MiRNAs as Potential Regulators of Enthesis Healing: Findings in a Rodent Injury Model
Abstract
1. Introduction
2. Results
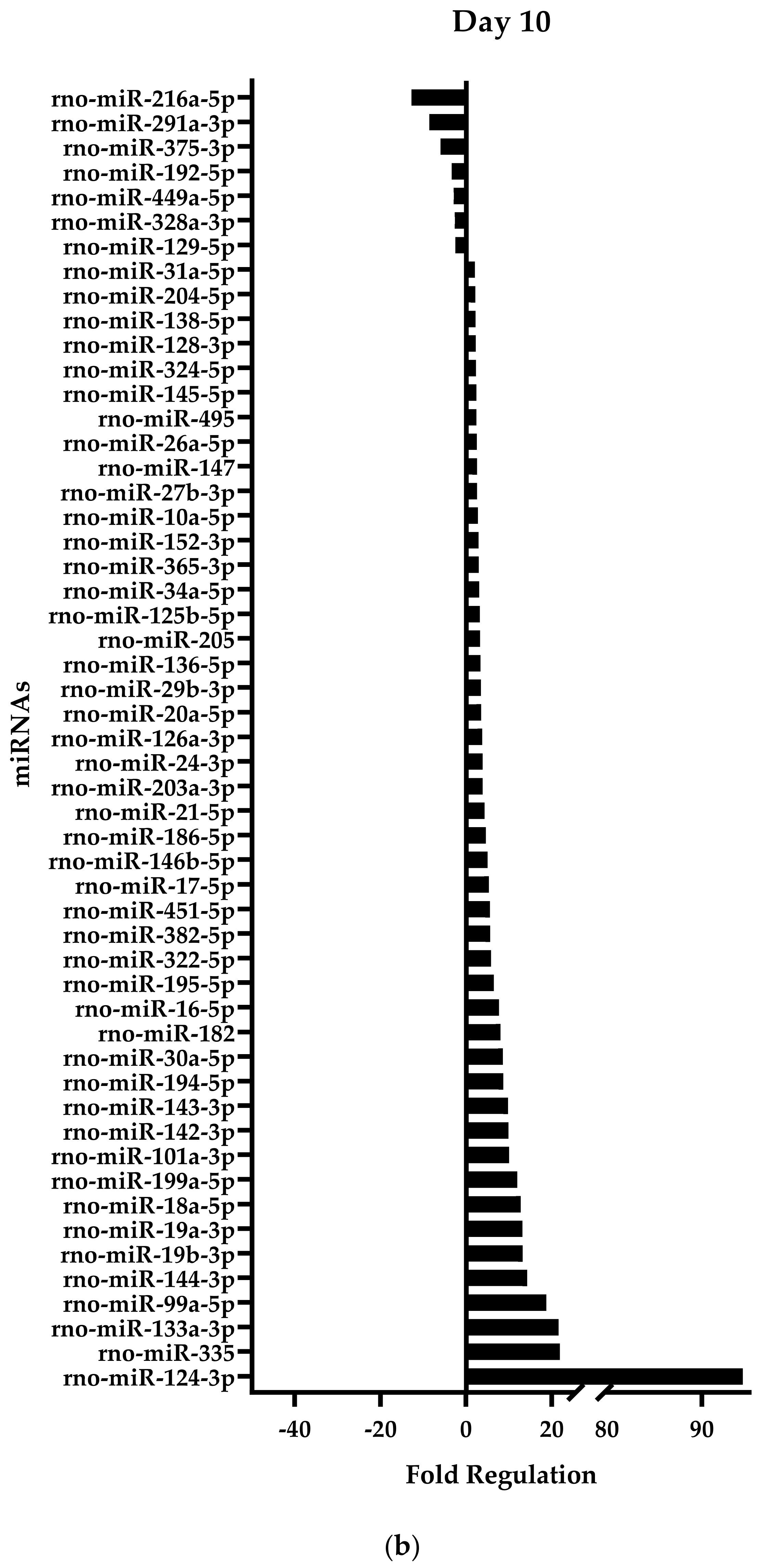
2.1. miRNA Expression
2.2. mRNA Expression
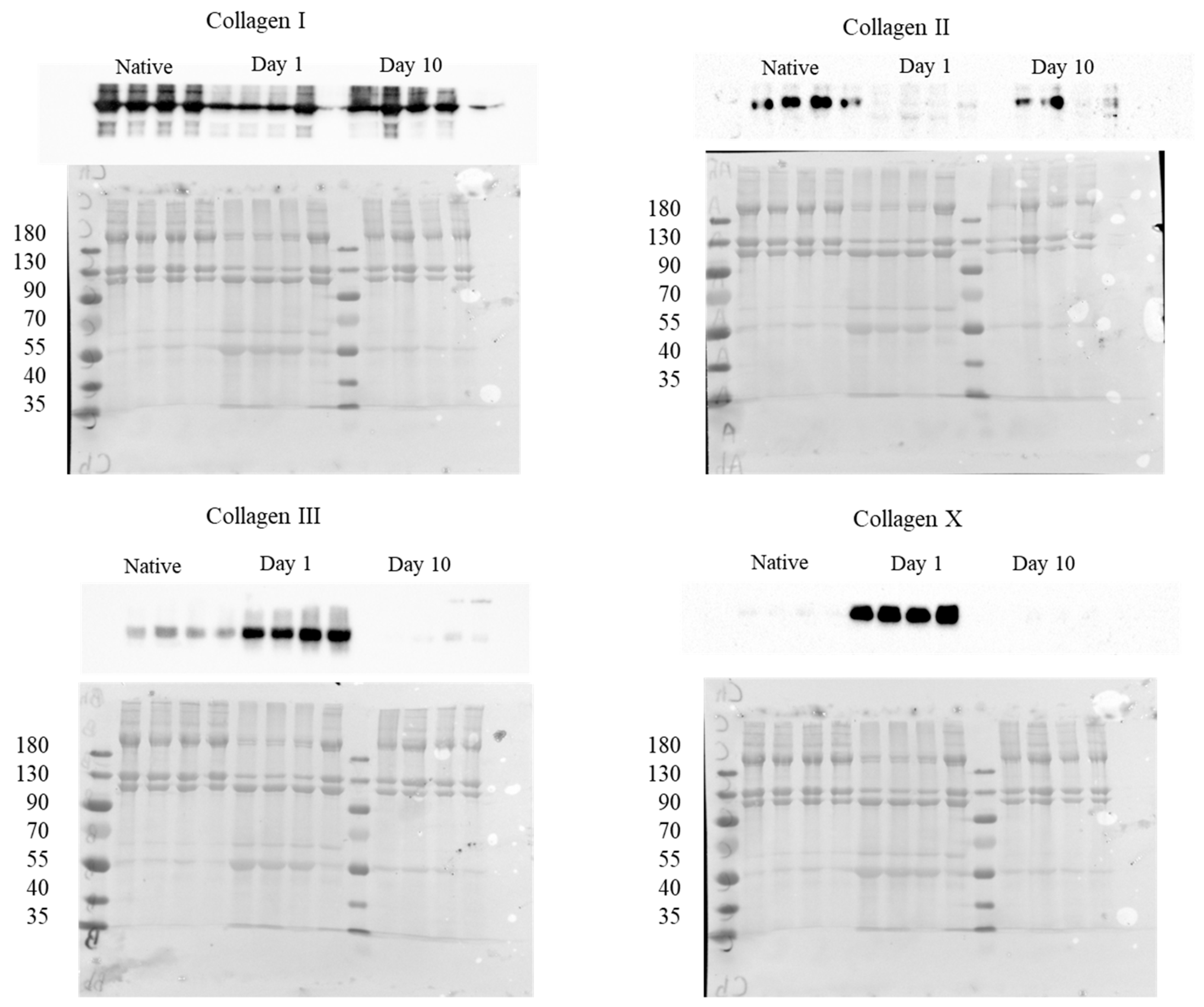
2.3. Western Blot
2.4. Histology
2.4.1. Safranin O, Alcian Blue and Masson Trichrome Staining
2.4.2. Immunohistochemistry
2.5. In Situ Hybridization
3. Discussion
4. Materials and Methods
4.1. Rat Patellar Model
4.2. Sample Preparation and RNA Extraction
4.3. cDNA Synthesis and PCR Array for miRNA Expression
4.4. cDNA Synthesis and PCR for mRNA Expression
4.5. Ingenuity Pathway Analysis
4.6. Protein Purification and Western Blots
4.7. Histology
4.8. In Situ Hybridization
5. Conclusions
Author Contributions
Funding
Institutional Review Board Statement
Informed Consent Statement
Data Availability Statement
Conflicts of Interest
References
- Watad, A.; Cuthbert, R.J.; Amital, H.; McGonagle, D. Enthesitis: Much More Than Focal Insertion Point Inflammation. Curr. Rheumatol. Rep. 2018, 20, 41. [Google Scholar] [CrossRef] [PubMed]
- Apostolakos, J.; Durant, T.J.; Dwyer, C.R.; Russell, R.P.; Weinreb, J.H.; Alaee, F.; Beitzel, K.; McCarthy, M.B.; Cote, M.P.; Mazzocca, A.D. The enthesis: A review of the tendon-to-bone insertion. Muscles Ligaments Tendons J. 2014, 4, 333–342. [Google Scholar] [CrossRef] [PubMed]
- Rossetti, L.; Kuntz, L.A.; Kunold, E.; Schock, J.; Muller, K.W.; Grabmayr, H.; Stolberg-Stolberg, J.; Pfeiffer, F.; Sieber, S.A.; Burgkart, R.; et al. The microstructure and micromechanics of the tendon-bone insertion. Nat. Mater. 2017, 16, 664–670. [Google Scholar] [CrossRef] [PubMed]
- Derwin, K.A.; Galatz, L.M.; Ratcliffe, A.; Thomopoulos, S. Enthesis Repair: Challenges and Opportunities for Effective Tendon-to-Bone Healing. J. Bone Jt. Surg. Am. 2018, 100, e109. [Google Scholar] [CrossRef] [PubMed]
- Mattap, S.; Aitken, D.; Wills, K.; Halliday, A.; Ding, C.; Han, W.; Cicuttini, F.; Jones, G.; Laslett, L. Patellar tendon enthesis abnormalities and their association with knee pain and structural abnormalities in older adults. Osteoarthr. Cartil. 2018, 26, S412–S413. [Google Scholar] [CrossRef]
- Calejo, I.; Costa-Almeida, R.; Reis, R.L.; Gomes, M.E. Enthesis Tissue Engineering: Biological Requirements Meet at the Interface. Tissue Eng. Part B Rev. 2019, 25, 330–356. [Google Scholar] [CrossRef] [PubMed]
- Baraliakos, X.; Sewerin, P.; De Miguel, E.; Pournara, E.; Kleinmond, C.; Wiedon, A.; Behrens, F. Achilles tendon enthesitis evaluated by MRI assessments in patients with axial spondyloarthritis and psoriatic arthritis: A report of the methodology of the ACHILLES trial. BMC Musculoskelet. Disord. 2020, 21, 767. [Google Scholar] [CrossRef]
- Fan, L.; Xu, B.; Liu, N.; Wang, L. Histopathological changes in patellar tendon enthesis of rabbit induced by electrical stimulation intensity. J. Orthop. Sci. 2020, 25, 344–348. [Google Scholar] [CrossRef]
- Holwein, C.; Von Bibra, B.; Jungmann, P.M.; Karampinos, D.C.; Wörtler, K.; Scheibel, M.; Imhoff, A.B.; Buchmann, S. No healing improvement after rotator cuff reconstruction augmented with an autologous periosteal flap. Knee Surg. Sport. Traumatol. Arthrosc. 2019, 27, 3212–3221. [Google Scholar] [CrossRef]
- Peniche Silva, C.J.; Müller, S.A.; Quirk, N.; Poh, P.S.P.; Mayer, C.; Motta, A.; Migliaresi, C.; Coenen, M.J.; Evans, C.H.; Balmayor, E.R.; et al. Enthesis Healing Is Dependent on Scaffold Interphase Morphology-Results from a Rodent Patellar Model. Cells 2022, 11, 1752. [Google Scholar] [CrossRef]
- He, L.; Hannon, G.J. MicroRNAs: Small RNAs with a big role in gene regulation. Nat. Rev. Genet. 2004, 5, 522–531. [Google Scholar] [CrossRef] [PubMed]
- Cannell, I.G.; Kong, Y.W.; Bushell, M. How do microRNAs regulate gene expression? Biochem. Soc. Trans. 2008, 36, 1224–1231. [Google Scholar] [CrossRef] [PubMed]
- Bushati, N.; Cohen, S.M. microRNA Functions. Annu. Rev. Cell Dev. Biol. 2007, 23, 175–205. [Google Scholar] [CrossRef] [PubMed]
- Hashimoto, Y.; Akiyama, Y.; Yuasa, Y. Multiple-to-multiple relationships between microRNAs and target genes in gastric cancer. PLoS ONE 2013, 8, e62589. [Google Scholar] [CrossRef]
- Bhaskaran, M.; Mohan, M. MicroRNAs: History, biogenesis, and their evolving role in animal development and disease. Vet. Pathol. 2014, 51, 759–774. [Google Scholar] [CrossRef]
- Catalanotto, C.; Cogoni, C.; Zardo, G. MicroRNA in Control of Gene Expression: An Overview of Nuclear Functions. Int. J. Mol. Sci. 2016, 17, 1712. [Google Scholar] [CrossRef]
- Peng, Y.; Croce, C.M. The role of MicroRNAs in human cancer. Signal Transduct. Target 2016, 1, 15004. [Google Scholar] [CrossRef]
- Schueller, F.; Roy, S.; Vucur, M.; Trautwein, C.; Luedde, T.; Roderburg, C. The Role of miRNAs in the Pathophysiology of Liver Diseases and Toxicity. Int. J. Mol. Sci. 2018, 19, 261. [Google Scholar] [CrossRef]
- Groven, R.V.M.; Van Koll, J.; Poeze, M.; Blokhuis, T.J.; Van Griensven, M. miRNAs Related to Different Processes of Fracture Healing: An Integrative Overview. Front. Surg. 2021, 8, 584. [Google Scholar] [CrossRef]
- Kelch, S.; Balmayor, E.R.; Seeliger, C.; Vester, H.; Kirschke, J.S.; Van Griensven, M. miRNAs in bone tissue correlate to bone mineral density and circulating miRNAs are gender independent in osteoporotic patients. Sci. Rep. 2017, 7, 15861. [Google Scholar] [CrossRef]
- Mollaei, H.; Safaralizadeh, R.; Rostami, Z. MicroRNA replacement therapy in cancer. J. Cell Physiol. 2019, 234, 12369–12384. [Google Scholar] [CrossRef] [PubMed]
- Garofalo, M.; Leva, D.G.; Croce, M.C. microRNAs as Anti-Cancer Therapy. Curr. Pharm. Des. 2014, 20, 5328–5335. [Google Scholar] [CrossRef] [PubMed]
- Bader, A. miR-34—A microRNA replacement therapy is headed to the clinic. Front. Genet. 2012, 3, 120. [Google Scholar] [CrossRef] [PubMed]
- Wang, X.; He, Y.; Mackowiak, B.; Gao, B. MicroRNAs as regulators, biomarkers and therapeutic targets in liver diseases. Gut 2021, 70, 784. [Google Scholar] [CrossRef] [PubMed]
- Ye, D.; Zhang, T.; Lou, G.; Liu, Y. Role of miR-223 in the pathophysiology of liver diseases. Exp. Mol. Med. 2018, 50, 1–12. [Google Scholar] [CrossRef] [PubMed]
- Wu, J.; Kuang, L.; Chen, C.; Yang, J.; Zeng, W.-N.; Li, T.; Chen, H.; Huang, S.; Fu, Z.; Li, J.; et al. miR-100-5p-abundant exosomes derived from infrapatellar fat pad MSCs protect articular cartilage and ameliorate gait abnormalities via inhibition of mTOR in osteoarthritis. Biomaterials 2019, 206, 87–100. [Google Scholar] [CrossRef] [PubMed]
- Geng, Y.; Zhao, X.; Xu, J.; Zhang, X.; Hu, G.; Fu, S.-C.; Dai, K.; Chen, X.; Patrick, Y.s.-h.; Zhang, X. Overexpression of mechanical sensitive miR-337-3p alleviates ectopic ossification in rat tendinopathy model via targeting IRS1 and Nox4 of tendon-derived stem cells. J. Mol. Cell Biol. 2019, 12, 305–317. [Google Scholar] [CrossRef]
- Watts, A.E.; Millar, N.L.; Platt, J.; Kitson, S.M.; Akbar, M.; Rech, R.; Griffin, J.; Pool, R.; Hughes, T.; McInnes, I.B.; et al. MicroRNA29a Treatment Improves Early Tendon Injury. Mol. Ther. 2017, 25, 2415–2426. [Google Scholar] [CrossRef]
- Vonk, L.A.; Kragten, A.H.M.; Dhert, W.J.A.; Saris, D.B.F.; Creemers, L.B. Overexpression of hsa-miR-148a promotes cartilage production and inhibits cartilage degradation by osteoarthritic chondrocytes. Osteoarthr. Cartil. 2014, 22, 145–153. [Google Scholar] [CrossRef]
- Maurer, B.; Stanczyk, J.; Jüngel, A.; Akhmetshina, A.; Trenkmann, M.; Brock, M.; Kowal-Bielecka, O.; Gay, R.E.; Michel, B.A.; Distler, J.H.W.; et al. MicroRNA-29, a key regulator of collagen expression in systemic sclerosis. Arthritis Rheum. 2010, 62, 1733–1743. [Google Scholar] [CrossRef]
- Xiong, Y.; Cao, F.; Hu, L.; Yan, C.; Chen, L.; Panayi, A.C.; Sun, Y.; Zhou, W.; Zhang, P.; Wu, Q.; et al. miRNA-26a-5p Accelerates Healing via Downregulation of PTEN in Fracture Patients with Traumatic Brain Injury. Mol. Ther.-Nucleic Acids 2019, 17, 223–234. [Google Scholar] [CrossRef] [PubMed]
- Liu, Q.; Zhu, Y.; Zhu, W.; Zhang, G.; Yang, Y.P.; Zhao, C. The role of MicroRNAs in tendon injury, repair, and related tissue engineering. Biomaterials 2021, 277, 121083. [Google Scholar] [CrossRef] [PubMed]
- Shen, L.; Qinglin, K.; Rui, Z.; Yanhao, L.; Rong, B. Tendon Adhesion and Novel Solutions. In Tendons; Nahum, R., Ed.; IntechOpen: Rijeka, Croatia, 2022; Chapter 3. [Google Scholar]
- Chen, Q.; Lu, H.; Yang, H. Chitosan inhibits fibroblasts growth in Achilles tendon via TGF-β1/Smad3 pathway by miR-29b. Int. J. Clin. Exp. Pathol. 2014, 7, 8462. [Google Scholar] [PubMed]
- Cui, H.; He, Y.; Chen, S.; Zhang, D.; Yu, Y.; Fan, C. Macrophage-Derived miRNA-Containing Exosomes Induce Peritendinous Fibrosis after Tendon Injury through the miR-21-5p/Smad7 Pathway. Mol. Ther.-Nucleic Acids 2019, 14, 114–130. [Google Scholar] [CrossRef]
- Li, L.; Jia, J.; Liu, X.; Yang, S.; Ye, S.; Yang, W.; Zhang, Y. MicroRNA-16-5p controls development of osteoarthritis by targeting SMAD3 in chondrocytes. Curr. Pharm. Des. 2015, 21, 5160–5167. [Google Scholar] [CrossRef]
- Zhang, Y.; Li, S.; Jin, P.; Shang, T.; Sun, R.; Lu, L.; Guo, K.; Liu, J.; Tong, Y.; Wang, J.; et al. Dual functions of microRNA-17 in maintaining cartilage homeostasis and protection against osteoarthritis. Nat. Commun. 2022, 13, 2447. [Google Scholar] [CrossRef]
- Wang, B.; Guo, J.; Feng, L.; Suen, C.W.; Fu, W.M.; Zhang, J.F.; Li, G. MiR124 suppresses collagen formation of human tendon derived stem cells through targeting egr1. Exp. Cell Res. 2016, 347, 360–366. [Google Scholar] [CrossRef]
- Fu, H.L.; Pan, H.X.; Zhao, B.; Dong, B.C.; Shao, L.; Fu, G.S.; Wang, Q.; Li, M. MicroRNA-100 inhibits bone morphogenetic protein-induced osteoblast differentiation by targeting Smad1. Eur. Rev. Med. Pharm. Sci. 2016, 20, 3911–3919. [Google Scholar]
- Qin, X.; Zhu, B.; Jiang, T.; Tan, J.; Wu, Z.; Yuan, Z.; Zheng, L.; Zhao, J. miR-17-5p Regulates Heterotopic Ossification by Targeting ANKH in Ankylosing Spondylitis. Mol. Ther.-Nucleic Acids 2019, 18, 696–707. [Google Scholar] [CrossRef]
- Jordan, K.P.; Jöud, A.; Bergknut, C.; Croft, P.; Edwards, J.J.; Peat, G.; Petersson, I.F.; Turkiewicz, A.; Wilkie, R.; Englund, M. International comparisons of the consultation prevalence of musculoskeletal conditions using population-based healthcare data from England and Sweden. Ann. Rheum. Dis. 2014, 73, 212. [Google Scholar] [CrossRef]
- Andarawis-Puri, N.; Flatow, E.L.; Soslowsky, L.J. Tendon basic science: Development, repair, regeneration, and healing. J. Orthop. Res. 2015, 33, 780–784. [Google Scholar] [CrossRef] [PubMed]
- Zafar, M.S.; Mahmood, A.; Maffulli, N. Basic science and clinical aspects of achilles tendinopathy. Sport. Med. Arthrosc. Rev. 2009, 17, 190–197. [Google Scholar] [CrossRef] [PubMed]
- Wu, F.; Nerlich, M.; Docheva, D. Tendon injuries: Basic science and new repair proposals. EFORT Open Rev. 2017, 2, 332. [Google Scholar] [CrossRef] [PubMed]
- Chartier, C.; ElHawary, H.; Baradaran, A.; Vorstenbosch, J.; Xu, L.; Efanov, J.I. Tendon: Principles of Healing and Repair. Semin. Plast. Surg. 2021, 35, 211–215. [Google Scholar] [CrossRef]
- Beredjiklian, P.K. Biologic Aspects of Flexor Tendon Laceration and Repair. JBJS 2003, 85, 539–550. [Google Scholar] [CrossRef]
- Sharma, P.M.N. Biology of tendon injury: Healing, modeling and remodeling. J. Musculoskelet. Neuronal. Interact. 2006, 6, 181–190. [Google Scholar]
- Cadby, J.A.; Buehler, E.; Godbout, C.; Van Weeren, P.R.; Snedeker, J.G. Differences between the Cell Populations from the Peritenon and the Tendon Core with Regard to Their Potential Implication in Tendon Repair. PLoS ONE 2014, 9, e92474. [Google Scholar] [CrossRef]
- Carpenter, J.E.; Flanagan, C.L.; Thomopoulos, S.; Yian, E.H.; Soslowsky, L.J. The effects of overuse combined with intrinsic or extrinsic alterations in an animal model of rotator cuff tendinosis. Am. J. Sport. Med. 1998, 26, 801–807. [Google Scholar] [CrossRef]
- Thomopoulos, S.; Parks, W.C.; Rifkin, D.B.; Derwin, K.A. Mechanisms of tendon injury and repair. J. Orthop. Res. 2015, 33, 832–839. [Google Scholar] [CrossRef]
- Wang, X.; Li, F.; Xie, L.; Crane, J.; Zhen, G.; Mishina, Y.; Deng, R.; Gao, B.; Chen, H.; Liu, S. Inhibition of overactive TGF-β attenuates progression of heterotopic ossification in mice. Nat. Commun. 2018, 9, 1–13. [Google Scholar] [CrossRef]
- Zhang, Q.; Zhou, D.; Wang, H.; Tan, J. Heterotopic ossification of tendon and ligament. J. Cell. Mol. Med. 2020, 24, 5428–5437. [Google Scholar] [CrossRef] [PubMed]
- Louwerens, J.; Alkaduhimi, H.; Van den Bekerom, M. Association between rotator cuff tears and calcific tendinopathy. Arthroscopy 2020, 36, 625–626. [Google Scholar] [CrossRef] [PubMed]
- O’Brien, E.J.; Frank, C.B.; Shrive, N.G.; Hallgrímsson, B.; Hart, D.A. Heterotopic mineralization (ossification or calcification) in tendinopathy or following surgical tendon trauma. Int. J. Exp. Pathol. 2012, 93, 319–331. [Google Scholar] [CrossRef] [PubMed]
- Ding, L.; Wang, M.; Qin, S.; Xu, L. The Roles of MicroRNAs in Tendon Healing and Regeneration. Front. Cell Dev. Biol. 2021, 9, 687117. [Google Scholar] [CrossRef] [PubMed]
- McGill, M.R.; Jaeschke, H. MicroRNAs as signaling mediators and biomarkers of drug-and chemical-induced liver injury. J. Clin. Med. 2015, 4, 1063–1078. [Google Scholar] [CrossRef]
- Millar, N.L.; Gilchrist, D.S.; Akbar, M.; Reilly, J.H.; Kerr, S.C.; Campbell, A.L.; Murrell, G.A.C.; Liew, F.Y.; Kurowska-Stolarska, M.; McInnes, I.B. MicroRNA29a regulates IL-33-mediated tissue remodelling in tendon disease. Nat. Commun. 2015, 6, 6774. [Google Scholar] [CrossRef]
- Hall, K.E.; Sarkissian, E.J.; Sharpe, O.; Robinson, W.H.; Abrams, G.D. Identification of differentially expressed micro-RNA in rotator cuff tendinopathy. Muscles Ligaments Tendons J. MLTJ 2018, 8, 8–14. [Google Scholar] [CrossRef]
- Plachel, F.; Heuberer, P.; Gehwolf, R.; Frank, J.; Tempfer, H.; Lehner, C.; Weissenbacher, N.; Wagner, A.; Weigl, M.; Moroder, P. MicroRNA profiling reveals distinct signatures in degenerative rotator cuff pathologies. J. Orthop. Res.® 2020, 38, 202–211. [Google Scholar] [CrossRef]
- Peniche Silva, C.J.; Müller, S.A.; Quirk, N.; De la Vega, R.E.; Coenen, M.J.; Evans, C.H.; Balmayor, E.R.; Van Griensven, M. Enthesis: Not the same in each localisation—A molecular, histological and biomechanical study. Eur. Cell Mater. 2022, 44, 43–55. [Google Scholar] [CrossRef]
- Liao, X.-B.; Yuan, K.; Liu, Y.; Feng, X.; Cui, R.-R.; Hu, Y.-R.; Yuan, Z.-S.; Gu, L.; Li, S.-J.; Mao, D.-A.; et al. MiR-133a Modulates Osteogenic Differentiation of Vascular Smooth Muscle Cells. Endocrinology 2013, 154, 3344–3352. [Google Scholar] [CrossRef]
- Jia, J.; Feng, X.; Xu, W.; Yang, S.; Zhang, Q.; Liu, X.; Feng, Y.; Dai, Z. MiR-17-5p modulates osteoblastic differentiation and cell proliferation by targeting SMAD7 in non-traumatic osteonecrosis. Exp. Mol. Med. 2014, 46, e107. [Google Scholar] [CrossRef] [PubMed]
- Inoue, K.; Deng, Z.; Chen, Y.; Giannopoulou, E.; Xu, R.; Gong, S.; Greenblatt, M.B.; Mangala, L.S.; Lopez-Berestein, G.; Kirsch, D.G.; et al. Bone protection by inhibition of microRNA-182. Nat. Commun. 2018, 9, 4108. [Google Scholar] [CrossRef] [PubMed]
- Yao, Q.; Xing, Y.; Wang, Z.; Liang, J.; Lin, Q.; Huang, M.; Chen, Y.; Lin, B.; Xu, X.; Chen, W. MiR-16-5p suppresses myofibroblast activation in systemic sclerosis by inhibiting NOTCH signaling. Aging 2020, 13, 2640–2654. [Google Scholar] [CrossRef] [PubMed]
- Wei, P.; Xie, Y.; Abel, P.W.; Huang, Y.; Ma, Q.; Li, L.; Hao, J.; Wolff, D.W.; Wei, T.; Tu, Y. Transforming growth factor (TGF)-β1-induced miR-133a inhibits myofibroblast differentiation and pulmonary fibrosis. Cell Death Dis. 2019, 10, 670. [Google Scholar] [CrossRef] [PubMed]
- Nichols, A.E.C.; Best, K.T.; Loiselle, A.E. The cellular basis of fibrotic tendon healing: Challenges and opportunities. Transl Res 2019, 209, 156–168. [Google Scholar] [CrossRef] [PubMed]
- Williams, I.; Heaton, A.; McCullagh, K. Cell morphology and collagen types in equine tendon scar. Res. Vet. Sci. 1980, 28, 302–310. [Google Scholar] [CrossRef]
- Eissa, M.G.; Artlett, C.M. The MicroRNA miR-155 Is Essential in Fibrosis. Non-coding RNA 2019, 5, 23. [Google Scholar] [CrossRef]
- Pashangzadeh, S.; Motallebnezhad, M.; Vafashoar, F.; Khalvandi, A.; Mojtabavi, N. Implications the Role of miR-155 in the Pathogenesis of Autoimmune Diseases. Front. Immunol. 2021, 12, 669382. [Google Scholar] [CrossRef]
- Papalia, G.F.; Franceschetti, E.; Giurazza, G.; Parisi, F.R.; Gregori, P.; Zampogna, B.; Longo, U.G.; Papalia, R. MicroRNA expression changes in the development of rotator cuff tendon injuries. JSES Rev. Rep. Tech. 2023, in press. [Google Scholar] [CrossRef]
- Hummon, A.B.; Lim, S.R.; Difilippantonio, M.J.; Ried, T. Isolation and solubilization of proteins after TRIzol extraction of RNA and DNA from patient material following prolonged storage. Biotechniques 2007, 42, 467–472. [Google Scholar] [CrossRef]











| Samples | Tendon Width (µm) |
|---|---|
| Native tissue | 341.0 ± 78.4 |
| Injured tissue (time point: 10 days) | 807.6 ± 31.8 |
| Targets | Forward 5′ →3′ | Reverse 5′ →3′ |
|---|---|---|
| COL1A1 | TTTCCCCCAACCCTGGAAAC | CAGTGGGCAGAAAGGGACTT |
| COL2A1 | CACGCCTTCCCATTGTTGAC | AGATAGTTCCTGTCTCCGCCT |
| COL3A1 | TGCAATGTGGGACCTGGTTT | GGGCAGTCTAGTGGCTCATC |
| MKX | GACGACGGCTGAAGAACACTG | CCTCTTCGTTCATGTGAGTTCTTGG |
| RUNX2 | CAAGGAGGCCCTGGTGTTTA | AAGAGGCTGTTTGACGCCAT |
| SMAD1 | CAATAGAGGAGATGTTCAAGCAGT | CAGACCGTGGTGGGATGAAA |
| SMAD3 | CTGGTGCTGGGGTTAGGTCA | GGCCATCCAGGGACTCAAAC |
| EGR1 | GCACCCACCTTTCCTACTCC | GTGTAAGCTCATCCGAGCGA |
| ANKH | CTGGTGGGATGTGCCTCAAT | GACCGTGTTGTTCGTGTTGG |
| TUBB | GAGGGCGAGGACGAGGCTTA | TCTAACAGAGGCAAAACTGAGCACC |
| Abcam ID Number | Working Dilution | |
|---|---|---|
| Anti-collagen type I | ab270993 | 1/250 |
| Anti-collagen type II | ab34712 | 1/50 |
| Rabbit IgG isotype control | ab172730 | 1/50 |
| Alexa Fluor 647 Goat anti Rabbit | ab190565 | 1/500 |
Disclaimer/Publisher’s Note: The statements, opinions and data contained in all publications are solely those of the individual author(s) and contributor(s) and not of MDPI and/or the editor(s). MDPI and/or the editor(s) disclaim responsibility for any injury to people or property resulting from any ideas, methods, instructions or products referred to in the content. |
© 2023 by the authors. Licensee MDPI, Basel, Switzerland. This article is an open access article distributed under the terms and conditions of the Creative Commons Attribution (CC BY) license (https://creativecommons.org/licenses/by/4.0/).
Share and Cite
Peniche Silva, C.J.; De La Vega, R.E.; Panos, J.; Joris, V.; Evans, C.H.; Balmayor, E.R.; van Griensven, M. MiRNAs as Potential Regulators of Enthesis Healing: Findings in a Rodent Injury Model. Int. J. Mol. Sci. 2023, 24, 8556. https://doi.org/10.3390/ijms24108556
Peniche Silva CJ, De La Vega RE, Panos J, Joris V, Evans CH, Balmayor ER, van Griensven M. MiRNAs as Potential Regulators of Enthesis Healing: Findings in a Rodent Injury Model. International Journal of Molecular Sciences. 2023; 24(10):8556. https://doi.org/10.3390/ijms24108556
Chicago/Turabian StylePeniche Silva, Carlos Julio, Rodolfo E. De La Vega, Joseph Panos, Virginie Joris, Christopher H. Evans, Elizabeth R. Balmayor, and Martijn van Griensven. 2023. "MiRNAs as Potential Regulators of Enthesis Healing: Findings in a Rodent Injury Model" International Journal of Molecular Sciences 24, no. 10: 8556. https://doi.org/10.3390/ijms24108556
APA StylePeniche Silva, C. J., De La Vega, R. E., Panos, J., Joris, V., Evans, C. H., Balmayor, E. R., & van Griensven, M. (2023). MiRNAs as Potential Regulators of Enthesis Healing: Findings in a Rodent Injury Model. International Journal of Molecular Sciences, 24(10), 8556. https://doi.org/10.3390/ijms24108556

