Preliminary Investigation Towards a Safety Tool for Swine Brucellosis Diagnosis by a Proteomic Approach Within the One-Health Framework
Abstract
1. Introduction
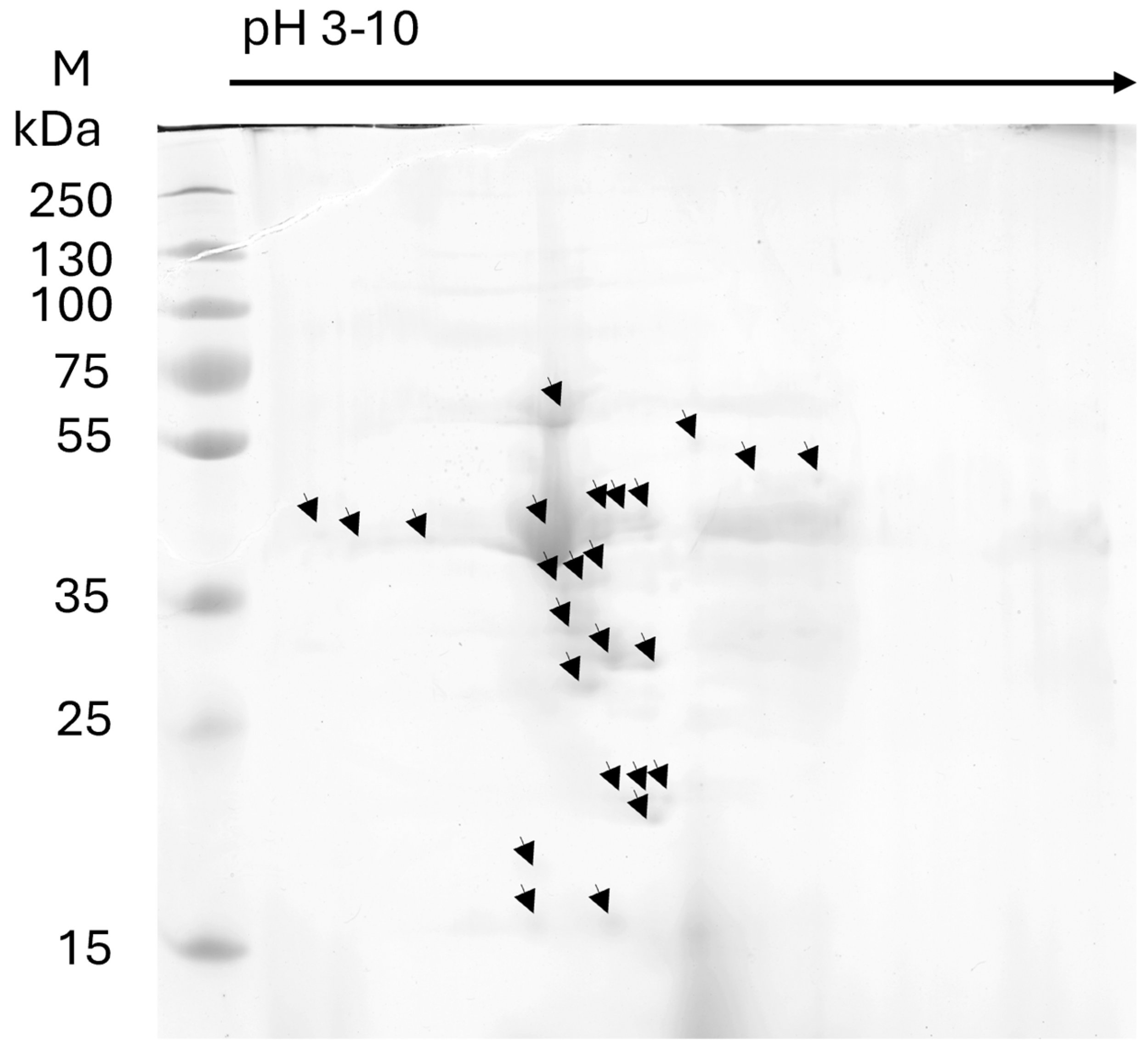
2. Results
3. Discussion
4. Materials and Methods
4.1. Material
4.2. Sodium Dodecyl Sulphate—PolyAcrylamide Gel Electrophoresis (SDS-PAGE)
4.3. 2DE (Two-Dimensional Gel Electrophoresis) SDS-PAGE
4.4. Western Blot (WB)
4.5. Mass Spectrometry
5. Conclusions
Supplementary Materials
Author Contributions
Funding
Institutional Review Board Statement
Informed Consent Statement
Data Availability Statement
Conflicts of Interest
References
- Xavier, M.N.; Paixao, T.A.; den Hartigh, A.B.; Tsolis, R.M.; Santos, R.L. Pathogenesis of Brucella spp. Open Vet. J. 2010, 4, 109–118. [Google Scholar] [CrossRef]
- Xavier, M.N.; Costa, E.A.; Paixao, T.A.; Santos, R.L. Genus Brucella and clinical manifestations. Cienc. Rural 2009, 39, 2252–2260. [Google Scholar] [CrossRef]
- Baldwin, C.L.; Goenka, R. Host immune responses to the intracellular bacteria Brucella: Does the bacteria instruct the host to facilitate chronic infection? Crit. Rev. Immunol. 2006, 26, 407–442. [Google Scholar] [CrossRef] [PubMed]
- Olsen, S.C.; Garin-Bastuji, B.; Blasco, J.M.; Nicola, A.M.; Samartino, L. Brucellosis. In Diseases of Swine; Zimmerman, J.J., Karriker, L.A., Ramirez, A., Schwartz, K.J., Stevenson, G.W., Eds.; Wiley-Blackwell: Hoboken, NJ, USA, 2012; pp. 697–708. [Google Scholar]
- Díaz, A. Epidemiology of brucellosis in domestic animals caused by Brucella melitensis, Brucella suis and Brucella abortus. Rev. Sci. Tech.—Off. Int. Épizooties 2013, 32, 53–60. [Google Scholar] [CrossRef]
- Barlozzari, G.; Franco, A.; Macrì, G.; Lorenzetti, S.; Maggiori, F.; Dottarelli, S.; Maurelli, M.; Di Giannatale, E.; Tittarelli, M.; Battisti, A.; et al. First report of Brucella suis biovar 2 in a semi free-range pig farm, Italy. Vet. Ital. 2015, 51, 151–154. [Google Scholar]
- De Massis, F.; Di Provvido, A.; Di Sabatino, D.; Di Francesco, D.; Zilli, K.; Ancora, M.; Tittarelli, M. Isolation of Brucella suis biovar 2 from a wild boar in the Abruzzo Region of Italy. Vet. Ital. 2012, 48, 397–404. [Google Scholar] [PubMed]
- Olsen, S.C.; Tatum, F.M. Swine brucellosis: Current perspectives. Vet. Med. Res. 2016, 8, 1–12. [Google Scholar] [CrossRef]
- Bertelloni, F.; Mazzei, M.; Cilia, G.; Forzan, M.; Felicioli, A.; Sagona, S.; Bandecchi, P.; Turchi, B.; Cerri, D.; Fratini, F. Serological Survey on Bacterial and Viral Pathogens in Wild Boars Hunted in Tuscany. EcoHealth 2020, 17, 85–93. [Google Scholar] [CrossRef]
- Fretin, D.; Mori, M.; Czaplicki, G.; Quinet, C.; Maquet, B.; Godfroid, J.; Saegerman, C. Unexpected Brucella suis biovar 2 infection in a dairy cow, Belgium. Emerg. Infect. Dis. 2013, 19, 2053–2054. [Google Scholar] [CrossRef]
- Szulowski, K.; Iwaniak, W.; Weiner, M.; Złotnicka, J. Brucella suis biovar 2 isolations from cattle in Poland. Ann. Agric. Environ. Med. 2013, 20, 672–675. [Google Scholar] [PubMed]
- Pappas, G. The changing Brucella ecology: Novel reservoirs, new threats. Int. J. Antimicrob. Agents 2010, 36, S8–S11. [Google Scholar] [CrossRef] [PubMed]
- OIE. Manual of Diagnostic Tests and Vaccines for Terrestrial Animals; Chapter 3; OIE: Paris, France, 2022; pp. 1–48. [Google Scholar]
- McGiven, J.A.; Nicola, A.; Commander, N.J.; Duncombe, L.; Taylor, A.V.; Villari, S.; Dainty, A.; Thirlwall, R.; Bouzelmat, N.; Perrett, L.L.; et al. An evaluation of the capability of existing and novel serodiagnostic methods for porcine brucellosis to reduce false positive serological reactions. Vet. Microbiol. 2012, 160, 378–386. [Google Scholar] [CrossRef]
- World Organization for Animal Health. Manual of Diagnostic Tests and Vaccines for Terrestrial Animals. In Brucella abortus, B. melitensis and B. suis Office International Des Epizooties; OIE: Paris, France, 2017. [Google Scholar]
- Di Bonaventura, G.; Angeletti, S.; Ianni, A.; Petitti, T.; Gherardi, G. Microbiological laboratory diagnosis of human brucellosis: An overview. Pathogens 2021, 10, 1623. [Google Scholar] [CrossRef] [PubMed]
- Jungersen, G.; Sørensen, V.; Giese, S.B.; Stack, J.A.; Riber, U. Differentiation between serological responses to Brucella suis and Yersinia enterocolitica serotype O:9 after natural or experimental infection in pigs. Epidemiol. Infect. 2006, 134, 347–357. [Google Scholar] [CrossRef] [PubMed]
- Godfroid, J.; Nielsen, K.; Saegerman, C. Diagnosis of brucellosis in livestock and wildlife. Croat. Med. J. 2010, 51, 296–305. [Google Scholar] [CrossRef] [PubMed]
- Adone, R.; Pasquali, P. Epidemiosurveillance of brucellosis. Rev. Sci. Tech.—Off. Int. Épizooties. 2013, 32, 199–205. [Google Scholar] [CrossRef] [PubMed]
- Bonfini, B.; Chiarenza, G.; Paci, V.; Sacchini, F.; Salini, R.; Vesco, G.; Villari, S.; Zilli, K.; Tittarelli, M. Cross-reactivity in serological tests for brucellosis: A comparison of immune response of Escherichia coli O157: H7 and Yersinia enterocolitica O: 9 vs. Brucella spp. Vet. Ital. 2018, 54, 107–114. [Google Scholar] [PubMed]
- Meirelles-Bartoli, R.B.; de Alvarenga Cruz, C.; de Moraes, R.S.; Oliveira, R.A.; de Paula EM, N.; de Sousa, D.B.; Assis, N.A.; Mathias, L.A. Comparison of four serological tests for the diagnosis of swine brucellosis. Res. Soc. Dev. 2020, 9, e493974418. [Google Scholar] [CrossRef]
- Spencer, S.A.; Broughton, E.S.; Hamid, S.; Young, D.B. Immunoblot studies in the differential diagnosis of porcine brucellosis: An immunodominant 62 kDa protein is related to the mycobacterial 65 kDa heat shock protein (HSP-65). Vet. Microbiol. 1994, 39, 47–60. [Google Scholar] [CrossRef]
- Corrente, M.; Desario, C.; Greco, G.; Buonavoglia, D.; Pratelli, A.; Madio, A.; Scaltrito, D.; Consenti, B.; Buonavoglia, C. Development of a western blotting assay to discriminate Brucella spp. and Yersinia enterocolitica O:9 infections in sheep. New Microbiol. 2004, 27, 155–161. [Google Scholar] [PubMed]
- Wareth, G.; Melzer, F.; Weise, C.; Neubauer, H.; Roesler, U.; Murugaiyan, J. Proteomics-based identification of immunodominant proteins of Brucellae using sera from infected hosts points towards enhanced pathogen survival during the infection. Biochem. Biophys. Res. Commun. 2015, 456, 202–206. [Google Scholar] [CrossRef] [PubMed]
- Ollé-Goig, J.E.; Canela-Soler, J. An outbreak of Brucella melitensis infection by airborne transmission among laboratory workers. Am. J. Public Health 1987, 77, 335–338. [Google Scholar] [CrossRef]
- Dieste-Pérez, L.; Blasco, J.M.; De Miguel, M.J.; Marín, C.M.; Barberán, M.; Conde-Álvarez, R.; Moriyón, I.; Muñoz, P.M. Performance of skin tests with allergens from B. melitensis B115 and rough B. abortus mutants for diagnosing swine brucellosis. Vet. Microbiol. 2014, 168, 161–168. [Google Scholar] [CrossRef]
- Riber, U.; Jungersen, G. Cell-mediated immune responses differentiate infections with Brucella suis from Yersinia enterocolitica serotype O: 9 in pigs. Vet. Immunol. Immunopathol. 2007, 116, 13–25. [Google Scholar] [CrossRef] [PubMed]
- Bertelloni, F.; Forzan, M.; Turchi, B.; Sagona, S.; Mazzei, M.; Felicioli, A.; Fratini, F.; Cerri, D. A Serological Survey on Swine Brucellosis Using Standard Procedures, Dot Blot, and Western Blot in Finisher Pigs in Central-North Italy. Vet. Sci. 2018, 5, 86. [Google Scholar] [CrossRef] [PubMed]
- Eschenbrenner, M.; Wagner, M.A.; Horn, T.A.; Kraycer, J.A.; Mujer, C.V.; Hagius, S.; Elzer, P.; DelVecchio, V.G. Comparative proteome analysis of Brucella melitensis vaccine strain Rev 1 and a virulent strain, 16M. J. Bacteriol. 2002, 184, 4962–4970. [Google Scholar] [CrossRef]
- Eschenbrenner, M.; Horn, T.A.; Wagner, M.A.; Mujer, C.V.; Miller-Scandle, T.L.; Del Vecchio, V.G. Comparative Proteome Analysis of Laboratory Grown Brucella abortus 2308 and Brucella melitensis 16M. J. Proteome Res. 2006, 5, 1731–1740. [Google Scholar] [CrossRef]
- Zai, X.; Yang, Q.; Yin, Y.; Li, R.; Qian, M.; Zhao, T.; Li, Y.; Zhang, J.; Fu, L.; Xu, J.; et al. Relative quantitative proteomic analysis of Brucella abortus reveals metabolic adaptation to multiple environmental stresses. Front. Microbiol. 2017, 8, 2347. [Google Scholar] [CrossRef] [PubMed]
- Tilocca, B.; Soggiu, A.; Greco, V.; Sacchini, F.; Garofolo, G.; Paci, V.; Bonizzi, L.; Urbani, A.; Tittarelli, M.; Roncada, P. Comparative proteomics of Brucella melitensis is a useful toolbox for developing prophylactic interventions in a One-Health context. One Health 2021, 13, 100253. [Google Scholar] [CrossRef] [PubMed]
- Hamidi, H.; Bagheri Nejad, R.; Es-Haghi, A.; Ghassempour, A. A combination of MALDI-TOF MS proteomics and species-unique biomarkers’ discovery for rapid screening of brucellosis. J. Am. Soc. Mass. Spectrom. 2022, 33, 1530–1540. [Google Scholar] [CrossRef] [PubMed]
- Hill, R.A.; Cook, D.R. Protein profiles of Brucella suis and Brucella abortus in isoelectric focusing and sodium dodecyl sulphate—Polyacrylamide gel electrophoresis. Vet. Microbiol. 1994, 39, 25–32. [Google Scholar] [CrossRef]
- Sedmak, J.J.; Grossberg, S.E. A rapid, sensitive, and versatile assay for protein using Coomassie brilliant blue G250. Anal. Biochem. 1977, 79, 544–552. [Google Scholar] [CrossRef] [PubMed]
- DelVecchio, V.G.; Wagner, M.A.; Eschenbrenner, M.; Horn, T.A.; Kraycer, J.A.; Estock, F.; Elzer, P.; Mujer, C.V. Brucella proteomes—A review. Vet. Microbiol. 2002, 90, 593–603. [Google Scholar] [CrossRef]
- Mujer, C.V.; Wagner, M.A.; Eschenbrenner, M.; Horn, T.; Kraycer, J.A.; Redkar, R.; Hagius, S.; Elzer, P.; Delvecchio, V.G. Global analysis of Brucella melitensis proteomes. Ann. N. Y. Acad. Sci. 2002, 969, 97–101. [Google Scholar] [CrossRef]
- Ter Beek, J.; Guskov, A.; Slotboom, D.J. Structural diversity of ABC transporters. J. Gen. Physiol. 2014, 143, 419–435. [Google Scholar] [CrossRef]
- Wilkens, S. Structure and mechanism of ABC transporters. F1000Prime Rep. 2015, 7, 14. [Google Scholar] [CrossRef]
- Wang, S.; Wang, W.; Sun, K.; Bateer, H.; Zhao, X. Comparative genomic analysis between newly sequenced Brucella abortus vaccine strain A19 and another Brucella abortus vaccine S19. Genomics 2020, 112, 1444–1453. [Google Scholar] [CrossRef]
- Li, Z.; Wang, S.; Zhang, H.; Zhang, J.; Xi, L.; Zhang, J.; Chen, C. Transcriptional regulator GntR of Brucella abortus regulates cytotoxicity, induces the secretion of inflammatory cytokines and affects expression of the type IV secretion system and quorum sensing system in macrophages. World J. Microbiol. Biotechnol. 2017, 33, 1–11. [Google Scholar] [CrossRef]
- Haine, V.; Sinon, A.; Van Steen, F.; Rousseau, S.; Dozot, M.; Lestrate, P.; Lambert, C.; Letesson, J.J.; De Bolle, X. Systematic Targeted Mutagenesis of Brucella melitensis 16M Reveals a Major Role for GntR Regulators in the Control of Virulence. Infect. Immun. 2005, 73, 5578–5586. [Google Scholar] [CrossRef] [PubMed]
- Wagner, M.A.; Eschenbrenner, M.; Horn, T.A.; Kraycer, J.A.; Mujer, C.V.; Hagius, S.; Elzer, P.; DelVecchio, V.G. Global analysis of the Brucella melitensis proteome: Identification of proteins expressed in laboratory-grown culture. Proteomics 2002, 2, 1047–1060. [Google Scholar] [CrossRef] [PubMed]
- Paci, V.; Krasteva, I.; Orsini, M.; Di Febo, T.; Luciani, M.; Perletta, F.; Di Pasquale, A.; Mattioli, M.; Tittarelli, M. Proteomic analysis of Brucella melitensis and Brucella ovis for identification of virulence factor using bioinformatics approachs. Mol. Cell. Probes 2020, 53, 101581. [Google Scholar] [CrossRef] [PubMed]
- Marzoni, M.; Castillo, A.; Sagona, S.; Citti, L.; Rocchiccioli, S.; Romboli, I.; Felicioli, A. A proteomic approach to identify seminal plasma proteins in roosters (Gallus gallus domesticus). Anim. Reprod. Sci. 2013, 140, 216–223. [Google Scholar] [CrossRef] [PubMed]
- Felicioli, A.; Turchi, B.; Fratini, F.; Giusti, M.; Nuvoloni, R.; Dani, F.R.; Sagona, S. Proteinase pattern of honeybee prepupae from healthy and American Foulbrood infected bees investigated by zymography. Electrophoresis 2018, 39, 2160–2167. [Google Scholar] [CrossRef] [PubMed]
- Laemmli, U.K. Cleavage of structural proteins during the assembly of the head of bacteriophage T4. Nature 1994, 227, 680–685. [Google Scholar] [CrossRef]
- Candiano, G.; Bruschi, M.; Musante, L.; Santucci, L.; Ghiggeri, G.M.; Carnemolla, B.; Orecchia, P.; Zardi, L.; Righetti, P.G. Blue silver: A very sensitive colloidal Coomassie G-250 staining for proteome analysis. Electrophoresis 2004, 25, 1327–1333. [Google Scholar] [CrossRef] [PubMed]
- Abramoff, M.D.; Magalhaes, P.J.; Ram, S.J. Image Processing with Image. J. Biophoton. Int. 2004, 11, 36–42. [Google Scholar]
- Iovinella, I.; Dani, F.R.; Niccolini, A.; Sagona, S.; Michelucci, E.; Gazzano, A.; Turillazzi, S.; Felicioli, A.; Pelosi, P. Differential expression of odorant-binding proteins in the mandibular glands of the honey bee according to caste and age. J. Proteome Res. 2011, 10, 3439–3449. [Google Scholar] [CrossRef] [PubMed]
- Khoury, M.K.; Parker, I.; Aswad, D.W. Acquisition of chemiluminescent signals from immunoblots with a digital single-lens reflex camera. Anal. Biochem. 2010, 397, 129–131. [Google Scholar] [CrossRef] [PubMed]
- Dani, F.R.; Iovinella, I.; Felicioli, A.; Niccolini, A.; Calvello, M.A.; Carucci, M.G.; Qiao, H.; Pieraccini, G.; Turillazzi, S.; Moneti, G.; et al. Mapping the expression of soluble olfactory proteins in the honeybee. J. Proteome Res. 2010, 9, 1822–1833. [Google Scholar] [CrossRef] [PubMed]




| Band | I1 | B3 | B13 | B16 |
|---|---|---|---|---|
| Accession number | EEP62043.1 | WP_118874259.1 | WP_087907809.1 | ADZ65660.1 |
| Protein description | Probable sugar-binding periplasmic protein Brucella abortus str 2308A | Peptide ABC transporter substrate-binding protein Brucella melitensis | GntR family transcriptional regulator Brucella melitensis | Conserved hypothetical protein Brucella melitensis M28 |
| Total score | 858 | 1083 | 470 | 207 |
| E-value | 0.0 | 0.0 | 3.00 × 10−170 | 4.00 × 10−70 |
| % identity | 100% | 92.62% | 99.57% | 100% |
| MW (kDa) | 45.3 | 57.39 | 26.7 | 12.28 |
| I.P. | 5.0 | 4.99 | 5.5 | 10.62 |
| aa | 428 | 525 | 233 | 102 |
| % identity with Yersinia enterocolitica proteins | 0% | <41% | <49% | 0% |
Disclaimer/Publisher’s Note: The statements, opinions and data contained in all publications are solely those of the individual author(s) and contributor(s) and not of MDPI and/or the editor(s). MDPI and/or the editor(s) disclaim responsibility for any injury to people or property resulting from any ideas, methods, instructions or products referred to in the content. |
© 2025 by the authors. Licensee MDPI, Basel, Switzerland. This article is an open access article distributed under the terms and conditions of the Creative Commons Attribution (CC BY) license (https://creativecommons.org/licenses/by/4.0/).
Share and Cite
Sagona, S.; Bertelloni, F.; Turchi, B.; Roncada, P.; Tafi, E.; Fratini, F.; Felicioli, A.; Cerri, D. Preliminary Investigation Towards a Safety Tool for Swine Brucellosis Diagnosis by a Proteomic Approach Within the One-Health Framework. Int. J. Mol. Sci. 2025, 26, 1517. https://doi.org/10.3390/ijms26041517
Sagona S, Bertelloni F, Turchi B, Roncada P, Tafi E, Fratini F, Felicioli A, Cerri D. Preliminary Investigation Towards a Safety Tool for Swine Brucellosis Diagnosis by a Proteomic Approach Within the One-Health Framework. International Journal of Molecular Sciences. 2025; 26(4):1517. https://doi.org/10.3390/ijms26041517
Chicago/Turabian StyleSagona, Simona, Fabrizio Bertelloni, Barbara Turchi, Paola Roncada, Elena Tafi, Filippo Fratini, Antonio Felicioli, and Domenico Cerri. 2025. "Preliminary Investigation Towards a Safety Tool for Swine Brucellosis Diagnosis by a Proteomic Approach Within the One-Health Framework" International Journal of Molecular Sciences 26, no. 4: 1517. https://doi.org/10.3390/ijms26041517
APA StyleSagona, S., Bertelloni, F., Turchi, B., Roncada, P., Tafi, E., Fratini, F., Felicioli, A., & Cerri, D. (2025). Preliminary Investigation Towards a Safety Tool for Swine Brucellosis Diagnosis by a Proteomic Approach Within the One-Health Framework. International Journal of Molecular Sciences, 26(4), 1517. https://doi.org/10.3390/ijms26041517

