Precision-Cut Liver Slices: A Valuable Preclinical Tool for Translational Research in Liver Fibrosis
Abstract
1. Introduction
2. Results
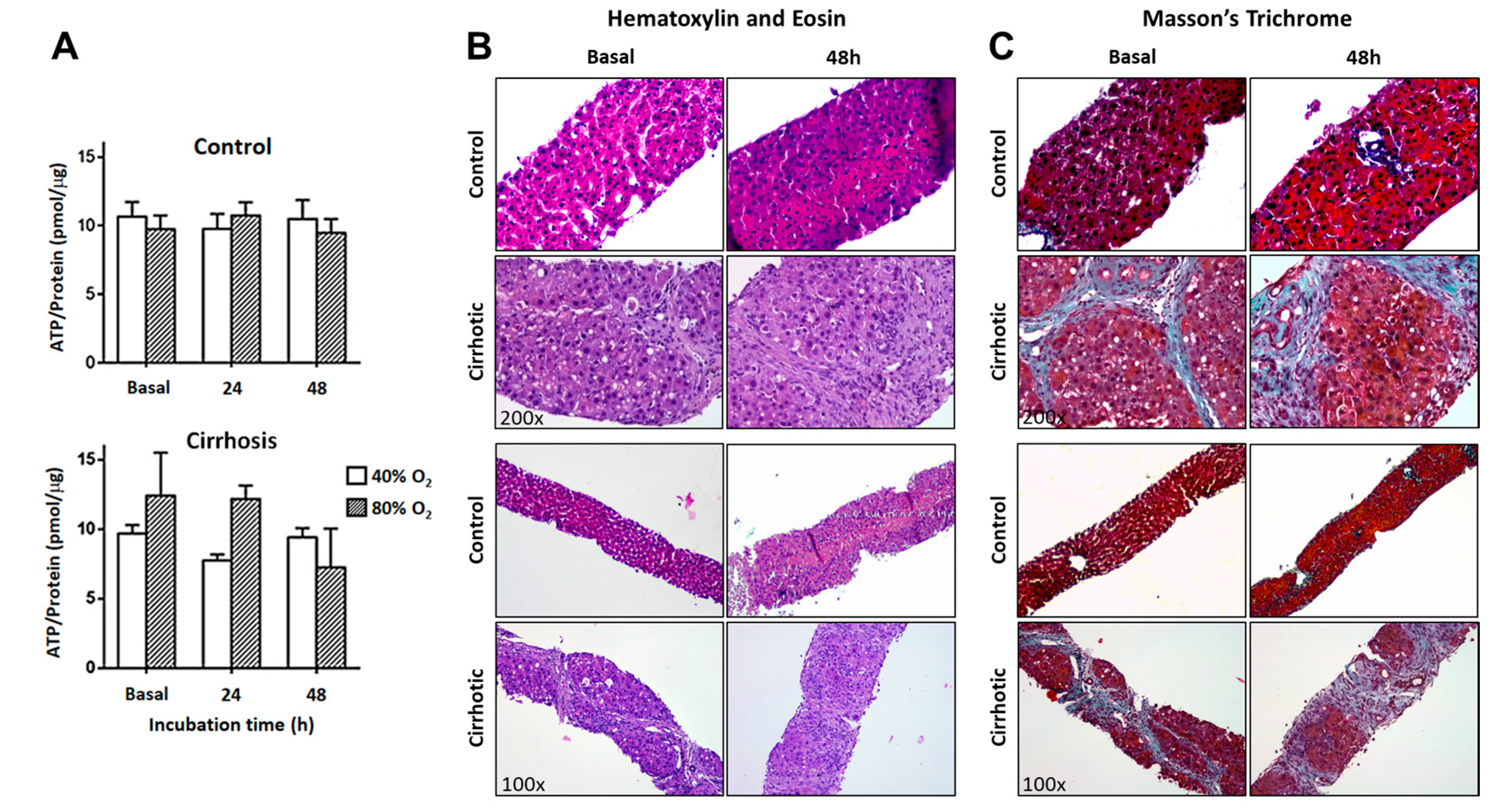
2.1. Hyperoxia, Cell Viability, Tissue Integrity, and mRNA Expression of Inflammatory Mediators in Cirrhotic and Control rPCLS
2.2. Fibrotic rPCLS Maintain Their Pathological Gene Signature and Respond to Lipopolysaccharide (LPS) Exposure
2.3. Time Course mRNA Expression of Genes Involved in ECM Remodeling
2.4. Infection with Adenovirus-Encoding Soluble PDGFRβ Abrogates the PDGFRβ Signaling Pathway in rPCLS
2.5. mRNA Expression of Fibrosis-Related Genes and Tissue Viability of Non-Fibrotic and Fibrotic hPCLS
3. Discussion
4. Materials and Methods
4.1. Induction of Liver Fibrosis in Rats
4.2. Rat Precision-Cut Liver Slices (rPCLS)
4.3. Incubation of the rPCLS
4.4. Human Precision-Cut Liver Slices (hPCLS)
4.5. Incubation of the hPCLS
4.6. Assessment of Viability of rPCLS and hPCLS
4.7. Effect of Hyperoxia on mRNA Expression of Inflammatory Mediators in rPCLS
4.8. Effect of a Dominant-Negative Soluble Platelet-Derived Growth Factor Receptor Beta (sPDGFRβ) on the Abrogation of PDGFRβ Signaling Pathway and the Messenger Expression of Profibrogenic Genes in rPCLS and hPCLS
4.9. Adenoviral Constructs
4.10. Histological Examination
4.11. Hepatic Messenger Expression of Inflammatory, Cell Growth and Differentiation, and ECM Remodeling Genes in Fibrotic Rats
4.12. Other Measurements
4.13. Statistical Analysis
5. Conclusions
Author Contributions
Funding
Institutional Review Board Statement
Informed Consent Statement
Data Availability Statement
Conflicts of Interest
Abbreviations
| ATP | Adenosine triphosphate |
| Ad-sPDGFRβ | Adenoviruses encoding for sPDGFRβ |
| αSMA | α-smooth muscle actin |
| CCl4 | Carbon tetrachloride |
| Col1α2 | Collagen Iα2 |
| Col3α1 | Collagen IIIα1 |
| Cox2 | Cyclooxygenase 2 |
| sPDGFRβ | Dominant-negative soluble platelet-derived growth factor receptor beta |
| ECM | Extracellular matrix |
| HSC | Hepatic stellate cells |
| HEPES | 4-(2-hydroxyethyl) Piperazine-1-ethanesulfonic acid |
| Hprt | Hypoxanthine-guanine phosphoribosyltransferase |
| Nos2 | Inducible Nitric Oxide Synthase |
| IGL-1 | Institut Georges Lopez-1 |
| IL1β | Interleukin 1 beta |
| IL6 | Interleukin 6 |
| LPS | Lipopolysaccharide |
| Mmp2 | Matrix metalloproteinases type 2 |
| Mmp9 | Matrix metalloproteinases type 9 |
| MASLD | Metabolic dysfunction-associated steatotic liver disease |
| PDGF | Platelet-derived growth factor |
| Pdgfrβ | Platelet-derived growth factor receptor β |
| PCLS | Precision-cut liver slices |
| ROS | Reactive oxygen species |
| Timp1 | Tissue inhibitor of matrix metalloproteinases type 1 |
| Timp2 | Tissue inhibitor of matrix metalloproteinases type 2 |
| TGFβ | Transforming growth factor-β |
| Tgfβr1 | Transforming growth factor β receptor 1 |
| TNFα | Tumor necrosis factor alpha |
References
- Pimpin, L.; Cortez-Pinto, H.; Negro, F.; Corbould, E.; Lazarus, J.V.; Webber, L.; Sheron, N.; EASL HEPAHEALTH Steering Committee. Burden of liver disease in Europe: Epidemiology and analysis of risk factors to identify prevention policies. J. Hepatol. 2018, 69, 718–735. [Google Scholar] [CrossRef] [PubMed]
- Krenkel, O.; Puengel, T.; Govaere, O.; Abdallah, A.T.; Mossanen, J.C.; Kohlhepp, M.; Liepelt, A.; Lefebvre, E.; Luedde, T.; Hellerbrand, C.; et al. Therapeutic inhibition of inflammatory monocyte recruitment reduces steatohepatitis and liver fibrosis. Hepatology 2018, 67, 1270–1283. [Google Scholar] [CrossRef]
- Neef, M.; Ledermann, M.; Saegesser, H.; Schneider, V.; Widmer, N.; Decosterd, L.A.; Rochat, B.; Reichen, J. Oral imatinib treatment reduces early fibrogenesis but does not prevent progression in the long term. J. Hepatol. 2006, 44, 167–175. [Google Scholar] [CrossRef]
- Bataller, R.; Sancho-Bru, P.; Ginés, P.; Brenner, D.A. Liver fibrogenesis: A new role for the renin-angiotensin system. Antioxid. Redox Signal. 2005, 7, 1346–1355. [Google Scholar] [CrossRef]
- Teixeira-Clerc, F.; Julien, B.; Grenard, B.; Tran Van Nhieu, J.; Deveaux, V.; Li, L.; Serriere-Lanneau, V.; Ledent, C.; Mallat, A.; Lotersztajn, S. CB1 cannabinoid receptor antagonism: A new strategy for the treatment of liver fibrosis. Nat. Med. 2006, 12, 671–676. [Google Scholar] [CrossRef]
- Harrison, S.A.; Bedossa, P.; Guy, C.D.; Schattenberg, J.M.; Loomba, R.; Taub, R.; Labriola, D.; Moussa, S.E.; Neff, G.W.; Rinella, M.E.; et al. A Phase 3, Randomized, Controlled Trial of Resmetirom in NASH with Liver Fibrosis. N. Engl. J. Med. 2024, 390, 497–509. [Google Scholar] [CrossRef]
- Olinga, P.; Schuppan, D. Precision-cut liver slices: A tool to model the liver ex vivo. J. Hepatol. 2013, 58, 1252–1253. [Google Scholar] [CrossRef] [PubMed]
- Starokozhko, V.; Abza, G.B.; Maessen, H.C.; Merema, M.T.; Kuper, F.; Groothuis, G.M. Viability, function and morphological integrity of precision-cut liver slices during prolonged incubation: Effects of culture medium. Toxicol. In Vitro 2015, 30, 288–299. [Google Scholar] [CrossRef]
- Rastovic, U.; Bozzano, S.F.; Riva, A.; Simoni-Nieves, A.; Harris, N.; Miquel, R.; Lackner, C.; Zen, Y.; Zamalloa, A.; Menon, K.; et al. Human Precision-Cut Liver Slices: A Potential Platform to Study Alcohol-Related Liver Disease. Int. J. Mol. Sci. 2023, 25, 150. [Google Scholar] [CrossRef] [PubMed]
- van de Bovenkamp, M.; Groothuis, G.M.; Meijer, D.K.; Olinga, P. Precision-cut fibrotic rat liver slices as a new model to test the effects of anti-fibrotic drugs in vitro. J. Hepatol. 2006, 45, 696–703. [Google Scholar] [CrossRef]
- de Graaf, I.A.; Olinga, P.; de Jager, M.H.; Merema, M.T.; de Kanter, R.; van de Kerkhof, E.G.; Groothuis, G.M. Preparation and incubation of precision-cut liver and intestinal slices for application in drug metabolism and toxicity studies. Nat. Protoc. 2010, 5, 1540–1551. [Google Scholar] [CrossRef]
- De Kanter, R.; De Jager, M.H.; Draaisma, A.L.; Jurva, J.U.; Olinga, P.; Meijer, D.K.F.; Groothuis, G.M.M. Drug-Metabolizing Activity of Human and Rat Liver, Lung, Kidney and Intestine Slices. Xenobiotica 2002, 32, 349–362. [Google Scholar] [CrossRef]
- Paish, H.L.; Reed, L.H.; Brown, H.; Bryan, M.C.; Govaere, O.; Leslie, J.; Barksby, B.S.; Garcia Macia, M.; Watson, A.; Xu, X.; et al. A Bioreactor Technology for Modeling Fibrosis in Human and Rodent Precision-Cut Liver Slices. Hepatology 2019, 70, 1377–1391. [Google Scholar] [CrossRef]
- Wu, X.; Roberto, J.B.; Knupp, A.; Kenerson, H.L.; Truong, C.D.; Yuen, S.Y.; Brempelis, K.J.; Tuefferd, M.; Chen, A.; Horton, H.; et al. Precision-cut human liver slice cultures as an immunological platform. J. Immunol. Methods 2018, 455, 71–79. [Google Scholar] [CrossRef] [PubMed]
- Szalowska, E.; Stoopen, G.; Rijk, J.C.; Wang, S.; Hendriksen, P.J.; Groot, M.J.; Ossenkoppele, J.; Peijnenburg, A.A. Effect of oxygen concentration and selected protocol factors on viability and gene expression of mouse liver slices. Toxicol. In Vitro 2013, 27, 1513–1524. [Google Scholar] [CrossRef] [PubMed]
- Drobner, C.; Glöckner, R.; Müller, D. Optimal oxygen tension conditions for viability and functioning of precision-cut liver slices. Exp. Toxicol. Pathol. 2000, 52, 335–338. [Google Scholar] [CrossRef] [PubMed]
- Guyot, C.; Combe, C.; Clouzeau-Girard, H.; Moronvalle-Halley, V.; Desmoulière, A. Specific activation of the different fibrogenic cells in rat cultured liver slices mimicking in vivo situations. Virchows Arch. 2007, 450, 503–512. [Google Scholar] [CrossRef]
- Clouzeau-Girard, H.; Guyot, C.; Combe, C.; Moronvalle-Halley, V.; Housset, C.; Lamireau, T.; Rosenbaum, J.; Desmoulière, A. Effects of bile acids on biliary epithelial cell proliferation and portal fibroblast activation using rat liver slices. Lab. Investig. 2006, 86, 275–285. [Google Scholar] [CrossRef]
- Karsten, R.E.H.; Krijnen, N.J.W.; Maho, W.; Permentier, H.; Verpoorte, E.; Olinga, P. Mouse precision-cut liver slices as an ex vivo model to study drug-induced cholestasis. Arch. Toxicol. 2022, 96, 2523–2543. [Google Scholar] [CrossRef] [PubMed]
- Kiyuna, L.A.; Krishnamurthy, K.A.; Homan, E.B.; Langelaar-Makkinje, M.; Gerding, A.; Bos, T.; Oosterhuis, D.; Overduin, R.J.; Schreuder, A.B.; de Meijer, V.E.; et al. Precision-cut liver slices as an ex vivo model to assess impaired hepatic glucose production. Commun. Biol. 2024, 7, 1479. [Google Scholar] [CrossRef]
- Suriguga, S.; Li, M.; Luangmonkong, T.; Boersema, M.; de Jong, K.P.; Oosterhuis, D.; Gorter, A.R.; Beljaars, L.; Olinga, P. Distinct responses between healthy and cirrhotic human livers upon lipopolysaccharide challenge: Possible implications for acute-on-chronic liver failure. Am. J. Physiol. Gastrointest. Liver Physiol. 2022, 323, G114–G125. [Google Scholar] [CrossRef] [PubMed]
- Martin, H.; Sarsat, J.P.; Lerche-Langrand, C.; Housset, C.; Balladur, P.; Toutain, H.; Albaladejo, V. Morphological and biochemical integrity of human liver slices in long-term culture: Effects of oxygen tension. Cell Biol. Toxicol. 2002, 18, 73–85. [Google Scholar] [CrossRef] [PubMed]
- Behmoaras, J.; Mulder, K.; Ginhoux, F.; Petretto, E. The spatial and temporal activation of macrophages during fibrosis. Nat. Rev. Immunol. 2025. [Google Scholar] [CrossRef] [PubMed]
- Trachalaki, A.; Tsitoura, E.; Mastrodimou, S.; Invernizzi, R.; Vasarmidi, E.; Bibaki, E.; Tzanakis, N.; Molyneaux, P.L.; Maher, T.M.; Antoniou, K. Enhanced IL-1β Release Following NLRP3 and AIM2 Inflammasome Stimulation Is Linked to mtROS in Airway Macrophages in Pulmonary Fibrosis. Front. Immunol. 2021, 12, 661811. [Google Scholar] [CrossRef]
- Ahmad, J.; Baig, M.A.; Amna; Alaraidh, I.A.; Alsahli, A.A.; Qureshi, M.I. Parthenium hysterophorus steps up Ca-regulatory pathway in defence against highlight intensities. Sci. Rep. 2020, 10, 8934. [Google Scholar] [CrossRef]
- Sinha, R.; Sinha, I.; Calcagnotto, A.; Trushin, N.; Haley, J.S.; Schell, T.D.; Richie, J.P., Jr. Oral supplementation with liposomal glutathione elevates body stores of glutathione and markers of immune function. Eur. J. Clin. Nutr. 2018, 72, 105–111. [Google Scholar] [CrossRef]
- Friedman, S.L. Liver fibrosis—From bench to bedside. J. Hepatol. 2003, 38 (Suppl. S1), S38–S53. [Google Scholar] [CrossRef]
- Bataller, R.; Brenner, D.A. Liver fibrosis. J. Clin. Investig. 2005, 115, 209–218. [Google Scholar] [CrossRef]
- Tugues, S.; Fernández-Varo, G.; Muñoz-Luque, J.; Ros, J.; Arroyo, V.; Rodés, J.; Friedman, S.L.; Carmeliet, P.; Jiménez, W.; Morales-Ruiz, M. Antiangiogenic treatment with sunitinib ameliorates inflammatory infiltrate, fibrosis, and portal pressure in cirrhotic rats. Hepatology 2007, 46, 1919–1926. [Google Scholar] [CrossRef]
- Crespo, G.; Fernández-Varo, G.; Mariño, Z.; Casals, G.; Miquel, R.; Martínez, S.M.; Gilabert, R.; Forns, X.; Jiménez, W.; Navasa, M. ARFI, FibroScan, ELF, and their combinations in the assessment of liver fibrosis: A prospective study. J. Hepatol. 2012, 57, 281–287. [Google Scholar] [CrossRef]
- Kisseleva, T.; Brenner, D.A. Mechanisms of fibrogenesis. Exp. Biol. Med. 2008, 233, 109–122. [Google Scholar] [CrossRef]
- Perramón, M.; Carvajal, S.; Reichenbach, V.; Fernández-Varo, G.; Boix, L.; Macias-Muñoz, L.; Melgar-Lesmes, P.; Bruix, J.; Melmed, S.; Lamas, S.; et al. The pituitary tumour-transforming gene 1/delta-like homologue 1 pathway plays a key role in liver fibrogenesis. Liver Int. 2022, 42, 651–662. [Google Scholar] [CrossRef] [PubMed]
- Seki, E.; Brenner, D.A. Toll-like receptors and adaptor molecules in liver disease: Update. Hepatology 2008, 48, 322–335. [Google Scholar] [CrossRef] [PubMed]
- Wei, J.; Ghosh, A.K.; Sargent, J.L.; Komura, K.; Wu, M.; Huang, Q.Q.; Jain, M.; Whitfield, M.L.; Feghali-Bostwick, C.; Varga, J. PPARγ downregulation by TGFß in fibroblast and impaired expression and function in systemic sclerosis: A novel mechanism for progressive fibrogenesis. PLoS ONE 2010, 5, e13778. [Google Scholar] [CrossRef] [PubMed]
- Li, W.R.; Zhang, C.; Wang, J. PPARs: Modulating lipotoxicity and thus inhibiting fibrosis. Hormones 2025, 24, 85–97. [Google Scholar] [CrossRef]
- Vickers, A.E.; Saulnier, M.; Cruz, E.; Merema, M.T.; Rose, K.; Bentley, P.; Olinga, P. Organ slice viability extended for pathway characterization: An in vitro model to investigate fibrosis. Toxicol. Sci. 2004, 82, 534–544. [Google Scholar] [CrossRef]
- Reichenbach, V.; Fernández-Varo, G.; Casals, G.; Oró, D.; Ros, J.; Melgar-Lesmes, P.; Weiskirchen, R.; Morales-Ruiz, M.; Jiménez, W. Adenoviral dominant-negative soluble PDGFRβ improves hepatic collagen, systemic hemodynamics, and portal pressure in fibrotic rats. J. Hepatol. 2012, 57, 967–973. [Google Scholar] [CrossRef]
- Westra, I.M.; Mutsaers, H.A.; Luangmonkong, T.; Hadi, M.; Oosterhuis, D.; de Jong, K.P.; Groothuis, G.M.; Olinga, P. Human precision-cut liver slices as a model to test antifibrotic drugs in the early onset of liver fibrosis. Toxicol. In Vitro 2016, 35, 77–85. [Google Scholar] [CrossRef]
- Li, X.; Zhang, Q.; Wang, Z.; Zhuang, Q.; Zhao, M. Immune and Metabolic Alterations in Liver Fibrosis: A Disruption of Oxygen Homeostasis? Front. Mol. Biosci. 2022, 8, 802251. [Google Scholar] [CrossRef]
- Horn, P.; Tacke, F. Metabolic reprogramming in liver fibrosis. Cell Metab. 2024, 36, 1439–1455. [Google Scholar] [CrossRef]
- Recknagel, R.O.; Glende, E.A., Jr.; Dolak, J.A.; Waller, R.L. Mechanisms of carbon tetrachloride toxicity. Pharmacol. Ther. 1989, 43, 139–154. [Google Scholar] [CrossRef] [PubMed]
- Clària, J.; Jimenez, W. Experimental models of Cirrhosis and ascites. In Ascites and Renal Dysfunction in Liver Disease: Pathogenesis, Diagnosis, and Treatment; Ginès, P., Arroyo, V., Rodés, J., Schrier, R., Eds.; Blackwell Science Inc.: Malden, MA, USA, 2005; pp. 215–226. [Google Scholar]
- Borkham-Kamphorst, E.; Herrmann, J.; Stoll, D.; Treptau, J.; Gressner, A.M.; Weiskirchen, R. Dominant-negative soluble PDGF-β receptor inhibits hepatic stellate cell activation and attenuates liver fibrosis. Lab. Investig. 2004, 84, 766–777. [Google Scholar] [CrossRef] [PubMed]
- Fulton, D.; Gratton, J.P.; McCabe, T.J.; Fontana, J.; Fujio, Y.; Walsh, K.; Franke, T.F.; Papapetropoulos, A.; Sessa, W.C. Regulation of endothelium-derived nitric oxide production by the protein kinase Akt. Nature 1999, 399, 597–601. [Google Scholar] [CrossRef]
- Ehrengruber, M.U.; Lanzrein, M.; Xu, Y.; Jasek, M.C.; Kantor, D.B.; Schuman, E.M.; Lester, H.A.; Davidson, N. Recombinant adenovirus-mediated expression in nervous system of genes coding for ion channels and other molecules involved in synaptic function. Methods Enzymol. 1998, 293, 483–503. [Google Scholar] [CrossRef] [PubMed]







| Control | Fibrosis | |
|---|---|---|
| AST (U/L) | 123.2 ± 15.50 | 561.20 ± 96.14 ** |
| ALT (U/L) | 45.12 ± 3.78 | 264.10 ± 77.53 *** |
| GGT (U/LL) | 0 ± 0 | 6.85 ± 2.10 *** |
| LDH (U/L) | 618.1 ± 61.67 | 1286 ± 913.50 * |
| T-Bilirubin (mg/dL) | 0.12 ± 0.02 | 1.27 ± 0.32 * |
| Glucose (mg/dL) | 190.0 ± 16.47 | 125.4 ± 6.76 *** |
| Total proteins (g/L) | 69.24 ± 2.39 | 57.43 ± 1.88 ** |
| Albumin (g/L) | 34.98 ± 2.34 | 28.72 ± 1.36 * |
| Triglycerides (mg/dL) | 134.4 ± 32.42 | 59.56 ± 5.80 ** |
| Total cholesterol (mg/dL) | 78.73 ± 14.49 | 89.22 ± 4.51 |
| Serum Na+ (mEq/L) | 141.1 ± 0.48 | 139.4 ± 0.73 |
| Serum K+ (mEq/L) | 4.24 ± 0.22 | 4.47 ± 0.08 |
| Control | Cirrhosis | p Value | |
|---|---|---|---|
| Tissular viability | |||
| ATP (pmol/μg prot) | 11.8 ± 1.4 | 8.3 ± 0.5 | <0.05 |
| Extracellular Matrix Remodeling | |||
| Col1α2 | 1 ± 0.2 | 12.01 ± 3.6 | <0.05 |
| Col3α1 | 1 ± 0.1 | 7.4 ± 2.2 | <0.01 |
| αSMA | 1 ± 0.2 | 3.8 ± 0.7 | <0.05 |
| Timp1 | 1 ± 0.1 | 4.5 ± 1.0 | <0.05 |
| Timp2 | 1 ± 0.2 | 2.6 ± 0.4 | <0.05 |
| Mmp2 | 1 ± 0.1 | 9.9 ± 2.7 | <0.05 |
| Mmp9 | 1 ± 0.3 | 1.2 ± 0.2 | NS |
| Inflammation and Growth factors | |||
| Pdgfrβ | 1 ± 0.2 | 4.1 ± 1.2 | <0.01 |
| Tgfβr1 | 1 ± 0.2 | 0.9 ± 0.1 | NS |
| Nos2 | 1 ± 0.7 | 8.1 ± 4.3 | <0.05 |
| Cox2 | 1 ± 0.3 | 6.9 ± 2.5 | <0.05 |
| Il1β | 1 ± 0.3 | 1.9 ± 0.4 | NS |
| Tnfα | 1 ± 0.1 | 0.6 ± 0.2 | NS |
| Il6 | 0.9 ± 0.3 | 13.8 ± 4.7 | <0.05 |
Disclaimer/Publisher’s Note: The statements, opinions and data contained in all publications are solely those of the individual author(s) and contributor(s) and not of MDPI and/or the editor(s). MDPI and/or the editor(s) disclaim responsibility for any injury to people or property resulting from any ideas, methods, instructions or products referred to in the content. |
© 2025 by the authors. Licensee MDPI, Basel, Switzerland. This article is an open access article distributed under the terms and conditions of the Creative Commons Attribution (CC BY) license (https://creativecommons.org/licenses/by/4.0/).
Share and Cite
Perramón, M.; Macías-Herranz, M.; García-Pérez, R.; Jiménez, W.; Fernández-Varo, G. Precision-Cut Liver Slices: A Valuable Preclinical Tool for Translational Research in Liver Fibrosis. Int. J. Mol. Sci. 2025, 26, 7780. https://doi.org/10.3390/ijms26167780
Perramón M, Macías-Herranz M, García-Pérez R, Jiménez W, Fernández-Varo G. Precision-Cut Liver Slices: A Valuable Preclinical Tool for Translational Research in Liver Fibrosis. International Journal of Molecular Sciences. 2025; 26(16):7780. https://doi.org/10.3390/ijms26167780
Chicago/Turabian StylePerramón, Meritxell, Manuel Macías-Herranz, Rocío García-Pérez, Wladimiro Jiménez, and Guillermo Fernández-Varo. 2025. "Precision-Cut Liver Slices: A Valuable Preclinical Tool for Translational Research in Liver Fibrosis" International Journal of Molecular Sciences 26, no. 16: 7780. https://doi.org/10.3390/ijms26167780
APA StylePerramón, M., Macías-Herranz, M., García-Pérez, R., Jiménez, W., & Fernández-Varo, G. (2025). Precision-Cut Liver Slices: A Valuable Preclinical Tool for Translational Research in Liver Fibrosis. International Journal of Molecular Sciences, 26(16), 7780. https://doi.org/10.3390/ijms26167780

