The Influence of Genetic Polymorphisms in Cytochrome P450 (CYP1A1 and 2D6) Gene on the Susceptibility to Philadelphia Negative Chronic Myeloid Leukemia in Sudanese Patients
Abstract
1. Introduction
2. Results
3. Discussion
4. Materials and Methods
5. Conclusions
Author Contributions
Funding
Institutional Review Board Statement
Informed Consent Statement
Data Availability Statement
Conflicts of Interest
References
- Lin, D.N.; Li, Q.L.; He, X.J.; Li, H.; Liao, L.B.; He, H.; Zhou, L.L.; Li, Z.; Liu, X.L.; Liu, Q.F.; et al. Diagnosis of adult Philadelphia chromosome-like acute lymphoblastic leukemia by fluorescence in situ hybridization. Zhonghua Xue Ye Xue Za Zhi 2020, 41, 749–755. [Google Scholar] [CrossRef] [PubMed]
- Idris, H.M.; Elderdery, A.Y.; Khalil, H.B.; Mills, J. Genetic Polymorphism of GSTP1, GSTM1 and GSTT1 Genes and Susceptibility to Chronic Myeloid Leukaemia. Asian Pac. J. Cancer Prev. 2020, 21, 499–503. [Google Scholar] [CrossRef] [PubMed]
- Cross, N.C.P. Update on CML-Like Disorders. Clin. Lymphoma Myeloma Leuk. 2020, 20 (Suppl. 1), S101–S102. [Google Scholar] [CrossRef] [PubMed]
- Kuan, J.W.; Melaine Michael, S. The epidemiology of chronic myeloid leukaemia in southern Sarawak, Borneo Island. Med. J. Malays. 2018, 73, 78–85. [Google Scholar]
- Klink, A.J.; Keating, S.J.; Brokars, J.; Feinberg, B.; Jabbour, E. Real-World Effectiveness of Dasatinib Versus Imatinib in Newly Diagnosed Patients With Chronic Myeloid Leukemia. Clin. Lymphoma Myeloma Leuk. 2024, 24, 149–157. [Google Scholar] [CrossRef]
- Smith, G.; Apperley, J.; Milojkovic, D.; Cross, N.C.P.; Foroni, L.; Byrne, J.; Goringe, A.; Rao, A.; Khorashad, J.; de Lavallade, H.; et al. A British Society for Haematology Guideline on the diagnosis and management of chronic myeloid leukaemia. Br. J. Haematol. 2020, 191, 171–193. [Google Scholar] [CrossRef]
- Jabbour, E.; Kantarjian, H. Chronic myeloid leukemia: 2020 update on diagnosis, therapy and monitoring. Am. J. Hematol. 2020, 95, 691–709. [Google Scholar] [CrossRef]
- Pfirrmann, M.; Lauseker, M.; Hoffmann, V.S.; Hasford, J. Prognostic scores for patients with chronic myeloid leukemia under particular consideration of competing causes of death. Ann. Hematol. 2015, 94 (Suppl. 2), S209–S218. [Google Scholar] [CrossRef]
- Salesse, S.; Verfaillie, C.M. BCR/ABL: From molecular mechanisms of leukemia induction to treatment of chronic myelogenous leukemia. Oncogene 2002, 21, 8547–8559. [Google Scholar] [CrossRef]
- Lei, H.; Wang, W.; Wu, Y. Targeting oncoproteins for degradation by small molecules in myeloid leukemia. Leuk. Lymphoma 2018, 59, 2297–2304. [Google Scholar] [CrossRef]
- Hochhaus, A.; Saussele, S.; Rosti, G.; Mahon, F.-X.; Janssen, J.J.; Hjorth-Hansen, H.; Richter, J.; Buske, C. Chronic myeloid leukaemia: ESMO Clinical Practice Guidelines for diagnosis, treatment and follow-up. Ann. Oncol. 2017, 28, iv41–iv51. [Google Scholar] [CrossRef] [PubMed]
- Liu, J.; Yang, H.; Xu, X.; Yi, S.; Meng, L. Mutations in the BCR-ABL1 kinase domain in patients with chronic myeloid leukaemia treated with TKIs or at diagnosis. Oncol. Lett. 2020, 20, 1071–1076. [Google Scholar] [CrossRef]
- Huang, Z.; Zhang, Y.; Chen, J.; Shi, Y.; Chen, P.; Jiang, S.; Qian, H. Long-Term Remission in T315I+ Relapsed Philadelphia Chromosome-Positive Acute Lymphoblastic Leukemia with Blinatumomab and Allogeneic Stem Cell Transplantation: Two Case Studies. Am. J. Case Rep. 2024, 25, e944956. [Google Scholar] [CrossRef] [PubMed]
- Diamantopoulos, P.T.; Viniou, N.A. Atypical Chronic Myelogenous Leukemia, BCR-ABL1 Negative: Diagnostic Criteria and Treatment Approaches. Front. Oncol. 2021, 11, 722507. [Google Scholar] [CrossRef]
- Tebien, E.M.; Khalil, H.B.; Mills, J.; Elderdery, A.Y. Evaluation of Genetic Polymorphisms of N-acetyltransferase 2 and Relation with Chronic Myeloid Leukemia. Asian Pac. J. Cancer Prev. 2020, 21, 3711–3717. [Google Scholar] [CrossRef]
- Brown, S.-A.; Beavers, C.; Kamaraju, S.; Mohan, M.; Fatunde, O.; Gift Echefu, S.; Zaharova, B.W.; Oxencis, C. Principles of Drug Metabolism and Interactions in Cardio-Oncology. In Drug Metabolism Handbook; John Wiley & Sons, Inc.: Hoboken, NJ, USA, 2023; p. 967. [Google Scholar]
- Mittal, B.; Tulsyan, S.; Kumar, S.; Mittal, R.D.; Agarwal, G. Cytochrome P450 in Cancer Susceptibility and Treatment. Adv. Clin. Chem. 2015, 71, 77–139. [Google Scholar] [CrossRef]
- Agarwal, V. Assaying Oxidative Coupling Activity of CYP450 Enzymes. Methods Enzymol. 2018, 604, 499–521. [Google Scholar] [CrossRef]
- Afsar, N.A.; Bruckmueller, H.; Werk, A.N.; Nisar, M.K.; Ahmad, H.R.; Cascorbi, I. Implications of genetic variation of common Drug Metabolizing Enzymes and ABC Transporters among the Pakistani Population. Sci. Rep. 2019, 9, 7323. [Google Scholar] [CrossRef]
- Zhou, S.F.; Liu, J.P.; Chowbay, B. Polymorphism of human cytochrome P450 enzymes and its clinical impact. Drug Metab. Rev. 2009, 41, 89–295. [Google Scholar] [CrossRef]
- Bukowska, B.; Mokra, K.; Michałowicz, J. Benzo [a] pyrene—Environmental occurrence, human exposure, and mechanisms of toxicity. Int. J. Mol. Sci. 2022, 23, 6348. [Google Scholar] [CrossRef]
- Zhou, S. Cytochrome P450 2D6: Structure, Function, Regulation and Polymorphism; CRC Press: Boca Raton, FL, USA, 2018. [Google Scholar]
- Guttman, Y.; Nudel, A.; Kerem, Z. Polymorphism in Cytochrome P450 3A4 Is Ethnicity Related. Front. Genet. 2019, 10, 224. [Google Scholar] [CrossRef] [PubMed]
- Zhao, M.; Ma, J.; Li, M.; Zhang, Y.; Jiang, B.; Zhao, X.; Huai, C.; Shen, L.; Zhang, N.; He, L. Cytochrome P450 enzymes and drug metabolism in humans. Int. J. Mol. Sci. 2021, 22, 12808. [Google Scholar] [CrossRef] [PubMed]
- Shin, J.; Hills, N.K.; Finley, P.R. Combining Antidepressants with beta-Blockers: Evidence of a Clinically Significant CYP2D6 Drug Interaction. Pharmacotherapy 2020, 40, 507–516. [Google Scholar] [CrossRef]
- Motoi, Y.; Watanabe, K.; Honma, H.; Tadano, Y.; Hashimoto, H.; Kubota, T. Digital PCR for determination of cytochrome P450 2D6 and sulfotransferase 1A1 gene copy number variations. Drug Discov. Ther. 2017, 11, 336–341. [Google Scholar] [CrossRef]
- Yang, T.; Li, X.; Farrington, S.M.; Dunlop, M.G.; Campbell, H.; Timofeeva, M.; Theodoratou, E. A Systematic Analysis of Interactions between Environmental Risk Factors and Genetic Variation in Susceptibility to Colorectal Cancer. Cancer Epidemiol. Biomark. Prev. 2020, 29, 1145–1153. [Google Scholar] [CrossRef]
- Keppen, C.; Barooah, P.; Borthakur, P.; Saikia, S.; Deka, M.; Bhattacharjee, S.; Keppen, J.; Khamo, V.; Medhi, S. Genetic Polymorphisms Along with Dietary and Environmental Factors Enhance the Susceptibility to Nasopharyngeal Carcinoma in Nagaland of Northeast India. Biochem. Genet. 2020, 58, 533–550. [Google Scholar] [CrossRef]
- Hou, J.; Sun, E.; Song, J.; Yang, L.; Zhang, Z.H.; Ning, Q.; Jia, X.B. Relationship between hepatic drug-metabolizing enzymes CYP450 and traditional Chinese medicine-induced hepatotoxicity. Zhongguo Zhong Yao Za Zhi 2016, 41, 2774–2780. [Google Scholar] [CrossRef]
- Reed, L.; Arlt, V.M.; Phillips, D.H. The role of cytochrome P450 enzymes in carcinogen activation and detoxication: An in vivo-in vitro paradox. Carcinogenesis 2018, 39, 851–859. [Google Scholar] [CrossRef]
- Vibhuti, A.; Arif, E.; Mishra, A.; Deepak, D.; Singh, B.; Rahman, I.; Mohammad, G.; Pasha, M.A. CYP1A1, CYP1A2 and CYBA gene polymorphisms associated with oxidative stress in COPD. Clin. Chim. Acta 2010, 411, 474–480. [Google Scholar] [CrossRef]
- Siddarth, M.; Datta, S.K.; Ahmed, R.S.; Banerjee, B.D.; Kalra, O.P.; Tripathi, A.K. Association of CYP1A1 gene polymorphism with chronic kidney disease: A case control study. Environ. Toxicol. Pharmacol. 2013, 36, 164–170. [Google Scholar] [CrossRef]
- Peng, D.-D.; Xie, W.; Yu, Z.-X. Impact of interaction between CYP1A1 genetic polymorphisms and smoking on coronary artery disease in the Han of China. Clin. Exp. Hypertens. 2017, 39, 339–343. [Google Scholar] [CrossRef] [PubMed]
- Lu, Y.; Qin, X.; Li, S.; Zhang, X.; He, Y.; Peng, Q.; Deng, Y.; Wang, J.; Xie, L.; Li, T.; et al. Quantitative assessment of CYP2D6 polymorphisms and risk of Alzheimer’s disease: A meta-analysis. J. Neurol. Sci. 2014, 343, 15–22. [Google Scholar] [CrossRef] [PubMed]
- Zhu, X.; Wang, Z.; He, J.; Wang, W.; Xue, W.; Wang, Y.; Zheng, L.; Zhu, M.L. Associations between CYP1A1 rs1048943 A > G and rs4646903 T > C genetic variations and colorectal cancer risk: Proof from 26 case-control studies. Oncotarget 2016, 7, 51365–51374. [Google Scholar] [CrossRef]
- Zheng, H.; Zhao, Y. Association of CYP1A1 MspI polymorphism in the esophageal cancer risk: A meta-analysis in the Chinese population. Eur. J. Med. Res. 2015, 20, 46. [Google Scholar] [CrossRef]
- Wright, C.M.; Larsen, J.E.; Colosimo, M.L.; Barr, J.J.; Chen, L.; McLachlan, R.E.; Yang, I.A.; Bowman, R.V.; Fong, K.M. Genetic association study of CYP1A1 polymorphisms identifies risk haplotypes in nonsmall cell lung cancer. Eur. Respir. J. 2010, 35, 152–159. [Google Scholar] [CrossRef]
- Elghannam, D.M.; Ibrahim, L.; Ebrahim, M.A.; Azmy, E.; Hakem, H. Association of MDR1 gene polymorphism (G2677T) with imatinib response in Egyptian chronic myeloid leukemia patients. Hematology 2014, 19, 123–128. [Google Scholar] [CrossRef]
- Lakkireddy, S.; Aula, S.; Avn, S.; Kapley, A.; Rao Digumarti, R.; Jamil, K. Association of The Common CYP1A1*2C Variant (Ile462Val Polymorphism) with Chronic Myeloid Leukemia (CML) in Patients Undergoing Imatinib Therapy. Cell J. 2015, 17, 510–519. [Google Scholar] [CrossRef]
- Idris, H.M.E.; Khalil, H.B.; Mills, J.; Elderdery, A.Y. CYP1A1 and CYP2D6 Polymorphisms and Susceptibility to Chronic Myelocytic Leukaemia. Curr. Cancer Drug Targets 2020, 20, 675–680. [Google Scholar] [CrossRef]
- Ding, G.; Xu, W.; Liu, H.; Zhang, M.; Huang, Q.; Liao, Z. CYP1A1 MspI polymorphism is associated with prostate cancer susceptibility: Evidence from a meta-analysis. Mol. Biol. Rep. 2013, 40, 3483–3491. [Google Scholar] [CrossRef]
- Guo, R.; Guo, X. Quantitative assessment of the associations between CYP1A1 polymorphisms and gastric cancer risk. Tumour Biol. 2012, 33, 1125–1132. [Google Scholar] [CrossRef]
- Zheng, Y.; Wang, J.J.; Sun, L.; Li, H.L. Association between CYP1A1 polymorphism and colorectal cancer risk: A meta-analysis. Mol. Biol. Rep. 2012, 39, 3533–3540. [Google Scholar] [CrossRef] [PubMed]
- Jin, J.Q.; Hu, Y.Y.; Niu, Y.M.; Yang, G.L.; Wu, Y.Y.; Leng, W.D.; Xia, L.Y. CYP1A1 Ile462Val polymorphism contributes to colorectal cancer risk: A meta-analysis. World J. Gastroenterol. 2011, 17, 260–266. [Google Scholar] [CrossRef] [PubMed]
- Sahar, H.; Asmaa, A.A.; Reham, A.; Noha, E.H. Study of the association of CYP2d6* 4 polymorphism with the risk of chronic myeloid leukemia. Egypt J. Med. Lab. Sci. Sep. 2010, 19, 47–56. [Google Scholar]
- Sailaja, K.; Vishnupriya, S.; Surekha, D.; Rao, D.N.; Rao, D. Association of CYP2D6* 4 polymorphism with chronic myeloid leukemia. JMSR 2007, 1, 44–46. [Google Scholar]
- Wolf, C.R.; Smith, C.D.; Gough, A.C.; Moss, J.E.; Vallis, K.A.; Howard, G.; Carey, F.J.; Mills, K.; McNee, W.; Carmichael, J. Relationship between the debrisoquine hydroxylase polymorphism and cancer susceptibility. Carcinogenesis 1992, 13, 1035–1038. [Google Scholar] [CrossRef]
- Rostami-Hodjegan, A.; Lennard, M.S.; Woods, H.F.; Tucker, G.T. Meta-analysis of studies of the CYP2D6 polymorphism in relation to lung cancer and Parkinson’s disease. Pharmacogenetics 1998, 8, 227–238. [Google Scholar] [CrossRef]
- Taylor, C.; Crosby, I.; Yip, V.; Maguire, P.; Pirmohamed, M.; Turner, R.M. A Review of the Important Role of CYP2D6 in Pharmacogenomics. Genes 2020, 11, 1295. [Google Scholar] [CrossRef]
- Omran, M.M.; Abdelfattah, R.; Moussa, H.S.; Alieldin, N.; Shouman, S.A. Association of the trough, peak/trough ratio of imatinib, pyridine–N-oxide imatinib and ABCG2 SNPs 34 G> A and SLCO1B3 334 T> G with imatinib response in Egyptian chronic myeloid leukemia patients. Front. Oncol. 2020, 10, 1348. [Google Scholar] [CrossRef]
- Qin, Y.W.; Yang, Y.N.; Li, S.; Wang, C. Coexistence of JAK2V617F Mutation and BCR-ABL Translocation in a Pregnant Woman with Essential Thrombocythemia. Indian J. Hematol. Blood Transfus. 2014, 30, 331–334. [Google Scholar] [CrossRef]



| Genotypes/Allele Frequency | Patient N (%) | Control N (%) | OR | 95%CI | p-Value | |
|---|---|---|---|---|---|---|
| CYP1A1*2C | AA | 6 (23.1%) | 37 (37%) | Reference | ||
| AG | 14 (53.8%) | 55 (55%) | 1.570 | 0.55–4.46 | 0.397 | |
| GG | 6 (23.1%) | 8 (8%) | 4.625 | 1.18–18.12 | 0.028 | |
| A | 26 (50%) | 129 (64.5%) | - | - | - | |
| G | 26 (50%) | 71 (35.5%) | - | - | - | |
| CYP2D6*4 | GG (EM) | 4 (15.4%) | 1 (1%) | Reference | ||
| GA (IM) | 13 (50%) | 93 (93%) | 0.035 | 0.004–0.34 | 0.004 | |
| AA (PM) | 9 (34.6%) | 6 (6%) | 0.375 | 0.03–4.23 | 0.427 | |
| G | 21 (40.4%) | 95 (47.5%) | - | - | - | |
| A | 31 (59.6%) | 105 (52.5%) | - | - | - | |
| Parameter | CYP1A1 N (%) | CYP2D6 N (%) | |||||
|---|---|---|---|---|---|---|---|
| AA | AG | GG | GG(EM) | GA(IM) | AA(PM) | ||
| Gender | Male | 2 (7.7%) | 10 (38.5%) | 3 (11.5%) | 1 (3.8%) | 5 (19.2%) | 9 (34.6%) |
| Female | 4 (15.4%) | 4 (15.4%) | 3 (11.5%) | 3 (11.5%) | 8 (30.8%) | 0 (0.0%) | |
| p value | 0.261 | 0.006 | |||||
| Age (Year) | <40 | 2 (7.7%) | 1 (3.8%) | 1 (3.8%) | 2 (7.7%) | 1 (3.8%) | 1 (3.8%) |
| >40 | 4(15.4%) | 13 (50%) | 5 (19.2%) | 2 (7.7%) | 12 (46.2%) | 8 (30.8%) | |
| p value | 0.329 | 0.111 | |||||
| Ethnic groups | Afro-Asiatic | 5 (19.2%) | 13 (50%) | 4 (15.4%) | 3 (11.5%) | 11 (42.3%) | 8 (30.8%) |
| Nilo-Saharan | 1 (3.8%) | 1 (3.8%) | 1 (3.8%) | 1 (3.8%) | 1 (3.8%) | 1 (3.8%) | |
| Niger-Congo | 0 (0.0%) | 0 (0.0%) | 1 (3.8%) | 0 (0.0%) | 1 (3.8%) | 0 (0.0%) | |
| p value | 0.382 | 0.762 | |||||
| Gene | PRIMERS | PCR Product | Restriction Enzyme | Banding Patterns |
|---|---|---|---|---|
| CYP1A1*2C | F-5′ CTG TCT CCC- TCT GGT TAC AGG AAG C-3 R-5′ TTC CAC CCG TTG CAG CAG GAT AGC C-3′ | 204 bp | BsrD1 | *1/*1 (A/A): 149 and 55 bp *1/*2C (A/G): 204, 149 and 55 bp *2C/*2C (G/G): 204 bp |
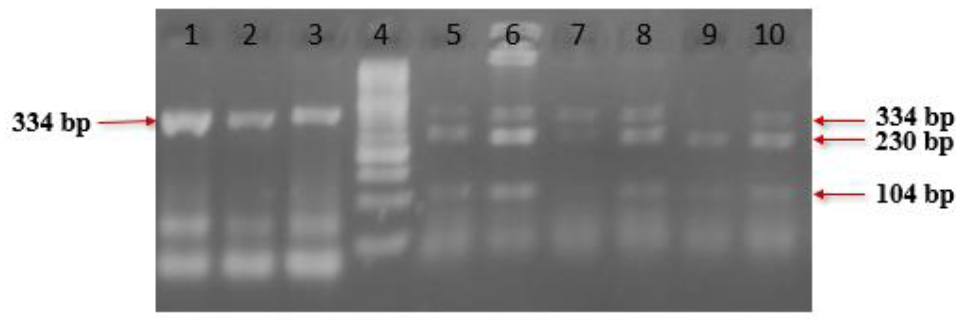
| CYP2D6*4 | F-5′GCT TCG CCAA CCA CTC CG-3′ R- 5′AAA TCC TGC TCT TCC GAG GC-3 | 334 bp | BstN1 | *1/*1 (G/G EM): 230 and 104 bp. *1/*4 (G/A IM): 334, 230 and 104 bp. *4/*4 (A/A PM): 334 bp. |
| Gene | PCR Product | Restriction Enzyme | Banding Patterns | |
| CYP1A1*2C | 204 bp | BsrD1 | *1/*1 (A/A): 149 and 55 bp *1/*2C (A/G): 204, 149 and 55 bp *2C/*2C (G/G): 204 bp | |
| CYP2D6*4 | 334 bp | BstN1 | *1/*1 (G/G EM): 230 and 104 bp. *1/*4 (G/A IM): 334, 230 and 104 bp. *4/*4 (A/A PM): 334 bp. | |
Disclaimer/Publisher’s Note: The statements, opinions and data contained in all publications are solely those of the individual author(s) and contributor(s) and not of MDPI and/or the editor(s). MDPI and/or the editor(s) disclaim responsibility for any injury to people or property resulting from any ideas, methods, instructions or products referred to in the content. |
© 2024 by the authors. Licensee MDPI, Basel, Switzerland. This article is an open access article distributed under the terms and conditions of the Creative Commons Attribution (CC BY) license (https://creativecommons.org/licenses/by/4.0/).
Share and Cite
Elderdery, A.Y.; Idris, H.M.E.; Alruwaili, S.N.L.; Tebien, E.M.; Alsrhani, A.; Alenazy, F.O.; Alzahrani, B.; Manni, E.; Elkhalifa, A.M.E.; Mills, J. The Influence of Genetic Polymorphisms in Cytochrome P450 (CYP1A1 and 2D6) Gene on the Susceptibility to Philadelphia Negative Chronic Myeloid Leukemia in Sudanese Patients. Int. J. Mol. Sci. 2024, 25, 13493. https://doi.org/10.3390/ijms252413493
Elderdery AY, Idris HME, Alruwaili SNL, Tebien EM, Alsrhani A, Alenazy FO, Alzahrani B, Manni E, Elkhalifa AME, Mills J. The Influence of Genetic Polymorphisms in Cytochrome P450 (CYP1A1 and 2D6) Gene on the Susceptibility to Philadelphia Negative Chronic Myeloid Leukemia in Sudanese Patients. International Journal of Molecular Sciences. 2024; 25(24):13493. https://doi.org/10.3390/ijms252413493
Chicago/Turabian StyleElderdery, Abozer Y., Hadeil M. E. Idris, Saud Nahar L. Alruwaili, Entesar M. Tebien, Abdullah Alsrhani, Fawaz O. Alenazy, Badr Alzahrani, Emad Manni, Ahmed M. E. Elkhalifa, and Jeremy Mills. 2024. "The Influence of Genetic Polymorphisms in Cytochrome P450 (CYP1A1 and 2D6) Gene on the Susceptibility to Philadelphia Negative Chronic Myeloid Leukemia in Sudanese Patients" International Journal of Molecular Sciences 25, no. 24: 13493. https://doi.org/10.3390/ijms252413493
APA StyleElderdery, A. Y., Idris, H. M. E., Alruwaili, S. N. L., Tebien, E. M., Alsrhani, A., Alenazy, F. O., Alzahrani, B., Manni, E., Elkhalifa, A. M. E., & Mills, J. (2024). The Influence of Genetic Polymorphisms in Cytochrome P450 (CYP1A1 and 2D6) Gene on the Susceptibility to Philadelphia Negative Chronic Myeloid Leukemia in Sudanese Patients. International Journal of Molecular Sciences, 25(24), 13493. https://doi.org/10.3390/ijms252413493

