Inter-Examiner Disagreement for Assessing Cervical Multifidus Ultrasound Metrics Is Associated with Body Composition Features
Abstract
1. Introduction
2. Materials and Methods
2.1. Study Design
2.2. Participants
2.3. Sample Size Estimation
2.4. Data Collection
2.4.1. Sociodemographic and Body Composition Data
2.4.2. Examiners
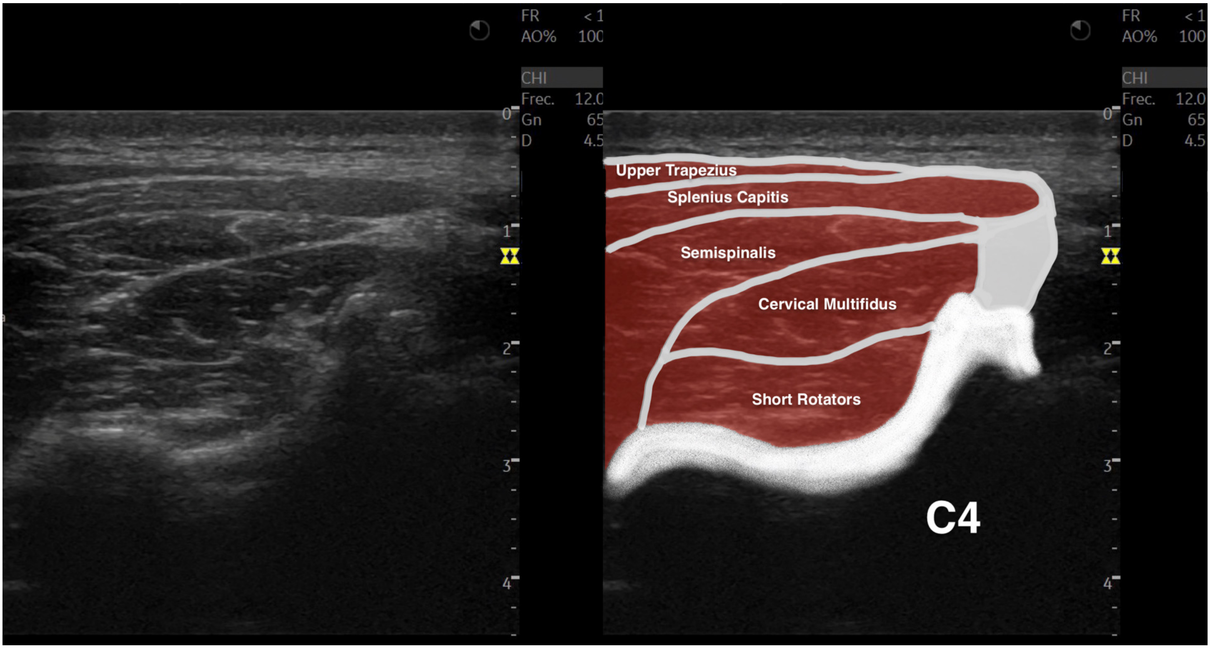
2.4.3. Ultrasound Imaging Acquisition
2.4.4. Measurement of Muscle Morphology and Quality
2.5. Statistical Analysis
3. Results
4. Discussion
Limitations
5. Conclusions
Author Contributions
Funding
Institutional Review Board Statement
Informed Consent Statement
Data Availability Statement
Conflicts of Interest
References
- Anderson, J.S.; Hsu, A.W.; Vasavada, A.N. Morphology, Architecture, and Biomechanics of Human Cervical Multifidus. Spine 2005, 30, E86–E91. [Google Scholar] [CrossRef] [PubMed]
- Arimi, S.A.; Bandpei, M.A.M.; Rezasoltani, A.; Peolsson, A.; Mohammadi, M. Multifidus muscle size changes at different directions of head and neck movements in females with unilateral chronic non-specific neck pain and healthy subjects using ultrasonography. J. Bodyw. Mov. Ther. 2018, 22, 560–565. [Google Scholar] [CrossRef] [PubMed]
- Cloney, M.; Smith, A.C.; Coffey, T.; Paliwal, M.; Dhaher, Y.; Parrish, T.; Elliott, J.; Smith, Z.A. Fatty infiltration of the cervical multifidus musculature and their clinical correlates in spondylotic myelopathy. J. Clin. Neurosci. 2018, 57, 208–213. [Google Scholar] [CrossRef] [PubMed]
- Mitsutake, T.M.; Sakamoto, M.; Chyuda, Y.; Oka, S.M.; Hirata, H.M.; Matsuo, T.M.; Oishi, T.; Horikawa, E. Greater Cervical Muscle Fat Infiltration Evaluated by Magnetic Resonance Imaging is Associated with Poor Postural Stability in Patients with Cervical Spondylotic Radiculopathy. Spine 2016, 41, E8–E14. [Google Scholar] [CrossRef] [PubMed]
- Grondin, F.; Freppel, S.; Jull, G.; Gérard, T.; Caderby, T.; Peyrot, N. Fat Infiltration of Multifidus Muscle Is Correlated with Neck Disability in Patients with Non-Specific Chronic Neck Pain. J. Clin. Med. 2022, 11, 5522. [Google Scholar] [CrossRef]
- Fernández-De-Las-Peñas, C.; Albert-Sanchís, J.C.; Buil, M.; Benitez, J.C.; Alburquerque-Sendín, F. Cross-sectional Area of Cervical Multifidus Muscle in Females with Chronic Bilateral Neck Pain Compared to Controls. J. Orthop. Sports Phys. Ther. 2008, 38, 175–180. [Google Scholar] [CrossRef]
- Valera-Calero, J.A.; Al-Buqain-Ortega, A.; Arias-Buría, J.L.; Fernández-De-Las-Peñas, C.; Varol, U.; Ortega-Santiago, R. Echo-intensity, fatty infiltration, and morphology ultrasound imaging assessment in healthy and whiplash associated disorders populations: An observational study. Eur. Spine J. 2021, 30, 3059–3067. [Google Scholar] [CrossRef]
- Valera-Calero, J.A.; Úbeda-D’Ocasar, E.; Caballero-Corella, M.; Fernández-De-Las-Peñas, C.; Sendarrubias, G.M.G.; Arias-Buría, J.L. Cervical Multifidus Morphology and Quality Are Not Associated with Clinical Variables in Women with Fibromyalgia: An Observational Study. Pain Med. 2021, 23, 1138–1143. [Google Scholar] [CrossRef]
- Elliott, J.; Pedler, A.; Beattie, P.; McMahon, K. Diffusion-Weighted MRI for the Healthy Cervical Multifidus: A Potential Method for Studying Neck Muscle Physiology Following Spinal Trauma. J. Orthop. Sports Phys. Ther. 2010, 40, 722–728. [Google Scholar] [CrossRef]
- Rahnama, L.; Rezasoltani, A.; Zavieh, M.K.; NooriKochi, F.; Baghban, A.A. Differences in Cervical Multifidus Muscle Thickness during Isometric Contraction of Shoulder Muscles: A Comparison Between Patients with Chronic Neck Pain and Healthy Controls. J. Manip. Physiol. Ther. 2015, 38, 210–217. [Google Scholar] [CrossRef]
- Siegmund, G.P.; Blouin, J.-S.; Carpenter, M.G.; Brault, J.R.; Inglis, J.T. Are cervical multifidus muscles active during whiplash and startle? An initial experimental study. BMC Musculoskelet. Disord. 2008, 9, 80. [Google Scholar] [CrossRef]
- Fernández-De-Las-Peñas, C.; Mesa-Jiménez, J.A.; Paredes-Mancilla, J.A.; Koppenhaver, S.L.; Fernández-Carnero, S. Cadaveric and Ultrasonographic Validation of Needling Placement in the Cervical Multifidus Muscle. J. Manip. Physiol. Ther. 2017, 40, 365–370. [Google Scholar] [CrossRef]
- Ga, H.; Choi, J.-H.; Park, C.-H.; Yoon, H.-J. Dry Needling of Trigger Points with and Without Paraspinal Needling in Myofascial Pain Syndromes in Elderly Patients. J. Altern. Complement. Med. 2007, 13, 617–624. [Google Scholar] [CrossRef]
- Mehri, A.; Letafatkar, A.; Khosrokiani, Z. Effects of Corrective Exercises on Posture, Pain, and Muscle Activation of Patients With Chronic Neck Pain Exposed to Anterior-Posterior Perturbation. J. Manip. Physiol. Ther. 2020, 43, 311–324. [Google Scholar] [CrossRef]
- O’Leary, S.; Jull, G.; Van Wyk, L.; Pedler, A.; Elliott, J. Morphological changes in the cervical muscles of women with chronic whiplash can be modified with exercise-A pilot study. Muscle Nerve 2015, 52, 772–779. [Google Scholar] [CrossRef]
- Yun, Y.; Lee, E.J.; Kim, Y.; Kim, J.C.; Lee, S.A.; Chon, J. Asymmetric atrophy of cervical multifidus muscles in patients with chronic unilateral cervical radiculopathy. Medicine 2019, 98, e16041. [Google Scholar] [CrossRef]
- Pedler, A.; McMahon, K.; Galloway, G.; Durbridge, G.; Sterling, M. Intramuscular fat is present in cervical multifidus but not soleus in patients with chronic whiplash associated disorders. PLoS ONE 2018, 13, e0197438. [Google Scholar] [CrossRef]
- Elliott, J.M.; Courtney, D.M.; Rademaker, A.W.; Pinto, D.; Sterling, M.; Parrish, T. The Rapid and Progressive Degeneration of the Cervical Multifidus in Whiplash. Spine 2015, 40, E694–E700. [Google Scholar] [CrossRef]
- Abbott, R.; Pedler, A.; Sterling, M.; Hides, J.; Murphey, T.; Hoggarth, M.; Elliott, J.M. The Geography of Fatty Infiltrates Within the Cervical Multifidus and Semispinalis Cervicis in Individuals with Chronic Whiplash-Associated Disorders. J. Orthop. Sports Phys. Ther. 2015, 45, 281–288. [Google Scholar] [CrossRef]
- Elliott, J.; Jull, G.; Noteboom, J.T.; Galloway, G. MRI study of the cross-sectional area for the cervical extensor musculature in patients with persistent whiplash associated disorders (WAD). Man. Ther. 2008, 13, 258–265. [Google Scholar] [CrossRef]
- Elliott, J.M.; Walton, D.M.; Rademaker, A.; Parrish, T.B. Quantification of cervical spine muscle fat: A comparison between T1-weighted and multi-echo gradient echo imaging using a variable projection algorithm (VARPRO). BMC Med. Imaging 2013, 13, 30. [Google Scholar] [CrossRef] [PubMed]
- Amiri-Arimi, S.; Bandpei, M.M.; Rezasoltani, A.; Javanshir, K.; Biglarian, A. Measurement of Cervical Multifidus and Longus Colli Muscle Dimensions in Patients with Cervical Radiculopathy and Healthy Controls Using Ultrasonography: A Reliability Study. PMR 2019, 11, 236–242. [Google Scholar] [CrossRef] [PubMed]
- Lee, J.-P.; Tseng, W.-Y.I.; Shau, Y.-W.; Wang, C.-L.; Wang, H.-K.; Wang, S.-F. Measurement of segmental cervical multifidus contraction by ultrasonography in asymptomatic adults. Man. Ther. 2007, 12, 286–294. [Google Scholar] [CrossRef] [PubMed]
- Lee, J.-P.; Wang, C.-L.; Shau, Y.-W.; Wang, S.-F. Measurement of cervical multifidus contraction pattern with ultrasound imaging. J. Electromyogr. Kinesiol. 2009, 19, 391–397. [Google Scholar] [CrossRef] [PubMed]
- Valera-Calero, J.A.; Arias-Buría, J.L.; Fernández-De-Las-Peñas, C.; Cleland, J.A.; Gallego-Sendarrubias, G.M.; Cimadevilla-Fernández-Pola, E. Echo-intensity and fatty infiltration ultrasound imaging measurement of cervical multifidus and short rotators in healthy people: A reliability study. Musculoskelet. Sci. Pract. 2021, 53, 102335. [Google Scholar] [CrossRef]
- Valera-Calero, J.; Gallego-Sendarrubias, G.; Fernández-De-Las-Peñas, C.; Cleland, J.; Ortega-Santiago, R.; Arias-Buría, J. Panoramic Ultrasound Examination of Posterior Neck Extensors in Healthy Subjects: Intra-Examiner Reliability Study. Diagnostics 2020, 10, 740. [Google Scholar] [CrossRef]
- Valera-Calero, J.A.; Sánchez-Jorge, S.; Álvarez-González, J.; Ortega-Santiago, R.; Cleland, J.A.; Fernández-De-Las-Peñas, C.; Arias-Buría, J.L. Intra-rater and inter-rater reliability of rehabilitative ultrasound imaging of cervical multifidus muscle in healthy people: Imaging capturing and imaging calculation. Musculoskelet. Sci. Pract. 2020, 48, 102158. [Google Scholar] [CrossRef]
- Valera-Calero, J.A.; Fernández-De-Las-Peñas, C.; Cleland, J.A.; Varol, U.; Ortega-Santiago, R.; Arias-Buría, J.L. Ultrasound assessment of deep cervical extensors morphology and quality in populations with whiplash associated disorders: An intra- and inter-examiner reliability study. Musculoskelet. Sci. Pract. 2022, 59, 102538. [Google Scholar] [CrossRef]
- Valera-Calero, J.A.; Navarro-Santana, M.J.; Plaza-Manzano, G.; Fernández-De-Las-Peñas, C.; Ortega-Santiago, R. Identifying Demographic, Clinical, Muscular and Histological Factors Associated with Ultrasound Cervical Multifidus Measurement Errors in a Chronic Neck Pain Population. Sensors 2022, 22, 8344. [Google Scholar] [CrossRef]
- Kuzu, O.; Aras, B. Sonographic measurement of the neck extensor muscle thickness in patients with fibromyalgia. Musculoskelet. Sci. Pract. 2022, 59, 102541. [Google Scholar] [CrossRef]
- Ellis, R.; Helsby, J.; Naus, J.; Bassett, S.; Fernández-De-Las-Peñas, C.; Carnero, S.F.; Hides, J.; O’Sullivan, C.; Teyhen, D.; Stokes, M.; et al. Exploring the use of ultrasound imaging by physiotherapists: An international survey. Musculoskelet. Sci. Pract. 2020, 49, 102213. [Google Scholar] [CrossRef]
- Valera-Calero, J.A.; Guodemar-Pérez, J.; Cleland, J.A.; Ojedo-Martín, C.; Gallego-Sendarrubias, G.M. Physical therapist attitude and opinion about cervical spine examination: A national Spanish survey. Int. J. Clin. Pract. 2020, 75, e13781. [Google Scholar] [CrossRef]
- Bowler, N.; Shamley, D.; Davies, R. The effect of a simulated manipulation position on internal carotid and vertebral artery blood flow in healthy individuals. Man. Ther. 2011, 16, 87–93. [Google Scholar] [CrossRef]
- Valera-Calero, J.; Fernández-De-Las-Peñas, C.; Varol, U.; Ortega-Santiago, R.; Gallego-Sendarrubias, G.; Arias-Buría, J. Ultrasound Imaging as a Visual Biofeedback Tool in Rehabilitation: An Updated Systematic Review. Int. J. Environ. Res. Public Health 2021, 18, 7554. [Google Scholar] [CrossRef]
- Valera-Calero, J.; Sánchez-Jorge, S.; Buffet-García, J.; Varol, U.; Gallego-Sendarrubias, G.; Álvarez-González, J. Is Shear-Wave Elastography a Clinical Severity Indicator of Myofascial Pain Syndrome? An Observational Study. J. Clin. Med. 2021, 10, 2895. [Google Scholar] [CrossRef]
- Valera-Calero, J.A.; Ojedo-Martín, C.; Fernández-De-Las-Peñas, C.; Cleland, J.A.; Arias-Buría, J.L.; Hervás-Pérez, J.P. Reliability and Validity of Panoramic Ultrasound Imaging for Evaluating Muscular Quality and Morphology: A Systematic Review. Ultrasound Med. Biol. 2020, 47, 185–200. [Google Scholar] [CrossRef]
- Aldrich, J.E. Basic physics of ultrasound imaging. Crit. Care Med. 2007, 35, S131–S137. [Google Scholar] [CrossRef]
- Valera-Calero, J.A.; Fernández-De-Las-Peñas, C.; Fernández-Rodríguez, T.; Arias-Buría, J.L.; Varol, U.; Gallego-Sendarrubias, G.M. Influence of Examiners’ Experience and Region of Interest Location on Semiquantitative Elastography Validity and Reliability. Appl. Sci. 2021, 11, 9247. [Google Scholar] [CrossRef]
- Javanshir, K.; Amiri, M.; Mohseni-Bandpei, M.A.; Rezasoltani, A.; Fernández-De-Las-Peñas, C. Ultrasonography of the Cervical Muscles: A Critical Review of the Literature. J. Manip. Physiol. Ther. 2010, 33, 630–637. [Google Scholar] [CrossRef]
- Kim, S.; Won, C.W. Sex-different changes of body composition in aging: A systemic review. Arch. Gerontol. Geriatr. 2022, 102, 104711. [Google Scholar] [CrossRef]
- St-Onge, M.-P.; Gallagher, D. Body composition changes with aging: The cause or the result of alterations in metabolic rate and macronutrient oxidation? Nutrition 2010, 26, 152–155. [Google Scholar] [CrossRef] [PubMed]
- JafariNasabian, P.; Inglis, J.E.; Reilly, W.; Kelly, O.; Ilich, J.Z. Aging human body: Changes in bone, muscle and body fat with consequent changes in nutrient intake. J. Endocrinol. 2017, 234, R37–R51. [Google Scholar] [CrossRef] [PubMed]
- Steen, B. Body Composition and Aging. Nutr. Rev. 1988, 46, 45–51. [Google Scholar] [CrossRef] [PubMed]
- Kehayias, J. Aging and Body Composition. Nestle Nutr. Workshop Ser. Clin. Perform. Programme 2002, 6, 63–78. [Google Scholar] [CrossRef] [PubMed]
- Goodpaster, B.H.; Park, S.W.; Harris, T.B.; Kritchevsky, S.B.; Nevitt, M.; Schwartz, A.V.; Simonsick, E.M.; Tylavsky, F.A.; Visser, M.; Newman, A.B.; et al. The Loss of Skeletal Muscle Strength, Mass, and Quality in Older Adults: The Health, Aging and Body Composition Study. J. Gerontol. A Biol. Sci. Med. Sci. 2006, 61, 1059–1064. [Google Scholar] [CrossRef]
- Cohen, J.F.; Korevaar, D.A.; Altman, D.G.; Bruns, D.E.; Gatsonis, C.A.; Hooft, L.; Irwig, L.; Levine, D.; Reitsma, J.B.; De Vet, H.C.W.; et al. STARD 2015 guidelines for reporting diagnostic accuracy studies: Explanation and elaboration. BMJ Open 2016, 6, e012799. [Google Scholar] [CrossRef]
- Green, S.B. How Many Subjects Does It Take To Do A Regression Analysis. Multivar. Behav. Res. 1991, 26, 499–510. [Google Scholar] [CrossRef]
- VanVoorhis, C.W.; Morgan, B.L. Understanding power and rules of thumb for determining sample sizes. Tutor. Quant. Methods Psychol. 2007, 3, 43–50. [Google Scholar] [CrossRef]
- Larsen, M.N.; Krustrup, P.; Póvoas, S.C.A.; Castagna, C. Accuracy and reliability of the InBody 270 multi-frequency body composition analyser in 10-12-year-old children. PLoS ONE 2021, 16, e0247362. [Google Scholar] [CrossRef]
- Plaza-Manzano, G.; Navarro-Santana, M.J.; Valera-Calero, J.A.; Fabero-Garrido, R.; Fernández-De-Las-Peñas, C.; López-De-Uralde-Villanueva, I. Reliability of lumbar multifidus ultrasound assessment during the active straight leg raise test. Eur. J. Clin. Investig. 2021, 52, e13728. [Google Scholar] [CrossRef]
- Henderson, A.R. Testing experimental data for univariate normality. Clin. Chim. Acta 2006, 366, 112–129. [Google Scholar] [CrossRef]
- Koo, T.K.; Li, M.Y. A Guideline of Selecting and Reporting Intraclass Correlation Coefficients for Reliability Research. J. Chiropr. Med. 2016, 15, 155–163. [Google Scholar] [CrossRef]
- Chan, Y.H. Biostatistics 104: Correlational analysis. Singap. Med. J. 2003, 44, 614–619. [Google Scholar]
- Marill, K.A. Advanced Statistics: Linear Regression, Part II: Multiple Linear Regression. Acad. Emerg. Med. 2004, 11, 94–102. [Google Scholar] [CrossRef]
- Kossoff, G.; Garrett, W.J.; Carpenter, D.A.; Jellins, J.; Dadd, M.J. Principles and classification of soft tissues by grey scale echography. Ultrasound Med. Biol. 1976, 2, 89–111. [Google Scholar] [CrossRef]
- Sahlani, L.; Thompson, L.; Vira, A.; Panchal, A.R. Bedside ultrasound procedures: Musculoskeletal and non-musculoskeletal. Eur. J. Trauma Emerg. Surg. 2015, 42, 127–138. [Google Scholar] [CrossRef]
- Jensen, J.A. Medical ultrasound imaging. Prog. Biophys. Mol. Biol. 2007, 93, 153–165. [Google Scholar] [CrossRef]
- Lieu, D. Ultrasound Physics and Instrumentation for Pathologists. Arch. Pathol. Lab. Med. 2010, 134, 1541–1556. [Google Scholar] [CrossRef]
- Long, Z.; Zhou, W.; Tradup, D.J.; Stekel, S.F.; Callstrom, M.R.; Hangiandreou, N.J. Systematic optimization of ultrasound grayscale imaging presets and its application in abdominal scanning. J. Appl. Clin. Med. Phys. 2020, 21, 192–199. [Google Scholar] [CrossRef]
- Carpentier, B.; Hayward, J.; Strachowski, L. Enhancing Your Acoustics: Ultrasound Image Optimization of Breast Lesions. J. Ultrasound Med. 2017, 36, 1479–1485. [Google Scholar] [CrossRef]
- Lagalla, R.; Midiri, M. Image quality control in breast ultrasound. Eur. J. Radiol. 1998, 27, S229–S233. [Google Scholar] [CrossRef] [PubMed]
- Enriquez, J.L.; Wu, T.S. An Introduction to Ultrasound Equipment and Knobology. Crit. Care Clin. 2014, 30, 25–45. [Google Scholar] [CrossRef] [PubMed]
- Santoro, A.; Guidarelli, G.; Ostan, R.; Giampieri, E.; Fabbri, C.; Bertarelli, C.; Nicoletti, C.; Kadi, F.; de Groot, L.C.P.G.M.; Feskens, E.; et al. Gender-specific association of body composition with inflammatory and adipose-related markers in healthy elderly Europeans from the NU-AGE study. Eur. Radiol. 2019, 29, 4968–4979. [Google Scholar] [CrossRef]
- Al-Sofiani, M.E.; Ganji, S.S.; Kalyani, R.R. Body composition changes in diabetes and aging. J. Diabetes Its Complicat. 2019, 33, 451–459. [Google Scholar] [CrossRef] [PubMed]
- Uhlig, Y.; Weber, B.R.; Grob, D.; Müntener, M. Fiber composition and fiber transformations in neck muscles of patients with dysfunction of the cervical spine. J. Orthop. Res. 1995, 13, 240–249. [Google Scholar] [CrossRef] [PubMed]
- Fortin, M.; Wilk, N.; Dobrescu, O.; Martel, P.; Santaguida, C.; Weber, M.H. Relationship between cervical muscle morphology evaluated by MRI, cervical muscle strength and functional outcomes in patients with degenerative cervical myelopathy. Musculoskelet. Sci. Pract. 2018, 38, 1–7. [Google Scholar] [CrossRef]
- Elliott, J.M.P.; Pedler, A.R.P.; Jull, G.A.P.; Van Wyk, L.B.P.; Galloway, G.G.; O’Leary, S.P.P. Differential Changes in Muscle Composition Exist in Traumatic and Nontraumatic Neck Pain. Spine 2014, 39, 39–47. [Google Scholar] [CrossRef]
- Huang, Z.; Bai, Z.; Yan, J.; Zhang, Y.; Li, S.; Yuan, L.; Huang, D.; Ye, W. Association Between Muscle Morphology Changes, Cervical Spine Degeneration, and Clinical Features in Patients with Chronic Nonspecific Neck Pain: A Magnetic Resonance Imaging Analysis. World Neurosurg. 2021, 159, e273–e284. [Google Scholar] [CrossRef]
- Smith, A.C.; Albin, S.R.; Abbott, R.; Crawford, R.J.; Hoggarth, M.A.; Wasielewski, M.; Elliott, J.M. Confirming the geography of fatty infiltration in the deep cervical extensor muscles in whiplash recovery. Sci. Rep. 2020, 10, 11471. [Google Scholar] [CrossRef]
- Elliott, J.M. Are There Implications for Morphological Changes in Neck Muscles After Whiplash Injury? Spine 2011, 36, S205–S210. [Google Scholar] [CrossRef]
- Pigula-Tresansky, A.J.; Wu, J.S.; Kapur, K.; Darras, B.T.; Rutkove, S.B.; Anthony, B.W. Muscle compression improves reliability of ultrasound echo intensity. Muscle Nerve 2017, 56, S1–S16. [Google Scholar] [CrossRef]

| Variables | Total Sample (n = 47) | Gender | Side | ||
|---|---|---|---|---|---|
| Male (n = 22) | Female (n = 25) | Left (n = 47) | Right (n = 47) | ||
| Body Composition Characteristics | |||||
| Age (y) * | 21.0 ± 5.7 | 23.3 ± 7.5 | 20.1 ± 2.3 | - | - |
| Height (m) ** | 1.72 ± 0.08 | 1.77 ± 0.05 | 1.67 ± 0.06 | - | - |
| Weight (kg) ** | 72.0 ± 14.0 | 78.5 ± 10.8 | 65.8 ± 14.1 | - | - |
| Body Mass Index (kg/m2) | 24.3 ± 4.5 | 25.0 ± 3.9 | 23.7 ± 5.1 | - | - |
| Fat Mass | |||||
| Total Mass (kg) * | 18.3 ± 9.7 | 15.6 ± 8.6 | 20.8 ± 10.2 | - | - |
| Trunk Mass (kg) | 9.2 ± 5.2 | 8.2 ± 4.8 | 10.3 ± 5.5 | - | - |
| Lean Mass | |||||
| Total Mass (kg) ** | 37.6 ± 15.2 | 44.5 ± 15.6 | 30.1 ± 11.6 | - | - |
| Trunk Mass (kg) ** | 25.8 ± 6.2 | 30.0 ± 5.3 | 21.9 ± 4.2 | - | - |
| Water Volume (L) ** | 39.6 ± 7.6 | 46.0 ± 4.1 | 33.6 ± 4.6 | - | - |
| Cervical Multifidus Ultrasound Characteristics | |||||
| Cross-Sectional Area (cm2) ** | 1.28 ± 0.35 | 1.49 ± 0.36 | 1.09 ± 0.19 | 1.28 ± 0.35 | 1.29 ± 0.35 |
| Muscle Perimeter (cm) ** | 5.0 ± 0.5 | 5.3 ± 0.4 | 4.7 ± 0.4 | 5.0 ± 0.50 | 5.0 ± 0.52 |
| Circularity (0–1) ** | 0.54 ± 0.06 | 0.56 ± 0.06 | 0.53 ± 0.05 | 0.54 ± 0.06 | 0.55 ± 0.05 |
| Aspect Ratio | 2.91 ± 0.51 | 2.85 ± 0.52 | 2.97 ± 0.50 | 2.93 ± 0.51 | 2.89 ± 0.52 |
| Roundness | 0.35 ± 0.06 | 0.36 ± 0.06 | 0.34 ± 0.06 | 0.35 ± 0.06 | 0.35 ± 0.06 |
| Solidity | 0.94 ± 0.03 | 0.94 ± 0.03 | 0.93 ± 0.03 | 0.93 ± 0.03 | 0.94 ± 0.03 |
| Mean Echo Intensity (0–255) * | 44.7 ± 14.5 | 40.8 ± 12.5 | 48.5 ± 15.3 | 44.1 ± 14.4 | 45.4 ± 14.7 |
| Variables | Experienced Examiner | Novel Examiner | Absolute Error | ICC3,2 (95% CI) | SEM | MDC95 |
|---|---|---|---|---|---|---|
| Cross-Sectional Area (cm2) | 1.29 ± 0.35 | 1.28 ± 0.35 | 0.10 ± 0.10 | 0.955 (0.931; 0.971) | 0.07 | 0.21 |
| Muscle Perimeter (cm) | 5.0 ± 0.5 | 5.0 ± 0.5 | 0.3 ± 0.2 | 0.893 (0.833; 0.931) | 0.2 | 0.5 |
| Circularity (0–1) | 0.55 ± 0.06 | 0.54 ± 0.06 | 0.03 ± 0.03 | 0.856 (0.777; 0.907) | 0.02 | 0.06 |
| Aspect Ratio | 2.92 ± 0.53 | 2.91 ± 0.57 | 0.27 ± 0.26 | 0.863 (0.788; 0.912) | 0.20 | 0.54 |
| Roundness | 0.35 ± 0.06 | 0.35 ± 0.07 | 0.03 ± 0.03 | 0.884 (0.820; 0.925) | 0.02 | 0.06 |
| Solidity | 0.94 ± 0.03 | 0.93 ± 0.03 | 0.03 ± 0.02 | 0.673 (0.494; 0.789) | 0.02 | 0.05 |
| Mean Echo Intensity (0–255) | 44.3 ± 14.6 | 45.3 ± 14.5 | 2.5 ± 3.0 | 0.983 (0.974; 0.989) | 1.90 | 5.3 |
| 1 | 2 | 3 | 4 | 5 | 6 | 7 | 8 | 9 | 10 | 11 | 12 | 13 | 14 | 15 | |
|---|---|---|---|---|---|---|---|---|---|---|---|---|---|---|---|
| 1. Age | |||||||||||||||
| 2. Height | 0.392 ** | ||||||||||||||
| 3. Weight | 0.359 ** | 0.381 ** | |||||||||||||
| 4. Body Mass Index | n.s. | n.s. | 0.885 ** | ||||||||||||
| 5. Total Fat Mass | n.s. | −0.332 ** | 0.659 ** | 0.877 ** | |||||||||||
| 6. Trunk Fat Mass | n.s. | −0.252 * | 0.717 ** | 0.897 ** | 0.990 ** | ||||||||||
| 7. Total Lean Mass | 0.529 ** | 0.588 ** | 0.488 ** | 0.233 * | n.s. | n.s. | |||||||||
| 8. Trunk Lean Mass | 0.567 ** | 0.692 ** | 0.672 ** | 0.378 ** | n.s. | n.s. | 0.926 ** | ||||||||
| 9. Water Volume | 0.457 ** | 0.754 ** | 0.715 ** | 0.392 ** | n.s. | n.s. | 0.663 ** | 0.882 ** | |||||||
| 10. Cross-Sectional Area Error | n.s. | n.s. | n.s. | n.s. | n.s. | n.s. | n.s. | n.s. | n.s. | ||||||
| 11. Muscle Perimeter Error | n.s. | n.s. | n.s. | n.s. | n.s. | n.s. | 0.298 ** | 0.274 * | 0.235 * | 0.551 ** | |||||
| 12. Circularity Error | n.s. | n.s. | n.s. | n.s. | n.s. | n.s. | 0.253 * | n.s. | n.s. | n.s. | 0.380 ** | ||||
| 13. Aspect Ratio Error | n.s. | n.s. | n.s. | n.s. | n.s. | n.s. | n.s. | n.s. | n.s. | n.s. | n.s. | 0.242 * | |||
| 14. Roundness Error | n.s. | n.s. | n.s. | n.s. | n.s. | n.s. | 0.220 * | n.s. | n.s. | n.s. | n.s. | 0.239 * | 0.851 ** | ||
| 15. Solidity Error | n.s. | n.s. | n.s. | n.s. | n.s. | n.s. | n.s. | n.s. | n.s. | n.s. | 0.279 * | 0.434 ** | n.s. | n.s. | |
| 16. Mean Echo Intensity Error | 0.286 ** | 0.253 * | n.s. | n.s. | n.s. | n.s. | 0.432 ** | 0.378 ** | 0.238 * | n.s. | n.s. | 0.221 * | 0.301 ** | 0.311 ** | n.s. |
Disclaimer/Publisher’s Note: The statements, opinions and data contained in all publications are solely those of the individual author(s) and contributor(s) and not of MDPI and/or the editor(s). MDPI and/or the editor(s) disclaim responsibility for any injury to people or property resulting from any ideas, methods, instructions or products referred to in the content. |
© 2023 by the authors. Licensee MDPI, Basel, Switzerland. This article is an open access article distributed under the terms and conditions of the Creative Commons Attribution (CC BY) license (https://creativecommons.org/licenses/by/4.0/).
Share and Cite
Varol, U.; Navarro-Santana, M.J.; Gómez-Sánchez, S.; Plaza-Manzano, G.; Sánchez-Jiménez, E.; Valera-Calero, J.A. Inter-Examiner Disagreement for Assessing Cervical Multifidus Ultrasound Metrics Is Associated with Body Composition Features. Sensors 2023, 23, 1213. https://doi.org/10.3390/s23031213
Varol U, Navarro-Santana MJ, Gómez-Sánchez S, Plaza-Manzano G, Sánchez-Jiménez E, Valera-Calero JA. Inter-Examiner Disagreement for Assessing Cervical Multifidus Ultrasound Metrics Is Associated with Body Composition Features. Sensors. 2023; 23(3):1213. https://doi.org/10.3390/s23031213
Chicago/Turabian StyleVarol, Umut, Marcos José Navarro-Santana, Sonia Gómez-Sánchez, Gustavo Plaza-Manzano, Elena Sánchez-Jiménez, and Juan Antonio Valera-Calero. 2023. "Inter-Examiner Disagreement for Assessing Cervical Multifidus Ultrasound Metrics Is Associated with Body Composition Features" Sensors 23, no. 3: 1213. https://doi.org/10.3390/s23031213
APA StyleVarol, U., Navarro-Santana, M. J., Gómez-Sánchez, S., Plaza-Manzano, G., Sánchez-Jiménez, E., & Valera-Calero, J. A. (2023). Inter-Examiner Disagreement for Assessing Cervical Multifidus Ultrasound Metrics Is Associated with Body Composition Features. Sensors, 23(3), 1213. https://doi.org/10.3390/s23031213

