Establishment and Characterization of Three Human Ocular Adnexal Sebaceous Carcinoma Cell Lines
Abstract
1. Introduction
2. Results
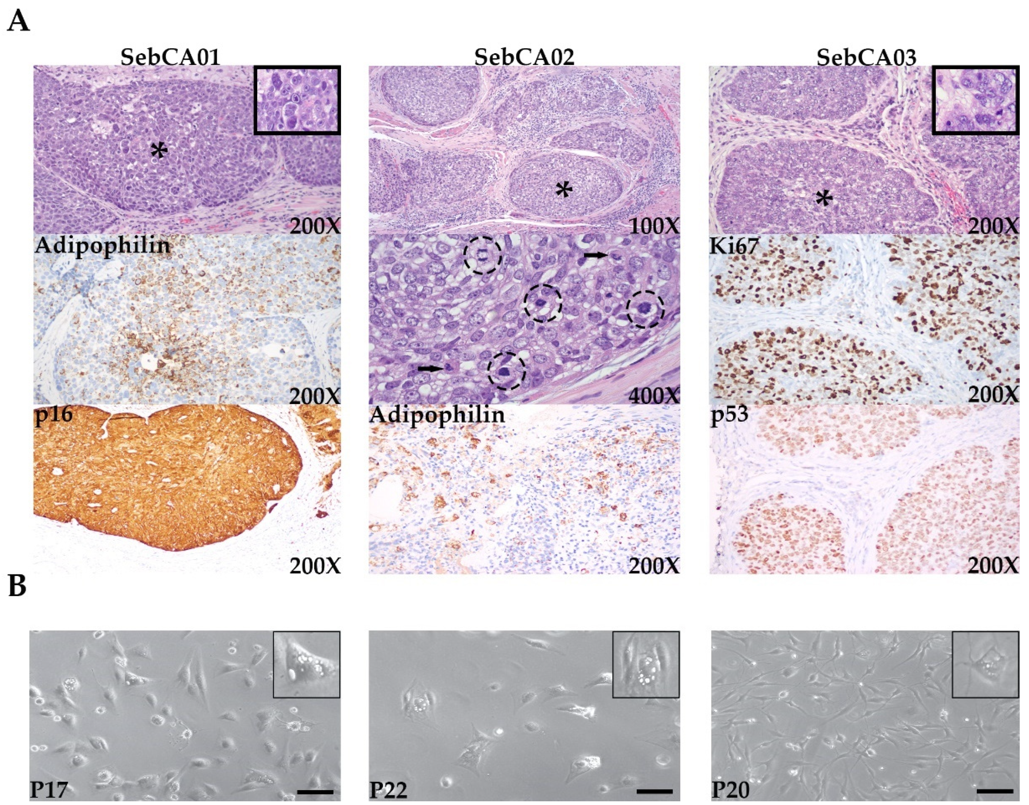
2.1. Clinical and Microscopic Characterization of Sebaceous Carcinoma Specimens
2.2. Establishment and Molecular Characterization of Sebaceous Carcinoma Cell Lines
2.3. Characterization of Sebaceous Carcinoma Cell Line Growth and Differentiation
2.4. Response of Sebaceous Carcinoma Lines to Chemotherapy
2.5. Ongoing Dependence of Sebaceous Carcinoma on Metabolic Changes Associated with MYC
3. Discussion
4. Materials and Methods
4.1. Immunohistochemistry of Sebaceous Carcinomas
4.2. Cell Line Establishment and Reagents
4.3. Short Tandem Repeat (STR) Analysis
4.4. Next-Generation Sequencing (NGS)
4.5. Cell-Titer Blue and MTT Assays
4.6. Anchorage-Dependent Colony Formation Assay
4.7. Western Blot Analysis
4.8. Statistical Analysis
5. Conclusions
Author Contributions
Funding
Institutional Review Board Statement
Informed Consent Statement
Data Availability Statement
Conflicts of Interest
References
- Rao, N.A.; Hidayat, L.C.A.A.; McLean, L.C.I.W.; Zimmerman, L.E. Sebaceous carcinomas of the ocular adnexa: A clinicopathologic study of 104 cases, with five-year follow-up data. Hum. Pathol. 1982, 13, 113–122. [Google Scholar] [CrossRef] [PubMed]
- Mulay, K.; Aggarwal, E.; White, V. Periocular sebaceous gland carcinoma: A comprehensive review. Saudi J. Ophthalmol. 2013, 27, 159–165. [Google Scholar] [CrossRef] [PubMed]
- Orr, C.; Yazdanie, F.; Shinder, R. Current review of sebaceous cell carcinoma. Curr. Opin. Ophthalmol. 2018, 29, 445–450. [Google Scholar] [CrossRef] [PubMed]
- Sa, H.-S.; Rubin, M.L.; Xu, S.; Ning, J.; Tetzlaff, M.; Sagiv, O.; Kandl, T.J.; Esmaeli, B. Prognostic factors for local recurrence, metastasis and survival for sebaceous carcinoma of the eyelid: Observations in 100 patients. Br. J. Ophthalmol. 2019, 103, 980–984. [Google Scholar] [CrossRef] [PubMed]
- Muqit, M.M.K.; Roberts, F.; Lee, W.R.; Kemp, E. Improved survival rates in sebaceous carcinoma of the eyelid. Eye 2004, 18, 49–53. [Google Scholar] [CrossRef]
- Hou, J.; Killian, J.; Baum, C.; Otley, C.; Roenigk, R.; Arpey, C.; Weaver, A.L.; Brewer, J.D. Characteristics of Sebaceous Carcinoma and Early Outcomes of Treatment Using Mohs Micrographic Surgery Versus Wide Local Excision: An Update of the Mayo Clinic Experience Over the Past 2 Decades. Dermatol. Surg. 2014, 40, 241–246. [Google Scholar] [CrossRef]
- Kass, L.G.; Hornblass, A. Sebaceous carcinoma of the ocular adnexa. Surv. Ophthalmol. 1989, 33, 477–490. [Google Scholar] [CrossRef]
- Shields, J.A.; Demirci, H.; Marr, B.P.; Eagle, R.C.; Shields, C.L. Sebaceous carcinoma of the ocular region: A review. Surv. Ophthalmol. 2005, 50, 103–122. [Google Scholar] [CrossRef]
- Deprez, M.; Uffer, S. Clinicopathological features of eyelid skin tumors. A retrospective study of 5504 cases and review of literature. Am. J. Dermatopathol. 2009, 31, 256–262. [Google Scholar] [CrossRef]
- Baş, Z.; Sharpe, J.; Yaghy, A.; Zhang, Q.; Shields, C.L.; Hyman, L.; IRIS® Registry Analytic Center Consortium. Prevalence of and Associated Factors for Eyelid Cancer in the American Academy of Ophthalmology Intelligent Research in Sight Registry. Ophthalmol. Sci. 2023, 3, 100227. [Google Scholar] [CrossRef]
- Bell, W.; Singh, K.; Rajan, A.; Eberhart, C. Expression of p16 and p53 in Intraepithelial Periocular Sebaceous Carcinoma. Ocul. Oncol. Pathol. 2016, 2, 71–75. [Google Scholar] [CrossRef] [PubMed]
- Tetzlaff, M.; Curry, J.; Ning, J.; Sagiv, O.; Kandi, T.; Peng, B.; Bell, D.; Routbort, M.; Hudgens, C.W.; Ivan, D.; et al. Distinct Biological Types of Ocular Adnexal Sebaceous Carcinoma: HPV-Driven and Virus- Negative Tumors Arise through Nonoverlapping Molecular-Genetic Alterations. Clin. Cancer Res. 2019, 15, 1280–1290. [Google Scholar] [CrossRef] [PubMed]
- Kiyosaki, K.; Nakada, C.; Hijiya, N.; Tsukamoto, Y.; Matsuura, K.; Nakatsuka, K.; Daa, T.; Yokoyama, S.; Imaizumi, M.; Moriyama, M. Analysis of p53 Mutations and the Expression of p53 and p21WAF1/CIP1Protein in 15 Cases of Sebaceous Carcinoma of the Eyelid. Invest. Ophthalmol. Vis. Sci. 2010, 51, 7–11. [Google Scholar] [CrossRef] [PubMed]
- Singh, G.; Weinstock, B.; Wu, A. Clinical and Immunohistochemical Features of Sebaceous Carcinoma: Focusing on the p53 Tumor Suppressor. J. Clin. Exp. Ophthalmol. 2017, 8, 1–7. [Google Scholar] [CrossRef]
- Bao, Y.; Selfridge, J.E.; Wang, J.; Zhao, Y.; Cui, J.; Guda, K.; Wang, Z.; Zhu, Y. Mutations in TP53, ZNF750, and RB1 typify ocular sebaceous carcinoma. J. Genet. Genom. 2019, 46, 315–318. [Google Scholar] [CrossRef] [PubMed]
- Shalin, S.C.; Sakharpe, A.; Lyle, S.; Lev, D.; Calonje, E.; Lazar, A.J. p53 Staining Correlates With Tumor Type and Location in Sebaceous Neoplasms. Am. J. Dermatopathol. 2012, 34, 129–138. [Google Scholar] [CrossRef]
- Gonzalez-Fernandez, F.; Kaltreider, S.A.; Patnaik, B.D.; Retief, J.D.; Bao, Y.; Newman, S.; Stoler, M.H.; Levine, P.A. Sebaceous carcinoma: Tumor progression through mutational inactivation of p53. Ophthalmology 1998, 105, 497–506. [Google Scholar] [CrossRef]
- Hussain, R.; Matthews, J.; Dubovy, S.; Thompson, J.; Wang, G. UV-Independent p53 Mutations in Sebaceous Carcinoma of the Eyelid. Ophthalmic. Plast. Reconstr. Surg. 2014, 30, 392–395. [Google Scholar] [CrossRef]
- Moore, R.; Zhang, X.; Allison, D.; Rooper, L.; Campbell, A.; Eberhart, C. High-Risk Human Papillomavirus and ZEB1 in Ocular Adnexal Sebaceous Carcinoma. J. Cutan. Pathol. 2021, 48, 1027–1033. [Google Scholar] [CrossRef]
- Shalin, S.C.; Lyle, S.; Calonje, E.; Lazar, A.J.F. Sebaceous neoplasia and the Muir-Torre syndrome: Important connections with clinical implications. Histopathology 2010, 56, 133–147. [Google Scholar] [CrossRef]
- Tomonari, M.; Shimada, M.; Nakada, Y.; Yamamoto, I.; Itoh, M.; Koike, Y.; Kobayashi, A.; Miki, J.; Yamada, H.; Kimura, T.; et al. Muir–Torre syndrome: Sebaceous carcinoma concurrent with colon cancer in a kidney transplant recipient; a case report. BMC Nephrol. 2019, 20, 394. [Google Scholar] [CrossRef] [PubMed]
- Hare, H.H.; Mahendraker, N.; Sarwate, S.; Tangella, K. Muir-Torre syndrome: A rare but important disorder. Cutis 2008, 82, 252–256. [Google Scholar] [PubMed]
- Chen, Q.; Wang, M.; Xu, Z.; Wang, M.; Jin, S.; Tian, S.; Xiao, S. Muir-Torre Syndrome With a Frame-shift Mutation in the MSH2 Gene: A Rare Case Report and Literature Review. Int. J. Gynecol. Pathol. 2020, 39, 136–140. [Google Scholar] [CrossRef] [PubMed]
- Suspiro, A.; Fidalgo, P.; Cravo, M.; Albuquerque, C.; Ramalho, E.; Leitão, C.N.; Mira, C.F. The Muir-Torre syndrome: A rare variant of hereditary nonpolyposis colorectal cancer associated with hMSH2 mutation. Am. J. Gastroenterol. 1998, 93, 1572–1574. [Google Scholar] [CrossRef] [PubMed]
- Perera, S.; Ramyar, L.; Mitri, A.; Pollett, A.; Gallinger, S.; Speevak, M.D.; Aronson, M.; Bapat, B. A novel complex mutation in MSH2 contributes to both Muir-Torre and Lynch Syndrome. J. Hum. Genet. 2010, 55, 37–41. [Google Scholar] [CrossRef]
- Entius, M.M.; Keller, J.J.; Drillenburg, P.; Kuypers, K.C.; Giardiello, F.M.; Offerhaus, G.J. Microsatellite instability and expression of hMLH-1 and hMSH-2 in sebaceous gland carcinomas as markers for Muir-Torre syndrome. Clin. Cancer Res. 2000, 6, 1784–1789. [Google Scholar]
- Peterson, C.; Moore, R.; Hicks, J.L.; Morsberger, L.A.; De Marzo, A.M.; Zou, Y.; Eberhart, C.G.; Campbell, A.A. NGS Analysis Confirms Common TP53 and RB1 Mutations, and Suggests MYC Amplification in Ocular Adnexal Sebaceous Carcinomas. Int. J. Mol. Sci. 2021, 22, 8454. [Google Scholar] [CrossRef]
- Tripathi, R.; Chen, Z.; Li, L.; Bordeaux, J.S. Incidence and survival of sebaceous carcinoma in the United States. J. Am. Acad. Dermatol. 2016, 75, 1210–1215. [Google Scholar] [CrossRef]
- Rong, A.J.; Gallo, R.A.; Zhang, M.G.; Doddapaneni, R.; Griswold, A.J.; Lee, J.Y.; Kurtenbach, S.; Dubovy, S.R.; David, T.T.; Pelaez, D. Establishment and Characterization of a Novel Human Ocular Adnexal Sebaceous Carcinoma Cell Line. Transl. Vis. Sci. Technol. 2021, 10, 34. [Google Scholar] [CrossRef]
- Shields, J.; Demirci, H.; Marr, B.; Eagle, R., Jr.; Shields, C. Sebaceous carcinoma of the eyelids: Personal experience with 60 cases. Ophthalmology 2004, 111, 2151–2157. [Google Scholar] [CrossRef]
- Esmaeli, B.; Nasser, Q.J.; Cruz, H.; Fellman, M.; Warneke, C.L.; Ivan, D. American Joint Committee on Cancer T category for eyelid sebaceous carcinoma correlates with nodal metastasis and survival. Ophthalmology 2012, 119, 1078–1082. [Google Scholar] [CrossRef] [PubMed]
- Song, A.; Carter, K.D.; Syed, N.A.; Song, J.; Nerad, J.A. Sebaceous cell carcinoma of the ocular adnexa: Clinical presentations, histopathology, and outcomes. Ophthalmic Plast. Reconstr. Surg. 2008, 24, 194–200. [Google Scholar] [CrossRef] [PubMed]
- Zouboulis, C.C.; Xia, L.Q.; Detmar, M.; Bogdanoff, B.; Giannakopoulos, G.; Gollnick, H.; Orfanos, C.E. Culture of human sebocytes and markers of sebocytic differentiation in vitro. Skin Pharmacol. 1991, 4, 74–83. [Google Scholar] [CrossRef] [PubMed]
- Xia, L.; Zouboulis, C.C.; Ju, Q. Culture of human sebocytes in vitro. Dermato-Endocrinology 2009, 1, 92–95. [Google Scholar] [CrossRef]
- Liu, S.; Hatton, M.P.; Khandelwal, P.; Sullivan, D.A. Culture, Immortalization, and Characterization of Human Meibomian Gland Epithelial Cells. Investig. Ophthalmol. Vis. Sci. 2010, 51, 3993. [Google Scholar] [CrossRef]
- Gallo, R.A.; Lang, S.H.; Gomez, A.; Sabater, A.L.; Tse, D.T.; Pelaez, D.; Rong, A.J. Effects of Mitomycin-C and 5-Fluorouracil on Ocular Adnexal Sebaceous Carcinoma Cells. Am. J. Ophthalmol. 2022, 240, 14–22. [Google Scholar] [CrossRef]
- Zhao, H.; Yang, X.; Liu, J.; Han, F.; Yang, Z.; Hu, Z.; Liu, M.; Mei, Y. Overexpression of miR-651-5p inhibits ultraviolet radiation-induced malignant biological behaviors of sebaceous gland carcinoma cells by targeting ZEB2. Ann. Transl. Med. 2022, 10, 517. [Google Scholar] [CrossRef]
- Bull, J.; Pelengaris, S.; Hendrix, S.; Chronnell, C.; Khan, M.; Philpott, M. Ectopic expression of c-Myc in the skin affects the hair growth cycle and causes an enlargement of the sebaceous gland. Br. J. Dermatol. 2005, 152, 1125–1133. [Google Scholar] [CrossRef]
- Natsumeda, M.; Liu, Y.; Nakata, S.; Miyahara, H.; Hanaford, A.; Ahsan, S.; Stearns, D.; Skuli, N.; Kahlert, U.D.; Raabe, E.H.; et al. Inhibition of enhancer of zest homologue 2 is a potential therapeutic target for high-MYC medulloblastoma. Neuropathology 2019, 39, 71–77. [Google Scholar] [CrossRef]
- Pitolli, C.; Marini, A.; Guerra, M.; Pieraccioli, M.; Marabitti, V.; Palluzzi, F.; Giacò, L.; Tamburrini, G.; Cecconi, F.; Nazio, F.; et al. MYC up-regulation confers vulnerability to dual inhibition of CDK12 and CDK13 in high-risk Group 3 medulloblastoma. J. Exp. Clin. Cancer Res. 2023, 42, 214. [Google Scholar] [CrossRef]
- Wilkinson, D.S.; Tsai, W.-W.; Schumacher, M.A.; Barton, M.C. Chromatin-Bound p53 Anchors Activated Smads and the mSin3A Corepressor To Confer Transforming Growth Factor β-Mediated Transcription Repression. Mol. Cell. Biol. 2008, 28, 1988–1998. [Google Scholar] [CrossRef] [PubMed]
- Pham, K.; Maxwell, M.J.; Sweeney, H.; Alt, J.; Rais, R.; Eberhart, C.G.; Slusher, B.S.; Raabe, E.H. Novel Glutamine Antagonist JHU395 Suppresses MYC-Driven Medulloblastoma Growth and Induces Apoptosis. J. Neuropathol. Exp. Neurol. 2021, 80, 336–344. [Google Scholar] [CrossRef] [PubMed]
- Wang, S.Z.; Poore, B.; Alt, J.; Price, A.; Allen, S.J.; Hanaford, A.R.; Kaur, H.; Orr, B.A.; Slusher, B.S.; Eberhart, C.G.; et al. Unbiased Metabolic Profiling Predicts Sensitivity of High MYC-Expressing Atypical Teratoid/Rhabdoid Tumors to Glutamine Inhibition with 6-Diazo-5-Oxo-L-Norleucine. Clin. Cancer Res. 2019, 25, 5925–5936. [Google Scholar] [CrossRef] [PubMed]
- Vempuluru, V.S.; Tanna, V.; Luthra, A.; Kaliki, S. Eyelid/Periocular Sebaceous Gland Carcinoma in 500 Eyes: Analysis based on 8th Edition American Joint Cancer Committee Classification. Am. J. Ophthalmol. 2024, 269, 49–59. [Google Scholar] [CrossRef] [PubMed]
- Dini, F.; Susini, P.; Nisi, G.; Cuomo, R.; Grimaldi, L.; Massi, D.; Innocenti, A.; Doni, L.; Mazzini, C.; Santoro, N.; et al. Periocular sebaceous carcinoma: Updates in the diagnosis, treatment, staging, and management. Int. J. Dermatol. 2024, 63, 726–736. [Google Scholar] [CrossRef]
- Gu, X.; Huang, Z.; Chen, J.; Luo, Y.; Ge, S.; Jia, R.; Song, X.; Chai, P.; Xu, S.; Fan, X. Establishment and Characterization of a TP53-Mutated Eyelid Sebaceous Carcinoma Cell Line. Investig. Ophthalmol. Vis. Sci. 2023, 64, 16. [Google Scholar] [CrossRef]
- Liu, X.; Ory, V.; Chapman, S.; Yuan, H.; Albanese, C.; Kallakury, B.; Timofeeva, O.A.; Nealon, C.; Dakic, A.; Simic, V.; et al. ROCK Inhibitor and Feeder Cells Induce the Conditional Reprogramming of Epithelial Cells. Am. J. Pathol. 2012, 180, 599–607. [Google Scholar] [CrossRef]
- Yuan, M.; White, D.; Resar, L.; Bar, E.; Groves, M.; Cohen, A.; Jackson, E.; Bynum, J.; Rubens, J.; Mumm, J. Conditional reprogramming culture conditions facilitate growth of lower-grade glioma models. Neuro-Oncology 2021, 23, 770–782. [Google Scholar] [CrossRef]
- Tetzlaff, M.; Singh, R.; Seviour, E.; Curry, J.; Hudgens, C.; Bell, D.; Wimmer, D.A.; Ning, J.; Czerniak, B.A.; Zhang, L.; et al. Next-generation sequencing identifies high frequency of mutations in potentially clinically actionable genes in sebaceous carcinoma. J. Pathol. 2016, 240, 84–95. [Google Scholar] [CrossRef]
- Feng, Y.; Bommer, G.T.; Zhai, Y.; Akyol, A.; Hinoi, T.; Winer, I.; Lin, H.V.; Cadigan, K.M.; Cho, K.R.; Fearon, E.R. Drosophila split ends homologue SHARP functions as a positive regulator of Wnt/beta-catenin/T-cell factor signaling in neoplastic transformation. Cancer Res. 2007, 67, 482–491. [Google Scholar] [CrossRef]
- Liu, D.; Yang, Y.; Yan, A.; Yang, Y. SPOCD1 accelerates ovarian cancer progression and inhibits cell apoptosis via the PI3K/AKT pathway. OncoTargets Ther. 2020, 13, 351–359. [Google Scholar] [CrossRef] [PubMed]
- Li, Y.; Lv, Y.; Cheng, C.; Huang, Y.; Yang, L.; He, J.; Tao, X.; Hu, Y.; Ma, Y.; Su, Y.; et al. SPEN induces miR-4652-3p to target HIPK2 in nasopharyngeal carcinoma. Cell Death Dis. 2020, 11, 509. [Google Scholar] [CrossRef] [PubMed]
- Gameiro, S.F.; Evans, A.M.; Mymryk, J.S. The tumor immune microenvironments of HPV+ and HPV- head and neck cancers. WIREs Mech. Dis. 2022, 14, e1539. [Google Scholar] [CrossRef] [PubMed]
- Plaza, J.A.; Mackinnon, A.; Carrillo, L.; Prieto, V.G.; Sangueza, M.; Suster, S. Role of immunohistochemistry in the diagnosis of sebaceous carcinoma: A clinicopathologic and immunohistochemical study. Am. J. Dermatopathol. 2015, 37, 809–821. [Google Scholar] [CrossRef] [PubMed]
- Coffey, R.J.; Bascom, C.C.; Sipes, N.J.; Graves-Deal, R.; Weissman, B.E.; Moses, H.L. Selective inhibition of growth-related gene expression in murine keratinocytes by transforming growth factor beta. Mol. Cell. Biol. 1988, 8, 3088–3093. [Google Scholar] [CrossRef]
- Hashiro, M.; Matsumoto, K.; Okumura, H.; Hashimoto, K.; Yoshikawa, K. Growth inhibition of human keratinocytes by antisense c-myc oligomer is not coupled to induction of differentiation. Biochem. Biophys. Res. Commun. 1991, 174, 287–292. [Google Scholar] [CrossRef]
- Kim, N.; Kim, J.E.; Choung, H.-K.; Lee, M.J.; Khwarg, S.I. Expression of Shh and Wnt signaling pathway proteins in eyelid sebaceous gland carcinoma: Clinicopathologic study. Investig. Ophthalmol. Vis. Sci. 2013, 54, 370–377. [Google Scholar] [CrossRef]
- Han, J.; Lin, K.; Choo, H.; Chen, Y.; Zhang, X.; Xu, R.-H.; Wang, X.; Wu, Y. Distinct bulge stem cell populations maintain the pilosebaceous unit in a β-catenin-dependent manner. iScience 2023, 26, 105805. [Google Scholar] [CrossRef]
- Tao, R.; Murad, N.; Xu, Z.; Zhang, P.; Okonechnikov, K.; Kool, M.; Rivero-Hinojosa, S.; Lazarski, C.; Zheng, P.; Liu, Y.; et al. MYC Drives Group 3 Medulloblastoma through Transformation of Sox2+ Astrocyte Progenitor Cells. Cancer Res. 2019, 79, 1967–1980. [Google Scholar] [CrossRef]
- Sharma, T.; Schwalbe, E.C.; Williamson, D.; Sill, M.; Hovestadt, V.; Mynarek, M.; Rutkowski, S.; Robinson, G.W.; Gajjar, A.; Cavalli, F.; et al. Second-generation molecular subgrouping of medulloblastoma: An international meta-analysis of Group 3 and Group 4 subtypes. Acta Neuropathol. 2019, 138, 309–326. [Google Scholar] [CrossRef]
- Wise, D.R.; DeBerardinis, R.J.; Mancuso, A.; Sayed, N.; Zhang, X.-Y.; Pfeiffer, H.K.; Nissim, I.; Daikhin, E.; Yudkoff, M.; McMahon, S.B.; et al. Myc regulates a transcriptional program that stimulates mitochondrial glutaminolysis and leads to glutamine addiction. Proc. Natl. Acad. Sci. USA 2008, 105, 18782–18787. [Google Scholar] [CrossRef] [PubMed]
- Gao, P.; Tchernyshyov, I.; Chang, T.-C.; Lee, Y.-S.; Kita, K.; Ochi, T.; Zeller, K.I.; De Marzo, A.M.; Van Eyk, J.E.; Mendell, J.T.; et al. c-Myc suppression of miR-23 enhances mitochondrial glutaminase and glutamine metabolism. Nature 2009, 458, 762–765. [Google Scholar] [CrossRef] [PubMed]
- Tambay, V.; Raymond, V.-A.; Bilodeau, M. MYC Rules: Leading Glutamine Metabolism toward a Distinct Cancer Cell Phenotype. Cancers 2021, 13, 4484. [Google Scholar] [CrossRef] [PubMed]





| Loci | SebCA01 | SebCA02 | SebCA03 | |||
|---|---|---|---|---|---|---|
| Tumor | Cell Line | Tumor | Cell Line | Tumor | Cell Line | |
| AMEL | X | X | X, Y | X, Y | X | X |
| CSF1PO | 12, 13 | 12,13 | 12 | 12 | 10 | 10 |
| D13S317 | 12 | 12 | 8, 11 | 8, 11 | 11 | 11 |
| D16S539 | 10 | 10 | 11, 14 | 11, 14 | 11, 12 | 11, 12 |
| D18S51 | 14, 20 | 14, 20 | 14, 16 | 14, 16 | 13, 16 | 13, 16 |
| D19S433 | 13, 14 | 13, 14 | 13, 14 | 13, 14 | 14, 15 | 14, 15 |
| D21S11 | 30, 31.2 | 30, 31.2 | 29, 30 | 29, 30 | 28, 30 | 28, 30 |
| D2S1338 | 20, 24 | 20, 24 | 20, 23 | 20, 23 | 20, 23 | 20, 23 |
| D3S1358 | 16 | 16 | 15 | 15 | 17, 18 | 17, 18 |
| D5S818 | 11 | 11 | 9, 11 | 9, 11 | 13 | 13 |
| D7S820 | 10, 11 | 10, 11 | 8, 11 | 8, 11 | 8, 13 | 8, 13 |
| D8S1179 | 14 | 14 | 10, 12 | 10, 12 | 13, 15 | 13, 15 |
| FGA | 19, 23 | 19, 23 | 22 | 22 | 19 | 19 |
| Penta D | 8, 12 | 8, 12 | 9 | 9 | 11, 12 | 11, 12 |
| Penta E | 7 | 7 | 11, 23 | 11, 23 | 9, 15 | 9, 15 |
| TH01 | 6, 9.3 | 6, 9.3 | 7 | 7 | 6, 7 | 6, 7 |
| TPOX | 8, 11 | 8, 11 | 8, 11 | 8, 11 | 8, 11 | 8, 11 |
| vWA | 16, 17 | 16, 17 | 17 | 17 | 17 | 17 |
| Sample | Tumor | Cell Line | ||||||
|---|---|---|---|---|---|---|---|---|
| Gene | Base Change | AA_Change | %VAF | Gene | Base Change | AA_Change | %VAF | |
| SebCA01 | ECT2L | A>G | p.Q455R | 21.53 | ECT2L | A>G | p.Q455R | 46.5 |
| BCORL1 | T>C | p.L1460P | 28.79 | BCORL1 | T>C | p.L1460P | 49.3 | |
| BRD4 | C>G | p.E1270D | 48.08 | BRD4 | C>G | p.E1270D | 46.9 | |
| BRD4 | G>A | p.P1184L | 50.23 | BRD4 | G>A | p.P1184L | 49.6 | |
| ERBB4 | T>C | p.I892V | 48.52 | ERBB4 | T>C | p.I892V | 50.6 | |
| TP53 | GCTGCACAGGGCAGGT>G | p.T140_Q144del | 17.61 | BRCA2 | G>A | p.V917I | 17.99 | |
| SebCA02 | POLD1 | A>G | p.D893G | 47.18 | POLD1 | A>G | p.D893G | 47.7 |
| DNM2 | CCTT>C | p.F804del | 5.83 | DNM2 | CCTT>C | p.F804del | 41.2 | |
| EPHA3 | G>A | p.R136Q | 43.82 | EPHA3 | G>A | p.R136Q | 45.6 | |
| HIST1H1D | A>G | p.V159A | 56.39 | HIST1H1D | A>G | p.V159A | 48.3 | |
| HIST1H2BO | A>T | p.M1? | 35.84 | HIST1H2BO | A>T | p.M1? | 50.3 | |
| RUNX1 | C>G | p.G69R | 36.39 | RUNX1 | C>G | p.G69R | 50.2 | |
| ZNF703 | A>G | p.T178A | 54.09 | ZNF703 | A>G | p.T178A | 48.9 | |
| NFKBIZ | 48 | NFKBIZ | 44.8 | |||||
| RAD51D | 10 | RAD51D | 43.7 | |||||
| TP53 | TGA>T | p.S392Rfs*78 | 73.62 | ZFHX4 | G>A | p.A1684T | 41.41 | |
| MK167 | C>T | p.A2673T | 29.05 | ZFHX4 | C>A | p.P3119T | 39.5 | |
| SebCA03 | Insufficient Sample | CBLB | A>G | p.F814S | 48.57 | |||
| CHD1 | C>T | p.V96I | 45.49 | |||||
| MAP3K14 | G>A | p.R849W | 46.32 | |||||
| MST1R | G>A | p.P8L | 46.12 | |||||
| SPEN | GCCCCCA>G | p.T3246_P3247del | 22.3 | |||||
| SYNE1 | C>T | p.E7905K | 47.36 | |||||
| Cell Line | Mitomycin (μM) | 5-FU (μM) |
|---|---|---|
| SebCA01 | 0.12 ± 0.02 | 1.88 ± 0.95 |
| SebCA02 | 0.20 ± 0.07 | 1.29 ± 0.17 |
| SebCA03 | 0.08 ± 0.01 | 1.63 ± 0.47 |
Disclaimer/Publisher’s Note: The statements, opinions and data contained in all publications are solely those of the individual author(s) and contributor(s) and not of MDPI and/or the editor(s). MDPI and/or the editor(s) disclaim responsibility for any injury to people or property resulting from any ideas, methods, instructions or products referred to in the content. |
© 2024 by the authors. Licensee MDPI, Basel, Switzerland. This article is an open access article distributed under the terms and conditions of the Creative Commons Attribution (CC BY) license (https://creativecommons.org/licenses/by/4.0/).
Share and Cite
Lee, S.-C.; Peterson, C.; Wang, K.; Alaali, L.; Eshleman, J.; Mahoney, N.R.; Li, E.; Eberhart, C.G.; Campbell, A.A. Establishment and Characterization of Three Human Ocular Adnexal Sebaceous Carcinoma Cell Lines. Int. J. Mol. Sci. 2024, 25, 10183. https://doi.org/10.3390/ijms251810183
Lee S-C, Peterson C, Wang K, Alaali L, Eshleman J, Mahoney NR, Li E, Eberhart CG, Campbell AA. Establishment and Characterization of Three Human Ocular Adnexal Sebaceous Carcinoma Cell Lines. International Journal of Molecular Sciences. 2024; 25(18):10183. https://doi.org/10.3390/ijms251810183
Chicago/Turabian StyleLee, Su-Chan, Cornelia Peterson, Kaixuan Wang, Lujain Alaali, James Eshleman, Nicholas R. Mahoney, Emily Li, Charles G. Eberhart, and Ashley A. Campbell. 2024. "Establishment and Characterization of Three Human Ocular Adnexal Sebaceous Carcinoma Cell Lines" International Journal of Molecular Sciences 25, no. 18: 10183. https://doi.org/10.3390/ijms251810183
APA StyleLee, S.-C., Peterson, C., Wang, K., Alaali, L., Eshleman, J., Mahoney, N. R., Li, E., Eberhart, C. G., & Campbell, A. A. (2024). Establishment and Characterization of Three Human Ocular Adnexal Sebaceous Carcinoma Cell Lines. International Journal of Molecular Sciences, 25(18), 10183. https://doi.org/10.3390/ijms251810183

