The Antioxidant and HDAC-Inhibitor α-Lipoic Acid Is Synergistic with Exemestane in Estrogen Receptor-Positive Breast Cancer Cells
Abstract
1. Introduction
2. Results
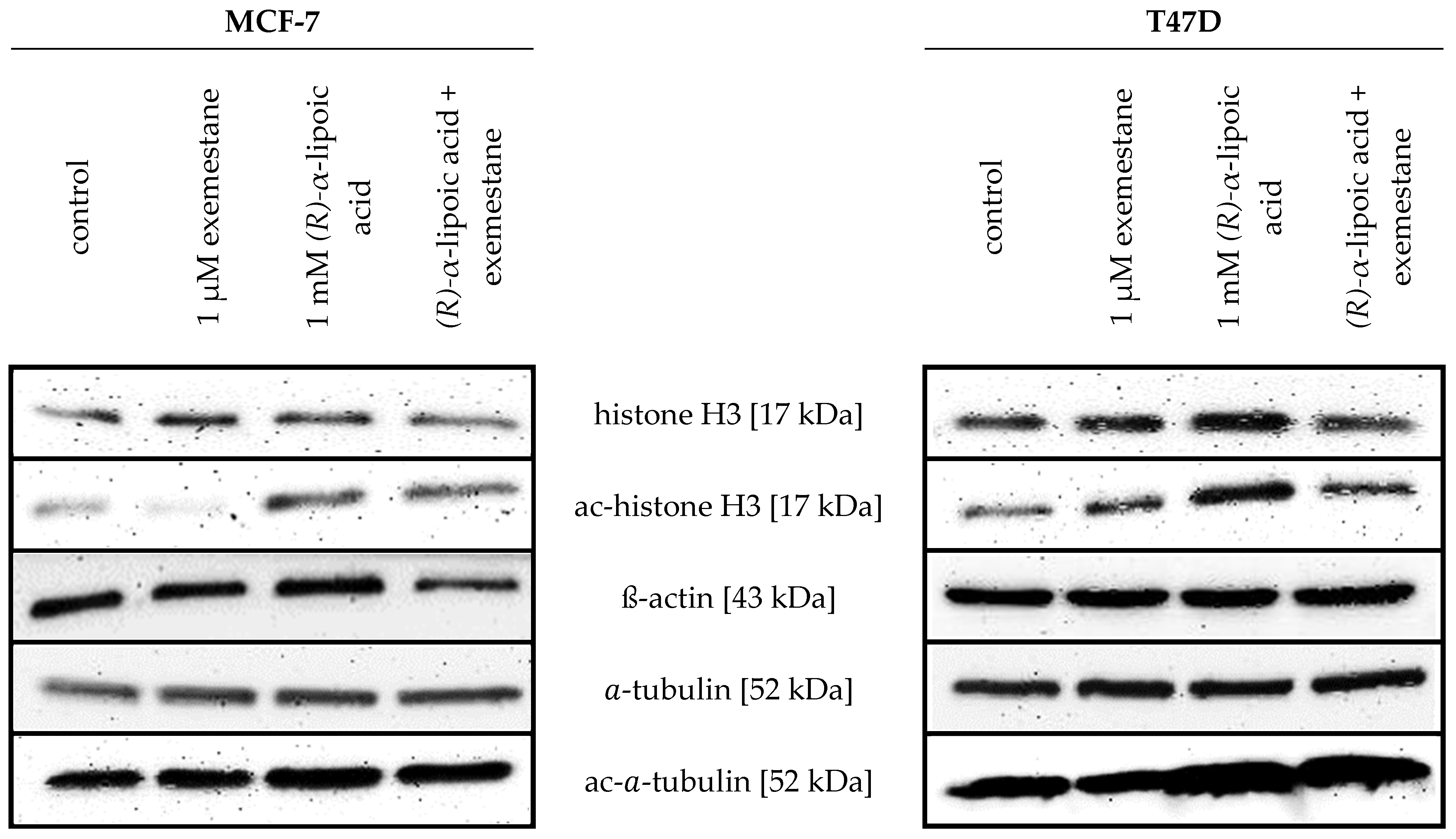
2.1. HDAC-Inhibitory Effects of (R)-, (S)-, Rac-α-Lipoic Acid, and Rac-Dihydro-Lipoic Acid
2.2. Cytotoxic Effects of α-Lipoic Acid and Exemestane
2.3. Combination of R-α-Lipoic Acid and Exemestane and Synergy Analysis
2.4. Effects of Exemestane and (R)-α-Lipoic Acid on Long-Term Proliferation
2.5. Caspase 3/7 Is Involved in Synergism between Exemestane and (R)-α-Lipoic Acid
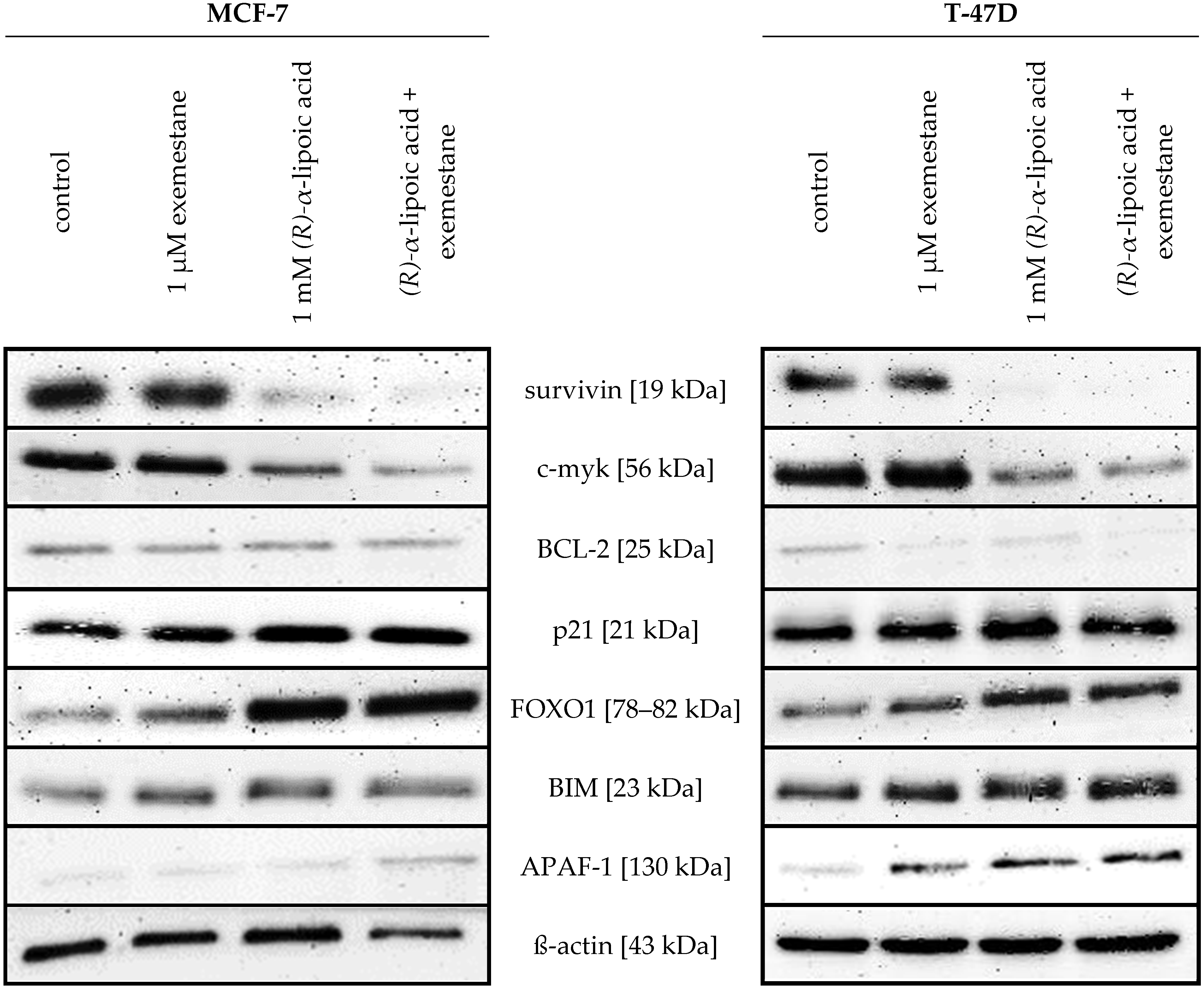
2.6. Effects of Exemstane and (R)-α-Lipoic Acid Treatment on Expression of Selected Apoptosis-Related Proteins
2.7. Analysis of the Mitochondrial Potential upon Treatment with (R)-α-Lipoic Acid
2.8. Docking of (R)- and (S)-α-Lipoic Acid into a Molecular Model of HDAC6
3. Discussion
4. Materials and Methods
4.1. Reagents
4.2. Cell Lines and Cell Culture
4.3. MTT Cell Viability Assay
4.4. Life Dead Proliferation Assay via Leica Microscope
4.5. Enzyme HDAC Inhibition Assay
4.6. Whole-Cell HDAC Inhibition Assay
4.7. Caspase 3/7 Activation Assay
4.8. Immunoblotting
4.9. Mitochondrial Assay
4.10. Data Analysis
4.11. Molecular Docking Studies
5. Conclusions
Supplementary Materials
Author Contributions
Funding
Data Availability Statement
Acknowledgments
Conflicts of Interest
References
- National Cancer Institute. Breast Cancer Treatment. Available online: https://www.cancer.gov/types/breast/patient/breast-treatment-pdq#_125 (accessed on 1 August 2023).
- Costa, B.; Amorim, I.; Gärtner, F.; Vale, N. Understanding Breast cancer: From conventional therapies to repurposed drugs. Eur. J. Pharm. Sci. 2020, 151, 105401. [Google Scholar] [CrossRef]
- SEER. Annual Report to the Nation 2022 National Cancer Statistics. Available online: https://seer.cancer.gov/report_to_nation/statistics.html (accessed on 1 August 2023).
- NCCN. Guidelines for Patients Details. Available online: https://www.nccn.org/patientresources/patient-resources/guidelines-for-patients/guidelines-for-patients-details?patientGuidelineId=16 (accessed on 30 May 2024).
- Goss, P.E.; Ingle, J.N.; Alés-Martínez, J.E.; Cheung, A.M.; Chlebowski, R.T.; Wactawski-Wende, J.; McTiernan, A.; Robbins, J.; Johnson, K.C.; Martin, L.W.; et al. Exemestane for breast-cancer prevention in postmenopausal women. N. Engl. J. Med. 2011, 364, 2381–2391. [Google Scholar] [CrossRef]
- Hartkopf, A.D.; Grischke, E.-M.; Brucker, S.Y. Endocrine-Resistant Breast Cancer: Mechanisms and Treatment. Breast Care 2020, 15, 347–354. [Google Scholar] [CrossRef]
- Hanahan, D.; Weinberg, R.A. Hallmarks of cancer: The next generation. Cell 2011, 144, 646–674. [Google Scholar] [CrossRef]
- Hanahan, D. Hallmarks of Cancer: New Dimensions. Cancer Discov. 2022, 12, 31–46. [Google Scholar] [CrossRef] [PubMed]
- Nepali, K.; Liou, J.-P. Recent developments in epigenetic cancer therapeutics: Clinical advancement and emerging trends. J. Biomed. Sci. 2021, 28, 27. [Google Scholar] [CrossRef]
- Bollmann, L.M.; Skerhut, A.J.; Asfaha, Y.; Horstick, N.; Hanenberg, H.; Hamacher, A.; Kurz, T.; Kassack, M.U. The Novel Class IIa Selective Histone Deacetylase Inhibitor YAK540 Is Synergistic with Bortezomib in Leukemia Cell Lines. Int. J. Mol. Sci. 2022, 23, 13398. [Google Scholar] [CrossRef] [PubMed]
- Bandolik, J.J.; Hamacher, A.; Schrenk, C.; Weishaupt, R.; Kassack, M.U. Class I-Histone Deacetylase (HDAC) Inhibition is Superior to pan-HDAC Inhibition in Modulating Cisplatin Potency in High Grade Serous Ovarian Cancer Cell Lines. Int. J. Mol. Sci. 2019, 20, 3052. [Google Scholar] [CrossRef]
- Guo, P.; Chen, W.; Li, H.; Li, M.; Li, L. The Histone Acetylation Modifications of Breast Cancer and their Therapeutic Implications. Pathol. Oncol. Res. 2018, 24, 807–813. [Google Scholar] [CrossRef]
- Contreras-Leal, E.; Hernández-Oliveras, A.; Flores-Peredo, L.; Zarain-Herzberg, Á.; Santiago-García, J. Histone deacetylase inhibitors promote the expression of ATP2A3 gene in breast cancer cell lines. Mol. Carcinog. 2016, 55, 1477–1485. [Google Scholar] [CrossRef]
- Munster, P.N.; Thurn, K.T.; Thomas, S.; Raha, P.; Lacevic, M.; Miller, A.; Melisko, M.; Ismail-Khan, R.; Rugo, H.; Moasser, M.; et al. A phase II study of the histone deacetylase inhibitor vorinostat combined with tamoxifen for the treatment of patients with hormone therapy-resistant breast cancer. Br. J. Cancer 2011, 104, 1828–1835. [Google Scholar] [CrossRef] [PubMed]
- Yardley, D.A.; Ismail-Khan, R.R.; Melichar, B.; Lichinitser, M.; Munster, P.N.; Klein, P.M.; Cruickshank, S.; Miller, K.D.; Lee, M.J.; Trepel, J.B. Randomized phase II, double-blind, placebo-controlled study of exemestane with or without entinostat in postmenopausal women with locally recurrent or metastatic estrogen receptor-positive breast cancer progressing on treatment with a nonsteroidal aromatase inhibitor. J. Clin. Oncol. 2013, 31, 2128–2135. [Google Scholar] [CrossRef] [PubMed]
- Connolly, R.M.; Zhao, F.; Miller, K.D.; Lee, M.-J.; Piekarz, R.L.; Smith, K.L.; Brown-Glaberman, U.A.; Winn, J.S.; Faller, B.A.; Onitilo, A.A.; et al. E2112: Randomized Phase III Trial of Endocrine Therapy Plus Entinostat or Placebo in Hormone Receptor–Positive Advanced Breast Cancer. A Trial of the ECOG-ACRIN Cancer Research Group. J. Clin. Oncol. 2021, 39, 3171–3181. [Google Scholar] [CrossRef] [PubMed]
- Xu, B.; Zhang, Q.; Hu, X.; Li, Q.; Sun, T.; Li, W.; Ouyang, Q.; Wang, J.; Tong, Z.; Yan, M.; et al. Entinostat, a class I selective histone deacetylase inhibitor, plus exemestane for Chinese patients with hormone receptor-positive advanced breast cancer: A multicenter, randomized, double-blind, placebo-controlled, phase 3 trial. Acta Pharm. Sin. B 2023, 13, 2250–2258. [Google Scholar] [CrossRef] [PubMed]
- Jiang, Z.; Li, W.; Hu, X.; Zhang, Q.; Sun, T.; Cui, S.; Wang, S.; Ouyang, Q.; Yin, Y.; Geng, C.; et al. Tucidinostat plus exemestane for postmenopausal patients with advanced, hormone receptor-positive breast cancer (ACE): A randomised, double-blind, placebo-controlled, phase 3 trial. Lancet. Oncol. 2019, 20, 806–815. [Google Scholar] [CrossRef] [PubMed]
- Myzak, M.C.; Ho, E.; Dashwood, R.H. Dietary agents as histone deacetylase inhibitors. Mol. Carcinog. 2006, 45, 443–446. [Google Scholar] [CrossRef] [PubMed]
- Dashwood, R.H.; Ho, E. Dietary histone deacetylase inhibitors: From cells to mice to man. Semin. Cancer Biol. 2007, 17, 363–369. [Google Scholar] [CrossRef] [PubMed]
- Lechner, S.; Steimbach, R.R.; Wang, L.; Deline, M.L.; Chang, Y.-C.; Fromme, T.; Klingenspor, M.; Matthias, P.; Miller, A.K.; Médard, G.; et al. Chemoproteomic target deconvolution reveals Histone Deacetylases as targets of (R)-lipoic acid. Nat. Commun. 2023, 14, 3548. [Google Scholar] [CrossRef] [PubMed]
- Watson, P.R.; Stollmaier, J.G.; Christianson, D.W. Crystal structure of histone deacetylase 6 complexed with (R)-lipoic acid, an essential cofactor in central carbon metabolism. J. Biol. Chem. 2023, 299, 105228. [Google Scholar] [CrossRef]
- Farhat, D.; Lincet, H. Lipoic acid a multi-level molecular inhibitor of tumorigenesis. Biochim. Biophys. Acta (BBA)-Rev. Cancer 2020, 1873, 188317. [Google Scholar] [CrossRef]
- Choi, H.S.; Kim, J.H.; Jang, S.J.; Yun, J.W.; Kang, K.M.; Jeong, H.; Ha, I.B.; Jeong, B.K. Synergistic Tumoricidal Effects of Alpha-Lipoic Acid and Radiotherapy on Human Breast Cancer Cells via HMGB1. Cancer Res. Treat. 2021, 53, 685–694. [Google Scholar] [CrossRef]
- Dozio, E.; Ruscica, M.; Passafaro, L.; Dogliotti, G.; Steffani, L.; Pagani, A.; Demartini, G.; Esposti, D.; Fraschini, F.; Magni, P. The natural antioxidant alpha-lipoic acid induces p27Kip1-dependent cell cycle arrest and apoptosis in MCF-7 human breast cancer cells. Eur. J. Pharmacol. 2010, 641, 29–34. [Google Scholar] [CrossRef]
- Farhat, D.; Ghayad, S.E.; Icard, P.; Le Romancer, M.; Hussein, N.; Lincet, H. Lipoic acid-induced oxidative stress abrogates IGF-1R maturation by inhibiting the CREB/furin axis in breast cancer cell lines. Oncogene 2020, 39, 3604–3610. [Google Scholar] [CrossRef]
- Chou, T.-C. Drug combination studies and their synergy quantification using the Chou-Talalay method. Cancer Res. 2010, 70, 440–446. [Google Scholar] [CrossRef]
- Chou, T.C.; Talalay, P. Quantitative analysis of dose-effect relationships: The combined effects of multiple drugs or enzyme inhibitors. Adv. Enzym. Regul. 1984, 22, 27–55. [Google Scholar] [CrossRef]
- Avelar, L.A.A.; Schrenk, C.; Sönnichsen, M.; Hamacher, A.; Hansen, F.K.; Schliehe-Diecks, J.; Borkhardt, A.; Bhatia, S.; Kassack, M.U.; Kurz, T. Synergistic induction of apoptosis in resistant head and neck carcinoma and leukemia by alkoxyamide-based histone deacetylase inhibitors. Eur. J. Med. Chem. 2021, 211, 113095. [Google Scholar] [CrossRef]
- Shen, Y.; Du, Y.; Zhang, Y.; Pan, Y. Synergistic effects of combined treatment with simvastatin and exemestane on MCF-7 human breast cancer cells. Mol. Med. Rep. 2015, 12, 456–462. [Google Scholar] [CrossRef]
- Farhat, D.; Léon, S.; Ghayad, S.E.; Gadot, N.; Icard, P.; Le Romancer, M.; Hussein, N.; Lincet, H. Lipoic acid decreases breast cancer cell proliferation by inhibiting IGF-1R via furin downregulation. Br. J. Cancer 2020, 122, 885–894. [Google Scholar] [CrossRef] [PubMed]
- Masri, S.; Lui, K.; Phung, S.; Ye, J.; Zhou, D.; Wang, X.; Chen, S. Characterization of the weak estrogen receptor α agonistic activity of exemestane. Breast Cancer Res. Treat. 2009, 116, 461–470. [Google Scholar] [CrossRef]
- Youle, R.J.; van der Bliek, A.M. Mitochondrial fission, fusion, and stress. Science 2012, 337, 1062–1065. [Google Scholar] [CrossRef]
- Chang, X.; Li, Y.; Cai, C.; Wu, F.; He, J.; Zhang, Y.; Zhong, J.; Tan, Y.; Liu, R.; Zhu, H.; et al. Mitochondrial quality control mechanisms as molecular targets in diabetic heart. Metabolism 2022, 137, 155313. [Google Scholar] [CrossRef] [PubMed]
- Ramírez, D.; Caballero, J. Is It Reliable to Use Common Molecular Docking Methods for Comparing the Binding Affinities of Enantiomer Pairs for Their Protein Target? Int. J. Mol. Sci. 2016, 17, 525. [Google Scholar] [CrossRef] [PubMed]
- Jumabaev, F.; Khayrullaev, D.; Zakirova, R.; Abdunazarov, A.; Sharipov, A. Synthesis, Structure, DFT and In Silico Studies of Zn (II) Complex with Lipoic Acid: A Potential Antidiabetic Drug. Preprints 2023, 2023101193. [Google Scholar] [CrossRef]
- Thomas, S.; Thurn, K.T.; Raha, P.; Chen, S.; Munster, P.N. Efficacy of histone deacetylase and estrogen receptor inhibition in breast cancer cells due to concerted down regulation of Akt. PLoS ONE 2013, 8, e68973. [Google Scholar] [CrossRef] [PubMed]
- Wang, X.; Zhao, S.; Xin, Q.; Zhang, Y.; Wang, K.; Li, M. Recent progress of CDK4/6 inhibitors’ current practice in breast cancer. Cancer Gene Ther. 2024, 1–9. [Google Scholar] [CrossRef] [PubMed]
- Augusto, T.V.; Correia-da-Silva, G.; Rodrigues, C.M.P.; Teixeira, N.; Amaral, C. Acquired resistance to aromatase inhibitors: Where we stand! Endocr.-Relat. Cancer 2018, 25, R283–R301. [Google Scholar] [CrossRef]
- Wang, Y.; Jing, F.; Wang, H. Role of Exemestane in the Treatment of Estrogen-Receptor-Positive Breast Cancer: A Narrative Review of Recent Evidence. Adv. Ther. 2022, 39, 862–891. [Google Scholar] [CrossRef] [PubMed]
- Shah, R.R. Safety and Tolerability of Histone Deacetylase (HDAC) Inhibitors in Oncology. Drug Saf. 2019, 42, 235–245. [Google Scholar] [CrossRef]
- Wang, C.; Hamacher, A.; Petzsch, P.; Köhrer, K.; Niegisch, G.; Hoffmann, M.J.; Schulz, W.A.; Kassack, M.U. Combination of Decitabine and Entinostat Synergistically Inhibits Urothelial Bladder Cancer Cells via Activation of FoxO1. Cancers 2020, 12, 337. [Google Scholar] [CrossRef]
- Moita, A.J.R.; Bandolik, J.J.; Hansen, F.K.; Kurz, T.; Hamacher, A.; Kassack, M.U. Priming with HDAC Inhibitors Sensitizes Ovarian Cancer Cells to Treatment with Cisplatin and HSP90 Inhibitors. Int. J. Mol. Sci. 2020, 21, 8300. [Google Scholar] [CrossRef]
- Yoon, J.; Moon, S.J.; Lee, K.-O.; Yoon, S.H.; Jang, I.-J.; Yu, K.-S.; Lee, S. Comparison of R(+)-α-lipoic acid exposure after R(+)-α-lipoic acid 200 mg and 300 mg and thioctic acid 600 mg in healthy Korean male subjects. Transl. Clin. Pharmacol. 2016, 24, 137–142. [Google Scholar] [CrossRef][Green Version]
- Alpha-Lipogamma® 600 mg Fertiginfusion Infusionslösung. Available online: https://www.rote-liste.de/suche/praep/27513-0/Alpha-Lipogamma%C2%AE%20600%20mg%20Fertiginfusion%20Infusionsl%C3%B6sung (accessed on 14 June 2024).
- Mueller, H.; Kassack, M.U.; Wiese, M. Comparison of the usefulness of the MTT, ATP, and calcein assays to predict the potency of cytotoxic agents in various human cancer cell lines. J. Biomol. Screen. 2004, 9, 506–515. [Google Scholar] [CrossRef] [PubMed]
- Heltweg, B.; Jung, M. A microplate reader-based nonisotopic histone deacetylase activity assay. Anal. Biochem. 2002, 302, 175–183. [Google Scholar] [CrossRef] [PubMed]
- Gohr, K. Neue Therapieansätze für das Cisplatinresistente Triple-Negative Mammakarzinom. Ph.D. Dissertation, Heinrich Heine University Düsseldorf, Düsseldorf, Germany, 2019. [Google Scholar]
- Molecular Modeling Software|OpenEye Scientific. Available online: https://www.eyesopen.com/ (accessed on 22 July 2024).
- Hai, Y.; Christianson, D.W. Histone deacetylase 6 structure and molecular basis of catalysis and inhibition. Nat. Chem. Biol. 2016, 12, 741–747. [Google Scholar] [CrossRef] [PubMed]

















| HDAC 2 | HDAC 4 | HDAC 6 | HDAC 8 | Cellular HDAC Assay | |
|---|---|---|---|---|---|
| (R)-α-lipoic acid | 208 ± 34.9 | 168 ± 19.3 | 14.2 ± 2.62 | 151 ± 33.4 | 969 ± 120 |
| (S)-α-lipoic acid | 299 ± 34.6 | 324 ± 39.9 | 21.3 ± 1.23 | 559 ± 71.0 | 906 ± 87.7 |
| rac-α-lipoic acid | 208 ± 4.2 | 262 ± 37.8 | 15.3 ± 4.60 | 464 ± 83.0 | 1186 ± 67.0 |
| rac-dihydro-lipoic acid | 98.1± 35.6 | 177 ± 17.5 | 6.48 ± 2.11 | 51.5 ± 10.5 | ND |
| panobinostat | 1.56 ± 0.24 | 0.73 ± 0.16 | |||
| vorinostat | 0.12 ± 0.01 | 0.79 ± 0.07 | |||
| tubastatin A | 0.07 ± 0.01 |
| MCF-7 | T-47D | MDA-MB-231 | |
|---|---|---|---|
| (R)-α-lipoic acid | 1167 ± 28.9 | 1119 ± 67.8 | 873 ± 36.0 |
| exemestane | 29.1 ± 1.30 | 50.6 ± 2.04 | 89.4 ± 2.86 |
| MCF-7 | T-47D | MDA-MB-231 | |
|---|---|---|---|
| exemestane | 16.1 ± 0.84 | 28.7 ± 0.75 | 53.3 ± 3.62 |
| (R)-α-lipoic acid | 439 ± 16.3 | 435 ± 28.6 | 225 ± 7.33 |
| (S)-α-lipoic acid | 429 ± 26.8 | 338 ± 17.4 | 243 ± 25.1 |
| rac-α-lipoic acid | 454 ± 15.2 | 373 ± 13.9 | 275 ± 22.5 |
| IC50 [µM] | (R)-α-Lipoic Acid | (S)-α-Lipoic Acid | rac-α-Lipoic Acid | rac-Dihydro-Lipoic Acid | |
|---|---|---|---|---|---|
| HDAC 2 | Pradel et al. | 208 | 299 | 208 | 98.1 |
| Lechner et al. | ~ 500 | n.e. up to 500 µM | 391 | 27.9 | |
| HDAC 6 | Pradel et al. | 14.2 | 21.3 | 15.3 | 6.48 |
| Lechner et al. | 210 | n.e. up to 500 µM | 191 | 1.70 | |
| HDAC 8 | Pradel et al. | 151 | 559 | 464 | 51.5 |
| Lechner et al. | 127 | n.e. up to 500 µM | 109 | 22.3 | |
Disclaimer/Publisher’s Note: The statements, opinions and data contained in all publications are solely those of the individual author(s) and contributor(s) and not of MDPI and/or the editor(s). MDPI and/or the editor(s) disclaim responsibility for any injury to people or property resulting from any ideas, methods, instructions or products referred to in the content. |
© 2024 by the authors. Licensee MDPI, Basel, Switzerland. This article is an open access article distributed under the terms and conditions of the Creative Commons Attribution (CC BY) license (https://creativecommons.org/licenses/by/4.0/).
Share and Cite
Pradel, L.S.; Ho, Y.-L.; Gohlke, H.; Kassack, M.U. The Antioxidant and HDAC-Inhibitor α-Lipoic Acid Is Synergistic with Exemestane in Estrogen Receptor-Positive Breast Cancer Cells. Int. J. Mol. Sci. 2024, 25, 8455. https://doi.org/10.3390/ijms25158455
Pradel LS, Ho Y-L, Gohlke H, Kassack MU. The Antioxidant and HDAC-Inhibitor α-Lipoic Acid Is Synergistic with Exemestane in Estrogen Receptor-Positive Breast Cancer Cells. International Journal of Molecular Sciences. 2024; 25(15):8455. https://doi.org/10.3390/ijms25158455
Chicago/Turabian StylePradel, Laura S., Yu-Lin Ho, Holger Gohlke, and Matthias U. Kassack. 2024. "The Antioxidant and HDAC-Inhibitor α-Lipoic Acid Is Synergistic with Exemestane in Estrogen Receptor-Positive Breast Cancer Cells" International Journal of Molecular Sciences 25, no. 15: 8455. https://doi.org/10.3390/ijms25158455
APA StylePradel, L. S., Ho, Y.-L., Gohlke, H., & Kassack, M. U. (2024). The Antioxidant and HDAC-Inhibitor α-Lipoic Acid Is Synergistic with Exemestane in Estrogen Receptor-Positive Breast Cancer Cells. International Journal of Molecular Sciences, 25(15), 8455. https://doi.org/10.3390/ijms25158455

