Expression of E-Cadherin and N-Cadherin in the Endocervix as a Predictive Factor in Patients with Endometrial Cancer
Abstract
1. Introduction
2. Results
2.1. Patients’ Characteristics
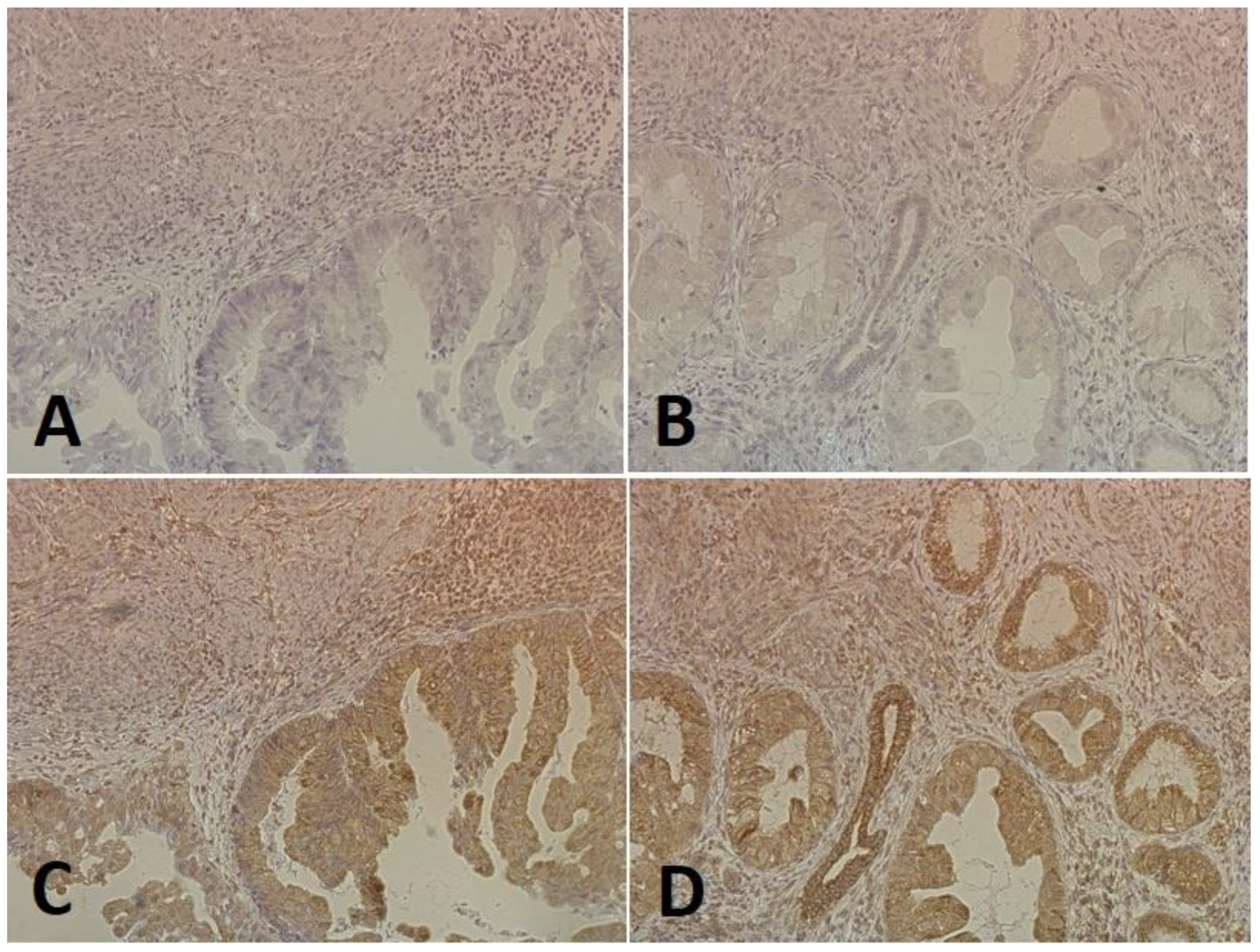
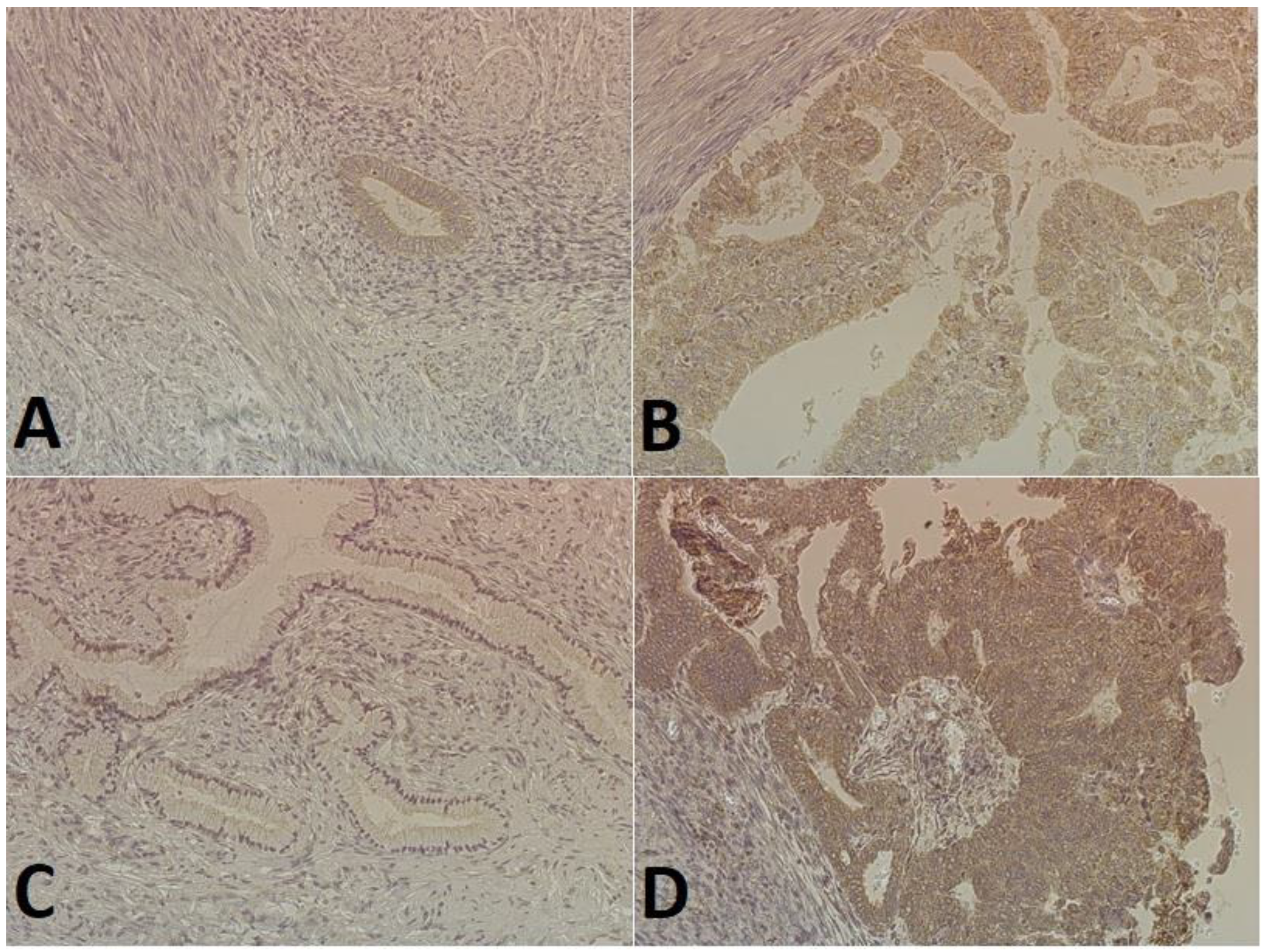
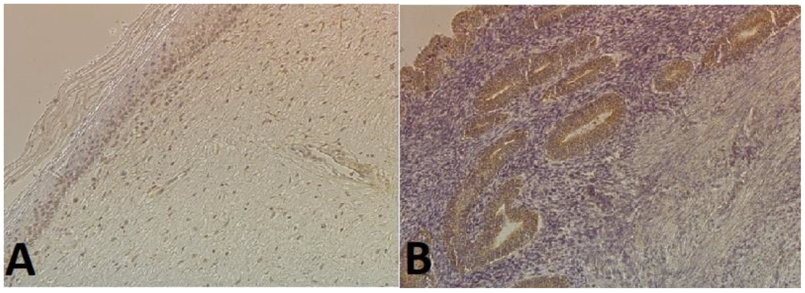
2.2. Immunohistochemical Expression of E-Cadherin and N-Cadherin
2.3. E-Cadherin and N-Cadherin Expression Depending on the Tumor Grade
2.4. E-Cadherin and N-Cadherin Expression Depending on the Tissue Location
2.5. E-Cadherin and N-Cadherin Expression Depending on the Type of Endometrial Cancer
2.6. The Relationship between E-Cadherin and N-Cadherin Expression
3. Discussion
4. Materials and Methods
4.1. Study Design and Tissue Samples
4.2. Immunohistochemistry of E-Cadherin and N-Cadherin
4.3. Evaluation of Immunoreactivity
4.4. Statistical Analysis
5. Conclusions
Author Contributions
Funding
Institutional Review Board Statement
Informed Consent Statement
Data Availability Statement
Conflicts of Interest
References
- Hutt, S.; Tailor, A.; Ellis, P.; Michael, A.; Butler-Manuel, S.; Chatterjee, J. The role of biomarkers in endometrial cancer and hyperplasia: A literature review. Acta Oncol. 2019, 58, 342–352. [Google Scholar] [CrossRef] [PubMed]
- Oaknin, A.; Bosse, T.J.; Creutzberg, C.L.; Giornelli, G.; Harter, P.; Joly, F.; Lorusso, D.; Marth, C.; Makker, V.; Mirza, M.R.; et al. Endometrial cancer: ESMO Clinical Practice Guideline for diagnosis, treatment and follow-up. Ann. Oncol. 2022, 33, 860–877. [Google Scholar] [CrossRef] [PubMed]
- Religioni, U. Cancer incidence and mortality in Poland. Clin. Epidemiol. Glob. Health 2020, 8, 329–334. [Google Scholar] [CrossRef]
- Raglan, O.; Kalliala, I.; Markozannes, G.; Cividini, S.; Gunter, M.J.; Nautiyal, J.; Gabra, H.; Paraskevaidis, E.; Martin-Hirsch, P.; Tsilidis, K.K.; et al. Risk factors for endometrial cancer: An umbrella review of the literature. Int. J. Cancer 2019, 145, 1719–1730. [Google Scholar] [CrossRef] [PubMed]
- Wilczyński, M.; Danielska, J.; Wilczyński, J. An update of the classical Bokhman’s dualistic model of endometrial cancer. Prz. Menopauzalny 2016, 15, 63–68. [Google Scholar] [CrossRef]
- Falcone, F.; Balbi, G.; Di Martino, L.; Grauso, F.; Salzillo, M.E.; Messalli, E.M. Surgical management of early endometrial cancer: An update and proposal of a therapeutic algorithm. Med. Sci. Monit. 2014, 20, 1298–1313. [Google Scholar] [CrossRef]
- Colombo, N.; Creutzberg, C.; Amant, F.; Bosse, T.; González-Martín, A.; Ledermann, J.; Marth, C.; Nout, R.; Querleu, D.; Mirza, M.R.; et al. ESMO-ESGO-ESTRO consensus conference on endometrial cancer: Diagnosis, treatment and follow-up. Radiother. Oncol. 2015, 117, 559–581. [Google Scholar] [CrossRef]
- Bokhman, J.V. Two pathogenetic types of endometrial carcinoma. Gynecol. Oncol. 1983, 15, 10–17. [Google Scholar] [CrossRef]
- Njoku, K.; Barr, C.E.; Crosbie, E.J. Current and Emerging Prognostic Biomarkers in Endometrial Cancer. Front. Oncol. 2022, 12, 890908. [Google Scholar] [CrossRef]
- Bilyk, O.; Coatham, M.; Jewer, M.; Postovit, L.M. Epithelial-to-Mesenchymal Transition in the Female Reproductive Tract: From Normal Functioning to Disease Pathology. Front. Oncol. 2017, 7, 145. [Google Scholar] [CrossRef] [PubMed]
- Rubeša-Mihaljević, R.; Babarović, E.; Vrdoljak-Mozetič, D.; Štemberger-Papić, S.; Klarić, M.; Krašević, M.; Jonjić, N. The Immunohistochemical Pattern of Epithelial-Mesenchymal Transition Markers In Endometrial Carcinoma. Appl. Immunohistochem. Mol. Morphol. 2020, 28, 339–346. [Google Scholar] [CrossRef]
- Bakir, B.; Chiarella, A.M.; Pitarresi, J.R.; Rustgi, A.K. EMT, MET, Plasticity, and Tumor Metastasis. Trends Cell Biol. 2020, 30, 764–776. [Google Scholar] [CrossRef] [PubMed]
- Shih, H.C.; Shiozawa, T.; Miyamoto, T.; Kashima, H.; Feng, Y.Z.; Kurai, M.; Konishi, I. Immunohistochemical expression of E-cadherin and beta-catenin in the normal and malignant human endometrium: An inverse correlation between E-cadherin and nuclear beta-catenin expression. Anticancer Res. 2004, 24, 3843–3850. [Google Scholar] [PubMed]
- Singh, M.; Darcy, K.M.; Brady, W.E.; Clubwala, R.; Weber, Z.; Rittenbach, J.V.; Akalin, A.; Whitney, C.W.; Zaino, R.; Ramirez, N.C.; et al. Cadherins, catenins and cell cycle regulators: Impact on survival in a Gynecologic Oncology Group phase II endometrial cancer trial. Gynecol. Oncol. 2011, 123, 320–328. [Google Scholar] [CrossRef]
- Cao, Z.Q.; Wang, Z.; Leng, P. Aberrant N-cadherin expression in cancer. Biomed. Pharmacother. 2019, 118, 109320. [Google Scholar] [CrossRef]
- Xie, X.; Zheng, X.; Wang, J.; Chen, L. Clinical significance of Twist, E-cadherin, and N-cadherin protein expression in endometrioid adenocarcinoma. J. Cancer Res. Ther. 2017, 13, 817–822. [Google Scholar] [CrossRef] [PubMed]
- Calis, P.; Yuce, K.; Basaran, D.; Salman, C. Assessment of Cervicovaginal Cancer Antigen 125 Levels: A Preliminary Study for Endometrial Cancer Screening. Gynecol. Obstet. Investig. 2016, 81, 518–522. [Google Scholar] [CrossRef] [PubMed]
- Costas, L.; Palomero, L.; Benavente, Y.; Guardiola, M.; Frias-Gomez, J.; Pavón, M.; Climent, M.; Martinez, J.M.; Barahona, M.; Salinas, M.; et al. Defining a mutational signature for endometrial cancer screening and early detection. Cancer Epidemiol. 2019, 61, 129–132. [Google Scholar] [CrossRef] [PubMed]
- Yalta, T.; Atay, L.; Atalay, F.; Caydere, M.; Gonultas, M.; Ustun, H. E-cadherin expression in endometrial malignancies: Comparison between endometrioid and non-endometrioid carcinomas. J. Int. Med. Res. 2009, 37, 163–168. [Google Scholar] [CrossRef]
- González-Rodilla, I.; Aller, L.; Llorca, J.; Muñoz, A.B.; Verna, V.; Estévez, J.; Schneider, J. The E-Cadherin expression vs. tumor cell proliferation paradox in endometrial cancer. Anticancer Res. 2013, 33, 5091–5095. [Google Scholar]
- Abal, M.; Llauradó, M.; Doll, A.; Monge, M.; Colas, E.; González, M.; Rigau, M.; Alazzouzi, H.; Demajo, S.; Castellví, J.; et al. Molecular determinants of invasion in endometrial cancer. Clin. Transl. Oncol. 2007, 9, 272–277. [Google Scholar] [CrossRef]
- Lewczuk, Ł.; Pryczynicz, A.; Guzińska-Ustymowicz, K. Expression level of E-, N- and P-cadherin proteins in endometrial cancer. Oncol. Lett. 2021, 21, 261. [Google Scholar] [CrossRef]
- Makker, A.; Goel, M.M. Tumor progression, metastasis, and modulators of epithelial-mesenchymal transition in endometrioid endometrial carcinoma: An update. Endocr. Relat. Cancer 2016, 23, R85–R111. [Google Scholar] [CrossRef] [PubMed]
- Tanaka, Y.; Terai, Y.; Kawaguchi, H.; Fujiwara, S.; Yoo, S.; Tsunetoh, S.; Takai, M.; Kanemura, M.; Tanabe, A.; Ohmichi, M. Prognostic impact of EMT (epithelial-mesenchymal-transition)-related protein expression in endometrial cancer. Cancer Biol. Ther. 2013, 14, 13–19. [Google Scholar] [CrossRef] [PubMed]
- Hazan, R.B.; Qiao, R.; Keren, R.; Badano, I.; Suyama, K. Cadherin switch in tumor progression. Ann. N. Y. Acad. Sci. 2004, 1014, 155–163. [Google Scholar] [CrossRef] [PubMed]
- Klymenko, Y.; Kim, O.; Loughran, E.; Yang, J.; Lombard, R.; Alber, M.; Stack, M.S. Cadherin composition and multicellular aggregate invasion in organotypic models of epithelial ovarian cancer intraperitoneal metastasis. Oncogene 2017, 36, 5840–5851. [Google Scholar] [CrossRef] [PubMed]
- Nakashima, T.; Huang, C.; Liu, D.; Kameyama, K.; Masuya, D.; Kobayashi, S.; Kinoshita, M.; Yokomise, H. Neural-cadherin expression associated with angiogenesis in non-small-cell lung cancer patients. Br. J. Cancer 2003, 88, 1727–1733. [Google Scholar] [CrossRef]
- Yadav, S.; Makkar, A.; Agarwal, P.; Singh, U.; Singh, U.S.; Goel, M.M. Immunohistochemical expression of E-cadherin and N-cadherin in endometrioid endometrial carcinoma and its precursor lesions. Clin. Epidemiol. Glob. Health 2023, 21, 101296. [Google Scholar] [CrossRef]
- Shaco-Levy, R.; Sharabi, S.; Piura, B.; Sion-Vardy, N. MMP-2, TIMP-1, E-cadherin, and beta-catenin expression in endometrial serous carcinoma compared with low-grade endometrial endometrioid carcinoma and proliferative endometrium. Acta Obstet. Gynecol. Scand. 2008, 87, 868–874. [Google Scholar] [CrossRef] [PubMed]
- Lizawati, R.H.; Nur Maya Sabrina, T.L.; Fakhri, M.; Nordashima, A.S.; Azmawati, M.N. Correlation of E-cadherin Expression in Endometrial Carcinoma with Tumour Grade and Stage. IIUM Med. J. Malays. 2021, 20, 27–33. [Google Scholar]
- Mell, L.K.; Meyer, J.J.; Tretiakova, M.; Khramtsov, A.; Gong, C.; Yamada, S.D.; Montag, A.G.; Mundt, A.J. Prognostic significance of E-cadherin protein expression in pathological stage I-III endometrial cancer. Clin. Cancer Res. 2004, 10, 5546–5553. [Google Scholar] [CrossRef] [PubMed]
- Youssef, M.Y.; Mohamed, M.A. Could E-Cadherin and CD10 Expression be Used to Differentiate Between Atypical Endometrial Hyperplasia and Endometrial Carcinoma? Int. J. Gynecol. Pathol. 2019, 38, 128–137. [Google Scholar] [CrossRef] [PubMed]
- Schlosshauer, P.W.; Ellenson, L.H.; Soslow, R.A. β-Catenin and E-Cadherin Expression Patterns in High-Grade Endometrial Carcinoma Are Associated with Histological Subtype. Mod. Pathol. 2002, 15, 1032–1037. [Google Scholar] [CrossRef] [PubMed]
- Roelofsen, T.; Geels, Y.P.; Pijnenborg, J.M.; van Ham, M.A.; Zomer, S.F.; van Tilburg, J.M.; Snijders, M.P.; Siebers, A.G.; Bulten, J.; Massuger, L.F. Cervical cytology in serous and endometrioid endometrial cancer. Int. J. Gynecol. Pathol. 2013, 32, 390–398. [Google Scholar] [CrossRef] [PubMed]
- Thrall, M.; Kjeldahl, K.; Gulbahce, H.E.; Pambuccian, S.E. Liquid-based Papanicolaou test (SurePath) interpretations before histologic diagnosis of endometrial hyperplasias and carcinomas: Study of 272 cases classified by the 2001 Bethesda system. Cancer 2007, 111, 217–223. [Google Scholar] [CrossRef]
- Ma, X.; Ge, A.; Han, J.; Kang, J.; Zhang, Y.; Liu, X.; Xing, L.; Liu, X.; Dong, L. Meta-analysis of downregulated E-cadherin as a diagnostic biomarker for cervical cancer. Arch. Gynecol. Obstet. 2023, 307, 331–341. [Google Scholar] [CrossRef]
- Li, B.; Shi, H.; Wang, F.; Hong, D.; Lv, W.; Xie, X.; Cheng, X. Expression of E-, P- and N-Cadherin and Its Clinical Significance in Cervical Squamous Cell Carcinoma and Precancerous Lesions. PLoS ONE 2016, 11, e0155910. [Google Scholar] [CrossRef]
- Singhai, R.; Patil, V.W.; Jaiswal, S.R.; Patil, S.D.; Tayade, M.B.; Patil, A.V. E-Cadherin as a diagnostic biomarker in breast cancer. N. Am. J. Med. Sci. 2011, 3, 227–233. [Google Scholar] [CrossRef]
- Horne, H.N.; Oh, H.; Sherman, M.E.; Palakal, M.; Hewitt, S.M.; Schmidt, M.K.; Milne, R.L.; Hardisson, D.; Benitez, J.; Blomqvist, C.; et al. E-cadherin breast tumor expression, risk factors and survival: Pooled analysis of 5,933 cases from 12 studies in the Breast Cancer Association Consortium. Sci. Rep. 2018, 8, 6574. [Google Scholar] [CrossRef] [PubMed]
- Yang, L.; Wang, X.W.; Zhu, L.P.; Wang, H.L.; Wang, B.; Zhao, Q.; Wang, X.Y. Significance and prognosis of epithelial-cadherin expression in invasive breast carcinoma. Oncol. Lett. 2018, 16, 1659–1665. [Google Scholar] [CrossRef] [PubMed]
- Devereaux, K.A.; Weiel, J.J.; Pors, J.; Steiner, D.F.; Ho, C.; Charu, V.; Suarez, C.J.; Renz, M.; Diver, E.; Karam, A.; et al. Prospective molecular classification of endometrial carcinomas: Institutional implementation, practice, and clinical experience. Mod. Pathol. 2022, 35, 688–696. [Google Scholar] [CrossRef]
- Kandoth, C.; Schultz, N.; Cherniack, A.D.; Akbani, R.; Liu, Y.; Shen, H.; Robertson, A.G.; Pashtan, I.; Shen, R.; Benz, C.C.; et al. Integrated genomic characterization of endometrial carcinoma. Nature 2013, 497, 67–73. [Google Scholar] [CrossRef]
- Bidzinski, M.; Danska-Bidzinska, A.; Rychlik, A.; Kypryjanczyk, J.; Pyzlak, M.; Piatek, S. Molecular classification of endometrial carcinoma, is it the new era of precision medicine? Ginekol. Pol. 2022, 93, 163–167. [Google Scholar] [CrossRef]
- Chiu, H.C.; Li, C.J.; Yiang, G.T.; Tsai, A.P.; Wu, M.Y. Epithelial to Mesenchymal Transition and Cell Biology of Molecular Regulation in Endometrial Carcinogenesis. J. Clin. Med. 2019, 8, 439. [Google Scholar] [CrossRef]
- Ruan, T.; Wan, J.; Song, Q.; Chen, P.; Li, X. Identification of a Novel Epithelial-Mesenchymal Transition-Related Gene Signature for Endometrial Carcinoma Prognosis. Genes 2022, 13, 216. [Google Scholar] [CrossRef]
- Semenov, O.; Daks, A.; Fedorova, O.; Shuvalov, O.; Barlev, N.A. Opposing Roles of Wild-type and Mutant p53 in the Process of Epithelial to Mesenchymal Transition. Front. Mol. Biosci. 2022, 9, 928399. [Google Scholar] [CrossRef] [PubMed]
- Dong, P.; Karaayvaz, M.; Jia, N.; Kaneuchi, M.; Hamada, J.; Watari, H.; Sudo, S.; Ju, J.; Sakuragi, N. Mutant p53 gain-of-function induces epithelial-mesenchymal transition through modulation of the miR-130b-ZEB1 axis. Oncogene 2013, 32, 3286–3295. [Google Scholar] [CrossRef]
- Dragomirescu, M.; Stepan, A.E.; Mărgăritescu, C.; Simionescu, C.E. The immunoexpression of p53 and Snail in endometrioid endometrial carcinomas. Rom. J. Morphol. Embryol. 2018, 59, 131–137. [Google Scholar] [PubMed]
- FIGO Committee on Gynecologic Oncology. FIGO staging for carcinoma of the vulva, cervix, and corpus uteri. Int. J. Gynaecol. Obstet. 2014, 125, 97–98. [Google Scholar] [CrossRef] [PubMed]



| Parameter | Value |
|---|---|
| Age (years) | 66 ± 9.47 (45–86) |
| BMI (kg/m2) | 30.3 ± 5.25 (19.2–43.9) |
| Menopausal status | |
| Years since menopause | 14 ± 9.69 (0–38) |
| Premenopausal | 8 (7.9) |
| Postmenopausal | 93 (92.1) |
| Number of deliveries | |
| 0 | 11 (10.9) |
| 1 | 19 (18.8) |
| 2 | 40 (39.6) |
| 3 | 20 (19.8) |
| 4 | 6 (5.9) |
| 5 | 3 (2.9) |
| 6 | 1 (1.0) |
| 8 | 1 (1.0) |
| Tumor grade | |
| G1 | 4 (3.9) |
| G2 | 53 (52.5) |
| G3 | 44 (43.6) |
| Clinical stage | |
| IA | 8 (7.9) |
| IB | 8 (7.9) |
| II | 11 (10.8) |
| IIIA | 4 (3.9) |
| IIIB | 3 (2.9) |
| IVB | 4 (3.9) |
| Expression | Intensity of Immunoreaction | E-Cadherin n (%) | N-Cadherin n (%) |
|---|---|---|---|
| Low | No | 4 (3.9) | 2 (1.9) |
| Weak | 40 (39.6) | 13 (12.8) | |
| High | Moderate | 30 (29.7) | 20 (19.8) |
| Strong | 27 (26.7) | 66 (65.3) |
| Tumor Grade | Expression | |||||
|---|---|---|---|---|---|---|
| E-Cadherin | N-Cadherin | |||||
| Low | High | p-Value * | Low | High | p-Value * | |
| G1 (n = 4) | 2 (50) | 2 (50) | 0.04 | 0 (0) | 4 (100) | 0.5 |
| G2 (n = 53) | 30 (57) | 23 (43) | 7 (13) | 46 (87) | ||
| G3 (n = 44) | 12 (27) | 32 (73) | 8 (18) | 36 (82) | ||
| Endometrial Cancer | Expression in the Tumor | Expression in the Endocervix | |||||||||
|---|---|---|---|---|---|---|---|---|---|---|---|
| E-Cadherin | N-Cadherin | ||||||||||
| Low | High | p1 * | p2 * | p3 * | Low | High | p1 * | p2 * | p3 * | ||
| Type I | Low | 28 (55) | 3 (6) | 0.29 | <0.001 | 0.001 | 4 (8) | 4 (8) | 0.59 | 0.19 | 0.29 |
| High | 16 (31) | 4 (8) | 26 (51) | 17 (33) | |||||||
| Type II | Low | 13 (26) | 2 (4) | 0.01 | 11 (22) | 1 (2) | <0.001 | ||||
| High | 13 (26) | 22 (44) | 12 (24) | 26 (52) | |||||||
| Endometrial Cancer | Expression of E-Cadherin | Expression of N-Cadherin | |||||
|---|---|---|---|---|---|---|---|
| Endocervix | Tumor | ||||||
| Low | High | p-Value * | Low | High | p-Value * | ||
| Type I | Low | 27 (53) | 17 (33) | 0.35 | 7 (14) | 24 (47) | 0.09 |
| High | 3 (6) | 4 (8) | 1 (2) | 19 (37) | |||
| Type II | Low | 16 (32) | 10 (20) | 0.02 | 4 (8) | 11 (22) | 0.77 |
| High | 7 (14) | 17 (34) | 8 (16) | 27 (54) | |||
Disclaimer/Publisher’s Note: The statements, opinions and data contained in all publications are solely those of the individual author(s) and contributor(s) and not of MDPI and/or the editor(s). MDPI and/or the editor(s) disclaim responsibility for any injury to people or property resulting from any ideas, methods, instructions or products referred to in the content. |
© 2024 by the authors. Licensee MDPI, Basel, Switzerland. This article is an open access article distributed under the terms and conditions of the Creative Commons Attribution (CC BY) license (https://creativecommons.org/licenses/by/4.0/).
Share and Cite
Frąszczak, K.; Barczyński, B.; Tylus, B.; Bednarek, W. Expression of E-Cadherin and N-Cadherin in the Endocervix as a Predictive Factor in Patients with Endometrial Cancer. Int. J. Mol. Sci. 2024, 25, 3547. https://doi.org/10.3390/ijms25063547
Frąszczak K, Barczyński B, Tylus B, Bednarek W. Expression of E-Cadherin and N-Cadherin in the Endocervix as a Predictive Factor in Patients with Endometrial Cancer. International Journal of Molecular Sciences. 2024; 25(6):3547. https://doi.org/10.3390/ijms25063547
Chicago/Turabian StyleFrąszczak, Karolina, Bartłomiej Barczyński, Bożydar Tylus, and Wiesława Bednarek. 2024. "Expression of E-Cadherin and N-Cadherin in the Endocervix as a Predictive Factor in Patients with Endometrial Cancer" International Journal of Molecular Sciences 25, no. 6: 3547. https://doi.org/10.3390/ijms25063547
APA StyleFrąszczak, K., Barczyński, B., Tylus, B., & Bednarek, W. (2024). Expression of E-Cadherin and N-Cadherin in the Endocervix as a Predictive Factor in Patients with Endometrial Cancer. International Journal of Molecular Sciences, 25(6), 3547. https://doi.org/10.3390/ijms25063547

