Thalamic Neuron Resilience during Osmotic Demyelination Syndrome (ODS) Is Revealed by Primary Cilium Outgrowth and ADP-ribosylation factor-like protein 13B Labeling in Axon Initial Segment
Abstract
1. Introduction
2. Results
2.1. Light Microscopy Aspects of ODS Thalamus
2.2. The ARL13B Labeling and the Resilient ODS Thalamic Nerve Cell Bodies
2.3. The ARL13B Immunolabels in the Axon Hillock to Extend in the Axon Initial Segments
2.4. ARL13B in ODS12h: LM and TEM Aspects of Neuron Extensions
2.5. ARL13B Label in ODS48h: LM and TEM: A Primary Cilium Emergence
2.6. ARL13B Label in LM and TEM Thalamic AIS Growth of ODS48h Neurons
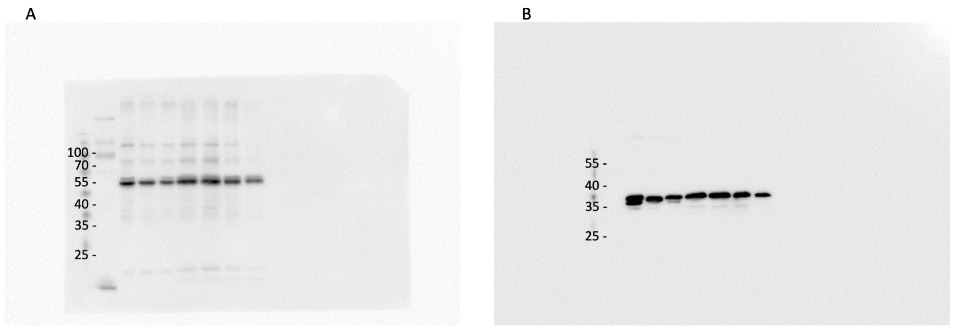
2.7. ARL13B Protein Expression in Thalamus Homogenates
3. Discussion
3.1. Clinical Considerations
3.2. The Translational Aspects of the Emergence of a Primary Cilium among Neurons Outside the ODS Epicenter
3.3. Out of ODS: From Primary Cilium toward Axonal Maturation
3.3.1. The Axon Hillock
3.3.2. The Axon Initial Segment (AIS) and ARL13B Label Significance
3.3.3. The AIS and ARL13B Label Marker Significance
3.4. From Mice to Human: Translational Considerations or Can the CNS Recover from ODS Damages?
4. Materials and Methods
4.1. The Animals
4.2. The Murine ODS Protocol
4.3. ODS Experiment Groups
4.4. Light Microscopy (LM): Morphology and Immuno-Histochemistry
4.5. Transmission Electron Microscopy (TEM)
4.6. Western Blot
4.7. Statistics
Author Contributions
Funding
Institutional Review Board Statement
Informed Consent Statement
Data Availability Statement
Acknowledgments
Conflicts of Interest
Appendix A



References
- Adams, R.D.; Victor, M.; Mancall, E.L. Central pontine myelinosis: A hitherto undescribed disease occurring in alcoholic and malnourished patients. Arch. Neurol. Psychother. 1959, 81, 154–172. [Google Scholar]
- Adams, V.; Mancall, E.L. Osmotic demyelination syndrome. Am. J. Med. Sci. 1959, 339, 561–567. [Google Scholar]
- Adams, J.H. Central Pontine Myelinolysis. In Proceedings of the 4th International Congress of Neuropathology, Munich, Germany, 4–8 September 1961; Thieme Verlag: Stuttgart, Germany, 1962; Volume 3, pp. 303–308. [Google Scholar]
- Kleinschmidt-DeMasters, B.K.; Norenberg, M.D. Rapid correction of hyponatremia causes demyelination: Relation to central pontine myelinolysis. Science 1981, 211, 1068–1070. [Google Scholar] [CrossRef] [PubMed]
- Gocht, A.; Colmant, H.J. Central pontine and extrapontine myelinolysis: A report of 58 cases. Clin. Neuropathol. 1987, 6, 262–270. [Google Scholar]
- Newell, K.L.; Kleinschmidt-Demasters, B.K. Central pontine myelinolysis autopsy: A twelve-year retrospective analysis. J. Neurol. Sci. 1996, 142, 134–139. [Google Scholar] [CrossRef]
- Bratzke, H.; Neumann, K. Zentrale pontine Myelinolyse. Morphologie und forensische Bedeutung [Central pontine myelosis. Morphology and forensic importance]. Z. Rechtsmed. 1989, 102, 79–97. [Google Scholar]
- Gocht, A.; Löhler, J. Changes in glial cell markers in recent and old demyelinated lesions in central pontine myelinolysis. Acta Neuropathol. 1990, 80, 46–58. [Google Scholar] [CrossRef]
- De la Monte, S.M.; Kril, J.J. Human alcohol-related neuropathology. Acta Neuropathol. 2014, 127, 71–90. [Google Scholar] [CrossRef]
- Niemann, T.; Iranyi, A.; Ott, H.W. Chronischer Alkoholkonsum und Elektrolytdysbalancen—Mögliche Folgen für das ZNS [Alcoholism and possible consequences for the central nerval system—Pontine and extrapontine myelinolysis]. Praxis 2009, 98, 659–661. [Google Scholar] [CrossRef]
- Kelly, J.; Wassif, W.; Mitchard, J.; Gardner, W.N. Severe hyponatraemia secondary to beer potomania complicated by central pontine myelinolysis. Int. J. Clin. Pract. 1998, 52, 585–587. [Google Scholar] [CrossRef]
- Liamis, G.L.; Milionis, H.J.; Rizos, E.C.; Siamopoulos, K.C.; Elisaf, M.S. Mechanisms of hyponatraemia in alcohol patients. Alcohol Alcohol. 2000, 35, 612–622. [Google Scholar] [CrossRef] [PubMed]
- Mochizuki, H.; Masaki, T.; Miyakawa, T.; Nakane, J.; Yokoyama, A.; Nakamura, Y.; Okuyama, K.; Kamakura, K.; Motoyoshi, K.; Matsushita, S.; et al. Benign type of central pontine myelinolysis in alcoholism--clinical, neuroradiological and electrophysiological findings. J. Neurol. 2003, 250, 1077–1083. [Google Scholar] [CrossRef] [PubMed]
- Uchino, A.; Yuzuriha, T.; Murakami, M.; Endoh, K.; Hiejima, S.; Koga, H.; Kudo, S. Magnetic resonance imaging of sequelae of central pontine myelinolysis in chronic alcohol abusers. Neuroradiology 2003, 45, 877–880. [Google Scholar] [CrossRef]
- Aegisdottir, H.; Cooray, C.; Wirdefeldt, K.; Piehl, F.; Sveinsson, O. Incidence of osmotic demyelination syndrome in Sweden: A nationwide study. Acta Neurol. Scand. 2019, 140, 342–349. [Google Scholar] [CrossRef]
- Skullerud, K.; Andersen, S.N.; Lundevall, J. Cerebral lesions and causes of death in male alcoholics. A forensic autopsy studies. Int. J. Legal Med. 1991, 104, 209–213. [Google Scholar] [CrossRef] [PubMed]
- An, J.Y.; Park, S.K.; Han, S.R.; Song, I.U. Central pontine and extrapontine myelinolysis that developed during alcohol withdrawal, without hyponatremia, in a chronic alcoholic. Intern. Med. 2010, 49, 615–618. [Google Scholar] [CrossRef] [PubMed]
- Dujmović, I.; Vitas, J.; Zlatarić, N.; Drulović, J. Central pontine myelinolysis in a chronic alcoholic: A clinical and brain magnetic resonance imaging follow-up. Vojnosanit. Pregl. 2013, 70, 785–788. [Google Scholar] [CrossRef]
- Malhotra, K.; Ortega, L. Central pontine myelinolysis with meticulous correction of hyponatraemia in chronic alcoholics. BMJ Case Rep. 2013, 2013, bcr2013009970. [Google Scholar] [CrossRef]
- Waniek, J.; Habrat, B.; Kulczycki, J.; Łysiak, Z.; Kozłowski, P. Przebieg kliniczny i ewolucja zmian w obrazie MRI centralnej mielinolizy mostu u pacjentki uzaleznionej od alkoholu [Clinical course and evolution of lesion in MRI in central pontine myelinolysis in a patient abusing alcohol]. Neurol. Neurochir. Pol. 2002, 36, 385–391. [Google Scholar]
- Martin, R.J. Central pontine and extrapontine myelinolysis: The osmotic demyelination syndromes. J. Neurol. Neurosurg. Psychiatry 2004, 75 (Suppl. S3), iii22–iii28. [Google Scholar] [CrossRef]
- Fitts, W.; Vogel, A.C.; Mateen, F.J. The changing face of osmotic demyelination syndrome: A retrospective, observational cohort study. Neurol. Clin. Pract. 2021, 11, 304–310. [Google Scholar] [CrossRef]
- Danyalian, A.; Heller, D. Central Pontine Myelinolysis; StatPearls Publishing: Treasure Island, FL, USA, 2023. Available online: https://www.ncbi.nlm.nih.gov/books/NBK551697/ (accessed on 23 October 2023).
- Zhu, R.-J.; Lv, Z.-S.; Shan, C.-L.; Xu, M.-W.; Luo, B.-Y. Pure word deafness associated with extrapontine myelinolysis. J. Zhejiang Univ. Sci. B 2010, 11, 842–847. [Google Scholar] [CrossRef] [PubMed][Green Version]
- Lodhi, M.U.; Saleem, T.S.; Kuzel, A.R.; Khan, D.; Syed, I.A.; Rahim, U.; Iqbal, H.I.; Rahim, M. “Beer Potomania”—A syndrome of severe hyponatremia with unique pathophysiology: Case studies and literature review. Cureus 2017, 9, e2000. [Google Scholar] [CrossRef] [PubMed]
- Wang, P.; Li, T. Osmotic demyelination syndrome: Clinical and neuroimaging characteristics in a series of 8 cases. Quant. Imaging Med. Surg. 2023, 13, 4785–4791. [Google Scholar] [CrossRef] [PubMed]
- Hagiwara, K.; Okada, Y.; Shida, N.; Yamashita, Y. Extensive central and extrapontine myelinolysis in a case of chronic alcoholism without hyponatremia: A case report with analysis of serial MR findings. Intern. Med. 2008, 47, 431–435. [Google Scholar] [CrossRef][Green Version]
- Singh, T.D.; Fugate, J.E.; Rabinstein, A.A. Central pontine and extrapontine myelinolysis: A systematic review. Eur. J. Neurol. 2014, 21, 1443–1450. [Google Scholar] [CrossRef]
- Laureno, R.; Karp, B.I. Myelinolysis after correction of hyponatremia. Ann. Intern. Med. 1997, 126, 57–62. [Google Scholar] [CrossRef]
- Babanrao, S.A.; Prahladan, A.; Kalidos, K.; Ramachandran, K. Osmotic myelinolysis: Does extrapontine myelinolysis precedes central pontine myelinolysis? Report of two cases and review of literature. Indian J. Radiol. Imaging 2015, 25, 177–183. [Google Scholar] [CrossRef]
- Laureno, R.; Lamotte, G.; Mark, A.S. Sequential MRI in pontine and extrapontine myelinolysis following rapid correction of hyponatremia. BMC Res. Notes 2018, 11, 707. [Google Scholar] [CrossRef]
- Damulin, I.V. Central pontine and extrapontine myelinolysis (review). Zh. Nevrol. Psikhiatr. Im. S. S. Korsakova 2007, (Suppl. S1), 50–55. [Google Scholar]
- Sveinsson, O.A.; Pálsson, R. Midbrúar- og utanbrúarafmýling í kjölfar leidréttingar svaesinnar blódnatríumlaekkunar. Sjúkratilfelli og yfirlitsgrein [Central and extrapontine myelinolysis following correction of extreme hyponatremia. Case report and review of the literature]. Laeknabladid 2008, 94, 665–671. [Google Scholar] [PubMed]
- Tănăsescu, R.; Ticmeanu, M.; Cojocaru, I.M.; Luca, D.; Nicolau, A.; Hristea, A.; Băicuş, C. Central pontine and extrapontine myelinolysis. Rom. J. Intern. Med. 2008, 46, 199–205. [Google Scholar] [PubMed]
- Brunner, J.E.; Redmond, J.M.; Haggar, A.M.; Kruger, D.F.; Elias, S.B. Central pontine myelinolysis and pontine lesions after rapid correction of hyponatremia: A prospective magnetic resonance imaging study. Ann. Neurol. 1990, 27, 61–66. [Google Scholar] [CrossRef] [PubMed]
- Videen, J.S.; Michaelis, T.; Pinto, P.; Ross, B.D. Human cerebral osmolytes during chronic hyponatremia. A proton magnetic resonance spectroscopy study. J. Clin. Investig. 1995, 95, 88–793. [Google Scholar] [CrossRef]
- Yuh, W.T.; Simonson, T.M.; D’Alessandro, M.P.; Smith, K.S.; Hunsicker, L.G. Temporal changes of MR findings in central pontine myelinolysis. AJNR Am. J. Neuroradiol. 1995, 16, 975–977. [Google Scholar]
- Armand, J.P.; Dousset, V.; Winnock, S.; Viaud, B.; Berge, J.; Caillé, J.M. Diagnostic d’une myélinolyse extrapontine précédant l’apparition d’une myélinolyse centropontine [Diagnosis of extrapontine myelinolysis preceding central pontine myelinolysis]. J. Radiol. 1995, 76, 521–523. [Google Scholar]
- Cramer, S.C.; Stegbauer, K.C.; Schneider, A.; Mukai, J.; Maravilla, K.R. Decreased diffusion in central pontine myelinolysis. AJNR Am. J. Neuroradiol. 2001, 22, 1476–1479. [Google Scholar]
- Ruzek, K.A.; Campeau, N.G.; Miller, G.M. Early diagnosis of central pontine myelinolysis with diffusion-weighted imaging. AJNR Am. J. Neuroradiol. 2004, 25, 210–213. [Google Scholar]
- Graff-Radford, J.; Fugate, J.E.; Kaufmann, T.J.; Mandrekar, J.N.; Rabinstein, A.A. Clinical and radiologic correlations of central pontine myelinolysis syndrome. Mayo Clin. Proc. 2011, 86, 1063–1067. [Google Scholar] [CrossRef]
- Zunga, P.M.; Farooq, O.; Dar, M.I.; Dar, I.H.; Rashid, S.; Rather, A.Q.; Basu, J.A.; Ashraf, M.; Bhat, J.A. Extra pontine osmotic demyelination syndrome. Ann. Neurosci. 2015, 22, 51–53. [Google Scholar]
- Garg, P.; Aggarwal, A.; Malhotra, R.; Dhall, S. Osmotic demyelination syndrome—Evolution of extrapontine before pontine myelinolysis on magnetic resonance imaging. J. Neurosci. Rural Pract. 2019, 10, 126–135. [Google Scholar] [CrossRef] [PubMed]
- Aratani, S.; Hara, M.; Nagahama, M.; Taki, F.; Futatsuyama, M.; Tsuruoka, S.; Komatsu, Y. A low initial serum sodium level is associated with an increased risk of overcorrection in patients with chronic profound hyponatremia: A retrospective cohort analysis. BMC Nephrol. 2017, 18, 316. [Google Scholar] [CrossRef] [PubMed]
- Waikar, S.S.; Mount, D.B.; Curha, G.C. Mortality after hospitalization with mild, moderate, and severe hyponatremia. Am. J. Med. 2009, 122, 857–865. [Google Scholar] [CrossRef] [PubMed]
- George, J.C.; Zafar, W.; Bucaloiu, I.D.; Chang, A.R. Risk factors and outcomes of rapid correction of severe hyponatremia. Clin. J. Am. Soc. Nephrol. 2018, 13, 984–992. [Google Scholar] [CrossRef]
- Woodfine, J.D.; van Walraven, C. Criteria for hyponatremic overcorrection: Systematic review and cohort study of emergently ill patients. J. Gen. Intern. Med. 2020, 35, 315–321. [Google Scholar] [CrossRef]
- Menger, H.; Jörg, J. Outcome of central pontine and extrapontine myelinolysis (n = 44). J. Neurol. 1999, 246, 700–705. [Google Scholar] [CrossRef]
- Laureno, R. Central pontine myelinolysis following rapid correction of hyponatremia. Ann. Neurol. 1983, 13, 232–242. [Google Scholar] [CrossRef]
- Illowsky, B.P.; Laureno, R. Encephalopathy and myelinolysis after rapid correction of hyponatraemia. Brain 1987, 110, 855–867. [Google Scholar] [CrossRef]
- Verbalis, J.G.; Drutarosky, M.D. Adaptation to chronic hypoosmolality in rats. Kidney Int. 1988, 34, 351–360. [Google Scholar] [CrossRef]
- Guillaumin, J.; DiBartola, S.P. Disorders of sodium and water homeostasis. Vet. Clin. N. Am. Small Anim. Pract. 2017, 47, 293–312. [Google Scholar] [CrossRef]
- Burton, A.G.; Hopper, K. Hyponatremia in dogs and cats. J. Vet. Emerg. Crit. Care 2019, 29, 461–471. [Google Scholar] [CrossRef] [PubMed]
- Martemyanov, V.I.; Poddubnaya, N.Y. Regulation ranges and patterns of adaptation to hyponatremia by cells of various organs and tissues of vertebrate animals. Bratisl. Med. J. 2020, 121, 218–224. [Google Scholar] [CrossRef] [PubMed]
- Gankam Kengne, F.; Soupart, A.; Pochet, R.; Brion, J.-P.; Decaux, G. Re-induction of hyponatremia after rapid overcorrection of hyponatremia reduces mortality in rats. Kidney Int. 2009, 76, 614–621. [Google Scholar] [CrossRef] [PubMed]
- Gankam Kengne, F.; Couturier, B.S.; Soupart, A.; Brion, J.-P.; Decaux, G. Osmotic stress- induced defective glial proteostasis contributes to brain demyelination after hyponatremia treatment. J. Am. Soc. Nephrol. 2017, 28, 1802–1813. [Google Scholar] [CrossRef]
- Gankam Kengne, F.; Nicaise, C.; Soupart, A.; Boom, A.; Schiettecatte, J.; Pochet, R.; Brion, J.-P.; Decaux, G. Astrocytes are an early target in osmotic demyelination syndrome. J. Am. Soc. Nephrol. 2011, 22, 1834–1845. [Google Scholar] [CrossRef]
- Iwama, S.; Sugimura, Y.; Suzuki, H.; Suzuki, H.; Murase, T.; Ozaki, N.; Nagasaki, H.; Arima, H.; Murata, Y.; Sawada, M.; et al. Time-dependent changes in proinflammatory and neurotrophic responses of microglia and astrocytes in a rat model of osmotic demyelination syndrome. Glia 2011, 59, 452–462. [Google Scholar] [CrossRef]
- Thurston, J.H.; Hauhart, R.E. Brain amino acids decrease in chronic hyponatremia and rapid correction causes brain dehydration: Possible clinical significance. Life Sci. 1987, 40, 2539–2542. [Google Scholar] [CrossRef]
- Thurston, J.H.; Hauhart, R.E.; Nelson, J.S. Adaptive decreases in amino acids (taurine in particular), creatine, and electrolytes prevent cerebral edema in chronically hyponatremic mice: Rapid correction (experimental model of central pontine myelinolysis) causes dehydration and shrinkage of brain. Metab. Brain Dis. 1987, 2, 223–241. [Google Scholar] [CrossRef]
- Sugimura, Y.; Takagi, H.; Murase, T.; Hoshino, S.; Oiso, Y.; Murata, Y. Prevention of demyelination induced by rapid correction of hyponatremia in mice. Environ. Med. 2002, 46, 58–61. [Google Scholar]
- Bouchat, J.; Couturier, B.; Marneffe, C.; Gankam-Kengne, F.; Balau, B.; DeSwert, K.; Brion, J.-P.; Poncelet, L.; Gilloteaux, J.; Nicaise, C. Regional oligodendrocytopathy and astrocytopathy precede myelin loss and blood-brain barrier disruption in a murine model of osmotic demyelination syndrome. Glia 2018, 66, 606–622. [Google Scholar] [CrossRef]
- Tachibana, M.; Mohri, I.; Hirata, I.; Kuwada, A.; Kimura-Ohba, S.; Kagitani-Shimono, K.; Fushimi, H.; Inoue, T.; Shiomi, M.; Kakuta, Y.; et al. Clasmatodendrosis is associated with dendritic spines and does not represent autophagic astrocyte death in influenza-associated encephalopathy. Brain Dev. 2019, 41, 85–95. [Google Scholar] [CrossRef] [PubMed]
- Bouchat, J.; Gilloteaux, J.; Suain, V.; Van Vlaender, D.; Brion, J.-P.; Nicaise, C. Ultrastructural analysis of thalamus damages in a mouse model of osmotic-induced demyelination. Neurotox. Res. 2019, 36, 144–162. [Google Scholar] [CrossRef] [PubMed]
- Nicaise, C.; Marneffe, C.; Bouchat, J.; Gilloteaux, J. Osmotic demyelination: From an oligodendrocyte to an astrocyte perspective. Int. J. Mol. Sci. 2019, 20, 1124. [Google Scholar] [CrossRef]
- Gilloteaux, J.; Bouchat, J.; Brion, J.-P.; Nicaise, C. The osmotic demyelination syndrome: The resilience of thalamic neurons is verified with transmission electron microscopy. Ultrastruct. Pathol. 2020, 44, 450–480. [Google Scholar] [CrossRef]
- Scalisi, J.; Balau, B.; Deneyer, L.; Bouchat, J.; Gilloteaux, J.; Nicaise, C. Blood-brain barrier permeability towards small and large tracers in a mouse model of osmotic demyelination syndrome. Neurosci. Lett. 2021, 746, 135665. [Google Scholar] [CrossRef]
- Gilloteaux, J.; Bouchat, J.; Bielarz, V.; Brion, J.-P.; Nicaise, C. A primary cilium in oligodendrocytes: A fine structure signal of repairs in thalamic osmotic demyelination syndrome (ODS). Ultrastruct. Pathol. 2021, 45, 128–157. [Google Scholar] [CrossRef] [PubMed]
- Gilloteaux, J.; De Swert, K.; Suain, V.; Brion, J.-P.; Nicaise, C. Loss of ephaptic contacts in the murine thalamus during osmotic demyelination syndrome. Ultrastruct. Pathol. 2023, 47, 398–423. [Google Scholar] [CrossRef] [PubMed]
- Bose, P.; Kunnacherry, A.; Maliakal, P. Central pontine myelinolysis without hyponatraemia. J. R. Coll. Phys. Edinb. 2011, 41, 211–214. [Google Scholar] [CrossRef]
- Conger, J.D.; McIntyre, J.A.; Jacoby, W.J., Jr. Central pontine myelinolysis associated with inappropriate antidiuretic hormone secretion. Am. J. Med. 1969, 47, 813–817. [Google Scholar] [CrossRef]
- Finlayson, M.H.; Snider, S.; Oliva, L.A.; Gault, M.H. Cerebral and pontine myelinolysis. Two cases with fluid and electrolyte imbalance and hypotension. J. Neurol. Sci. 1973, 18, 399–409. [Google Scholar] [CrossRef]
- Tomlinson, B.E.; Pierides, A.M.; Bradley, W.G. Central pontine myelinolysis. Two cases with associated electrolyte disturbance. Q. J. Med. 1976, 45, 373–386. [Google Scholar] [PubMed]
- Burcar, P.J.; Norenberg, M.D.; Yarnell, P.R. Hyponatremia and central pontine myelinolysis. Neurology 1977, 27, 223–226. [Google Scholar] [CrossRef] [PubMed]
- Lohr, J.W. Osmotic demyelination syndrome following correction of hyponatremia: Association with hypokalemia. Am. J. Med. 1994, 96, 408–413. [Google Scholar] [CrossRef] [PubMed]
- Mustajoki, S. Severe hyponatraemia (P-Na < 116 mmol/l) in the emergency department: A series of 394 cases. Intern. Emerg. Med. 2023, 18, 781–789. [Google Scholar]
- Decaux, G.; Much, W. Clinical laboratory evaluation of the syndrome of inappropriate secretion of antidiuretic hormone. Clin. J. Am. Soc. Nephrol. 2008, 3, 1175–1184. [Google Scholar] [CrossRef]
- Zilberberg, M.D.; Exuzides, A.; Spalding, J.; Foreman, A.; Jones, A.G.; Colby, C.; Schorr, A.F. Epidemiology, clinical and economic outcomes of admission hyponatremia among hospitalized patients. Curr. Med. Res. Opin. 2008, 24, 1601–1608. [Google Scholar] [CrossRef]
- Hannon, M.J.; Thompson, C.J. The syndrome of inappropriate antidiuretic hormone: Prevalence, causes and consequences. Eur. J. Endocrinol. 2010, 162 (Suppl. 1), S5–S12. [Google Scholar] [CrossRef]
- Onder, H.; Arsava, E.M.; Gocmen, R.; Topcuoglu, M.A. Central pontine and extra-pontine myelinolysis after correction of severe hypoglycemia. Neurol. Sci. 2013, 34, 2223–2224. [Google Scholar] [CrossRef]
- Sterns, R.H. Adverse consequences of overly rapid correction of hyponatremia. Front. Horm. Res. 2019, 52, 130–142. [Google Scholar]
- Reijnders, T.D.Y.; Janssen, W.M.T.; Niamut, S.M.L.; Kramer, A.B. Role of risk factors in developing osmotic demyelination syndrome during correction of hyponatremia: A case study. Cureus 2020, 12, e6547. [Google Scholar] [CrossRef]
- Adamson, D.J. Hyponatraemia and alcohol excess are associated with protean central nervous system damage. J. R. Coll. Physicians Edinb. 2012, 42, 189. [Google Scholar] [PubMed]
- Kheetan, M.; Ogu, I.; Shapiro, J.I.; Khitan, Z.J. Acute and chronic hyponatremia. Front. Med. 2021, 8, 693738. [Google Scholar] [CrossRef] [PubMed]
- Barber, S.M.; Liebelt, B.D.; Baskin, D.S. Incidence, etiology and outcomes of hyponatremia after transsphenoidal surgery: Experience with 344 consecutive patients at a single tertiary center. J. Clin. Med. 2014, 3, 1199–1219. [Google Scholar] [CrossRef]
- Sherlock, M.; O’Sullivan, E.; Agha, A.; Behan, L.A.; Rawluk, D.; Brennan, P.; Tormey, W.; Thompson, C.J. The incidence and pathophysiology of hyponatraemia after subarachnoid haemorrhage. Clin. Endocrinol. 2006, 64, 250–254. [Google Scholar] [CrossRef] [PubMed]
- Sherlock, M.; O’Sullivan, E.; Agha, A.; Behan, L.A.; Owens, D.; Finucane, F.; Rawluk, D.; Tormey, W.; Thompson, C.J. Incidence and pathophysiology of severe hyponatraemia in neurosurgical patients. Postgrad. Med. J. 2009, 85, 171–175. [Google Scholar] [CrossRef]
- Jha, A.A.; Behera, V.; Jairam, A.; Baliga, K.V. Osmotic demyelination syndrome in a normonatremic patient of chronic kidney disease. Indian J. Crit. Care Med. 2014, 18, 609–611. [Google Scholar] [CrossRef]
- Sen, A.; Soysal, A.; Sever, A.; Arpaci, B. Acute brachial neuritis with central pontine and extrapontine myelinolysis in a renal transplant recipient. Neurol. Sci. 2013, 34, 2249–2251. [Google Scholar] [CrossRef]
- Huang, W.Y.; Weng, W.C.; Peng, T.I.; Ro, L.S.; Yang, C.W.; Chen, K.H. Central pontine and extrapontine myelinolysis after rapid correction of hyponatremia by hemodialysis in a uremic patient. Ren. Fail. 2007, 29, 635–638. [Google Scholar] [CrossRef]
- Noritomi, T.; Sugawara, Y.; Kaneko, J.; Matsui, Y.; Makuuchi, M. Central pontine myelinolysis after living donor liver transplantation. Hepatogastroenterology 2004, 51, 247–248. [Google Scholar]
- Hoorn, E.J.; Lindemans, J.; Zietse, R. Development of severe hyponatraemia in hospitalized patients: Treatment-related risk factors and inadequate management. Nephrol. Dial. Transplant. 2006, 21, 70–76. [Google Scholar] [CrossRef]
- Burneo, J.; Vizcarra, D.; Miranda, H. Mielinólisis central pontina y embarazo: Presentación de un caso y revisión de la literatura [Central pontine myelinolysis and pregnancy: A case report and review of literature]. Rev. Neurol. 2000, 30, 1036–1040. [Google Scholar] [PubMed]
- Wang, J.Y.; Lin, S.H.; Lin, Y.F.; Chen, H.Y.; Yu, F.C.; Fu, M.T. An unforgotten cause of acute hyponatremia: Water intoxication due to oxytocin administration in a pregnant woman. Nephron 2000, 86, 342–343. [Google Scholar] [CrossRef] [PubMed]
- Corona, G.; Simonetti, L.; Giuliani, C.; Sforza, A.; Peri, A. A case of osmotic demyelination syndrome occurred after the correction of severe hyponatraemia in hyperemesis gravidarum. BMC Endocr. Disord. 2014, 14, 34. [Google Scholar] [CrossRef] [PubMed]
- Gayathri, K.B.; Bhargav, P.R. Hyperemesis gravidarum is a syndrome of metabolic and endocrine disturbances: A case description. Indian J. Clin. Biochem. 2014, 29, 390–392. [Google Scholar] [CrossRef] [PubMed][Green Version]
- Levine, J.P.; Stelnicki, E.; Weiner, H.L.; Bradley, J.P.; McCarthy, J.G. Hyponatremia in the postoperative craniofacial pediatric patient population: A connection to cerebral salt wasting syndrome and management of the disorder. Plast. Reconstr. Surg. 2001, 108, 1501–1508. [Google Scholar] [CrossRef] [PubMed]
- Bonkowsky, J.L.; Filloux, F.M. Extrapontine myelinolysis in a pediatric case of diabetic ketoacidosis and cerebral edema. J. Child Neurol. 2003, 18, 144–147. [Google Scholar] [CrossRef]
- Haspolat, S.; Duman, O.; Senol, U.; Yegin, O. Extrapontine myelinolysis in infancy: Report of a case. J. Child Neurol. 2004, 19, 913–915. [Google Scholar] [PubMed]
- Kaneko, K.; Kaneko, K. Hyponatremia in children with respiratory tract infection. Pediatr. Nephrol. 2009, 24, 1595, author reply 1597–1598. [Google Scholar] [CrossRef]
- Tullu, M.S.; Deshmukh, I.; Muranjan, M.N.; Kher, A.S.; Lahiri, K.R. Extrapontine myelinolysis in a child with nephrotic syndrome. Pediatr. Neurol. 2010, 43, 139–141. [Google Scholar] [CrossRef]
- Ranger, A.M.; Chaudhary, N.; Avery, M.; Fraser, D. Central pontine and extrapontine myelinolysis in children: A review of 76 patients. J. Child Neurol. 2012, 27, 1027–1037. [Google Scholar] [CrossRef]
- Carandang, F.; Anglemyer, A.; Longhurst, C.A.; Krishnan, G.; Alexander, S.R.; Kahana, M.; Sutherland, S.M. Association between maintenance fluid tonicity and hospital-acquired hyponatremia. J. Pediatr. 2013, 163, 1646–1651. [Google Scholar] [CrossRef] [PubMed]
- Topjian, A.A.; Stuart, A.; Pabalan, A.A.; Clair, A.; Keebaugh, T.J.; Abend, N.S.; Storm, P.B.; Berg, R.A.; Huh, J.W.; Friess, S.H. Greater fluctuations in serum sodium levels are associated with increased mortality in children with externalized ventriculostomy drains in a PICU. Pediatr. Crit. Care Med. 2014, 15, 846–855. [Google Scholar] [CrossRef] [PubMed]
- Wang, J.; Xu, E.; Xiao, Y. Isotonic versus hypotonic maintenance IV fluids in hospitalized children: A meta-analysis. Pediatrics 2014, 133, 105–113. [Google Scholar] [CrossRef] [PubMed]
- Aoki, R.; Morimoto, T.; Takahashi, Y.; Saito, H.; Fuchigami, T.; Takahashi, S. Extrapontine myelinolysis associated with severe hypernatremia in infancy. Pediatr. Int. 2016, 58, 936–939. [Google Scholar] [CrossRef]
- Lavagno, C.; Milani, G.P.; Uestuener, P.; Simonetti, G.D.; Casaulta, C.; Bianchetti, M.G.; Fare, P.B.; Lava, S.A.G. Hyponatremia in children with acute respiratory infections: A reappraisal. Pediatr. Pulmonol. 2017, 52, 962–967. [Google Scholar] [CrossRef]
- Park, S.W.; Shin, S.M.; Jeong, M.; Cho, D.H.; Lee, K.H.; Eisenhut, M.; Kronbichler, A.; Moritz, M.; Il Shin, J. Hyponatremia in children with respiratory infections: A cross-sectional analysis of a cohort of 3938 patients. J. Sci. Rep. 2018, 8, 16494. [Google Scholar] [CrossRef]
- Bansal, L.R.; Zinkus, T. Osmotic demyelination syndrome in children. Pediatr. Neurol. 2019, 97, 12–17. [Google Scholar] [CrossRef]
- Mercier, J.C.; Titomanlio, L.; Basmaci, R.; Gaschignard, J. Risks of severe hyponatremia in children receiving hypotonic fluids. Arch. Pediatr. 2020, 27, 474–479. [Google Scholar] [CrossRef]
- Burst, V. Etiology and epidemiology of hyponatremia. Front. Horm. Res. 2019, 52, 24–35. [Google Scholar]
- Hofmann, W.; Flägel, K.; Gosch, M. Hyponatriämie im Alter (Teil I)—Diagnose leicht gemacht: Tücken erkennen und Fallstricke umgehen [Hyponatremia in older persons (part I)-keep diagnosis simple: How to detect tricks and avoid pitfalls]. Z. Gerontol. Geriatr. 2020, 53, 347–356. [Google Scholar] [CrossRef]
- Sterns, R.H.; Hix, J.K.; Silver, S.M. Management of hyponatremia in the ICU. Chest 2013, 144, 672–679. [Google Scholar] [CrossRef]
- Decaux, G. Morbidity associated with chronic hyponatremia. J. Clin. Med. 2023, 12, 978. [Google Scholar] [CrossRef] [PubMed]
- Lim, J.K.; Yap, K.B. Hyponatraemia in hospitalised elderly patients. Med. J. Malaysia 2001, 56, 232–235. [Google Scholar] [PubMed]
- Bakirtzis, C.; Lima, M.; De Lorenzo, S.S.; Artemiadis, A.; Theotokis, P.; Kesidou, E.; Konstantinidou, N.; Sintila, S.A.; Boziki, M.K.; Parissis, D.; et al. Secondary central nervous system demyelinating disorders in the elderly: A narrative review. Healthcare 2023, 11, 2126. [Google Scholar] [CrossRef] [PubMed]
- Kounatidis, D.; Liakopoulou, C.; Brozou, V.; Dimopoulou, G.; Vallianou, N. Chronic Idiopathic hyponatremia in an elderly patient due to inappropriate antidiuretic hormone secretion (SIADH) syndrome. Hippokratia 2019, 23, 42–44. [Google Scholar]
- Akash, C.; Badiger, R. Epidemiology of hyponatraemia among elderly patients with lower respiratory tract infection. J. Assoc. Phys. India 2020, 68, 80. [Google Scholar]
- Thongprayoon, C.; Cheungpasitporn, W.; Yap, J.Q.; Qian, Q. Increased mortality risk associated with serum sodium variations and borderline hypo- and hypernatremia in hospitalized adults. Nephrol. Dial. Transplant. 2020, 35, 1746–1752. [Google Scholar] [CrossRef]
- Beraldo, D.O.; Duarte, S.B.C.P.; Santos, R.B.; Mendes, C.G.; Silveira, M.P.; Neto, A.S.; Silva, M.M.; Oliveira, L.G.; Bonfim, A.V.; Teixeira, A.A.; et al. Pontine myelinolysis caused by hypovolemic hypernatremia. Case Rep. Nephrol. 2020, 2020, 1–4. [Google Scholar] [CrossRef]
- Hoorn, E.J.; Rivadeneira, F.; van Meurs, J.B.; Ziere, G.; Stricker, B.H.; Hofman, A.; Pols, H.A.; Zietse, R.; Uitterlinden, A.G.; Zillikens, M.C. Mild hyponatremia as a risk factor for fractures: The Rotterdam Study. J. Bone Miner. Res. 2011, 26, 1822–1828. [Google Scholar] [CrossRef]
- Bhowmick, S.S.; Lang, A.E. Movement disorders and renal diseases. Mov. Disord. Clin. Pract. 2020, 7, 763–779. [Google Scholar] [CrossRef]
- Filippatos, T.D.; Makri, A.; Elisaf, M.S.; Liamis, G. Hyponatremia in the elderly: Challenges and solutions. Clin. Interv. Aging 2017, 12, 1957–1965. [Google Scholar] [CrossRef]
- Lampl, C.; Yazdi, K. Central pontine myelinolysis. Eur. Neurol. 2002, 47, 3–10. [Google Scholar] [CrossRef] [PubMed]
- Stavroulopoulos, A.; Nakopoulou, L.; Xydakis, A.M.; Aresti, V.; Nikolakopoulou, A.; Klouvas, G. Interstitial nephritis and nephrogenic diabetes insipidus in a patient treated with pemetrexed. Ren. Fail. 2010, 32, 1000–1004. [Google Scholar] [CrossRef]
- Rondon-Berrios, H.; Agaba, E.I.; Tzamaloukas, A.H. Hyponatremia: Pathophysiology, classification, manifestations, and management. Int. Urol. Nephrol. 2014, 46, 2153–2165. [Google Scholar] [CrossRef] [PubMed]
- Rhee, C.M.; Ayus, J.C.; Kalantar-Zadeh, K. Hyponatremia in the dialysis population. Kidney Int. Rep. 2019, 4, 769–780. [Google Scholar] [CrossRef] [PubMed]
- Morard, I.; Gasche, Y.; Kneteman, M.; Toso, C.; Mentha, A.; Meeberg, G.; Mentha, G.; Kneteman, N.; Giostra, E. Identifying risk factors for central pontine and extrapontine myelinolysis after liver transplantation: A case-control study. Neurocrit. Care 2014, 20, 287–295. [Google Scholar] [CrossRef]
- Crivellin, C.; Cagnin, A.; Manara, R.; Boccagni, P.; Cillo, U.; Feltracco, P.; Barbieri, S.; Ferrarese, A.; Germani, G.; Russo, F.P.; et al. Risk factors for central pontine and extrapontine myelinolysis after liver transplantation: A single-center study. Transplantation 2015, 99, 1257–1264. [Google Scholar] [CrossRef]
- Crismale, J.F.; Meliambro, K.A.; DeMaria, S., Jr.; Bronster, D.B.; Florman, S.; Schiano, T.D. Prevention of the Osmotic Demyelination syndrome after liver transplantation: A multidisciplinary perspective. Am. J. Transplant. 2017, 17, 2537–2545. [Google Scholar] [CrossRef]
- Verbeek, T.A.; Saner, F.H.; Bezinover, D. Hyponatremia and liver transplantation: A narrative review. J. Cardiothorac. Vasc. Anesth. 2022, 36, 1458–1466. [Google Scholar] [CrossRef]
- Tajitsu, M.; Yamada, T.; Cao, X.; Fukui, A.; Nagai, J.; Yambe, Y.; Murase, T.; Okada, H. Osmotic demyelination syndrome complicating diabetes with anti-glutamic acid decarboxylase antibodies and Graves’ disease: A case report. J. Diabetes Investig. 2016, 7, 130–131. [Google Scholar] [CrossRef]
- Sharma, C.; Kumawat, B.L.; Panchal, M.; Shah, M. Osmotic demyelination syndrome in type 1 diabetes in the absence of dyselectrolytaemia: An overlooked complication? BMJ Case Rep. 2017, 2017, bcr2016219148. [Google Scholar] [CrossRef] [PubMed]
- Brandimarte, F.; Fedele, F.; De Luca, L.; Fonarow, G.C.; Gheorghiade, M. Hyponatremia in acute heart failure syndromes: A potential therapeutic target. Curr. Heart Fail. Rep. 2007, 4, 207–213. [Google Scholar] [CrossRef] [PubMed]
- Farmakis, D.; Filippatos, G.; Parissis, J.; Kremastinos, D.T.; Gheorghiade, M. Hyponatremia in heart failure. Heart Fail. Rev. 2009, 14, 59–63. [Google Scholar] [CrossRef]
- Lu, D.Y.; Cheng, H.M.; Cheng, Y.L.; Hsu, P.F.; Huang, W.M.; Guo, C.Y.; Yu, W.C.; Chen, C.H.; Sung, S.H. Hyponatremia and worsening sodium levels are associated with long-term outcome in patients hospitalized for acute heart failure. J. Am. Heart Assoc. 2016, 5, e002668. [Google Scholar] [CrossRef] [PubMed]
- Yang, S.W.; Liu, Z.M.; Mi, J.R.; Liu, S.Y.; Ding, L.G.; Chen, K.P.; Hua, W.; Zhang, S. Association of serum albumin level and clinical outcomes among heart failure patients receiving cardiac resynchronization therapy. Zhonghua Xin Xue Guan Bing Za Zhi 2017, 45, 204–208. [Google Scholar] [PubMed]
- Arao, K.; Fujiwara, T.; Sakakura, K.; Wada, H.; Sugawara, Y.; Suga, C.; Ako, J.; Ishikawa, S.E.; Momomura, S. Hyponatremia as a predictor for worsening heart failure in patients receiving cardiac resynchronization therapy. Circ. J. 2013, 77, 116–122. [Google Scholar] [CrossRef]
- Guha, K.; Spießhöfer, J.; Hartley, A.; Pearse, S.; Xiu, P.Y.; Sharma, R. The prognostic significance of serum sodium in a population undergoing cardiac resynchronization therapy. Indian Heart J. 2017, 69, 613–618. [Google Scholar] [CrossRef]
- Mannesse, C.K.; van Puijenbroek, E.P.; Jansen, P.A.; van Marum, R.J.; Souverein, P.C.; Egberts, T.C. Hyponatraemia as an adverse drug reaction of antipsychotic drugs: A case-control study in VigiBase. Drug Saf. 2010, 33, 569–578. [Google Scholar] [CrossRef]
- Siegler, J.E.; Wang, A.R.; Vanderwerf, J.D. Normonatremic osmotic demyelination in the setting of acquired immune deficiency syndrome and malnutrition: Case report and literature review. J. Neurovirol. 2016, 22, 876–879. [Google Scholar] [CrossRef]
- Garigan, T.P.; Ristedt, D.E. Death from hyponatremia as a result of acute water intoxication in an Army basic trainee. Mil. Med. 1999, 164, 234–238. [Google Scholar] [CrossRef]
- Speedy, D.B.; Noakes, T.D.; Schneider, C. Exercise-associated hyponatremia: A review. Emerg. Med. 2001, 13, 17–27. [Google Scholar] [CrossRef] [PubMed]
- Noakes, T. Hyponatremia in distance runners: Fluid and sodium balance during exercise. Curr. Sports Med. Rep. 2002, 1, 197–207. [Google Scholar] [CrossRef]
- Knechtle, B.; Knechtle, P.; Rosemann, T. Low prevalence of exercise-associated hyponatremia in male 100 km ultra-marathon runners in Switzerland. Eur. J. Appl. Physiol. 2011, 111, 1007–1016. [Google Scholar] [CrossRef]
- Knechtle, B.; Nikolaidis, P.T. Physiology and pathophysiology in ultra-marathon running. Front. Physiol. 2018, 9, 634. [Google Scholar] [CrossRef]
- Martinez-Cano, J.P.; Cortes-Castillo, V.; Martinez-Villa, J.; Ramos, J.C.; Uribe, J.P. Dysnatremia among runners in a half marathon performed under warm and humid conditions. BMJ Open Sport Exerc. Med. 2018, 4, e000351. [Google Scholar] [CrossRef]
- Knechtle, B.; Chlíbková, D.; Papadopoulou, S.; Mantzorou, M.; Rosemann, T.; Nikolaidis, P.T. Exercise-associated hyponatremia in endurance and ultra-endurance performance-aspects of sex, race location, ambient temperature, sports discipline, and length of performance: A narrative review. Medicina 2019, 55, 537. [Google Scholar] [CrossRef] [PubMed]
- Rosner, M.H. Exercise-associated hyponatremia. Trans. Am. Clin. Climatol. Assoc. 2019, 130, 76–87. [Google Scholar]
- Lecina, M.; Castellar-Otín, C.; López-Laval, I.; Carrasco Páez, L.; Pradas, F. Acute kidney injury and hyponatremia in ultra-trail racing: A systematic review. Medicina 2022, 58, 569. [Google Scholar] [CrossRef] [PubMed]
- Tidmas, V.; Brazier, J.; Bottoms, L.; Muniz, D.; Desai, T.; Hawkins, J.; Sridharan, S.; Farrington, K. Ultra-endurance participation and acute kidney iInjury: A narrative review. Int. J. Environ. Res. Public Health 2022, 19, 16887. [Google Scholar] [CrossRef] [PubMed]
- Khodaee, M.; Saeedi, A.; Harris-Spinks, C.; Hew-Butler, T. Incidence of exercise-associated hyponatremia during a high-altitude 161-km ultramarathon. Phys. Act. Nutr. 2021, 25, 16–22. [Google Scholar] [CrossRef]
- Boespflug-Tanguy, O. Inborn errors of brain myelin formation. Handb. Clin. Neurol. 2013, 113, 1581–1592. [Google Scholar] [CrossRef] [PubMed]
- Barkovich, A.J.; Deon, S. Hypomyelinating disorders: An MRI approach. Neurobiol. Dis. 2016, 87, 50–58. [Google Scholar] [CrossRef]
- Bennion, P.J.; Horobin, R.W.; Murgatroyd, L.B. The use of a basic dye (azure A or toluidine blue) plus a cationic surfactant for selective staining of RNA: A technical and mechanistic study. Stain. Technol. 1975, 50, 307–313. [Google Scholar] [CrossRef] [PubMed]
- Kiernan, J.A. Does progressive nuclear staining with hemalum (alum hematoxylin) involve DNA, and what is the nature of the dye-chromatin complex? Biotech. Histochem. 2018, 93, 133–148. [Google Scholar] [CrossRef] [PubMed]
- Sridharan, G.; Shankar, A.A. Toluidine blue: A review of its chemistry and clinical utility. J. Oral. Maxillofac. Pathol. 2012, 16, 251–255. [Google Scholar] [CrossRef] [PubMed]
- Hernandez-Verdun, D.; Hubert, J.; Bourgeois, C.A.; Bouteille, M. Ultrastructural localization of Ag-NOR stained proteins in the nucleolus during the cell cycle and in other nucleolar structures. Chromosoma 1980, 79, 349–362. [Google Scholar] [CrossRef]
- Peters, A.; Palay, S.L.; Webster, H.d.F. The Fine Structure of the Nervous System. The Cells and Their Processes; Harper & Row: New York, NY, USA, 1970; pp. 101–126. [Google Scholar]
- Zimmerman, H. Beiträge zur Kenntnis einiger Drüsen und Epithelien. Arch. Mikrosk. Anat. 1898, 52, 552–706. [Google Scholar] [CrossRef]
- Sun, S.; Fisher, R.L.; Bowser, S.S.; Pentecost, B.T. Three-dimensional architecture of epithelial primary cilia. Proc. Natl. Acad. Sci. USA 2019, 7116, 9370–9379. [Google Scholar] [CrossRef]
- Satir, P.; Pedersen, L.B.; Christensen, S.T. The primary cilium at a glance. J. Cell Sci. 2010, 123, 499–503. [Google Scholar] [CrossRef]
- Wheway, G.; Nazlamova, L.; Hancock, J.T. Signaling through the primary cilium. Front. Cell Dev. Biol. 2018, 6, 8. [Google Scholar] [CrossRef]
- Fry, A.M.; Leaper, M.J.; Bayliss, R. The primary cilium: Guardian of organ development and homeostasis. Organogenesis 2014, 10, 62–68. [Google Scholar] [CrossRef]
- Gilloteaux, J. Primary cilia in the Syrian hamster biliary tract: Bile flow antennae and outlooks about signaling on the hepato-biliary-pancreatic stem cells. Trans. Res. Anat. 2020, 19, 100063. [Google Scholar] [CrossRef]
- Shapiro, A.J.; Leigh, M.W. Value of transmission electron microscopy for primary ciliary dyskinesia diagnosis in the era of molecular medicine: Genetic defects with normal and non-diagnostic ciliary ultrastructure. Ultrastruct. Pathol. 2017, 41, 373–385. [Google Scholar] [CrossRef] [PubMed]
- Chang, C.F.; Schock, E.N.; Attia, A.C.; Stottmann, R.W.; Brugmann, S.A. The ciliary baton: Orchestrating neural crest cell development. Curr. Top. Dev. Biol. 2015, 111, 97–134. [Google Scholar] [PubMed]
- Schock, E.N.; Struve, J.N.; Chang, C.F.; Williams, T.J.; Snedeker, J.; Attia, A.C.; Stottmann, R.W.; Brugmann, S.A. A tissue-specific role for intraflagellar transport genes during craniofacial development. PLoS ONE 2017, 12, e0174206. [Google Scholar] [CrossRef]
- Cicolini, I.; Blasetti, A.; Chiarelli, F. Ciliopathies in pediatric endocrinology. Ann. Pediatr. Endocrinol. Metab. 2023, 28, 5–9. [Google Scholar] [CrossRef]
- Yamaguchi, H.; Meyer, M.D.; He, L.; Senavirathna, L.; Pan, S.; Komatsu, Y. The molecular complex of ciliary and golgin protein is crucial for skull development. Development 2021, 148, dev199559. [Google Scholar] [CrossRef]
- Willaredt, M.A.; Hasenpusch-Theil, K.; Gardner, H.A.; Kitanovic, I.; Hirschfeld-Warneken, V.C.; Gojak, C.P.; Gorgas, K.; Bradford, C.L.; Spatz, J.; Wölfl, S.; et al. A crucial role for primary cilia in cortical morphogenesis. J. Neurosci. 2008, 28, 12887–12900. [Google Scholar] [CrossRef]
- Green, J.A.; Mykytyn, K. Neuronal ciliary signaling in homeostasis and disease. Cell. Mol. Life Sci. 2010, 67, 3287–3297. [Google Scholar] [CrossRef]
- Lee, J.E.; Gleeson, J.G. Cilia in the nervous system: Linking cilia function and neurodevelopment disorders. Curr. Opin. Neurol. 2011, 24, 98–105. [Google Scholar] [CrossRef]
- Green, J.A.; Mykytyn, K. Neuronal primary cilia: An underappreciated signaling and sensory organelle in the brain. Neuropsychopharm. Rev. 2014, 39, 244–245. [Google Scholar] [CrossRef] [PubMed]
- Sarkisian, M.R.; Guadiana, S.M. Influences of primary cilia on cortical morphogenesis and neuronal subtype maturation. Neuroscientist 2015, 21, 136–151. [Google Scholar] [CrossRef] [PubMed]
- Park, S.M.; Jang, H.J.; Lee, J.H. Roles of primary cilia in the developing brain. Front. Cell. Neurosci. 2019, 13, 218. [Google Scholar] [CrossRef]
- Briscoe, J.; Chen, Y.; Jessell, T.M.; Struhl, G.A. Hedgehog-insensitive form of patched provides evidence for direct long-range morphogen activity of sonic hedgehog in the neural tube. Mol. Cell. 2001, 7, 1279–1291. [Google Scholar] [CrossRef] [PubMed]
- Álvarez-Buylla, A.; Ihrie, R.A. Sonic hedgehog signaling in the postnatal brain. Semin. Cell Dev. Biol. 2014, 33, 105–111. [Google Scholar] [CrossRef]
- Rohatgi, R.; Milenkovic, L.; Scott, M.P. Patched1 regulates hedgehog signaling at the primary cilium. Science 2007, 317, 372–376. [Google Scholar] [CrossRef]
- Heckman, C.A.; Plummer, H.K. Filopodia as sensors. Cell. Signal. 2013, 25, 2298–2311. [Google Scholar] [CrossRef]
- Wit, C.B.; Hiesin, P.R. Neuronal filopodia: From stochastic dynamics to robustness of brain morphogenesis. Semin. Cell Devel. Biol. 2023, 133, 10–19. [Google Scholar] [CrossRef]
- Teliska, L.H.; Dalla Costa, I.; Sert, O.; Twiss, J.L.; Rasband, M.N. Axon initial segments are required for efficient motor neuron axon regeneration and functional recovery of synapses. J. Neurosci. 2022, 42, 8054–8065. [Google Scholar] [CrossRef]
- Radler, M.R.; Liu, X.; Peng, M.; Doyle, B.; Toyo-Oka, K.; Spiliotis, E.T. Pyramidal neuron morphogenesis requires a septin network that stabilizes filopodia and suppresses lamellipodia during neurite initiation. Curr. Biol. 2023, 33, 434–448.e8. [Google Scholar] [CrossRef]
- Ho, C.T.; Gupton, S.L. Cytoskeleton: Septin wreaths regulate actin in neuritogenesis. Curr. Biol. 2023, 33, R98–R100. [Google Scholar] [CrossRef] [PubMed]
- Gulledge, A.T.; Bravo, J.J. Neuron morphology influences axon initial segment plasticity. eNeuro 2016, 3, ENEURO.0085-15.2016. [Google Scholar] [CrossRef]
- Nakada, C.; Ritchie, K.; Oba, Y.; Nakamura, M.; Hotta, Y.; Iino, R.; Kasai, R.S.; Yamaguchi, K.; Fujiwara, T.; Kusumi, A. Accumulation of anchored proteins forms membrane diffusion barriers during neuronal polarization. Nat. Cell Biol. 2003, 5, 626–632. [Google Scholar] [CrossRef] [PubMed]
- Hedstrom, K.L.; Xu, X.; Ogawa, Y.; Frischknecht, R.; Seidenbecher, C.I.; Shrager, P.; Rasband, M.N. Neurofascin assembles a specialized extracellular matrix at the axon initial segment. J. Cell Biol. 2007, 178, 875–886. [Google Scholar] [CrossRef]
- Ogawa, Y.; Rasband, M.N. The functional organization and assembly of the axon initial segment. Curr. Opin. Neurobiol. 2008, 18, 307–313. [Google Scholar] [CrossRef]
- Brachet, A.; Leterrier, C.; Irondelle, M.; Fache, M.P.; Racine, V.; Sibarita, J.B.; Choquet, D.; Dargent, B. Ankyrin G restricts ion channel diffusion at the axonal initial segment before the establishment of the diffusion barrier. J. Cell Biol. 2010, 191, 383–395. [Google Scholar] [CrossRef]
- Ge, R.; Cao, M.; Chen, M.; Liu, M.; Xie, S. Cytoskeletal networks in primary cilia: Current knowledge and perspectives. J. Cell Physiol. 2022, 237, 3975–3983. [Google Scholar] [CrossRef]
- Palay, S.L.; Sotelo, C.; Peters, A.; Orkand, P.M. The axon hillock and the initial segment. J. Cell Biol. 1968, 38, 193–201. [Google Scholar] [CrossRef] [PubMed]
- Chan-Palay, V. The tripartite structure of the undercoat in initial segments of Purkinje cell axons. Zeits. Anat. Entwickl. 1972, 139, 1–10. [Google Scholar] [CrossRef] [PubMed]
- Jones, S.L.; Korobova, F.; Svitkina, T. Axon initial segment cytoskeleton comprises a multiprotein submembranous coat containing sparse actin filaments. J. Cell Biol. 2014, 205, 67–81. [Google Scholar] [CrossRef]
- Yoshimura, T.; Rasband, M.N. Axon initial segments: Diverse and dynamic neuronal compartments. Curr. Opin. Neurobiol. 2014, 27, 96–102. [Google Scholar] [CrossRef]
- Jones, S.L.; Svitkina, T.M. Axon initial segment cytoskeleton: Architecture, development, and role in neuron polarity. Neural Plast. 2016, 2016, 6808293. [Google Scholar] [CrossRef] [PubMed]
- Leterrier, C.; Dubey, P.; Roy, S. The nano-architecture of the axonal cytoskeleton. Nat. Rev. Neurosci. 2017, 18, 713–726. [Google Scholar] [CrossRef] [PubMed]
- Petersen, A.V.; Cotel, F.; Perrier, J.F. Plasticity of the axon initial segment: Fast and slow processes with multiple functional roles. Neuroscientist 2017, 23, 364–373. [Google Scholar] [CrossRef]
- Leterrier, C. The axon initial segment: An updated viewpoint. J. Neurosci. 2018, 38, 2135–2145. [Google Scholar] [CrossRef]
- Huang, C.Y.; Rasband, M.N. Axon initial segments: Structure, function, and disease. Ann. N. Y. Acad. Sci. 2018, 1420, 46–61. [Google Scholar] [CrossRef]
- Hamdan, H.; Lim, B.C.; Torii, T.; Joshi, A.; Konning, M.; Smith, C.; Palmer, D.J.; Ng, P.; Leterrier, C.; Oses-Prieto, J.A.; et al. Mapping axon initial segment structure and function by multiplexed proximity biotinylation. Nat. Commun. 2020, 11, 100. [Google Scholar] [CrossRef] [PubMed]
- Fujitani, M.; Otani, Y.; Miyajima, H. Pathophysiological roles of abnormal axon initial segments in neurodevelopmental disorders. Cells 2021, 10, 2110. [Google Scholar] [CrossRef] [PubMed]
- Eichel, K.; Shen, K. The function of the axon initial segment in neuronal polarity. Dev. Biol. 2022, 489, 47–54. [Google Scholar] [CrossRef]
- Deiters, V.S.; Guillery, R.W. Otto Friedrich Karl Deiters (1834–1863). J. Comp. Neurol. 2013, 521, 1929–1953. [Google Scholar] [CrossRef]
- Kole, M.H.; Brette, R. The electrical significance of axon location diversity. Curr. Opin. Neurobiol. 2018, 51, 52–59. [Google Scholar] [CrossRef]
- Goethals, S.; Brette, R. Theoretical relation between axon initial segment geometry and excitability. Elife 2020, 30, e53432. [Google Scholar] [CrossRef] [PubMed]
- Tamada, H.; Kiryu-Seo, S.; Sawada, S.; Kiyama, H. Axonal injury alters the extracellular glial environment of the axon initial segment (AIS) and allows substantial mitochondrial influx into AIS. J. Comp. Neurol. 2021, 529, 3621–3632. [Google Scholar] [CrossRef] [PubMed]
- Kiryu-Seo, S.; Matsushita, R.; Tashiro, Y.; Yoshimura, T.; Iguchi, Y.; Katsuno, M.; Takahashi, R.; Kiyama, H. Impaired disassembly of the axon initial segment restricts mitochondrial entry into damaged axons. EMBO J. 2022, 41, e110486. [Google Scholar] [CrossRef] [PubMed]
- Tamada, H. Three-dimensional ultrastructure analysis of organelles in injured motor neuron. Anat. Sci. Int. 2023, 98, 360–369. [Google Scholar] [CrossRef] [PubMed]
- Galiano, M.R.; Jha, S.; Ho, T.S.; Zhang, C.; Ogawa, Y.; Chang, K.J.; Stankewich, M.C.; Mohler, P.J.; Rasband, M.N. A distal axonal cytoskeleton forms an intra-axonal boundary that controls axon initial segment assembly. Cell 2012, 149, 1125–1139. [Google Scholar] [CrossRef]
- Zhang, C.; Rasband, M.N. Cytoskeletal control of axon domain assembly and function. Curr. Opin. Neurobiol. 2016, 39, 116–121. [Google Scholar] [CrossRef]
- Grubb, M.S.; Shu, Y.; Kuba, H.; Rasband, M.N.; Wimmer, V.C.; Bender, K.J. Short- and long-term plasticity at the axon initial segment. J. Neurosci. 2011, 31, 16049–16055. [Google Scholar] [CrossRef]
- Sohn, P.D.; Huang, C.T.; Yan, R.; Fan, L.; Tracy, T.E.; Camargo, C.M.; Montgomery, K.M.; Arhar, T.; Mok, S.A.; Freilich, R.; et al. Pathogenic tau impairs axon initial segment plasticity and excitability homeostasis. Neuron 2019, 104, 458–470. [Google Scholar] [CrossRef]
- Rotterman, T.M.; Carrasco, D.I.; Housley, S.N.; Nardelli, P.; Powers, R.K.; Cope, T.C. Axon initial segment geometry in relation to motoneuron excitability. PLoS ONE 2021, 16, e0259918. [Google Scholar] [CrossRef]
- Raine, C.S. Differences between the nodes of Ranvier of large and small diameter fibres in the P.N.S. J. Neurocytol. 1982, 11, 935–947. [Google Scholar] [CrossRef] [PubMed]
- Dzhashiashvili, Y.; Zhang, Y.; Galinska, J.; Lam, I.; Grumet, M.; Salzer, J. Nodes of Ranvier and axon initial segments are ankyrin G-dependent domains that assemble by distinct mechanisms. J. Cell Biol. 2007, 177, 857–870. [Google Scholar] [CrossRef] [PubMed]
- van Beuningen, S.F.B.; Will, L.; Harterink, M.; Chazeau, A.; van Battum, E.Y.; Frias, C.P.; Franker, M.A.M.; Katrukha, E.A.; Stucchi, R.; Vocking, K.; et al. TRIM46 controls neuronal polarity and axon specification by driving the formation of parallel microtubule arrays. Neuron 2015, 88, 1208–1226. [Google Scholar] [CrossRef] [PubMed]
- Hou, Z.; Li, Q.; He, L.; Lim, H.Y.; Fu, X.; Cheung, N.S.; Qi, D.X.; Qi, R.Z. Microtubule association of the neuronal p35 activator of Cdk5. J. Biol. Chem. 2007, 282, 18666–18670. [Google Scholar] [CrossRef] [PubMed]
- Jahan, I.; Adachi, R.; Egawa, R.; Nomura, H.; Kuba, H. CDK5/p35-dependent microtubule reorganization contributes to homeostatic shortening of the axon initial segment. J. Neurosci. 2023, 43, 359–372. [Google Scholar] [CrossRef]
- Nakos, K.; Alam, M.N.A.; Radler, M.R.; Kesisova, I.A.; Yang, C.; Okletey, J.; Tomasso, M.R.; Padrick, S.B.; Svitkina, T.M.; Spiliotis, E.T. Septins mediate a microtubule-actin crosstalk that enables actin growth on microtubules. Proc. Natl. Acad. Sci. USA 2022, 119, e2202803119. [Google Scholar] [CrossRef]
- Suber, Y.; Alam, M.N.A.; Nakos, K.; Bhakt, P.; Spiliotis, E.T. Microtubule-associated septin complexes modulate kinesin and dynein motility with differential specificities. J. Biol. Chem. 2023, 299, 105084. [Google Scholar] [CrossRef]
- Iwanski, M.K.; Kapitein, L.C. Cellular cartography: Towards an atlas of the neuronal microtubule cytoskeleton. Front. Cell Dev. Biol. 2023, 11, 1052245, Erratum in Front. Cell Dev. Biol. 2023, 11, 1232120. [Google Scholar] [CrossRef]
- Tytell, M.; Pant, H.C.; Gainer, H.; Hill, W.D. Characterization of the distinctive neurofilament subunits of the soma and axon initial segments in the squid stellate ganglion. J. Neurosci. Res. 1990, 25, 153–161. [Google Scholar] [CrossRef]
- Gürth, C.-M.; do Rego Barros Fernandes Lima, M.A.; Macarrón Palacios, V.; Cereceda Delgado, A.R.; Hubrich, J.; D’Este, E. Neurofilament levels in dendritic spines associate with synaptic status. Cells 2023, 12, 909. [Google Scholar] [CrossRef]
- Lefebvre-Omar, C.; Liu, E.; Dalle, C.; Lamotte d’Incamps, B.; Bigou, S.; Daube, C.; Karpf, L.; Davenne, M.; Robil, N.; Jost Mousseau, C.; et al. Neuroflament accumulations in amyotrophic lateral sclerosis patients’ motor neurons impair axonal initial segment integrity. Cell. Mol. Life Sci. 2023, 80, 150. [Google Scholar] [CrossRef] [PubMed]
- Zhong, G.; He, J.; Zhou, R.; Lorenzo, D.; Babcock, H.P.; Bennett, V.; Zhuang, X. Developmental mechanism of the periodic membrane skeleton in axons. eLife 2014, 3, e04581. [Google Scholar] [CrossRef]
- Baldarelli, R.M.; Smith, C.M.; Finger, J.H.; Hayamizu, T.F.; McCright, I.J.; Xu, J.; Shaw, D.R.; Beal, J.S.; Blodgett, O.; Campbell, J.; et al. The mouse Gene Expression Database (GXD): 2021 update. Nucleic Acids Res. 2021, 49, D924–D931. [Google Scholar] [CrossRef]
- Blake, J.A.; Baldarelli, R.; Kadin, J.A.; Richardson, J.E.; Smith, C.L.; Bult, C.J.; Mouse Genome Database Group. Mouse Genome Database (MGD): Knowledgebase for mouse-human comparative biology. Nucleic Acids Res. 2021, 49, D981–D987. [Google Scholar] [CrossRef] [PubMed]
- Available online: https://www.genecards.org/cgi-bin/carddisp.pl?gene=ARL13B (accessed on 23 October 2023).
- Delling, M.; Decaen, P.G.; Doerner, J.F.; Febvay, S.; Clapham, D.E. Primary cilia are specialized calcium signalling organelles. Nature 2013, 504, 311–314. [Google Scholar] [CrossRef] [PubMed]
- Caspary, T.; Larkins, C.E.; Anderson, K.V. The graded response to sonic hedgehog depends on cilia architecture. Dev. Cell 2007, 12, 767–778. [Google Scholar] [CrossRef]
- Gorojankina, T. Hedgehog signaling pathway: A novel model and molecular mechanisms of signal transduction. Cell. Mol. Life Sci. 2016, 73, 1317–1332. [Google Scholar] [CrossRef]
- Mariani, L.E.; Bijlsma, M.F.; Ivanova, A.A.; Suciu, S.K.; Kahn, R.A.; Caspary, T. Arl13b regulates Shh signaling from both inside and outside the cilium. Mol. Biol. Cell 2016, 27, 3780–3790. [Google Scholar] [CrossRef]
- Gigante, E.D.; Taylor, M.R.; Ivanova, A.A.; Kahn, R.A.; Caspary, T. ARL13B regulates Sonic hedgehog signaling from outside primary cilia. Elife 2020, 9, e50434. [Google Scholar] [CrossRef]
- Kahn, R.A.; Volpicelli-Daley, L.; Bowzard, B.; Shrivastava-Ranjan, P.; Li, Y.; Zhou, C.; Cunningham, L. Arf family GTPases: Roles in membrane traffic and microtubule dynamics. Biochem. Soc. Trans. 2005, 33 Pt 6, 1269–1272. [Google Scholar] [CrossRef]
- Sun, Z.; Anderl, F.; Fröhlich, C.; Zhao, L.; Hanke, S.; Brügger, B.; Wieland, F.; Béthune, J. Multiple and stepwise interactions between coatomer and ADP-ribosylation factor-1 (Arf1)-GTP. Traffic 2007, 8, 582–593. [Google Scholar] [CrossRef] [PubMed]
- Larkins, C.E.; Aviles, G.D.; East, M.P.; Kahn, R.A.; Caspary, T. Arl13b regulates ciliogenesis and the dynamic localization of Shh signaling proteins. Mol. Biol. Cell 2011, 22, 4694–4703. [Google Scholar] [CrossRef] [PubMed]
- Higginbotham, H.; Eom, T.Y.; Mariani, L.E.; Bachleda, A.; Hirt, J.; Gukassyan, V.; Cusack, C.L.; Lai, C.; Liem, K.F., Jr.; Ashe, A.; et al. The IFT-A complex regulates Shh signaling through cilia structure and membrane protein trafficking. J. Cell Biol. 2012, 197, 789–800. [Google Scholar]
- Agbu, S.O.; Liang, Y.; Liu, A.; Anderson, K.V. The small GTPase RSG1 controls a final step in primary cilia initiation. J. Cell Biol. 2018, 217, 413–427. [Google Scholar] [CrossRef] [PubMed]
- Li, T.; Guo, Y. ADP-ribosylation factor family of small GTP-binding proteins: Their membrane recruitment, activation, crosstalk, and functions. Front. Cell Dev. Biol. 2022, 10, 813353. [Google Scholar] [CrossRef] [PubMed]
- Seixas, C.; Choi, S.Y.; Polgar, N.; Umberger, N.L.; East, M.P.; Zuo, X.; Moreiras, H.; Ghossoub, R.; Benmerah, A.; Kahn, R.A.; et al. Arl13b and the exocyst interact synergistically in ciliogenesis. Mol. Biol. Cell 2016, 27, 308–320. [Google Scholar] [CrossRef]
- Habif, J.C.; Xie, C.; de Celis, C.; Ukhanov, K.; Green, W.W.; Moretta, J.C.; Zhang, L.; Campbell, R.J.; Martens, J.R. The role of a ciliary GTPase in the regulation of neuronal maturation of olfactory sensory neurons. Development 2023, 150, dev201116. [Google Scholar] [CrossRef]
- Antar, L.N.; Dictenberg, J.B.; Plociniak, M.; Afroz, R.; Bassell, G.J. Localization of FMRP-associated mRNA granules and requirement of microtubules for activity-dependent trafficking in hippocampal neurons. Genes Brain Behav. 2005, 4, 350–359. [Google Scholar] [CrossRef]
- Vuppalanchi, D.; Willis, D.E.; Twiss, J.L. Regulation of mRNA transport and translation in axons. Results Probl. Cell Differ. 2009, 48, 193–224. [Google Scholar]
- Russell, S.A.; Bashaw, G.J. Axon guidance pathways and the control of gene expression. Dev. Dyn. 2018, 247, 571–580. [Google Scholar] [CrossRef]
- Poulopoulos, A.; Murphy, A.J.; Ozkan, A.; Davis, P.; Hatch, J.; Kirchner, R.; Macklis, J.D. Subcellular transcriptomes and proteomes of developing axon projections in the cerebral cortex. Nature 2019, 565, 356–360. [Google Scholar] [CrossRef] [PubMed]
- Koinuma, S.; Negishi, R.; Nomura, R.; Sato, K.; Kojima, T.; Segi-Nishida, E.; Goitsuka, R.; Iwakura, Y.; Wada, N.; Koriyama, Y.; et al. TC10, a Rho family GTPase, is required for efficient axon regeneration in a neuron-autonomous manner. J. Neurochem. 2021, 157, 1196–1206. [Google Scholar] [CrossRef]
- Santos, T.E.; Schaffran, B.; Broguière, N.; Meyn, L.; Zenobi-Wong, M.; Bradke, F. Axon growth of CNS neurons in three dimensions is amoeboid and independent of adhesions. Cell Rep. 2020, 32, 107907. [Google Scholar] [CrossRef]
- Ju, H.; Hines, M.; Yu, Y. Cable energy function of cortical axons. Sci. Rep. 2016, 6, 29686. [Google Scholar] [CrossRef] [PubMed]
- Yang, S.; Park, J.H.; Lu, H.C. Axonal energy metabolism, and the effects in aging and neurodegenerative diseases. Mol. Neurodegener. 2023, 18, 49. [Google Scholar] [CrossRef] [PubMed]
- Garrido, J.J. Contribution of axon initial segment structure and channels to brain pathology. Cells 2023, 12, 1210. [Google Scholar] [CrossRef]
- Crawford, A.H.; Chambers, C.; Franklin, R.J.M. Remyelination: The true regeneration of the central nervous system. J. Comp. Pathol. 2013, 149, 242–254. [Google Scholar] [CrossRef]
- Nait-Oumesmar, B.; Lachapelle, F.; Decker, L.; Baron-Van Evercooren, A. Do central nervous system axons remyelinate? Pathol. Biol. 2000, 48, 70–79. [Google Scholar]
- Orentas, D.M.; Hayes, J.E.; Dyer, K.L.; Miller, R.H. Sonic hedgehog signaling is required during the appearance of spinal cord oligodendrocyte precursors. Development 1999, 126, 2419–2429. [Google Scholar] [CrossRef]
- Czopka, T.; French-Constant, C.; Lyons, D.A. Individual oligodendrocytes have only a few hours in which to generate new myelin sheaths in vivo. Dev. Cell 2013, 25, 599–609. [Google Scholar] [CrossRef]
- Ornelas, I.M.; McLane, L.E.; Saliu, A.; Evangelou, A.V.; Khandker, L.; Wood, T.L. Heterogeneity in oligodendroglia: Is it relevant to mouse models and human disease? J. Neurosci. Res. 2016, 94, 1421–1433. [Google Scholar] [CrossRef]
- Cheung, G.; Sibille, J.; Zapata, J.; Rouach, N. Activity-dependent plasticity of astroglial potassium and glutamate clearance. Neural Plast. 2015, 2015, 109106. [Google Scholar] [CrossRef] [PubMed]
- Lohrberg, M.; Winkler, A.; Franz, J.; van der Meer, F.; Ruhwedel, T.; Sirmpilatze, N.; Dadarwal, R.; Handwerker, R.; Esser, D.; Wiegand, K.; et al. Lack of astrocytes hinders parenchymal oligodendrocyte precursor cells from reaching a myelinating state in osmolyte-induced demyelination. Acta Neuropathol. Commun. 2020, 8, 224. [Google Scholar] [CrossRef] [PubMed]
- Sim, F.J.; Zhao, C.; Penderis, J.; Franklin, R.J.M. The age-related decrease in CNS remyelination efficiency is attributable to an impairment of both oligodendrocyte progenitor recruitment and differentiation. J. Neurosci. 2002, 22, 2451–2459. [Google Scholar] [CrossRef] [PubMed]
- Louis, G.; Megarbane, B.; Lavoué, S.; Lassalle, V.; Argaud, L.; Poussel, J.-F.; Georges, H.; Bollaert, P. Long-term outcome of patients hospitalized in intensive care units with central or extrapontine myelinolysis. Crit. Care Med. 2012, 40, 970–972. [Google Scholar] [CrossRef]
- Yuridullah, R.; Kumar, V.; Nanavati, S.; Singhal, M.; Chandran, C. Clinical resolution of Osmotic Demyelination Syndrome following overcorrection of severe hyponatremia. Case Rep. Nephrol. 2019, 2019, 1757656. [Google Scholar] [CrossRef]
- Hofmann, W.; Flägel, K.; Gosch, M. Hyponatriämie im Alter (II)-eine kläre Therapie: Tücken erkennen und Fallstricke umgehen [Hyponatremia in older persons (II)-A clear treatment: How to detect tricks and avoid pitfalls]. Z. Gerontol. Geriatr. 2020, 53, 463–472. [Google Scholar] [CrossRef]
- Sullivan, A.A.; Chervin, R.D.; Albin, R.L. Parkinsonism after correction of hyponatremia with radiological central pontine myelinolysis and changes in the basal ganglia. J. Clin. Neurosci. 2000, 7, 256–259. [Google Scholar] [CrossRef]
- Franklin, K.; Paxinos, G. The Mouse Brain in Stereotaxic Coordinates; Academic Press: San Diego, CA, USA, 1979. [Google Scholar]















| NN | HN | ODS24h | ODS48h |
|---|---|---|---|
| 146.6 ± 2.1 | 118.2 ± 1.6 | 142.0 ± 5.9 *** | 146.0 ± 5.1 **** |
Disclaimer/Publisher’s Note: The statements, opinions and data contained in all publications are solely those of the individual author(s) and contributor(s) and not of MDPI and/or the editor(s). MDPI and/or the editor(s) disclaim responsibility for any injury to people or property resulting from any ideas, methods, instructions or products referred to in the content. |
© 2023 by the authors. Licensee MDPI, Basel, Switzerland. This article is an open access article distributed under the terms and conditions of the Creative Commons Attribution (CC BY) license (https://creativecommons.org/licenses/by/4.0/).
Share and Cite
Gilloteaux, J.; De Swert, K.; Suain, V.; Nicaise, C. Thalamic Neuron Resilience during Osmotic Demyelination Syndrome (ODS) Is Revealed by Primary Cilium Outgrowth and ADP-ribosylation factor-like protein 13B Labeling in Axon Initial Segment. Int. J. Mol. Sci. 2023, 24, 16448. https://doi.org/10.3390/ijms242216448
Gilloteaux J, De Swert K, Suain V, Nicaise C. Thalamic Neuron Resilience during Osmotic Demyelination Syndrome (ODS) Is Revealed by Primary Cilium Outgrowth and ADP-ribosylation factor-like protein 13B Labeling in Axon Initial Segment. International Journal of Molecular Sciences. 2023; 24(22):16448. https://doi.org/10.3390/ijms242216448
Chicago/Turabian StyleGilloteaux, Jacques, Kathleen De Swert, Valérie Suain, and Charles Nicaise. 2023. "Thalamic Neuron Resilience during Osmotic Demyelination Syndrome (ODS) Is Revealed by Primary Cilium Outgrowth and ADP-ribosylation factor-like protein 13B Labeling in Axon Initial Segment" International Journal of Molecular Sciences 24, no. 22: 16448. https://doi.org/10.3390/ijms242216448
APA StyleGilloteaux, J., De Swert, K., Suain, V., & Nicaise, C. (2023). Thalamic Neuron Resilience during Osmotic Demyelination Syndrome (ODS) Is Revealed by Primary Cilium Outgrowth and ADP-ribosylation factor-like protein 13B Labeling in Axon Initial Segment. International Journal of Molecular Sciences, 24(22), 16448. https://doi.org/10.3390/ijms242216448

