Efficacy of Dabrafenib and Trametinib in a Patient with Squamous-Cell Carcinoma, with Mutation p.D594G in BRAF and p.R461* in NF1 Genes—A Case Report with Literature Review
Abstract
1. Introduction
BRAF Mutation Characteristics
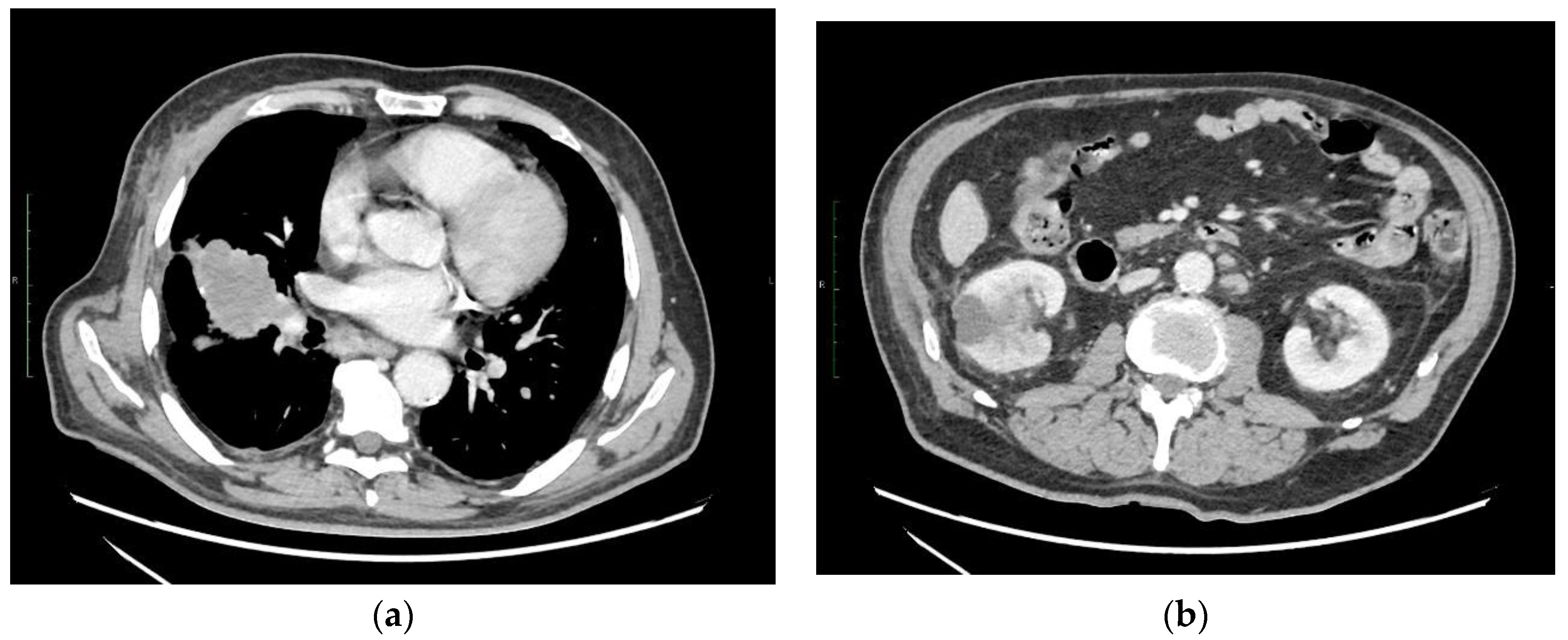
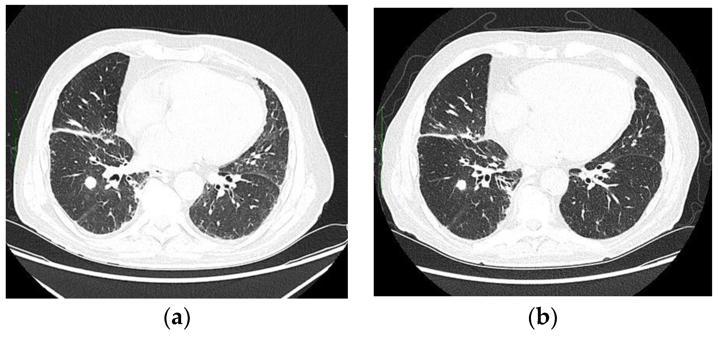
2. Case Description
3. Discussion
3.1. Molecular Docking of Dabrafenib in Human BRAF Kinase p.V600E or p.D594G Mutant Models
3.2. Molecular Background for the Patient with the BRAF Mutation
4. Conclusions
Author Contributions
Funding
Institutional Review Board Statement
Informed Consent Statement
Data Availability Statement
Conflicts of Interest
References
- Fransén, K.; Klintenäs, M.; Osterström, A.; Dimberg, J.; Monstein, H.-J.; Söderkvist, P. Mutation analysis of the BRAF, ARAF and RAF-1 genes in human colorectal adenocarcinomas. Carcinogenesis 2004, 25, 527–533. [Google Scholar] [CrossRef] [PubMed]
- Paik, P.K.; Arcila, M.E.; Fara, M.; Sima, C.S.; Miller, V.A.; Kris, M.G.; Ladanyi, M.; Riely, G.J. Clinical characteristics of patients with lung adenocarcinomas harboring BRAF mutations. J. Clin. Oncol. 2011, 29, 2046–2051. [Google Scholar] [CrossRef] [PubMed]
- Johnson, D.B.; Nebhan, C.A.; Noel, M.S. MEK inhibitors in non-V600 BRAF mutations and fusions. Oncotarget 2020, 11, 3900–3903. [Google Scholar] [CrossRef] [PubMed]
- Zheng, G.; Tseng, L.-H.; Chen, G.; Haley, L.; Illei, P.; Gocke, C.D.; Eshleman, J.R.; Lin, M.-T. Clinical detection and categorization of uncommon and concomitant mutations involving BRAF. BMC Cancer 2015, 15, 779. [Google Scholar] [CrossRef] [PubMed]
- Yao, Z.; Yaeger, R.; Rodrik-Outmezguine, V.S.; Tao, A.; Torres, N.M.; Chang, M.T.; Drosten, M.; Zhao, H.; Cecchi, F.; Hembrough, T.; et al. Tumours with class 3 BRAF mutants are sensitive to the inhibition of activated RAS. Nature 2017, 548, 234–238. [Google Scholar] [CrossRef]
- Planchard, D.; Besse, B.; Groen, H.J.M.; Hashemi, S.M.S.; Mazieres, J.; Kim, T.M.; Quoix, E.; Souquet, P.-J.; Barlesi, F.; Baik, C.; et al. Phase 2 Study of Dabrafenib Plus Trametinib in Patients with BRAF V600E-Mutant Metastatic NSCLC: Updated 5-Year Survival Rates and Genomic Analysis. J. Thorac. Oncol. 2022, 17, 103–115. [Google Scholar] [CrossRef]
- Mazieres, J.; Cropet, C.; Montané, L.; Barlesi, F.; Souquet, P.J.; Quantin, X.; Dubos-Arvis, C.; Otto, J.; Favier, L.; Avrillon, V.; et al. Vemurafenib in non-small-cell lung cancer patients with BRAFV600 and BRAFnonV600 mutations. Ann. Oncol. 2020, 31, 289–294. [Google Scholar] [CrossRef]
- Bahadoran, P.; Allegra, M.; Le Duff, F.; Long-Mira, E.; Hofman, P.; Giacchero, D.; Passeron, T.; Lacour, J.-P.; Ballotti, R. Major clinical response to a BRAF inhibitor in a patient with a BRAF L597R-mutated melanoma. J. Clin. Oncol. 2013, 31, e324–e326. [Google Scholar] [CrossRef]
- Negrao, M.V.; Raymond, V.M.; Lanman, R.B.; Ng, P.K.S.; Nagy, R.; Banks, K.; Zhu, V.W.; Amador, B.E.; Roarty, E.; Chae, Y.K.; et al. Molecular biology and treatment strategies for non-V600 BRAF-mutant NSCLC. JCO 2019, 37, 3102. [Google Scholar] [CrossRef]
- Mu, Y.; Yang, K.; Hao, X.; Wang, Y.; Wang, L.; Liu, Y.; Lin, L.; Li, J.; Xing, P. Clinical Characteristics and Treatment Outcomes of 65 Patients with BRAF-Mutated Non-small Cell Lung Cancer. Front. Oncol. 2020, 10, 603. [Google Scholar] [CrossRef]
- Waizenegger, I.C.; Baum, A.; Steurer, S.; Stadtmüller, H.; Bader, G.; Schaaf, O.; Garin-Chesa, P.; Schlattl, A.; Schweifer, N.; Haslinger, C.; et al. A Novel RAF Kinase Inhibitor with DFG-Out-Binding Mode: High Efficacy in BRAF-Mutant Tumor Xenograft Models in the Absence of Normal Tissue Hyperproliferation. Mol. Cancer Ther. 2016, 15, 354–365. [Google Scholar] [CrossRef]
- Tsai, J.; Lee, J.T.; Wang, W.; Zhang, J.; Cho, H.; Mamo, S.; Bremer, R.; Gillette, S.; Kong, J.; Haass, N.K.; et al. Discovery of a selective inhibitor of oncogenic B-Raf kinase with potent antimelanoma activity. Proc. Natl. Acad. Sci. USA 2008, 105, 3041–3046. [Google Scholar] [CrossRef]
- Trott, O.; Olson, A.J. AutoDock Vina: Improving the speed and accuracy of docking with a new scoring function, efficient optimization, and multithreading. J. Comput. Chem. 2010, 31, 455–461. [Google Scholar] [CrossRef]
- Targowska-Duda, K.M.; Kaczor, A.A.; Jozwiak, K.; Arias, H.R. Molecular interactions of type I and type II positive allosteric modulators with the human α7 nicotinic acetylcholine receptor: An in silico study. J. Biomol. Struct. Dyn. 2019, 37, 411–439. [Google Scholar] [CrossRef]
- Nykamp, K.; Anderson, M.; Powers, M.; Garcia, J.; Herrera, B.; Ho, Y.-Y.; Kobayashi, Y.; Patil, N.; Thusberg, J.; Westbrook, M.; et al. Sherloc: A comprehensive refinement of the ACMG-AMP variant classification criteria. Genet. Med. 2017, 19, 1105–1117. [Google Scholar] [CrossRef]
- Scheffzek, K.; Shivalingaiah, G. Ras-Specific GTPase-Activating Proteins-Structures, Mechanisms, and Interactions. Cold Spring Harb. Perspect. Med. 2019, 9, a031500. [Google Scholar] [CrossRef]
- Kitajima, S.; Barbie, D.A. RASA1/NF1-Mutant Lung Cancer: Racing to the Clinic? Clin. Cancer Res. 2018, 24, 1243–1245. [Google Scholar] [CrossRef]
- Tlemsani, C.; Pécuchet, N.; Gruber, A.; Laurendeau, I.; Danel, C.; Riquet, M.; Le Pimpec-Barthes, F.; Fabre, E.; Mansuet-Lupo, A.; Damotte, D.; et al. NF1 mutations identify molecular and clinical subtypes of lung adenocarcinomas. Cancer Med. 2019, 8, 4330–4337. [Google Scholar] [CrossRef]
- Redig, A.J.; Capelletti, M.; Dahlberg, S.E.; Sholl, L.M.; Mach, S.; Fontes, C.; Shi, Y.; Chalasani, P.; Jänne, P.A. Clinical and Molecular Characteristics of NF1-Mutant Lung Cancer. Clin. Cancer Res. 2016, 22, 3148–3156. [Google Scholar] [CrossRef]
- Westhoff, B.; Colaluca, I.N.; D’Ario, G.; Donzelli, M.; Tosoni, D.; Volorio, S.; Pelosi, G.; Spaggiari, L.; Mazzarol, G.; Viale, G.; et al. Alterations of the Notch pathway in lung cancer. Proc. Natl. Acad. Sci. USA 2009, 106, 22293–22298. [Google Scholar] [CrossRef]
- Donnem, T.; Andersen, S.; Al-Shibli, K.; Al-Saad, S.; Busund, L.-T.; Bremnes, R.M. Prognostic impact of Notch ligands and receptors in nonsmall cell lung cancer: Coexpression of Notch-1 and vascular endothelial growth factor-A predicts poor survival. Cancer 2010, 116, 5676–5685. [Google Scholar] [CrossRef] [PubMed]
- Expression of Notch 1 and 3 Is Related to Inhibition of Lymph Node Metastasis and Progression in Non-Small Cell Lung Carcinomas—Lee—2008—Basic and Applied Pathology—Wiley Online Library. Available online: https://onlinelibrary.wiley.com/doi/abs/10.1111/j.1755-9294.2008.00020.x (accessed on 8 November 2022).
- Jiao, Y.; Feng, Y.; Wang, X. Regulation of Tumor Suppressor Gene CDKN2A and Encoded p16-INK4a Protein by Covalent Modifications. Biochemistry 2018, 83, 1289–1298. [Google Scholar] [CrossRef] [PubMed]
- Greenblatt, M.S.; Beaudet, J.G.; Gump, J.R.; Godin, K.S.; Trombley, L.; Koh, J.; Bond, J.P. Detailed computational study of p53 and p16: Using evolutionary sequence analysis and disease-associated mutations to predict the functional consequences of allelic variants. Oncogene 2003, 22, 1150–1163. [Google Scholar] [CrossRef] [PubMed]
- Melhem-Bertrandt, A.; Bojadzieva, J.; Ready, K.J.; Obeid, E.; Liu, D.D.; Gutierrez-Barrera, A.M.; Litton, J.K.; Olopade, O.I.; Hortobagyi, G.N.; Strong, L.C.; et al. Early onset HER2-positive breast cancer is associated with germline TP53 mutations. Cancer 2012, 118, 908–913. [Google Scholar] [CrossRef]
- Ruijs, M.W.G.; Verhoef, S.; Rookus, M.A.; Pruntel, R.; van der Hout, A.H.; Hogervorst, F.B.L.; Kluijt, I.; Sijmons, R.H.; Aalfs, C.M.; Wagner, A.; et al. TP53 germline mutation testing in 180 families suspected of Li-Fraumeni syndrome: Mutation detection rate and relative frequency of cancers in different familial phenotypes. J. Med. Genet. 2010, 47, 421–428. [Google Scholar] [CrossRef]
- Chang, M.T.; Asthana, S.; Gao, S.P.; Lee, B.H.; Chapman, J.S.; Kandoth, C.; Gao, J.; Socci, N.D.; Solit, D.B.; Olshen, A.B.; et al. Identifying recurrent mutations in cancer reveals widespread lineage diversity and mutational specificity. Nat. Biotechnol. 2016, 34, 155–163. [Google Scholar] [CrossRef]
- Skoulidis, F.; Heymach, J.V. Co-occurring genomic alterations in non-small-cell lung cancer biology and therapy. Nat. Rev. Cancer 2019, 19, 495–509. [Google Scholar] [CrossRef]
- Alrifai, D.; Popat, S.; Ahmed, M.; Gonzalez, D.; Nicholson, A.G.; du Parcq, J.; Benepal, T. A rare case of squamous cell carcinoma of the lung harbouring ALK and BRAF activating mutations. Lung Cancer 2013, 80, 339–340. [Google Scholar] [CrossRef]
- Marchetti, A.; Felicioni, L.; Malatesta, S.; Grazia Sciarrotta, M.; Guetti, L.; Chella, A.; Viola, P.; Pullara, C.; Mucilli, F.; Buttitta, F. Clinical features and outcome of patients with non-small-cell lung cancer harboring BRAF mutations. J. Clin. Oncol. 2011, 29, 3574–3579. [Google Scholar] [CrossRef]
- Weber, A.; Langhanki, L.; Sommerer, F.; Markwarth, A.; Wittekind, C.; Tannapfel, A. Mutations of the BRAF gene in squamous cell carcinoma of the head and neck. Oncogene 2003, 22, 4757–4759. [Google Scholar] [CrossRef]
- Maeng, C.H.; Lee, J.; van Hummelen, P.; Park, S.H.; Palescandolo, E.; Jang, J.; Park, H.Y.; Kang, S.Y.; MacConaill, L.; Kim, K.-M.; et al. High-throughput genotyping in metastatic esophageal squamous cell carcinoma identifies phosphoinositide-3-kinase and BRAF mutations. PLoS ONE 2012, 7, e41655. [Google Scholar] [CrossRef]
- Krawczyk, P.; Jassem, J.; Wojas-Krawczyk, K.; Krzakowski, M.; Dziadziuszko, R.; Olszewski, W. New Genetic Technologies in Diagnosis and Treatment of Cancer of Unknown Primary. Cancers 2022, 14, 3429. [Google Scholar] [CrossRef]
- Bochtler, T.; Reiling, A.; Endris, V.; Hielscher, T.; Volckmar, A.-L.; Neumann, O.; Kirchner, M.; Budczies, J.; Heukamp, L.C.; Leichsenring, J.; et al. Integrated clinicomolecular characterization identifies RAS activation and CDKN2A deletion as independent adverse prognostic factors in cancer of unknown primary. Int. J. Cancer 2020, 146, 3053–3064. [Google Scholar] [CrossRef]
- Rao, C.; Nie, L.; Miao, X.; Lizaso, A.; Zhao, G. Targeted sequencing identifies the mutational signature of double primary and metastatic malignancies: A case report. Diagn. Pathol. 2019, 14, 101. [Google Scholar] [CrossRef]
- Rischewski, J.R.; Clausen, H.; Leber, V.; Niemeyer, C.; Ritter, J.; Schindler, D.; Schneppenheim, R. A heterozygous frameshift mutation in the Fanconi anemia C gene in familial T-ALL and secondary malignancy. Klin. Padiatr. 2000, 212, 174–176. [Google Scholar] [CrossRef]
- Berger, G.; van den Berg, E.; Smetsers, S.; Leegte, B.K.; Sijmons, R.H.; Abbott, K.M.; Mulder, A.B.; Vellenga, E. Fanconi anaemia presenting as acute myeloid leukaemia and myelodysplastic syndrome in adulthood: A family report on co-occurring FANCC and CHEK2 mutations. Br. J. Haematol. 2019, 184, 1071–1073. [Google Scholar] [CrossRef]
- Bowman, L.; Tiu, R.; Smyth, E.N.; Willard, M.D.; Li, L.; Beyrer, J.; Han, Y.; Singh, A. Clinical Characteristics, Treatments, and Concurrent Mutations in Non-Small Cell Lung Cancer Patients with NF1 Mutations. Clin. Lung Cancer 2021, 22, 32–41.e1. [Google Scholar] [CrossRef]
- Savage, S.A.; Walsh, M.F. Myelodysplastic Syndrome, Acute Myeloid Leukemia, and Cancer Surveillance in Fanconi Anemia. Hematol. Oncol. Clin. N. Am. 2018, 32, 657–668. [Google Scholar] [CrossRef]




Disclaimer/Publisher’s Note: The statements, opinions and data contained in all publications are solely those of the individual author(s) and contributor(s) and not of MDPI and/or the editor(s). MDPI and/or the editor(s) disclaim responsibility for any injury to people or property resulting from any ideas, methods, instructions or products referred to in the content. |
© 2023 by the authors. Licensee MDPI, Basel, Switzerland. This article is an open access article distributed under the terms and conditions of the Creative Commons Attribution (CC BY) license (https://creativecommons.org/licenses/by/4.0/).
Share and Cite
Grenda, A.; Krawczyk, P.; Targowska-Duda, K.M.; Kieszko, R.; Paśnik, I.; Milanowski, J. Efficacy of Dabrafenib and Trametinib in a Patient with Squamous-Cell Carcinoma, with Mutation p.D594G in BRAF and p.R461* in NF1 Genes—A Case Report with Literature Review. Int. J. Mol. Sci. 2023, 24, 1195. https://doi.org/10.3390/ijms24021195
Grenda A, Krawczyk P, Targowska-Duda KM, Kieszko R, Paśnik I, Milanowski J. Efficacy of Dabrafenib and Trametinib in a Patient with Squamous-Cell Carcinoma, with Mutation p.D594G in BRAF and p.R461* in NF1 Genes—A Case Report with Literature Review. International Journal of Molecular Sciences. 2023; 24(2):1195. https://doi.org/10.3390/ijms24021195
Chicago/Turabian StyleGrenda, Anna, Pawel Krawczyk, Katarzyna M. Targowska-Duda, Robert Kieszko, Iwona Paśnik, and Janusz Milanowski. 2023. "Efficacy of Dabrafenib and Trametinib in a Patient with Squamous-Cell Carcinoma, with Mutation p.D594G in BRAF and p.R461* in NF1 Genes—A Case Report with Literature Review" International Journal of Molecular Sciences 24, no. 2: 1195. https://doi.org/10.3390/ijms24021195
APA StyleGrenda, A., Krawczyk, P., Targowska-Duda, K. M., Kieszko, R., Paśnik, I., & Milanowski, J. (2023). Efficacy of Dabrafenib and Trametinib in a Patient with Squamous-Cell Carcinoma, with Mutation p.D594G in BRAF and p.R461* in NF1 Genes—A Case Report with Literature Review. International Journal of Molecular Sciences, 24(2), 1195. https://doi.org/10.3390/ijms24021195

