Abstract
Lymphatic flow disorders are rare but devastating complications in children with congenital heart disease. T2-weighted magnetic resonance lymphography and intranodal dynamic contrast magnetic resonance lymphangiography are imaging modalities that can depict central lymphatic anatomy and flow pattern. Our objective was to describe the technical aspects and our imaging findings of central lymphatic abnormalities and their impact on patient management and outcomes: We conducted a retrospective review of 26 children with congenital heart disease who presented for lymphatic imaging between 2015 and 2020 at our institution. Eleven had postoperative chylothorax, six had plastic bronchitis, seven had protein-losing enteropathy and three had Noonan syndrome. Our lymphatic imaging demonstrated severely abnormal lymphatic flow in all of the children, but only minor abnormalities in protein-losing enteropathy. No major procedure-related complication occurred. Lymphatic interventions were performed in six patients, thoracic duct decompression in two patients and chylothorax revision in three patients. This led to symptomatic improvements in all of the patients: Lymphatic imaging is safe and essential for the diagnosis of lymphatic flow disorders and therapy planning. Our intranodal lymphangiography depicts an abnormal lymphatic flow pattern from the central lymphatics but failed to demonstrate an abnormal lymphatic flow in protein-losing enteropathy. These imaging techniques are the basis for selective lymphatic interventions, which are promising to treat lymphatic flow disorders.
1. Introduction
Lymphatic flow disorders in children with congenital heart disease are rare but devastating complications. Postoperative chylothorax affects over 2.8% of pediatric patients after cardiac surgery, and the long-term risk for the development of protein-losing enteropathy or plastic bronchitis in single ventricle congenital heart disease is 5–15%. Treatment strategies are limited, and mortality and morbidity are still high, especially in Fontan patients [1].
Non-contrast T2-weighted MR lymphography and dynamic contrast MR lymphangiography are new imaging modalities that allow for the visualization of central lymphatic anatomy, lymphatic fluid distribution and lymphatic flow pattern.
Based on these techniques, new treatment strategies have been developed recently with promising results. Percutaneous embolization of lymphatic fistulas has been shown to improve symptoms in 88% of patients with plastic bronchitis, and there are an increasing number of reports of patients who underwent thoracic duct decompression leading to the resolution of protein-losing enteropathy [2,3,4,5,6,7,8]. In patients suffering from postoperative chylothorax, lymphatic embolization has been shown to resolve chylothorax in two distinct etiologies: pulmonary lymphatic perfusion syndrome and traumatic leak, but not in central lymphatic flow disorder [9].
Regarding the growing number of surviving children with congenital heart disease, more patients will need reliable investigations that serve as basis for the proper management of lymphatic disorders [10].
The aim of this study was to analyze and report our institutional experience with non-contrast T2-weighted MR lymphography and intranodal dynamic contrast MR lymphangiography as well as their impact on patient management and outcome in children with congenital heart disease.
2. Results
Table 1 summarizes the characteristics and clinical information of all 26 patients. MR lymphography depicted abnormal lymphatics in all of the children. Dynamic contrast MR lymphangiography was technically successful in all but one patient, for whom the procedure’s failure was due to needle dislocation. Lymphatic imaging was performed without general anesthesia in two patients. Procedural-related complications occurred in one child, who developed a minor local infection at the puncture site. During anesthesia, one patient experienced a drop in saturation, and another patient suffered from severe hypoxemia that led to a need for extracorporeal membrane oxygenation support. Both of these children had severe plastic bronchitis.
Table 1.
Demographics and clinical history of study participants.
Postoperative Chylothorax: The latest surgical repair, imaging findings, etiology, resulting interventions and outcome data of all 11 patients with postoperative chylothorax are listed in Table 1 and Table 2.
Table 2.
Postoperative Chylothorax.
Lymphatic imaging was able to determine the etiology of the chylothorax in 9 of the 11 patients. Only one of these patients had a traumatic leak (9%), and this was the only patient who did not show severe lymphatic abnormalities (type 3 and 4) in the MR lymphography images. All four children with central lymphatic flow disorders (36%) were younger than 1 year (a median of 93 days; a range of 22–270 days), all had concurrent ascites and three had concurrent body wall edema. The four patients with pulmonary lymphatic perfusion syndrome (36%) were older (a median of 31 months; a range of 9–45 months).
Chylothorax revision was performed in three patients (numbers 4, 8 and 11), and their chylothoraces resolved after 8, 19 and 20 days. Glenn takedown was performed in another infant (number 12), ultimately leading to the resolution of the chylothorax 37 days after the procedure. One infant with central lymphatic flow disorder died. In the remaining patients, their chylothoraces resolved spontaneously.
Plastic bronchitis: Six patients presented with symptoms of plastic bronchitis. One had concurrent protein-losing enteropathy. Table 3 summarizes the details of our MR lymphography and dynamic contrast MR lymphangiography findings, management and outcomes.
Table 3.
Plastic bronchitis.
The MR lymphography and dynamic contrast MR lymphangiography both demonstrated severely abnormal lymphatics and abnormal lymphatic flow in all of the patients. The dynamic contrast MR lymphangiography confirmed retrograde lymphatic flow from the thoracic duct toward the lung parenchyma or the lymphatic perfusion of the mediastinum in all but one patient whose dynamic contrast MR lymphangiography was technically limited. However, distinct fistulas to the lung could not be identified clearly in two of the patients. Based on these findings, selective lymphatic interventions were successfully performed in three children, and all of them had improvements in symptoms.
The patient with concurrent protein-losing enteropathy received thoracic duct decompression as previously described, resulting in normalized hypoalbuminemia and no more plastic bronchitis symptoms.
Protein-losing enteropathy: In all six children with protein-losing enteropathy (Table 4) whose thoracic duct was intact and unobstructed, the MR lymphography depicted only mild lymphatic abnormalities (Types 1–2).
Table 4.
Protein-losing enteropathy.
The dynamic contrast MR lymphangiography was not able to depict fistulas in any of these children. One patient had lymphangiography via liver lymphatics in addition to dynamic contrast MR lymphangiography. A fistula was seen there so a lymphatic intervention was performed. The hypalbuminemia improved after the intervention. Another patient received thoracic duct decompression due to his poor clinical condition, and his hypalbuminemia finally improved. However, he is currently still scheduled for cardiac transplantation.
Noonan Syndrome: The details of our MR lymphography and dynamic contrast MR lymphangiography findings as well as the preprocedural management and outcome of the three patients with genetically confirmed Noonan syndrome are listed in Table 5. Figure 1a,b represent the typical findings of the Noonan syndrome patients. All three children’s lymphatics as well as lymphatic flow were severely abnormal. Lymphatic fistulas to the lung could be visualized in two children.
Table 5.
Noonan syndrome. Imaging findings as well as management and outcome of children with Noonan syndrome.
Figure 1.
Intercostal lymphatic flow (a, arrows point at it) and dermal backflow (b, * shows dermal backflow, # is the dilated lymphatic network, arrows point to a doubled thoracic duct with pulmonary effusions, + shows dermal effusions).
One of these two patients (number 1) underwent glue embolization of the left and partially the right thoracic duct which were seen during the lymphangiography via the thoracic duct, and their symptoms improved temporarily (at the 10-month follow up). The pleural effusion resolved spontaneously after atrial septal defect closure in the patient (number 2) who did not have fistulas.
3. Discussion
Lymphatic imaging procedure and imaging findings: The MR lymphography was reliable in demonstrating abnormal lymphatic anatomy and allowed for the classification of lymphatic abnormality types from the beginning of our program in all of our patients. However, our imaging protocols improved substantially over time. The dynamic contrast MR lymphangiography was technically more challenging at the beginning with a learning curve in how to gain and maintain lymphatic access via the lymph nodes as they were sometimes not even one millimeter in diameter. The key was having an experienced team that could act in sync and a strategy to secure needle positioning and limit motion during patient transfer into the MR. General anesthesia is advisable even in very compliant teens as the whole procedure is long and small movements can lead to needle dislocation.
When we started the lymphatic program, we first learned the basic skills from an experienced center in the USA and adopted the procedures to our local preconditions. The challenges were the differences in workstations and availability of medical equipment. Importantly, we started to review and discuss the patients and MRIs together with experienced colleagues from a leading center in the USA. Later, we constantly reevaluated and refined the procedures ourselves. Another important step in bringing our program forward was to build up a specialized multidisciplinary team. Most of the patients are multimorbid and difficult to manage. Therefore, it is important to have anesthesiologists and gastroenterologists, nurses and intensive care staff who can deal with the unique demands of this special patient population. At least it was an improvement to be able to connect with other people who are doing lymphatic imaging and interventions worldwide and discuss cases and exchange experiences. The improvement at our center clearly not only led to better image quality but also to a better visualization of underlying lymphatic abnormalities and concurrently to better therapy planning.
Dynamic contrast MR lymphangiography is a safe procedure. We only had one minor complication and that was a local infection at the puncture site which was successfully treated with antibiotics. However, we used a semi-sterile approach to avoid infections. Anesthetic complications were more relevant in our children. In particular, patients with plastic bronchitis are at risk of hypoxemia during anesthesia. To reduce this risk, careful patient preparation and proper peri- and postprocedural management are necessary.
However, there are several other severe potential complications that can occur during conventional fluoroscopic lymphangiography and catheter-based lymphatic interventions. During these procedures, Lipiodol is often used to visualize central lymphatic structures as it is more sufficient than the iodinated contrast medium. Lipiodol is an agent that can cause embolisms and strokes. Other important complications of lymphatic interventional procedures are SIRS, pain, bleeding, and pancreatitis. In addition, when glue is administered into lymphatic fistulas, there is always the possibility that it will reflux into functional lymphatic compartments and promote downstream lymphatic dysfunction. To avoid theses complications, all patients should be screened for potential right-to-left shunts. All veno-venous collateral vessels and lympho-pulmonary vein connections are closed before an intervention. Sometimes an open fenestration in a Fontan patient may be temporary closed during the procedure but blocking a fenestration with a balloon may pose a risk of thrombus formation and a subsequent embolism, especially during an intervention in which anticoagulation is prohibited.
Impact on patient management: In the majority of our patients with postoperative chylothoraces, dynamic contrast MR lymphangiography was able to be used to determine an etiology, most commonly pulmonary lymphatic perfusion syndrome and central lymphatic flow disorder. The proper identification of etiology has been shown to be important for the accurate selection of a therapeutic strategy in a small study of 25 patients with congenital heart disease.
In this study, lymphatic embolization was successful in patients with pulmonary lymphatic perfusion syndrome and traumatic leak but not in those with central lymphatic flow disorder. All of the nine described patients with central lymphatic flow disorder ultimately died despite interventions, and all of the patients with pulmonary lymphatic perfusion syndrome and traumatic leaks survived [9].
Lymphatic embolization had not been performed in our patients. Dynamic contrast MR lymphangiography was able to be used to demonstrate retrograde lymphatic flow, but lymphatic fistulas were detected in only two patients. Nevertheless, lymphatic imaging was important to guide surgical chylothorax revision in this patient group as surgeons could focus on the retrograde flow pattern.
Dynamic contrast MR lymphangiography was effective in depicting fistulas originating from the thoracic duct to the lung in patients with plastic bronchitis. The typical picture in this patient group was of retrograde lymphatic flow from the thoracic duct to the lungs. However, we had one patient in which additional fistulas could be visualized during cardiac catheterization in which Lipiodol was directly injected into their thoracic duct. This may increase the contrast concentration/centripetal lymphatic flow and help to depict fistulas not seen on dynamic contrast MR lymphangiography; therefore, it should be considered for a workup in this patient group.
Intranodal dynamic contrast MR lymphangiography may be limited by the amount of contrast medium getting inside the thoracic duct—this could be optimized using a double- or triple-dose contrast agent.
On the other hand, patients with protein-losing enteropathy not only displayed minor lymphatic abnormalities on MR lymphography but also presented no retrograde lymphatic flow and no fistulas on intranodal dynamic contrast MR lymphangiography. In one of these patients, conventional lymphangiography was performed via the liver lymphatics afterwards and revealed a fistula from the liver to the duodenum. This investigation goes along with recently published data from Dori et al. describing two new lymphatic imaging methods that depict mesenteric and liver lymphatics more accurately. In this study, intranodal dynamic contrast MR lymphangiography was also not able to depict duodenal leaks in eleven PLE patients, but intrahepatic and intramesenteric dynamic contrast MR lymphangiography could visualize them in nine and seven of these eleven PLE patients, respectively [11]. The typical flow pattern in PLE patients is therefore hepatoduodenal connections and less often flow from the mesenteries to the duodenum.
The reason for these investigations may reflect the involvement of different lymphatic structures in disease development in plastic bronchitis and protein-losing enteropathy despite having a similar etiology [11,12]. In plastic bronchitis, fistulas usually originate from central lymphatic structures that are well depicted in dynamic contrast MR lymphangiography. In protein-losing enteropathy patients, liver and mesenteric lymphatics are involved and hence are not detected by intranodal dynamic contrast MR lymphangiography. Interventional therapeutic approaches are different in PLE and plastic bronchitis/chylothorax patients; some patients have multicompartment lymphatic failure for which the treatment of one compartment could worsen lymphatic insufficiency in another compartment. So, before the initiation of any treatment, it is necessary to get a whole picture of the abnormal lymphatics.
Particularly in PLE patients, the implementation of additional imaging modalities, most notably intrahepatic and intramesenteric dynamic contrast MR lymphangiography, is useful [13]. This has been supported by a recent single-center retrospective study of 41 consecutive patients in which the authors could show that patients with PLE were more likely to have duodenal involvement on IH-DCMRL than patients without PLE. [14]
For Noonan syndrome, our investigations are in line with previously published data that recently characterized lymphatic abnormalities in this cohort by retrograde intercostal flow, pulmonary lymphatic perfusion and thoracic duct abnormalities [15]. Besides the characterization of lymphatic abnormalities, the confirmation of lymphatic fistulas enabled us to conduct a selective lymphatic intervention in one patient.
Outcome: In our cohort, all the children with pulmonary lymphatic perfusion syndrome and traumatic leaks survived, and their chylothoraces resolved either spontaneously or after surgery. In contrast to the study published by Dori [9], the majority of our children with central lymphatic flow disorder survived. The differences in mortality may be explained by the different population referred to our hospital, assuming that the cohort Dori described was sicker.
Regarding the high number of spontaneous resolutions of chylothorax and the delay from operation to resolution, it is not clear whether surgical revision had any effect in our patients despite guidance.
Larger prospective studies are needed to determine the impact of surgical and interventional therapies on chylothorax resolution after heart operations in these children.
However, the selective glue embolization of thoracic duct branches or fistulas led to symptomatic improvements in all of our patients with plastic bronchitis, protein-losing enteropathy and Noonan syndrome when it was performed. Plastic bronchitis and protein-losing enteropathy symptoms were constantly present in our patients before the intervention. So, a causative effect of the interventions is likely, although we do not have a control group.
Our investigations are therefore in line with previously published data and support the efficacy of these new treatment strategies. Still, the follow-up period of this and other cohorts is short, and their long-term efficacy still has to be determined in further studies.
Thoracic duct decompression is a new and effective therapeutic strategy that was used in two patients with symptoms of protein-losing enteropathy and led to improvements in the protein levels of both of them. In contrast to the embolization of lymphatics, it effectively reduces the pathophysiologic burden and hence may lead to a sustainable improvement.
4. Materials and Methods
We retrospectively reviewed the data from 26 children with congenital heart disease (age range from 3 weeks to 17 years; 13 females, 13 males), who presented at our institution for lymphatic imaging because of suspected lymphatic disorders between July 2015 and June 2020. Eleven had postoperative chylothorax (42%), five plastic bronchitis (19%), six protein-losing enteropathy (23%), one protein-losing enteropathy and plastic bronchitis (4%) and three Noonan syndrome (12%). Patient demographics, cardiac diagnoses, surgical history, and the clinical course were gathered from the electronic hospital information system.
MR images were analyzed by two experienced pediatric radiologists with a pediatric cardiologist and discussed until a consensus was reached. The study was approved by the ethics committee of our university prior to its initiation.
4.1. Lymphatic Imaging Procedure
All procedures but two were performed under general anesthesia on a 3 Tesla scanner (Magnetom Skyra, Siemens Healthineers, Erlangen, Germany). At first, inguinal lymph nodes were accessed outside the MR site on both sides under semi-sterile conditions using an ultrasound for guidance and a 25-gauge spinal needle. After confirming needle position by injecting 1 mL of 0.9% saline solution, the patient was carefully transferred into the MR site.
Body and spine coils were applied for a large coverage as well as optimal signal-to-noise ratio.
T2-weighted MR lymphography was the first step. It consisted of a respiratory navigated and cardiac-gated high-resolution highly T2-weighted 3-dimensional sequence in coronal plane. The following imaging parameters are meant as an orientation and depend on field of view, resolution, slice number and others.
Typical parameters were a flip angle mode constant with fixed angle around 120° with fat suppression, TE 600–800 and TR 1200–1800 (depending on respiration cycle time).
For dynamic contrast MR lymphangiography, a weight-adjusted amount (0.2 mL/kg) of a macrocyclic gadolinium contrast agent was injected into each inguinal lymph node within one to two minutes. Scanning was initiated immediately after administration using short (20–25 s) 3-dimensional T1-weighted high-resolution sequences in coronal plane and repeated at regular intervals until contrast medium reached left venous angle of the neck. We usually use sequences with the following parameters: shortest possible TE (about 1 ms) and TR (about 3 ms) and flip angle of about 20°. Between these T1 sequences, there are a few short (20–25 s) 3-dimensional T1-weighted volume examination sequences in breath hold with a better anatomical resolution. Typical parameters for this sequence are a flip angle about 12° and minimal TR and TE, such as flash. Both T1-weighted sequences are targeted to get the best possible picture quality in the shortest period of time with an acceptable signal-to-noise ratio. At the end, maximum intensity projections of the contrast agent flow in the lymphatic duct are processed [16].
4.2. Image Analysis
Increased signal of lymphatic structures on T2-weighted imaging was considered as abnormal lymphatics. Abnormal lymphatic flow was defined as contrast agent passing from the injection site to any anatomical structure not typically involved in centripetal lymphatic flow to the left venous angle, as previously described by David Biko. Based on the same publication, we described dermal backflow (Figure 1a) and intercostal lymphatic flow (Figure 1b) when intranodal contrast passed retrograde into the intercostal space along the chest wall or into the subcutaneous tissue [13].
Lymphatic fistulas (Figure 2) were described when there was a distinct structure with retrograde flow depicted on dynamic contrast MR lymphangiography.
Figure 2.
Lymphatic fistula (“>” points to the distinct structure, “v” is the fistula and the arrows show another lymphatic network).
Otherwise, we described lymphatic leak (Figure 3) when there was a sole contrast accumulation.
Figure 3.
Lymphatic leak (marked with arrow).
Postoperative chylothorax was classified as previously introduced by Dori et al. based on dynamic contrast MR lymphangiography and intranodal lymphangiography and are described as traumatic leak (Figure 3), pulmonary lymphatic perfusion syndrome (abnormal pulmonary lymphatic flow from the thoracic duct toward the lung parenchyma through abnormal lymphatic networks in the chest and/or lymphatic perfusion of the mediastinum) (Figure 4) or central lymphatic flow disorders (abnormal central lymphatic flow, effusion in more than one compartment and the presence of dermal backflow) (Figure 5a,b) [9].
Figure 4.
Pulmonary lymphatic perfusion syndrome (arrows point to abnormal lymphatic flow from the thoracic duct toward the lung parenchyma).
Figure 5.
Central lymphatic flow disorders: abnormal central lymphatic flow, effusion in more than one compartment (a, arrows point to thoracic compartment) and the presence of dermal backflow (b, see arrows, * shows a stop in contrast movement).
In all patients, lymphatic abnormalities were scored on T2-weighted MR according to Dori et al. Type one was scored when there was unilateral supraclavicular increased signal intensity, type two when there was bilateral increased supraclavicular signal intensity, type three when there was an additional extension into the mediastinum and type four when there was an increased pattern in the lungs [14].
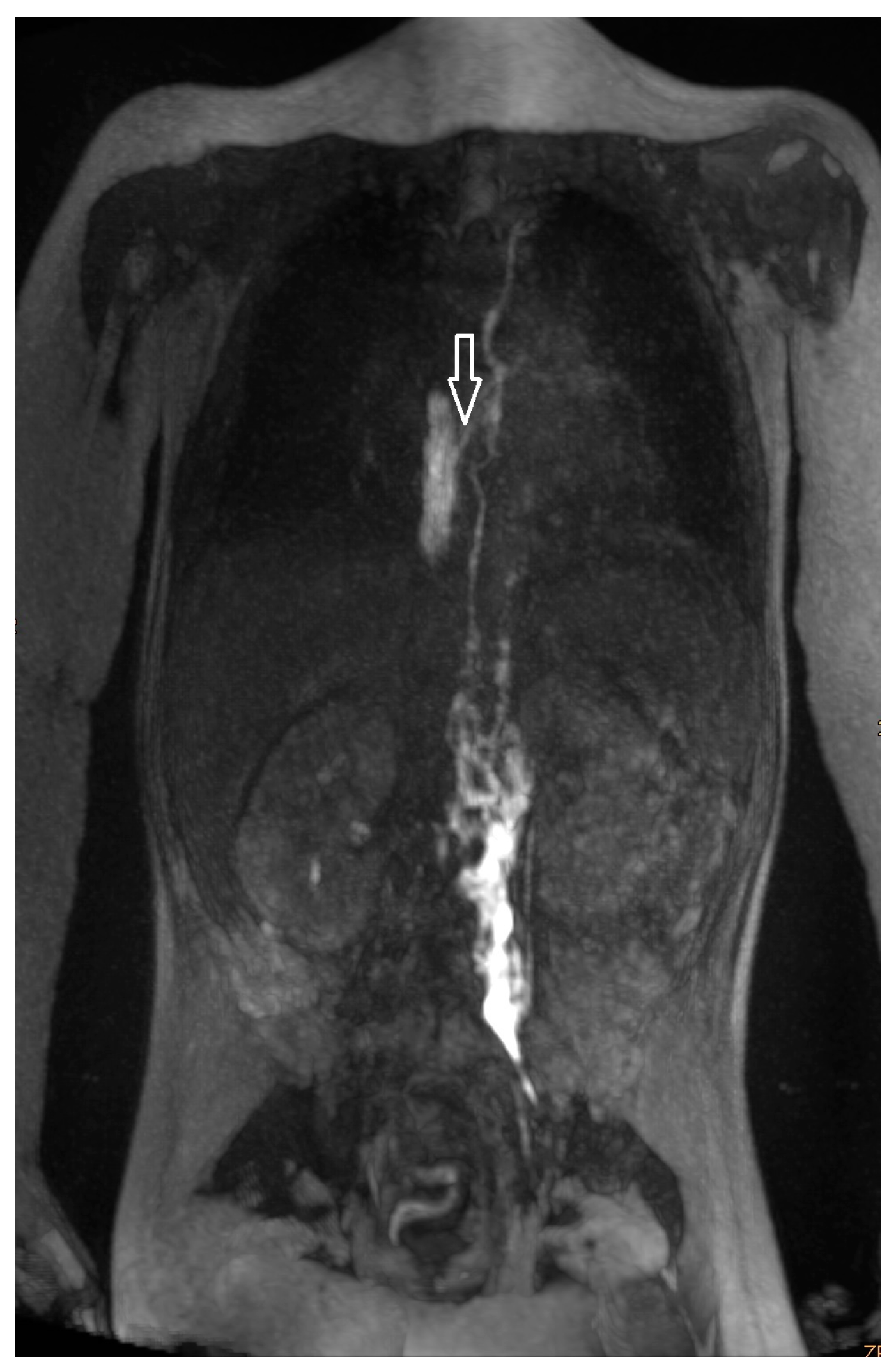
Figure 6 represents typical findings of patients with plastic bronchitis.
Figure 6.
Typical findings of a patient with plastic bronchitis (arrows point to a leakage from the thoracic duct to the chest).
4.3. Statistical Methods
Demographic and procedural patient variables were summarized using standard descriptive statistics.
5. Conclusions
Non-contrast MR lymphography and dynamic contrast MR lymphangiography are safe and reliable lymphatic imaging methods that are essential for the diagnosis of lymphatic flow disorders and therapy planning in patients with congenital heart disease. Intranodal dynamic contrast MR lymphangiography depicts abnormal lymphatic flow patterns that originate from central lymphatic structures in most patients except those with protein-losing enteropathy.
MR lymphography and dynamic contrast MR lymphangiography are important for targeted lymphatic interventions that are new promising treatment approaches to improve symptoms in certain patients.
Author Contributions
C.B.: Conceptualization. Data curation. Writing/reviewing/drafting the study protocol and main manuscript, data extraction and the analysis of images. M.S.: Conceptualization, data curation, editing/reviewing/drafting the study protocol and main manuscript, data extracting and the analysis of images. P.S.: Validation, review and discussion of main manuscript and analysis of images. F.F.: Validation, review and discussion of main manuscript, and analysis of images. G.T.: Supervision, validation, review and discussion of main manuscript and discussion of study protocol. All authors have read and agreed to the published version of the manuscript.
Funding
This research received no external funding.
Institutional Review Board Statement
Ethical approval was waived by the local ethics committee of the Kepler University Hospital Linz in view of the retrospective nature of this study, and all the procedures performed were part of the routine care (EK Nr: 1240/2019).
Informed Consent Statement
Patient consent was waived due to retrospective nature of this study.
Data Availability Statement
All data generated or analyzed during this study are included in this published article.
Acknowledgments
We would like to thank Yoav Dori for sharing his expertise on lymphatic diseases and discussing lymphatic cases. Open Access Funding by the Johannes Kepler University Linz.
Conflicts of Interest
The authors declare no conflict of interest.
References
- Rychik, J.; Atz, A.M.; Celermajer, D.S.; Deal, B.J.; Gatzoulis, M.A.; Gewillig, M.H.; Hsia, T.-Y.; Hsu, D.T.; Kovacs, A.H.; McCrindle, B.W.; et al. Evaluation and Management of the Child and Adult with Fontan Circulation: A Scientific Statement from the American Heart Association. Circulation 2019, 140, e234–e284. [Google Scholar] [CrossRef]
- Maleux, G.; Storme, E.; Cools, B.; Heying, R.; Boshoff, D.; Louw, J.J.; Frerich, S.; Malekzadeh-Milanii, S.; Hubrechts, J.; Brown, S.C.; et al. Percutaneous embolization of lymphatic fistulae as treatment for protein-losing enteropathy and plastic bronchitis in patients with failing Fontan circulation. Catheter. Cardiovasc. Interv. 2019, 94, 996–1002. [Google Scholar] [CrossRef] [PubMed]
- Smith, C.L.; Hoffman, T.M.; Dori, Y.; Rome, J.J. Decompression of the thoracic duct: A novel transcatheter approach. Catheter. Cardiovasc. Interv. 2020, 95, E56–E61. [Google Scholar] [CrossRef] [PubMed]
- Itkin, M.; Piccoli, D.A.; Nadolski, G.; Rychik, J.; DeWitt, A.; Pinto, E.; Rome, J.; Dori, Y. Protein-Losing Enteropathy in Patients with Congenital Heart Disease. J. Am. Coll. Cardiol. 2017, 69, 2929–2937. [Google Scholar] [CrossRef] [PubMed]
- Hraška, V. Decompression of thoracic duct: New approach for the treatment of failing Fontan. Ann. Thorac. Surg. 2013, 96, 709–711. [Google Scholar] [CrossRef] [PubMed]
- Dori, Y.; Keller, M.S.; Rome, J.J.; Gillespie, M.J.; Glatz, A.C.; Dodds, K.; Goldberg, D.J.; Goldfarb, S.; Rychik, J.; Itkin, M. Percutaneous Lymphatic Embolization of Abnormal Pulmonary Lymphatic Flow as Treatment of Plastic Bronchitis in Patients with Congenital Heart Disease. Circulation 2016, 133, 1160–1170. [Google Scholar] [CrossRef] [PubMed]
- Bauer, C.; Mair, R.; Mair, R.; Tulzer, G. Thoracic duct decompression and jugular vein banding—An effective treatment option for protein-losing enteropathy and plastic bronchitis in severe failing Fontan circulation: A case report. Eur. Heart J. Case Rep. 2020, 19, 37. [Google Scholar] [CrossRef] [PubMed]
- António, M.; Gordo, A.; Pereira, C.; Pinto, F.; Fragata, I.; Fragata, J. Thoracic Duct Decompression for Protein-Losing Enteropathy in Failing Fontan Circulation. Ann. Thorac. Surg. 2016, 101, 2370–2373. [Google Scholar] [CrossRef] [PubMed]
- Savla, J.J.; Itkin, M.; Rossano, J.W.; Dori, Y. Post-Operative Chylothorax in Patients With Congenital Heart Disease. J. Am. Coll. Cardiol. 2017, 69, 2410–2422. [Google Scholar] [CrossRef] [PubMed]
- Rychik, J. The Relentless Effects of the Fontan Paradox. Semin. Thorac. Cardiovasc. Surg. Pediatr. Card. Surg. Annu. 2016, 19, 37–43. [Google Scholar] [CrossRef] [PubMed]
- Dori, Y.; Smith, C.L.; DeWitt, A.G.; Srinivasan, A.; Krishnamurthy, G.; Escobar, F.A.; Biko, D.M. Intramesenteric dynamic contrast pediatric MR lymphangiography: Initial experience and comparison with intranodal and intrahepatic MR lymphangiography. Eur. Radiol. 2020, 30, 5777–5784. [Google Scholar] [CrossRef] [PubMed]
- Biko, D.M.; Smith, C.L.; Otero, H.J.; Saul, D.; White, A.M.; DeWitt, A.; Glatz, A.C.; Piccoli, D.A.; Mamula, P.; Rome, J.J.; et al. Intrahepatic dynamic contrast MR lymphangiography: Initial experience with a new technique for the assessment of liver lymphatics. Eur. Radiol. 2019, 29, 5190–5196. [Google Scholar] [CrossRef] [PubMed]
- Biko, D.M.; DeWitt, A.G.; Pinto, E.M.; Morrison, R.E.; Johnstone, J.A.; Griffis, H.; O’Byrne, M.L.; Fogel, M.A.; Harris, M.A.; Partington, S.L.; et al. MRI Evaluation of Lymphatic Abnormalities in the Neck and Thorax after Fontan Surgery: Relationship with Outcome. Radiology 2019, 291, 774–780. [Google Scholar] [CrossRef] [PubMed]
- Lemley, B.A.; Biko, D.M.; Dewitt, A.G.; Glatz, A.C.; Goldberg, D.J.; Saravanan, M.; O’Byrne, M.; Pinto, E.; Ravishankar, C.; Rome, J.J.; et al. Intrahepatic Dynamic Contrast-Enhanced Magnetic Resonance Lymphangiography: Potential Imaging Signature for Protein-Losing Enteropathy in Congenital Heart Disease. J. Am. Heart Assoc. 2021, 10, e021542. [Google Scholar] [CrossRef] [PubMed]
- Biko, D.M.; Reisen, B.; Otero, H.J.; Ravishankar, C.; Victoria, T.; Glatz, A.C.; Rome, J.J.; Dori, Y. Imaging of central lymphatic abnormalities in Noonan syndrome. Pediatr. Radiol. 2019, 49, 586–592. [Google Scholar] [CrossRef] [PubMed]
- Dori, Y. Novel Lymphatic Imaging Techniques. Tech. Vasc. Interv. Radiol. 2016, 19, 255–261. [Google Scholar] [CrossRef] [PubMed]
Disclaimer/Publisher’s Note: The statements, opinions and data contained in all publications are solely those of the individual author(s) and contributor(s) and not of MDPI and/or the editor(s). MDPI and/or the editor(s) disclaim responsibility for any injury to people or property resulting from any ideas, methods, instructions or products referred to in the content. |
© 2023 by the authors. Licensee MDPI, Basel, Switzerland. This article is an open access article distributed under the terms and conditions of the Creative Commons Attribution (CC BY) license (https://creativecommons.org/licenses/by/4.0/).





