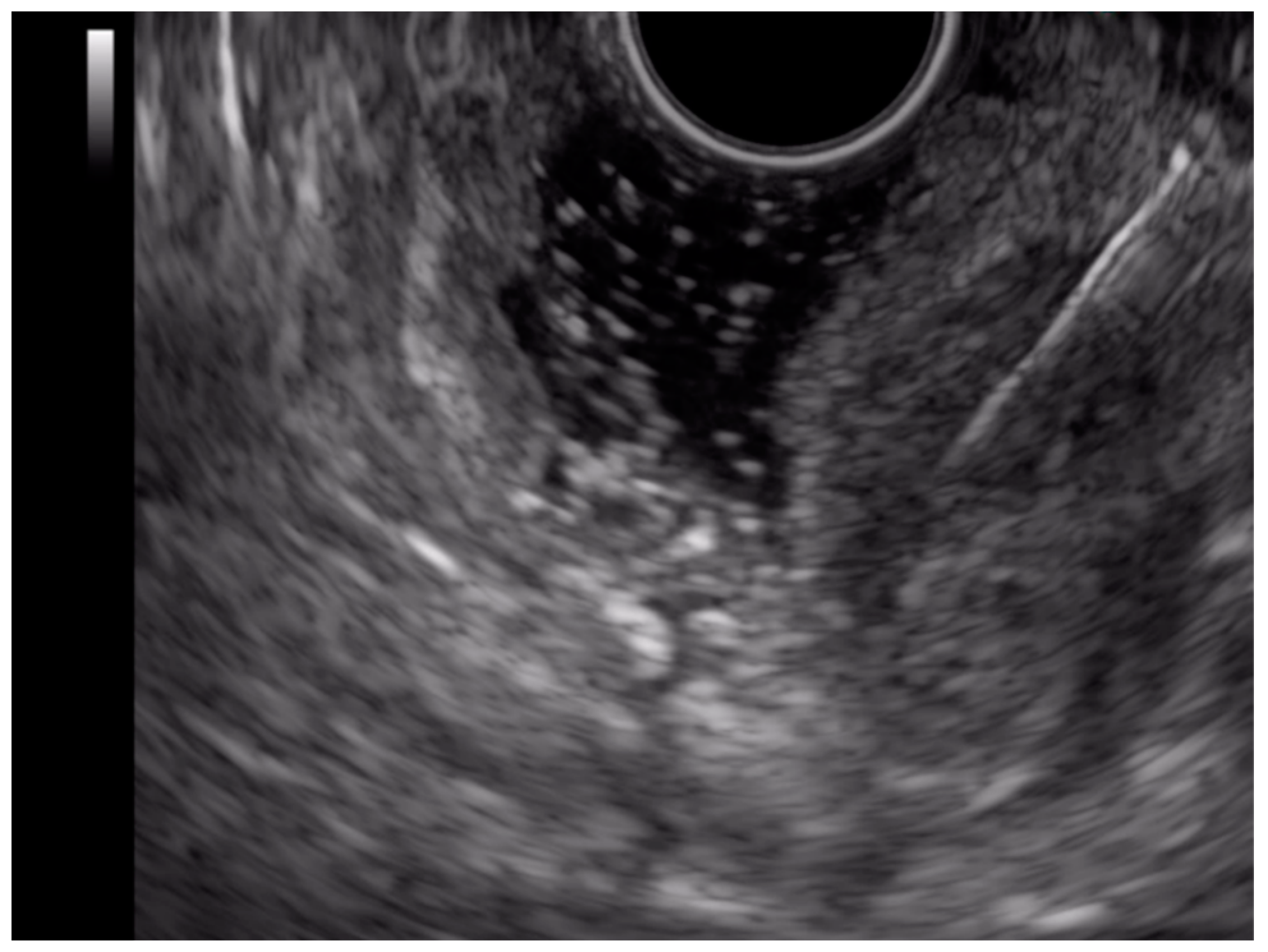
2.3. Endoscopic Ultrasound (EUS)
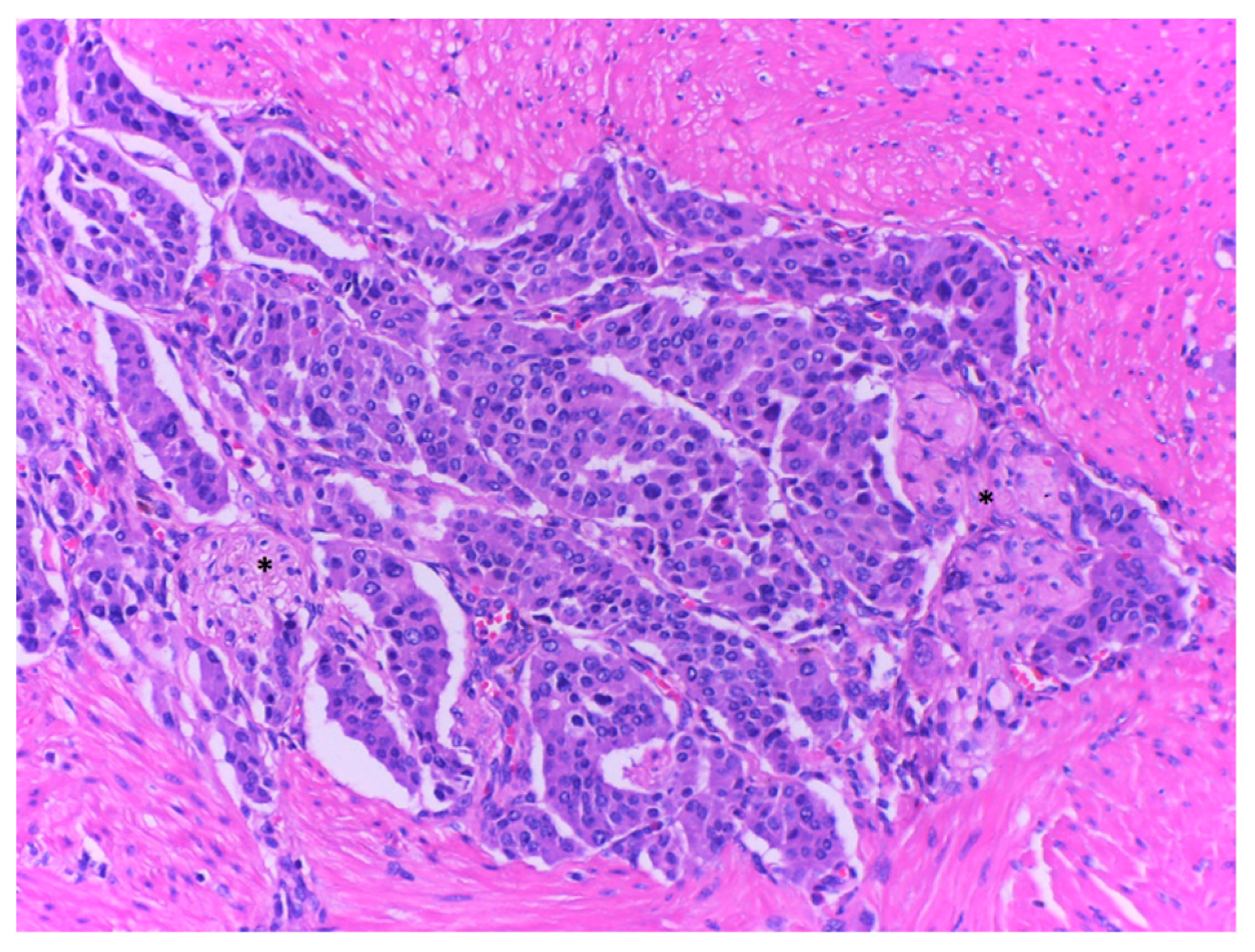
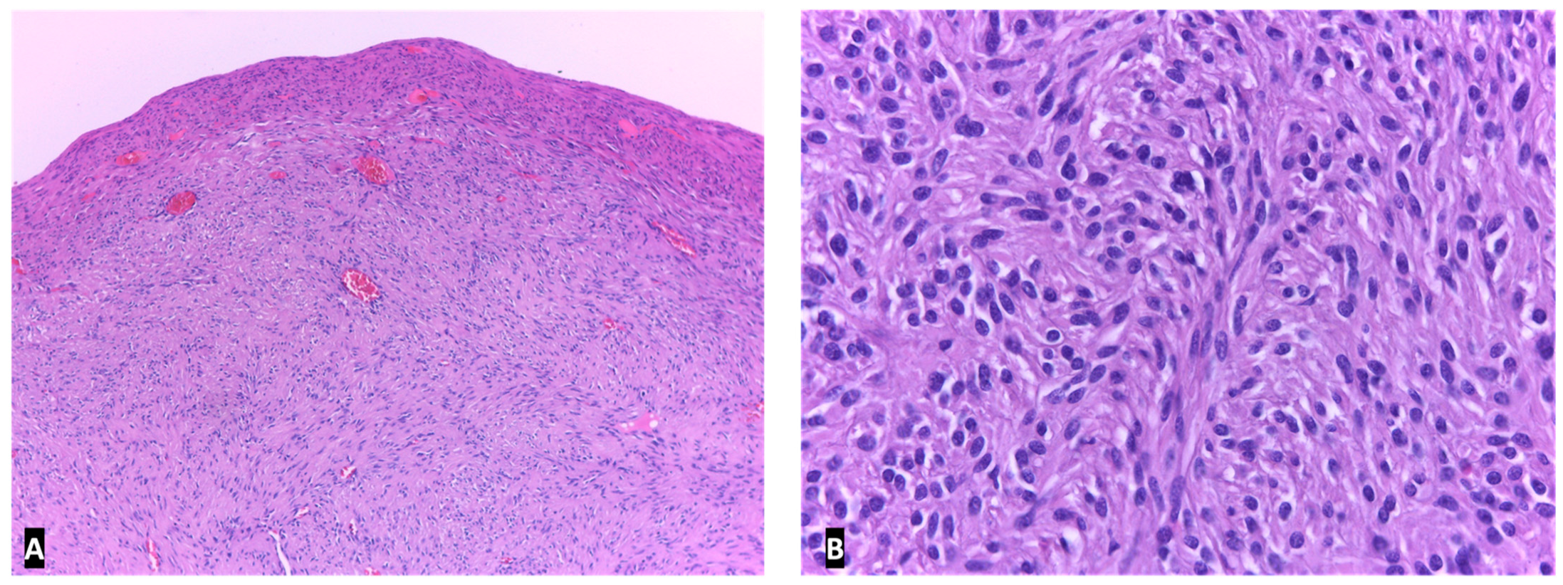
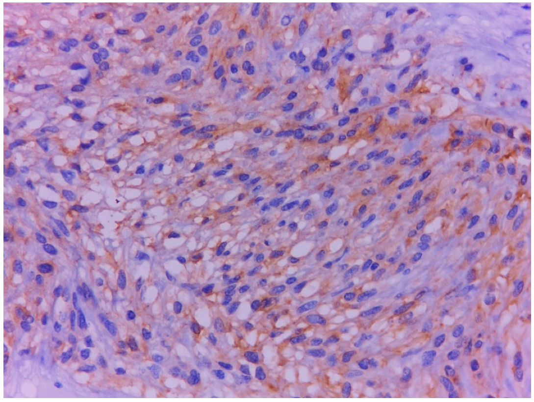
2.4. Histopathological Exam
- -
- a duodenal NEN, well delimited, with a lymph node metastasis pT3N1L1V0Pn1R1;
- -
3. Discussion
- Cephalic duodenopancreatectomy (Whipple procedure) and segmental enterectomy for jejunal tumor with gastro-jejunal, common bile duct-jejunal and Wirsung-jejunal anastomosis in Y a la Roux. This intervention was then ruled out because our patient was young, with well-differentiated NEN, low Ki-67, without dilation of the common bile duct and Wirsung duct, and DPC is a surgery with many associated complications and high mortality and morbidity rates [24];
- Lateral duodenotomy with periduodenal NEN resection and segmental resection of the small intestine and duodeno-jejunal anastomosis. This intervention is less radical, but with an increased risk of acute pancreatitis and of incomplete NEN resection. However, this technique is more opportune because of the pancreatic tissue is preserved and it is a low risk for the occurrence of postoperative pancreatic fistula. Due to these advantages and because this technique is recommended for curative purposes for patients without distant metastases [25], locoregional resection surgery was performed in our patient.
4. Conclusions
Author Contributions
Funding
Institutional Review Board Statement
Informed Consent Statement
Data Availability Statement
Conflicts of Interest
References
- Massironi, S.; Campana, D.; Partelli, S.; Panzuto, F.; Rossi, R.E.; Faggiano, A.; Brighi, N.; Falconi, M.; Rinzivillo, M.; Fave, G.D.; et al. Heterogeneity of Duodenal Neuroendocrine Tumors: An Italian Multi-center Experience. Ann. Surg. Oncol. 2018, 25, 3200–3206. [Google Scholar] [CrossRef] [PubMed]
- Ahmed, M. Recent advances in the management of gastrointestinal stromal tumor. World J. Clin. Cases 2020, 8, 3142–3155. [Google Scholar] [CrossRef] [PubMed]
- Yang, Z. Pathology of Neuroendocrine Neoplasms in the Digestive System. In Neuroendocrine Tumors: Surgical Evaluation and Management; Cloyd, J.M., Pawlik, T.M., Eds.; Springer International Publishing: Cham, Switzerland, 2021; pp. 35–62. [Google Scholar]
- Rossi, R.E.; Rausa, E.; Cavalcoli, F.; Conte, D.; Massironi, S. Duodenal neuroendocrine neoplasms: A still poorly recognized clinical entity. Scand. J. Gastroenterol. 2018, 53, 835–842. [Google Scholar] [CrossRef] [PubMed]
- Ruff, S.M.; Standring, O.; Wu, G.; Levy, A.; Anantha, S.; Newman, E.; Karpeh, M.S.; Nealon, W.; Deutsch, G.B.; Weiss, M.J.; et al. Ampullary Neuroendocrine Tumors: Insight into a Rare Histology. Ann. Surg. Oncol. 2021, 28, 8318–8328. [Google Scholar] [CrossRef] [PubMed]
- Scott, A.T.; Howe, J. Management of Small Bowel Neuroendocrine Tumors. J. Oncol. Pract. 2018, 14, 471–482. [Google Scholar] [CrossRef]
- Hirota, S. Differential diagnosis of gastrointestinal stromal tumor by histopathology and immunohistochemistry. Transl. Gastroenterol. Hepatol. 2018, 3, 27. [Google Scholar] [CrossRef]
- Parab, T.M.; DeRogatis, M.J.; Boaz, A.M.; Grasso, S.A.; Issack, P.S.; Duarte, D.A.; Urayeneza, O.; Vahdat, S.; Qiao, J.-H.; Hinika, G.S. Gastrointestinal stromal tumors: A comprehensive review. J. Gastrointest. Oncol. 2018, 10, 144–154. [Google Scholar] [CrossRef]
- Mei, L.; Du, W.; Idowu, M.; Von Mehren, M.; Boikos, S.A. Advances and Challenges on Management of Gastrointestinal Stromal Tumors. Front. Oncol. 2018, 8, 135. [Google Scholar] [CrossRef]
- Pyuza, J.J.; Shao, E.R.; Bosco, K.; Lodhia, J.; Mremi, A. An incidental finding of duodenal GIST in a patient with penetrating abdominal trauma: A case report. Int. J. Surg. Case Rep. 2021, 85, 106263. [Google Scholar] [CrossRef]
- Park, E.K.; Kim, H.J.; Lee, Y.H.; Koh, Y.S.; Hur, Y.H.; Cho, C.K. Synchronous Gastrointestinal Stromal Tumor and Ampullary Neuroendocrine Tumor in Association with Neurofibromatosis Type 1: A Report of Three Cases. Korean J. Gastroenterol. 2019, 74, 227–231. [Google Scholar] [CrossRef]
- Søreide, K.; Sandvik, O.M.; Søreide, J.A.; Giljaca, V.; Jureckova, A.; Bulusu, V.R. Global epidemiology of gastrointestinal stromal tumours (GIST): A systematic review of population-based cohort studies. Cancer Epidemiol. 2016, 40, 39–46. [Google Scholar] [CrossRef] [PubMed]
- Chan, K.P. What’s the Mass? The Gist of Point-of-care Ultrasound in Gastrointestinal Stromal Tumors. Clin. Pract. Cases Emerg. Med. 2018, 2, 82–85. [Google Scholar] [CrossRef] [PubMed][Green Version]
- Futo, Y.; Saito, S.; Miyato, H.; Sadatomo, A.; Kaneko, Y.; Kono, Y.; Matsubara, D.; Horie, H.; Lefor, A.K.; Sata, N. Duodenal gastrointestinal stromal tumors appear similar to pancreatic neuroendocrine tumors: A case report. Int. J. Surg. Case Rep. 2018, 53, 358–361. [Google Scholar] [CrossRef] [PubMed]
- Wang, X.; Wu, Y.; Cao, X.; Zhang, X.; Cheng, Y.; Kong, L. Duodenal neuroendocrine tumor. Medicine 2021, 100, e24635. [Google Scholar] [CrossRef]
- Delle Fave, G.; O’Toole, D.; Sundin, A.; Taal, B.; Ferolla, P.; Ramage, J.; Ferone, D.; Ito, T.; Weber, W.; Zheng-Pei, Z.; et al. ENETS Consensus Guidelines Update for Gastroduodenal Neuroendocrine Neoplasms. Neuroendocrinology 2016, 103, 119–124. [Google Scholar] [CrossRef]
- Tran, C.; Sherman, S.K.; Howe, J.R. Small Bowel Neuroendocrine Tumors. Curr. Probl. Surg. 2020, 57, 100823. [Google Scholar] [CrossRef]
- Gilani, S.M.; Muniraj, T.; Aslanian, H.R.; Cai, G. Endoscopic ultrasound-guided fine needle aspiration cytology diagnosis of upper gastrointestinal tract mesenchymal tumors: Impact of rapid onsite evaluation and correlation with histopathologic follow-up. Diagn. Cytopathol. 2020, 49, 203–210. [Google Scholar] [CrossRef]
- Juhlin, C.C. Second-Generation Neuroendocrine Immunohistochemical Markers: Reflections from Clinical Implementation. Biology 2021, 10, 874. [Google Scholar] [CrossRef]
- Bellizzi, A.M. Immunohistochemistry in the diagnosis and classification of neuroendocrine neoplasms: What can brown do for you? Hum. Pathol. 2019, 96, 8–33. [Google Scholar] [CrossRef]
- Nagtegaal, I.D.; Odze, R.D.; Klimstra, D.; Paradis, V.; Rugge, M.; Schirmacher, P.; Washington, K.M.; Carneiro, F.; Cree, I.A.; The WHO Classification of Tumours Editorial Board. The 2019 WHO classification of tumours of the digestive system. Histopathology 2020, 76, 182–188. [Google Scholar] [CrossRef]
- Shah, M.H.; Goldner, W.S.; Benson, A.B.; Bergsland, E.; Blaszkowsky, L.S.; Brock, P.; Chan, J.; Das, S.; Dickson, P.V.; Fanta, P.; et al. Neuroendocrine and Adrenal Tumors, Version 2.2021, NCCN Clinical Practice Guidelines in Oncology. J. Natl. Compr. Cancer Netw. 2021, 19, 839–868. [Google Scholar] [CrossRef] [PubMed]
- Karakas, C.; Christensen, P.; Baek, D.; Jung, M.; Ro, J.Y. Dedifferentiated gastrointestinal stromal tumor: Recent advances. Ann. Diagn. Pathol. 2018, 39, 118–124. [Google Scholar] [CrossRef] [PubMed]
- D’Cruz, J.R.; Misra, S.; Shamsudeen, S. Pancreaticoduodenectomy. In StatPearls; StatPearls Publishing: Treasure Island, FL, USA, 2022. [Google Scholar]
- Daskalakis, K.; Tsolakis, A.V. Upfront surgery of small intestinal neuroendocrine tumors. Time to reconsider? World J. Gastroenterol. 2018, 24, 3201–3203. [Google Scholar] [CrossRef]
- Lee, S.Y.; Goh, B.K.P.; Sadot, E.; Rajeev, R.; Balachandran, V.P.; Gönen, M.; Kingham, T.P.; Allen, P.J.; D’Angelica, M.I.; Jarnagin, W.R.; et al. Surgical Strategy and Outcomes in Duodenal Gastrointestinal Stromal Tumor. Ann. Surg. Oncol. 2016, 24, 202–210. [Google Scholar] [CrossRef] [PubMed]
- Liu, Z.; Zheng, G.; Liu, J.; Liu, S.; Xu, G.; Wang, Q.; Guo, M.; Lian, X.; Zhang, H.; Feng, F. Clinicopathological features, surgical strategy and prognosis of duodenal gastrointestinal stromal tumors: A series of 300 patients. BMC Cancer 2018, 18, 563. [Google Scholar] [CrossRef] [PubMed]
- Chok, A.-Y.; Koh, Y.-X.; Ow, M.Y.L.; Allen, J.C.; Goh, B.K.P. A Systematic Review and Meta-analysis Comparing Pancreaticoduodenectomy Versus Limited Resection for Duodenal Gastrointestinal Stromal Tumors. Ann. Surg. Oncol. 2014, 21, 3429–3438. [Google Scholar] [CrossRef]












| Type of Tumor | NEN | GIST | |||
|---|---|---|---|---|---|
| Sample | Sample | Sample 1 | Sample 2 | Sample 3 | Sample 4 |
| Aspect | Tumor proliferation with cells containing round, oval, pleomorphic nuclei, and fine granular chromatin. Proliferation covered the entire section and caused partial ulceration of the mucosa that crosses muscular propria layer and extends into the peripancreatic adipose tissue with discrete infiltration of pancreatic acini. Infiltration was clearer after synaptophysin labeling. | Tumor proliferation with atypical cells, fasciculate disposition, elongated nuclei, discrete nucleoli, and pale eosinophilic cytoplasm. The apparent origin of the tumor is muscularis propria | Small intestine sample with tumor proliferation, composed of cells with fascicular disposition, elongated and non- pleomorphic nuclei, pale eosinophilic cytoplasm, rare epithelioid cells. The apparent origin of the tumor is muscularis propria | Sample muscle proliferation with tumor proliferation composed of cells without atypia, fascicular disposition, elongated nuclei, discrete nuclei, and pale eosinophilic cytoplasm | Sample muscle proliferation with tumor proliferation composed of cells without atypia, fascicular disposition, elongated nuclei, discrete nuclei, and pale eosinophilic cytoplasm |
| Tumor cells | CgA-positive SPY-positive Ki67-reduced, maximum 2% | c-kit-positive DOG1 positive SMA-negative | c-kit-positive DOG1 positive SMA-negative CgA-negative | c-kit-positive SMA-negative | c-kit-positive SMA-negative |
Publisher’s Note: MDPI stays neutral with regard to jurisdictional claims in published maps and institutional affiliations. |
© 2022 by the authors. Licensee MDPI, Basel, Switzerland. This article is an open access article distributed under the terms and conditions of the Creative Commons Attribution (CC BY) license (https://creativecommons.org/licenses/by/4.0/).
Share and Cite
Nagy, G.A.; Neag, M.A.; Drasovean, R.; Crisan, D.; Chira, R.I. Duodenal Ampulla Neuroendocrine Tumor with GISTs of the Proximal Jejunum: A Case Report. Int. J. Mol. Sci. 2022, 23, 10351. https://doi.org/10.3390/ijms231810351
Nagy GA, Neag MA, Drasovean R, Crisan D, Chira RI. Duodenal Ampulla Neuroendocrine Tumor with GISTs of the Proximal Jejunum: A Case Report. International Journal of Molecular Sciences. 2022; 23(18):10351. https://doi.org/10.3390/ijms231810351
Chicago/Turabian StyleNagy, Georgiana Anca, Maria Adriana Neag, Radu Drasovean, Doinita Crisan, and Romeo Ioan Chira. 2022. "Duodenal Ampulla Neuroendocrine Tumor with GISTs of the Proximal Jejunum: A Case Report" International Journal of Molecular Sciences 23, no. 18: 10351. https://doi.org/10.3390/ijms231810351
APA StyleNagy, G. A., Neag, M. A., Drasovean, R., Crisan, D., & Chira, R. I. (2022). Duodenal Ampulla Neuroendocrine Tumor with GISTs of the Proximal Jejunum: A Case Report. International Journal of Molecular Sciences, 23(18), 10351. https://doi.org/10.3390/ijms231810351

