Calcium Induces the Cleavage of NopA and Regulates the Expression of Nodulation Genes and Secretion of T3SS Effectors in Sinorhizobium fredii NGR234
Abstract
1. Introduction
2. Results
2.1. Calcium Inhibits the Secretion of NGR 234 Nops
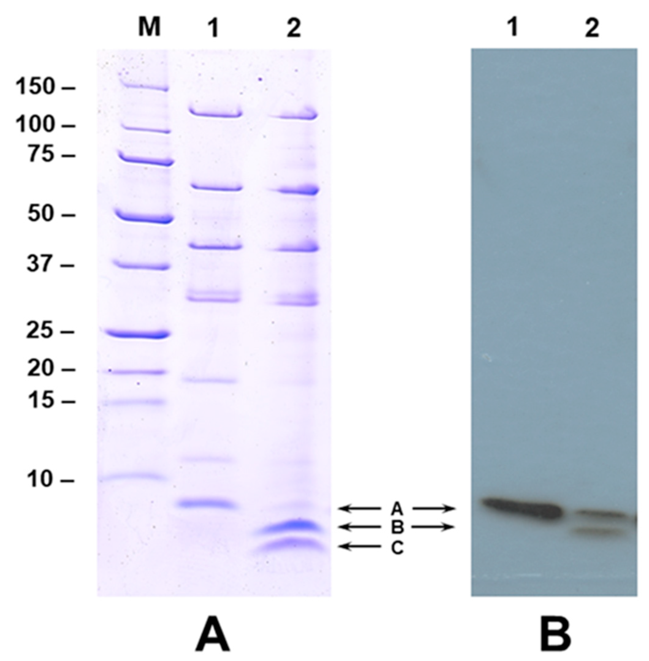
2.2. Calcium Promotes the Cleavage of NopA
2.3. Global Gene Expression Analysis
2.4. Effect of Apigenin on the NGR234 Transcriptome
2.5. Calcium Represses the Expression of nodABC Genes
2.6. Effect of Calcium plus Apigenin on the NGR234 Transcriptome
2.7. Quantitative RT-PCR Analysis Verification of RNAseq Transcriptome Data
3. Discussion
4. Materials and Methods
4.1. Basic Molecular and Microbiological Techniques
4.2. Culture Conditions and RNA Extraction
4.3. RNA Isolation and Sequencing
4.3.1. Mapping of the RNA-Seq Data
4.3.2. Assessment of Differentially Expressed Genes
4.3.3. General Features of the Total Sequenced and Mapped Reads
4.3.4. RNA-Seq Data Accession Number
4.4. Quantitative Reverse Transcription PCR
4.5. Purification and Analysis of Nops
4.6. Western Blot Analysis
4.7. Mass Spectrometry Analysis
Supplementary Materials
Author Contributions
Funding
Data Availability Statement
Acknowledgments
Conflicts of Interest
References
- Spaink, H.P. Root nodulation and infection factors produced by rhizobial bacteria. Annu. Rev. Microbiol. 2000, 54, 257–288. [Google Scholar] [CrossRef]
- Poole, P.; Ramachandran, V.; Terpolilli, J. Rhizobia: From saprophytes to endosymbionts. Nature Reviews. Microbiology 2018, 16, 291–303. [Google Scholar] [CrossRef]
- Oldroyd, G.E.; Murray, J.D.; Poole, P.S.; Downie, J.A. The rules of engagement in the legume-rhizobial symbiosis. Annu. Rev. Genet. 2011, 45, 119–144. [Google Scholar] [CrossRef] [PubMed]
- Cooper, J.E. Early interactions between legumes and rhizobia: Disclosing complexity in a molecular dialogue. J. Appl. Microbiol. 2007, 103, 1355–1365. [Google Scholar] [CrossRef] [PubMed]
- Liu, C.W.; Murray, J.D. The role of flavonoids in nodulation host-range specificity: An update. Plants 2016, 5, 33. [Google Scholar] [CrossRef] [PubMed]
- Peck, M.C.; Fisher, R.F.; Bliss, R.; Long, S.R. Isolation and characterization of mutant Sinorhizobium meliloti NodD1 proteins with altered responses to luteolin. J. Bacteriol. 2013, 195, 3714–3723. [Google Scholar] [CrossRef] [PubMed]
- Khokhani, D.; Carrera Carriel, C.; Vayla, S.; Irving, T.B.; Stonoha-Arther, C.; Keller, N.P.; Ané, J.M. Deciphering the chitin code in plant symbiosis, defense, and microbial networks. Annu. Rev. Microbiol. 2021, 75, 583–607. [Google Scholar] [CrossRef] [PubMed]
- Roy, S.; Liu, W.; Nandety, R.S.; Crook, A.; Mysore, K.S.; Pislariu, C.I.; Frugoli, J.; Dickstein, R.; Udvardi, M.K. Celebrating 20 years of genetic discoveries in legume nodulation and symbiotic nitrogen fixation. Plant Cell 2020, 32, 15–41. [Google Scholar] [CrossRef] [PubMed]
- Yang, J.; Lan, L.; Jin, Y.; Yu, N.; Wang, D.; Wang, E. Mechanisms underlying legume-rhizobium symbioses. J. Integr. Plant Biol. 2022, 64, 244–267. [Google Scholar] [CrossRef] [PubMed]
- Krause, A.; Doerfel, A.; Göttfert, M. Mutational and transcriptional analysis of the type III secretion system of Bradyrhizobium japonicum. Mol. Plant Microbe Interact 2002, 15, 1228–1235. [Google Scholar] [CrossRef]
- López-Baena, F.J.; Vinardell, J.M.; Pérez-Montaño, F.; Crespo-Rivas, J.C.; Bellogín, R.A.; Espuny, M.d.R.; Ollero, F.J. Regulation and symbiotic significance of nodulation outer proteins secretion in Sinorhizobium fredii HH103. Microbiology 2008, 154, 1825–1836. [Google Scholar] [CrossRef] [PubMed]
- Wassem, R.; Kobayashi, H.; Kambara, K.; Le Quéré, A.; Walker, G.C.; Broughton, W.J.; Deakin, W.J. TtsI regulates symbiotic genes in Rhizobium sp. NGR234 by binding to tts boxes. Mol. Microbiol. 2008, 78, 736–748. [Google Scholar] [CrossRef] [PubMed]
- Staehelin, C.; Krishnan, H.B. Nodulation outer proteins: Double-edged swords of symbiotic rhizobia. Biochem. J. 2015, 470, 263–274. [Google Scholar] [CrossRef] [PubMed]
- Nelson, M.S.; Sadowsky, M.J. Secretion systems and signal exchange between nitrogen-fixing rhizobia and legumes. Front. Plant Sci. 2015, 6, 491. [Google Scholar] [CrossRef] [PubMed]
- Jiménez-Guerrero, I.; Pérez-Montaño, F.; Medina, C.; Ollero, F.J.; López-Baena, F.J. NopC is a Rhizobium-specific Type 3 Secretion System effector secreted by Sinorhizobium (Ensifer) fredii HH103. PLoS ONE 2015, 10, e0142866. [Google Scholar] [CrossRef] [PubMed]
- Trinick, M.J. Relationships amongst the fast-growing rhizobia of Lablab purpureus, Leucaena leucocephala, Mimosa sp., Acacia farnesiana and Sesbania grandiflora and their affinities with other rhizobial groups. J. Appl. Bacteriol. 1980, 49, 39–53. [Google Scholar] [CrossRef]
- Pueppke, S.G.; Broughton, W.J. Rhizobium sp. Strain NGR234 and R. fredii USDA257 share exceptionally broad, nested host ranges. Mol. Plant-Microbe Interact. 1999, 12, 293–318. [Google Scholar] [CrossRef] [PubMed]
- Jiménez-Guerrero, I.; Medina, C.; Vinardell, J.M.; Ollero, F.J.; López-Baena, F.J. The Rhizobial Type 3 Secretion System: The Dr. Jekyll and Mr. Hyde in the Rhizobium-Legume Symbiosis. Int. J. Mol. Sci. 2022, 23, 11089. [Google Scholar] [CrossRef]
- Viprey, V.; del Greco, A.; Golinowski, W.; Broughton, W.J.; Perret, X. Symbiotic implications of type III protein secretion machinery in Rhizobium. Mol. Microbiol. 1998, 28, 1381–1389. [Google Scholar] [CrossRef]
- Temprano-Vera, F.; Rodríguez-Navarro, D.N.; Acosta-Jurado, S.; Perret, X.; Fossou, R.K.; Navarro-Gómez, P.; Zhen, T.; Yu, D.; An, Q.; Buendía-Clavería, A.M.; et al. Sinorhizobium fredii strains HH103 and NGR234 form nitrogen fixing nodules with diverse wild soybeans (Glycine soja) from central China are ineffective on northern china accessions. Front. Microbiol. Front. Microbiol. 2018, 9, 2843. [Google Scholar] [CrossRef]
- Krishnan, H.B.; Kim, W.S.; Sun-Hyung, J. Calcium regulates the production of nodulation outer proteins (Nops) and precludes pili formation by Sinorhizobium fredii USDA257, a soybean symbiont. FEMS Microbiol. Lett. 2007, 271, 59–64. [Google Scholar] [CrossRef] [PubMed][Green Version]
- Krishnan, H.B.; Lorio, J.; Kim, W.S.; Jiang, G.; Kim, K.Y.; DeBoer, M.; Pueppke, S.G. Extracellular proteins involved in soybean cultivar-specific nodulation are associated with pilus-like surface appendages and exported by a type III protein secretion system in Sinorhizobium fredii USDA257. Mol. Plant-Microbe Interact. 2003, 16, 617–625. [Google Scholar] [CrossRef] [PubMed]
- de Lyra Mdo, C.; Lopez-Baena, F.J.; Madinabeitia, N.; Vinardell, J.M.; Espuny Mdel, R.; Cubo, M.T.; Belloguin, R.A.; Ruiz-Sainz, J.E.; Ollero, F.J. Inactivation of the Sinorhizobium fredii HH103 rhcJ gene abolishes nodulation outer proteins (Nops) secretion and decreases the symbiotic capacity with soybean. Int. Microbiol. 2006, 9, 125–133. [Google Scholar] [PubMed]
- Pérez-Montaño, F.; Del Cerro, P.; Jiménez-Guerrero, I.; López-Baena, F.J.; Cubo, M.T.; Hungría, M.; Megías, M.; Ollero, F.J. RNA-seq analysis of the Rhizobium tropici CIAT 899 transcriptome shows similarities in the activation patterns of symbiotic genes in the presence of apigenin and salt. BMC Genom. 2016, 17, 198. [Google Scholar] [CrossRef] [PubMed]
- Pérez-Montaño, F.; Jiménez-Guerrero, I.; Acosta-Jurado, S.; Navarro-Gómez, P.; Ollero, F.J.; Ruiz-Sainz, J.E.; López-Baena, F.J.; Vinardell, J.M. A transcriptomic analysis of the effect of genistein on Sinorhizobium fredii HH103 reveals novel rhizobial genes putatively involved in symbiosis. Sci. Rep. 2016, 6, 1592. [Google Scholar] [CrossRef] [PubMed]
- Fellay, R.; Hanin, M.; Montorzi, G.; Frey, J.; Freiberg, C.; Golinowski, W.; Staehelin, C.; Broughton, W.J.; Jabbouri, S. nodD2 of Rhizobium sp. NGR234 is involved in the repression of the nodABC operon. Mol. Microbiol. 1998, 27, 1039–1050. [Google Scholar] [CrossRef] [PubMed]
- Theunis, M.; Kobayashi, H.; Broughton, W.J.; Prinsen, E. Flavonoids, NodD1, NodD2, and nod-box NB15 modulate expression of the y4wEFG locus that is required for indole-3-acetic acid synthesis in Rhizobium sp. strain NGR234. Mol. Plant-Microbe Interact. 2004, 17, 1153–1161. [Google Scholar] [CrossRef]
- Perret, X.; Freiberg, C.; Rosenthal, A.; Broughton, W.J.; Fellay, R. High-resolution transcriptional analysis of the symbiotic plasmid of Rhizobium sp. NGR234. Mol. Microbiol. 1999, 32, 415–425. [Google Scholar] [CrossRef]
- Kim, W.S.; Sun-Hyung, J.; Park, R.D.; Kim, K.Y.; Krishnan, H.B. Sinorhizobium fredii USDA257 releases a 22-kDa outer membrane protein (Omp22) to the extracellular milieu when grown in calcium-limiting conditions. Mol. Plant-Microbe Interact. 2005, 18, 808–818. [Google Scholar] [CrossRef]
- Perret, X.; Staehelin, C.; Broughton, W.J. Molecular basis of symbiotic promiscuity. Microbiol. Mol. Biol. Rev. 2000, 64, 180–201. [Google Scholar] [CrossRef]
- Walker, L.; Lagunas, B.; Gifford, M.L. Determinants of host range specificity in legume-rhizobia symbiosis. Front. Microbiol. 2020, 11, 585749. [Google Scholar] [CrossRef]
- Oldroyd, G.E. Speak, friend, and enter: Signalling systems that promote beneficial symbiotic associations in plants. Nat. Rev. Microbiol. 2013, 11, 252–263. [Google Scholar] [CrossRef] [PubMed]
- Moscatiello, R.; Squartini, A.; Mariani, P.; Navazio, L. Flavonoid-induced calcium signalling in Rhizobium leguminosarum bv. viciae. New Phytol. 2010, 188, 814–823. [Google Scholar] [CrossRef] [PubMed]
- Schmitt, B.L.; Leal, B.F.; Leyser, M.; de Barros, M.P.; Trentin, D.S.; Ferreira, C.A.S.; de Oliveira, S.D. Increased ompW and ompA expression and higher virulence of Acinetobacter baumannii persister cells. BMC Microbiol. 2023, 23, 157. [Google Scholar] [CrossRef] [PubMed]
- Biarrotte-Sorin, S.; Hugonnet, J.-E.; Delfosse, V.; Mainardi, J.-L.; Gutmann, L.; Arthur, M.; Mayer, C. Crystal Structure of a novel β-Lactam-insensitive peptidoglycan transpeptidase. J. Mol. Biol. 2006, 359, 533–538. [Google Scholar] [CrossRef] [PubMed]
- Jackson, M.W.; Siva-Herzog, E.; Plano, G.V. The ATPdependent ClpXP and Lon proteases regulate expression of the Yersinia pestis type III secretion system via regulated proteolysis of YmoA, a small histone-like protein. Mol. Microbiol. 2004, 54, 1364–1378. [Google Scholar] [CrossRef]
- Bretz, L.; Losada, L.; Lisboa, K.; Hutcheson, S.W. Lon protease functions as a negative regulator of type III protein secretion in Pseudomonas syringae. Mol. Microbiol. 2002, 45, 397–409. [Google Scholar] [CrossRef] [PubMed]
- Udvardi, M.K.; Day, D.A. Metabolite transport across symbiotic membranes of legume nodules. Annu. Rev. Plant Physiol. Plant Mol. Biol. 1997, 48, 493–523. [Google Scholar] [CrossRef]
- Albrecht, W.A.; Davis, F.L. Physiological importance of Ca2+ in legume inoculation. Bot. Gaz. 1929, 88, 310–321. [Google Scholar] [CrossRef]
- Lowter, W.L.; Loneragan, J.F. Effects of calcium deficiency on symbiotic nitrogen fixation. Plant Physiol. 1968, 43, 1362–1366. [Google Scholar]
- Munns, D.N. Nodulation of Medicago sativa in solution culture. V. Calcium and pH requirements during infection. Plant Soil 1970, 32, 90–102. [Google Scholar] [CrossRef]
- Richardson, A.E.; Djordjevic, M.A.; Rolfe, B.G.; Simpson, R.J. Effects of pH, Ca and Al on the exudation from clover seedlings of compounds that induce the expression of nodulation genes in Rhizobium trifolii. Plant Soil 1988, 109, 37–47. [Google Scholar] [CrossRef]
- Sethi, R.S.; Reporter, M. Calcium localization pattern in clover root hair cells associated with the infection process: Studies with aureomycin. Protoplasma 1981, 105, 321–325. [Google Scholar] [CrossRef]
- Balatti, P.A.; Krishnan, H.B.; Pueppke, S.G. Calcium regulates growth of rhizobium fredii and its ability to nodulate soybean cv. peking. Can. J. Microbiol. 1991, 37, 542–548. [Google Scholar] [CrossRef]
- Love, M.I.; Huber, W.; Anders, S. Moderated estimation of fold change and dispersion for RNA-seq data with DESeq2. Genome Biol. 2014, 15, 550. [Google Scholar] [CrossRef] [PubMed]
- Wei, Z.; Zhang, W.; Fang, H.; Li, Y.; Wang, X. esATAC: An easy-to-use systematic pipeline for ATAC-seq data analysis. Bioinformatics 2018, 34, 2664–2665. [Google Scholar] [CrossRef]
- Morgan, M.; Pages, H.; Obenchain, V.; Hayden, N. Rsamtools: Binary alignment (BAM), FASTA, variant call (BCF), and tabix file import. R Package Version 2016, 1, 677–689. [Google Scholar]
- Liao, Y.; Smyth, G.K.; Shi, W. The R package Rsubread is easier, faster, cheaper and better for alignment and quantification of RNA sequencing reads. Nucleic Acids Res. 2019, 47, e47. [Google Scholar] [CrossRef]
- Quinlan, A.R.; Hall, I.M. BEDTools: A flexible suite of utilities for comparing genomic features. Bioinformatics 2010, 26, 841–842. [Google Scholar] [CrossRef]
- Li, H.; Handsaker, B.; Wysoker, A.; Fennell, T.; Ruan, J.; Homer, N.; Marth, G.; Abecasis, G.; Durbin, R.; 1000 Genome Project Data Processing Subgroup. The Sequence Alignment/Map format and SAMtools. Bioinformatics 2009, 25, 2078–2079. [Google Scholar] [CrossRef]
- Laemmli, U.K. Cleavage of structural proteins during the assembly of the head of bacteriophage T4. Nature 1970, 227, 680–685. [Google Scholar] [CrossRef] [PubMed]




| Replicon/Condition | APvsWT | CavsWT | CaAPvsWT | |
|---|---|---|---|---|
| chromosome | Upregulated | 39 | 19 | 58 |
| Downregulated | 7 | 18 | 18 | |
| plasmid a | Upregulated | 67 | 0 | 74 |
| Downregulated | 3 | 5 | 3 | |
| plasmid b | Upregulated | 25 | 20 | 30 |
| Downregulated | 9 | 3 | 4 | |
| Upregulated | 131 | 39 | 162 | |
| Downregulated | 19 | 26 | 25 | |
| Total | 150 | 65 | 187 | |
| Replicon/Condition | APvsWT | CavsWT | CaAPvsWT | |
|---|---|---|---|---|
| chromosome | 30.7 | 56.9 | 40.6 | |
| plasmid a | 46.7 | 7.7 | 41.2 | |
| plasmid b | 22.7 | 35.4 | 18.2 | |
| Replicon/Condition | Upregulated | Downregulated | ||
| APvsWT | 87.3 | 12.7 | ||
| CavsWT a | 60.0 | 40.0 | ||
| CaAPvsWT | 86.6 | 13.4 | ||
| Locus-Tag | Annotation | NB a | Ap Induction b | Ca Induction b | Ap + Ca Induction b | Ap/Ap + Ca | Description |
|---|---|---|---|---|---|---|---|
| NGR_a00430 | y4aD | 1 | 23.64 | 0.83 | 26.89 | 0.88 | putative phytoene synthase-like protein |
| NGR_a00440 | y4aC (hpnD) | 1 | 11.90 | 0.83 | 13.20 | 0.90 | squalene synthase HpnD |
| NGR_a00450 | y4aB | 1 | 16.84 | 1.07 | 19.11 | 0.88 | putative flavoprotein oxidoreductase |
| NGR_a00460 | y4aA (shc) | 1 | 2.39 | 0.82 | 2.82 | 0.85 | probable squalene-hopene cyclase |
| NGR_a00400 | nodZ | 2 | 2.17 | 0.35 | 2.62 | 0.83 | chitin oligosaccharide fucosyltransferase nodulation protein NodZ |
| NGR_a00410 | noeL | 2 | 1.92 | 0.52 | 2.08 | 0.93 | GDP-mannose 42C62C dehydratase nodulation protein NoeL |
| NGR_a00420 | nolK | 2 | 1.34 | 0.66 | 1.45 | 0.92 | nucleotide sugar epimerase/dehydrogenase nodulation protein NolK |
| NGR_a00360 | nodD1 | 3 | 0.35 | 0.90 | 0.26 | 1.35 | LysR-type transcription regulator of nodulation genes nodulation protein NodD1 |
| NGR_a03860 | nolL | 4 | 6.02 | 0.73 | 7.86 | 0.77 | nodulation protein NolL involved in acetylation of Nodulation factor |
| NGR_a03530 | fixF | 6 | 18.66 | 0.97 | 29.50 | 0.63 | involved in polysaccharide synthesis/modification |
| NGR_a03480 | noeE | 7 | 9.36 | 0.43 | 9.95 | 0.94 | nodulation protein NoeE involved in sulfation of Nodulation factor |
| NGR_a03410 | nodA | 8 | 5.32 | 0.22 | 6.56 | 0.81 | N-acyltransferase nodulation protein NodA involved in Nodulation factor synthesis |
| NGR_a03420 | nodB | 8 | 4.32 | 0.23 | 5.03 | 0.86 | chitooligosaccharide deacetylase nodulation protein NodB involved in Nodulation factor synthesis |
| NGR_a03430 | nodC | 8 | 3.90 | 0.28 | 4.32 | 0.90 | N-acetylglucosaminyltransferase nodulation protein NodC involved in Nodulation factor synthesis |
| NGR_a03440 | nodI | 8 | 4.58 | 0.50 | 5.91 | 0.77 | ABC-transporter ATP-binding protein NodI involved in secretion of Nodulation factor |
| NGR_a03450 | nodJ | 8 | 3.92 | 0.57 | 5.33 | 0.74 | ABC-transporter permease NodJ probably involved in secretion of Nodulation factor |
| NGR_a03460 | nolO | 8 | 2.52 | 0.68 | 3.49 | 0.72 | nodulation protein NolO involved in carbamoylation of Nodulation factor |
| NGR_a03470 | noeI | 8 | 1.56 | 0.81 | 2.13 | 0.74 | nodulation protein NoeI involved in 2-O methylation of Nodulation factor |
| NGR_a03370 | y4hM | 9 | 2.78 | 0.74 | 5.12 | 0.54 | conserved hypothetical 43.9 kDa oxidoreductase domain-containing protein |
| NGR_a03360 | y4hN | 9 | 4.01 | 1.07 | 10.28 | 0.39 | putative transposase number 1 for insertion sequence NGRIS-15b |
| NGR_a03350 | y4hO | 9 | 3.89 | 1.10 | 4.61 | 0.85 | putative transposase number 2 for insertion sequence NGRIS-15b |
| NGR_a03310 | y4iR (similar to PsiB) | 10 | 8.91 | 0.81 | 11.11 | 0.80 | conserved hypothetical 17.6 kDa protein |
| NGR_a02560 | y4mC | 11 | 1.45 | 0.77 | 1.91 | 0.76 | precursor of 26.2 kDa for conserved putative periplasmic protein |
| NGR_a02390 | nodS | 12 | 9.26 | 0.48 | 6.69 | 1.38 | nodulation protein NodS involved in N-methylation of Nodulation factor |
| NGR_a02400 | nodU | 12 | 7.23 | 0.57 | 5.71 | 1.27 | nodulation protein NodU involved in C-6 carbamoylation of Nodulation factor |
| NGR_a02380 | y4nD | 13 | 6.56 | 1.01 | 8.10 | 0.81 | putative transposase number 2 of insertion sequence NGRIS-5b |
| NGR_a01210 | y4vC | 14 | 30.87 | 1.10 | 52.60 | 0.59 | conserved hypothetical 11.0 kDa protein possibly involved in assembly of iron-sulfur cluster |
| NGR_a01220 | fixA | 14 | 3.90 | 0.89 | 7.50 | 0.52 | nitrogen fixation protein FixA electron transfer flavoprotein beta chain |
| NGR_a01230 | fixB | 14 | 2.93 | 0.84 | 5.94 | 0.49 | nitrogen fixation protein FixB electron transfer flavoprotein alpha chain |
| NGR_a01240 | fixC | 14 | 2.96 | 0.81 | 6.02 | 0.49 | nitrogen fixation protein FixC flavoprotein-ubiquinone oxidoreductase |
| NGR_a01250 | fixX | 14 | 1.42 | 0.78 | 2.54 | 0.56 | nitrogen fixation ferredoxin-like protein FixX |
| NGR_a00990 | y4wE | 15 | 5.08 | 0.91 | 11.97 | 0.42 | conserved monooxygenase oxidoreductas of 37.7 kDa protein involved in flavonoid-dependent IAA synthesis |
| NGR_a01000 | y4wF | 15 | 15.47 | 0.91 | 30.85 | 0.50 | conserved histidinol-phosphate aminotransferase-like protein involved in flavonoid-dependent IAA synthesis |
| NGR_a00970 | y4wH | 16 | 63.29 | 1.13 | 80.03 | 0.79 | conserved hypothetical 15.6 kDa protein |
| NGR_a00920 | y4wM | 17 | 65.17 | 1.16 | 91.03 | 0.72 | conserved periplasmic solute-binding protein of ABC-transporter |
| NGR_a00800 | ttsI | 18 | 46.99 | 1.07 | 61.58 | 0.76 | transcription regulator of late flavonoid-inducible functions TtsI |
| NGR_a00790 | rhcC2 | 18 | 25.24 | 0.89 | 35.68 | 0.71 | outermembrane protein RhcC2 component of type III secretion apparatus |
| NGR_a00780 | y4xK | 18 | 19.69 | 0.81 | 29.76 | 0.66 | conserved putative lipoprotein of 20.5 kDa |
| NGR_a00470 | syrM2 | 19 | 16.43 | 1.04 | 21.64 | 0.76 | LysR-type transcription regulator SyrM2 involved in flavonoid dependent regulation |
| Locus-Tag | Annotation | TB a | Ap Induction b | Ca Induction b | Ap + Ca Induction b | Ap/Ap + Ca | Description |
|---|---|---|---|---|---|---|---|
| not present | 1 | ||||||
| not present | 2 | ||||||
| NGR_a03640 | nopM | 3 | 9.48 | 0.79 | 9.35 | 1.01 | nodulation outer protein NopM probable type III effector |
| not present | 4 | ||||||
| not present | 5 | ||||||
| NGR_a00700 | nopX | 8 | 86.00 | 1.06 | 88.52 | 0.97 | nodulation outer protein NopX probable subunit of type III translocon; |
| NGR_a00710 | y4yB | 8 | 83.49 | 1.10 | 87.98 | 0.95 | conserved hypothetical 17.1 kDa protein second copy encoded by pNGR234b |
| NGR_a00720 | y4yA | 8 | 52.60 | 1.13 | 60.25 | 0.87 | conserved uncharacterized 49.9 kDa enzyme second copy encoded by pNGR234b |
| NGR_a00730 | y4xP | 8 | 54.11 | 1.02 | 63.29 | 0.85 | conserved putative cysteine synthase second copy encoded by pNGR234b |
| NGR_a00740 | y4xO | 8 | 55.91 | 1.01 | 66.23 | 0.84 | conserved putative oxidoreductase second copy encoded by pNGR234b |
| NGR_a00750 | y4xN | 8 | 55.50 | 1.17 | 62.95 | 0.88 | conserved putative siderophore biosynthesis protein second copy encoded by pNGR234b |
| NGR_a00760 | y4xM | 8 | 53.93 | 1.27 | 57.31 | 0.94 | conserved uncharacterized MFS-type transporter second copy encoded by pNGR234b |
| NGR_a00770 | nopL | 9 | 69.17 | 1.41 | 66.51 | 1.04 | nodulation outer protein NopL probable type III effector |
| NGR_a00680 | nopB | 10 | 140.47 | 1.39 | 133.77 | 1.05 | nodulation outer protein NopB precursor of type III secretion pilus subunit |
| NGR_a00670 | rhcJ | 10 | 167.54 | 1.44 | 151.03 | 1.11 | outermembrane protein RhcJ component of type III secretion apparatus |
| NGR_a00660 | nolU | 10 | 167.96 | 1.22 | 135.87 | 1.24 | nodulation protein NolU possibly linked to type III secretion |
| NGR_a00650 | rhcL | 10 | 135.83 | 1.00 | 117.20 | 1.16 | nodulation protein RhcL putative regulator of RhcN activity in type III secretion |
| NGR_a00640 | rhcN | 10 | 110.11 | 0.99 | 100.64 | 1.09 | ATPase RhcN for type III secretion |
| NGR_a00630 | y4yJ | 10 | 67.66 | 1.00 | 61.69 | 1.10 | conserved hypothetical 20.4 kDa protein possibly linked to type III secretion |
| NGR_a00620 | rhcQ | 10 | 60.21 | 1.04 | 59.86 | 1.01 | component RhcQ of type III secretion apparatus |
| NGR_a00610 | rhcR | 10 | 49.42 | 1.12 | 58.60 | 0.84 | innermembrane protein RhcR component of type III secretion apparatus |
| NGR_a00600 | rhcS | 10 | 44.43 | 1.32 | 54.23 | 0.82 | innermembrane protein RhcS component of type III secretion apparatus |
| NGR_a00590 | rhcT | 10 | 29.69 | 1.14 | 34.79 | 0.85 | innermembrane protein RhcT component of type III secretion apparatus |
| NGR_a00580 | rhcU | 10 | 4.63 | 0.76 | 4.48 | 1.03 | innermembrane protein RhcU component of type III secretion apparatus |
| NGR_a00570 | nopP | 11 | 80.67 | 1.29 | 76.14 | 1.06 | nodulation outer protein NopP probable type III effector |
| NGR_a00560 | nopC | 12 | 12.05 | 1.05 | 11.66 | 1.03 | nodulation outer protein NopC linked to type III secretion pilus |
| NGR_a00550 | nopA | 12 | 14.07 | 1.03 | 14.14 | 0.99 | nodulation outer protein NopA precursor of type III secretion pilus subunit |
| NGR_a00540 | y4yQ | 12 | 14.17 | 1.00 | 14.60 | 0.97 | conserved hypothetical 31.2 kDa membrane protein possibly linked to type III secretion |
| NGR_a00530 | rhcV | 12 | 26.89 | 0.94 | 34.03 | 0.79 | Inner membrane protein RhcV component of type III secretion apparatus |
| NGR_a00520 | y4yS | 12 | 19.06 | 0.94 | 25.73 | 0.74 | conserved hypothetical 20.1 kDa TPR repeat-containing protein possibly linked to type III secretion |
| NGR_a00490 | nopT | 13 | 22.72 | 0.96 | 20.07 | 1.13 | nodulation outer protein NopT probable type III effector |
| NGR_a00480 | y4zD | 13 | 4.88 | 0.99 | 4.35 | 1.12 | hypothetical 5.5 kDa protein |
| Gene_Name | FoldChange | Description |
|---|---|---|
| Amino acid metabolism | ||
| aatA1 | 3.360571931 | Aspartate aminotransferase B |
| NGR_b03050 | 3.21494603 | putative acetolactate synthase II large subunit |
| NGR_b03060 | 3.235062489 | putative FAD dependent oxidoreductase |
| NGR_b03070 | 3.349198302 | dTDP-glucose 4,6-dehydratase |
| NGR_b03090 | 3.186166763 | N-methylhydantoinase B |
| NGR_b22770 | 3.239904207 | predicted monocarboxylic acid permease |
| NGR_c00380 | 0.324639305 | putative peptidase M22 glycoprotease |
| NGR_c00390 | 0.316690296 | predicted ribosomal-protein-alanine N-acetyltransferase |
| NGR_c25920 | 4.635364648 | homoisocitrate dehydrogenase |
| NGR_c26220 | 3.660494863 | Serine—glyoxylate aminotransferase |
| NGR_c26230 | 5.687498036 | putative citrate lyase |
| putA2 | 6.255907925 | bifunctional PutA protein |
| Energy production and conversion | ||
| cycH | 0.2836311 | cytochrome c-type biogenesis protein CycH |
| cycK | 0.260344537 | cytochrome c-type biogenesis protein |
| cycL | 0.228701936 | cytochrome c-type biogenesis protein CycL precursor |
| NGR_c07800 | 0.205481298 | putative cytochrome c-type biogenesis protein |
| Sugar metabolism and trasport | ||
| dctP | 5.291970719 | TRAP dicarboxylate transporter-DctP subunit |
| dctQ | 3.03588033 | tripartite ATP-independent periplasmictransporter DctQ component |
| NGR_b22590 | 3.349646746 | putative C4-dicarboxylate transport system permease protein |
| NGR_c14470 | 0.241135103 | putative malonate transporter |
| NGR_c14480 | 0.264455112 | 2-octaprenyl-6-methoxyphenol hydroxylase |
| NGR_c16750 | 3.270277309 | putative ATP-binding component of ABC transporter |
| NGR_c17820 | 3.479463771 | putative transmembrane component of ABC transporter |
| NGR_c17830 | 5.767996243 | probable sugar ABC transporter substrate-binding protein |
| NGR_c30950 | 4.271123502 | putative ATP-binding protein of sugar ABC transporter |
| NGR_c30960 | 3.952674083 | putative ATP-binding protein of sugar ABC transporter |
| NGR_c30970 | 4.03463148 | putative permease component of ABC transporter |
| NGR_c30980 | 3.840488791 | putative permease component of ABC transporter |
| NGR_c30990 | 3.026543595 | putative transmembrane protein |
| thuE | 3.61249158 | ABC transporter sugar-binding protein |
| Energy production and conversion/Protein turnover, chaperones | ||
| glpD2 | 5.238406536 | glycerol-3-phosphate dehydrogenase |
| glpR | 4.505200318 | glycerol-3-phosphate transcriptional regulator protein DeoR family |
| NGR_c01900 | 0.079540905 | cytochrome bd ubiquinol oxidase subunit II |
| NGR_c01910 | 0.088986153 | cytochrome bd ubiquinol oxidase subunit I |
| senC | 0.328098885 | putative electron transport protein |
| Cell wall/membrane/envelope biogenesis] | ||
| NGR_b22790 | 4.580477143 | Protein erfK/srfK precursor (Lipoprotein-anchoring transpeptidase ErfK/SrfK) |
| NGR_a02570 | 0.254946475 | conserved putative outer membrane protein of 24.6 kDa (OmpW) |
| Periplasmic proteins | ||
| NGR_b05040 | 3.301240631 | putative periplasmic protein |
| NGR_b00380 | 0.297100625 | putative periplasmic protein |
| Metal ion binding | ||
| NGR_b05000 | 3.064244497 | conserved hypothetical protein (HupE/ureJ) nickel binding |
| NGR_b01360 | 3.084046646 | hypothetical protein |
| Transmembrane proteins | ||
| NGR_c19900 | 0.319606552 | putative transmembrane protein |
| NGR_b22780 | 17.58100064 | putative transmembrane protein |
| NFs production | ||
| nodA | 0.220941954 | N-acyltransferase nodulation protein NodA involved in Nodulation factor synthesis |
| nodB | 0.226676991 | chitooligosaccharide deacetylase nodulation protein NodB involved in Nodulation factor synthesis |
| nodC | 0.276039723 | N-acetylglucosaminyltransferase nodulation protein NodC involved in Nodulation factor synthesis |
| Hypothetical proteins | ||
| NGR_b03420 | 3.717502659 | hypothetical protein |
| NGR_b04970 | 3.22988419 | conserved hypothetical protein |
| NGR_b04980 | 3.561955755 | conserved hypothetical protein |
| NGR_b09710 | 3.202250736 | hypothetical protein |
| NGR_c03830 | 4.686157099 | hypothetical protein |
| NGR_c03900 | 0.265386827 | hypothetical protein |
| NGR_c17840 | 4.790515014 | hypothetical protein |
| NGR_c20330 | 4.411039572 | hypothetical protein |
| NGR_c24510 | 0.322154807 | conserved hypothetical protein |
| NGR_c31210 | 0.106635366 | hypothetical protein |
| Other functions | ||
| NGR_a01890 | 0.252290146 | putative transposase of undefined mobile element |
| NGR_b05010 | 3.132126719 | conserved hypothetical protein (rotamase, protein folding) |
| NGR_b12570 | 0.302431844 | catalase-peroxidase protein |
| NGR_b18120 | 3.402340713 | putative cytoplasmic protein |
| NGR_b18630 | 3.194922855 | alpha proteo sRNA |
| NGR_b22420 | 0.221690152 | putative transposase number 3 for disrupted insertion sequence NGRIS-6a |
| NGR_c05880 | 0.284555583 | putative transposase number 3 for insertion sequence NGRIS-11a |
| NGR_c24500 | 0.300159215 | putative globin family protein |
| NGR_c25410 | 0.286628458 | aldehyde dehydrogenase |
Disclaimer/Publisher’s Note: The statements, opinions and data contained in all publications are solely those of the individual author(s) and contributor(s) and not of MDPI and/or the editor(s). MDPI and/or the editor(s) disclaim responsibility for any injury to people or property resulting from any ideas, methods, instructions or products referred to in the content. |
© 2024 by the authors. Licensee MDPI, Basel, Switzerland. This article is an open access article distributed under the terms and conditions of the Creative Commons Attribution (CC BY) license (https://creativecommons.org/licenses/by/4.0/).
Share and Cite
Kim, W.; Acosta-Jurado, S.; Kim, S.; Krishnan, H.B. Calcium Induces the Cleavage of NopA and Regulates the Expression of Nodulation Genes and Secretion of T3SS Effectors in Sinorhizobium fredii NGR234. Int. J. Mol. Sci. 2024, 25, 3443. https://doi.org/10.3390/ijms25063443
Kim W, Acosta-Jurado S, Kim S, Krishnan HB. Calcium Induces the Cleavage of NopA and Regulates the Expression of Nodulation Genes and Secretion of T3SS Effectors in Sinorhizobium fredii NGR234. International Journal of Molecular Sciences. 2024; 25(6):3443. https://doi.org/10.3390/ijms25063443
Chicago/Turabian StyleKim, Wonseok, Sebastián Acosta-Jurado, Sunhyung Kim, and Hari B. Krishnan. 2024. "Calcium Induces the Cleavage of NopA and Regulates the Expression of Nodulation Genes and Secretion of T3SS Effectors in Sinorhizobium fredii NGR234" International Journal of Molecular Sciences 25, no. 6: 3443. https://doi.org/10.3390/ijms25063443
APA StyleKim, W., Acosta-Jurado, S., Kim, S., & Krishnan, H. B. (2024). Calcium Induces the Cleavage of NopA and Regulates the Expression of Nodulation Genes and Secretion of T3SS Effectors in Sinorhizobium fredii NGR234. International Journal of Molecular Sciences, 25(6), 3443. https://doi.org/10.3390/ijms25063443

