Drug-Induced Fatty Liver Disease (DIFLD): A Comprehensive Analysis of Clinical, Biochemical, and Histopathological Data for Mechanisms Identification and Consistency with Current Adverse Outcome Pathways
Abstract
1. Introduction
2. Metabolic Dysfunction-Associated Steatotic Liver Disease (MASLD)
3. Drug-Induced Fatty Liver Disease (DIFLD)
4. Clinical Features in DIFLD
5. Drugs Causing DIFLD and Their Classification
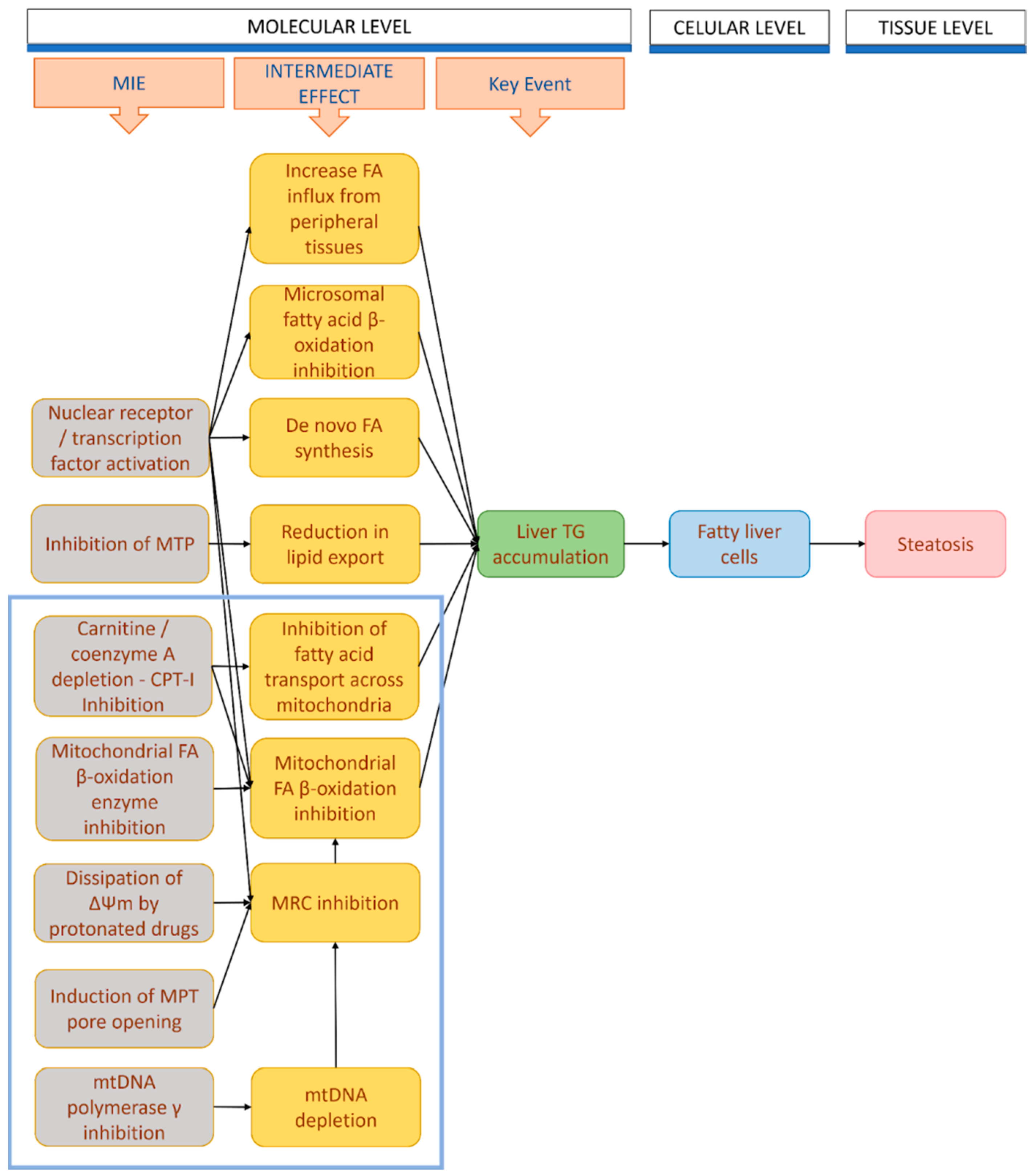
6. Molecular Mechanisms Involved in the Onset of Drug-Induced Steatosis
6.1. Inhibition of Mitochondrial Fatty Acid β-Oxidation (FAO)
6.2. Inhibition of Fatty Acid Transport across Mitochondrial Membranes
6.3. Increased De Novo Lipid Synthesis (DNL)
6.4. Reduction in Lipid Export by the Inhibition of Microsomal Triglyceride Transfer Protein (MTP)
6.5. Induction of Mitochondrial Permeability Transition (MPT) Pore Opening
6.6. Dissipation of the Mitochondrial Transmembrane Potential (ΔΨm)
6.7. Impairment of the Mitochondrial Respiratory Chain (MRC)/Oxidative Phosphorylation (OXPHOS)
6.8. Mitochondrial DNA (mtDNA) Damage, Degradation, and Depletion
6.9. Nuclear Receptor/Transcriptomic Alterations
7. Clustering of Steatotic Drugs by Mechanism of Action and Clinical Outcome
8. Consistency of Identified DIFLD Mechanisms with Current Adverse Outcome Pathways (AOPs)
Supplementary Materials
Author Contributions
Funding
Acknowledgments
Conflicts of Interest
Abbreviations
| ACM | Acetaminophen |
| ALP | Alkaline phosphatase |
| ALT | Alanine aminotransferase |
| AMD | Amiodarone |
| AMP | Amineptine |
| AOPs | Adverse outcome pathways |
| CoA | Coenzyme A |
| CPT | Carnitine palmitoyl-transferase |
| DDN | Didanosine |
| DIFLD | Drug-induced fatty liver disease |
| DISH | Drug-induced steatohepatitis |
| DNL | De novo lipogenesis |
| DXC | Doxycycline |
| FA | Fatty acid |
| FAO | Fatty acid β-oxidation |
| FLR | Fialuridine |
| FLU | Fluorouracil |
| GLC | Glucocorticoids |
| IBU | Ibuprofen |
| IRI | Irinotecan |
| MASH | Metabolic dysfunction-associated steatohepatitis |
| MASLD | Metabolic dysfunction-associated steatotic liver disease |
| MetALD | Metabolic alcohol-related liver disease |
| MPT | Mitochondrial permeability transition |
| MRC | Mitochondrial respiratory chain |
| mtDNA | Mitochondrial DNA |
| MTP | Microsomal triglyceride transfer protein |
| MTX | Methotrexate |
| NAP | Naproxen |
| NR | Nuclear receptor |
| NRTIs | Nucleoside reverse transcriptase inhibitors |
| NSAIDs | Nonsteroidal anti-inflammatory drugs |
| OXPHOS | Oxidative phosphorylation |
| PER | Perhexiline |
| PIR | Pirprofen |
| ROS | Reactive oxygen species |
| SA | Salicylic |
| SLD | Steatotic liver disease |
| STV | Stavudine |
| TET | Tetracycline |
| TF | Transcription factors |
| TG | Triglyceride |
| TGL | Troglitazone |
| TMF | Tamoxifen |
| TNP | Tianeptine |
| VLDL | Very low-density lipoprotein |
| VPA | Valproic |
| ZDV | Zidovudine |
| ΔΨm | Mitochondrial transmembrane potential |
References
- García-Cortés, M.; Toro-Ortiz, J.P.; García-García, A. Deciphering the Liver Enigma: Distinguishing Drug-Induced Liver Injury and Metabolic Dysfunction-Associated Steatotic Liver Disease—A Comprehensive Narrative Review. Explor. Dig. Dis. 2023, 2, 318–336. [Google Scholar] [CrossRef]
- Rinella, M.E.; Lazarus, J.V.; Ratziu, V.; Francque, S.M.; Sanyal, A.J.; Kanwal, F.; Romero, D.; Abdelmalek, M.F.; Anstee, Q.M.; Arab, J.P.; et al. A Multisociety Delphi Consensus Statement on New Fatty Liver Disease Nomenclature. J. Hepatol. 2023, 79, 1542–1556. [Google Scholar] [CrossRef] [PubMed]
- Lee, R.G. Nonalcoholic Steatohepatitis: A Study of 49 Patients. Hum. Pathol. 1989, 20, 594–598. [Google Scholar] [CrossRef] [PubMed]
- Diehl, A.M.; Goodman, Z.; Ishak, K.G. Alcohollike Liver Disease in Nonalcoholics. A Clinical and Histologic Comparison with Alcohol-Induced Liver Injury. Gastroenterology 1988, 95, 1056–1062. [Google Scholar] [CrossRef] [PubMed]
- Kleiner, D.E.; Brunt, E.M.; Van Natta, M.; Behling, C.; Contos, M.J.; Cummings, O.W.; Ferrell, L.D.; Liu, Y.-C.; Torbenson, M.S.; Unalp-Arida, A.; et al. Design and Validation of a Histological Scoring System for Nonalcoholic Fatty Liver Disease. Hepatology 2005, 41, 1313–1321. [Google Scholar] [CrossRef] [PubMed]
- Bedossa, P.; Poitou, C.; Veyrie, N.; Bouillot, J.-L.; Basdevant, A.; Paradis, V.; Tordjman, J.; Clement, K. Histopathological Algorithm and Scoring System for Evaluation of Liver Lesions in Morbidly Obese Patients. Hepatology 2012, 56, 1751–1759. [Google Scholar] [CrossRef] [PubMed]
- Brunt, E.M.; Janney, C.G.; Di Bisceglie, A.M.; Neuschwander-Tetri, B.A.; Bacon, B.R. Nonalcoholic Steatohepatitis: A Proposal for Grading and Staging the Histological Lesions. Am. J. Gastroenterol. 1999, 94, 2467–2474. [Google Scholar] [CrossRef]
- Katarey, D.; Verma, S. Drug-Induced Liver Injury. Clin. Med. Lond. Engl. 2016, 16, s104–s109. [Google Scholar] [CrossRef] [PubMed]
- Andrade, R.J.; Aithal, G.P.; Björnsson, E.S.; Kaplowitz, N.; Kullak-Ublick, G.A.; Larrey, D.; Karlsen, T.H. EASL Clinical Practice Guidelines: Drug-Induced Liver Injury. J. Hepatol. 2019, 70, 1222–1261. [Google Scholar] [CrossRef]
- Bessone, F.; Dirchwolf, M.; Rodil, M.A.; Razori, M.V.; Roma, M.G. Review Article: Drug-induced Liver Injury in the Context of Nonalcoholic Fatty Liver Disease—A Physiopathological and Clinical Integrated View. Aliment. Pharmacol. Ther. 2018, 48, 892–913. [Google Scholar] [CrossRef] [PubMed]
- Takahashi, Y. Histopathology of Nonalcoholic Fatty Liver Disease/Nonalcoholic Steatohepatitis. World J. Gastroenterol. 2014, 20, 15539. [Google Scholar] [CrossRef] [PubMed]
- Tandra, S.; Yeh, M.M.; Brunt, E.M.; Vuppalanchi, R.; Cummings, O.W.; Ünalp-Arida, A.; Wilson, L.A.; Chalasani, N. Presence and Significance of Microvesicular Steatosis in Nonalcoholic Fatty Liver Disease. J. Hepatol. 2011, 55, 654–659. [Google Scholar] [CrossRef] [PubMed]
- Begriche, K.; Massart, J.; Robin, M.-A.; Borgne-Sanchez, A.; Fromenty, B. Drug-Induced Toxicity on Mitochondria and Lipid Metabolism: Mechanistic Diversity and Deleterious Consequences for the Liver. J. Hepatol. 2011, 54, 773–794. [Google Scholar] [CrossRef] [PubMed]
- Kolaric, T.O.; Nincevic, V.; Kuna, L.; Duspara, K.; Bojanic, K.; Vukadin, S.; Raguz-Lucic, N.; Wu, G.Y.; Smolic, M. Drug-Induced Fatty Liver Disease: Pathogenesis and Treatment. J. Clin. Transl. Hepatol. 2021, 9, 731. [Google Scholar] [CrossRef]
- Dash, A.; Figler, R.A.; Sanyal, A.J.; Wamhoff, B.R. Drug-Induced Steatohepatitis. Expert Opin. Drug Metab. Toxicol. 2017, 13, 193–204. [Google Scholar] [CrossRef]
- Rabinowich, L.; Shibolet, O. Drug Induced Steatohepatitis: An Uncommon Culprit of a Common Disease. BioMed Res. Int. 2015, 2015, 168905. [Google Scholar] [CrossRef] [PubMed]
- Clinical Course and Diagnosis of Drug Induced Liver Disease. In LiverTox: Clinical and Research Information on Drug-Induced Liver Injury; National Institute of Diabetes and Digestive and Kidney Diseases: Bethesda, MD, USA, 2012.
- Roldan-Valadez, E.; Favila, R.; Martínez-López, M.; Uribe, M.; Méndez-Sánchez, N. Imaging Techniques for Assessing Hepatic Fat Content in Nonalcoholic Fatty Liver Disease. Ann. Hepatol. 2008, 7, 212–220. [Google Scholar] [CrossRef] [PubMed]
- Li, Y.; Zheng, T.; Xiao, S.; Wang, P.; Yang, W.; Jiang, L.; Chen, L.; Sha, J.; Jin, Y.; Chen, S.; et al. Hepatocytic Ballooning in Non-alcoholic Steatohepatitis: Dilemmas and Future Directions. Liver Int. 2023, 43, 1170–1182. [Google Scholar] [CrossRef]
- Yoon, Y.; Török, N.; Krueger, E.; Oswald, B.; McNiven, M.A. Ethanol-Induced Alterations of the Microtubule Cytoskeleton in Hepatocytes. Am. J. Physiol.-Gastrointest. Liver Physiol. 1998, 274, G757–G766. [Google Scholar] [CrossRef]
- Burt, A.D.; Mutton, A.; Day, C.P. Diagnosis and Interpretation of Steatosis and Steatohepatitis. Semin. Diagn. Pathol. 1998, 15, 246–258. [Google Scholar]
- Massart, J.; Begriche, K.; Buron, N.; Porceddu, M.; Borgne-Sanchez, A.; Fromenty, B. Drug-Induced Inhibition of Mitochondrial Fatty Acid Oxidation and Steatosis. Curr. Pathobiol. Rep. 2013, 1, 147–157. [Google Scholar] [CrossRef]
- Labbe, G.; Pessayre, D.; Fromenty, B. Drug-induced Liver Injury through Mitochondrial Dysfunction: Mechanisms and Detection during Preclinical Safety Studies. Fundam. Clin. Pharmacol. 2008, 22, 335–353. [Google Scholar] [CrossRef] [PubMed]
- Aly, F.Z.; Kleiner, D.E. Update on Fatty Liver Disease and Steatohepatitis. Adv. Anat. Pathol. 2011, 18, 294–300. [Google Scholar] [CrossRef] [PubMed]
- Trivalle, C.; Chassagne, P.; Doucet, J.; Perol, M.; Landrin, I.; Manchon, N.; Bourreille, J.; Bercoff, E. Élévation des aminotransférases. Rev. Méd. Interne 1993, 14, 832–840. [Google Scholar] [CrossRef]
- Patel, V.; Sanyal, A.J. Drug-Induced Steatohepatitis. Clin. Liver Dis. 2013, 17, 533–546. [Google Scholar] [CrossRef] [PubMed]
- Satapathy, S.K.; Kuwajima, V.; Nadelson, J.; Atiq, O.; Sanyal, A.J. Drug-Induced Fatty Liver Disease: An Overview of Pathogenesis and Management. Ann. Hepatol. 2015, 14, 789–806. [Google Scholar] [CrossRef]
- Chan, W.-K.; Chuah, K.-H.; Rajaram, R.B.; Lim, L.-L.; Ratnasingam, J.; Vethakkan, S.R. Metabolic Dysfunction-Associated Steatotic Liver Disease (MASLD): A State-of-the-Art Review. J. Obes. Metab. Syndr. 2023, 32, 197–213. [Google Scholar] [CrossRef]
- Forget, P.; Wittebole, X.; Laterre, P.-F. Therapeutic Dose of Acetaminophen May Induce Fulminant Hepatitis in the Presence of Risk Factors: A Report of Two Cases. Br. J. Anaesth. 2009, 103, 899–900. [Google Scholar] [CrossRef][Green Version]
- García-Román, R.; Francés, R. Acetaminophen-Induced Liver Damage in Hepatic Steatosis. Clin. Pharmacol. Ther. 2020, 107, 1068–1081. [Google Scholar] [CrossRef]
- Massart, J.; Begriche, K.; Moreau, C.; Fromenty, B. Role of Nonalcoholic Fatty Liver Disease as Risk Factor for Drug-Induced Hepatotoxicity. J. Clin. Transl. Res. 2017, 3, 212–232. [Google Scholar] [CrossRef]
- Utzeri, E.; Usai, P. Role of Non-Steroidal Anti-Inflammatory Drugs on Intestinal Permeability and Nonalcoholic Fatty Liver Disease. World J. Gastroenterol. 2017, 23, 3954. [Google Scholar] [CrossRef]
- Ogbu, I.R.; Akhondi asl, H.; Ayutyanont, N.; Manov, A.; Manne, V. Non-Aspirin NSAIDs Use Is Associated with Lowering of Liver Fibrosis Scores in Patients with Fatty Liver Disease. World J. Adv. Res. Rev. 2021, 10, 230–236. [Google Scholar] [CrossRef]
- Allard, J.; Le Guillou, D.; Begriche, K.; Fromenty, B. Drug-Induced Liver Injury in Obesity and Nonalcoholic Fatty Liver Disease. In Advances in Pharmacology; Elsevier: Amsterdam, The Netherlands, 2019; Volume 85, pp. 75–107. ISBN 978-0-12-816759-5. [Google Scholar]
- Fromenty, B.; Pessayre, D. Inhibition of Mitochondrial Beta-Oxidation as a Mechanism of Hepatotoxicity. Pharmacol. Ther. 1995, 67, 101–154. [Google Scholar] [CrossRef]
- Chalasani, N.; Younossi, Z.; Lavine, J.E.; Charlton, M.; Cusi, K.; Rinella, M.; Harrison, S.A.; Brunt, E.M.; Sanyal, A.J. The Diagnosis and Management of Nonalcoholic Fatty Liver Disease: Practice Guidance from the American Association for the Study of Liver Diseases. Hepatology 2018, 67, 328–357. [Google Scholar] [CrossRef] [PubMed]
- Farrell, G. Drugs and Steatohepatitis. Semin. Liver Dis. 2002, 22, 185–194. [Google Scholar] [CrossRef]
- Price, J.C.; Thio, C.L. Liver Disease in the HIV–Infected Individual. Clin. Gastroenterol. Hepatol. 2010, 8, 1002–1012. [Google Scholar] [CrossRef] [PubMed]
- McGovern, B.H.; Ditelberg, J.S.; Taylor, L.E.; Gandhi, R.T.; Christopoulos, K.A.; Chapman, S.; Schwartzapfel, B.; Rindler, E.; Fiorino, A.; Zaman, M.T.; et al. Hepatic Steatosis Is Associated with Fibrosis, Nucleoside Analogue Use, and Hepatitis C Virus Genotype 3 Infection in HIV-Seropositive Patients. Clin. Infect. Dis. 2006, 43, 365–372. [Google Scholar] [CrossRef] [PubMed]
- Zeremski, M.; Talal, A.H. Editorial Commentary: Dideoxynucleoside Analogues Should Be Used Cautiously in Patients with Hepatic Steatosis. Clin. Infect. Dis. 2006, 43, 373–376. [Google Scholar] [CrossRef]
- Lewis, J.H.; Mullick, F.; Ishak, K.G.; Ranard, R.C.; Ragsdale, B.; Perse, R.M.; Rusnock, E.J.; Wolke, A.; Benjamin, S.B.; Seeff, L.B.; et al. Histopathologic Analysis of Suspected Amiodarone Hepatotoxicity. Hum. Pathol. 1990, 21, 59–67. [Google Scholar] [CrossRef]
- Ramachandran, R.; Kakar, S. Histological Patterns in Drug-Induced Liver Disease. J. Clin. Pathol. 2009, 62, 481–492. [Google Scholar] [CrossRef]
- Pinto, H.C.; Baptista, A.; Camilo, M.E.; de Costa, E.B.; Valente, A.; de Moura, M.C. Tamoxifen-Associated Steatohepatitis—Report of Three Cases. J. Hepatol. 1995, 23, 95–97. [Google Scholar] [CrossRef] [PubMed]
- Pessayre, D.; Mansouri, A.; Haouzi, D.; Fromenty, B. Hepatotoxicity Due to Mitochondrial Dysfunction. Cell Biol. Toxicol. 1999, 15, 367–373. [Google Scholar] [CrossRef] [PubMed]
- Burcham, P.C.; Harman, A.W. Acetaminophen Toxicity Results in Site-Specific Mitochondrial Damage in Isolated Mouse Hepatocytes. J. Biol. Chem. 1991, 266, 5049–5054. [Google Scholar] [CrossRef]
- Bashir, S.; Morgan, W.A. Inhibition of Mitochondrial Function: An Alternative Explanation for the Antipyretic and Hypothermic Actions of Acetaminophen. Life Sci. 2023, 312, 121194. [Google Scholar] [CrossRef] [PubMed]
- McCann, M.R.; George De la Rosa, M.V.; Rosania, G.R.; Stringer, K.A. L-Carnitine and Acylcarnitines: Mitochondrial Biomarkers for Precision Medicine. Metabolites 2021, 11, 51. [Google Scholar] [CrossRef]
- Liang, K. Mitochondrial CPT1A: Insights into Structure, Function, and Basis for Drug Development. Front. Pharmacol. 2023, 14, 1160440. [Google Scholar] [CrossRef]
- Schumacher, J.D.; Guo, G.L. Mechanistic Review of Drug-Induced Steatohepatitis. Toxicol. Appl. Pharmacol. 2015, 289, 40–47. [Google Scholar] [CrossRef]
- Teresa Donato, M.; Jose Gomez-Lechon, M. Drug-Induced Liver Steatosis and Phospholipidosis: Cell-Based Assays for Early Screening of Drug Candidates. Curr. Drug Metab. 2012, 13, 1160–1173. [Google Scholar] [CrossRef]
- Allard, J.; Bucher, S.; Massart, J.; Ferron, P.-J.; Le Guillou, D.; Loyant, R.; Daniel, Y.; Launay, Y.; Buron, N.; Begriche, K.; et al. Drug-Induced Hepatic Steatosis in Absence of Severe Mitochondrial Dysfunction in HepaRG Cells: Proof of Multiple Mechanism-Based Toxicity. Cell Biol. Toxicol. 2021, 37, 151–175. [Google Scholar] [CrossRef]
- Manti, S.; Romano, C.; Chirico, V.; Filippelli, M.; Cuppari, C.; Loddo, I.; Salpietro, C.; Arrigo, T. Nonalcoholic Fatty Liver Disease/Non-Alcoholic Steatohepatitis in Childhood: Endocrine-Metabolic “Mal-Programming”. Hepat. Mon. 2014, 14, e17641. [Google Scholar] [CrossRef]
- Kostapanos, M.S.; Rizos, E.C.; Papanas, N.; Maltezos, E.; Elisaf, M.S. Mitochondrial Triglyceride Transfer Protein Inhibition: New Achievements in the Treatment of Dyslipidemias. Curr. Pharm. Des. 2013, 19, 3150–3160. [Google Scholar] [CrossRef] [PubMed]
- Lettéron, P. Inhibition of Microsomal Triglyceride Transfer Protein: Another Mechanism for Drug-Induced Steatosis in Mice. Hepatology 2003, 38, 133–140. [Google Scholar] [CrossRef] [PubMed]
- Trost, L.C.; Lemasters, J.J. The Mitochondrial Permeability Transition: A New Pathophysiological Mechanism for Reye’s Syndrome and Toxic Liver Injury. J. Pharmacol. Exp. Ther. 1996, 278, 1000–1005. [Google Scholar] [PubMed]
- Stravitz, R.T.; Sanyal, A.J. Drug-Induced Steatohepatitis. Clin. Liver Dis. 2003, 7, 435–451. [Google Scholar] [CrossRef] [PubMed]
- Larosche, I.; Lettéron, P.; Fromenty, B.; Vadrot, N.; Abbey-Toby, A.; Feldmann, G.; Pessayre, D.; Mansouri, A. Tamoxifen Inhibits Topoisomerases, Depletes Mitochondrial DNA, and Triggers Steatosis in Mouse Liver. J. Pharmacol. Exp. Ther. 2007, 321, 526–535. [Google Scholar] [CrossRef] [PubMed]
- Fromenty, B.; Fisch, C.; Berson, A.; Letteron, P.; Larrey, D.; Pessayre, D. Dual Effect of Amiodarone on Mitochondrial Respiration. Initial Protonophoric Uncoupling Effect Followed by Inhibition of the Respiratory Chain at the Levels of Complex I and Complex II. J. Pharmacol. Exp. Ther. 1990, 255, 1377–1384. [Google Scholar] [PubMed]
- Pessayre, D.; Mansouri, A.; Berson, A.; Fromenty, B. Mitochondrial Involvement in Drug-Induced Liver Injury. In Adverse Drug Reactions; Uetrecht, J., Ed.; Handbook of Experimental Pharmacology; Springer Berlin Heidelberg: Berlin, Heidelberg, 2010; Volume 196, pp. 311–365. ISBN 978-3-642-00662-3. [Google Scholar]
- Berson, A.; Fau, D.; Fornacciari, R.; Degove-Goddard, P.; Sutton, A.; Descatoire, V.; Haouzi, D.; Lettéron, P.; Moreau, A.; Feldmann, G.; et al. Mechanisms for Experimental Buprenorphine Hepatotoxicity: Major Role of Mitochondrial Dysfunction versus Metabolic Activation. J. Hepatol. 2001, 34, 261–269. [Google Scholar] [CrossRef]
- Yu, H.-Y.; Wang, B.-L.; Zhao, J.; Yao, X.-M.; Gu, Y.; Li, Y. Protective Effect of Bicyclol on Tetracycline-Induced Fatty Liver in Mice. Toxicology 2009, 261, 112–118. [Google Scholar] [CrossRef]
- Igoudjil, A.; Begriche, K.; Pessayre, D.; Fromenty, B. Mitochondrial, Metabolic and Genotoxic Effects of Antiretroviral Nucleoside Reverse-Transcriptase Inhibitors. Anti-Infect. Agents Med. Chem. 2006, 5, 273–292. [Google Scholar] [CrossRef]
- Lewis, W.; Levine, E.S.; Griniuviene, B.; Tankersley, K.O.; Colacino, J.M.; Sommadossi, J.P.; Watanabe, K.A.; Perrino, F.W. Fialuridine and Its Metabolites Inhibit DNA Polymerase Gamma at Sites of Multiple Adjacent Analog Incorporation, Decrease MtDNA Abundance, and Cause Mitochondrial Structural Defects in Cultured Hepatoblasts. Proc. Natl. Acad. Sci. USA 1996, 93, 3592–3597. [Google Scholar] [CrossRef]
- Walker, U.A.; Bäuerle, J.; Laguno, M.; Murillas, J.; Mauss, S.; Schmutz, G.; Setzer, B.; Miquel, R.; Gatell, J.M.; Mallolas, J. Depletion of Mitochondrial DNA in Liver under Antiretroviral Therapy with Didanosine, Stavudine, or Zalcitabine. Hepatology 2004, 39, 311–317. [Google Scholar] [CrossRef] [PubMed]
- Cornejo-Juárez, P.; Sierra-Madero, J.; Volkow-Fernández, P. Metabolic Acidosis and Hepatic Steatosis in Two HIV-Infected Patients on Stavudine (D4T) Treatment. Arch. Med. Res. 2003, 34, 64–69. [Google Scholar] [CrossRef] [PubMed]
- Berson, A.; Renault, S.; Letteron, P.; Robin, M.; Fromenty, B.; Fau, D.; Le Bot, M.; Riche, C.; Durand-Schneider, A.; Feldmann, G.; et al. Uncoupling of Rat and Human Mitochondria: A Possible Explanation for Tacrine-Induced Liver Dysfunction. Gastroenterology 1996, 110, 1878–1890. [Google Scholar] [CrossRef] [PubMed]
- Rachek, L.I.; Yuzefovych, L.V.; LeDoux, S.P.; Julie, N.L.; Wilson, G.L. Troglitazone, but Not Rosiglitazone, Damages Mitochondrial DNA and Induces Mitochondrial Dysfunction and Cell Death in Human Hepatocytes. Toxicol. Appl. Pharmacol. 2009, 240, 348–354. [Google Scholar] [CrossRef] [PubMed]
- Cover, C.; Mansouri, A.; Knight, T.R.; Bajt, M.L.; Lemasters, J.J.; Pessayre, D.; Jaeschke, H. Peroxynitrite-Induced Mitochondrial and Endonuclease-Mediated Nuclear DNA Damage in Acetaminophen Hepatotoxicity. J. Pharmacol. Exp. Ther. 2005, 315, 879–887. [Google Scholar] [CrossRef] [PubMed]
- Rothfuss, O.; Gasser, T.; Patenge, N. Analysis of Differential DNA Damage in the Mitochondrial Genome Employing a Semi-Long Run Real-Time PCR Approach. Nucleic Acids Res. 2010, 38, e24. [Google Scholar] [CrossRef] [PubMed]
- Mansouri, A.; Gaou, I.; de Kerguenec, C.; Amsellem, S.; Haouzi, D.; Berson, A.; Moreau, A.; Feldmann, G.; Lettéron, P.; Pessayre, D.; et al. An Alcoholic Binge Causes Massive Degradation of Hepatic Mitochondrial DNA in Mice. Gastroenterology 1999, 117, 181–190. [Google Scholar] [CrossRef] [PubMed]
- Ikeda, S.; Ozaki, K. Action of Mitochondrial Endonuclease G on DNA Damaged Byl-Ascorbic Acid, Peplomycin, Andcis-Diamminedichloroplatinum (II). Biochem. Biophys. Res. Commun. 1997, 235, 291–294. [Google Scholar] [CrossRef] [PubMed]
- Wu, Y.; Li, N.; Zhang, T.; Wu, H.; Huang, C.; Chen, D. Mitochondrial DNA Base Excision Repair and Mitochondrial DNA Mutation in Human Hepatic HuH-7 Cells Exposed to Stavudine. Mutat. Res. Mol. Mech. Mutagen. 2009, 664, 28–38. [Google Scholar] [CrossRef]
- García de la Asunción, J.; del Olmo, M.L.; Sastre, J.; Pallardó, F.V.; Viña, J. Zidovudine (AZT) Causes an Oxidation of Mitochondrial DNA in Mouse Liver: Zidovudine (AZT) Causes an Oxidation of Mitochondrial DNA in Mouse Liver. Hepatology 1999, 29, 985–987. [Google Scholar] [CrossRef]
- Yin, H.-Q.; Kim, M.; Kim, J.-H.; Kong, G.; Lee, M.-O.; Kang, K.-S.; Yoon, B.-I.; Kim, H.-L.; Lee, B.-H. Hepatic Gene Expression Profiling and Lipid Homeostasis in Mice Exposed to Steatogenic Drug, Tetracycline. Toxicol. Sci. 2006, 94, 206–216. [Google Scholar] [CrossRef] [PubMed]
- Lee, M.-H.; Kim, J.-W.; Kim, J.-H.; Kang, K.-S.; Kong, G.; Lee, M.-O. Gene Expression Profiling of Murine Hepatic Steatosis Induced by Tamoxifen. Toxicol. Lett. 2010, 199, 416–424. [Google Scholar] [CrossRef] [PubMed]
- Lee, M.-H.; Hong, I.; Kim, M.; Lee, B.-H.; Kim, J.-H.; Kang, K.-S.; Kim, H.-L.; Yoon, B.-I.; Chung, H.; Kong, G.; et al. Gene Expression Profiles of Murine Fatty Liver Induced by the Administration of Methotrexate. Toxicology 2008, 249, 75–84. [Google Scholar] [CrossRef] [PubMed]
- Lee, M.-H.; Kim, M.; Lee, B.-H.; Kim, J.-H.; Kang, K.-S.; Kim, H.-L.; Yoon, B.-I.; Chung, H.; Kong, G.; Lee, M.-O. Subchronic Effects of Valproic Acid on Gene Expression Profiles for Lipid Metabolism in Mouse Liver. Toxicol. Appl. Pharmacol. 2008, 226, 271–284. [Google Scholar] [CrossRef] [PubMed]
- Lee, M.-H.; Hong, I.; Kim, M.; Lee, B.H.; Kim, J.-H.; Kang, K.-S.; Kim, H.-L.; Yoon, B.-I.; Chung, H.; Kong, G.; et al. Gene Expression Profiles of Murine Fatty Liver Induced by the Administration of Valproic Acid. Toxicol. Appl. Pharmacol. 2007, 220, 45–59. [Google Scholar] [CrossRef] [PubMed]
- Moya, M.; Benet, M.; Guzmán, C.; Tolosa, L.; García-Monzón, C.; Pareja, E.; Castell, J.V.; Jover, R. Foxa1 Reduces Lipid Accumulation in Human Hepatocytes and Is Down-Regulated in Nonalcoholic Fatty Liver. PLoS ONE 2012, 7, e30014. [Google Scholar] [CrossRef] [PubMed]
- Benet, M.; Moya, M.; Donato, M.T.; Lahoz, A.; Hervás, D.; Guzmán, C.; Gómez-Lechón, M.J.; Castell, J.V.; Jover, R. A Simple Transcriptomic Signature Able to Predict Drug-Induced Hepatic Steatosis. Arch. Toxicol. 2014, 88, 967–982. [Google Scholar] [CrossRef] [PubMed]
- Jennings, P.; Limonciel, A.; Felice, L.; Leonard, M.O. An Overview of Transcriptional Regulation in Response to Toxicological Insult. Arch. Toxicol. 2013, 87, 49–72. [Google Scholar] [CrossRef]
- Moya, M.; José Gómez-Lechón, M.; Castell, J.V.; Jover, R. Enhanced Steatosis by Nuclear Receptor Ligands: A Study in Cultured Human Hepatocytes and Hepatoma Cells with a Characterized Nuclear Receptor Expression Profile. Chem. Biol. Interact. 2010, 184, 376–387. [Google Scholar] [CrossRef]
- Benet, M.; Guzmán, C.; Pisonero-Vaquero, S.; García-Mediavilla, M.V.; Sánchez-Campos, S.; Martínez-Chantar, M.L.; Donato, M.T.; Castell, J.V.; Jover, R. Repression of the Nuclear Receptor Small Heterodimer Partner by Steatotic Drugs and in Advanced Nonalcoholic Fatty Liver Disease. Mol. Pharmacol. 2015, 87, 582–594. [Google Scholar] [CrossRef]
- Sahini, N.; Selvaraj, S.; Borlak, J. Whole Genome Transcript Profiling of Drug Induced Steatosis in Rats Reveals a Gene Signature Predictive of Outcome. PLoS ONE 2014, 9, e114085. [Google Scholar] [CrossRef] [PubMed]
- van Breda, S.G.J.; Claessen, S.M.H.; van Herwijnen, M.; Theunissen, D.H.J.; Jennen, D.G.J.; de Kok, T.M.C.M.; Kleinjans, J.C.S. Integrative Omics Data Analyses of Repeated Dose Toxicity of Valproic Acid in Vitro Reveal New Mechanisms of Steatosis Induction. Toxicology 2018, 393, 160–170. [Google Scholar] [CrossRef] [PubMed]
- Gervasoni, C.; Cattaneo, D.; Filice, C.; Galli, M. Drug-Induced Liver Steatosis in Patients with HIV Infection. Pharmacol. Res. 2019, 145, 104267. [Google Scholar] [CrossRef] [PubMed]
- Landesmann, B.; Goumenou, M.; Munn, S.; Whelan, M. Description of Prototype Modes-of-Action Related to Repeated Dose Toxicity; EUR 25631 EN; Publications Office of the European Union: Luxembourg, 2012; JRC75689. [Google Scholar]
- Alarcan, J.; de Sousa, G.; Katsanou, E.S.; Spyropoulou, A.; Batakis, P.; Machera, K.; Rahmani, R.; Lampen, A.; Braeuning, A.; Lichtenstein, D. Investigating the in Vitro Steatotic Mixture Effects of Similarly and Dissimilarly Acting Test Compounds Using an Adverse Outcome Pathway-Based Approach. Arch. Toxicol. 2022, 96, 211–229. [Google Scholar] [CrossRef] [PubMed]
- Vinken, M. Adverse Outcome Pathways and Drug-Induced Liver Injury Testing. Chem. Res. Toxicol. 2015, 28, 1391–1397. [Google Scholar] [CrossRef] [PubMed]
- Vinken, M. The Adverse Outcome Pathway Concept: A Pragmatic Tool in Toxicology. Toxicology 2013, 312, 158–165. [Google Scholar] [CrossRef] [PubMed]
- Negi, C.K.; Bajard, L.; Kohoutek, J.; Blaha, L. An Adverse Outcome Pathway Based In Vitro Characterization of Novel Flame Retardants-Induced Hepatic Steatosis. Environ. Pollut. 2021, 289, 117855. [Google Scholar] [CrossRef] [PubMed]
- Al Sharif, M.; Alov, P.; Vitcheva, V.; Pajeva, I.; Tsakovska, I. Modes-of-Action Related to Repeated Dose Toxicity: Tissue-Specific Biological Roles of PPAR γ Ligand-Dependent Dysregulation in Nonalcoholic Fatty Liver Disease. PPAR Res. 2014, 2014, 432647. [Google Scholar] [CrossRef] [PubMed]
- Mellor, C.L.; Steinmetz, F.P.; Cronin, M.T.D. The Identification of Nuclear Receptors Associated with Hepatic Steatosis to Develop and Extend Adverse Outcome Pathways. Crit. Rev. Toxicol. 2016, 46, 138–152. [Google Scholar] [CrossRef]
- Angrish, M.M.; Kaiser, J.P.; McQueen, C.A.; Chorley, B.N. Tipping the Balance: Hepatotoxicity and the 4 Apical Key Events of Hepatic Steatosis. Toxicol. Sci. 2016, 150, 261–268. [Google Scholar] [CrossRef]
- Luckert, C.; Braeuning, A.; de Sousa, G.; Durinck, S.; Katsanou, E.S.; Konstantinidou, P.; Machera, K.; Milani, E.S.; Peijnenburg, A.A.C.M.; Rahmani, R.; et al. Adverse Outcome Pathway-Driven Analysis of Liver Steatosis in Vitro: A Case Study with Cyproconazole. Chem. Res. Toxicol. 2018, 31, 784–798. [Google Scholar] [CrossRef]
- AbdulHameed, M.D.M.; Pannala, V.R.; Wallqvist, A. Mining Public Toxicogenomic Data Reveals Insights and Challenges in Delineating Liver Steatosis Adverse Outcome Pathways. Front. Genet. 2019, 10, 1007. [Google Scholar] [CrossRef] [PubMed]
- Skat-Rørdam, J.; Højland Ipsen, D.; Lykkesfeldt, J.; Tveden-Nyborg, P. A Role of Peroxisome Proliferator-activated Receptor γ in Non-alcoholic Fatty Liver Disease. Basic Clin. Pharmacol. Toxicol. 2019, 124, 528–537. [Google Scholar] [CrossRef]
- Kim, M.; Kim, S.H.; Choi, J.Y.; Park, Y.J. Investigating Fatty Liver Disease-Associated Adverse Outcome Pathways of Perfluorooctane Sulfonate Using a Systems Toxicology Approach. Food Chem. Toxicol. 2023, 176, 113781. [Google Scholar] [CrossRef]
- Feng, Q.; O’Malley, B.W. Nuclear Receptor Modulation—Role of Coregulators in Selective Estrogen Receptor Modulator (SERM) Actions. Steroids 2014, 90, 39–43. [Google Scholar] [CrossRef]
- Heldring, N.; Nilsson, M.; Buehrer, B.; Treuter, E.; Gustafsson, J.-Å. Identification of Tamoxifen-Induced Coregulator Interaction Surfaces within the Ligand-Binding Domain of Estrogen Receptors. Mol. Cell. Biol. 2004, 24, 3445–3459. [Google Scholar] [CrossRef]
- Shiau, A.K.; Barstad, D.; Loria, P.M.; Cheng, L.; Kushner, P.J.; Agard, D.A.; Greene, G.L. The Structural Basis of Estrogen Receptor/Coactivator Recognition and the Antagonism of This Interaction by Tamoxifen. Cell 1998, 95, 927–937. [Google Scholar] [CrossRef]
- Fang, Z.; Xu, H.; Duan, J.; Ruan, B.; Liu, J.; Song, P.; Ding, J.; Xu, C.; Li, Z.; Dou, K.; et al. Short-Term Tamoxifen Administration Improves Hepatic Steatosis and Glucose Intolerance through JNK/MAPK in Mice. Signal Transduct. Target. Ther. 2023, 8, 94. [Google Scholar] [CrossRef]
- Wada, T.; Sunaga, H.; Miyata, K.; Shirasaki, H.; Uchiyama, Y.; Shimba, S. Aryl Hydrocarbon Receptor Plays Protective Roles against High Fat Diet (HFD)-Induced Hepatic Steatosis and the Subsequent Lipotoxicity via Direct Transcriptional Regulation of Socs3 Gene Expression. J. Biol. Chem. 2016, 291, 7004–7016. [Google Scholar] [CrossRef]
- Patil, N.Y.; Rus, I.; Downing, E.; Mandala, A.; Friedman, J.E.; Joshi, A.D. Cinnabarinic Acid Provides Hepatoprotection Against Nonalcoholic Fatty Liver Disease. J. Pharmacol. Exp. Ther. 2022, 383, 32–43. [Google Scholar] [CrossRef]
- Stine, J.G.; Chalasani, N. Chronic Liver Injury Induced by Drugs: A Systematic Review. Liver Int. 2015, 35, 2343–2353. [Google Scholar] [CrossRef] [PubMed]
- Ortega-Alonso, A.; Andrade, R.J. Chronic Liver Injury Induced by Drugs and Toxins. J. Dig. Dis. 2018, 19, 514–521. [Google Scholar] [CrossRef] [PubMed]
- Pavlik, L.; Regev, A.; Ardayfio, P.A.; Chalasani, N.P. Drug-Induced Steatosis and Steatohepatitis: The Search for Novel Serum Biomarkers Among Potential Biomarkers for Non-Alcoholic Fatty Liver Disease and Non-Alcoholic Steatohepatitis. Drug Saf. 2019, 42, 701–711. [Google Scholar] [CrossRef] [PubMed]
- Serviddio, G.; Bellanti, F.; Sastre, J.; Vendemiale, G.; Altomare, E. Targeting Mitochondria: A New Promising Approach for the Treatment of Liver Diseases. Curr. Med. Chem. 2010, 17, 2325–2337. [Google Scholar] [CrossRef] [PubMed]






| Anamnesis | Biochemical Alterations | Additional Histopathological Findings | Exploratory Manifestation | Reference Compound |
|---|---|---|---|---|
| Minimal initial exploratory signs and symptoms | Aminotransferases, ALP (mild/moderate) | ND | Minimal | Irinotecan |
| Liver test (normal/minimal and transient until cirrhosis) | Portal hypertension, cirrhosis, fibrosis | Absent until cirrhosis | Methotrexate | |
| ALT | Hepatitis, inflammation, fibrosis, ballooning degeneration, Mallory bodies | Absent until fibrosis | Tamoxifen | |
| Aminotransferase | Portal inflammation | Minimal | 5-Fluorouracil | |
| Mainly jaundice | Liver test (variable) | Ballooning, inflammation, fibrosis, Mallory bodies, abnormal mitochondria and phospholipid laden lysosomes | Jaundice | Amiodarone |
| ALT (variable) | Inflammation | Jaundice | Valproic | |
| Diverse exploratory signs and symptoms | Liver test (mild/moderate), lactic acidosis | Minimal inflammation and no obvious hepatocellular necrosis | Weakness, fever, fatigue, nausea and abdominal pain | Tetracycline |
| ALT, ALP (minimal), lactic acidosis | Cholestasis, fibrosis, Mallory bodies | Fatigue, weight loss | Zidovudine | |
| Liver test (mild/moderate), lactic acidosis | Cholestasis, ballooning cell degeneration, fibrosis, Mallory bodies | Jaundice, nausea, vomiting, abdominal pain, | Stavudine | |
| ALT (moderate), lactic acidosis | Cholestasis, fibrosis | Nausea, vomiting, abdominal pain | Didanosine |
| Drug Group | Clinical Features | Previous Status of the Patient |
|---|---|---|
| GROUP 1 (acetaminophen, ibuprofen, naproxen, irinotecan, methotrexate, tamoxifen) | Weak hepatotoxic drugs, only causing steatosis in MASLD patients | Promote/aggravate pre-existing steatosis, MASLD, obesity, metabolic syndrome, cardiometabolic risk factors |
| GROUP 2 (amiodarone, valproic acid, tetracycline) | Usually causing macro- or microvesicular steatosis and occasionally steatohepatitis and fibrosis | Not relevant |
| GROUP 3 (zidovudine, stavudine, didanosine) | Rapid progress towards steatohepatitis, fibrosis, cholestasis, lactic acidosis | Not relevant |
| Therapeutic Group | Compound | SH | Micro | Macro | Fibrosis (LiverTox) |
|---|---|---|---|---|---|
| Anticonvulsants | Valproic | 1 | 9 | 1 | |
| Antidiabetics | Troglitazone | 0 | 1 | 0 | |
| Anti-inflammatories | Glucocorticoids | 0 | 5 | 5 | |
| Antibiotics | Doxycycline | 0 | 0 | 0 | |
| Tetracycline | 0 | 8 | 0 | ||
| Antidepressant | Tianeptine | 0 | 0 | 0 | |
| Amineptine | 0 | 0 | 1 | ||
| Antiarrhythmics | Amiodarone | 6 | 5 | 8 | * |
| Perhexiline | 3 | 1 | 0 | ||
| Chemotherapeutic | Fluorouracil | 4 | 2 | 7 | |
| Irinotecan | 8 | 1 | 4 | ||
| Methotrexate | 7 | 2 | 9 | * | |
| Tamoxifen | 8 | 1 | 9 | * | |
| NRTIs | Didanosine | 0 | 7 | 2 | * |
| Fialuridine | 0 | 3 | 0 | ||
| Stavudine | 0 | 7 | 2 | * | |
| Zidovudine | 0 | 7 | 2 | * | |
| NSAID | Acetaminophen | 0 | 0 | 1 | |
| Ibuprofen | 0 | 7 | 2 | ||
| Naproxen | 0 | 4 | 0 | ||
| Pirprofen | 0 | 1 | 0 | ||
| Salicylic | 0 | 5 | 1 |
Disclaimer/Publisher’s Note: The statements, opinions and data contained in all publications are solely those of the individual author(s) and contributor(s) and not of MDPI and/or the editor(s). MDPI and/or the editor(s) disclaim responsibility for any injury to people or property resulting from any ideas, methods, instructions or products referred to in the content. |
© 2024 by the authors. Licensee MDPI, Basel, Switzerland. This article is an open access article distributed under the terms and conditions of the Creative Commons Attribution (CC BY) license (https://creativecommons.org/licenses/by/4.0/).
Share and Cite
López-Pascual, E.; Rienda, I.; Perez-Rojas, J.; Rapisarda, A.; Garcia-Llorens, G.; Jover, R.; Castell, J.V. Drug-Induced Fatty Liver Disease (DIFLD): A Comprehensive Analysis of Clinical, Biochemical, and Histopathological Data for Mechanisms Identification and Consistency with Current Adverse Outcome Pathways. Int. J. Mol. Sci. 2024, 25, 5203. https://doi.org/10.3390/ijms25105203
López-Pascual E, Rienda I, Perez-Rojas J, Rapisarda A, Garcia-Llorens G, Jover R, Castell JV. Drug-Induced Fatty Liver Disease (DIFLD): A Comprehensive Analysis of Clinical, Biochemical, and Histopathological Data for Mechanisms Identification and Consistency with Current Adverse Outcome Pathways. International Journal of Molecular Sciences. 2024; 25(10):5203. https://doi.org/10.3390/ijms25105203
Chicago/Turabian StyleLópez-Pascual, Ernesto, Ivan Rienda, Judith Perez-Rojas, Anna Rapisarda, Guillem Garcia-Llorens, Ramiro Jover, and José V. Castell. 2024. "Drug-Induced Fatty Liver Disease (DIFLD): A Comprehensive Analysis of Clinical, Biochemical, and Histopathological Data for Mechanisms Identification and Consistency with Current Adverse Outcome Pathways" International Journal of Molecular Sciences 25, no. 10: 5203. https://doi.org/10.3390/ijms25105203
APA StyleLópez-Pascual, E., Rienda, I., Perez-Rojas, J., Rapisarda, A., Garcia-Llorens, G., Jover, R., & Castell, J. V. (2024). Drug-Induced Fatty Liver Disease (DIFLD): A Comprehensive Analysis of Clinical, Biochemical, and Histopathological Data for Mechanisms Identification and Consistency with Current Adverse Outcome Pathways. International Journal of Molecular Sciences, 25(10), 5203. https://doi.org/10.3390/ijms25105203

